Сколько живут с раком легких?
Онкологические заболевания дыхательного аппарата — это наиболее распространенная раковая патология в мире. А конкретно аденокарцинома легкого занимает самый большой сегмент в онкологии по всему земному шару. Именно поэтому вопрос, сколько живут с раком легких, столь актуален и волнует большое количество онкологических больных.
Сразу стоит акцентировать внимание на том факте, что очень точную статистику и конкретные цифры получить представляется затруднительным. Дело в том, что отличаются не только опухоли по виду, но и даже каждый конкретный вид рака у разных людей протекает по-разному, соответственно, прогнозы могут отличаться. И тем не менее, приблизительные цифры по выживаемости есть.
Причины, факторы риска
Рак легких является одной из самых агрессивных форм онкологии, рано метастазирует и никак себя не проявляет на ранних стадиях, сложно поддается терапии. Однако, заболевание имеет высоко верифицированные факторы риска, поэтому в некоторой степени поддается профилактике.
В частности, исследованиями доказано, что в 90% случаев аденокарциномы легкого больные были заядлыми курильщиками табака. Это основная причина, которая повышает риск заболеть в несколько раз. Сотни канцерогенов, содержащихся в табачном дыме, повреждают до 70% всех генов из генома человека и, что важно, только через 5 лет они в большинстве восстанавливаются.
При чем исследованиями доказано, что повреждение ДНК идет уже в первые минуты после вдыхания табачного дыма.
Кроме этого, повышают вероятность заболеть плохая экология, загрязненный воздух, гиподинамия и низкий уровень медицинского обслуживания в стране. Комплекс факторов может привести к тому, что диагностируется рак легких 4 степени. Сколько живут такие пациенты? Рассмотрим детальнее.
Продолжительность жизни при раке легких
В связи с тем, что заболевание протекает очень агрессивно и не имеет специфических начальных признаков, прогноз в основном неблагоприятный. Однако, это в значительной степени коррелирует, в зависимости от индивидуального случая.
Ключевой фактор, от которого зависит выживаемость пациента с раком легких, является стадия, на которой выявлено заболевание и качество оказанного лечения. Так, пятилетняя выживаемость всех видов онкологии на 1й стадии на 80% выше, чем у пациентов с 3 или 4 стадией. Эти же цифры в 2, а иногда и в 3 раза отличаются, если сравнивать лечение рака в странах СНГ и на западе — Европа, Израиль, США.
Не стоит недооценивать инновационные и экспериментальные методы диагностики и лечения. Благодаря многим таким методикам пациенты живут с 4 стадией рака легких, более того, получая симптоматическое лечение, не страдает и качество жизни.
Выживаемость с первой стадией рака легкого
Если заболевание было выявлено на начальной стадии (что бывает достаточно редко), 5-летняя выживаемость пациентов составляет около 60% в странах СНГ и более 85% в Израиле. Как видно, применяются современные методики лечение рака легких в Израиле, в том числе, генная терапия, применение моноклональных антител и молекулярная терапия, могут помочь сохранить пациенту жизнь.
Рак 2 стадии: сколько можно прожить?
На второй стадии аденокарцинома легких выявляется уже намного чаще. Здесь уже присутствуют определенные симптомы и закономерности, проявляются рентгенологические критерии и изменения в анализе крови. Сколько живут при раке легких 2 стадии? Прогноз 5-летней выживаемости в среднем составляет 30-40% в странах бывшего СССР и от 70% в Израиле и США. Цифры, опять же, довольно сильно колеблются.
Очень многое зависит от выбранной тактики лечения, агрессивности конкретной опухоли, наличия метастазов в сторожевых лимфоузлах, которые определяются при диагностике. Стоит отметить, что в Израиле используется позитронно-эмиссионная томография (ПЭТ-КТ), которая позволяет выявить конгломераты в лимфоузлах микро размеров, недоступные другим диагностическим методам.
Продолжительность жизни при раке легких 3 стадии
Третья стадия заболевания уже является довольно запущенной, однако, в отличие от стран СНГ, в Израиле
для онкологов нет нереализуемых задач, и от больных никто не отказывается.
Сколько живут при раке легких 3 стадии? В среднем пятилетняя выживаемость в странах третьего мира составляет около 15%, в развитых странах — около 40%.
Выживаемость в течение 1 года — в странах СНГ до 30%, в Израиле, Европе и США — около 55%.
Если лечиться в хорошей клинике, используя современные мировые протоколы, высокотехнологичное оборудование, очевидно, что несколько лет можно прожить даже на 3 стадии рака легкого. Кроме этого, качество жизни в случае правильного лечения, будет гораздо выше.
Рак 4 стадии: сколько живут?
В случае обнаружения рака легких на последней, запущенной стадии, прогноз неутешительный. В большинстве ситуаций все, что остается врачу — симптоматическое лечение, облегчение страданий пациента. Сколько живут с раком легких 4 стадии? Здесь статистика разнообразна. В странах СНГ, такие пациенты не доживают до 1 года почти во всех случаях. Это связано с тем, что уже есть метастическое поражение множества ближайших и отдаленных органов, полиорганная недостаточность и системные нарушения.
В странах с развитой медициной, паллиативное лечение и экспериментальная терапия может позволить прожить больным больше года. Продолжительность жизни при раке легких 4 стадии более года — это считается уже огромным достижением врачей и силой воли самого пациента.
Не смотря на пессимистические сценарии, терять надежду на излечение все же не стоит. В Израиле и других развитых странах постоянно идут новые исследования и клинические испытания новых препаратов. Это и таргетные иммунопрепараты и генная модификация клеток и использование моноклональных антител. Бывают ситуации, когда считавшиеся безнадежными больные попадают под программу таких исследований и могут участвовать в такой терапии.
Так, в 2014 году в США было полностью излечено несколько пациентов с 4й стадией рака и массовыми метастазами с помощью экспериментальной методики инъекции модифицированных Т-киллеров (иммунных клеток), которые запрограммировали на борьбу с раковыми клетками.
Основные причины смерти при раке легких
Как умирают при раке легкого? Основные причины три:
- метастазирование опухоли в жизненно важные органы;
- острая дыхательная недостаточность;
- массированное кровотечение из сосудов легких.

Так как аденокарцинома легких метастазирует в плевру, средостение и окружающие ткани — у заболевания может быть масса осложнений, которые также могут повлечь за собой летальных исход, если не будет оказана своевременная помощь.
Сколько осталось жить при метастазах в легкие? Если речь идет не о первичной опухоли в легких, а об метастазах из другого начального очага — здесь прогноз также неутешительный. Независимо от того, где находится первичная опухоль, 1-летняя выживаемость при удаленных метастазах колеблется в районе 30-40%.
Таким образом, выживаемость и прогноз при раке легкого в целом неблагоприятный, однако в значительной степени отличается, в зависимости от ряда факторов. Сколько можно прожить и главное, как, зависит от стадии болезни и от врачей, к которым попал пациент.
Поэтому, доверить самое ценное для человека, жизнь, можно лишь грамотным специалистам и клинике с именем.
Рак легкого 1 стадии | Лечение в Москве на системе Кибер-Нож
В нашем центре осуществляется лечение при помощи системы КиберНож – наиболее эффективного метода борьбы с раком легкого 1 степени.
Лечение рака легкого 1 стадии – одно из направлений деятельности центра лучевой терапии «Онкостоп». Мы практикуем индивидуальный подход к каждому пациенту, а также демократичную ценовую политику.
Рак легкого – одно из самых распространенных онкологических заболеваний во всем мире, в том числе и в нашей стране. Согласно статистическим данным, мужчины гораздо чаще страдают раком легкого, чем женщины, особенно те, чьей многолетней вредной привычкой является курение.
Особенности рака 1-й степени
Для определения стадии рака необходимо учитывать его гистологию. При мелкоклеточном раке степень распространения опухоли на другие органы и системы может быть:
- ограниченной,
- обширной.

В первом случае раковые клетки локализируются лишь в одном легком и расположенных рядом тканях. Во втором злокачественная опухоль выходит за пределы легкого, в котором образовалась изначально, и поражает отдаленные органы или ткани груди.
Немелкоклеточный рак легкого имеет шесть стадий развития, каждая из которых отличается индивидуальными особенностями.
Скрытая стадия. Опухоль, как таковая, в легком еще не образовалась. Раковые клетки могут быть обнаружены в мокроте или в жидкости, взятой для бронхоскопии.
Нулевая стадия. Раковые клетки находятся только в слизистой оболочке легкого. На данном этапе у больного диагностируется карцинома.
Первая стадия. Опухоль разрастается по всему легкому, поражая его глубокие ткани.
Вторая стадия. Злокачественное новообразование метастазирует в лимфатические узлы.
Третья стадия. Клетки опухоли обнаруживаются в соседних органах, диафрагме, стенке грудной клетки, сосудах, лимфатических узлах, а также в удаленных частях организма.
Четвертая стадия. Опухоль поражает более одной доли легкого или второе легкое, дает метастазы в удаленные органы – головной, мозг печень, кости.
Злокачественная опухоль при первой стадии рака имеет размеры от 3 до 5 сантиметров. Если ее клетки локализированы в одном сегменте легкого, то подобное заболевание называется периферическим раком, если же в пределах области бронха – то центральным раком. На данном этапе заболевания метастазы отсутствуют, так же, как и поражение опухолью лимфоузлов.
