Чем отличается туберкулез от воспаления легких?
К сожалению, в современном обществе стремительно увеличивается число случаев заболевания туберкулезом. Это объясняется воздействием множества факторов. Одни люди находятся в социальной группе риска, у других этот недуг возникает в результате осложнения профессиональных заболеваний, третьи же запускают туберкулез, путая его с пневмонией или бронхитом. Наиболее надежным способом диагностики этого опасного недуга является рентген . Каждый человек должен знать о том, как отличить туберкулез от пневмонии. Успешность излечения от этого заболевания напрямую зависит от своевременного его выявления.
Полезная информация
Факторами, которые могут привести к развитию пневмонии, являются переохлаждение, бронхит, грипп и прочие вирусные инфекции, а также ослабление иммунитета в результате воздействия лучевой или химиотерапии. Пневмония начинается остро и развивается быстро. Больной ощущает вялость, у него то повышается, то резко падает температура, что приводит к потливости. При пневмонии большинство пациентов жалуются на одышку и боль в груди, кашель с мокротой.
 При пневмонии большинство пациентов жалуются на одышку и боль в груди, кашель с мокротой.
Туберкулез же развивается постепенно и нередко становится следствием нахождения пациента среди других заболевших. Человек может страдать от кашля с мокротой и кровохарканья на протяжении 3-4 месяцев. Он быстро теряет вес, ощущает слабость и часто потеет по ночам. Щеки больного туберкулезом нередко покрываются странным румянцем, а в глазах появляется нездоровый блеск. Температура при этом держится на субфебрильном уровне. Однако в некоторых случаях туберкулез также может начинаться остро, проявляясь сильным кашлем и лихорадкой. В этом случае очень важно провести качественное медицинское обследование, чтобы отличить его от воспаления легких.
Обычно при туберкулезе аускультативные данные являются довольно скудными, но при этом на рентгене видны достаточно обширные поражения легких. При пневмонии аускультативные признаки могут быть очень разнообразными, но изменения тканей являются умеренными. Сделать ретген вы можете в нашей клинике, а если вас интересуют цены на УЗИ, ищите их на сайте.
 Сделать ретген вы можете в нашей клинике, а если вас интересуют цены на УЗИ, ищите их на сайте.
Пневмония и туберкулез. Исследование с помощью КТ
В наше время очень много людей болеет туберкулезом, не подозревая об этом, поэтому диагностика болезни начинается только когда уже видны явные симптомы. Также туберкулез можно спутать с воспалением легких-пневмонией (из-за схожих симптом). Чтобы понять, чем же вы все-таки заболели нужно знать, как начинается и та и другая болезнь. Разберем симптомы, возникающие при пневмонии:
- Болезнь начинается с резкого повышения температуры;
- Боль в груди, при вдохе, появляется одышка;
- Появляется вялость и слабость;
- Кашель с отхаркиванием мокрот.
Стоит отметить, что пневмония может начаться после перенесенного бронхита, вирусных заболеваний или после сильного переохлаждения.
Ряд показателей сопутствующих туберкулезу:
- Пропадает аппетит, следовательно снижается вес;
- Потливость во время сна;
- Кашель со слизью гнойного характера;
- Появляется нездоровый блеск в глазах и румянец на щеках. 
В отличие от воспаления легких туберкулез может не проявляться до нескольких месяцев, но при этом будет присутствовать незначительный кашель. Бывают случаи, что болезнь начинается с высокой температуры, поэтому врачи рекомендуют не игнорировать сигналы вашего организма и обращаться в лечебные учреждения сразу же. Также нужно проходить флюорографию каждый год для того, чтобы быть уверенным, что никакой болезни у вас нет. Для диагностики заболевания вам нужно будет пройти ряд анализов:
- Анализ крови на повышении СОЭ, уровень лейкоцитов и гемоглобина;
- Тройной посев мокроты с временным интервалом;
- Ставится проба на реакцию Манту;
- Рентген легких. Как правило, даже самый опытный диагност не сможет отличить болезни, так как воспаление может происходить и при раке легких.
После всех обследований назначается лечение, если в дальнейшем оно не помогло, то врачи рекомендуют сделать КТ легких. Эта процедура позволит рассмотреть:
- Первичные симптомы туберкулеза-разрастания к корню, имеющее воспалительный характер. Этот процесс происходит из-за попадания в бронхи микобактерий. Этот процесс происходит из-за попадания в бронхи микобактерий.
- Воспаление внутри грудных лимфоузлов. Делится на 3 типа: инфильтративный (диаметр лимфоузлов достигает 10 мм), опухолеподобный (диаметр более 30 мм), малый (диаметр 9 мм).
- Милиарные, очаговые, инфильтративные, кавернозные воспалительные процессы. Самым опасным является милиарный, так как разрастается очень быстро и по всем органам.
- Туберкуломы. Это «капсулы» с диаметром 10 мм, которые находятся в верхней части легких.
- Фиброзы и каверны. При появлении каверн (их содержимое называют фиброзы) легкое становится меньше.
Процедура не требует никакой подготовки, только в случае контрастирования нужен анализ на аллергическую реакцию на йод. При записи на нашем сайте «ссылка» обратите внимание на удобные для вас функции, которые позволяют выбрать круглосуточную клинику, либо диагностический центр, который работает в выходные. Цена КТ легких варьируется в зависимости от квалификации врача, уровня больницы и географического местонахождения медицинского учреждения.
Чем отличается пневмония от туберкулеза: особенности болезней
Пневмония и туберкулез в течение столетий стали причиной смерти миллионов людей еще до создания и использования антибиотиков. Эти две респираторные инфекции имеют различия, а также обладают общими объективными и предметными показателями медицинских вмешательств и реабилитации.
Пневмония
Пневмония – серьезная инфекция или воспаление легких с экссудацией (скоплением жидкости) и консолидацией (уплотнением), может быть двух типов: долевой пневмонией или бронхопневмонией.
Долевая пневмония поражает одну дольку легкого, во время бронхопневмонии затрагиваются области, наиболее близкие к бронхам.
Есть более 30 причин пневмонии, но выделяют 4 основные:
- Бактериальные.
- Вирусные.
- Грибковые.
- Микоплазму.
Бактериальная пневмония атакует всех, от мала до велика. Алкоголики, послеоперационные больные, люди с респираторными заболеваниями или вирусными инфекциями, ослабленной иммунной системой подвергаются большему риску.
Бактерии Pneumococcusis, классифицирующиеся как пневмококк, вызывают бактериальную пневмонию и могут быть предотвращены с помощью вакцины. В 20-30% случаев инфекция распространяется в кровоток, что приводит к вторичным инфекциям.
Вирусные пневмонии составляют половину всех случаев заболеваемости воспалением легких, к сожалению, не существует эффективного лечения, потому что антибиотики не влияют на вирусы. Многие вирусные случаи – результат гриппа и обычно воздействуют на детей. Вирус, проникая в легкие, размножается, но практически отсутствуют физические признаки – легочная ткань не наполняется жидкостью. Болезнь находит жертв среди тех, у кого уже существуют заболевания сердца, легких и беременных женщин.
Другая основная причина – грибковая пневмония. Болезнь вызвана грибком, порождающим пневмоцистную пневмонию (PCP) и часто первый признак заболевания у больных СПИДом. Успешно лечится в большинстве случаях.
Туберкулез
Обнаружен 100 лет назад, но до сих пор убивает до трех миллионов человек в год. Случаи варьируются от расовой и этнической принадлежности. Легкие поражаются микобактериями туберкулеза или палочкой Коха. Туберкулез способен поражать любую часть тела, но чаще всего встречается в легких, вызывая пневмонию.
 Случаи варьируются от расовой и этнической принадлежности. Легкие поражаются микобактериями туберкулеза или палочкой Коха. Туберкулез способен поражать любую часть тела, но чаще всего встречается в легких, вызывая пневмонию.
Возрождение «грудной болезни» произошло из-за целого ряда факторов:
- Эпидемия ВИЧ/СПИДа.
- Увеличение числа иммигрантов.
- Бедность, употребления инъекционных наркотиков, рост беспризорности.
- Несоблюдение лечения.
- Невозможность диагностики при большом росте населения.
Бактерия туберкулеза распространяется через воздух, но заражение происходит только после длительного контакта. Например, шанс заразиться в 50%, если провести восемь часов в день в течение шести месяцев с кем-то, кто имеет активную форму туберкулеза.
Бактериальные микроорганизмы попадают в воздух, когда туберкулезный больной кашляет, чихает. Инфекция сможет находиться в состоянии покоя в организме человека в течение многих лет, не причиняя ему никаких проблем, но когда иммунная система ослаблена это дает заразной болезни толчок «вырваться на свободу».
Виды лечения туберкулеза
 
Способы лечения зависят от формы туберкулеза – активной или неактивной. Для диагностики активного туберкулеза врач смотрит на симптомы болезни и результаты теста кожи, анализ мокроты, рентгенографию органов грудной клетки. Человек имеет активный туберкулез, когда иммунная система ослаблена и начинают ярко проявляться признаки и симптомы опасного заболевания. Пробы на туберкулез положительные.
Для лечения используют два различных типа антибиотиков. В течение нескольких недель приема антибиотики увеличат сопротивляемость организма, замедлят рост патогенной микрофлоры.
Пример лечения: короткий курс химиотерапии с использованием изониазида (INH), рифампицина и пиразинамида в комбинации. Препараты принимаются курсом от шести до двенадцати месяцев. Неспособность принимать антибиотики последовательно приведет к устойчивому туберкулезу, который гораздо труднее лечить. Туберкулез с множественной лекарственной устойчивостью передается другим лицам, так же как обычный.
Неактивный туберкулез: человек заражен бактериями, но иммунная система способна бороться с инфекцией, поэтому только тест кожи положительный, мокроты – отрицательный тест. Пациент может быть инфицирован, но не быть заразными, это означает, что врач начнет профилактическую программу лечения. Программа включает в себя использование изониазида в течение полугода.
Сходство пневмонии и туберкулеза
Объективные и субъективные показатели
Туберкулез и пневмония имеют схожие объективные и субъективные показатели, вызывающие инфекцию легких.
Субъективные показатели:
- Боли в груди.
- Головные боли.
- Потеря аппетита.
- Тошнота.
- Ригидность суставов и мышц.
- Одышка.
- Усталость и слабость.
Пациент должен сообщить врачу все симптомы, чтобы поставить правильный диагноз.
Объективные показатели включают:
- Кашель.
- Озноб, лихорадка.
- Ночные поты.
- Коричневатую или с прожилками крови мокроту. 
Эти признаки будут наблюдаться врачом.
Медицинские вмешательства – сходства и различия
Диагностические процедуры для пневмонии и туберкулеза похожи. Обычная процедура для врача – получить предыдущее медицинское заключение, вместе с историей возможного воздействия и появления симптомов. Затем происходит физическое обследование. Анализ CBC крови, рентген, анализ крови и мокроты, биопсия или бронхоскопия может подтвердить инфекцию легких. Конкретный тест на туберкулез – проба Манту, подтверждающий наличие бактерий.
Консервативное лечение – прием антибиотиков или бронходилататоров, правильное питание и постельный режим.
Хирургическая операция – плевроцентоз используется для удаления плеврит из легких.
Вывод
Каждый год миллионы людей по всему миру страдают от пневмонии и туберкулеза. Эти две респираторные инфекции имеют общие черты и различия.
Туберкулез: хроническая инфекция, первично влияет на легкие и вызывает воспаление. Кашель, боль в груди, одышка встречаются при пневмонии и туберкулезе.
Различия у этих двух инфекционных заболеваний в их этиологии. Для пневмонии существует более 30 различных причин, но четыре основные категории – бактериальные, вирусные, грибковые и микоплазма.
Туберкулез порождают бактерии под названием «туберкулезные бациллы». К счастью, пневмонию и туберкулез можно держать под контролем с применением антибиотиков и ранней диагностики.
 
 
 
 
 
 
 
 
 
 
 
 
 
 
 
 
 
 
 
 
 
 
 
 
 
