Отек легких — Нарушения сердечно-сосудистой системы
-
Лечение выявленной причины
-
-
Диуретик внутривенно
-
-
Инотропы внутривенно
-
-
Вентиляционная поддержка
Первичное лечение включает в себя выявление причины; 100% кислород в кислородной маске с клапаном, пребывание в вертикальном положении; фуросемид 0,5–1,0 мг/кг внутривенно или путем непрерывной инфузии 5–10 мг/ч; нитроглицерин 0,4 мг под язык каждые 5 минут, с последующим внутривенным капельным введением по 10–20 мкг/минуту с увеличением дозы на 10 мкг/минуту каждые 5 мин, при необходимости до максимальной дозы 300 мкг/минуту, если систолическое артериальное давление составляет > 100 мм рт.
ст. Морфин в дозе 1-5 мг внутривенно один или два раза в сутки использовался в течение длительного времени для уменьшения беспокойства и облегчения дыхания, однако он все реже применяется с этой целью из-за обсервационных исследований, рассказывающих о более низком результате с его использованием. В случаях значительной гипоксии может помочь неинвазивная вентиляция с двухфазным положительным давлением в дыхательных путях (режим BiPAP). В случае задержки CO2 или заторможенности пациента необходимы интубация трахеи и механическая вентиляция.
Специфическая дополнительная терапия зависит от этиологии:
-
При остром инфаркте миокарда или другом варианте острого коронарного синдрома необходимо проведение тромболизиса или прямой чрескожной коронарной ангиопластики со стентированием
-
При тяжелой артериальной гипертензии – сосудорасширяющие средства
-
При наджелудочковой или желудочковой тахикардии проводят кардиоверсию постоянным током
-
При выраженной фибрилляции предсердий кардиоверсия является предпочтительным методом.
Для замедления желудочкового ритма используют бета-облокаторы внутривенно, дигоксин внутривенно или осторожное внутривенное введение блокаторов кальциевых каналов
У пациентов с острым инфарктом миокарда задержка жидкости до появления отека легких обычно является нормой, поэтому применение диуретиков для них менее полезно, чем для пациентов с острой декомпенсацией хронической сердечной недостаточности, и может вызвать гипотензию. Если систолическое артериальное давление падает < 100 мм рт. ст. или развивается шок, применяют внутривенно добутамин и внутри-аортальную баллонную контрпульсацию.
Некоторые новые препараты, такие как внутривенные МНП (несиритид) и кальцийсенсибилизирующие инотропные препараты (левосимендан, пимобендан), веснаринон и ибопамин, могут иметь начальные положительные эффекты, но не улучшают результаты лечения по сравнению со стандартной терапией; также может увеличиваться уровень смертности. Серелаксин, рекомбинантная форма релаксина-2, гормона беременности, в настоящее время исследуется при острой СН в 3-ей фазе крупного испытания.![]()
После стабилизации состояния пациентов назначают долгосрочное лечение СН.
причины, симптомы, диагностика, лечение, профилактика
Патологическое состояние, характеризующееся развитием острой легочной недостаточности, обусловленное массивным выходом транссудата из капилляров в легочную ткань, что приводит к инфильтрации альвеол и резкому нарушению газообмена в легких.
Причины
В кардиологической практике отек легких может возникать как осложнение различных заболеваний сердечно-сосудистой системы, например, атеросклеротического и постинфарктного кардиосклероза, острого инфаркта миокарда, инфекционного эндокардита, нарушения сердечного ритма, гипертонической болезни, сердечной недостаточности, аортита, кардиомиопатии, миокардита и миксомы предсердия. Очень часто отек легких может возникать на фоне врожденных и приобретенных пороков сердца, таких как аортальная недостаточность, митральный стеноз, аневризма, коарктация аорты, открытый артериальный проток и синдром Эйзенменгера.
Иногда отек легких может возникать при тяжелом течении хронического бронхита и крупозной пневмонии, пневмосклероза и эмфиземы, бронхиальной астмы, туберкулезной инфекции, актиномикоза, опухолей и легочного сердца. Возникновение данной патологии может наблюдаться при травматических повреждениях грудной клетки, которые сопровождаются синдромом длительного сдавливания, воспалительным поражением плевры и пневмотораксом.
В редких случаях отек легких может являться осложнением тяжелых инфекционных заболеваний, характеризующихся развитием выраженными симптомами интоксикации,
В некоторых случаях отек легких выступает осложнением инфекционных заболеваний. У новорожденных развитие данной патологии может возникать при тяжелой гипоксии, глубокой недоношенности, бронхолегочной дисплазии. У более старших детей опасность отека легких существует при любых состояниях, характеризующихся нарушением проходимости респираторного тракта, или при механической асфиксии. Помимо этого, данная пульмонологическая патология может возникать при таких урологических патологиях, как острый гломерулонефрит, нефротический синдром, почечная недостаточность, в гастроэнтерологии – при кишечной непроходимости, циррозе печени, остром панкреатите, а в неврологии –при остром нарушении мозгового кровообращения, субарахноидальных кровоизлияниях, энцефалите, менингите, опухолях мозга, черепно-мозговых травмах и хирургических вмешательствах на головном мозге.
Симптомы
Скорость развития отека легких может быть разной и зависит от самых разных факторов. Иногда развитию патологии предшествуют продромальные признаки, такие как слабость, головокружение и головная боль, чувство стеснения в грудной клетке, тахипноэ, сухой кашель. Такие симптомы могут наблюдаться как за несколько минут, так и часов до развития патологии.
Интерстициальный отек легких развивается преимущественно ночью или в предутренние часы. Приступ могут инициировать физическая нагрузка, психоэмоциональное напряжение, переохлаждение, тревожные или угрожающие сновидения, резкий переход в горизонтальное положение. Заболевание сопровождается развитием внезапного удушья или приступообразного кашля, вынуждающих больного принять сидячее положение. На высоте приступа у больного возникает цианоз губ и ногтей, появляется холодный пот, экзофтальма, возбуждение и двигательное беспокойство.
Для альвеолярного отека легких характерно возникновение резкой дыхательной недостаточности, выраженной одышки, диффузного цианоза, одутловатости лица, набухания шейных вен.
У больного появляется клокочущее дыхание, слышное на расстоянии, а аускультативно определяются разнокалиберные влажные хрипы. При дыхании и кашле изо рта больного происходит выделение пены, которая в большинстве случаев имеет розоватый оттенок, что обусловлено выпотеванием форменных элементов крови.
Диагностика
При подозрении на отек легкого важное диагностическое значение имеет оценка физикальных данных, исследование газового состава крови, биохимическое исследование показателей крови, электрокардиограмма, ультразвуковое исследование сердца и рентгенография органов грудной клетки.
Лечение
Лечение отека легких основано на проведении экстренных мероприятий. Для облегчения состояния больному необходимо придать сидячее или полусидящее положение, затем выполняется наложение жгутов на конечности, проведение горячих ножных ванн, кровопускания, что позволяет уменьшить венозный возврат к сердцу. Подачу увлажненного кислорода при отеке легких проводится через пеногасители.
Подавление активности дыхательного центра проводится посредством введения наркотических анальгетиков, а для уменьшения объема циркулирующей крови и дегидратации легких – диуретики. Для снижения постнагрузки проводится введение нитропруссида натрия или нитроглицерина. В терапии отека легких хороший эффект наблюдается от применения ганглиоблокаторов, которые обеспечивают быстрое снижение давления в малом круге кровообращения.