Рак легкого 1-й стадии имеет две степени.
Степень 1 А характеризуется максимальным размером опухоли до 3-х сантиметров. Пятилетняя выживаемость на данном этапе заболевания составляет 60 – 75 % при немелкоклеточном раке и около 40 % при мелкоклеточном.
Степень 1 В характеризуется наибольшим диаметром опухоли от 3 до 5 сантиметров, неповреждением лимфатических узлов и других частей тела больного. Пятилетняя выживаемость на данном этапе составляет от 45 до 60 % при немелкоклеточном раке и около 25 % при мелкоклеточном.
Как показывает практика, рак на 1-й стадии диагностируется лишь у 15 % больных, так как он протекает бессимптомно. Именно поэтому нельзя забывать о регулярных медицинских проверках и обследованиях, особенно тем, кто попадает в группу риска. К ним в первую очередь относятся курильщики.
К обследованиям, способным выявить рак легкого на 1-й стадии относятся:
- флюорография грудной клетки,
- рентгенография легкого,
- компьютерная томография (для диагностики рака проводится спирально-винтовой срез),
- анализ на мокроту,
- бронхоскопия.
Последние два вида исследований особенно рекомендованы для курильщиков. Анализ на мокроту может выявить нахождение в ней атипичных клеток, что может означать наличие опухоли легкого.
Бронхоскопия позволяет обнаружить опухоль зрительно и провести ее биопсию.
Лечение рака 1-й степени
Основным способом лечения рака на 1-й стадии является хирургическое вмешательство.
Наряду с ним врач-онколог может назначить химиотерапию, лучевую терапию и различные медикаменты.
Прогноз для больных раком легкого на 1-й стадии весьма благоприятен, если, конечно, лечение начато своевременно.
В каждом отдельном случае стоимость определяется на основании показаний к лечению, необходимого количества фракций и плана лечения разработанного врачом радиационным онкологом и медицинским физиком.
Подробную информацию о лечении рака легкого 1-й стадии на системе «КиберНож» Вы можете получить у наших специалистов центра лучевой терапии «Онкостоп» по телефону +7 (495) 215-00-49
| Стоимость лечения | |
| Рак легкого (от 370 000) |
Точная стоимость лечения определяется только после консультации с врачом
Этим болеют тысячи россиян. От болезни не застрахован никто: Наука и техника: Lenta.ru
Услышав диагноз «рак легкого», хочется сдаться и опустить руки.
Это заболевание – самая частая причина смерти от онкологического заболевания у мужчин, а у женщин он уступает лишь раку молочной железы. Однако современные методы лечения помогают продлить жизнь пациента на годы, особенно когда опухоль диагностирована на ранних стадиях. «Лента.ру» рассказывает, какие варианты терапии доступны пациентам.
Рак легкого – это злокачественная опухоль, развивающаяся из эпителиальных клеток бронхов разного калибра. Когда клетки эпителия по тем или иным причинам начинают неконтролируемо делиться, возникает злокачественная опухоль, которая постепенно разрастается и вытесняет нормальные клетки эпителия.
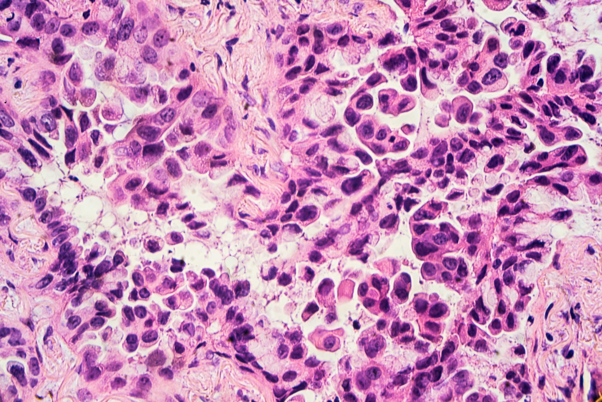
Гистологический срез плоскоклеточного рака — одного из подтипов немелкоклеточного рака легкого
Изображение: librepathology.org
Рак легкого делится на типы в зависимости от того, как выглядят вышедшие из-под контроля клетки и какого они размера. Самый распространенный тип — немелкоклеточный рак легкого, который составляет примерно 85 процентов от всех случаев рака легкого.
Цитологическая картина мелкоклеточного рака легкого
Изображение: Wikimedia.org
Другой тип – мелкоклеточный рак легкого – встречается намного реже. Он опасен тем, что его клетки делятся очень быстро. В большинстве случаев такой рак рано распространяется и в другие органы через кровь или лимфу (дает метастазы). Вследствие раннего метастазирования, в том числе, в оба легких, эффективно удалить его хирургическим путем бывает невозможно. Вместе с тем, использование противоопухолевой химиотерапии замедляет рост опухоли, а в ряде случаев приводит к полному излечению; особенно эффективными являются комбинации противоопухолевых препаратов и сочетание лекарственного метода с лучевой терапией.
Немелкоклеточный рак легкого, напротив, более устойчив к химиотерапии, но его бывает легче удалить при помощи операции.
Подходящий метод лечения и эффективность терапии зависят не только от разновидности рака, но и от его стадии. Злокачественные опухоли врачи классифицируют по системе TNM.
Аббревиатура образована по первым буквам слов tumor (опухоль), nodes (лимфатические узлы), metastasis (метастазы). Эти параметры помогают оценить размер опухоли, а также степень ее распространенности. Существует также классификация опухолей по стадиям от I до IV — в зависимости от размера, расположения и наличия метастазов.
В зависимости от стадии рак легкого можно разделить на локализованный (I-II стадии) и распространенный (III-IV стадии).
Избавиться от локализованного немелкоклеточного рака легкого может помочь хирургическая операция, после которой до 60 процентов пациентов проживут минимум пять лет. Нередко больные, которых отказались оперировать по месту обращения, стремятся найти другого хирурга. Они собирают деньги на операцию, выезжают за рубеж, но не учитывают, что операцию можно выполнить далеко не каждому, а иногда оно будет опаснее, чем другие методы лечения. Больным с мелкоклеточным раком легкого удалить опухоль хирургически можно только в том случае, если поражено одно легкое.
После операции больному нередко назначают курс химио- или лучевой терапии на тот случай, если в организме еще остались клетки опухоли. Это снижает вероятность возвращения болезни (рецидива). Такой подход рекомендуется при немелкоклеточном раке легкого, начиная со стадии IIB. На третьей стадии, которая считается условно операбельной, используется комбинированное лечение с применением лучевой или химиотерапии (*).
Лучевая терапия может стать хорошим вариантом для лечения рака легкого в том случае, когда опухоль невозможно удалить хирургическим путем или существует риск операционных осложнений. Но в одиночку этот метод редко справляется, поэтому для усиления действия его сочетают с химиотерапией.
Химиотерапия для немелкоклеточного рака легкого может стать дополнением к хирургической операции. Она может стать и основным способом лечения для пациентов, которым операция по различным причинам не может быть проведена. Лекарства замедляют деление клеток или убивают их. Оба метода помогают продлить жизнь пациентов.
Для мелкоклеточного рака легкого химиотерапия будет основным лечением, зачастую в сочетании с лучевой терапией. Облучение уничтожает опухолевые клетки в лимфатических узлах, если заболевание распространилось и на них (**).
Преимущества лучевой и химиотерапии даются высокой ценой. Качество жизни пациентов ухудшают побочные эффекты: сильные боли, потеря волос, постоянная тошнота, когнитивные нарушения. При лечении страдают не только клетки опухоли, но и здоровые клетки организма. Комбинация этих подходов подойдет только пациентам с удовлетворительным общим состоянием (0-1 балл по шкале ECOG, основанной на степени двигательной активности, по которой определяется функциональный статус). К сожалению, несмотря на все эти жертвы, болезнь отступает далеко не всегда. Поэтому исследователи всего мира десятилетиями вели поиски более эффективных и безопасных методов терапии, при которых здоровые клетки не страдали бы.
Частичное решение данной проблемы было найдено в 1980-х годах.
Именно тогда ученые экспериментально доказали, что клетки опухоли можно убивать при помощи лекарств, которые химически связываются со специфической «мишенью» — белками, располагающимися в большей степени на раковых клетках и, в меньшей степени на всех остальных клетках организма. Так появилась таргетная терапия (от английского target — «мишень»).
В борьбе против немелкоклеточного рака легкого применяется несколько типов таргетной терапии: препараты, влияющие на рост кровеносных сосудов, и препараты, воздействующие на специфические белки, которые появляются в клетках из-за генетических нарушений. Эти лекарства могут быть эффективны даже на поздних стадиях, а также в тех случаях, когда другая терапия не помогла или когда болезнь возвращается.
Препараты первого типа нацелены на белок, стимулирующий рост сосудов. Его подавление лишает опухоль питания.
Вторая группа препаратов нацелена на специфические белки, кодируемые генами EGFR, ALK или ROS-1, которые отвечают за деление и рост клеток.
Некоторые мутации могут приводить к повышенному синтезу этих белков, из чего следует неконтролируемое деление и развитие опухоли.
Генетические нарушения или мутации, приводящие к избыточному синтезу белков, на которые нацелена таргетная терапия, есть у 10-35 процентов пациентов с немелкоклеточным раком легкого, поэтому данный вид лечения может применяться далеко не у всех больных. Что же делать остальным?