Как не перепутать пневмонию и туберкулез
Важно знать, чем отличается пневмония от туберкулеза и не перепутать эти заболевания в их проявлении и лечении.
В нашем обществе количество людей, больных туберкулезом, постоянно растет. На это влияет масса факторов: кто-то поздно обращается за медицинской помощью, занимаясь длительное время лечением бронхита или пневмонии, кто-то находится в социальной группе риска, а у кого-то это осложнение профессионального заболевания.
Для того чтобы было проведено рациональное лечение туберкулеза, чтобы исключить дальнейшее заражение, улучшить качество жизни больных и прогноз, важно знать, чем он отличается от воспаления легких. Ведь клиника и характер течения туберкулеза и пневмонии очень похожи. Для их различия нужно знать анамнез, клинику, лабораторные и рентгенологические данные.
Пневмония начинается остро, развивается быстро, ее причиной могут быть 
переохлаждение; предшествующие заболевания гриппом, бронхитом, другими вирусными инфекциями; ослабление иммунитета, например, на фоне лучевой или химиотерапии. Туберкулез также зачастую имеет острое начало. Часто заболевший был окружен людьми с туберкулезом: или находился в местах заключения, или работал в противотуберкулезных диспансерах.
Клиническая картина воспаления легких выражена в подъеме температуры, общей слабости, вялости. Резкое повышение температуры сменяется резким (критическим) ее падением, что приводит к  потливости, резкой слабости. У заболевших людей появляется  боль в груди, которая усиливается при вдохе (затронута плевра) и одышка. Кашель у таких больных с мокротой (называемой «стекловидной» или «ржавой»).
 У заболевших людей появляется  боль в груди, которая усиливается при вдохе (затронута плевра) и одышка. Кашель у таких больных с мокротой (называемой «стекловидной» или «ржавой»).
А вот туберкулез в отличие от пневмонии, может развиваться постепенно, кашель держится иногда в течение 3-4 месяцев с мокротой слизистого или слизисто-гнойного характера, кровохарканьем. Обратите внимание – при туберкулезе больной начинает катастрофически быстро терять вес. У него снижается аппетит, наблюдается ночная потливость. У таких людей на щеках появляется нездоровый румянец, блеск в глазах. Температура держится субфебрильная, имеет циклический характер, процесс протекает волнообразно.
Но случается, что и туберкулез начинается остро, с высокой температуры, кашля. В таком случае проводят дополнительные исследования, чтобы отличить его от пневмонии.
Читайте также: Остановить туберкулез пока не поздно
Есть так называемое «золотое правило», помогающее отличить туберкулез и пневмонию, которое было известно еще в начала ХХ века: при туберкулезе характерны скудные аускультативные данные, которые сочетаются с обширным поражением легких, видимым при рентгеновской диагностике. При воспалении легких и умеренных изменениях ткани, видимых на рентгене, аускультативная картина очень разнообразна – хрипы, крепитация.
 При воспалении легких и умеренных изменениях ткани, видимых на рентгене, аускультативная картина очень разнообразна – хрипы, крепитация.
Как не перепутать пневмонию и туберкулез | KR-News.Ru
В нашем обществе количество людей, больных туберкулёзом, постоянно растет. На это влияет масса факторов: кто-то поздно обращается за медицинской помощью, занимаясь длительное время лечением бронхита или пневмонии, кто-то находится в социальной группе риска, а у кого-то это осложнение профессионального заболевания.
Для того чтобы было проведено рациональное лечение туберкулёза, чтобы исключить дальнейшее заражение, улучшить качество жизни больных и прогноз, важно знать, чем он отличается от воспаления лёгких. Ведь клиника и характер течения туберкулёза и пневмонии очень похожи. Для их различия нужно знать анамнез, клинику, лабораторные и рентгенологические данные.
Пневмония начинается остро, развивается быстро, её причиной могут быть переохлаждение; предшествующие заболевания гриппом, бронхитом, другими вирусными инфекциями; ослабление иммунитета, например на фоне лучевой или химиотерапии. Туберкулёз также зачастую имеет острое начало. Часто заболевший был окружён людьми с туберкулёзом: или находился в местах заключения, или работал в противотуберкулёзных диспансерах.
 Туберкулёз также зачастую имеет острое начало. Часто заболевший был окружён людьми с туберкулёзом: или находился в местах заключения, или работал в противотуберкулёзных диспансерах.
Клиническая картина воспаления лёгких выражена в подъёме температуры, общей слабости, вялости. Резкое повышение температуры сменяется резким (критическим) её падением, что приводит к потливости, резкой слабости. У заболевших людей появляются боль в груди, которая усиливается при вдохе (затронута плевра), и одышка. Кашель у таких больных с мокротой (называемой «стекловидной» или «ржавой»).
А вот туберкулёз в отличие от пневмонии может развиваться постепенно, кашель держится иногда в течение 3-4 месяцев, с мокротой слизистого или слизисто-гнойного характера, кровохарканьем. Обратите внимание – при туберкулёзе больной начинает катастрофически быстро терять вес. У него снижается аппетит, наблюдается ночная потливость. У таких людей на щеках появляется нездоровый румянец, блеск в глазах. Температура держится субфебрильная, имеет циклический характер, процесс протекает волнообразно.
Но случается, что и туберкулёз начинается остро, с высокой температуры, кашля. В таком случае проводят дополнительные исследования, чтобы отличить его от пневмонии.
Есть так называемое золотое правило, помогающее различить туберкулёз и пневмонию, которое было известно ещё в начала ХХ века: при туберкулёзе характерны скудные аускультативные данные, которые сочетаются с обширным поражением лёгких, видимым при рентгеновской диагностике. При воспалении лёгких и умеренных изменениях ткани, видимых на рентгене, аускультативная картина очень разнообразна – хрипы, крепитация.
Казеозная пневмония
Казеозная пневмония самостоятельная клиническая форма вторичного туберкулеза, характеризующаяся наличием в легочной ткани обширной воспалительной реакции по типу острого казеозного (творожистого) распада с формированием гигантской полости или множественных каверн, сопровождающаяся массивным бактериовыделением и тяжелым клиническим течением.
         Казеозная пневмония развивается как самостоятельное заболевание либо является осложнением прогрессирующего туберкулёзного процесса. Распространена в странах с высоким уровнем заболеваемости туберкулёзом. Возникает на фоне иммунодефицитного состояния. Удельный вес казеозного воспаления у пациентов с впервые диагностированным лёгочным туберкулёзом составляет 3-15%. Бактериовыделение наблюдается в 90-95% случаев. Приблизительно у 60% пациентов обнаруживается первичная или вторичная множественная лекарственная устойчивость к противотуберкулёзным препаратам. 30-50% случаев заканчиваются летальным исходом в течение первых 2-6 недель болезни.
 Распространена в странах с высоким уровнем заболеваемости туберкулёзом. Возникает на фоне иммунодефицитного состояния. Удельный вес казеозного воспаления у пациентов с впервые диагностированным лёгочным туберкулёзом составляет 3-15%. Бактериовыделение наблюдается в 90-95% случаев. Приблизительно у 60% пациентов обнаруживается первичная или вторичная множественная лекарственная устойчивость к противотуберкулёзным препаратам. 30-50% случаев заканчиваются летальным исходом в течение первых 2-6 недель болезни.
     Возбудителем инфекционного заболевания является микобактерия туберкулёза (бацилла Коха). Казеозная пневмония формируется при массивном инфицировании человека высоковирулентным, нередко резистентным к туберкулостатикам агентом либо при активации персистирующей в организме туберкулёзной инфекции. Чаще всего казеозный некроз лёгочной ткани осложняет течение диссеминированного или фиброзно-кавернозного туберкулёзного процесса. Обязательным условием возникновения болезни является выраженная иммуносупрессия. В группу риска по развитию тяжёлых форм туберкулёзной инфекции относятся: социально дезадаптированные лица. Включает лиц без определённого места жительства, занимающихся бродяжничеством, беженцев. Выраженный вторичный иммунодефицит часто наблюдается у больных с алкогольной зависимостью, наркоманией. Высока вероятность заражения лекарственно-устойчивым туберкулёзом и возникновения его тяжёлых форм у людей, отбывающих наказание в тюрьмах.
 В группу риска по развитию тяжёлых форм туберкулёзной инфекции относятся: социально дезадаптированные лица. Включает лиц без определённого места жительства, занимающихся бродяжничеством, беженцев. Выраженный вторичный иммунодефицит часто наблюдается у больных с алкогольной зависимостью, наркоманией. Высока вероятность заражения лекарственно-устойчивым туберкулёзом и возникновения его тяжёлых форм у людей, отбывающих наказание в тюрьмах.
Группа медицинского риска. Наиболее часто казеозная пневмония выявляется и становится причиной смерти у больных СПИДом, не принимающих антивирусные препараты и средства специфической химиопрофилактики. Высок риск данной патологии у пациентов, длительно получающих кортикостероиды и цитостатики, больных сахарным диабетом.
     Патогенез: Болезнь формируется на фоне дефицита активных в отношении инфекции клеток иммунитета. Микобактерии беспрепятственно размножаются, выделяя ряд токсичных веществ. Продукты жизнедеятельности микроорганизмов повреждают мембрану иммунокомпетентных клеток. Образуется замкнутый круг – иммунные расстройства усугубляются, туберкулёз прогрессирует, ещё больше угнетая иммунитет.
 Образуется замкнутый круг – иммунные расстройства усугубляются, туберкулёз прогрессирует, ещё больше угнетая иммунитет.
Первоначально патологический процесс локализуется в пределах одного сегмента. В зоне поражения нарушается микроциркуляция. В питающих лёгочную ткань сосудах формируются тромбы. Отсутствие должного кровоснабжения вызывает массовую гибель клеток – казеозный некроз.
Бронхогенным и лимфогематогенным путём микобактерии попадают в соседние сегменты, противоположное лёгкое, могут заноситься в другие органы и ткани. В течение 2-3 недель развивается распространённая туберкулёзная пневмония. При патоморфологическом исследовании обнаруживается обширное, чаще двустороннее поражение лёгких с характерными полостями распада неправильной формы, частично заполненными казеозными массами. В процесс вовлекается париетальная и висцеральная плевра. Образуются казеозные плевральные наложения.
     Классификация: Классификация тяжёлого казеозного поражения лёгочной паренхимы построена на основании патоморфологических изменений в повреждённой ткани. В зависимости от повреждения тех или иных анатомических структур различают следующие формы пневмонии с казеозным расплавлением лёгкого:
 В зависимости от повреждения тех или иных анатомических структур различают следующие формы пневмонии с казеозным расплавлением лёгкого:
Ацинозную — в патологический процесс одновременно вовлекается большое количество ацинусов – структурных единиц альвеолярной ткани. Нередко осложняет течение острого милиарного туберкулёза.
Лобулярную — поражаются дольки лёгкого. Казеозная лобулярная пневмония характеризуется наличием многочисленных, довольно крупных участков специфического некроза. Иногда развивается на фоне туберкулёзной диссеминации.
Лобарную — воспаление занимает всю лёгочную долю. Расплавление массивных участков казеоза приводит к образованию полостей деструкции. Обычно возникает как самостоятельная патология.
       Симптомы казеозной пневмонии. Заболевание начинается остро, реже подостро. Определяется повышение температуры до высоких фебрильных и гипертермических значений. Лихорадка гектического или неправильного типа со значительными колебаниями суточной температуры сопровождается ознобом, головной болью. Ярко выражены симптомы интоксикации. Резко снижается аппетит вплоть до полной анорексии. Пациенты ощущают значительную общую слабость, утомляемость. Нарушается сон. Беспокоят проливные ночные поты. Иногда клиническая картина в дебюте болезни напоминает начало острой респираторной инфекции. Больные жалуются на насморк, боли и першение в горле, ломоту в суставах, умеренную лихорадку.
 Ярко выражены симптомы интоксикации. Резко снижается аппетит вплоть до полной анорексии. Пациенты ощущают значительную общую слабость, утомляемость. Нарушается сон. Беспокоят проливные ночные поты. Иногда клиническая картина в дебюте болезни напоминает начало острой респираторной инфекции. Больные жалуются на насморк, боли и першение в горле, ломоту в суставах, умеренную лихорадку.
       Важными признаками казеозного поражения лёгких являются кашель и одышка. В начале болезни кашель сухой, небольшое количество слизистой мокроты отделяется с трудом. Нередко бронхиальный секрет приобретает ржавую окраску. Через 1-2 недели кашель становится продуктивным. К казеозному воспалению присоединяется неспецифическая микрофлора, что обуславливает выделение жёлто-зелёной гнойной мокроты. Изменяются проявления лихорадочного синдрома, отмечаются эпизоды ремиссии с нормальной или субфебрильной температурой тела. При этом общее состояние больного ухудшается. Нередко в этот период времени обнаруживается примесь крови в мокроте.
Выраженная одышка беспокоит пациента уже в первые дни заболевания. Она появляется при незначительной физической нагрузке и ещё больше усиливается по мере прогрессирования патологии. Затруднения дыхания сопровождаются болевым синдромом. Незначительные боли в грудной клетке становятся интенсивными при вовлечении плевры в процесс воспаления. Больной заметно худеет. Постепенно нарастает лёгочно-сердечная недостаточность.
     Осложнения. Казеозная пневмония в остром периоде часто осложняется кровохарканьем или лёгочным кровотечением. Массивное инфицирование на фоне иммунодефицита нередко приводит к инфекционно-токсическому шоку на первом этапе заболевания. Иногда возникает спонтанный пневмоторакс. В период регрессии на фоне консервативной терапии казеозная лобарная пневмония трансформируется в фиброзно-кавернозный туберкулёз лёгких. Из разнокалиберных полостей деструкции формируются каверны. Летальный исход наступает при несвоевременном обращении пациента за медицинской помощью, отсутствии лечения, тяжёлой иммуносупрессии. Основными причинами смерти являются острая недостаточность дыхания и кровообращения, массивное лёгочное кровотечение, инфекционно-токсический шок.
 Основными причинами смерти являются острая недостаточность дыхания и кровообращения, массивное лёгочное кровотечение, инфекционно-токсический шок.
Диагностика. Диагностировать казеозное поражение лёгкого в течение первой недели сложно, поскольку заболевание протекает под маской крупозной пневмонии, гриппа или септического состояния. Наличие туберкулёза любой локализации или контакта с бациллярным больным в анамнезе позволяют заподозрить специфический процесс. При осмотре пациента обращает на себя внимание бледность кожных покровов с лихорадочным румянцем на щеках, цианоз губ. Окончательный диагноз выставляется на основании физикальных данных. При перкуссии определяется притупление лёгочного звука в проекции инфильтрации. Аускультативно выслушивается бронхиальное дыхание, которое может быть амфорическим над крупной полостью распада. Отмечаются многочисленные влажные разнокалиберные хрипы.
     Методом лучевой диагностики. Лобарная казеозная пневмония на рентгенограмме лёгких представляет собой массивное затенение доли лёгкого с формирующимися полостями распада и смещением средостения в поражённую сторону. Характерно наличие бронхогенных очагов отсева в поражённом и противоположном лёгких. При лобулярном и ацинозном казеозе выявляются множественные очаги инфильтрации с тенденцией к слиянию и распаду.
 Характерно наличие бронхогенных очагов отсева в поражённом и противоположном лёгких. При лобулярном и ацинозном казеозе выявляются множественные очаги инфильтрации с тенденцией к слиянию и распаду.
При исследовании периферической крови наблюдается лейкоцитоз, палочкоядерный сдвиг лейкоцитарной формулы, лимфопения. Увеличиваются острофазовые показатели, выявляется гипоальбуминемия. Определяется повышенное содержание белка в моче.
Исследования мокроты. Обнаружение микобактерий в мокроте больного возможно только на второй неделе заболевания. Выполняется простая бактериоскопия по Цилю-Нильсену, посевы на жидкие и твёрдые среды, применяются методы экспресс-диагностики. Уточняется чувствительность к туберкулостатикам. Наличие туберкулёзной палочки в мокроте подтверждает диагноз.
     Кожные иммунодиагностические тесты (Проба Манту, Диаскинтест) малоинформативны для диагностики казеозного процесса из-за нарушения иммунного ответа. Результат исследования обычно является отрицательным или слабоположительным. При наличии тяжёлого имуннодепресивного состояния квантифероновый и тубинфероновый тесты могут не реагировать на туберкулёзную инфекцию.
 При наличии тяжёлого имуннодепресивного состояния квантифероновый и тубинфероновый тесты могут не реагировать на туберкулёзную инфекцию.
Лечение казеозной пневмонии. Этиотропная терапия туберкулостатическими препаратами назначается с учётом резистентности микобактерий к лекарственным средствам. Лечение двухэтапное. Интенсивная фаза химиотерапии проводится в условиях специализированного стационара. Используются дезинтоксикационные средства, антигипоксанты, иммуностимуляторы, кортикостероидные гормоны. Питание больного должно быть сбалансированным, высококалорийным. При наличии множественных или гигантских одиночных полостей деструкции рассматривается вопрос о хирургическом вмешательстве. При отсутствии противопоказаний выполняется резекция лёгкого. Лечение противотуберкулёзными препаратами в фазе продолжения производится длительно (до 24 месяцев) амбулаторно под контролем медицинских работников.
     Прогноз и профилактика. Прогноз при пневмонии специфического характера всегда серьёзный. Заболевание регрессирует с образованием плотных очагов приблизительно в 25% случаев. Такой процесс заживления является исходом ацинозного или лобулярного воспаления. Казеозные лобиты трансформируются в хронический фиброзно-кавернозный или цирротический туберкулёз лёгких. Длительное течение туберкулёзной инфекции постепенно приводит к формированию лёгочного сердца, возникновению амилоидоза и инвалидизации больного. Специфическая профилактика тяжёлых форм туберкулёза осуществляется путем вакцинации детей вакциной БЦЖ в декретивные сроки. К неспецифическим мероприятиям относятся соблюдение здорового образа жизни, полноценное питание, своевременные профилактические рентгено-флюорографические обследования. ВИЧ-инфицированным пациентам назначается превентивное лечение туберкулостатиками.
 Заболевание регрессирует с образованием плотных очагов приблизительно в 25% случаев. Такой процесс заживления является исходом ацинозного или лобулярного воспаления. Казеозные лобиты трансформируются в хронический фиброзно-кавернозный или цирротический туберкулёз лёгких. Длительное течение туберкулёзной инфекции постепенно приводит к формированию лёгочного сердца, возникновению амилоидоза и инвалидизации больного. Специфическая профилактика тяжёлых форм туберкулёза осуществляется путем вакцинации детей вакциной БЦЖ в декретивные сроки. К неспецифическим мероприятиям относятся соблюдение здорового образа жизни, полноценное питание, своевременные профилактические рентгено-флюорографические обследования. ВИЧ-инфицированным пациентам назначается превентивное лечение туберкулостатиками.
Врач фтизиатр ПТО
поликлиники №1
Иванов Владимир Петрович
ВИЧ-ИНФЕКЦИЯ И ВНЕБОЛЬНИЧНАЯ ПНЕВМОНИЯ. ПРИЧИНЫ СМЕРТИ | Бородулина
1. Белослудцева К.О. Особенности тяжелых негоспитальных пневмоний у ВИЧ-инфицированных больных // Медицинские перспективы. 2014. Т. 19, № 2. С. 53–60.