Профилактика
Профилактика отека легких основана на своевременном и корректном лечении любых заболеваний, которые могут стать причиной развития данного патологического состояния.
Отек легких | Обследование и лечение в Германии
Отек легких — это застой жидкости в легких. Часто встречается как последствие других заболеваний. Например, как следствие сердечной недостаточности или поражения почек.
В начальной стадии процесс затрагивает лишь соединительно-тканные структуры легкого, при этом альвеолы еще остаются свободными.
Позднее процесс переходит и на альвеолы.
Пациент страдает от сильной одышки. Часто бывают слышны булькающие дыхательные шумы. Отек легких — это экстренная ситуация, угрожающая жизни больного, поэтому необходима срочная врачебная помощь.
Причины
Чаще всего к отеку легких приводят сердечная недостаточность, а именно -недостаточность левого желудочка сердца. При этом левая половина сердца не справляется с перекачкой насыщенной кислородом крови, поступающей из легких в большой круг кровообращения. Кровь возвращается в легкие, давление во внутрилегочных сосудах повышается. Под воздействием высокого давления кровь просачивается через стенку сосуда в паренхиму органа.
Другие причины со стороны сердца (кардиогенные причины):
- Инфаркт миокарда
- Хроническая гипертония
- Функциональные нарушения митрального и аортального клапанов
- Нарушения ритма
- Воспаление миокарда
Другие причины:
- Заболевания почек (почечная недостаточность)
- Слишком быстрое массивное переливание крови после сильного кровотечения
- Обширные поверхностные ожоги
- Ожоги различными химическими газами (хлор, стикоксид, угарный газ при пожарах): так называемый токсический отек легких.

- Тяжелые аллергические реакции (анафилактический шок)
- Воспаление легких (превмонии)
- Резкий подъем на высоту
Симптомы (жалобы)
Часто отек развивается ночью, при этом начальный симптом — это кашель и одышка.
Для сильно выраженного отека легких характерны:
- Тяжелая одышка
- Клокочущие булькающие дыхательные шумы,
- Сильный кашель с пенистой беловатой мокротой
- Признаки шока с усилением сердцебиения и ускорением пульса
- Бледность губ вследствие недостатка кислорода (цианоз)
Диагностика (исследования)
На основании клинической картины и вышеназванных симптомов врач легко диагностирует отек легких. При аускультации (прослушивании) легких слышны характерные дыхательные шумы (влажные, клокочащие). В крови снижается содержание кислорода.
Дальнейшие исследования для определения причины:
- Изучение анамнеза: данные о заболеваниях сердца и почек, данные о профессиональной деятельности пациента и возможности контакта с токсической пылью или газами, семейная отягощенность, фактор курения.

- ЭКГ: данные о деятельности сердца, оценка проводимости, исключение инфаркта миокарда.
- УЗИ сердца — ЭхоКГ
- Исследование крови
- Оценка деятельности почек
Терапия (лечение)
Отек легких — это экстренная ситуация, угрожающее жизни состояние, поэтому пациента необходимо срочно госпитализировать!
Общие мероприятия
- Высокое положение верхней половины тела, ноги необходимо опустить. Такое положение облегчает дыхание.
- Подача кислорода через нос или специальную маску. В тяжелых случаях искусственная вентилляция легких.
- При отеке по причине резкого изменения высоты – перенести пациента в низину и дать кислород.
Медикаментозное лечение
Медикаментозное лечение назначается в зависимости от причины, вызвавшей отек легких:
- При левосердечной недостаточности: сердечные препараты (нитраты, бета-блокаторы) и мочегонные средства (диуретики)
- Препараты, понижающие давление (при гипертонической болезни)
- Кортизол при аллергических состояниях и отравлениях
- Антибиотики при пневмониях
- При тяжелой почечной недостаточности может быть необходим диализ.

- Успокоительные средства при беспокойстве и страхе
Течение
При своевременно начатом адекватном лечении отек легких можно устранить за несколько часов. В случае неоказания помощи или если пациент на терапию не реагирует — наступает смерть от удушья.
Как следствие отека легких может развиться пневмония.
Профилактические мероприятия
Во избежание развития отека легких необходимо лечение основной причины заболевания. Сюда относится регулярный прием назначенных препаратов. Во всех случаях необходимо внимательно относиться к функции сердца и легких, не забывать о здоровом образе жизни (больше двигаться, здоровое питание, достаточное потребление жидкости).
Отек легких у кошки — симптомы, причины, диагностика, лечение
Содержание
- Симптомы
- Причины
- Терапия
- Прогноз
- Профилактика
Отеком легких называют скопление жидкости в интерстиции и альвеолах легких.
По сути, пространство в легких, в котором должен находиться воздух, заполняется жидкостью. При этом развивается острая дыхательная недостаточность, часто приводящая к смерти животного.
Симптомы
Симптомы отека легких у кошки связаны с развившейся дыхательной недостаточностью:
- Отказ от корма и воды
- Вялость
- Непереносимость нагрузок
- Выраженная одышка, шумное дыхание, дыхание с открытым ртом, иногда кашель.
- Вынужденное положение в пространстве. Поначалу кошка не может долго лежать из-за того, что при лежании сдавливается грудная клетка, и это ухудшает дыхание. В тяжелых случаях животное не может стоять из-за слабости.
- Пенистые выделения из носа и рта, синюшность слизистых оболочек — являются жизнеугрожающими симптомами.
Причины
Причины отека легких у кошки могут быть довольно разнообразны, наиболее частые из них:
- Сердечная недостаточность (кардиогенный отек легких)
- Воспаление легких (инфекционное, неинфекционное, аллергическое)
- Травма грудной клетки
- Опухоли грудной полости
- Дирофилляриоз
Из всех причин сердечная недостаточность – наиболее частая.
Она по некоторым данным составляет 18% всех кошачьих болезней. И почти во всех случаях она рано или поздно приводит к развитию отека легких.
Из некардиогенных отеков стоит выделить аллергические. Кошки склонны к аллергическим заболеваниям, в частности, к хроническим аллергическим бронхитам (астма). Обострение астмы может привести к отеку.
Дирофилляриоз – редкая диагностируемая патология, вызываемая нематодами Dirofillaria imitis, паразитирующими в легочных артериях.
Отек легких у кошек диагностируется обычно без проблем. С большой долей вероятности специалист может поставить диагноз на основании осмотра животного и сбора сведений о его жизни. Окончательный диагноз ставится на основании рентгенографии грудной полости. Причину развития отека установить бывает сложнее. Могут потребоваться:
- Кардиологическое обследование
- Анализы крови и мочи
- Трахеобронхоскопия, бронхоальвеолярный лаваж
Терапия
Терапия отека легких зависит от причины, его вызвавшей, и должна проводиться в отделении интенсивной терапии.
Во всех случаях обеспечивается кислородная поддержка. Кошка помещается в кислородный бокс. Если кошка сильно волнуется, может потребоваться легкая седация, так как при стрессе и физической активности повышается потребность органов в кислороде. Проводится диуретическая терапия. При аллергических процессах может потребоваться введение кортикостероидов и бронхолитических препаратов. При инфекционных процессах и травмах – антибиотикотерапия. При сердечной недостаточности могут потребоваться кардиотоники, антиаритмики, вазодилятаторы. Если газовый состав крови остается неудовлетворительным – животное переводится на аппарат искусственной вентиляции легких (требуется общая анестезия). Как правило для стабилизации и улучшения состояния может потребоваться 2-3 суток.