В последнее десятилетие набирает обороты новое направление в медицине — иммуноонкология. Несколько лекарств этого типа уже одобрены для лечения немелкоклеточного рака легкого. Как и в случае с таргетной терапией, важную роль играют белки на поверхности опухолевых клеток или биомаркеры. В одиночку иммуноонкологические препараты могут применяться примерно у одной трети больных, опухолевые клетки которых имеют экспрессию специфических белков на поверхности, но в комбинации с химиотерапией лечение может применяться вне зависимости от этого условия, то есть даже при отсутствии биомаркеров.
Иммуноонкологические препараты изменили прогноз при немелкоклеточном раке легкого, поскольку при наличии в опухоли высокой экспрессии специфических белков каждый третий пациент живет более 5 лет (***).
Чтобы понять, как это работает, вспомним об исследованиях Джеймса Эллисона и Тасуку Хондзе, которые получили Нобелевскую премию по физиологии и медицине «за открытие терапии рака при помощи подавления негативной иммунной регуляции» в 2018 году. Что это значит и как это может быть связано с лечением злокачественных опухолей?
Иммунная регуляция — настройка интенсивности, с которой иммунитет реагирует на опасность, будь то бактерия, клетка опухоли или клетка, зараженная вирусом. Эта система похожа на полицию, которая должна охранять порядок в государстве. Если полиция сработает плохо, пропустит и не обезвредит нарушителей, у человека может возникнуть рак. Если же иммунитет будет чересчур строгим, то пострадают невиновные — обычные клетки, которые никому не угрожают. Такой сценарий может привести к аутоиммунным заболеваниям — например, диабету, псориазу, системной красной волчанке.
Нобелевские лауреаты исследовали белки под названием PD-1 и CTLA-4. Эти белки находятся на поверхности Т-клеток, или Т-лимфоцитов (одного из типов иммунных клеток). Оба белка становятся «выключателями» активированных Т-клеток, чтобы они не атаковали нормальные клетки организма. Различие между ними заключается в фазе иммунного ответа, в которой они действуют: CTLA-4 работает в фазу активации Т-лимфоцитов, PD-1 — непосредственно в месте уничтожения патогена (в т.ч., опухолевой клетки). Предотвращение активации PD-1 или CTLA-4 называется подавлением негативной иммунной регуляции.
Подробнее об этом виде терапии – в ролике Национального института здоровья США (на английском)
Эти белки действуют как контрольные точки, которые не дают Т-лимфоцитам вершить расправу слишком опрометчиво. Но если в организме уже развивается злокачественная опухоль, то иммунитет, судя по всему, работал слишком слабо. Поэтому ученые придумали блокировать эти и другие контрольные точки. Если не останавливать Т-клетки, они быстрее заметят нарушения и начнут сами сражаться против опухоли.
Эта идея стала революцией в лечении рака и привела к рождению нового направления терапии. Неудивительно, что за нее вручили самую престижную научную награду.
Особенности организма пациентов — от генетики и общего состояния здоровья до вида рака, его распространенности и молекулярного подтипа — делают каждый случай индивидуальным. Врачи принимают решение о тактике лечения, учитывая множество характеристик. Поэтому если вы где-то услышали, что лучше всего от рака легкого помогает химиотерапия, таргетная, иммунотерапия или, наоборот, операция, это еще не значит, что такой подход будет лучшим для вас. Но узнав особенности опухоли, ее распространенность и наличие биомаркеров, можно вместе с лечащим врачом выбрать оптимальный план лечения.
Не всегда рекомендованная схема лечения срабатывает сразу, и приходится переходить на другую. Порой рак возвращается через годы после проведенного с эффектом лечения, и для этих случаев также можно подобрать действенные методы.
Современная медицина быстро движется вперед: вероятность продлить жизнь онкологическим больным есть даже в тех случаях, которые казались безнадежными еще десять лет назад.
Но ничто так не повышает шансы на успех, как ранняя диагностика. Поэтому стоит уделять внимание к своему здоровью и регулярно проходить медосмотр: чем быстрее удастся заметить нарушения, тем выше вероятность, что будет поставлен своевременный диагноз. Благодаря этому можно будет обойтись малыми жертвами.
***
Информация предоставлена при поддержке ООО «МСД Фармасьютикалс», 119021, Россия, г. Москва, ул. Тимура Фрунзе, д.11, стр. 1, тел. +7-495-916-70-94
Необходима консультация специалиста здравоохранения.
RU-NON-00117 04.2020
* — Лактионов К.К., Артамонова Е.В., Бредер В.В., Горбунова В.А., Моисеенко Ф.В., Реутова Е.В. и соавт. Практические рекомендации по лекарственному лечению немелкоклеточного рака легкого. Злокачественные опухоли: Практические рекомендации RUSSCO #3s2, 2019 (том 9). С. 32–48.
** — Чубенко В.А., Бычков М.Б., Деньгина Н.В., Кузьминов А.Е., Сакаева Д.Д., Семенова А.И. Практические рекомендации по лекарcтвенному лечению мелкоклеточного рака легкого.
Злокачественные опухоли : Практические рекомендации RUSSCO #3s2, 2019 (том 9). С.49–54.
*** — DOI: 10.1200/JCO.19.00934 Journal of Clinical Oncology 37, no. 28 (October 01, 2019) 2518-2527.
Метастазы при раке легкого
Как часто метастазирует рак легкого? В каких органах чаще всего обнаруживаются метастазы? Существуют ли эффективные методы лечения? Каковы прогнозы? Возможна ли ремиссия?
Способность к метастазированию — одна из ключевых особенностей злокачественных опухолей. Раковые клетки могут отрываться от первичной, «материнской», опухоли, распространяться по организму с током крови или лимфы и давать начало вторичным очагам в других органах. Собственно, этот процесс и называется метастазированием.
Метастазы всегда называют по первичной опухоли. Например, если рак легкого метастазировал в кости, то его называют раком легкого с костными метастазами, но не раком кости.
Как часто метастазирует рак легкого?
Довольно часто.
Согласно статистике, метастазы есть у 40% пациентов, у которых был недавно диагностирован рак легких. При такой картине диагностируют четвертую стадию злокачественной опухоли. Естественно, прогноз при этом существенно хуже, чем на ранних стадиях, когда метастазов нет.
Причина столь частой поздней диагностики в том, что на ранних стадиях рак легких не проявляет себя, либо симптомы есть, но они напоминают другое заболевание, например, хронический бронхит или ХОБЛ. Многие курильщики не обращают внимания на постоянный кашель и одышку, считая их чем-то самим собой разумеющимся — но это могут быть те самые «первые звоночки».
Метастазы мелкоклеточного и немелкоклеточного рака легкого: есть ли разница?
Более редкий мелкоклеточный тип рака легкого отличается от более распространенного немелкоклеточного более высокой агрессивностью. Обычно он быстрее прорастает в соседние органы и раньше дает метастазы. Как правило, у пациентов с мелкоклеточным раком быстрее возникают такие симптомы, как повышенная утомляемость, снижение веса, боли в костях.
В каких органах чаще всего обнаруживают метастазы рака легкого?
Метастазы в лимфатических узлах
Чаще всего злокачественные опухоли легких метастазируют в лимфоузлы, кости, головной мозг, печень и надпочечники.
Если опухолевые клетки распространяются в регионарные лимфоузлы, которые находятся в грудной клетке, недалеко от легких, такой рак пока еще не считается метастатическим. Обычно он не вызывает никаких симптомов.
Преодолев регионарные лимфоузлы, раковые клетки продолжают мигрировать с током лимфы, и могут проникать в лимфатические узлы, расположенные под кожей. Пораженные подкожные лимфоузлы увеличиваются, становятся болезненными. Их можно прощупать.
Методы лечения. Если опухоль распространилась в близлежащие лимфоузлы, их можно удалить хирургическим путем. Применяют химиотерапию, лучевую терапию.
Метастазы в костях
Метастазы в костях встречаются примерно у 30–40% больных с раком легких IV стадии.
Чаще всего раковые клетки распространяются в позвонки, таз, плечевую и бедренную кость.
Наиболее распространенный симптом костных метастазов — боль в костях. Поначалу возникает чувство дискомфорта, мышечного напряжения, постепенно оно нарастает, боли становятся все более сильными.
При прогрессировании процесса могут возникать патологические переломы, кость ломается от незначительной травмы или даже от обычных повседневных нагрузок. Кальций из костной ткани вымывается в кровь, из-за этого снижается аппетит, возникает слабость в мышцах.
Наиболее опасны метастазы в позвонках, так как из-за них может происходить сдавление спинного мозга. Грозные симптомы этого состояния: онемение, слабость в мышцах ног, недержание мочи и стула.
Костные метастазы при раке легкого обнаруживают при помощи КТ, МРТ, ПЭТ.
Методы лечения. Необходимо замедлить рост метастазов, предотвратить патологические переломы и избавить пациента от боли. Для этого применяют лучевую терапию, обезболивающие средства, препараты, которые предотвращают разрушение костной ткани.
Иногда показаны хирургические вмешательства, направленные на стабилизацию костей.
Метастазы в головном мозге
Рак легкого — одна из злокачественных опухолей, которые наиболее часто метастазируют в головной мозг. На IV стадии метастазы в мозге обнаруживаются примерно в 40% случаев.