 Белослудцева К.О. Особенности тяжелых негоспитальных пневмоний у ВИЧ-инфицированных больных // Медицинские перспективы. 2014. Т. 19, № 2. С. 53–60.
2. Рассохин В.В. ВИЧ-инфекция и заболевания системы дыхания. Вирус иммунодефицита человека / Под ред. Н.А.Белякова, А.Г.Рахмановой // СПб.: Балтийский медицинский образовательный центр, 2011. С. 126–134.
3. An P., Penugonda S., Thorbal C.W. et al. Role of APOBEC3F Gene Variation in HIV-1 Disease Progression and Pneumocystis Pneumonia. PLoS Genet., 2016, Vol. 12, No. 3, pp. e1005921.
4. Agarwal R., Sriniva R., Nath A., Jindal S.K. Is the Mortality Higher in the Pulmonaryvs the Extrapulmonary ARDS? Chest., 2008, Vol. 133, No. 6, pp. 1463–1473.
5. Ласеева М.Г., Бочкаева М.В., Ермак Т.Н. Ошибки при диагностике вторичных поражений у больных ВИЧ-инфекцией // Инфекционные болезни. 2016. T. 14 (2). C. 61–64.
 Ласеева М.Г., Бочкаева М.В., Ермак Т.Н. Ошибки при диагностике вторичных поражений у больных ВИЧ-инфекцией // Инфекционные болезни. 2016. T. 14 (2). C. 61–64.
6. Куделя Л.М., Каширских В.Г., Балабанова Ю.В. Особенности течения пневмоцистной пневмонии у пациентов с ВИЧ-инфекцией // Journal of Siberian Medical Sciences. 2012. № 1. С. 15.
7. Леонова О.Н., Степанова Е.В., Беляков Н.А. Тяжелые и коморбидные состояния у больных с ВИЧ-инфекцией: анализ неблагоприятных исходов // ВИЧ-инфекция и иммуносупрессии. 2017. Т. 9, № 1. C. 55–64.
8. Ермак Т.Н. Современный портрет пневмоцистной пневмонии у больных ВИЧ-инфекцией // Успехи медицинской микологии. 2014. Т. 13. С. 245–246.
9. Пузырева Л. В., Сафонов А.Д., Мордык А.В. Особенности пневмоцистной пневмонии у ВИЧ-инфицированных лиц // Медицинский вестник Северного Кавказа. 2016. Т. 11, № 3. С. 489–495.
 В., Сафонов А.Д., Мордык А.В. Особенности пневмоцистной пневмонии у ВИЧ-инфицированных лиц // Медицинский вестник Северного Кавказа. 2016. Т. 11, № 3. С. 489–495.
10. Мусатов В.Б., Якубенко А.Л. Пневмоцистная пневмония как редкое клиническое проявление острой ВИЧ-инфекции // Журнал инфектологии. 2012. Т. 4, № 3. С. 109–111.
11. Михед Т.М., Красавцев Е.Л. Пневмоцистная пневмония у ВИЧ-инфицированных // Клиническая инфектология и паразитология. 2014. № 2 (9). С. 80–86.
12. Боровицкий В.С. Пневмоцистная пневмония, этиология, патогенез, клиника, дифференциальная диагностика, лечение (лекция) // Проблемы медицинской микологии. 2012. Т. 14, № 1. С. 13–20.
13. Борисова О.В., Агафонова О. В., Еременко Е.П., Бородулина Э.В. Особенности эпидемиологии ВИЧ-инфекции в современных условиях на примере г. Самара // Наука и инновации в медицине. 2017. Т. 1, № 2. С. 10–15.
 В., Еременко Е.П., Бородулина Э.В. Особенности эпидемиологии ВИЧ-инфекции в современных условиях на примере г. Самара // Наука и инновации в медицине. 2017. Т. 1, № 2. С. 10–15.
14. Сабитова Р.Я. Изменения иммунограммы и особенности клинических проявлений при тяжелой внебольничной пневмонии у ВИЧ-инфицированных // Практическая медицина. 2012. № 6 (61). С. 43–46.
15. Bregeon F. Diagnostic accuracy of protected catheter sampling in ventilator-associated bacterial pneumonia. Eur. Respir. J., 2010, Vol. 16, No. 5, pp. 969–975.
16. Chew K.W., Yen I.H., Li J.Z. et al. Predictors of pneumonia severity in HIV-infected adults admitted to an Urban public hospital. AIDS Patient Care STDS, 2011, Vol. 13, No. 5, pp. 273–277.
17. Хамитов Р.Ф., Мустафин И.Г., Чернова О.Л. Клинико-диагностические особенности пневмоний у наркозависимых пациентов в зависимости от сопутствующей патологии // Вестник современной клинической медицины. 2013. Т. 6, № 3. С. 16–20.
 Хамитов Р.Ф., Мустафин И.Г., Чернова О.Л. Клинико-диагностические особенности пневмоний у наркозависимых пациентов в зависимости от сопутствующей патологии // Вестник современной клинической медицины. 2013. Т. 6, № 3. С. 16–20.
18. Беляков Н.А., Рассохин В.В., Леонова О.Н., Степанова Е.В., Бобрешова А.С. Интегральная оценка тяжести состояния больного на фоне коморбидности при ВИЧ-инфекции // ВИЧ-инфекция и иммуносупрессии. 2017. Т. 9, № 3. C. 47–53.
19. Николенко В.В., Воробьева Н.Н., Николенко А.В., Окишев М.А. Клинические особенности течения внебольничных пневмоний, вызванных Streptococcus рneumoniaе и Staphylococcus aureus, у ВИЧ-инфицированных пациентов // Пермский медицинский журнал. 2016. Т. 33, № 5. С. 9–14.
20. Загидуллин Ш.З., Зулкарнеев Р.Х. , Фархутдинов У.Р., Азнабаева Ю.Г. и др. Анализ летальных исходов внебольничной пневмонии в республике Башкортостан в 2015 г. // XXV Национальный конгресс по болезням органов дыхания: сб. трудов. М., 2015. С. 156–157.
 , Фархутдинов У.Р., Азнабаева Ю.Г. и др. Анализ летальных исходов внебольничной пневмонии в республике Башкортостан в 2015 г. // XXV Национальный конгресс по болезням органов дыхания: сб. трудов. М., 2015. С. 156–157.
21. Зимина В.Н., Астафьев А.В. Внебольничные пневмонии у взрослых больных ВИЧ-инфекцией: особенности течения и лечения, профилактика // Пульмонология. 2016. Т. 26, № 4. С. 488–497.
22. Ватутин Н.Т., Колесников В.С., Тараторина А.А., Ещенко Е.В. и др. Особенности течения пневмонии у ВИЧ-инфицированных пациентов // Архив внутренней медицины. 2016. № 1 (27). С. 71–76.
23. Бородулин Б.Е., Черногаева Г.Ю., Бородулина Е.А., Поваляева Л.В., Виктор Н.Н. Факторы риска смерти пациентов с внебольничной пневмонией в современных условиях // Медицинский альманах. 2012. № 2. С. 34–36.
 2012. № 2. С. 34–36.
Туберкулез и микобактериальная пневмония — Консультант по терапии рака
Туберкулез и микобактериальная пневмония
I. Что нужно знать каждому врачу.
Во всем мире наиболее распространенной и заразной микобактериальной пневмонией является туберкулез легких (ТБ), от которого ежегодно умирают 2 миллиона человек. Большинство смертей происходит в странах с высоким бременем болезни, где ограниченный доступ к диагностическим тестам и эффективной противотуберкулезной терапии, но предотвратимые смерти от туберкулеза происходят в Соединенных Штатах каждый год.Это инфекционное заболевание, которое распространяется воздушно-капельным путем и поэтому представляет серьезную угрозу для здоровья населения во всем мире.
 Классические симптомы включают кашель, кровохарканье, усталость, потерю веса и ночную потливость, хотя атипичные проявления являются обычным явлением. Туберкулез также имеет тенденцию проявляться как хроническое вялотекущее заболевание легких или внелегочных узлов, и пациенты могут предъявлять острые жалобы или иметь активный туберкулез без симптомов.
 Туберкулез также имеет тенденцию проявляться как хроническое вялотекущее заболевание легких или внелегочных узлов, и пациенты могут предъявлять острые жалобы или иметь активный туберкулез без симптомов.
 В Соединенных Штатах туберкулез встречается редко, и его показатели снижаются при принятии более эффективных мер общественного здравоохранения.Диагностика является сложной задачей, и при проведении дифференциальной диагностики необходимо думать о ТБ. Самый важный фактор риска в Соединенных Штатах — это рождение или поездки в страны с высоким бременем болезни в Африке, Азии, Латинской Америке, Восточной Европе и на Ближнем Востоке. Шестьдесят шесть процентов случаев туберкулеза, зарегистрированных в Соединенных Штатах, приходятся на лиц, родившихся за границей, а годовые показатели среди лиц иностранного происхождения в 11 раз выше, чем среди жителей США. Среди рожденных в США дети родителей иностранного происхождения и пожилые взрослые, рожденные в США, подвержены повышенному риску заболевания туберкулезом. Лица, которым известно о контакте с инфекционным туберкулезом, злоупотреблением психоактивными веществами, бездомными и заключенными, также подвергаются повышенному риску заболевания туберкулезом.
 Лица, которым известно о контакте с инфекционным туберкулезом, злоупотреблением психоактивными веществами, бездомными и заключенными, также подвергаются повышенному риску заболевания туберкулезом.
В то время как заболеваемость туберкулезом в Соединенных Штатах снижается, частота заболеваний легких, вызванных нетуберкулезными микобактериями (НТМ), чаще всего комплексом Mycobacterium avium (MAC), растет. МАК обычно вызывает хронические пневмонии, часто с кавитацией и бронхоэктазами, но также может вызывать острый гиперчувствительный пневмонит.
Другие микобактерии, включая Mycobacteria kansasii, также могут вызывать хроническую пневмонию у людей с основным заболеванием легких, но здесь не рассматриваются.
II. Диагностическое подтверждение: Вы уверены, что у вашего пациента туберкулез / микобактериальная пневмония?
Ранний предположительный диагноз ТБ ставится на основании:
 Симптомы + рентгенологические данные + результаты мазка на кислотоустойчивые бациллы (КУБ) +/- гистология у пациента из группы высокого риска.
Посев мокроты является золотым стандартом диагностики, но обычно занимает от 2 до 6 недель, а 20% случаев туберкулеза являются отрицательными. Мазки на КУБ полезны, но имейте в виду, что до 50% пациентов с положительным посевом туберкулеза имеют отрицательные мазки, а внелегочный ТБ редко дает положительный результат мазка.Туберкулиновая кожная проба (ТКП) или анализ высвобождения гамма-интерферона (IGRA — анализ крови на туберкулез) может быть полезен только для определения риска инфицирования человека, но дает отрицательный результат у 15–30% пациентов с активным туберкулезом.
Это сложный диагноз, потому что: типичные симптомы могут отсутствовать, рентгенограмма грудной клетки может быть атипичной, мазок на КУБ может быть отрицательным. Наиболее важными факторами при принятии решения о лечении должны быть риск прогрессирующего заболевания пациента и риск передачи инфекции другим людям.
Диагноз НТМ-пневмония основан на:
 Легочные симптомы + рентгенологические данные + положительный результат мазка на кислотоустойчивые бациллы (+ амплификация нуклеиновых кислот) у пациента, не относящегося к группе высокого риска по ТБ. Посев мокроты — золотой стандарт диагностики.
 Посев мокроты — золотой стандарт диагностики.
A. История, часть I: Распознавание образов:
Наиболее частыми симптомами пациентов с туберкулезом, поступающих в стационар, являются: кашель, кровохарканье, боль в груди (плеврит), одышка, лихорадка, утомляемость, потеря веса.
Ничего из вышеперечисленного не встречается часто, кашель присутствует примерно у 20% пациентов.
У трети пациентов, у которых в больнице диагностирован туберкулез, НЕ появляются легочные симптомы, и перед случайным диагнозом туберкулеза легких проводится оценка других жалоб.
У пожилых пациентов (возраст> 60) с более коморбидными состояниями наблюдается меньшая температура, потоотделение и кровохарканье, что затрудняет диагностику туберкулеза легких в этой популяции.У них также, как правило, меньше кавитации на рентгенограмме и больше отрицательных PPD в условиях активной инфекции.
 Существует также предположение, что «атипичные» проявления туберкулеза легких, возможно, более распространены, чем типичные, и что «классические симптомы» продолжительной лихорадки и кашля являются нечувствительными предикторами туберкулеза. Это может зависеть от расы, поскольку азиаты обычно имеют менее типичные представления.
 Это может зависеть от расы, поскольку азиаты обычно имеют менее типичные представления.
Госпитализированный пациент с туберкулезом легких часто госпитализируется из-за нелегочных жалоб, и туберкулез становится предметом рассмотрения либо из-за значительного риска этого заболевания, либо из-за предполагаемого рентгенографического исследования.Например, пациенту с травмой из Африки к югу от Сахары была проведена компьютерная томография грудной клетки, показывающая кавитацию и историю лечения туберкулеза в детстве.
Пациенты с МАК часто имеют симптомы хронической пневмонии на фоне основного заболевания легких. «Легкое в горячей ванне» из-за МАК проявляется острой гипоксией, одышкой, кашлем и лихорадкой в условиях пребывания в горячей ванне.
B. История, часть 2: Распространенность:
Туберкулез — серьезная проблема во всем мире. По оценкам, одна треть населения мира (2 миллиарда человек) инфицирована туберкулезом.
 Уровень инфицирования в США низкий: 3 на 100 000 человек в 2014 г.
Поскольку туберкулез в Соединенных Штатах встречается редко, симптомы часто нетипичны, и диагностика может быть сложной задачей; самый важный ключ к диагностике туберкулеза — знать, кто находится в группе риска. Если вы сможете определить тех, кто находится в группе риска, ваша способность поставить этот диагноз улучшится.
Большинство случаев туберкулеза в США происходит у лиц, родившихся за границей.
Большинство этих случаев связано с реактивацией и чаще всего происходит в течение 5 лет после иммиграции.См. Рисунок 1.
Рисунок 1.
 Заболеваемость туберкулезом среди лиц, родившихся за границей, по сравнению с лицами, родившимися за границей, в США
Страны происхождения, на которые приходится большая часть туберкулеза в Соединенных Штатах: Мексика, Филиппины, Вьетнам, Индия, Китай, Доминиканская Республика и Гаити.
В статье NEJM 2011 г., подготовленной Хорсбургом и др. обсудили относительные риски различных факторов развития реактивированного туберкулеза:
- СПИД (относительное соотношение почти 10) 
- тесный контакт с больным туберкулезом 
- рентгенологические свидетельства старого, излеченного туберкулеза (нелеченого) 
- Иммуносупрессивная терапия (преднизон 15 мг в день или эквивалент в течение> 1 месяца) 
- хроническая болезнь почек 
- лечение ингибитором TNF-альфа 
- плохо контролируемый диабет 
- недостаточный вес (> 10% при идеальном весе) 
- курение 
- гастрэктомия (также, в текущей практике, обходной желудочный анастомоз) 
 См. Рисунок 2.
 Рисунок 2.
Рисунок 2.
Общие факторы риска повышенной вероятности прогрессирования латентной туберкулезной инфекции в активную болезнь.
Другие факторы риска, описанные в литературе:
- злокачественные новообразования (рак головы, шеи и гематологические) 
- глютеновая болезнь (может быть связана с недоеданием) 
- употребление алкоголя (> 40 г / день) 
- употребление запрещенных наркотиков (бездомность и тюремное заключение, часто связанное с внутривенным употреблением наркотиков (IVDU), могут способствовать высокой распространенности) 
История контакта также важна, особенно предыдущее лечение ТБ, что вызывает подозрение на ТБ с множественной лекарственной устойчивостью (МЛУ ТБ).
Таким образом, типичный пациент с легочным туберкулезом в Соединенных Штатах родился за границей или приехал в эндемичный регион +/- ВИЧ / с ослабленным иммунитетом, был бездомным или находился в заключении.
Между тем, с повышенной сенсибилизацией к NTM, МАК могут быть наиболее распространенными микобактериями, вызывающими заболевания легких в Северной Америке.
C. История, часть 3: конкурирующие диагнозы, которые могут имитировать туберкулез и микобактериальную пневмонию.
На основании представлений и результатов рентгенологического исследования туберкулез может имитировать различные пневмонии: типичные, атипичные, аспирационные.Его можно классически отличить от них на основании более продолжительных симптомов и более системных симптомов, таких как потеря веса и ночная потливость.
Часто туберкулезная и NTM пневмония имеют схожие клинические проявления с кавитацией и положительными мазками на КУБ, и их трудно отличить друг от друга. Тесты амплификации нуклеиновых кислот на основе ПЦР (NAAT) могут помочь различить эти два, но для окончательного диагноза необходимы культуры.
D. Результаты физикального осмотра.
Они разнообразны и нечувствительны. Пациенты могут иметь ненормальное обследование легких или другие проявления заболевания, такие как лимфаденопатия или признаки внелегочного заболевания.
E. Какие диагностические тесты следует провести?
Диагноз микобактериальной пневмонии трудно подтвердить из-за:
- частые атипичные симптомы (наиболее важен высокий индекс подозрительности) 
- Нетипичный рентгенологический вид 
- потенциально низкая микобактериальная нагрузка (мазки AFB нечувствительны) 
- Медленная скорость роста этой бактерии (подтверждение может занять 2 месяца) 
1.Какие лабораторные исследования (если таковые имеются) следует назначить для установления диагноза? Как следует интерпретировать результаты?
Если есть подозрение на туберкулез легких на основании факторов риска, наличия симптомов и / или рентгенографии (см. Ниже), получите следующее:
- Три образца мокроты для окрашивания кислотоустойчивых бацилл (КУБ), при необходимости индуцируют один образец ранним утром. 
- Отправьте одно окрашивание AFB для амплификации нуклеиновых кислот (NAA). 
- Отправьте все мазки КУБ на посев и тестирование на чувствительность (свяжитесь с лабораторией, чтобы хранить образцы в течение 2 месяцев). 
- Анализ высвобождения гамма-интерферона (тест Quantiferon-TB Gold) может использоваться для помощи в диагностике (положительный тест увеличивает подозрение на активный ТБ), но он чувствителен только на 60% и не должен использоваться для исключения активного ТБ. 
Золотым стандартом диагностики является культура. До 20% случаев туберкулеза легких являются отрицательными по культуре (посев может обнаружить 10 бактерий / мл). В зависимости от бактериальной нагрузки на посев могут уйти месяцы.
Устный перевод:
Ловушка: мазок на КУБ будет отрицательным, если содержание бацилл <5000 / мл -> это НЕ ИСКЛЮЧАЕТ заболевание.Чувствительность 45-80%. ППВ 50-80%.
Помните: решение о лечении может быть принято до того, как станут доступны подтверждающие данные, особенно если пациент находится в критическом состоянии. Самый важный фактор — это ваше подозрение на туберкулез.
Если есть подозрение на внелегочный туберкулез, также сделайте мазок на КУБ и посев из этих мест. При подозрении на туберкулез плевры или брюшины (при наличии выпота или асцита) следует провести биопсию, поскольку образцы жидкости имеют низкую чувствительность.
На основании только распространенности, у родившегося в США пациента с полостным поражением с положительным AFB и низким риском туберкулеза, вероятно, есть НТМ.
2. Какие визуализационные исследования (если таковые имеются) следует заказать, чтобы помочь установить диагноз? Как следует интерпретировать результаты?
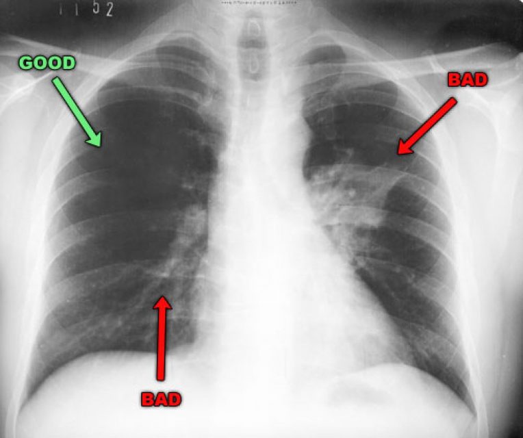
Рентгенография грудной клетки — это шаг в диагностическом подходе после того, как факторы риска и симптомы вызывают подозрение на микобактериальную пневмонию. С другой стороны, рентгенография может быть вашим первым ключом к пониманию туберкулеза. Классическая форма для реактивации туберкулеза:
Некоторые корпуса не имеют этого типичного вида. Инфильтраты могут быть двусторонними или милиарными.Кавитация — признак запущенной болезни. Люди с ВИЧ могут иметь внутригрудную лимфаденопатию.
Имейте в виду, что активный туберкулез легких нельзя отличить от неактивного заболевания только на основании рентгенографии (показания рентгенологического исследования, которые говорят о «фиброзе» или «рубцевании», не означают, что у пациента НЕТ активной формы заболевания).
Компьютерная томография (КТ) грудной клетки обычно не помогает в диагностике туберкулеза, однако может помочь в дальнейшей характеристике пневмонии NTM. MAC-пневмония часто имеет следующие признаки на HRCT:
Диагностические критерии MAC-пневмонии зависят от симптомов, характерных рентгенографических данных и исключения других диагнозов, а также подтверждения микробиологией.См. Таблицу на рисунке 3.
Рисунок 3.
Клинико-микробиологические критерии диагностики нетуберкулезной микобактериальной болезни легких.
См. Рисунок 4, рисунок 5 и рисунок 6.
Рисунок 4.
Туберкулез
Рисунок 5.
Милиарный туберкулез
Рисунок 6.
Поражение полости при туберкулезе
F. Чрезмерно используемые или «потраченные впустую» диагностические тесты, связанные с этим диагнозом.
Кожная проба на очищенное производное протеина (PPD) (также известная как кожная туберкулиновая проба) может быть не очень полезна при диагностике активного ТБ, хотя может помочь определить риск. Это:
- не чувствителен (пациенты с ослабленным иммунитетом могут не дать ответа) 