Прогноз
Прогноз при отеке легких у кошки даже при своевременном лечении осторожный до неблагоприятного. Практически всегда отек легких связан с тяжелой и крайне тяжелой системной патологией, приведшей к его развитию, например, патологией сердца.
В связи с этим есть риск рецидивов.
Профилактика
При хронической сердечной недостаточности важно считать частоту дыхательных движений во сне у вашей кошки. Проводите такой подсчет не менее двух раз в неделю, ведите дневник. Повышение этого параметра будет говорить об прогрессировании застойных явлениях в легких. Превышение уровня 27 дыхательных движений в минуту говорит об угрозе отека. В этом случае свяжитесь с вашим кардиологом и следуйте его инструкциям. При астме важно исключить контакт кошки с возможными аллергенами (табачный дым, цветы, пыль, мягкие игрушки, парфюмерия и т.д.) и соблюдать режим введения противоаллергенных препаратов.
Статья подготовлена Кузнецовым П.А.,
ветеринарным врачом-кардиологом, анестезиологом «МЕДВЕТ»
© 2015 СВЦ «МЕДВЕТ»
Отек легких симптомы и лечение — Евромедклиник
Отек легких – это клинический синдром, при котором в тканях легких накапливается жидкость.
При отеке легких альвеолы, обычно заполняемые воздухом, наполняются жидкостью, которая при соприкосновении с воздухом вспенивается, увеличиваясь в объеме и тем самым сокращая объем легких. Из-за этого затрудняется дыхание и возникает риск асфиксии.
Симптомы отека легких
Симптомы отека легких – одышка, нехватка воздуха, затрудненное дыхание, причем затруднены как вдох, так и выдох, при особо тяжелых состояниях возможно выделение большого количества пенистой мокроты изо рта и носа. В начале приступа можно наблюдать предвестники – покашливание, нарастающие хрипы в легких. Пульс чаще всего учащенный, до 140-160 ударов в минуту, но иногда можно наблюдать и брадикардию.
Причины отека легких
Причины отека легких – повышенное давления в легочных капиллярах, повышенная проницаемость сосудов, повышенное отрицательное внутритканевое давление, недостаточность лимфатических сосудов, пониженное онкотическое давление. Также причиной отека легких могут стать проблемы сердечнососудистой системы и целый ряд других заболеваний.![]()
Лечение отека легких
Лечение отека легких зависит от степени тяжести и причины возникновения, при этом лечение направлено не на симптом – отек, а на заболевание, его вызвавшее. Учитывая широкий спектр причин, вызывающих отек легких, определить лечение может только врач. В большинстве случаев для лечения отека легких требуется госпитализация. В случае хронического отека легких возможно амбулаторное лечение с регулярным посещением больного лечащим врачом.
Консультация и прием врача
Более подробную информацию Вы можете узнать по телефонам, указанным на сайте или обратиться в наш Медицинский Центр. Мы работаем Без Выходных с 8.00 до 22.00 по адресу: г.Москва ВАО (Восточный Администривный Округ) Сиреневый Бульвар 32А
|
|
Причина отека легких, настрой на капельницы и необоснованное лечение.
О чем рассказала инфекционистка минздрава
Главная внештатная инфекционистка Министерства здравоохранения Айнура Кутманова 23 июля выступила в эфире передачи «Слово доктору» и ответила на вопросы о том, какие ошибки допускаются при лечении пациентов с пневмонией и COVID-19.
«Патологоанатомы сказали, что во время последнего месяца пациенты стали умирать от отека легких, причем на первой неделе болезни. Это говорит о том, что тактика ведения пациентов немного неправильная», – отметила она.
По ее словам, к отеку легких приводит избыток жидкости, который вводится в организм именно внутривенно – через капельницы. При этом, в протоколах по лечению четко расписано, что при легкой форме положены только таблетированные формы препаратов для снижения температуры.
Кутманова пояснила, что если у пациента повышается температура (выше 38 градусов у пожилых и 38,5 у молодых людей и среднего возраста), то его основное лечение для дезинтоксикации – обильное питье.
«При среднетяжелых формах точно так же ведем – только жаропонижающие, рекомендуем обильно принимать жидкость.
Если появляется кашель и длится более одной недели, температура не снижается, парацетамол не помогает, здесь, возможно, бактериальная инфекция наслоилась. Мы можем рекомендовать опять-таки антибактериальные препараты, которые принимаются в виде таблеток. То есть мы при легких и среднетяжелых формах не рекомендуем никакие инъекционные препараты», – рассказала она.
Инфекционистка отметила, что когда медики обошли дневные стационары, то увидели, что в основном все пациенты получали внутривенное вливание жидкости.
«У меня был первый вопрос: “Неужели всем это показано?”. И когда мы беседовали с врачами, почему такая тактика, они сказали: “Когда мы пациентам прописываем только таблетки, они были недовольны и чуть ли не требовали, чтобы им проводили внутривенное вливание жидкости”. То есть чисто психологически у них такой настрой, что они обязательно должны получить капельницы. Вот это и привело к тому, что “перекапывали” – это приводило к более тяжелым состояниям, и больные у нас умирали», – объяснила Кутманова.
Она также обратила внимание на случаи, когда больных из дневных или ночных стационаров при резком ухудшении привозили в специализированные больницы. По ее словам, один из ее коллег рассказал, что пациента хотели заинтубировать и взять на искусственную вентиляцию легких, но не смогли из-за того, что оттуда лилась все время жидкость.
«Поэтому хочу призвать наше население, что не надо без обоснований требовать себе какое-то лечение. Доктора следуют нашим протоколам и лечение проводится согласно нашим протоколам», – сказала Кутманова.
Пневмония у птиц — Ветклиника ВетПрофи
Записаться на прием
Приносим свои извинения, но приём орнитолога временно не ведется!
Воспаление легких у птиц – это следствие не долеченной простуды или бронхита, а также такого заболевания, как аэроваскулит (воспаление воздухоносных мешков). Признаки и лечение аэроваскулита и пневмонии схожи. Воспаление легких может быть вызвано и большим количеством возбудителей (бактерии, вирусы, грибы), которые опасны не только для птиц, но и для человека.
Птицы, которые содержатся в домашних условиях, должны летать минимум два часа в день. При нарушении данного режима, а так же при малейших сквозняках и резких перепадах температуры (близость к клетке окон, батарей, отопительных приборов, межкомнатных дверей) у птиц начинает развиваться тяжелое состояние — пневмония. К этому может привести и то, что птицу после долгого нахождения в помещении с определенной температурой выносят на свежий воздух. Особенно часто подвергаются такой болезни птенцы.
Симптомы воспаления легких у птиц
Первыми симптомами может стать снижение активности, нахохленность пернатого друга, появление одышки, потеря аппетита и проблемы со слухом. Также при болезни птица часто спит, спрятав клюв под крыло. Температура тела у пернатых будет падать. Дыхание птицы тяжелое, может сопровождаться свистом. Хвост иногда подергиваться в такт вдохам и выдохам. Данное состояние часто приводит к смерти животного, поэтому тянуть с лечением нельзя и при первых же признаках необходимо обратиться в ветеринарную клинику.![]()
Для диагностики заболевания врачи проводят рентгенологическое исследование легких птиц, берут общий анализ крови. В некоторых случаях может понадобиться исследование мокроты. Основным средством лечения пневмонии у птиц являются антибиотики.