Треть таких пациентов не испытывают симптомов. У двух третей возникают проявления, связанные с разрушением метастазами ткани мозга, воспалением и отеком.
Беспокоят головные боли и различные неврологические симптомы: судороги, нарушение речи, расстройство координации движений и чувства равновесия, ухудшение зрения, памяти, слабость в половине тела, как при инсульте, изменение личности, хроническая усталость.
Для диагностики метастазов рака легкого в головном мозге применяют МРТ, компьютерную томографию.
Методы лечения. Проводят паллиативное лечение, направленное на борьбу с симптомами. Для борьбы с судорогами и головными болями применяют обезболивающие и противосудорожные препараты.
Отек и воспаление снимают с помощью стероидных средств.
Лучевая терапия помогает снизить риск метастазов в головном мозге, а если они уже появились — замедлить их рост и улучшить состояние пациента. При единичных небольших очагах можно использовать «гамма-нож».
Метастазы в печени
Чаще всего метастазы в печени при раке легких не сопровождаются какими-либо симптомами. Их обнаруживают в ходе обследования. Некоторых пациентов беспокоит ухудшение аппетита, тошнота, боли под правым ребром. Если метастазов много, и они сильно нарушают функцию печени, развивается желтуха.
Обнаруживают метастазы в печени во время ультразвукового исследования, КТ или позитронно-эмиссионной томографии (ПЭТ).
Методы лечения. Если в печени обнаружен один небольшой метастаз (что бывает редко), его можно удалить хирургически. В большинстве случаев проводят лечение химиопрепаратами. В некоторых случаях прибегают к помощи интервенционной хирургии:
- Радиочастотная абляция — процедура, во время которой в опухоль вводят тонкую металлическую иглу и подают на нее ток высокой частоты.
Он сжигает раковые клетки. - Интраартериальная химиотерапия — когда химиопрепарат вводят не в системный кровоток, а непосредственно в сосуд, питающий опухоль.
- Химиоэмболизация — процедура, во время которой в сосуд, питающий опухоль, вводят микросферы-эмболы и химиопрепарат. Эмболы перекрывают просвет артерий, лишая раковые клетки питательных веществ и кислорода, а химиопрепарат уничтожает их.
Метастазы в надпочечниках
Надпочечники — небольшая парная железа. Они находятся возле почек и вырабатывают некоторые гормоны, в частности, глюкокортикостероиды и «гормоны стресса». Метастазы в них редко дают симптомы, чаще всего обнаруживаются во время обследования.
Методы лечения. Если в надпочечниках обнаружен один небольшой метастаз, его можно удалить хирургически. Зачастую это помогает продлить жизнь пациента.
Как лечить метастазы рака легких?
Единичные небольшие метастазы можно удалить.
К сожалению, чаще всего метастазы при раке легких бывают множественными, находятся в разных органах, и хирургическое лечение невозможно.
Таргетная терапия при метастазах рака легкого
Назначить наиболее правильное и эффективное лечение помогает молекулярно-генетическое тестирование. Если в раковых клетках имеются некоторые мутации, справиться с ними помогают таргетные препараты:
- При мутации в гене ALK: кризотиниб, церитиниб, алектиниб, бригатиниб.
- При мутации в гене EGFR: эрлотиниб, гефитиниб, афатиниб.
- При мутации в гене ROS1: кризотиниб.
- При мутации в гене BRAF: дабрафениб, траметиниб.
Иммунотерапия при метастазах рака легкого
Иммунопрепараты помогают иммунной системе пациента распознать и атаковать опухолевые клетки. Если опухолевые клетки содержат большое количество белка под названием PD-L1, может принести эффект лечение некоторыми иммунопрепаратами, например, пембролизумабом.
Химиотерапия при метастазах рака легкого
В большинстве случаев при раке легкого IV стадии с метастазами применяются химиопрепараты.
В зависимости от характеристик опухоли и состояния пациента, врач может назначить терапию одним или комбинацией препаратов. Зачастую химиотерапию сочетают с таргетными препаратами, такими как пембролизумаб, бевацизумаб, нецитумумаб.
В большинстве случаев лечение при метастазах носит паллиативный характер. Оно не может вылечить, но способно облегчить боль и другие симптомы, продлить жизнь.
Сколько живут такие пациенты?
Метастатический рак с большим трудом поддается лечению:
- Пятилетняя выживаемость (процент пациентов, которые остались живы спустя 5 лет с момента постановки диагноза) составляет 1–2%.
- Медиана выживаемости (время, спустя которое половина пациентов погибла, вторая половина осталась в живых) — 6–12 месяцев (без лечения — 2–4 месяца).
Однако, такая негативная статистика — не повод опускать руки.
Некоторые пациенты (пусть и единицы из ста) все же остаются живы в течение очень долгого времени, многих лет. Никто заранее не знает, кто из тех, у кого только что диагностировали IV стадию рака легких, попадет в число этих выживших.
Кроме того, наука не стоит на месте. Сейчас врачи и ученые возлагают большие надежды на иммунотерапию и таргетные препараты. Методы лечения совершенствуются, а значит, шансы на победу над раком повышаются.
Что такое метастазы в легких?
Под метастазами в легких понимают очаги, которые появились в легочной ткани в результате метастазирования, в то время как основная, первичная, опухоль находится в другом органе. Такой рак легких называется вторичным или метастатическим. Статистика показывает, что он встречается примерно у 30–35% онкологических больных. В легкие метастазируют опухоли из многих органов.
Какими бывают метастазы в легких?
Метастазы в легких, в зависимости от формы, бывают очаговыми (узлы с более-менее ровными краями, менее агрессивный вариант), инфильтративными (когда опухоль как бы «расползается» по легочной ткани — такие метастазы более агрессивны) и смешанными.
В зависимости от количества, выделяют солитарные (один очаг), единичные и множественные метастазы.
Также они различаются по плотности (это можно оценить по рентгеновским снимкам), в зависимости от того, откуда опухоль метастазировала в легкие, и из какой ткани она состоит. При поражении одного легкого говорят об односторонних метастазах, при поражении обоих легких — о двухсторонних. В зависимости от размеров, очаги делят на мелкие и крупные.
Как диагностировать метастазы в легких?
Диагностировать метастазы в легких по симптомам сложно. Иногда симптомы вообще отсутствуют, если очаг всего один, имеет небольшие размеры и ровные контуры. Инфильтративные метастазы начинают проявляться раньше и ярче. Симптомы неспецифичны, они встречаются и при первичном раке легкого, и при других заболеваниях. Беспокоит кашель, одышка, боли в груди, мокрота с кровью, слабость, снижение массы тела.
Диагностировать метастазы в легких помогают следующие методы:
- Рентгенография грудной клетки может показать очаги в легких, но лишь в случае, если диаметр последних превышает 1 см.

- Компьютерная томография — более информативный метод диагностики, который позволяет обнаруживать очаги менее 5 мм.
- Бронхоскопия — процедура, во время которой в бронхи вводят бронхоскоп — специальный эндоскопический инструмент с миниатюрной видеокамерой и источником света.
- Обнаружив во время исследования подозрительное образование, врач может провести его биопсию.
- Биопсия легкого — инвазивное исследование, во время которого в ткань легкого через стенку грудной клетки вводят иглу и получают некоторое количество ткани из патологического очага.
Лечение метастазов в легких
Основной метод лечения метастазов в легких — химиотерапия. Если метастазировал гормонозависимый рак молочной железы, проводят гормональную терапию. Лучевую терапию можно применять при единственном метастазе, но она помогает намного хуже, чем при первичных опухолях легких.
К хирургическим методам лечения прибегают редко, хотя, современные врачи оперируют метастазы в легких все чаще.
Для того чтобы хирургическое вмешательство стало возможным, должны быть соблюдены некоторые условия:
- В легких один или не более трех небольших метастазов.
- Нет первичной опухоли либо ее рецидива.
- Нет метастазов в других частях тела.
- С момента лечения основной опухоли до появления метастаза прошло 12 месяцев или больше.
- В течение полугода после того, как обнаружен метастаз, не должно появиться других метастазов.
- У пациента нет противопоказаний к хирургическому лечению из-за сопутствующих проблем со здоровьем.
Когда метастазы перестают реагировать на химиопрепараты, сильно разрастаются и нарушают работу легких, возникает дыхательная недостаточность. Пациенту требуется кислородотерапия, а в более тяжелых случаях — искусственная вентиляция легких.
Прогноз при метастазах в легких
Прогноз для стойкой ремиссии при любом метастатическом раке негативен. Очень небольшой процент пациентов выздоравливает, в большинстве же случаев такой рак вылечить нельзя.
Но врач может продлить жизнь пациента и избавить его от мучительных симптомов. Помочь можно всегда.
Как останавливают развитие метастазов?
В первую очередь играет роль ранняя диагностика. Идеальный вариант — если рак выявлен на ранней стадии, когда не идет речи не только о метастазах, но и о прорастании в соседние ткани. К сожалению, это сложная задача, потому что на ранних стадиях многие онкологические заболевания никак себя не проявляют, человек не подозревает, что болен.
В ранней диагностике рака легкого и других органов помогает скрининг. Все люди из группы повышенного риска, в первую очередь курильщики со стажем, должны регулярно проходить обследование. В России это традиционно флюорография, но данные научных исследований показывают, что наиболее эффективна КТ.