- неспецифический (может быть положительным из-за иммунизации БЦЖ / перенесенной инфекции и не указывает на активное заболевание) 
- не может различить сенсибилизацию TB и NTM 
Анализы высвобождения гамма-интерферона (IGRA) более специфичны для ТБ, но все же недостаточно чувствительны, чтобы исключить этот диагноз.IGRA (как и PPD) не являются тестом на активный туберкулез. Чаще всего они используются в амбулаторных условиях для скрининга лиц с высоким риском латентной инфекции туберкулеза. Тем не менее, если известно, что пациент является IGRA- или PPD-положительным, а рентгенограмма согласуется с паренхиматозными фиброзными поражениями, этот пациент, вероятно, заслуживает оценки с помощью окрашивания мокроты и посева на КУБ, даже если он бессимптомный.
III. Управление по умолчанию.
Первый шаг — определить, соответствует ли диагноз туберкулезу легких.На этом этапе у вас не будет всех диагностических данных.
Если ТБ:
- Изолировать при вентиляции с отрицательным давлением. 
- Соберите мокроту и другие образцы, подходящие для мазков и культур КУБ. 
- Обратитесь в департамент здравоохранения (даже если случай еще не подтвержден). 
- Начать курс с несколькими лекарствами (не экстренный, если пациент не в критическом состоянии), в идеале с помощью специалиста по инфекционным заболеваниям. 
- Если пациент ранее лечился от ТБ и родился за границей, вероятность МЛУ-ТБ составляет 10%, и решения о лечении следует принимать после консультации со специалистом по ТБ. 
Если NTB:
A. Непосредственное управление.
Немедленное лечение при подозрении на туберкулез легких — изоляция в помещении с отрицательным давлением для предотвращения передачи.
Туберкулез — болезнь, подлежащая регистрации. Вы обязаны сообщить об этом случае в Департамент общественного здравоохранения вашего района.Сообщайте о подозрении на ТБ, даже если мазок на КУБ отрицательный, когда пациент находится в группе значительного риска.
Начало противотуберкулезной терапии не является срочной проблемой, если только пациент не находится в критическом состоянии. Важно избегать приема фторхинолонов у пациентов, у которых есть подозрение на туберкулез и которые одновременно проходят лечение от пневмонии. Фторхинолоны обладают огромной активностью против туберкулеза и могут вызывать временные симптоматические, рентгенологические и микробиологические улучшения, что приводит к задержке постановки диагноза.
При туберкулезе легких начальная фаза терапии включает четыре противотуберкулезных средства для предотвращения индукции резистентности. Первоначальный режим основан на знании вероятной лекарственной чувствительности. Обычно это изониазид (INH), рифампицин (RIF), пиразинамид (PZA) и этамбутол (EMB). При подозрении на туберкулез с множественной лекарственной устойчивостью этот режим будет изменен. Если в вашем учреждении есть специалист по инфекционным заболеваниям, было бы разумно включить его в это дело до начала лечения.
Таблицу лечения наркотиками см. На Рисунке 7.
Рисунок 7.
Медикаментозное лечение туберкулеза
Пневмония
MAC не заразна, и пациентов изолировать не нужно. Лечение варьируется в зависимости от рентгенологических проявлений болезни и предшествующей истории болезни и включает макролид, рифамицин, этамбутол +/- аминогликозид.
См. Рисунок 8.
Рисунок 8.
Схемы лечения комплексного заболевания легких, вызванного Mycobacterium avium.
B. Советы по медицинскому осмотру для руководства.
Важно искать доказательства побочных реакций, которые могут привести к отмене препарата или пересмотру терапии:
- Признаки гепатотоксичности — желтуха, боли в животе, потеря аппетита, кожный зуд (INH, RIF, PZA). 
- Сыпь генерализованная или петехиальная. 
- Лекарственная лихорадка — сначала необходимо исключить другие причины лихорадки. 
- Глазная токсичность — при EMB может развиться помутнение зрения или скотома. 
C. Лабораторные тесты для отслеживания реакции и корректировок в управлении.
При начале лечения туберкулеза получить:
- КУБ и разрез мокроты с чувствительностью * 
- Функциональные пробы печени (LFT) * 
- Тесты на ВГС / ВГВ в группах высокого риска * 
- Креатинин 
- Антитела к ВИЧ 
* Также используется в NTB
КУБУ мокроты с посевом следует собирать ежемесячно, пока два последовательных образца не станут отрицательными.
Пациентам с нормальной функцией печени на исходном уровне не требуется рутинного последующего наблюдения LFT. Рекомендуется ежемесячно опрашивать на предмет признаков и симптомов гепатотоксичности.
Ежемесячный мониторинг печеночных ферментов необходим для пациентов с:
- исходные аномальные результаты 
- подозревается лекарственная реакция 
- Основное заболевание печени или злоупотребление алкоголем 
- беременность и послеродовой период до 3 месяцев 
- терапия, включая PZA в фазе продолжения 
Д.Долгосрочное управление.
В случае туберкулеза эта часть управления не будет осуществляться в больнице, и решения, касающиеся лечения, должны приниматься совместно с местным отделом общественного здравоохранения и хорошо осведомленным специалистом по инфекционным заболеваниям или пульмонологом.
После начальной фазы терапии начнется фаза продолжения. Эта фаза длится 4-7 месяцев и обычно основана на INH и RIF. Продолжительность лечения зависит от очистки респираторных культур, перерывов в терапии, наличия кавитации на рентгенограмме, а также от того, переносил ли пациент все компоненты начальной фазы.
В целях обеспечения максимальной приверженности лечению стратегия ВОЗ по ликвидации туберкулеза заключается в терапии под непосредственным наблюдением (DOT), во время которой пациенты наблюдаются во время приема лекарств.
НТБ еще сложнее лечить, чем туберкулез легких. Продолжительность лечения составляет 12 месяцев после того, как посевы стали отрицательными.
E. Распространенные ошибки и побочные эффекты управления.
Лекарства от легочного туберкулеза (схемы лечения основаны на безжировой массе тела):
На рисунке 9 показаны побочные эффекты противотуберкулезных препаратов.
Рисунок 9.
Побочные эффекты противотуберкулезных препаратов
Агенты первой линии:
Изониазид (INH) * — 5 мг / кг / день, 300 мг в день
Рифампицин (RIF) — 10 мг / кг / день, 600 мг в день, корректировать с помощью лекарств от ВИЧ
Рифабутин — 5 мг / кг / сут, 300 мг / сут
Рифапентин 600 мг еженедельно (только в фазе продолжения)
Пиразинамид (ПЗА) — 1 г / кг для 40-55 кг, 1,5 г / кг для 56-75 кг, 2 г / кг для 76-90 кг
Этамбутол (EMB) — 0.8 г / кг для 40-55 кг, 1,2 г / кг для 56-75 кг, 1,6 г / кг для 76-90 кг
Агенты второй линии:
Амикацин — 15 мг / кг / день, 10 мг / кг / день для людей старше 59 лет
Капреомицин — 15 мг / кг / день, 10 мг / кг / день для людей старше 59 лет
Циклосерин * — 10-15 мг / кг / день, 250 мг два раза в день (почечная недостаточность 250 ежедневно)
Этионамид * — 15-20 мг / кг / день, обычно 500-750 мг в день
Канамицин — 15 мг / кг / день, 10 мг / кг / день для людей старше 59 лет
Левофлоксацин — 500-1000 мг в сутки
Моксифлоксацин — 400 мг в сутки
Пара-аминосалицилат (ПАСК) — 8-12 г в день, разделенных на 2-3 приема
Другие редко используемые агенты, которые показали активность против ТБ in vitro: амоксициллин / клавуланат, клофазимин, имипенем / циластатин, линезолид, офлоксацин
* требуется совместная обработка с B6
Лекарства от пневмонии MAC:
Кларитромицин — 100 мг трижды в неделю (100 мг в день при полостном / запущенном заболевании)
Азитромицин — 500 мг трижды в неделю (300 мг в день при полостном / запущенном заболевании)
Этамбутол — 25 мг / кг трижды в неделю (15 мг / кг ежедневно при полостном / запущенном заболевании)
Рифампицин — 600 мг трижды в неделю (600 мг в день при полостном / запущенном заболевании)
Стрептомицин — 15 мг / кг внутривенно / внутримышечно ежедневно (только для полостного / запущенного заболевания)
IV.Лечение сопутствующих заболеваний.
НЕТ
A. Почечная недостаточность.
Для CrCl <30:
1. Снизить дозу до 2-3 раз в неделю: ПЗА, ЭМБ, амикацин, капреомицин, канамицин, левофлоксацин
2. Доза, уменьшенная вдвое: рифабутин 150 мг в день, циклосерин 250 мг в день
B. Печеночная недостаточность.
Как правило, изменений в дозировке нет. Однако, поскольку несколько лекарств (INH, RIF, PZA) являются гепатотоксичными, пациенты с печеночной недостаточностью должны ежемесячно получать профиль функции печени.Остальных пациентов следует ежемесячно опрашивать о симптомах гепатита.
C. Систолическая и диастолическая сердечная недостаточность.
Без изменений в стандартном управлении.
D. Заболевание коронарной артерии или заболевание периферических сосудов.
Без изменений в стандартном управлении.
E. Диабет или другие эндокринные проблемы.
Без изменений в стандартном ведении, хотя следует отметить, что пациенты с диабетом часто дольше сохраняют положительный посев.
F. Злокачественность.
Без изменений в стандартном управлении.
G. Иммуносупрессия (ВИЧ, хронические стероиды и т. Д.)
Это сложный вопрос, и его полное обсуждение выходит за рамки данной главы. ВИЧ-инфицированных лиц с туберкулезом легких должен вести специалист по ВИЧ, если таковой имеется.
ВОЗ рекомендует всем пациентам с ВИЧ, у которых также есть ТБ, начать антиретровирусную терапию (АРТ), независимо от числа лимфоцитов CD4.
Между различными схемами АРТ и противотуберкулезными схемами существует множество лекарственных взаимодействий.И рифампицин, и рифабутин индуцируют ферменты CYP3A4 и ускоряют метаболизм ингибиторов протеазы (ИП) и некоторых ненуклеозидных ингибиторов обратной транскриптазы (ННИОТ). Рифампицин является гораздо более мощным индуктором, поэтому предпочтительны схемы на основе рифабутина.
Пиридоксин необходим пациентам с ВИЧ, принимающим изониазид, для предотвращения периферической невропатии.
H. Первичное заболевание легких (ХОБЛ, астма, ILD).
Без изменений в стандартном управлении.
I. Проблемы с желудочно-кишечным трактом или питанием.
Без изменений в стандартном управлении.
J. Проблемы гематологии или коагуляции.
Без изменений в стандартном управлении.
K. Деменция или психическое заболевание / Лечение.
Без изменений в стандартном управлении.
V. Переходы опеки.
A. Рекомендации по выходу из системы во время госпитализации.
Нет особых соображений. Смотрители должны носить подходящую маску из утконоса при осмотре пациента, если у него туберкулез.
Б.Ожидаемая продолжительность пребывания.
Продолжительность пребывания часто зависит от социального положения пациента. Диагностическая оценка и лечение туберкулеза могут проводиться в амбулаторных условиях, если обстоятельства благоприятны. Основная проблема — заразность. Большинству пациентов можно посоветовать оставаться дома без посетителей и без контакта с маленькими детьми. Если существует риск для здоровья населения, персонал общественного здравоохранения должен оценить ситуацию, пока пациент госпитализирован в изоляцию с отрицательным давлением.
C. Когда пациент готов к выписке.
Больной туберкулезом готов к выписке, если он соответствует всем следующим критериям:
- Они могут изолировать себя дома без угрозы для здоровья населения (если это невозможно, госпитализировать в палату отрицательного давления до отрицательного результата AFB) 
- Департамент общественного здравоохранения осведомлен о пациенте, поэтому лечение под непосредственным наблюдением можно продолжить, и назначено последующее наблюдение 
Пациенты с НТБ могут быть выписаны, если у них есть установленный план лечения, план последующего наблюдения и они могут ходить.
D. Организация последующего наблюдения в клинике.
Департамент общественного здравоохранения будет играть важную роль в наблюдении за пациентами с легочным туберкулезом.
1. Когда и с кем следует организовать наблюдение в клинике.
Департамент общественного здравоохранения должен быть предупрежден о выписке пациента.
Последующее наблюдение у первичного звена или, желательно, у специалиста по инфекционным заболеваниям должно быть запланировано в течение месяца, если возможно, и для ТБ, и для НТБ.
2. Какие анализы необходимо провести перед выпиской, чтобы лучше всего было приехать в клинику.
Убедитесь, что мокрота отправлена на посев и определение чувствительности. Все базовые тесты, перечисленные выше.
3. Какие анализы следует заказать амбулаторно до или в день посещения клиники.
- Мокрота на КУБ и посев через 1 месяц 
- Функциональные пробы печени, если основное заболевание печени, употребление алкоголя или исходные отклонения от нормы LFT, креатинин, если исходный уровень ХБП 
E. Условия размещения.
Размещение обычно не рассматривается.
F. Прогноз и консультирование пациентов.
Туберкулез — заболевание, которое поддается лечению. Лечение и профилактика резистентности зависит от приверженности, и ДОТ увеличивает показатели завершения лечения с 61% до 90%. Возможен рецидив.
Пациентам следует посоветовать избегать контактов с другими людьми, оставаться дома и избегать посещений с маленькими детьми. Любой ценой пациенты должны знать, что пропущенные дозы могут вызвать резистентность и отсутствие лечения. Следует подчеркнуть правильное питание.
Пневмония
MAC также является излечимым заболеванием, но лечить его значительно сложнее, чем легочный туберкулез. Семьдесят процентов пациентов с внеполостными заболеваниями могут вылечиться. Показатели излечения от полостной болезни могут составлять только 20-50%. Приверженность к лечению снова является ключевым фактором из-за высокой устойчивости.
«Легкое горячей ванны» имеет отличный прогноз после прекращения использования горячей ванны.
VI. Безопасность пациентов и меры качества.
A. Стандарты и документация по основным показателям.
Нет согласно JCAHO.Плата за общественное здравоохранение заключается в лечении болезней и предотвращении передачи.
B. Надлежащая профилактика и другие меры для предотвращения реадмиссии
Если у пациента в анамнезе есть IVDU / ВИЧ, но нет доказательств вирусного гепатита, подходят вакцины против гепатита A и гепатита B.
VII. Какие доказательства?
Барнс, ПФ. «Рентгенограмма грудной клетки при туберкулезе легких. Новые данные по старому тесту ». . об. 94. 1988. pp. 316-20.
Blumberg, HM.«Обновленная информация о лечении туберкулеза и латентной туберкулезной инфекции». . об. 293. 2005. С. 2776-84.
Хорсбург, CR. «Скрытая туберкулезная инфекция в США». . об. 364. 2011. С. 1441-8.
Хорсбург, CR. «Приоритеты лечения латентной туберкулезной инфекции в США». . об. 350. 2004. С. 2060-7.
Каспербауэр, SH, Дейли, CL. «Диагностика и лечение инфекций, вызванных комплексом Mycobacterium avium».. об. 29. 2008. С. 569-76.
Миллер, LG. «Обследование симптомов туберкулеза среди населения: насколько атипичны атипичные проявления». . об. 30. 2000. pp. 293-9.
Алимуддин, Зумла, Марио, Равильоне, Рихард, Хафнер, Фордхам фон Рейн, C. N Engl J Med. об. 368. 2013. С. 745-755.
Роберт Хорсбург, К., Барри, Клифтон Э, Кристоф, Ланге. N Engl J Med. об. 373. 2015. С. 2149–2160.
Деван, ПК. «Низкая чувствительность анализа высвобождения гамма-интерферона из цельной крови для выявления активного туберкулеза». Clin. Заразить. Дис. об. 44. 2007. С. 69–73. (В этой статье рассматривается полезность и недостаток использования квантиферонового теста для госпитализированных пациентов с риском туберкулеза.)
Copyright © 2017, 2013 ООО «Поддержка принятия решений в медицине». Все права защищены.
Ни один спонсор или рекламодатель не участвовал, не одобрял и не платил за контент, предоставляемый Decision Support in Medicine LLC.Лицензионный контент является собственностью DSM и защищен авторским правом.
Туберкулезная пневмония | QJM: Международный медицинский журнал
68-летний мужчина с историей хронического злоупотребления алкоголем, поступивший в отделение неотложной помощи с 3-недельной историей лихорадки, кашля и необъяснимой потери веса. Пациент был безработным в течение последних 2 лет и получал государственную помощь. Он никогда не получал иммуносупрессивное лечение, был серологически отрицательным на вирус иммунодефицита человека (ВИЧ) и гепатит, и у него не было семейного анамнеза туберкулеза.Рентгенограмма грудной клетки показала очевидную консолидацию с множественными полостными поражениями правой верхней доли (рис. 1А). Хотя пациенту предварительно назначили ампициллин-сульбактам, симптомы ухудшились. Компьютерная томография с высоким разрешением показала массивную альвеолярную инфильтрацию и диффузные мелкие и большие множественные полости правой верхней доли (рис. 1B). Окрашивание по Цилю – Нильсену жидкости бронхоальвеолярного лаважа выявило кислотоустойчивые бациллы, а тест с полимеразной цепной реакцией дал положительные результаты для Mycobacterium tuberculosis .Впоследствии в посеве мокроты выросло M. tuberculosis . На основании клинических и бактериологических данных у пациента диагностирована острая туберкулезная пневмония. Острая туберкулезная пневмония — редкая клиническая форма туберкулеза легких, очень напоминающая бактериальную пневмонию; таким образом, окончательный диагноз обычно откладывается в больнице. 1 , 2 В частности, среди пациентов с синдромом приобретенного иммунодефицита часто сообщается об острой туберкулезной пневмонии. 3 (СПИД).Туберкулез стал редким заболеванием в развитых странах; однако частота сочетанной инфекции туберкулезом и ВИЧ / СПИДом растет. Если у пациента имеется пневмония, не поддающаяся лечению антибиотиками, следует рассмотреть возможность дифференциального диагноза острой туберкулезной пневмонии и обследовать пациента на ВИЧ-инфекцию.
Рис. 1
( A ) Рентгенограмма грудной клетки выявила явное уплотнение с множественными полостными поражениями правой верхней доли.( B ) HRCT показала массивную альвеолярную инфильтрацию и диффузные мелкие и большие множественные полости правой верхней доли.
Рис. 1
( A ) Рентгенограмма грудной клетки выявила явное уплотнение с полнополостными поражениями правой верхней доли. ( B ) HRCT показала массивную альвеолярную инфильтрацию и диффузные мелкие и большие множественные полости правой верхней доли.
Конфликт интересов: Не объявлен.
Список литературы
1
Lee
CH
,
Lee
MC
,
Shu
CC
,
Lim
CS
,
Wang
JY
,
Lee
и др.
Факторы риска туберкулеза легких у пациентов с хронической обструктивной болезнью дыхательных путей на Тайване: общенациональное когортное исследование
.
BMC Infect Dis
2013
;
13
:
194
,2
Рагхавендра
R
,
Рама
B
,
Нитин
B
,
Savio
DS
,
C. Venkata
Острая двусторонняя туберкулезная пневмония у больного системной красной волчанкой
.
J Clin Diagn Res
2016
;
10
:
13
—
4
.3
Moreira
J
,
Fochesatto
JB
,
Moreira
AL
,
Pereira
M
M
,
M
, Hochhegger
B.
Туберкулезная пневмония: исследование 59 микробиологически подтвержденных случаев
.
J Bras Pneumol
2011
;
37
:
232
—
7
.
© Автор, 2017. Опубликовано Oxford University Press от имени Ассоциации врачей. Все права защищены. Для получения разрешений обращайтесь по электронной почте: [email protected]
.
Как рентгенологические данные позволяют отличить первичный туберкулез (ТБ) от реактивационного ТБ?
Автор
Thomas E Herchline, MD Профессор медицины, Государственный университет Райта, Медицинская школа Буншофт; Медицинский консультант, Общественное здравоохранение, Туберкулезная клиника округа Дейтон и Монтгомери (Огайо)
Томас Э. Херклайн, доктор медицинских наук, является членом следующих медицинских обществ: Alpha Omega Alpha, Американского общества инфекционных болезней, Общества инфекционных болезней Огайо
Раскрытие информации: Нечего раскрывать.
Соавтор (ы)
Джудит К. Амороса, доктор медицины, FACR Клинический профессор радиологии и заместитель председателя по развитию преподавательского состава и медицинского образования, Медицинская школа Рутгерса Роберта Вуда Джонсона
Джудит К. Амороса, доктор медицины, FACR является членом следующих медицинских обществ: Американский колледж радиологии, Американское общество рентгеновских лучей, Ассоциация университетских радиологов, Радиологическое общество Северной Америки, Общество торакальной радиологии
Раскрытие: Ничего не разглашать.
Главный редактор