Осложнение болезни
На последних стадиях заболевания у птиц может начаться асфиксия. При этом они пытаются как можно сильнее вытянуться, чтобы тело находилось в вертикальном положении. Это облегчает процесс дыхания. При таком симптоме птиц нельзя брать в руки, потому что от волнения удушье может усилиться. Тогда нельзя исключить гибель птицы от отека легких.
Записаться на прием
Каковы признаки и симптомы кардиогенного отека легких (CPE)?
Автор
Али А. Совари, доктор медицинских наук, FACP, FACC Лечащий врач, кардиолог-электрофизиолог, Медицинский центр Сидарс-Синай и Региональный медицинский центр Св.
Иоанна
Али А. Совари, доктор медицины, FACP, FACC является членом следующих медицинских обществ: Американский колледж кардиологии, Американский колледж врачей, Американская ассоциация врачей-ученых, Американское физиологическое общество, Биофизическое общество, Общество сердечного ритма, Общество сердечно-сосудистого магнитного резонанса
Раскрытие: нечего раскрывать.
Соавтор (ы)
Abraham G Kocheril, MD, FACC, FACP, FHRS Профессор медицины, Медицинский колледж Университета Иллинойса
Abraham G Kocheril, MD, FACC, FACP, FHRS является членом следующих медицинских обществ: American College of Cardiology , Центральное общество клинических и трансляционных исследований, Американское общество сердечной недостаточности, Общество кардиологической электрофизиологии, Американский колледж врачей, Американская кардиологическая ассоциация, Американская медицинская ассоциация, Медицинское общество штата Иллинойс
Раскрытие: Ничего не раскрывать.
Арнольд С. Баас, доктор медицинских наук, FACC, FACP Профессор медицины, отделение кардиологии, директор по стипендии по передовой кардиологии сердечной недостаточности и трансплантологии, Центр кардиомиопатии, Центр кардиомиопатии, Механическая поддержка кровообращения и Программа трансплантации сердца, Университет Калифорнии, Лос-Анджелес , Школа медицины Дэвида Геффена; Лечащий врач, Медицинский центр Рональда Рейгана UCLA
Арнольд С. Баас, доктор медицины, FACC, FACP является членом следующих медицинских обществ: Американского кардиологического колледжа, Американского колледжа врачей, Американского общества эхокардиографии, Международного общества трансплантации сердца и легких.
Раскрытие информации: раскрывать нечего.
Главный редактор
Гьянендра К. Шарма, доктор медицины, FACC, FASE Профессор медицины и радиологии, директор лаборатории эхокардиографии взрослых, отделение кардиологии Медицинского колледжа Джорджии при Университете Августа
Гьянендра К.
Шарма, доктор медицины, FACC, FASE является членом следующие медицинские общества: Американская ассоциация кардиологов индийского происхождения, Американская ассоциация врачей индийского происхождения, Американский колледж кардиологов, Американское общество эхокардиографии, Общество сердечно-сосудистого магнитного резонанса, Общество сердечно-сосудистой компьютерной томографии
Раскрытие: Ничего не раскрывать.
Благодарности
Амаль Матту, доктор медицинских наук, FACEP, FAAEM, Директор программы, резидентура по неотложной медицине, содиректор, совместная программа ординатуры по неотложной медицине / внутренним болезням, отделение хирургии, отделение неотложной медицины, Школа медицины Университета Мэриленда
Амаль Матту, доктор медицины, является членом следующих медицинских обществ: Американской академии неотложной медицины, Американского колледжа врачей неотложной помощи и Общества академической неотложной медицины.
Раскрытие: Ничего не раскрывать.
Ари М. Перкинс, доктор медицины, Консультант, отделение неотложной медицины, Гринвичская больница
Раскрытие: Ничего не раскрывать.
Сат Шарма, доктор медицины, FRCPC, Профессор и руководитель отделения легочной медицины, факультет внутренней медицины, Университет Манитобы; Директор центра респираторной медицины, больница общего профиля Святого Бонифация
Сат Шарма, доктор медицины, является членом следующих медицинских обществ: Американской академии медицины сна, Американского колледжа грудных врачей, Американского колледжа врачей-Американского общества внутренней медицины, Американского торакального общества, Канадской медицинской ассоциации, Королевского колледжа врачей и Хирурги Канады, Королевское медицинское общество, Общество интенсивной терапии и Всемирная медицинская ассоциация
webmd.com»> Раскрытие: Ничего не раскрывать.Джордж А. Стоуфер III, доктор медицины Генри А. Фоскью Заслуженный профессор медицины и кардиологии, директор по интервенционной кардиологии лаборатории катетеризации сердца, руководитель клинической кардиологии отделения кардиологии Медицинского центра Университета Северной Каролины
Джордж А. Стоуфер III, доктор медицины, является членом следующих медицинских обществ: Alpha Omega Alpha, Американский колледж кардиологии, Американский колледж врачей, Американская кардиологическая ассоциация, Phi Beta Kappa и Общество кардиоангиографии и вмешательств
Раскрытие: Ничего не раскрывать.
Франсиско Талавера, фармацевт, доктор философии Адъюнкт-профессор, Фармацевтический колледж Медицинского центра Университета Небраски; Главный редактор Medscape Drug Reference
webmd.com»> Раскрытие информации: Medscape Salary EmploymentОтек легких — обзор
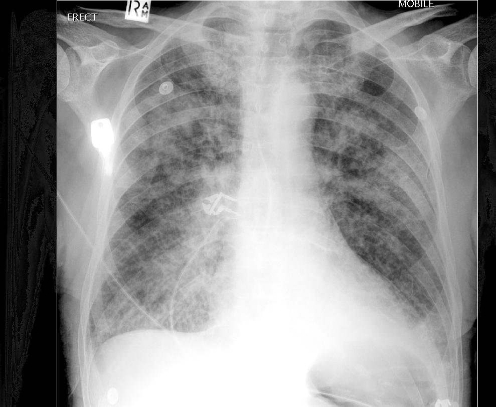
Рентгенограмма грудной клетки
Отек легких может быть обнаружен у взрослых людей на рентгенограмме грудной клетки, когда внесосудистая вода в легких (EVLW) увеличивается примерно на 35%. Хотя большинство рентгенографических признаков отека легких неспецифичны, улучшенные рентгенографические методы в сочетании с улучшенным пониманием патофизиологии отека легких повысили полезность рентгенограммы грудной клетки в диагностике отека легких.
Линии Керли представляют собой междольковые листы аномально утолщенной или расширенной соединительной ткани, которые касаются рентгеновского луча (рис. 36.4). Их более правильно назвать линиями перегородки. Утолщение перегородок может быть результатом различных процессов, включая фиброз, отложение пигмента и легочный гемосидероз. Однако, когда они временные, эти линии обычно вызваны отеком. Эти перегородки отека более отчетливо видны у детей старшего возраста и взрослых с хроническим отеком, чем у младенцев, предположительно потому, что они шире.