Метастазы в легких могут возникнуть и после ремиссии. Поэтому в программу наблюдения после успешного лечения входят регулярные рентгенографии грудной клетки. Если на рентгенограммах обнаружен очаг, проводят компьютерную томографию.![]()
Химиотерапия при раке легких | Клиника Рассвет
Системная терапия немелкоклеточного рака легкого (НМРЛ)
Системная терапия — это использование лекарственных средств для уничтожения раковых клеток. С током крови препараты распространяются по всему телу и воздействуют на раковые клетки. Обычно при системной терапии вводятся растворы в вену или используются таблетки и капсулы.
Типы системной терапии для лечения НМРЛ включают в себя:
- химиотерапию;
- таргетную терапию;
- иммунотерапию.
Человек может получать один вид системной терапии или комбинацию препаратов. Также системная терапия может дополнять такие виды лечения, как хирургия и/или лучевая терапия.
Химиотерапия
Химиотерапия — это использование лекарств для уничтожения опухолей, как правило, путем предотвращения роста, деления и образования новых раковых клеток. Доказано, что химиотерапия улучшает как продолжительность, так и качество жизни людей с раком легкого на всех стадиях.
Режим химиотерапии (или график) обычно состоит из определенного количества циклов, проводимых в течение определенного периода времени. От типа рака легкого, такого как аденокарцинома или плоскоклеточный рак, зависит, какие препараты могут использоваться для химиотерапии.
Химиотерапия перед облучением или операцией может помочь людям с раком легкого, уменьшив объем опухоли настолько, что ее будет легче удалить хирургическим путем. Химиотерапия, которая проводится перед лучевой терапией, может уничтожать скрытые раковые клетки, что повышает эффективность облучения.
Есть основания полагать, что для пациентов с НМРЛ, у которых опухоль может быть удалена хирургическим путем, химиотерапия после операции, известная как «адъювантная терапия», способствует предотвращению рецидива рака. Особенно это касается пациентов с II и III стадиями заболевания.
Для пациентов с III стадией рака легкого в случаях, когда опухоль не может быть удалена хирургическим путем, обычно рекомендуется химиотерапия в сочетании с лучевой терапией.
На IV стадии рака легкого химиотерапия, как правило, является основным методом лечения. У пациентов с IV стадией лучевая терапия используется только для паллиативного лечения симптомов.
Обычно для лечения рака легкого используют комбинацию 2-3 препаратов (полихимиотерапия) либо 1 препарат (монохимиотерапия).
Препараты используемые для лечения НМРК:
- карбоплатин или цисплатин;
- доцетаксел;
- гемцитабин;
- наб-паклитаксел;
- паклитаксел;
- пеметрексед;
- винорельбин.
Если схема лечения не приносит желаемого эффекта или через некоторое время рак легкого возвращается, назначается вторая линия химиотерапии.
Химиотерапия может повреждать и здоровые клетки организма, включая клетки крови, кожи и нервные клетки. Побочные эффекты химиотерапии зависят от индивидуальных особенностей пациента и применяемой дозы. Они могут включать усталость, нарушение кроветворения, увеличение риска инфекционных процессов, появление язв в полости рта, тошноту и рвоту, потерю аппетита, диарею, онемение и покалывание в руках и ногах, а также потерю волос.
В клинике Рассвет для облегчения побочных эффектов химиотерапии доктор-онколог дополнительно назначает лекарственные средства. Введение гормонов и КСФ используются для предотвращения нарушения кроветворения. Проявления тошноты и рвоты также можно избежать с помощью специальных препаратов. Эти побочные эффекты обычно исчезают после завершения лечения.
На консультации онколога вы сможете больше узнать о профилактике тошноты, рвоты, и других побочных эффектов, вызванных химиопрепаратами.
Таргетная терапия
Одним из наиболее интересных достижений в лечении рака легкого является внедрение таргетных препаратов.
Таргетная терапия — это лечение, направленное на конкретные гены, белки или рецепторы опухолевой клетки, способствующие росту и выживанию рака. Этот вид лечения блокирует рост и распространение раковых клеток, ограничивая повреждение здоровых клеток.
Не все опухоли имеют одинаковые цели для таргетных препаратов. Чтобы найти наиболее эффективное лечение, необходимо провести тесты для определения генов, белков и других факторов опухоли.
Это помогает подобрать наиболее эффективное лечение каждому пациенту, когда это возможно.
Таргетная терапия рака легкого включает в себя следующие препараты.
Эрлотиниб. Применяется для лечения НМРЛ. Препарат блокирует определенный тип рецепторов на поверхности клеток — рецептор эпидермального фактора роста (EGFR). EGFR может стимулировать рост и распространение раковых клеток. Клетки рака легкого, которые имеют мутацию EGFR, с большей вероятностью будут реагировать на лечение эрлотинибом, чем на химиотерапию. Для пациентов, прошедших химиотерапию и нуждающихся в поддерживающем лечении, эрлотиниб также может применяться даже без присутствия мутации.
Афатиниб. Одобрен как первая линия терапии метастатического НМРЛ у пациентов с теми же мутациями генов EGFR, что и у пациентов, которым может быть назначен эрлотиниб.
Гефитиниб. Одобрен как первая линия терапии для лечения пациентов с НМРЛ, опухоли которых содержат специфические типы мутаций генов EGFR.
Бевацизумаб. Как и нормальные ткани, опухоли нуждаются в кровоснабжении, чтобы выжить. Кровеносные сосуды растут несколькими способами. Одним из способов является наличие вещества, называемого фактором роста эндотелия сосудов (VEGF). Это вещество стимулирует кровеносные сосуды к проникновению в опухоль и обеспечивает опухолевые клетки кислородом, минералами и другими питательными веществами. Когда опухоль распространяются по всему телу, они высвобождают VEGF для создания новых кровеносных сосудов. Бевацизумаб, через останавку VEGF, блокирует рост новых кровеносных сосудов (поскольку нормальные ткани имеют сформировавшееся кровоснабжение, препарат на них не влияет). Было доказано, что в сочетании с химиотерапией бевацизумаб улучшает выживаемость пациентов с определенными типами НМРЛ, такими как аденокарцинома и крупноклеточная карцинома.
Кризотиниб. Препарат, который доказал свою эффективность у пациентов с прогрессирующим НМРЛ при наличии мутацией гена ALK.
Кризотиниб работает, блокируя АЛК и останавливая рост опухоли.
Церитиниб. Препарат одобрен для пациентов с метастатическим ALK-положительным раком легкого, которые не переносят кризотиниб, или рак у них продолжает расти во время лечения кризотинибом.
Поскольку гены раковых клеток могут эволюционировать, некоторые опухоли могут проявлять устойчивость к таргетному лечению. Лекарственные средства для решения этих проблем в настоящее время изучаются в рамках клинических испытаний.
Онкологи клиники Рассвет постоянно посещают важнейшие научные конференции и съезды, а также регулярно обновляют и углубляют свои знания современных клинических рекомендаций. Это позволяет назначать нашим пациентам современное лечение с наибольшей эффективностью при наименьших побочных эффектах.
Иммунотерапия
В качестве метода лечения некоторых видов рака легкого иммунотерапия используется относительно недавно. Хотя любое лечение рака может вызывать побочные эффекты, иммунотерапия, как правило, хорошо переносится; отчасти это связано с ее механизмом действия.
Иммунная система постоянно работает, чтобы сохранить наше здоровье. Она распознает такие опасности, как инфекции, вирусы и рост раковых клеток, и борется с ними. Иммунотерапия использует собственную иммунную систему человека для лечения рака.
В марте 2015 года FDA одобрило иммунотерапию ниволумабом для лечения метастатического плоскоклеточного НМРЛ при неэффективности предыдущего лечения. Ниволумаб работает, вмешиваясь в молекулярный «тормоз», известный как PD-1, который предотвращает поражение опухоли иммунной системой организма.
В 2016 году FDA одобрило новый иммунный препарат пембролизумаб для лечения распространенного НМРЛ в качестве первой линии терапии. Его терапевтическая активность аналогична терапевтической активности ниволумаба. Пациентам проводится анализ на наличие белка PDL-1 и, если он выявляется в достаточном количестве, это является критерием для назначения упомянутых препаратов.
Системная терапия мелкоклеточного рака легкого
Для пациентов с мелкоклеточным раком легкого, независимо от стадии, химиотерапия является неотъемлемой частью лечения.
В зависимости от стадии рака также может применяться лучевая терапия.
Для людей с ограниченной распространенностью мелкоклеточного рака легкого рекомендуется комбинированная химиотерапия плюс лучевая терапия, проводимая одновременно. Наиболее часто применяемым методом первичной химиотерапии является этопозид плюс цисплатин, схема известная как EP.
Для пациентов с распространенным мелкоклеточным раком легкого стандартным лечением является только химиотерапия с использованием схемы EP. Тем не менее, другой подходящий режим химиотерапии — карбоплатин плюс иринотекан.
Лучевая терапия на область головного мозга может использоваться до или после химиотерапии у пациентов с метастатическим поражением головного мозга.
Полезно знать
Расчет стоимости
Приложение — Коммерсантъ Здравоохранение (117805)
Новые препараты уже сегодня позволяют существенно увеличить продолжительность жизни больных раком легкого — наиболее агрессивным и устойчивым к терапии типом опухоли.