Майкл Стюарт Бронз, доктор медицины Дэвид Росс Бойд Профессор и председатель медицинского факультета, кафедра внутренней медицины, кафедра медицины, Научный центр здравоохранения Университета Оклахомы; Магистр Американского колледжа врачей; Научный сотрудник Американского общества инфекционных болезней; Член Королевского колледжа врачей, Лондон
Майкл Стюарт Бронз, доктор медицины, является членом следующих медицинских обществ: Alpha Omega Alpha, Американский колледж врачей, Американская медицинская ассоциация, Ассоциация профессоров медицины, Общество инфекционных болезней Америки, Государственная медицинская ассоциация штата Оклахома, Южное общество клинических исследований
Раскрытие информации: нечего раскрывать.
Благодарности
Эрика Банг Медицинский центр Медицинского центра Университета штата Нью-Йорк (штат Нью-Йорк)
Раскрытие: Ничего не раскрывать.
Дайана Брейнард, MD Консультант, Отделение инфекционных заболеваний, Массачусетская больница общего профиля
Раскрытие: Ничего не раскрывать.
Памела С. Чавис, доктор медицины Профессор кафедры офтальмологии и неврологии Медицинского университета Южной Каролины, Медицинский колледж
Памела С. Чавис, доктор медицины, является членом следующих медицинских обществ: Американской академии неврологии, Американской академии офтальмологии и Североамериканского общества нейроофтальмологов
Раскрытие: Ничего не раскрывать.
Дирк М. Элстон, доктор медицины Директор, Академия дерматопатологии Акермана, Нью-Йорк,
Дирк М. Элстон, доктор медицины, является членом следующих медицинских обществ: Американская академия дерматологии
Раскрытие: Ничего не раскрывать.
Теодор Дж. Гаэта, DO, MPH, FACEP Доцент кафедры неотложной медицины, Медицинский колледж Вейл Корнелл; Заместитель председателя и программный директор резидентуры по неотложной медицине, Департамент неотложной медицины, Методистская больница Нью-Йорка; Научный руководитель, адъюнкт-профессор кафедры неотложной медицины, медицинский факультет Университета Святого Георгия
Теодор Дж. Гаэта, DO, MPH, FACEP является членом следующих медицинских обществ: Альянса клинического образования, Американского колледжа врачей неотложной помощи, руководителей отделов неотложной медицины, Совета директоров резидентур по неотложной медицине, Нью-Йоркской медицинской академии и Общество академической неотложной медицинской помощи
Раскрытие: Ничего не раскрывать.
Аарон Глатт, доктор медицины Профессор клинической медицины Нью-Йоркского медицинского колледжа; Президент и генеральный директор, бывший главный врач отделения медицины и инфекционных заболеваний больницы Святого Иосифа (ранее — больница Нью-Айленд)
Аарон Глатт, доктор медицины, является членом следующих медицинских обществ: Американского колледжа грудных врачей, Американского колледжа врачей, Американского колледжа врачей, Американского колледжа врачей-Американского общества внутренней медицины, Американской медицинской ассоциации, Американского общества микробиологии. , Американское торакальное общество, Американская ассоциация венерических болезней, Американское общество инфекционных заболеваний, Международное общество по СПИДу и Общество здравоохранения и эпидемиологии Америки
Раскрытие: Ничего не раскрывать.
Саймон К. Лоу, доктор медицины, фармацевт Клинический профессор медицинских наук, кафедра офтальмологии, Глазной институт Жюля Стейна, Калифорнийский университет, Лос-Анджелес, медицинская школа Дэвида Геффена
Саймон К. Лоу, доктор медицинских наук, фармацевт, является членом следующих медицинских обществ: Американской академии офтальмологии, Американского общества глаукомы и Ассоциации исследований в области зрения и офтальмологии
Раскрытие: Ничего не раскрывать.
Джон М. Лидом, доктор медицины Почетный профессор медицины Медицинской школы им. Кека Университета Южной Калифорнии
Джон М. Лидом, доктор медицинских наук, является членом следующих медицинских обществ: Alpha Omega Alpha, Американский колледж врачей — Американское общество внутренней медицины, Американское общество микробиологии, Американское общество инфекционных болезней, Международное общество по СПИДу и Phi Beta Kappa
.
Раскрытие: Ничего не раскрывать.
Джеймс Ли, доктор медицины Бывший доцент отделения неотложной медицины Гарвардской медицинской школы; Совет директоров Remote Medicine
Раскрытие: Ничего не раскрывать.
Джеффри Мефферт, доктор медицины Ассистент клинического профессора дерматологии, Школа медицины Техасского университета в Сан-Антонио
Джеффри Мефферт, доктор медицины, является членом следующих медицинских обществ: Американской академии дерматологии, Американской медицинской ассоциации, Ассоциации военных дерматологов и Техасского дерматологического общества
.
Раскрытие: Ничего не раскрывать.
Монте С. Мельцер, доктор медицины Руководитель дерматологической службы, госпиталь Юнион Мемориал
Монте С. Мельцер, доктор медицины, является членом следующих медицинских обществ: Alpha Omega Alpha и Американской академии дерматологии
Раскрытие: Ничего не раскрывать.
Susannah K Mistr, MD Врач-ординатор, отделение офтальмологии, Медицинский центр Университета Мэриленда
Сюзанна К. Мистр, доктор медицины, является членом следующих медицинских обществ: Американской академии офтальмологии, Американского колледжа хирургов, Американской медицинской ассоциации, Американской ассоциации студентов-медиков / фонда, Американского общества катарактальной и рефракционной хирургии и Медицинской ассоциации Южной Каролины
.
Раскрытие: Ничего не раскрывать.
Кэрол Нейси, доктор философии Адъюнкт-профессор, факультет биологии, Католический университет Америки; Адъюнкт-профессор кафедры тропической медицины и микробиологии, Университет Джорджа Вашингтона
Кэрол Нэйси, доктор философии, является членом следующих медицинских обществ: Американской академии микробиологии и Американского общества микробиологии
Раскрытие информации: Sequella, Inc. Доля собственности Занятость; Sequella, Inc. Инвестор, дающий право собственности
J James Rowsey, MD Бывший директор отдела обслуживания роговицы, Институт катаракты и лазера Св. Луки
Джей Джеймс Роузи, доктор медицины, является членом следующих медицинских обществ: Американской академии офтальмологии, Американской ассоциации развития науки, Американской медицинской ассоциации, Ассоциации исследований в области зрения и офтальмологии, Флоридской медицинской ассоциации, Панамериканской ассоциации офтальмологов. , Sigma Xi и Южная медицинская ассоциация
Раскрытие: Ничего не раскрывать.
Hampton Roy Sr, MD Доцент кафедры офтальмологии Медицинского университета Арканзаса
Хэмптон Рой-старший, доктор медицины, является членом следующих медицинских обществ: Американской академии офтальмологии, Американского колледжа хирургов и Панамериканской ассоциации офтальмологов
Раскрытие: Ничего не раскрывать.
Джон Д. Шеппард-младший, доктор медицины, MMSc Профессор офтальмологии, микробиологии и молекулярной биологии, клинический директор, Центр глазной фармакологии Томаса Р. Ли, директор исследовательской программы ординатуры офтальмологии Медицинской школы Восточной Вирджинии; Президент, Virginia Eye Consultants
Джон Д. Шеппард-младший, доктор медицины, MMSc является членом следующих медицинских обществ: Американской академии офтальмологии, Американского общества микробиологов, Американского общества катарактальной и рефракционной хирургии, Американского общества увеитов и Ассоциации исследований в области зрения и офтальмологии
Раскрытие: Ничего не раскрывать.
Ричард Х. Синерт, DO Профессор экстренной медицины, клинический доцент медицины, директор по исследованиям Медицинского колледжа Государственного университета Нью-Йорка; Консультант, Отделение неотложной медицины, Больничный центр округа Кингс
Ричард Х. Синерт, доктор медицинских наук, является членом следующих медицинских обществ: Американского колледжа врачей и Общества академической неотложной медицины
Раскрытие: Ничего не раскрывать.
Франсиско Талавера, фармацевт, доктор философии Адъюнкт-профессор, Фармацевтический колледж Медицинского центра Университета Небраски; Главный редактор Medscape Drug Reference
Раскрытие информации: Medscape Salary Employment
Кейт Цанг, доктор медицины Врач-резидент, клинический ассистент инструктора, отделение неотложной медицины, Государственный университет Нью-Йорка, нижний штат Нью-Йорк, больница округа Кингс
Кейт Цанг, доктор медицинских наук, является членом следующих медицинских обществ: Американского колледжа врачей неотложной помощи, Ассоциации резидентов неотложной медицины и Общества академической неотложной медицины
Раскрытие: Ничего не раскрывать.
Шьям Верма, MBBS, DVD, FAAD Клинический адъюнкт-профессор кафедры дерматологии Университета Вирджинии; Адъюнкт-профессор кафедры дерматологии Государственного университета Нью-Йорка в Стоунибруке, адъюнкт-профессор кафедры дерматологии Пенсильванского университета
Шьям Верма, MBBS, DVD, FAAD является членом следующих медицинских обществ: Американская академия дерматологии
Раскрытие: Ничего не раскрывать.
Ричард П. Винсон, доктор медицины Ассистент клинического профессора, кафедра дерматологии, Центр медицинских наук Техасского технического университета, Медицинская школа Пола Л. Фостера; Консультант, Дерматология Маунтин-Вью, PA
Ричард П. Винсон, доктор медицины, является членом следующих медицинских обществ: Американской академии дерматологии, Ассоциации военных дерматологов, Техасского дерматологического общества и Техасской медицинской ассоциации
.
Раскрытие: Ничего не раскрывать.
Эрик Л. Вайс, доктор медицины, DTM и H Медицинский директор, Управление непрерывности обслуживания и планирования на случай стихийных бедствий, директор по стипендии, Стипендия по медицине стихийных бедствий Медицинского центра Стэнфордского университета, председатель SUMC и LPCH Целевая группа по биотерроризму и готовности к чрезвычайным ситуациям, младший клинический исследователь, Департамент Хирургия (неотложная медицина), Медицинский центр Стэнфордского университета
Eric L Weiss, MD, DTM & H является членом следующих медицинских обществ: Американского колледжа врачей скорой помощи, Американского колледжа медицины труда и окружающей среды, Американской медицинской ассоциации, Американского общества тропической медицины и гигиены, Врачи за социальную ответственность, Southeastern Surgical Конгресс, Южная ассоциация онкологии, Южное клиническое неврологическое общество и Общество дикой медицины
Раскрытие: Ничего не раскрывать.
Эмфизема, пневмония, туберкулез и другие болезни легких —
<< Вернуться к ресурсам по заболеваниям легких
(ЯНВАРЬ 2014 г.) Ряд заболеваний отрицательно влияет на функцию легких. Некоторые напрямую воздействуют на дыхательные пути или ткани легких, в то время как другие препятствуют нормальному дыханию, трансформируя структуры вокруг легких. Вместе они представляют собой одни из наиболее распространенных заболеваний в США. Причины варьируются от генетики и инфекций до влияния окружающей среды и курения.
ЗАБОЛЕВАНИЯ ЛЕГКИХ, ВЛИЯЮЩИЕ НА ВОЗДУШНЫЕ МЕШКИ (ALVEOLI)
После того, как дыхание проходит через дыхательные пути в легкие, оно в конечном итоге разветвляется на крошечные трубки, называемые бронхиолами, которые доставляют воздух в маленькие воздушные мешочки, называемые альвеолами, стенки которых представляют собой всего одну ячейка толстая. Эти мешочки составляют большую часть поверхности легких, через которую происходит обмен кислорода и углекислого газа. Заболевания, которые могут поражать воздушные мешочки, включают:
Эмфизема
Эмфизема вызывается постепенной потерей воздушных мешочков в легких.Эта потеря приводит к уменьшению площади поверхности для поглощения кислорода, вызывая постоянную одышку. По мере того, как это прогрессирует, нарушения в структуре воздушных мешков также затрудняют выдыхание воздуха при выдохе. Курение — основная причина этого заболевания.
Пневмония
Пневмония — это инфекция воздушных мешков, обычно вызываемая бактериями. Симптомы, включая отхаркивание слизи, боль в груди и одышку, являются обычными и могут быстро проявиться. Люди с большей вероятностью заболеют пневмонией, выздоравливая после простуды или гриппа, поскольку способность легких бороться с инфекцией находится под угрозой.Точно так же люди с астмой, раком, сердечными заболеваниями или диабетом более подвержены пневмонии.
Туберкулез (ТБ)
Туберкулез — это инфекция, вызываемая бактериями Mycobacterium tuberculosis. Хотя он может заразить любую часть тела, чаще всего он находится в легких. Попадая в легкие, он вызывает симптомы, похожие на медленно прогрессирующую пневмонию. Он разрушает связи между воздушными мешочками, что приводит к эмфиземе. Туберкулез — это инфекционное заболевание, которое может передаваться от одного человека к другому.
Отек легких
Отек легких вызывается избытком жидкости в легких. Жидкость просачивается из мелких кровеносных сосудов в легких в воздушные мешочки и окружающую их область. Избыток жидкости затрудняет дыхание. Проблемы с сердцем являются наиболее частой причиной отека легких, но также могут возникать в результате воздействия определенных токсинов, травмы легких или большого возвышения.
Синдром острого респираторного дистресса (ОРДС)
ОРДС обычно возникает у пациентов, которые уже находятся в критическом состоянии или получили серьезные травмы.Как и отек легких, в легких скапливается излишняя жидкость, что затрудняет дыхание. Симптомы обычно возникают в течение нескольких дней после первоначального заболевания или травмы. Поддержание жизни с вентиляцией обычно необходимо пациенту, чтобы выжить, пока легкие восстанавливаются.
Пневмокониоз (болезнь черных легких)
Заболевание черных легких также известно как пневмокониоз угольных рабочих. Стенки воздушных мешков воспаляются от вдыхания пыли (вероятно, угольной пыли). Это создает рубцы, которые укрепляют легкие и мешают правильному вдоху и выдоху.Одышка и хронический кашель — наиболее частые симптомы.
Людям с заболеваниями легких или любым серьезным текущим заболеванием следует подумать о ношении браслета с медицинским предупреждением, чтобы предоставить важную информацию службам быстрого реагирования в случае опасности.
ЧИТАЙТЕ ТАКЖЕ:
Типы и причины заболеваний легких — Заболевания, поражающие дыхательные пути
Типы и причины заболеваний легких — Заболевания других тканей
Различия и сходства пневмонии и туберкулеза
Другие курсовые работы: 1 — A | B | C | D | E | F | G | H | I — J | K — L | M | N — O | П — С | Т | U — Y
 Отличия
 и сходства пневмонии и туберкулеза
 Пневмония
 и туберкулез преследуют граждан мира на протяжении веков
 вызывая миллионы смертей.Это происходило до создания и использования
 антибиотики становятся более доступными. Эти две респираторные инфекции
 имеют много различий, в том числе их этиологию, частоту и распространенность,
 и много общего в их объективных и предметных показателях, медицинских
 вмешательства, курс, реабилитация и эффекты.
 Изучить
 связь между пневмонией и туберкулезом мы рассмотрим случай
 изучать. Джоан — 35-летняя женщина, которая несколько недель чувствовала себя прекрасно.
 назад, когда у нее заболело горло.С момента ее боли в горле она была
 испытывает боль в груди, потерю аппетита, кашель и низкую температуру, поэтому она
 пошла навестить своего врача. Ее врач поместил ее в больницу с
 бактериальная пневмония и после трех дней безуспешного лечения была
 обнаружила, что на самом деле у нее активный туберкулез. Этот неправильный диагноз показывает
 сходство между двумя заболеваниями и то, как легко их спутать.
Различия при пневмонии и туберкулезе
Пневмония
 Пневмония
 серьезная инфекция или воспаление легких с экссудацией и
 укрепление.Пневмония может быть одного из двух типов: крупозная пневмония или бронхиальная пневмония.
 пневмония. Крупозная пневмония поражает одну долю легкого, а бронхиальную
 пневмония поражает области, наиболее близкие к бронхам (O’Toole, 1992). в
 США ежегодно пневмонией заражаются более трех миллионов человек;
 пять процентов из которых умирают.
Этиология
 Есть
 более 30 причин пневмонии, однако есть 4 основные причины:
 бактериальные, вирусные, микоплазменные и грибковые (Американская ассоциация легких, 1996).Однако бактериальная пневмония поражает всех, от мала до велика.
 «алкоголики, ослабленные, послеоперационные больные, люди с
 респираторные заболевания или вирусные инфекции и люди с ослабленным иммунитетом
 системы подвергаются большему риску «(American Lung Association, 1996).
 Бактерии пневмококка, которые классифицируются как Streptococcus pneumoniae,
 вызывает бактериальную пневмонию, и ее можно предотвратить с помощью вакцины. В 20-30%
 случаи распространения инфекции в кровоток (MedicineNet, 1997),
 может привести к вторичным инфекциям.
 Вирусный
 На пневмонию приходится половина всех случаев пневмонии (American Lung Association,
 1996), к сожалению, нет эффективного лечения, потому что антибиотики не действуют.
 влияют на вирусы. Многие случаи вирусной пневмонии являются результатом гриппа.
 инфекции и обычно поражают детей, однако обычно не являются серьезными
 и длиться недолго (American Lung Association, 1996). Вирус
 проникает в легкие и размножается, но почти нет физических признаков
 легочная ткань наполняется жидкостью.Он находит многих своих жертв среди
 те, у кого ранее было заболевание сердца или легких или которые беременны »
 (Американская ассоциация легких, 1996). В более тяжелых случаях это может быть
 осложняется инвазией бактерий, что может привести к появлению симптомов
 бактериальная пневмония (Американская ассоциация легких, 1996).
 Во время
 Микоплазмы времен Второй мировой войны были определены как «самые маленькие свободно живущие
 возбудители болезней человека, не классифицированные по типу бактерий или вирусов,
 но имеющий характеристики обоих »(American Lung Association, 1996).Микоплазменная пневмония — это «часто медленно развивающаяся инфекция».
 (MedicineNet, 1997), который часто поражает детей старшего возраста и молодых людей.
 (Американская ассоциация легких, 1996).
 Другой
 Основная причина пневмонии — грибковая пневмония. Это вызвано грибком, который
 вызывает пневмоцистную пневмонию (PCP) и часто является «первым признаком
 болезни у многих людей со СПИДом и … можно успешно лечить в
 много случаев »(American Lung Association, 1996).
 У Джоан
 случай бактериальной пневмонии подозревался, потому что ее иммунная система была ослаблена
 по ее боли в горле, а ее признаки и симптомы коррелировали с пневмонией.
Туберкулез (ТБ)
 Туберкулез
 был обнаружен 100 лет назад, но до сих пор убивает три миллиона человек ежегодно
 (Шлоссберг, 1994, стр.1). Случаи варьируются от расы и этнической принадлежности. В 1990 г.
 У нелатиноамериканских чернокожих было 9 634 случая, в то время как американские индейцы и жители Аляски
 У местных жителей был 371 случай (Galantino, Bishop, 1994). Это вызвано бактериями
 называется Mycobacterium tuberculosis или Tubercle bacillus. Туберкулез
 может заразить любую часть тела, но чаще всего встречается в легких, где
 вызывает легочную инфекцию или пневмонию.
Этиология
 Был
 возобновление туберкулеза из-за ряда факторов, в том числе:
 1. ВИЧ /
 Эпидемия СПИДа,
 2. увеличенный
 количество иммигрантов,
 3. увеличение
 в бедности, употреблении инъекционных наркотиков и бездомности,
 4. плохой
 соблюдение режимов лечения и;
 5. увеличенный
 количество жителей в учреждениях длительного пребывания (Cook & Dresser, 1995).
 Туберкулез
 бактерии распространяются по воздуху, однако передача происходит только после
 длительный контакт.Например, у вас есть только 50% шанс заразиться.
 если вы проводите восемь часов в день в течение шести месяцев с больным туберкулезом в активной форме
 (Cook & Dresser, 1995).
 бактерии туберкулеза попадают в воздух, когда больной туберкулезом кашляет, чихает или разговаривает
 а затем вдыхается. Инфекция может не проявляться в организме человека в течение
 лет, не доставляя им проблем, однако, когда их иммунная система ослаблена, это