Периваскулярные и перибронхиальные манжеты также являются рентгенологическими признаками интерстициального отека жидкости. По гидростатическим причинам периваскулярный отек наиболее выражен в гравитационно-зависимых регионах, и поэтому нормальное связывающее действие легких в этой области меньше. Повышенное сопротивление сосудов нижних долей способствует перераспределению крови к верхним долям. Этот признак, конечно, имеет ограниченную ценность для младенцев, потому что они, скорее всего, находятся в положении лежа на спине, имеют меньшие гравитационные различия из-за своего размера и обычно имеют лишь немного повышенное давление в ПА по сравнению с детьми и взрослыми.
Более тяжелые формы отека легких обычно приводят к появлению перихилярного помутнения, предположительно потому, что в этом месте находятся большие периваскулярные и перибронхиальные скопления жидкости. Также может присутствовать ретикулярный или решетчатый узор, который чаще встречается внизу у вертикального человека.
Когда отек легких становится достаточно серьезным, чтобы привести к стойкому закрытию дыхательных путей или альвеолярному затоплению, очень трудно разделить отек, ателектаз и воспаление на рентгенограммах грудной клетки.Воздушные бронхограммы указывают на безвоздушные дистальные отделы легких, а не на первопричину.
Поскольку отек легких может привести к обструкции дыхательных путей у детей как из-за блуждающего рефлекса 27 , так и из-за бронхиальной пены, может произойти закрытие дыхательных путей 32 и образование воздушных ловушек. 29 Таким образом, низкая диафрагма может быть полезным признаком интерстициального отека при отсутствии других причин обструкции дыхательных путей. Хотя исследования у детей ограничены, обобщение результатов, позволяющих разделить кардиогенный или гемодинамический отек, почечный или гипергидратационный отек и травму или отек с ОРДС, было предоставлено у взрослых. 33,34 У пациентов с сердечной недостаточностью наблюдается обратное перераспределение кровотока от основания к верхушке.
Постепенное пополнение соединительнотканных пространств отечной жидкостью как при сердечных, так и при почечных заболеваниях приводит к размытости корней, перибронхиальным наручникам и нечеткой картине увеличения плотности легких. При ОРДС более вероятно неоднородное периферическое распространение отека и небольшое количество таких признаков, как перегородки и перибронхиальные манжеты.
Отек легких — Pulmonary Associates of Mobile
Обзор отека легких
Отек легких возникает, когда в легких имеется избыточная жидкость, которая обычно собирается в воздушных мешочках.В этом состоянии очень трудно дышать. Отек легких может возникать по разным причинам, но обычно возникает из-за проблем с сердцем или пневмонии. Это состояние может возникнуть очень быстро и требует немедленного лечения. Существует три типа отека легких: внезапный, хронический и высокогорный.
Симптомы отека легких
Симптомы трех типов отека легких различны для каждого типа. Первый тип — внезапная, иначе известная как острая легочная эдма.
Эти симптомы включают одышку, хрипы, затрудненное дыхание, чувство удушья, даже если вы лежите, беспокойство, кашель, учащенное и нерегулярное сердцебиение или холодная и липкая кожа.
Следующий тип называется длительным или хроническим отеком легких. Для этого характерны одышка, затрудненное дыхание, хрипы, неспособность заснуть из-за кашля или чувство одышки, усталость (вероятно, из-за отсутствия качественного отдыха), отек нижних конечностей или быстрое увеличение веса.
Последний тип называется высотным отеком легких (HAPE). ВОД возникает, когда люди путешествуют или тренируются на большой высоте. Вы можете испытывать одышку, дискомфорт в груди, учащенное сердцебиение, кашель, трудности при ходьбе в гору, усталость, жар или головные боли.
Если вы испытываете какие-либо из этих симптомов, вам следует назначить визит к врачу, поскольку отек легких может возникнуть очень быстро и требует немедленного лечения. Скорее всего, вам понадобится кто-нибудь, чтобы отвезти вас на эту встречу.
Причины отека легких
Одна из причин отека легких — повышенное давление в сердце. Обычно это происходит при сердечном заболевании или при переутомлении сердца и неспособности производить достаточное количество крови. Когда это происходит, высокое давление возникает в сердце, а затем в венах и капиллярах легких.
Острый респираторный дистресс-синдром возникает, когда ваши легкие наполнены жидкостью и воспалительными лейкоцитами. Это может быть вызвано травмой, сепсисом, пневмонией или сильным кровотечением.
Большая высота может быть причиной отека легких, особенно в тех случаях, когда причиной является высокогорный отек легких (HAPE). Обычно это случается с альпинистами или людьми, которые путешествуют по высокогорным местам. Обычно это происходит, если упражнения или активность начинаются слишком рано; до акклиматизации.
Другие причины включают побочные реакции на лекарственные препараты, состояния нервной системы, тромбоэмболию легочной артерии, вдыхание дыма, близость к утоплению, воздействие определенных токсинов, вирусные инфекции или отек легких с отрицательным давлением.
Осложнения отека легких
Основное осложнение отека легких заключается в том, что он также может повышать давление в легочной артерии, что в конечном итоге приводит к ослаблению правого желудочка сердца и, в конечном итоге, к отказу. Если это произойдет, также будут осложнения со стороны нижних конечностей в виде отека, заложенности и отека печени или плеврального выпота. Отек легких может быть смертельным, если его не лечить.
Профилактика отека легких
Нездоровое сердце может быть основной причиной отека легких.Вы должны обязательно контролировать свое кровяное давление, поддерживая здоровый образ жизни, уровень стресса и вес. Также могут потребоваться изменения в образе жизни. Возможно, вам придется принять такое решение, как: придерживаться здоровой для сердца диеты, ограничивать потребление соли, регулярно заниматься спортом, снижать уровень холестерина в крови. Если вы в настоящее время курите, вам нужно будет бросить курить. Если вам не удалось бросить курить, поговорите со своим пульмонологом о некоторых методах и о плане отказа.
Если вы планируете путешествовать или участвовать в каких-либо напряженных занятиях, то обязательно уделите время адаптации к новой среде.Не начинайте тренироваться в первый же день пребывания в новой среде. Ваш врач может назначить вам лекарство от HAPE. Сделайте это за один день до поездки и продолжайте в течение пяти дней после прибытия.
Диагностика отека легких
Отек легких требует своевременной диагностики и лечения. Ваш врач начнет с медицинского осмотра и спросит вас о ваших симптомах. Ваш врач может также порекомендовать сделать электрокардиограмму и рентген грудной клетки.Отсюда вашему врачу также может потребоваться множество других тестов, чтобы поставить правильный диагноз. К пальцу прикрепят пульсоксиметр, чтобы получить правильные показания кислорода в крови. Анализы крови, взятые из артерии на запястье, позволяют определить количество кислорода, углекислого газа или другие органы. Есть также много тестов на сердце, которые могут быть выполнены для постановки правильного диагноза.
Лечение отека легких
Лечение необходимо проводить своевременно. Ваш врач начнет лечение с введения кислорода, чтобы облегчить некоторые симптомы.Ваш врач будет внимательно следить за вами, чтобы увидеть, нужно ли вам переместить к аппарату, который поможет вам с дыханием. Вам также может потребоваться принять одно из следующих лекарств, чтобы устранить причину проблемы.