Более того, эксперты говорят, что в скором времени рак легкого станет всего лишь одним из хронических заболеваний. О новейших тенденциях в терапии, доступности инновационных препаратов и преимуществах таргетного лечения в России рассказывает Константин Лактионов, заместитель директора по лечебной работе научно-исследовательского института клинической онкологии им. ак. РАН и РАМН Н. Н. Трапезникова ФГБУ «НМИЦ онкологии им. Н.Н. Блохина» Минздрава России.
— Онкологические заболевания по-прежнему занимают второе место среди причин смертности в России, а рак легкого лидирует среди них у мужчин. С чем связана высокая частота заболеваемости этим видом рака?
— Последние достижения медицины привели к тому, что в мире стала резко снижаться смертность от сердечно-сосудистых заболеваний и онкология в некоторых странах в структуре смертности уже выходит на первое место. В России удельный вес пациентов, умирающих от злокачественных новообразований, тоже растет. В общей структуре заболеваемости без гендерной принадлежности рак легкого занимает третье место.
В год фиксируется около 55 тыс. новых случаев. На первых местах — рак молочной железы и рак толстой кишки.
Если же учитывать гендерный признак, то у мужчин рак легкого занимает первое место, у женщин — шестое. А вот в структуре смертности действительно рак легкого на первом месте: 50% пациентов с таким диагнозом погибают в течение первого года. Это самая печальная цифра. В целом же от рака легкого в год умирает столько же пациентов, сколько суммарно от рака молочной, поджелудочной и предстательной желез и рака ободочной кишки.
— В чем причина столь высокой смертности от рака легкого?
— Существует большая проблема ранней диагностики. Обнаружить рак легкого сложнее, чем опухоли иных локализаций. К тому же данное заболевание долгое время может никак себя не проявлять: симптомы появляются только тогда, когда опухоль распространяется на соседние органы или появляются отдаленные метастазы. В итоге в России на первой и второй стадиях диагностируется 25–30% опухолей, а 70%, к сожалению, на третьей и четвертой, когда вероятность достижения хороших результатов лечения не так велика.
Другая проблема в том, что Россия остается курящей страной. А курение — ведущий фактор, предрасполагающий к развитию рака легкого. В начале прошлого века, когда курение не было столь распространено, рак легкого встречался казуистически редко. Врачи даже рассказывали друг другу о случаях рака легкого как об уникальных. А к концу прошлого века рак легкого стал одной из основных причин онкологической смертности.
— Отличается ли российская статистика от статистики в других странах?
— Статистика везде примерно одинаковая. Дело в том, что канцерогенез — развитие рака — у курящего человека занимает порядка 15 лет. В это время постепенно в клетках накапливаются мутации, что в итоге приводит к развитию рака легкого. С другой стороны, отказ от курения тоже не сразу приводит к снижению риска развития заболевания. Поэтому отдача от мер, которые были приняты в Российской Федерации в течение последних пяти лет, появится лет через десять. А через 15 мы увидим истинное снижение показателей заболеваемости раком легкого в российской популяции.
В том, что это произойдет, мы не сомневаемся: за эти пять лет потребление табака в России снизилось где-то на 30%.
— Можно ли говорить о существовании географии онкологии? Есть ли какие-то популяционные особенности, связанные с развитием того или иного вида рака?
— Да, такое разделение безусловно существует. Есть районы, эндемичные для каких-то видов опухолей. Например, в азиатских странах и Японии развиты опухоли желудочно-кишечного тракта. Это частично связано с особенностями национального питания, с употреблением в пищу определенных острых приправ. Есть особенности, связанные с деторождением: в странах, где рождаемость более низкая, больше опухолей женской репродуктивной сферы.
Особая картина наблюдается в странах с большим количеством курильщиков. Неверно думать, что курение приводит только к раку легкого. Ядовитые вещества, вдыхаемые при курении, настолько активно вмешиваются в метаболизм организма, что вызывают поломки в самых разных системах и являются одной из значимых причин возникновения рака кишки, желудка и мочевого пузыря.
— Кто сегодня чаще болеет раком легкого?
— Мы как-то привыкли говорить, что это пациенты старшего возраста. Но оказалось, что сегодня 53% заболевших в России находятся в возрасте до 65 лет. То есть это люди трудоспособного возраста, а с увеличением возраста выхода на пенсию мы получаем очень значимую социальную проблему.
— Есть ли какое-то состояние, которое предшествует раку легкого и которое можно выявить с помощью скрининговых программ?
— Состояние, предшествующее раку легко,— это, как ни банально, курение. Вообще, существует два основных подтипа немелкоклеточного рака легкого: так называемый плоскоклеточный рак и аденокарцинома. В Советском Союзе, что интересно, превалировал плоскоклеточный рак, а в западных странах — аденокарцинома. Оказалось, подтип опухоли, который развивался у человека, определял тот вид табака, который он употреблял: советский табак вызывал плоскоклеточный рак, а западный — аденокарциному. Сегодня, когда мы почти отказались от нашего табака и перешли на западный, доля пациентов с аденокарциномой увеличивается.
Если в советское время соотношение пациентов было, наверное, 70 на 30, то сегодня — 50 на 50. Так что эта теория не лишена смысла.
Вопрос со скринингом непростой. Все попытки найти хоть какие-то рабочие скрининговые программы пока оказались неудачными. Напомню, что под скринингом мы понимаем мероприятия, которые выявляют опухолевый процесс еще без симптомов болезни. Но от флюорографии в скрининге, например, давно отказались — именно потому, что она в данном вопросе оказалась неэффективна.
Эффективным же скринингом для рака легкого на сегодняшний день является только низкодозовая компьютерная томография. В течение последних десяти лет американцы провели крупное исследование и определили группу риска, которой такой скрининг необходим: это мужчины старше 55 лет с большим стажем курения. В этой группе благодаря скринингу добились снижения смертности от рака легкого на 20%. Но это очень дорогостоящее мероприятие, и даже условно богатая Европа сейчас проводит свое исследование по поиску новых методов скрининга.
— Если продолжать разговор об этих двух подтипах рака, какая опухоль считается более агрессивной?
— До последнего времени плоскоклеточный рак, который на 95% связан именно с курением, считался более агрессивным. И прогноз по его лечению был хуже, хотя сегодня эта ситуация несколько изменилась с внедрением инновационных лекарственных препаратов, о чем мы подробнее еще поговорим.
— Какие новые возможности для лечения рака легкого появились в последнее время? Насколько изменилась сегодня стандартная схема ведения таких больных: хирургические методы, лучевая терапия и химиотерапевтические возможности?
— Если обратиться к раку легкого в целом, то он подразделяется на две большие группы, которые имеют принципиально разные подходы к лечению: мелкоклеточный рак (около 15% случаев) и немелкоклеточный рак (внутри которого мы выделяем аденокарциному и плоскоклеточный рак).
Мелкоклеточный рак хорошо отвечает на химиотерапевтическое лечение и лучевую терапию, а хирургические методы применяются минимально.
При локализованных формах немелкоклеточного рака легкого основным видом лечения является хирургический метод. И результаты тут достаточно хорошие: при первой стадии показатель пятилетней выживаемости без прогрессирования составляет 75%. При второй стадии — 50%, при третьей стадии есть надежда получить хороший ответ от комбинированного лечения — до 15%. При четвертой стадии результаты во многом зависят от биологических особенностей опухоли и от того, насколько мы имеем возможность ими управлять.
— Как вы оцениваете перспективу лучевой терапии? Насколько важно развернутое в России строительство протонных центров?
— Сегодня у лучевой терапии появилась уникальная возможность для точного локального контроля, что означает уменьшение побочных эффектов. Все новые методики — и кибернож, и протонная терапия — во многом направлены как раз на это. Правда, для лечения рака легкого лучевая терапия используется достаточно ограниченно.
— Сегодня часто говорят, что химиотерапевтическое лечение в каком-то смысле достигло своего потолка.
— Это действительно так: с конца прошлого века ничего нового от химиотерапии мы не ожидаем. Те целевые показатели, которых можно было достичь, в ближайшее время уже не изменятся. Кроме того, у стандартной химиотерапии всегда были ярко выраженные побочные эффекты.
— Можно ли говорить о реальной персонализированной терапии рака легкого?
— Персонализация, а именно попытка определить, кому и какую терапию нужно предлагать, была той задачей, с которой мы вошли в новое тысячелетие. Если говорить о стандартной химиотерапии, то к концу прошлого века она демонстрировала неудовлетворительные результаты лечения. Например, в случае диссеминированного немелкоклеточного рака легкого мы могли надеяться на годичную выживаемость пациентов в 50% случаев. При этом частота объективного ответа на препараты составляла 25–30%, то есть у остальных пациентов данный метод лечения не приводил к должному результату.
Появление таргетной терапии стало реальной возможностью персонализировать лечение.
Теперь ученым понятна мишень, на которую воздействуют лекарства. Таргетные препараты благодаря своей избирательности значительно снизили частоту лекарственно обусловленной токсичности и повысили терапевтическую эффективность лечения. Сегодня частота объективного ответа, когда опухоль уменьшается больше чем на 30%, достигает 70–80%. Это помогло заметно сместить медиану общей выживаемости пациентов: если на химиотерапии год переживали, как я говорил, лишь 50% пациентов, то сегодня на таргетной терапии продолжительность жизни больных увеличилась в четыре раза, и это не предел.
Можно сказать, что мы в целом вступили в эру молекулярно-направленного лечения.