 дает инфекции шанс вырваться наружу.
 Типы туберкулеза
 Процедуры
 Типы
 лечение будет зависеть от того, активен или неактивен пациент
 туберкулез.Чтобы диагностировать активный туберкулез, врач осматривает пациентов.
 симптомы и результаты кожной пробы, мокроты и рентгена грудной клетки. А
 человек болеет активным туберкулезом, когда его иммунная система ослаблена, и он
 начинают проявлять признаки и симптомы болезни. У них также есть
 положительные кожные пробы, мокроты и рентген грудной клетки. Когда это происходит,
 лечение более интенсивное.
 Болезнь
 лечится как минимум двумя разными типами антибиотиков, чтобы вылечить
 инфекционное заболевание.В течение нескольких недель антибиотики повышают сопротивляемость организма.
 и замедлить действие ядов туберкулезных микробов, чтобы пациент не
 заразительный. Примером лечения может быть короткий курс химиотерапии, который
 является использование изониазида (INH), рифампицина и пиразинамида в комбинации для
 минимум шесть месяцев (Cook & Dresser, 1995). Препараты нужно принимать при
 от шести до двенадцати месяцев, или может произойти повторение. Неспособность принять
 антибиотики постоянно приводят к туберкулезу с множественной лекарственной устойчивостью (МЛУ ТБ)
 который «лечить гораздо труднее, потому что лекарства не убивают микробы.МЛУ-ТБ может передаваться другим, как и обычный ТБ »(American Lung
 Ассоциация, 1996).
 Неактивный
 туберкулез — это когда человек инфицирован бактериями туберкулеза, но
 их иммунная система способна бороться с инфекцией, поэтому
 положительная кожная проба и отрицательная рентгенография и анализ мокроты. Пациент может быть
 инфицированы, но они не заразны, что означает, что врач начнет
 программа профилактического лечения. В эту программу входит использование препарата.
 изониазид в течение шести-двенадцати месяцев, чтобы предотвратить активизацию туберкулеза в
 будущее.
 Когда-то
 лечение пневмонии Джоан оказалось безуспешным, диагноз поставили повторно, потому что она
 вспомнила, как она была заражена туберкулезом, когда дедушка заразился им, когда
 семь лет. Она не знала, что лечила инфекцию
 в состоянии покоя 28 лет. Из-за боли в горле, которая ослабляла ее
 иммунная система, ее туберкулез активизировался, поэтому ей было назначено новое лечение
 строить планы. Этот план включал использование изониазида, рифампина и пиразинамида.
Сходства пневмонии и туберкулеза
 Цель и
 Субъективные показатели
 Туберкулез
 и пневмония имеют схожие объективные и субъективные показатели, поскольку они
 оба вызывают инфекцию легких.Из-за этого сходства в
 индикаторы Случай Джоан был легко ошибочно диагностирован без информации
 Воздействие туберкулеза.
 субъективными показателями являются боль в груди, головные боли, потеря аппетита, тошнота,
 жесткость суставов или мышц, одышка, усталость и слабость. Пациент должен сообщить врачу об этих симптомах, чтобы
 правильный диагноз должен быть поставлен из-за совпадения двух заболеваний.
 объективные показатели включают кашель, озноб, лихорадку, ночную потливость и
 мокрота с прожилками крови или коричневатая.Эти знаки будут заметны
 врач.
 Медицинский
 Вмешательства
 Процедуры диагностики пневмонии и туберкулеза также схожи. В
 обычная процедура заключается в том, чтобы врач получил предыдущую историю болезни вместе с
 история возможного воздействия и появления симптомов. Оттуда физический
 будет проходить экспертиза. Врач выслушает грудную клетку пациента для
 потрескивает. После этого такие тесты, как общий анализ крови, рентген, кровь и
 анализ мокроты, биопсия или бронхоскопия могут подтвердить инфекцию легких.А
 Тест на туберкулез — это тест Манту, который представляет собой кожную пробу,
 подтверждает наличие бактерий ТБ в системе пациентов.
 А
 консервативное лечение будет включать антибиотики, такие как пенициллин и
 изониазид (INH), который лечит инфекцию в легких. Или же
 бронходилататоры могут использоваться, чтобы помочь дыхательным путям оставаться открытыми. Другие методы лечения
 может включать правильную диету или постельный режим.
 Есть
 не так много вариантов, когда дело доходит до хирургического лечения пневмонии или
 туберкулез.На самом деле часто используется только один. Который
 хирургия плевроцентез используется для удаления плеврального выпота из
 легкие.
Курс
 Курс
 пневмония и туберкулез могут варьироваться от человека к человеку.
 В целом
 Курс начинается с развития симптомов и посещения врача. После визита к врачу будут проводиться анализы и обследования для подтверждения
 наличие пневмонии или туберкулеза. После подтверждения инфекции
 лекарства могут быть назначены вместе с возможным постельным режимом.Быстрое восстановление
 может произойти, если:
 1. они
 молодой,
 2. их иммунитет
 система работает хорошо,
 3. болезнь
 пойман рано и;
 4. они не
 страдающие другими заболеваниями.
 Большинство пациентов
 сможет отреагировать на лечение и начать улучшаться в течение пары
 недель.
 Во всем
 медицинская оценка лечения, мониторинг лекарств и бактериология.
 завершенный. Они будут проверять мокроту два раза в месяц на туберкулез, пока мазок не будет получен.
 отрицательный, и у пациента нет симптомов, что обычно происходит в течение первого
 три месяца (Галантино и Бишоп, 1994).Для обоих заболеваний они также будут
 наблюдайте за пациентом на предмет побочных эффектов, устойчивости и соблюдения лекарственного препарата.
 У Джоан
 случай, когда туберкулезная инфекция была обнаружена слишком поздно, чтобы использовать профилактические методы лечения
 он стал активным, он был обнаружен через две недели.
 Био-психо-социальный
 Эффекты
 Есть
 многие вторичные биологические эффекты от пневмонии и туберкулеза. Туберкулез и бактериальная пневмония могут попасть в пар крови и вызвать
 повреждение или дальнейшее инфицирование любой части тела, включая почку,
 суставы, кости, печень, мозг, репродуктивные органы или мочевыводящие пути.Другой
 вторичные проблемы, которые могут возникнуть в результате любого заболевания, включают анемию, плеврит,
 абсцесс легкого, отек легких, хроническая интерстициальная пневмония, острая
 дыхательная недостаточность, эмпиема, замедление работы кишечника или гипонатриемия,
 низкий уровень натрия в крови (Национальный еврейский центр иммунологии и респираторной
 Медицина, 1989).
 Пациент
 также может страдать от психологических и социальных проблем на протяжении всего периода
 болезнь. В крайних случаях пациенты могут быть не в состоянии участвовать в
 физические, развлекательные или обычные дневные занятия, которые могут вызвать социальные
 депривация или депрессия.Однако большинство пациентов могут рассчитывать на сохранение своих
 работать, оставаться со своими семьями на протяжении всего лечения и вести нормальную жизнь.
 У Джоан
 случай, когда она была госпитализирована, так что она стала социально обделенной и становилась очень
 подавлен. Отчасти это связано с тем, что ее лечение было неэффективным.
 в течение первых трех дней после ошибочных диагнозов.
 голов и
 Вмешательства для больных пневмонией или туберкулезом
 Кому
 облегчить выздоровление пациентов с пневмонией или туберкулезом.
 вмешательства физиотерапевта, респираторного терапевта и социальных
 Рабочий.Каждая профессия будет иметь роль в мотивации, поддержке и
 повышение функциональных возможностей пациента. Самый распространенный
 Цели лечения включают:
 1. на уменьшение
 дискомфорт,
 2. для облегчения
 обмен кислорода и углекислого газа в легких,
 3. предотвратить
 атрофия от повышенного постельного режима, а
 4. предотвратить
 социальная изоляция.
 Реабилитация
 Цели и мероприятия
!. Поддерживать или
 увеличивает мышечную силу при пониженной активности ·
— программа прогрессивных упражнений с сопротивлением ·
 -поддержка весовой нагрузки · заниматься активным отдыхом и самостоятельно
 деятельность по уходу
 2.Поддерживать или
 повышают подвижность мягких тканей и суставов при постельном режиме и снижают уровень
 деятельности ·
— обеспечивают пассивный и активный диапазон движений ·
-развлекательные мероприятия, сочетающие аэробику, растяжку и укрепление
 3. Развивайте,
 улучшить, восстановить или поддерживать координацию ·
— отработка навыков ходьбы, одевания, гигиены и стояния
 4. Продвигать
 психосоциальная адаптация к инвалидности и предотвращение социальной изоляции
— научить адаптироваться к образу жизни ·
— участие в группах поддержки и социальных взаимодействиях ·
— положения тела, уменьшающие дискомфорт ·
— Здесь может помочь социальный работник
 5.Облегчение
 боль в груди и помощь при дыхании
— · использовать физиотерапию грудной клетки, кислородные процедуры и респираторную терапию ·
 — обучать эффективным методам дыхания и постурального дренажа для сохранения дыхательных путей
 открыть
 6. Профилактика
 повторение ·
— профилактическая терапия, включающая обучение правильному питанию
 Джоан была направлена на прием к физиотерапевту, респираторному терапевту и социальному отделению.
 Рабочий. Ее цели, где уменьшить ее дискомфорт, образование, чтобы приспособить ее
 образ жизни и различные положения тела, которые будут способствовать облегчению дыхания.Социальный работник также был там, чтобы побудить ее присоединиться к группе поддержки, чтобы
 помогите ей справиться с ограничениями ее болезни.
Заключение
 Каждый год
 миллионы людей во всем мире поражены пневмонией и
 туберкулезная болезнь. Эти две респираторные инфекции имеют сходство и
 различия. Это сходство связано с тем, что оба заболевания поражают
 лица легкие, вызывающие воспаление и уплотнение. На самом деле туберкулез
 хроническая инфекция, которая может поражать легкие и вызывать пневмонию.Поскольку оба
 инфекции вызывают такие показатели консолидации, как кашель, боль в груди и
 одышка встречается при пневмонии и туберкулезе. Проблема с
 эти сходства, как было замечено в случае Джоан, заключаются в том, что это легко
 неправильно диагностирован, когда не используются надлежащие тесты. Различия в двух
 инфекции в основном только по своей этиологии. Для пневмонии есть более
 30 различных причин, но четыре основные категории — бактериальные, вирусные и
 микоплазма и грибок, в то время как туберкулез вызывается только бактериями, называемыми
 Туберкулезная палочка.К счастью, пневмонию и туберкулез можно сдержать.
 контроль с использованием антибиотиков и раньше, чем инфекция
 поймал больше шансов на быстрое выздоровление.
Список литературы
 Американское легкое
 Ассоциация. (1996). Пневмония [Интернет]. Доступный URL: http://www.lungusa.org/noframes/learn/lung/lunpneumonia.html
 Американское легкое
 Ассоциация. (1996) Туберкулез [Интернет]. Доступный URL:
 http://www.lungusa.org/noframes/learn/lung/luntb.html
 Кук, Аллан Р.,
 И Комод, Питер Д. (Ред.). (1995). Респираторные заболевания и расстройства
 справочник (6). Детройт: Omnigraphics Inc.
 Галантино, Мары
 Лу и епископ Кэти Ли. (1994, февраль). Новый ТБ. Журнал ПТ. П.
 53-61
MedicineNet. (1997). Болезни и лечение: пневмония [Online]. Доступный URL: http://www.medicinenet.com/mainmenu/encyclop/ARTICLE/Art_P/pneumon.htm
 Национальные евреи
 Центр иммунологии и респираторной медицины.(1989). Med Facts Pneumonia [Интернет]. Доступный URL: http://www.hjc.org/MFhtml/PNE_MF.html
 О’Тул, М. (ред.). (1992). Энциклопедия Миллера-Кина и словарь медицины, сестринского дела,
 и союзническое здоровье. Торонто: W.B. Сондерс.
 Шлоссберг,
 Дэйвид. (Ред.). (1994). Туберкулез (3-е изд.). Нью-Йорк: Спрингер —
 Verlag.
Источник: Essay UK — http://www.essay.uk.com/coursework/the-differences-and-similarities-of-pneumonia-and-tuberculosi.php
информационных бюллетеней | Общие | Скрытая туберкулезная инфекция против туберкулеза | TB
(значок PDFpdf — 149 КБ)
Разница между латентной инфекцией и туберкулезом
Что такое ТБ?
Туберкулез (ТБ) — это заболевание, вызываемое микробом под названием Mycobacterium tuberculosis , который передается от человека к человеку по воздуху. Туберкулез обычно поражает легкие, но он также может поражать другие части тела, такие как мозг, почки или позвоночник.Когда человек с заразным туберкулезом кашляет или чихает, в воздух выбрасываются капельные ядра, содержащие M. tuberculosis . Если другой человек вдыхает воздух, содержащий эти капельные ядра, он или она может заразиться. Однако не все инфицированные бактериями ТБ заболевают. В результате существуют два связанных с ТБ состояния: латентная инфекция ТБ и заболевание ТБ.
Что такое скрытая туберкулезная инфекция?
Больные латентным туберкулезом не чувствуют себя больными и не имеют никаких симптомов.Они инфицированы M. tuberculosis , но не болеют туберкулезом. Единственный признак туберкулезной инфекции — положительная реакция на туберкулиновую кожную пробу или анализ крови на туберкулез. Лица с латентной туберкулезной инфекцией не заразны и не могут передавать туберкулез другим людям .
В целом, без лечения от 5 до 10% инфицированных людей в какой-то момент своей жизни заболеют туберкулезом. Около половины людей, заболевших туберкулезом, заболевают в течение первых двух лет после заражения.Для людей со слабой иммунной системой, особенно для людей с ВИЧ-инфекцией, риск развития туберкулеза значительно выше, чем для людей с нормальной иммунной системой.
Особую озабоченность вызывают лица, инфицированные кем-либо с ТБ с широкой лекарственной устойчивостью (ШЛУ-ТБ), у которых позже развивается ТБ; у этих людей будет ШЛУ-ТБ, а не обычное заболевание ТБ.
Больной латентной формой туберкулеза
- Обычно есть кожная проба или результат анализа крови, указывающий на наличие туберкулеза
- Рентген грудной клетки нормальный, анализ мокроты отрицательный
- Имеет в организме живые, но неактивные бактерии туберкулеза
- Не болеет,
- Невозможно передать бактерии ТБ другим людям
- Требуется лечение латентной туберкулезной инфекции для профилактики туберкулеза; однако в случае контакта и заражения от человека, больного туберкулезом с множественной лекарственной устойчивостью (МЛУ-ТБ) или ТБ с широкой лекарственной устойчивостью (ШЛУ-ТБ), профилактическое лечение может оказаться неприемлемым.
Что такое туберкулез?
У некоторых людей бактерии ТБ преодолевают защитные силы иммунной системы и начинают размножаться, что приводит к переходу от латентной инфекции ТБ к заболеванию ТБ.У некоторых людей туберкулез развивается вскоре после заражения, у других туберкулез развивается позже, когда их иммунная система становится слабой.
Общие симптомы туберкулеза включают
- Необъяснимая потеря веса
- Потеря аппетита
- Ночные поты
- Лихорадка
- Усталость
- Озноб
Симптомы туберкулеза легких включают
- Кашель в течение 3 недель и более
- Кровохарканье (кровохарканье)
- Боль в груди
 Другие симптомы зависят от 
 пораженной части тела.
Лица, больные ТБ, считаются заразными и могут передавать бактерии ТБ другим людям. При подозрении на заболевание туберкулезом следует направить пациента на полное медицинское обследование. Если установлено, что человек болен туберкулезом, назначается терапия для его лечения. Заболевание туберкулезом — серьезное заболевание, которое может привести к смерти, если его не лечить.
Больной туберкулезом
- Обычно есть кожная проба или результат анализа крови, указывающий на наличие туберкулеза
- Может быть ненормальный рентген грудной клетки, положительный результат мазка или посева мокроты
- Имеет в организме активные туберкулезные бактерии
- Обычно чувствует тошноту и могут иметь такие симптомы, как кашель, жар и потеря веса
- Может передавать бактерии ТБ другим людям
- Требуется лечение для лечения туберкулеза
Дополнительная информация
Туберкулез и поражение легких: от эпидемиологии к патофизиологии
Введение
Треть населения мира инфицирована Mycobacterium tuberculosis (MTB), и ежегодно регистрируется более 9 миллионов новых случаев туберкулеза (ТБ) [1].Лечение лекарственно-чувствительного легочного ТБ высокоэффективно: 85% (66 миллионов случаев) зарегистрированных случаев, по оценкам, были успешно вылечены в период с 1995 по 2015 год [1]. Однако до половины выживших после ТБ имеют ту или иную форму стойкой легочной дисфункции, несмотря на микробиологическое лечение [2–5]. Дисфункция легких, варьирующаяся от незначительных отклонений до тяжелой одышки, может увеличить риск смерти от респираторных причин [6–9]. Кроме того, пациенты с ТБ, получающие лечение, вносят значительный вклад в растущее во всем мире бремя хронической обструктивной болезни легких (ХОБЛ) [10–12].Эти результаты требуют разработки стратегии лечения легочной недостаточности после ТБ (PIAT).
Примечательной особенностью поражения легких при туберкулезе является его поразительная неоднородность. Это наблюдается при формальном тестировании функции легких с точки зрения величины легочной функции, от отсутствия нарушений до тяжелой дисфункции [3, 7, 8] и конкретных типов дыхательных дефектов [3, 11, 13]. Пациенты могут иметь кавитацию, фиброз или узелковые инфильтраты, или иметь сочетание этих легочных патологий [14, 15].Эта огромная вариативность может быть связана с взаимодействиями хозяин-патоген и различными иммунологическими событиями, которые могут последовать за этим. Мы также предполагаем, что неоднородность повреждения легких частично может быть связана с изменением генов, кодирующих или регулирующих иммунные ответы хозяина. Выявление иммунных путей и генетических факторов риска для связанного с туберкулезом поражения легких может дать информацию о методах лечения, специально нацеленных на иммунологические факторы, ответственные за повреждение легких.
В этом обзоре обобщается эпидемиология PIAT, исследуется патология легких, связанная с туберкулезом, потенциально связанная с дисфункцией легких, а также рассматриваются иммунологические и вероятные генетические корреляты повреждения ткани легких при туберкулезе.Мы также описываем несколько процессов, таких как легочная кавитация, фиброз и бронхоэктатическая болезнь, которые, вероятно, в совокупности способствуют ремоделированию легких при ТБ и PIAT. Эти термины определены в таблице 1.
ТАБЛИЦА 1
Определения процессов, способствующих ремоделированию легких во время туберкулеза легких (ТБ) и легочной недостаточности после ТБ
Стратегия поиска
Для этого обзора мы нашли ссылки в PubMed, опубликованные до мая 2017. Мы специально провели поиск исследований, описывающих эпидемиологию нарушения функции легких после лечения туберкулеза, используя поисковые термины «эпидемиология», «туберкулез легких», «легочная функция», «обструкция И / ИЛИ рестриктивный», «бронхоэктаз», «фиброз». »,« Кавитация »и« лечение туберкулеза ».Для изучения патологии легких и медиаторов воспаления при туберкулезе мы использовали термины «туберкулез легких», «патология легких», «иммунопатология», «матриксная металлопротеиназа», «биомаркеры воспаления ИЛИ воспаление», «нейтрофилы» и «Т-клетки CD4». . Генетические исследования были запрошены с использованием терминов «туберкулез легких», «генетика», «ХОБЛ» и «идиопатический фиброз легких». Были проанализированы соответствующие статьи, опубликованные на английском языке по результатам поиска, и цитируемые в них ссылки.
PIAT
Эпидемиология
Первоначальные исследования, проведенные среди нелеченных или не полностью пролеченных больных туберкулезом, показали, что инвалидность легких была относительно частым исходом [16, 17].С тех пор во многих исследованиях сообщалось о поражении легких по завершении лечения ТБ [5, 7, 8, 18], с сохранением дефектов через несколько лет после лечения (таблица 2) [2, 4, 13]. Например, в южноафриканском исследовании наблюдалась обструкция дыхательных путей у 68% пациентов с туберкулезом в анамнезе, пролеченных до 16 лет (в среднем 5,6 лет) до обследования [13]. Хотя продолжительные исследования показали улучшение легочной функции при лечении ТБ, у значительной части пациентов наблюдаются необратимые и часто прогрессирующие легочные дефекты [3, 4, 7, 8, 20].В проспективном исследовании 74 госпитализированных пациентов с впервые выявленным туберкулезом у 54% улучшилась функция легких на фоне лечения, а у остальных либо не было изменений, либо ухудшилась функция легких [3]. Даже в амбулаторных условиях, где пациенты предположительно более здоровы, чем госпитализированные, от четверти [7] до одной трети [8] пациентов по завершении лечения имели ограничение дыхательных путей от умеренного до тяжелого. Другие группы подтвердили эти выводы во многих других условиях [5, 19, 22, 23].Однако ограничением многих исследований, описанных выше, был их небольшой или умеренный размер выборки (ограничения для конкретных исследований описаны в таблице 2).