Мочегонные средства могут помочь уменьшить количество жидкости, которая образуется вокруг легких. Морфин может использоваться для облегчения одышки или беспокойства. Если причиной отека легких являются проблемы с сердцем, возможно, вам придется принимать лекарства от кровяного давления, чтобы снизить кровяное давление.
Если ваши симптомы возникли в результате путешествия на большую высоту, вам следует начать спуск как можно скорее и в разумных пределах. Возвращение на более низкую высоту поможет почти сразу избавиться от симптомов. Если вы занимаетесь деятельностью на большой высоте, вам следует прекратить физические нагрузки и согреться.
Когда вы простудитесь с этими симптомами, вам, вероятно, станет хуже. Если ваше состояние тяжелое, вы не можете передвигаться пешком и у вас нет транспортного средства, вам может потребоваться спасательная помощь.Когда вы находитесь в больнице, когда вы выходите из этой ситуации, они начинают вводить кислород. Кислород и более низкий уровень должны вылечить этот тип отека легких, но могут быть прописаны и другие лекарства.
Отек легких | Пульмонология | Regency Healthcare
В наши дни частой жалобой является затрудненное дыхание, связанное с ростом загрязнения и наступлением зимы. Хотя не все случаи являются тяжелыми и требуют медицинской помощи, но если вам постоянно трудно дышать, чаще всего затрудняется дыхание, и проблема усугубляется, когда вы ложитесь, вы должны немедленно обратиться за медицинской помощью.Это может быть признаком отека легких!
Знайте, что такое отек легких!
Отек легких — это состояние, при котором в легких скапливается жидкость, что затрудняет дыхание.
Это также называется застоем в легких, выделением жидкости из легких и застоем в легких. Когда возникает отек легких, организм изо всех сил пытается получить достаточно кислорода, и человек начинает чувствовать одышку.
В большинстве случаев отек легких возникает из-за проблем с сердцем.Но жидкость может накапливаться и по другим причинам, включая пневмонию, воздействие определенных токсинов и лекарств, травмы грудной стенки, а также посещения или тренировки на большой высоте.
Отек легких может быть острым или хроническим. В случае острого отека легких это относится к категории неотложной медицинской помощи, требующей немедленного вмешательства.
Читайте дальше, чтобы узнать о симптомах, причинах и лечении отека легких.
Симптомы отека легких
Симптомы могут появляться внезапно или развиваться со временем, в зависимости от конкретной причины состояния.
Длительный отек легких
- Одышка при выполнении физической задачи
- Затруднение дыхания, особенно в положении лежа
- Эпизоды одышки при пробуждении ночью
- Свистящее дыхание
- Быстрое увеличение веса, особенно в ногах
- Отечность тела, особенно в нижней части
- Усталость
Высотный отек легких
Это разновидность отека легких, возникающая из-за недостатка кислорода при путешествии на большую высоту.
Симптомы включают:
- Головные боли
- Учащенное и нерегулярное сердцебиение
- Одышка после нагрузки
- Кашель
- Трудности при ходьбе в гору
- Затруднения при ходьбе по плоской поверхности
- Лихорадка
Примечание: Если вы столкнетесь с какими-либо такими симптомами во время поездки в холмы, обратитесь за неотложной помощью, если симптомы начнут ухудшаться.
Узнай, когда это срочно
Острый отек легких развивается внезапно, и если его не лечить, жидкость в легких также может стать причиной утопления.Поэтому немедленно обратитесь за медицинской помощью, если у вас возникнут какие-либо из нижеперечисленных признаков и симптомов.
- Чувство удушья
- Чрезвычайное затруднение дыхания
- Беспокойство
- Розовая смесь слюны и слизи от кашля
- Боль в груди
- Потливость с затрудненным дыханием
Причины отека легких
Наиболее частой причиной является застойная сердечная недостаточность.
— когда сердце больше не может правильно перекачивать кровь по всему телу.Это создает давление в мелких кровеносных сосудах легких, что приводит к утечке жидкости из сосудов. Когда жидкость заполняет ваши легкие, они не могут доставить кислород в кровоток, лишая остальную часть тела необходимого кислорода.
Другие медицинские состояния, которые могут вызвать отек легких, включают:
- Гипертония
- Болезни сердца
- Клапаны сердца повреждены
- Пневмония
- Внезапное повышение артериального давления
- Поражение / недостаточность почек
- Повреждение легких
Другие внешние факторы, которые могут вызвать отек легких, включают:
- Высотная экспозиция
- Передозировка наркотиками
- Повреждение легких при вдыхании токсинов
- Тяжелая травма
- Тяжелая травма
Кто более предрасположен к отеку легких ?
Люди с сердечными заболеваниями подвержены более высокому риску отека легких.
Некоторые из факторов, помимо проблем с сердцем, включают:
- Отек легких в анамнезе
- История болезни легких, такой как ХОБЛ
- Заболевания сосудов или крови
Диагностика
Если вы страдаете каким-либо из вышеперечисленных симптомов, вам пора поставить диагноз отека легких.
Врач будет искать жидкость в легких или симптомы, вызванные ее присутствием. Для постановки диагноза пациенту необходимо сначала пройти медицинский осмотр.Во время медицинского осмотра врач с помощью стетоскопа проверит легкие на предмет потрескивания и учащенного дыхания, а также сердце на предмет аномальных ритмов.
Ваш врач может также:
- Посмотрите на свою шею, нет ли скоплений жидкости, а также на ноги и живот на предмет отека
- Проверьте, бледная ли у вас кожа или синяя
- Подробно обсудите свои симптомы и спросите о своей истории болезни.
Если они считают, что у вас жидкость в легких, они попросят вас провести дополнительные анализы.
Некоторые анализы, которые могут попросить вас сделать ваши врачи:
- Общий анализ крови
- Эхокардиограмма или УЗИ (для проверки сердечной деятельности)
- Рентген грудной клетки (чтобы увидеть жидкость)
- Анализы крови (для проверки уровня кислорода)
- ЭКГ для поиска проблем с сердцем или других признаков сердечного приступа
Лечение отека легких
Отек легких — серьезное заболевание, требующее быстрого лечения.
Oxygen — это первая линия лечения, если вы страдаете отеком легких. Ваша медицинская бригада доставит вам 100-процентный кислород через кислородную маску, носовую канюлю или маску с положительным давлением.
Ваш врач также диагностирует причину отека легких, а затем назначит соответствующее лечение основной причины.
В зависимости от вашего состояния врач также может дать:
- Редукторы предварительной нагрузки — для уменьшения давления жидкости, поступающей в сердце и легкие
- Редукторы постнагрузки — для расширения кровеносных сосудов и снижения давления на сердце
- Сердечные препараты — для контроля вашего пульса, снижения гипертонии и снижения давления в артериях и венах
- Морфин — для снятия беспокойства и одышки
Если состояние тяжелое, может потребоваться интенсивная или интенсивная терапия.
Профилактика отека легких
Полностью предотвратить отек легких невозможно. Люди из группы высокого риска должны немедленно обратиться за помощью, если у них появятся симптомы этого состояния.
Лучший способ предотвратить отек легких — это заботиться о своем здоровье. Следуйте этим советам:
- Сделайте прививку от пневмонии
- Сделайте прививку от гриппа, если у вас проблемы с сердцем или если вы старый (старше 50 лет)
- Чтобы предотвратить повторение отека легких, принимайте диуретики
Вы также можете снизить риск сердечной недостаточности, которая является наиболее частой причиной отека легких, с помощью:
- Регулярное посещение врача
- Не курить
- Не употреблять легкие наркотики
- Регулярно занимаюсь спортом
- Включите в свой рацион здоровую пищу
- Поддержание нормального веса
В Regency Healthcare мы всегда к вашим услугам!