— В последние годы в арсенале врачей появилось молекулярно-генетическое тестирование опухоли. Что дает этот анализ?
— Дело в том, что раньше мы не до конца разбирались в биологии опухоли и для нас пациенты клинически были как бы идентичны. Мы не могли предложить какие-то индивидуальные стратегии лечения. Благодаря молекулярно-генетическому тестированию теперь для нас каждый случай возникновения рака легкого уникален.
Он несет свой набор биологических особенностей, и чем глубже мы понимаем суть этих изменений, тем больше у нас возможностей персонализировать лечение. Анализ выявляет специфические для опухоли поломки в геноме. Если поломка обнаружена, это означает, что у нас есть препарат, который воздействует на клетки, несущие именно эту мутацию.
— Молекулярно-генетическая диагностика — достаточно дорогостоящая процедура. Она показана абсолютно всем пациентам с раком легкого?
— Нет, она нужна пациентам именно с аденокарциномой. В этом виде опухоли оказались собраны все специфические мутации, к которым сегодня есть таргетные препараты. Это неслучайно, потому что, в отличие от плоскоклеточного рака, он связан не с курением, а с молекулярно-генетическими поломками — универсальным механизмом возникновения опухолевого процесса. В медицинской практике даже есть специальный термин «невинный рак легкого», то есть человек не курил, но ему не повезло.
Сегодня мы можем выявить четыре основные мутации (EGFR, ALK, ROS1 и BRAF), к которым у нас в арсенале есть молекулярно-направленные таргетные препараты.
Стандартом является тестирование всех больных раком легкого с неплоскоклеточным подтипом заболевания. Но сегодня мы выявляем далеко не всех пациентов, которые нуждаются в молекулярно-генетическом тестировании. Так, если учитывать, что ежегодно у нас заболевают около 55 тыс. человек, по статистике порядка 5 тыс. должны быть носителями мутаций в опухоли, при которых показан прием таргетных препаратов. Мы же выявляем примерно 1,5 тыс. пациентов. Это означает, что остальные 3,5 тыс. человек получат лечение в виде стандартной химиотерапии и 50% из них, к сожалению, погибнут в течение первого года. Хотя при использовании современных препаратов они могли бы жить четыре года и дольше. Так что диагностику нужно развивать и делать ее более доступной.
— Входят ли подобные исследования в ОМС?
— К сожалению, нет. Вопрос включения молекулярно-генетического тестирования легкого в систему ОМС до конца не решен. Сегодня в организации диагностики нам помогает профессиональное медицинское сообщество, которое организует такое тестирование.
Благодаря этому в России действительно есть возможность бесплатно проводить анализ по крайней мере на выявление четырех основных мутаций, о которых я говорил.
— Сколько таргетных препаратов для лечения рака легкого в арсенале у российских онкологов?
— Сегодня у нас есть 10–15 препаратов, которые иногда приходится менять. Дело в том, что постепенно опухоль учится ускользать от контроля. Тогда мы берем анализ повторно и смотрим, что изменилось в ее молекулярно-генетическом профиле. Как правило, мы находим новый вариант генетического нарушения, к которому у нас потенциально есть другой препарат.
То есть сегодня можно сказать, что метастатический рак легкого из смертельного заболевания превращается в хроническую болезнь, и это очень хорошо. Согласно последним данным клинических исследований, при определенных мутациях достигнута медиана выживаемости 89 месяцев, а сколько эти пациенты проживут еще — мы не знаем. Каждый год регистрируются новые препараты, новые схемы терапии, новые комбинации лекарств различных классов, так что таргетная терапия позволила совершенно по-другому взглянуть на возможности лечения.
— Пациент принимает эти препараты постоянно?
— Да, лекарство держит опухоль под контролем, не дает ей развиваться, но при этом она не уничтожена. В таком состоянии человек может прожить очень долго, и в этом основное достижение таргетной терапии. Но если препарат отменить, опухоль способна быстро прогрессировать. Нам приходится напоминать это пациентам, которые через пару лет расслабляются: им кажется, что уже все хорошо. Так происходит еще и потому, что таргетные препараты помимо всего прочего не токсичны, в 90% случаев выпускаются в удобной форме (таблетки, капсулы), поэтому у пациентов происходит быстрая социальная реабилитация, они возвращаются к активной работе, к семье, живут обычной жизнью.
— В нынешнем году Нобелевская премия по медицине и физиологии была присуждена за работы по иммунотерапии рака. Насколько они актуальны для лечения рака легкого?
— Иммунотерапия — новая тема для рака легкого. Первые сведения о пятилетней выживаемости среди пациентов появились только в 2017 году.
Современная иммунотерапия не убивает саму опухоль, она влияет на иммунные клетки, которые обеспечивают противоопухолевый эффект. Активная иммунная система может уничтожать опухолевые клетки с помощью различных механизмов. Однако опухоль способна избегать иммунного контроля и, более того, оказывать угнетающее действие на иммунную систему. Задача сегодняшней иммунотерапии — преодолеть это тормозящее (супрессивное) влияние и дать иммунной системе возможность реализовать свой потенциал. Как только это происходит, мы видим уникальные результаты: иногда большие опухоли в течение нескольких месяцев просто исчезают.
— Кому показана иммунотерапия?
— Как ни странно, в том числе курильщикам, больным плоскоклеточным раком легкого. Эта опухоль образуется в течение почти 15 лет благодаря огромному количеству накопленных мутаций, которые переходят одна в другую и образуют чужеродные для организма антигены. А это именно то, что нужно иммунной системе.
Но, что важно в иммунотерапии, помогает она далеко не всем.
Эффект получают примерно 20–30% пациентов. Сегодня мы пока не можем четко выбрать группу, кому она показана. Это очень похоже на результативность химиотерапии, но все дело в длительности ответа. Если ответ на химиотерапию исчисляется пятью-шестью месяцами, то здесь речь идет о годах. Выделяются группы пациентов, которые будут жить три-пять, может быть, и десять лет. А какие-то группы даже потенциально выздоровеют.
Сегодня не все связанные с иммунотерапией вопросы решены, но полученные промежуточные результаты уже поражают воображение. Иммунотерапия прекрасно комбинируется как с химио-, так и с лучевой, а также таргетной терапией. И мы надеемся, что скоро эффект от таких препаратов будет отмечаться у 50% пациентов. Тогда мы скажем, что каждый второй может надеяться на длительную выживаемость, а возможно, и на выздоровление.
— Эти препараты появились в России два года назад, насколько они доступны сегодня?
— В рамках клинических исследований они появились раньше — пять-шесть лет назад, а зарегистрированы действительно были только в последние два года.
Буквально сегодня на внутренней конференции онкологического центра я приводил промежуточные результаты работы нашего отделения: с 2016 по 2018 год с помощью иммунотерапии у нас пролечены 150 пациентов с раком легкого. Лечение проводилось в рамках клинических исследований и программ раннего доступа лекарственных препаратов. То есть лечение было бесплатным и не несло финансовой нагрузки для государства. А так пока эти лекарственные препараты остаются очень дорогостоящими. Правда, когда начиналась эра таргетной терапии, казалось, что она никогда не будет доступна. А сегодня многие препараты входят в России в список льготного обеспечения.
— Как обстоят дела с участием россиян в клинических исследованиях инновационных препаратов в онкологии?
— В этом отношении Россия очень отстает, хотя для онкологических пациентов участие в клинических исследованиях инновационных препаратов зачастую является единственным шансом получить нужное им лечение. Еще четыре года назад ту же самую иммунотерапию пациенты не могли получить нигде, кроме как во время клинического исследования, потому что препараты не были зарегистрированы и не присутствовали на фармацевтическом рынке.
Именно благодаря участию в этих исследованиях пациенты до сих пор живы, мы видимся и общаемся.
— Сейчас медицинское сообщество активно обсуждает выполнение Национальной программы по борьбе с раком. Какие меры, на ваш взгляд, реально помогут снизить смертность от онкологических заболеваний?
— Можно сказать, что оборудование в стационарах стало однозначно лучше. Сегодня планируется выделить большие средства, которые нужно потратить в первую очередь на раннюю диагностику. Это даст улучшение по всем критическим показателям, по которым оценивается эффективность онкологической помощи. К таким показателям относятся: количество пациентов, выявленных на ранних стадиях, количество пациентов, переживших год после установления диагноза, количество пациентов, которые стоят на учете более пяти лет, наконец, количество выздоровевших. Есть еще такой показатель, как количество больных с установленным морфологическим диагнозом. У нас в стране он, к сожалению, не достигает 100% и с пациентами работают, не имея на руках результатов морфологического исследования.
А если мы говорим о персонализированном лечении, то без доступа к морфологическому материалу оно просто невозможно. В этой программе, кстати, уже четко прописана необходимость молекулярно-генетического тестирования опухоли. И если такая мера будет реализована, это станет серьезным шагом вперед в успешной борьбе со злокачественными новообразованиями.
Константин Лактионов, заместитель директора по лечебной работе, и. о. заведующего отделения химиотерапии №1 научно-исследовательского института клинической онкологии им. ак. РАН и РАМН Н. Н. Трапезникова ФГБУ «НМИЦ онкологии им. Н.Н. Блохина» Минздрава России», д. м. н. В 1994 году окончил Московский медицинский стоматологический институт им. Н. А. Семашко по специальности «лечебное дело». Специалист в области клинических и прикладных исследований с использованием современных молекулярно-генетических, иммуноморфологических, биохимических методик, направленных на изучение биологических особенностей злокачественных новообразований, индивидуальных прогностических факторов, механизмов метастазирования.