ТАБЛИЦА 2
Резюме эпидемиологических исследований по изучению легочной недостаточности после туберкулеза (ТБ)
Растущее число популяционных исследований продемонстрировало, что наличие ТБ в анамнезе увеличивает риск обструкции дыхательных путей и ХОБЛ [10–12, 22]. Исследование 14 050 пациентов из 18 стран показало, что наличие туберкулеза в анамнезе увеличивает риск обструктивного заболевания дыхательных путей в 2 раза.В 5 раз не зависит от курения и других клинических факторов [10]. Другое исследование (n = 5571) показало более высокую распространенность ХОБЛ у пациентов с туберкулезом в анамнезе (30,7%), у пациентов и у пациентов без ТБ (13,9%) [12]. В большом исследовании 13 522 взрослых в возрасте ≥40 лет, проведенном в Южной Корее, история туберкулеза и поражения на рентгенограммах грудной клетки были связаны с 4,47 повышением шансов обструкции дыхательных путей (95% ДИ 3,07–6,51) после поправки на возраст, курение, индекс массы тела (ИМТ) и другие факторы, влияющие на него [24]. Кроме того, метаанализ продемонстрировал, что пролеченный ТБ в анамнезе был фактором риска ХОБЛ (объединенное OR 3.05, 95% ДИ 2,42–3,85) независимо от курения и возраста [11].
Факторы риска, связанные с PIAT, полностью не выяснены, и взаимосвязь, вероятно, сложна. Было высказано предположение, что курение, которое является установленным фактором риска ХОБЛ, может способствовать развитию PIAT [2, 3, 5]. Однако в некоторых сообщениях такой связи не обнаружено [4, 7, 8]. Например, в одном исследовании люди с туберкулезом в анамнезе в два раза чаще курили, чем те, кто не болел туберкулезом; тем не менее, согласно многомерному анализу, более выраженная дисфункция легких с течением времени в группе ТБ не зависела от курения [4].Подобное отсутствие связи между курением и нарушением функции легких наблюдалось среди пациентов, завершающих курс лечения ТБ в Индонезии [7, 8]. Сопутствующая ВИЧ-инфекция может быть дополнительным фактором риска снижения функции легких. Несколько исследований теперь показали, что ВИЧ-инфицированные пациенты подвергаются повышенному риску нарушения газообмена, а также обструкции дыхательных путей [25–27]. Однако данные о функции легких у пациентов с коинфекцией ВИЧ / ТБ противоречивы и немногочисленны [2, 8]. Другие факторы риска нарушения функции легких после туберкулеза могут включать сопутствующие заболевания, такие как диабет, а также факторы окружающей среды, такие как дым в помещении от топлива из биомассы.Хотя эти риски были связаны с ХОБЛ [26, 28], их еще предстоит изучить в контексте посттуберкулезной инвалидности легких.
Вариабельность дефицита функции легких
PIAT может включать обструкцию воздушного потока и / или ограничительные дефекты вентиляции, а также нарушение газообмена (рисунок 1) [3, 11, 13, 15, 20]. Дефекты воздушного потока могут быть обнаружены с помощью спирометрии, которая определяет поток и объем вдыхаемого и выдыхаемого воздуха [29]. Нарушение газообмена определяется путем измерения диффузионной способности легких по монооксиду углерода ( D LCO ) [30].Американское торакальное общество и Европейское респираторное общество предоставляют стандартизированные рекомендации по проведению и интерпретации этих тестов [30–32]. Обструкция дыхательных путей связана со снижением способности полностью вытеснять воздух из легких и, вероятно, происходит из-за сужения дыхательных путей, вызванного воспалением. Напротив, ограничение, вероятно, связано с уменьшением способности полностью вдыхать в результате обширного фиброза и повышения жесткости паренхимы легких. Легочные проявления пневмонии частично опосредованы иммунными механизмами [14, 33], и поэтому гетерогенность легочного дефицита при ТБ может быть связана с вариабельностью реакции хозяина на MTB.
РИСУНОК 1
Механизмы и рентгенологические особенности, связанные с обструкцией воздушного потока и рестриктивными дефектами вентиляции у пациентов с туберкулезом в анамнезе. FEV 1 : объем форсированного выдоха за 1 с; ФЖЕЛ: форсированная жизненная емкость легких.
Обструкция воздушного потока
Симптомы, связанные с обструкцией воздушного потока, включают одышку, снижение физической работоспособности и хронический бронхит [34]. Величину обструкции дыхательных путей обычно определяют количественно путем измерения объема форсированного выдоха за 1 с (FEV 1 ) [32].ОФВ 1 указывается как в абсолютном объеме, так и в процентах от прогнозируемой нормы [32], при этом снижение ОФВ 1 на 100 мл считается клинически значимым [35]. В нескольких исследованиях наблюдалось снижение ОФВ 1 во время и после лечения ТБ [3, 7, 8, 11, 13, 20]. Корейское исследование показало снижение среднего ОФВ 1 на 38,2 ± 8 мл · год -1 [20] у излеченных больных ТБ, что соответствовало скорости снижения ОФВ 1 с течением времени (33 ± 2 мл · год). год -1 ) у больных ХОБЛ без ТБ [20].Сравнимые темпы снижения ОФВ 1 наблюдались в исследовании, сравнивающем пациентов с туберкулезом в анамнезе и контрольной группы соответствующего возраста [4]. Кроме того, исследование, проведенное в Индонезии (n = 200), обнаружило обструкцию воздушного потока от умеренной до тяжелой (ОФВ 1 <60% от пред.) Примерно у половины пациентов на исходном уровне и определило лишь небольшое улучшение на 14,8% в% ОФВ 1 с лечением [8].
Снижение ОФВ 1 может быть связано с множеством основных патологических механизмов (рис. 1).Легочная кавитация может уничтожить или исказить дыхательные пути, что приведет к обструкции дыхательных путей. При исследовании серийных изменений структуры легких и легочной функции у пациентов с полостями ОФВ 1 на исходном уровне и через 1 месяц после начала лечения ТБ было значительно ниже, чем у пациентов без кариеса [15]. Кроме того, бронхогенное распространение является отличительным признаком легочного туберкулеза, когда казеозный материал, выделяющийся при распаде полости, проходит через стенки бронхов [14, 36–38].Кроме того, разрушение эластических и мышечных компонентов стенок бронхов, приводящее к бронхоэктазии, связанной с обструкцией воздушного потока [39], чаще выявлялось у пациентов с полостями (64%), чем у пациентов без них (11%) [15]. Бронхоэктатическая болезнь — это необратимое нарушение дыхательных путей, которое предрасполагает к пожизненным заболеваниям с повторяющимися эпизодами выделения гнойной мокроты, кровохарканья и иногда с прогрессированием до пневмонии [40]. Бронхоэктатическая болезнь как следствие туберкулеза легких давно признана [41] и может сохраняться или ухудшаться, несмотря на завершение лечения туберкулеза [42]. Post mortem аутопсийных исследований больных туберкулезом обнаружили бронхоэктазы у 19–65% обследованных [43, 44]. Вызывает тревогу то, что в одном исследовании, проведенном совсем недавно, 86% пациентов имели цилиндрические бронхоэктазы через 6 месяцев после лечения ТБ с помощью компьютерной томографии (КТ) грудной клетки [45]. В систематическом обзоре сообщалось, что распространенность бронхоэктазов после ТБ составляла 35–86% в пяти оцениваемых ими исследованиях КТ [46]. Кроме того, популяционное исследование с участием> 10 000 взрослых в Китае показало, что наличие туберкулеза в анамнезе увеличивает вероятность диагноза бронхоэктаза в три раза по сравнению с пациентами без туберкулеза в анамнезе (OR 3.07, 95% ДИ 1,89–4,98) [47]. Однако наше понимание механизмов, которые вызывают такие структурные изменения и связанное с ними препятствие воздушному потоку после ТБ, недостаточно.
Ограничительные дефекты вентиляции
Пациенты также страдают от ограниченного воздушного потока [3, 13, 18, 19], симптомы которого обычно включают боль в груди, кашель и одышку. Ограничение определяется либо как снижение форсированной жизненной емкости легких и / или повышение соотношения ОФВ 1 / форсированной жизненной емкости легких [32].В одном исследовании ограничение было обнаружено в начале и в конце лечения ТБ у 57% и 24% пациентов, соответственно; однако дальнейшие продольные анализы в этом исследовании не проводились [3]. Хотя обструкции воздушного потока при туберкулезе уделялось наибольшее внимание, смешанные модели обструкции воздушного потока / ограничительные дефекты вентиляции были наиболее распространенной формой дисфункции легких в обзоре популяционных и наблюдательных исследований, проведенных в Южной Африке [48]. Структурные изменения в легком в результате аберрантного восстановления легочной ткани ( e.грамм. искажение бронхов, фиброзные полосы и утолщение плевры) [15, 20, 49] могут объяснить ограничение воздушного потока у больных ТБ.
Нарушение диффузионной способности и несоответствие вентиляции / перфузии
Имеются также данные о нарушении газообмена на ранних стадиях туберкулеза [50, 51]. Уменьшение D LCO , вероятно, связано с уменьшением площади поверхности для газообмена после альвеолита или «липоидной пневмонии», которая возникает во время кавитации (описанной в разделе «Гранулемы для кавитации во время ТБ»).Хотя D LCO улучшается при лечении, у некоторых людей может быть необратимое нарушение диффузии и несоответствие вентиляции / перфузии, что приводит к хронической гипоксемии [15, 52]. Известно, что длительная кислородная терапия улучшает исходы у пациентов с ХОБЛ с тяжелой хронической гипоксемической дыхательной недостаточностью [53, 54]. В настоящее время имеется мало информации о распространенности тяжелой гипоксемии у лиц, перенесших туберкулез.
Медиаторы поражения и дисфункции легких при туберкулезе
Целенаправленное лечение ассоциированного с туберкулезом поражения легких требует знания точных механизмов иммунной патологии.Основным препятствием для долгосрочного изучения иммунопатогенеза туберкулеза у людей является то, что практически невозможно получить серийные биопсии легких в ходе прогрессирования и лечения заболевания, которые можно использовать для определения местных иммунных путей, вовлеченных в повреждение тканей. Таким образом, наше нынешнее понимание иммунологической основы повреждения легочной ткани при туберкулезе в значительной степени основано на моделях на животных. Хотя туберкулез у приматов, кроме человека, и некоторые аспекты заболевания на других моделях животных сходны с болезнью человека [55, 56], ни одна модель не воспроизводит весь спектр патологии легких человека [14].Тем не менее, исследования на людях и данные на животных моделях предоставляют убедительные доказательства решающей роли иммунного ответа хозяина на MTB в ремоделировании легких (суммировано на рисунке 2). Такие взаимодействия хозяин-патоген могут сохраняться даже после завершения лечения. Например, недавнее продольное исследование с использованием позитронно-эмиссионной томографии и КТ для оценки местного воспаления легких у пациентов с легочным туберкулезом продемонстрировало, что у многих пациентов наблюдается усиление и / или развитие новых воспалительных поражений, несмотря на 6 месяцев противотуберкулезной терапии и через 1 год лечения. завершение [57].Более того, у пациентов, считавшихся отрицательными по результатам посева в конце лечения, была обнаружена мРНК MTB в респираторных жидкостях, что позволяет предположить, что стойкая бактериальная транскрипция может вызвать воспалительные реакции в легких [57]. Хотя в этом исследовании не проводились формальные функциональные тесты легких, у пациентов были признаки и симптомы, соответствующие поражению легких [57].
РИСУНОК 2
Иммунные медиаторы ремоделирования тканей и нарушения функции легких при туберкулезе. Факторы транскрипции, цитокины и хемокины, которые управляют экспрессией ферментов, разрушающих ткань, или непосредственно опосредуют кавитацию и / или фиброз, показаны зеленым.Матричные металлопротеиназы (ММП), способствующие гранулеме и кавитации, показаны фиолетовым цветом. HIF: фактор, индуцируемый гипоксией; NF: ядерный фактор; ИЛ: интерлейкин; TNF: фактор некроза опухоли; TGF: трансформирующий фактор роста; IFN: интерферон; mtROS: митохондриальные активные формы кислорода. # : IL-1β регулирует фиброгенез при идиопатическом фиброзе легких и может играть роль при туберкулезе. Патологические процессы, способствующие прогрессированию поражений, могут влиять на развитие обструкции дыхательных путей и ограничительные дыхательные паттерны легочной недостаточности.
Мы также предполагаем, что, хотя определенные иммунологические механизмы могут специфически управлять обструкцией воздушного потока, связанной с туберкулезом, или ограничительным нарушением вентиляции легких, у многих пациентов может быть значительное совпадение. Иммунные медиаторы и пути, которые, возможно, вызывают некроз и кавитацию во время туберкулеза, также могут быть настроены для последующего фиброза. Эти иммунологические факторы потенциально могут быть нацелены на предотвращение обструкции дыхательных путей и / или ограничительных дефектов вентиляции после туберкулеза.
Гранулемы, вызывающие кавитацию во время туберкулеза
Иммунная система хозяина реагирует на вторжение микобактерий и запускает образование гранулем во время первичной инфекции [14, 58].Гранулема — это высокоорганизованная структура, состоящая из многих типов иммунных клеток (, например, макрофагов, нейтрофилов, естественных клеток-киллеров и Т- и В-клеток), которые окружают казеозно-некротическое ядро альвеолярных макрофагов, инфицированных МТБ [33, 58]. Традиционно считается, что гранулема защищает хозяина, изолируя и предотвращая распространение MTB, но исследования с использованием модели рыбок данио для TB продемонстрировали, что гранулемы могут способствовать пролиферации и распространению MTB [59, 60].Более того, по данным недавних исследований на приматах, не относящихся к человеку [61–63], по-видимому, существует значительная гетерогенность в бактериальной нагрузке, размере и воспалительном профиле между гранулематозными поражениями в пределах одного хозяина. Было показано, что одна или несколько гранулем, которые не контролируют пролиферацию микобактерий, могут существенно повлиять на прогрессирование заболевания и клинический исход [64].
Широко распространенное мнение, основанное на данных на животных моделях, состоит в том, что эти гранулемы сливаются и распадаются посредством разжижающегося некроза , оставляя после себя полость во время активного заболевания [56, 65].Однако исследования на людях предполагают, что полости возникают в результате липидной пневмонии во время пост-первичного туберкулеза [14, 66]. Эти поражения липидной пневмонии могут развиться в области казеозной пневмонии в результате казеозного некроза [14, 66]. Во время казеозного некроза альвеолярные клетки разрушаются вместе с соседними структурами, такими как сосуды и бронхи [14]. Однако эластические волокна стенок и сосудов альвеол остаются неповрежденными [14, 67]. Эта некротическая ткань начинает размягчаться и трескаться, а затем откашливается [14, 67].Заполненные газом пространства, окруженные коллагеновой капсулой, в свою очередь замещают нормальную легочную ткань после кавитации.
Хотя точные иммунные механизмы, лежащие в основе разжижающего или казеозного некроза, до конца не изучены, надежные иммунные ответы, вероятно, играют важную роль [68, 69]. Первоначальные доказательства этого получены из наблюдений Роберта Коха более века назад. Он отметил, что при повторном заражении морских свинок, ранее инфицированных МТБ, у них развиваются некротические поражения, которые увеличиваются по окружности в месте кожной инъекции [70].Феномен Коха был описан другими [71], в том числе Moreira et al. [72], где мышей, инфицированных MTB, лечили вакциной рекомбинантной палочки Кальметта-Герена (БЦЖ), которая высвобождала цитокины (, например, фактор некроза опухоли (TNF) -α), снижающий бактериальную нагрузку в прединфекционной вакцине. модель. Как это ни парадоксально, постинфекционное лечение БЦЖ-TNF-α обостряло патологию легких, не уменьшая нагрузку MTB у этих мышей [72]. Более того, Шварцман [73] обнаружил, что у кроликов, которым ранее вводили грамотрицательные бактерии в кожу, развился геморрагический некроз в начальном месте инъекции после внутривенной инъекции тех же бактерий через 24 часа.Эта реакция может быть частично объяснена Т-клеточными МТБ-специфическими иммунными ответами, учитывая, что истощение Т-клеток CD4 + у предварительно иммунизированных мышей ингибировало эту реакцию [74]. Это исследование также подчеркнуло важную роль TNF-α в сохранении некроза [74]. Другие исследования подтвердили эти выводы [75]. В дополнение к чрезмерному и повреждающему ткани иммунному ответу, направленному на жизнеспособные и нежизнеспособные микобактерии [65, 76], недавно была выдвинута гипотеза, что нарушение регуляции липидного обмена хозяина влияет на казеозный некроз [77].Мы расширяем наше обсуждение возможных иммунных механизмов, лежащих в основе патологии и дисфункции легких, в следующих разделах.
Независимо от того, как формируются гранулемы и полости, они могут иметь различные траектории разрешения в ходе болезни или лечения и могут подвергаться аномальному восстановлению, приводящему к фокальному или обширному фиброзу тканей [14, 78]. Таким образом, вполне вероятно, что иммунные ответы хозяина, которые вызывают воспаление, кавитацию и фиброз, вносят вклад в различные паттерны заживления легких, проявляясь в виде постоянной обструкции воздушного потока и / или ограничительных дефектов вентиляции.Кроме того, различия в качестве и количестве иммунных эффекторных реакций, лежащих в основе этих процессов, также могут вносить вклад в вариабельность PIAT.
Матричные металлопротеиназы
Матричные металлопротеиназы (ММП) представляют собой семейство из 25 сильнодействующих протеаз, которые могут разрушать компоненты внеклеточного матрикса [79] и, вероятно, играют центральную роль в поражении легких, связанном с туберкулезом. ММП могут способствовать различным стадиям ремоделирования легких во время туберкулеза [80]. Транскриптомный анализ биопсий поражений у больных туберкулезом показал резкую активацию сетей повреждения тканей, которые включали экспрессию гена MMP-1 и MMP-9 [81].Кроме того, у больных ТБ с рентгенограммами грудной клетки, показывающими обширное поражение легких, уровень ММР-1 в их бронхоальвеолярном лаваже (БАЛ) () был в 8,5 раз выше, чем у пациентов с меньшим поражением легких [82]. В соответствии с этим, трансгенные мыши, экспрессирующие человеческий ММР-1, имели большее повреждение альвеолярной стенки и разрушение матрикса после инфицирования MTB по сравнению с мышами дикого типа [82]. Недавнее визуализационное исследование показало, что очаги туберкулеза у людей сильно гипоксичны [83]. Воспроизведение гипоксии в условиях культивирования in vitro в привело к усилению регуляции MMP-1 в MTB-инфицированных клетках через активацию фактора, индуцируемого гипоксией и ядерного фактора (NF) -κB [83].В совокупности эти исследования предполагают важную роль MMP-1 в прогрессировании поражения во время туберкулеза, который, вероятно, возникает перед поражением легких.
ММП жестко регулируются на уровне транскрипции и протеолитического созревания, а также тканевыми ингибиторами металлопротеиназ (ТИМП) [84]. На модели полостного туберкулеза на кроликах было показано, что MTB вызывает дисбаланс MMP-1 и его специфического ингибитора, TIMP-3, что связано с прогрессированием консолидированных областей легких в полости [85].Кроме того, нарушение регуляции ММП / ТИМП было продемонстрировано в плазме [84] и респираторных жидкостях [82] пациентов с активным ТБ. Таким образом, не ингибируемая экспрессия и активность ММП может привести к разрушению ткани, что в конечном итоге способствует PIAT.