Если вы испытываете какие-либо симптомы отека легких, свяжитесь с нами и получите немедленную помощь: https: // regencyhealthcare.
по / специальности / пульмонология /
Не откладывайте диагностику, так как большинство случаев тяжелые и могут оказаться фатальными, если вовремя не лечить.
Информация об отеке легких | Гора Синай
Коллинз С.П., Мельничук Л.М., Уиттингем ГА, Бозли М.Э., Шрамм Д.Р., Сторроу AB. Использование неинвазивной вентиляции у пациентов отделения неотложной помощи с острым кардиогенным отеком легких: систематический обзор. Энн Эмерг Мед . 2006; 48 (3): 260-9.
Dennis AT, Solnordal CB. Острый отек легких у беременных. Анестезия . 2012; 67 (6): 646-59.
Фигероа М.С., Петерс Д.И. Застойная сердечная недостаточность: диагностика, патофизиология, терапия и значение для респираторной помощи. Respir Care . 2006; 51 (4): 403-12.
Hambrecht R, Hilbrich L, Erbs S, et al. Коррекция эндотелиальной дисфункции при хронической сердечной недостаточности: дополнительные эффекты физических упражнений и перорального приема L-аргинина.
Дж. Ам Кол Кардиол . 2000; 35: 706-713.
Headley CM, Wall BM. Вспышка отека легких у пациентов с хронической болезнью почек и терминальной стадией почечной недостаточности. Nephro Nurs J . 2007; 34 (1): 15-26.
Maggiorini M, Brunner-La Rocca HP, Peth S, et al. И тадалафил, и дексаметазон могут снизить частоту высотного отека легких: рандомизированное исследование. Энн Интерн Мед. . 2006; 145 (7): 497-506.
Пеннардт А. Высотный отек легких: диагностика, профилактика и лечение. Curr Sports Med Rep . 2013; 12 (2): 115-9.
Pirracchio R, Resche R, Mebazaa A, Zannad F, Alla F, Chevret S. Постоянное положительное давление в дыхательных путях (CPAP) не может снизить краткосрочную смертность при кардиогенном отеке легких: анализ, основанный на предрасположенности. J Card Fail . 2013; 19 (2): 108-16.
Рана Р., Фернандес-Перес Э.Р., Хан С.А. и др. Острое повреждение легких, связанное с переливанием крови, и отек легких у пациентов в критическом состоянии: ретроспективное исследование.
Переливание крови .2006; 46 (9): 1478-83.
Шохат М., Чарач Г., Мейлер С. и др. Прогнозирование кардиогенного отека легких путем мониторинга импеданса правого легкого. Intensive Care Med . 2006; 32 (8): 1214-21.
Sole MJ, Jeejeebhoy KN. Условные пищевые потребности: терапевтическое значение при сердечной недостаточности. Герц . 2002; 27: 174-178.
Sonsuwan N, Pornlert A, Sawanyawisuth K. Факторы риска острого отека легких после аденотонзиллэктомии у детей. Auris Nasus Larynx .2014; 41 (4): 373-5.
Tauchert M. Эффективность и безопасность экстракта crataegus WS 1442 по сравнению с плацебо у пациентов с хронической стабильной сердечной недостаточностью III класса по Нью-Йоркской кардиологической ассоциации. Сердце Дж. . 2002; 143: 910-915.
Vital FM, Ladeira MT, Atallah AN. Неинвазивная вентиляция с положительным давлением (CPAP или двухуровневая NPPV) при кардиогенном отеке легких. Кокрановская база данных Syst Rev .
2013; 5: CD0053551.
Winck J, Azevedo L, Costa-Pereira A, Antonelli M, Wyatt J.Эффективность и безопасность неинвазивной вентиляции в лечении острого кардиогенного отека легких: систематический обзор и метаанализ. Уход за телом . 2006; 10: R69.
Райт А., Брири С., Имрей С. Большие надежды на больших высотах: фармакотерапия острой горной болезни и высокогорного отека мозга и легких. Эксперт Опин Фармакотер . 2008 Янв; 9 (1): 119-27. Рассмотрение.
Yeh GY, Дэвис РБ, Филлипс РС. Использование дополнительных методов лечения у пациентов с сердечно-сосудистыми заболеваниями. Ам Дж. Кардиол . 1 сентября 2006 г .; 98 (5): 673-80.
Yong T, Lili Y, Wen Y, Xinwei W., Xuhui Z. Отек легких и кровоизлияние, возможные причины легочной инфекции и дыхательной недостаточности на ранней стадии повреждения нижнего отдела спинного мозга. Медицинские гипотезы . 2012; 79 (3): 299-301.
Заворский Г.С., Саул Л., Деккер А., Руис П. Рентгенографические доказательства отека легких во время высокоинтенсивных интервальных тренировок у женщин.
Respir Physiol Neurobiol . 2006; 153 (2): 181-90.
Зик С.М., Ваутов Б.М., Гиллеспи Б., Ааронсон К.Д. Рандомизированное слепое исследование хронической сердечной недостаточности с экстрактом боярышника (HERB CHF). Eur J Heart Fail . 2009 Октябрь; 11 (10): 990-9.
Отек легких у собак — симптомы, причины, диагностика, лечение, выздоровление, управление, стоимость
Ваш ветеринар проведет полный медицинский осмотр, стараясь не беспокоить вашего питомца, особенно если возникла одышка. Если вашему питомцу требуется немедленная кислородная терапия, может потребоваться поэтапное медицинское обследование с обеспечением кислородом между обследованиями.Ваш ветеринар послушает дыхание вашего питомца с помощью стетоскопа; при отеке легких можно услышать характерный потрескивающий звук. Слизистые оболочки вашего питомца будут проверены на предмет ожогов, которые могут указывать на ожоги от электрического шнура.
Если ваш питомец стабилен, может быть сделана рентгенограмма грудной клетки, положив собаку на спину. На этой рентгенограмме могут быть обнаружены признаки отека легких, такие как повышенное помутнение интерстициальной ткани или альвеол. У собак, страдающих кардиогенным отеком легких, также может наблюдаться кардиомегалия и вздутие легочных вен.
Давление заклинивания легочных капилляров также может быть измерено, чтобы определить, является ли причина кардиогенной или некардиогенной ». Это измеряется путем введения катетера с баллонным наконечником через яремную вену и сердце в легочную артерию. Затем воздушный шар надувается и измерения проводятся, пока он находится на месте. PCWP, который измеряет более 18 мм рт.ст., считается диагностическим признаком сердечной дисфункции. Отечная жидкость также может быть исследована для измерения содержания белка, поскольку кардиогенная отечная жидкость имеет низкий уровень, а некардиогенная содержит высокие уровни, однако это часто невозможно, если домашнее животное не интубировано или не откашливает жидкость.
Другие диагностические тесты, которые могут быть выполнены для определения основной причины состояния, включают полный анализ крови, анализ мочи, химический анализ сыворотки и анализ газов крови, а также полное неврологическое обследование.
Отек легких Артикул
[1]
Мюррей JF, Отек легких: патофизиология и диагностика. Международный журнал по туберкулезу и заболеваниям легких: официальный журнал Международного союза борьбы с туберкулезом и болезнями легких.2011 фев; [PubMed PMID: 21219673]
[3]
Ware LB, Matthay MA, Клиническая практика. Острый отек легких. Медицинский журнал Новой Англии. 2005 Dec 29; [PubMed PMID: 16382065]
[4]
Go AS, Mozaffarian D, Roger VL, Benjamin EJ, Berry JD, Borden WB, Bravata DM, Dai S, Ford ES, Fox CS, Franco S, Fullerton HJ, Gillespie C, Hailpern SM, Heit JA, Howard VJ, Huffman Доктор медицины, Киссела Б.
М., Киттнер С.Дж., Лакленд Д.Т., Лихтман Дж. Х., Лизабет Л.Д., Магид Д., Маркус Г. М., Марелли А., Матчар Д. Б., Макгуайр Д. Сорли П.Д., Стейн Дж., Туран Т.Н., Вирани С.С., Вонг Н.Д., Ву Д., Тернер М.Б., Статистика сердечных заболеваний и инсульта — обновление 2013 г .: отчет Американской кардиологической ассоциации.Тираж. 1 января 2013 г .; [PubMed PMID: 23239837]
[5]
Рубенфельд Г.Д., Колдуэлл Е., Пибоди Е., Уивер Дж., Мартин Д.П., Нефф М., Стерн Е.Дж., Хадсон Л.Д., Частота и исходы острого повреждения легких. Медицинский журнал Новой Англии. 2005 Oct 20; [PubMed PMID: 16236739]
[6]
Sibbald WJ, Anderson RR, Holliday RL, Патогенез отека легких, связанный с респираторным дистресс-синдромом взрослых.Журнал Канадской медицинской ассоциации. 1979 Feb 17; [PubMed PMID: 376080]
[7]
Саркар М.
, Мадабхави И., Ниранджан Н., Догра М., Аускультация дыхательной системы. Анналы торакальной медицины. 2015 июль-сентябрь; [PubMed PMID: 26229557]
[8]
Bonilla-Palomas JL, Gámez-López AL, Moreno-Conde M, López-Ibáñez MC, Anguita-Sánchez M, Gallego de la Sacristana A, García-Catalán F, Villar-Ráez A, Гипоальбуминемия у пациентов с острой сердечной недостаточностью и его влияние на больничную и долгосрочную смертность.Журнал сердечной недостаточности. 2014 Май; [PubMed PMID: 24486927]
[9]
Тейлор А.Е., Капиллярная фильтрация жидкости. Силы скворца и лимфоток. Исследование кровообращения. 1981 Sep; [PubMed PMID: 7020975]
[10]
Ассаад С., Крацерт В.Б., Шелли Б., Фридман МБ, Перрино А. младший, Оценка отека легких: принципы и практика.
Журнал кардиоторакальной и сосудистой анестезии. 2018 Apr; [PubMed PMID: 29174750]
[11]
Chioncel O, Collins SP, Ambrosy AP, Gheorghiade M, Filippatos G, Терапевтические цели отека легких. Обзор сердечной недостаточности. 2015 Apr; [PubMed PMID: 28785430]
[12]
McMurray JJ, Adamopoulos S, Anker SD, Auricchio A, Böhm M, Dickstein K, Falk V, Filippatos G, Fonseca C, Gomez-Sanchez MA, Jaarsma T., Køber L, Lip GY, Maggioni AP, Parkhomenko A, Pieske BM , Popescu BA, Rønnevik PK, Rutten FH, Schwitter J, Seferovic P, Stepinska J, Trindade PT, Voors AA, Zannad F, Zeiher A, Bax JJ, Baumgartner H, Ceconi C, Dean V, Deaton C, Fagard R, Funck -Brentano C, Hasdai D, Hoes A, Kirchhof P, Knuuti J, Kolh P, McDonagh T, Moulin C, Popescu BA, Reiner Z, Sechtem U, Sirnes PA, Tendera M, Torbicki A, Vahanian A, Windecker S, McDonagh Т, Сечтем У, Бонет Л.
А., Авраамидес П., Бен Ламин Х.А., Бриньоль М, Кока А, Ковберн П., Дарги Х., Эллиотт П., Флахскампф Ф.А., Гуида Г.Ф., Хардман С., Иунг Б., Меркели Б., Мюллер С., Нанас Дж. , Nielsen OW, Orn S, Parissis JT, Ponikowski P, Рекомендации ESC по диагностике и лечению острой и хронической сердечной недостаточности 2012 г .: Целевая группа по диагностике и лечению острой и хронической сердечной недостаточности 2012 г. Европейского общества кардиологов.Разработано в сотрудничестве с Ассоциацией сердечной недостаточности (HFA) ESC. Европейский журнал сердечной недостаточности. 2012 Авг; [PubMed PMID: 22828712]
[13]
Внутривенное введение несиритида в сравнении с нитроглицерином для лечения декомпенсированной застойной сердечной недостаточности: рандомизированное контролируемое исследование. JAMA. 2002 Mar 27; [PubMed PMID: 11911755]
[14]
Павлин В.
Ф., Чандра А., Чар Д., Коллинз С., Дер Саакиан Дж., Динг Л., Данбар Л., Ферманн Г., Фонаров Г. К., Гарнизон Н., Ху М.Ю., Журден П., Лариби С., Леви П., Мёкель М., Мюллер К., Ray P, Singer A, Ventura H, Weiss M, Mebazaa A, Клевидипин при острой сердечной недостаточности: результаты исследования контроля артериального давления при острой сердечной недостаточности — пилотное исследование (PRONTO).Американский сердечный журнал. 2014 Apr; [PubMed PMID: 24655702]
[15]
Bärtsch P, Maggiorini M, Ritter M, Noti C, Vock P, Oelz O, Профилактика высотного отека легких с помощью нифедипина. Медицинский журнал Новой Англии. 1991 Oct 31; [PubMed PMID: 1922223]
[16]
Рашид Х., Хашми С.Н., Хуссейн Т. Факторы риска высотного отека легких.Журнал Колледжа врачей и хирургов — Пакистан: JCPSP. 2005 Feb; [PubMed PMID: 15730835]
[17]
Cuffe MS, Califf RM, Adams KF Jr, Benza R, Bourge R, Colucci WS, Massie BM, O’Connor CM, Pina I, Quigg R, Silver MA, Gheorghiade M, краткосрочное внутривенное введение милринона при обострении хронического сердечная недостаточность: рандомизированное контролируемое исследование.
JAMA. 2002 Mar 27; [PubMed PMID: 11911756]
[19]
Милберг Дж. А., Дэвис Д. Р., Стейнберг К. П., Хадсон Л. Д., Повышение выживаемости пациентов с острым респираторным дистресс-синдромом (ОРДС): 1983–1993.JAMA. 1995 25 января; [PubMed PMID: 7815658]
[20]
Замбон М., Винсент Дж. Л., Показатели смертности пациентов с острым повреждением легких / ОРДС со временем снизились. Грудь. 2008 May; [PubMed PMID: 18263687]
.

Для замедления желудочкового ритма используют бета-облокаторы внутривенно, дигоксин внутривенно или осторожное внутривенное введение блокаторов кальциевых каналов