Множество других ММП были причастны к увековечиванию связанного с туберкулезом поражения легких. Например, полученные из нейтрофилов ММР-8 и -9 были связаны с полостным заболеванием у больных туберкулезом [86]. В пилотном исследовании пациентов с распространенной коинфекцией ВИЧ / ТБ быстрое повышение уровней MMP-8 после начала антиретровирусной терапии (АРТ) было связано с нарушением функции легких почти через 2 года после завершения лечения ТБ [87].Эти предварительные данные согласуются с деструктивной ролью MMP-8 в тканях [87]. ММР-3 [82] и -12 [88] также могут вызывать повреждение легких во время туберкулеза. Хотя лечение туберкулеза, по-видимому, снижает количество ММР-1, -3 и -8 в мокроте, они возвращаются к нормальным уровням [89]. Некоторые другие протеазы, такие как нейтрофил-ассоциированная эластаза, протеиназа-3 и катепсин G, также связаны с деградацией матрикса при ХОБЛ и могут участвовать в разрушении легочной ткани во время ТБ [90]. Взятые вместе, можно предположить, что сложная сеть ММП и других протеаз опосредует связанное с ТБ повреждение легких с долгосрочным воздействием на функцию легких.
Воспалительные цитокины
В нескольких исследованиях напрямую изучалась взаимосвязь между воспалением и функцией легких при ТБ. Исследование Plit et al . [3] продемонстрировали, что повышенный уровень С-реактивного белка, который является неспецифическим маркером воспаления, коррелирует со снижением ОФВ 1 у больных ТБ после завершения лечения. В клинических испытаниях дополнительного кортикостероида по сравнению со стандартной терапией для лечения ТБ [91–93] легочная инвалидность в целом была одинаковой между группами; однако, по данным одного сообщения, прием стероидов увеличивал жизненную емкость легких [93].Следует отметить, что дополнительное лечение стероидами у пациентов с ТБ в целом связано с тенденцией к улучшению клинических результатов [94–96], но к его длительному применению в более высоких дозах следует подходить с осторожностью, учитывая долгосрочные сердечно-сосудистые и метаболические риски. Кроме того, кортикостероиды подавляют воспаление, подавляя передачу сигналов NF-κB [97, 98], которая регулирует экспрессию нескольких цитокинов, включая интерлейкин (IL) -1, IL-2, IL-6, IL-8, TNF-α и интерферон. (IFN) -γ.Таким образом, профилактика или лечение поражения легких, связанного с туберкулезом, может потребовать более целенаправленного подхода.
TNF-α является ключевым регулятором иммунных ответов хозяина на ТБ с плейотропными эффектами [99]. Внутриклеточный клиренс патогена посредством активации макрофагов является решающей защитной ролью TNF-α в организме хозяина [99, 100]. Этот цитокин также может способствовать апоптозу [101]. Апоптоз — это невоспалительный способ гибели клеток, который уничтожает инфицированные клетки; однако апоптоз, индуцированный TNF-α, оказывается неоптимальным для контроля MTB [100].Более того, MTB может стимулировать экспрессию ингибитора TNF-α, растворимого TNF-рецептора II (sTNF-RII) и избегать апоптоза [102]. Низкие уровни TNF-α могут быть проблематичными, поскольку было показано, что это приводит к неэффективной активации макрофагов и снижению микробицидной активности [103]. При неингибированной репликации MTB может развиться чрезмерное воспаление и некроз [103]. Напротив, повышенные уровни TNF-α могут вызывать некроз за счет индукции митохондриальных активных форм кислорода, несмотря на снижение роста MTB [103, 104].Гипервоспалительная природа некротической гибели клеток может в конечном итоге вызвать кавитацию и повреждение легочной ткани. Следует отметить, что более высокое соотношение TNF-α к sTNF-RI и -RII коррелировало с большим размером полости [105]. Более того, TNF-α необходим для экспрессии MMP-1 и -9 сетями моноцит-бронхиальных эпителиальных клеток [106, 107]. Взятый вместе, TNF-α, возможно, во время туберкулеза потенцирует разрушение тканей разными способами.
Помимо TNF-α, повышенные уровни IL-6, IL-8 и IL-12 в ЖБАЛ коррелировали с полостями, утолщением бронхиальной стенки и фиброзными полосами у больных активной формой ТБ [108].В другом исследовании легочного ТБ сравнивали несколько цитокинов между пациентами, отнесенными к ранним или поздним ответчикам на основании улучшения рентгенограмм грудной клетки после 2 или 6 месяцев лечения ТБ соответственно [109]. У людей с поздним ответом были более высокие уровни IL-1β, TNF-α и IFN-γ по сравнению с ранними ответчиками [109], что указывает на участие этих цитокинов в повреждении легочной ткани. Примечательно, что уровни TNF-α могут быстро увеличиваться после лечения туберкулеза [110]. Учитывая, что уровни воспалительных цитокинов очень динамичны вскоре после начала лечения ТБ [89, 111], ремоделирование легких, возможно, продолжается во время и после завершения лечения ТБ.
Фиброгенные цитокины
Постоянные изменения архитектуры легких после туберкулеза могут быть частично вызваны аномальными процессами заживления ран. Избыточное отложение коллагена и фиброзные рубцы могут возникать в процессе туберкулеза и лечения [14, 112]. TNF-α может играть роль в фиброзе тканей после туберкулеза. Лечение MTB-инфицированных кроликов этанерцептом, антагонистом TNF-α, снижает экспрессию нескольких генов, участвующих в фиброзе и метаболизме коллагена [113]. Трансформирующий фактор роста (TGF) -β считается основным медиатором фиброгенеза [114].Активация сигнального пути TGF-β коррелировала с повышенным уровнем коллагена в поражениях легких до и во время лечения ТБ [112]. У больных плевральным туберкулезом более высокие уровни TGF-β в плевральной жидкости связаны с большим утолщением плевры до и после противотуберкулезной терапии [49]. Кроме того, IL-1β был связан с фиброзом у пациентов с идиопатическим фиброзом легких (IPF), который является прогрессирующим и смертельным заболеванием легких, характеризующимся ограничительными дефектами вентиляции [115]. В частности, дисбаланс в IL-1β и его антагонисте рецепторов (IL-1RA) был вовлечен в распространение профиброзной среды в IPF [116].Сообщалось, что у больных ТБ наблюдается подобный дисбаланс IL-1β и IL-1RA, который коррелирует с увеличением размера полости [105]. Хотя в этом исследовании не оценивалась взаимосвязь между дисбалансом IL-1β / IL-1RA и фиброзом [105], вполне вероятно, что такое нарушение регуляции может способствовать аберрантному восстановлению тканей у пациентов с ТБ. В совокупности TNF-α, TGF-β и IL-1β-опосредованный фиброгенез могут вносить вклад в рестриктивные вентиляционные дефекты у пациентов с туберкулезом в анамнезе и требуют дальнейшего исследования.
Нейтрофилы и Т-клетки CD4
Множественные типы клеток вовлечены в организацию развития и прогрессирования поражений и, в конечном итоге, повреждения легких при ТБ. Считается, что во время первичной инфекции первым типом клеток, инфицированных МТБ, является резидентный в легких альвеолярный макрофаг [14, 117]. Эти клетки высвобождают воспалительные цитокины и хемокины при активации, в свою очередь, рекрутируя как врожденные (естественные клетки-киллеры, нейтрофилы, γ / δ-Т-клетки и дендритные клетки), так и адаптивные иммунные клетки в очаг инфекции [65, 118].Хотя эти ранние события необходимы для сдерживания патогена, нарушение регуляции иммунных ответов, вероятно, приводит к казеации и кавитации [58, 119]. Оценка вклада каждого из этих типов клеток в поражение легких, связанное с туберкулезом, выходит за рамки настоящего обзора; однако мы обсудим роль нейтрофилов и Т-лимфоцитов CD4 + в опосредовании повреждения тканей во время туберкулеза.
Исследования с использованием моделей туберкулеза на мышах приписывают нейтрофилам защитную роль на очень ранних стадиях инфицирования; однако эти клетки, по-видимому, играют неблагоприятную роль при хроническом, плохо контролируемом туберкулезе [120–122].Например, было обнаружено, что нейтрофилы, инфицированные МТБ, способствуют защитному адаптивному иммунному ответу хозяина, доставляя антигены ТБ к дендритным клеткам вскоре после инфицирования мышей [121]. Истощение нейтрофилов привело к уменьшению миграции дендритных клеток в лимфатические узлы, а также к замедленной активации и уменьшению пролиферации наивных Т-лимфоцитов CD4 у этих мышей [121]. Напротив, массивная инфильтрация и накопление нейтрофилов в легких ассоциируется с повышенной патологией на более поздних стадиях заболевания [123–125].Соответственно, истощение нейтрофилов уменьшало повреждение легких в модели туберкулеза у гиперчувствительных мышей [126].
У человека нейтрофилы, возможно, являются преобладающим типом клеток в легких, инфицированных реплицирующимся МТБ во время активного легочного ТБ [127]. Более того, сообщалось, что полостные поражения у людей в основном выстилаются нейтрофилами [86, 127]. Нейтрофилы могут запускать несколько различных путей повреждения тканей. В одном исследовании, в котором изучалась биопсия легких, стенки полости были окрашены положительно на нейтрофилы, экспрессирующие внеклеточный матрикс, разрушающие ММР-8 и -9 [86].Другое исследование продемонстрировало, что патология легких, возникающая в результате нейтрофильного воспаления во время туберкулеза, зависит от секреции кальпротектина (S100A8 / A9) этими клетками [122]. S100A8 / A9 может быть не только суррогатом воспаления легких, но также может стимулировать приток деструктивных нейтрофилов в легкие [122] вместе с другими хемокинами, такими как CXCL5 [128].
Появляется все больше доказательств индукции внеклеточных ловушек нейтрофилов при туберкулезе [129, 130], которые могут способствовать повреждению тканей и дисфункции легких, как это наблюдается при других заболеваниях легких [131–133].Внеклеточные ловушки нейтрофилов высвобождаются при активации нейтрофилов и действуют для захвата и уничтожения бактерий [134]. Они состоят из волокон хроматина, гистонов и протеаз, таких как миелопероксидаза (MPO), каптезин G и нейтрофил-ассоциированная эластаза [134, 135]. Хотя эти протеазы обладают антимикробными свойствами, они потенциально могут вызывать тяжелую патологию легких [136–138]. Следует отметить, что MMP-8 и кальпротектин недавно были обнаружены во внеклеточных ловушках нейтрофилов [86, 139]. В совокупности эти исследования подчеркивают вклад воспалительных нейтрофилов в повреждение легких.
CD4 Т-клетки вызывают защитные туберкулезные ответы; однако эти клетки могут продолжать повреждение тканей, если их ответы остаются неконтролируемыми [87, 140]. Связь между CD4 T-клетками и повреждением легких очевидна из исследований пациентов с коинфекцией ВИЧ / ТБ на поздних стадиях. В одном исследовании пациенты с ВИЧ / ТБ с числом CD4 <150 клеток · мкл -1 имели в пять раз больше шансов иметь нормальную рентгенограмму грудной клетки, чем пациенты с ВИЧ-отрицательным ТБ [141]. Более того, опосредованное АРТ обращение CD4-лимфопении у продвинутых пациентов с ВИЧ / ТБ связано с эпизодическим поражением легких, особенно у тех, кто испытывает воспалительный синдром восстановления иммунного иммунитета (ВСВИ) [142].В небольшом исследовании TB-IRIS и устойчивое восстановление Т-лимфоцитов CD4 после начала АРТ были связаны с более низким ОФВ 1 после завершения лечения ТБ [87]. Механически ТБ-специфические CD4 Т-клетки, которые секретируют TNF-α и IFN-γ, возможно, запускают множественные нисходящие пути и активацию эффекторов, таких как MMP. Эти реакции могут сводиться к чрезмерному воспалению и повреждению тканей и последующей инвалидности легких.
Генетическая предрасположенность к повреждению легких при туберкулезе
Эпидемиологические и иммунологические исследования указывают на значительную гетерогенность воспаления, патологии легких и легочной функции среди больных туберкулезом.Хотя факторы окружающей среды, такие как курение или воздействие кремнезема среди горняков [2–4, 7], различия в вирулентности MTB [143] или коинфекции ВИЧ [2, 8, 144] могут способствовать этой гетерогенности, вариации генов хозяина, которые регулировать иммунный ответ на MTB также может быть задействовано (рисунок 3). Однако в литературе немногочисленны генетические корреляты поражения легких при туберкулезе (таблица 3). Ван и др. . [145] исследовали полиморфный сайт в промоторе MMP-1 , который может состоять из одного гуанинового нуклеотида (1G) или иметь вставку G (2G).Пациенты с вариантом MMP-1 1G с большей вероятностью имели выраженный фиброз легких через год после завершения лечения туберкулеза [145]. Другие группы продемонстрировали связь между MMP-1 1G и полостным заболеванием [146] и туберкулезом, который в основном является эндобронхиальным [147]. Пациенты с ТБ, несущие аллель MMP-1 1G, также имели повышенный риск трахеобронхиального стеноза после лечения [147]. Механизм, лежащий в основе повреждения легких у носителей MMP-1 1G, остается неясным, поскольку именно аллель MMP-1 2G вводит сайт связывания транскрипции Ets и увеличивает экспрессию MMP-1 [167].В соответствии с функциональной ролью варианта MMP-1 2G, исследование показало, что пациенты с генотипом MMP-1 2G / 2G имели в 6,5 раз повышенный риск необратимых поражений после лечения ТБ по сравнению с пациентов с другими генотипами в этом локусе [148]. Однако эта ассоциация была только в присутствии дополнительного варианта в промоторе хемоаттрактантного белка моноцитов ( MCP ) -1 ( MCP-1 G / G). Пациенты с генотипами MCP-1, G / G и MMP-1, 2G / 2G имели обширный фиброз и повышенную распространенность бронхоэктазов в конце лечения ТБ [148].Эти исследования, однако, не оценивали функцию легких в связи с генотипом и патологией легких.
РИСУНОК 3
Концептуальная модель факторов, которые потенциально способствуют поражению легких после туберкулеза (ТБ). MTB: Mycobacterium tuberculosis .
ТАБЛИЦА 3
Иммуногенетические исследования дисфункции легких, потенциально относящейся к легочной недостаточности после туберкулеза (ТБ)
Напротив, исследования интенсивно изучали генетическую предрасположенность к ХОБЛ [168]. Учитывая связь между ТБ и ХОБЛ в анамнезе, мы предполагаем, что иммуногенетические факторы риска, связанные с ХОБЛ, могут быть потенциальными кандидатами на обструкцию дыхательных путей после ТБ.Например, описанный выше вариант MMP-1 2G в сочетании с однонуклеотидным полиморфизмом (SNP) в MMP-12 был связан с ускоренным снижением функции легких у пациентов с ХОБЛ [150]. Полиморфизмы генов MMP-9 и -12, , а также TIMP были связаны с ХОБЛ и быстрым снижением ОФВ 1 [151–153, 169]. Эти варианты могут иметь значение в контексте поражения легких, связанного с туберкулезом, и их следует изучить дополнительно.
Варианты генов воспалительных цитокинов также участвуют в развитии ХОБЛ. Метаанализ 36 исследований показал, что полиморфизм TNF-α -308A увеличивает риск ХОБЛ у азиатов [154]. Помимо того, что он связан с более значительным ежегодным снижением ОФВ 1 и хроническим бронхитом по сравнению с пациентами без вариантного аллеля, полиморфизм TNF-α -308A был связан с повышенными уровнями в мокроте TNF-α, IL-8 и MPO при ХОБЛ. пациенты [155]. Варианты генов провоспалительных маркеров, таких как IL-8, [156], TGF-β, [157] и IL-6, [158], были связаны с ограничением воздушного потока при ХОБЛ.Еще предстоит определить, играют ли все или какие-либо из этих общих генетических вариантов роль в нарушении функции легких при ТБ.
Иммунные механизмы, лежащие в основе фиброзных интерстициальных заболеваний легких, такие как IPF, могут перекрываться с механизмами, влияющими на фиброгенез при ТБ. Таким образом, вполне вероятно, что общие генетические варианты, вовлеченные в IPF, играют роль в патологическом восстановлении тканей, нарушении газообмена и рестриктивных дефектах вентиляции у больных ТБ. Примечательно, что варианты генов антагониста рецептора IL-1, и TNF-α были связаны с повышенным риском IPF [159, 160].SNP в IL-6 был связан со снижением D LCO в легких пациентов с IPF [161]. Более того, SNP в гене TGF-β были связаны со снижением газообмена в IPF [162, 163]. Более того, множественные полногеномные исследования ассоциации выявили участие SNP в муцине 5B ( MUC5B) и TOLLIP , которые модулируют врожденные иммунные ответы в IPF [164–166]. Генетическая изменчивость TOLLIP представляет особый интерес, учитывая его роль в негативной регуляции каскада передачи сигналов TGF-β [170] и Toll-подобных рецепторов [149].Дефицит TOLLIP приводит к увеличению секреции IL-6 и TNF-α у мышей и людей [149, 171]. Кроме того, у лиц, которые содержали SNP TOLLIP rs5743899 или rs3750920, была снижена экспрессия мРНК TOLLIP , повышены уровни воспалительных цитокинов и повышен риск туберкулеза [149]. Однако эти SNP не исследовались в контексте патологии легких при ТБ или PIAT.
Перспективы развития
Из эпидемиологических исследований очевидно, что легочная недостаточность является относительно распространенным явлением среди пациентов с туберкулезом в анамнезе.В клинических испытаниях, посвященных изучению новых схем лечения туберкулеза, следует рассмотреть возможность включения функциональных тестов легких для оценки воздействия этих методов лечения на долгосрочную легочную заболеваемость. Учитывая разнообразие нарушений функции легких, лечение туберкулеза потенциально может быть специфичным для легочных нарушений и может быть нацелено на конкретные основные иммунопатологические механизмы. Более того, изучение роли распространенных вариантов в поражении легких, связанном с туберкулезом, может дать представление об иммунопатогенезе PIAT.Полногеномные исследования ассоциации в сочетании с глобальным транскриптомным анализом могут также выявить новые биомаркеры и сети путей, связанных с повреждением легких при ТБ.
Терапии, которые используют иммунный ответ хозяина в дополнение к существующим схемам противотуберкулезного лечения, вызывают интерес [172]. Терапия, направленная на хозяина, которая блокирует воспалительные эффекторы и пути, вовлеченные в повреждение легких, является особенно привлекательным способом обращения вспять повреждения легких и улучшения легочной функции. Однако при оценке терапии, направленной на хозяина, следует учитывать вариабельность профилей воспаления и легочных исходов у разных пациентов, поскольку не все пациенты могут получить одинаковую пользу от одного варианта лечения.Фактически, Тобин и др. . [103] продемонстрировали, что пациенты с туберкулезом и менингитом, несущие вариант гена лейкотриен А4 гидролазы ( LTA4H) , связанный с повышенной экспрессией TNF-α, получали наибольшую пользу от дополнительной терапии дексаметазоном по сравнению с пациентами без этого полиморфизма. Персонализированная дополнительная терапия, направленная на хозяина, может улучшить лечение туберкулеза, при котором методы лечения повреждения легких адаптированы к определенным иммунным путям на основе воспалительного и иммуногенетического профиля пациента.Кроме того, потенциальная относительная польза терапии, направленной на хозяина, направленной на элементы воспалительной реакции на ранних этапах лечения ТБ против противофиброзных терапий во время излечения ТБ, в настоящее время неизвестна. Эти и другие приоритеты исследований подробно описаны в таблице 4.
ТАБЛИЦА 4
Краткое изложение основных приоритетов исследований для решения проблемы легочной недостаточности после туберкулеза (ТБ)
В заключение, существует острая необходимость в трансляционных исследованиях для освещения иммунопатогенеза PIAT и информирования стратегии профилактики и лечения.Генетическая предрасположенность к легочной заболеваемости после туберкулеза также должна быть оценена для всестороннего понимания этого важного результата.


 Этот процесс происходит из-за попадания в бронхи микобактерий.
 Этот процесс происходит из-за попадания в бронхи микобактерий.