Инициатор создания компьютерной базы данных по тематике «Рак легкого» с возможностью ее использования в многофакторном анализе. Автор и соавтор более 70 печатных работ, активный участник отечественных и зарубежных съездов и конференций онкологов.
Беседовала Елена Кудрявцева
Мелкоклеточный рак лёгкого Текст научной статьи по специальности «Клиническая медицина»
©Коллектив авторов, 2017 УДК 616.-006.699
DOI 10.21886/2219-8075-2017-8-4-6-13
Мелкоклеточный рак лёгкого
Н.Г. Бахмутский, В.А. Порханов, В.Н. Бодня, Р.П. Ширяев
Кубанский государственный медицинский университет, Краснодар, Россия
Рак лёгкого — одно из самых распространённых злокачественных новообразований в мире. В настоящее время отечественных публикаций, рассматривающих вопросы классификации, клиники, диагностики, лечения мелкоклеточного рака, одной из форм рака лёгкого, крайне мало.
Представленный обзор литературы посвящён мелкоклеточному раку лёгкого, опухоли, имеющей агрессивное клиническое течение и неблагоприятный прогноз. В обзоре рассмотрены вопросы эпидемиологии, клинической и морфологической классификации мелкоклеточного рака лёгкого, рекомендуется наиболее приемлемая клиническая классификация, которая подразделяет опухоль на две формы (локальную, или ограниченную, и распространённую). В работе уделяется внимание стандартным вариантам лечения локальной и распространённой форм мелкоклеточного рака лёгкого. В лечении локальной формы подтверждена основная роль химиотерапии с лучевой терапией, комбинированной химиотерапии, хирургического лечения с последующей химиотерапией или химиолучевым лечением. Для лечения распространённой формы указаны такие варианты лечения, как комбинированная химиотерапия и лучевая терапия. Отмечены успехи и недостатки в лечении этой опухоли полихимиотерапией, лучевой терапией и комбинированной терапией, а также указывается на разработку новых схем и комбинаций лечения с большей эффективностью и меньшей токсичностью для больных.
Отдельно рассмотрены вопросы терапии рецидивов мелкоклеточного рака лёгкого, отмечена основная роль в лечении химиотерапии и паллиативного лечения. Показано значение облучения головного мозга в плане снижения рецидивирования и увеличения продолжительности жизни при этой патологии.
Ключевые слова: обзор, рак лёгкого, мелкоклеточный рак лёгкого, химиотерапия, лучевая терапия.
Для цитирования: Бахмутский Н.Г., Порханов В.А., Бодня В.Н., Ширяев Р.П. Мелкоклеточный рак лёгкого. Медицинский вестник Юга России. 2017;8(4):6-13. Б01 10.21886/2219-8075-2017-8-4-6-13
Контактное лицо: Бахмутский Николай Георгиевич, [email protected].
Small-cell lung cancer
N.G. Bakhmutsky, V.A. Porkhanov, V.N. Bodnya, R.P. Schiryayev
Kuban State Medical University, Krasnodar, Russia
Lung cancer — one of the most common malignancies in the world.
Currently, domestic publications addressing issues of classification, clinic, diagnosis, treatment, a form of lung cancer — non-small cell cancer, is extremely small. Therefore, our work makes up to some extent this gap. This review of literature devoted to small-cell lung cancer, the tumor has an aggressive clinical course and poor prognosis. The review considers the epidemiology, clinical and morphological classification of small cell lung cancer; it is recommended the most appropriate clinical classification, which classifies tumors into two forms — limited or local and extensive. The paper focuses on the standard options of treatment of limited form and extensive form of non-small cell lung cancer. In the treatment of limited form confirmed the primary role of chemotherapy with radiation therapy, combination chemotherapy, surgery followed by chemotherapy or chemoradiotherapy. For the treatment of extensive form shown in the use of such treatment options as combination chemotherapy and radiotherapy.
It noted the successes and shortcomings in the treatment of this tumor chemotherapy, radiation therapy, and combination therapy, and also points to the development of new schemes and treatment combinations with greater efficiency and less toxicity for patients. Separately, the issues of treatment of small cell lung cancer recurrence and noted the major role in the treatment of chemotherapy and palliative care. The importance of brain irradiation in reducing recurrence and increase survival in this pathology. Keywords: review, lung cancer, small-cell lung cancer, chemotherapy, radiotherapy.
For citation: Bakhmutsky NG, Porkhanov VA, Bodnya VN, Schiryayev RP. Small-cell lung cancer. Medical Herald of the South of Russia. 2017;8(4):6-13. (In Russ.) DOI 10.21886/2219-8075-2017-8-4-6-13
Corresponding author: Nicolay G. Bakhmutsky, [email protected].
В России рак лёгкого (РЛ) в структуре злокачественных новообразований мужского населения составляет 17,6%, женского — 3,7% со средним возрастом больных 62,0 года.
В 2014 г. в России зарегистрировано 57685 случаев РЛ, 49730 больных умерли от этого заболевания. В США в 2015 г. вновь выявлено 221200 случаев РЛ, 158040 человек умерли от этого заболевания [1,2].
РЛ делится на две основные гистологические формы — немелкоклеточный (НМРЛ) и мелкоклеточный (МРЛ). За последние несколько десятилетий среди подтипов РЛ превалировал МРЛ, составляя 20%, но в настоящее время этот процесс снизился, возможно, из-за уменьшения числа курильщиков и распространения сигарет с низким содержанием смол. В настоящее время эта доля составляет 10-15% [3].
Для МРЛ было предложено несколько систем стади-рования [4]. Наиболее часто среди МРЛ выделяют локальную или ограниченную и распространённую формы. При локальной форме опухоль распространяется на один гемиторакс или ограничивается одним легким, регионарными медиастинальными лимфоузлами и ипсилатераль-ными надключичными лимфоузлами.
Такое распространение и объём являются приемлемыми для проведения лучевой терапии. Пациенты с наличием гидроторакса, массивной лёгочной опухоли с поражением контрлатеральных надключичных лимфоузлов исключаются из локальных форм болезни. Распространённая форма МРЛ выходит за пределы надключичных областей и имеет широкое распространение. У пациентов с отдалёнными метастазами (М1) всегда выставляется распространённая форма заболевания. ТЫМ-классификация определяет локальную форму как форму с Т1-2, исключая Т3-4 из-за множественных узлов в лёгких, что не вписывается в допустимый объём облучения при любом значении N и М0. Это соответствует 1-111В стадиям. Распространённая форма по TNM — это IV стадия с отдалёнными метастазами (М1), включая плевральный выпот [5]. Установление стадии для МРЛ является важным для выделения группы больных, у которых распространение опухоли ограничено только лёгкими, и группы пациентов, имеющих отдаленные метастазы. Также определение стадии позволяет оценить прогноз и определить тактику лечения, особенно когда облучение грудной клетки или хирургическое иссечение опухоли будет добавлено к химиотерапии для пациентов с локальной формой.
Если подтверждается распространённая форма, дальнейшее обследование должно быть индивидуализировано в зависимости от признаков и симптомов, характеризующих каждого пациента.
Перед началом лечения пациента с МРЛ опытный патологоанатом должен пересмотреть для уточнения диагноза его биопсийный материал. Современная морфологическая классификация МРЛ включает следующие подтипы: мелкоклеточный рак, смешанный мелкоклеточный рак (то есть сочетание мелкоклеточного рака с плоскоклеточным и/или железистым). МРЛ, образующийся из нейроэндокринных клеточных форм, включает низкодифференцированный типичный карциноид, уме-реннодифференцированный атипичный карциноид и высокодифференцированные нейроэндокринные опухо-
ли, включающие крупноклеточную нейроэндокринную карциному. МРЛ представляет пролиферацию мелких клеток со следующими морфологическими особенностями: скудной цитоплазмой, чёткими границами клеток, мелкогранулированным хроматином («соль и перец»), отсутствием или труднозаметными клеточными ядрышками, высокой митотической активностью.
Смешанный мелкоклеточный рак включает смесь мелких, крупных клеток или любой другой немелкоклеточный компонент. Почти весь МРЛ является иммунореактивным по кератину, тиреоидному транскрипционному фактору I и эпи-дермальному мембранному антигену. Нейроэндокринная и нервная дифференцировка выражается в экспрессии допадекарбоксилазы, кальцитонина, нейронспецифиче-ской энолазы, хромогранина А, СБ 56, гастрин-рилизинг пептида и инсулиноподобного фактора роста I [6].
Процедуры, используемые для определения наличия МРЛ, включают анамнез заболевания, физикальные и лабораторные методы диагностики, обзорную рентгенограмму органов грудной клетки, компьютерную контрастную томограмму, биопсию [7].
Независимо от стадии, прогноз для пациентов с МРЛ является чаще неудовлетворительным. Без лечения МРЛ имеет агрессивное клиническое течение с медианой выживаемости от 2 до 4 месяцев. Несмотря на улучшение в диагностике и лечении МРЛ, достигнутое за последние 25 лет, только у 10% больных с этой патологией отмечается безрецидивный период в течение 2 лет с момента начала терапии.
Общая 5-летняя выживаемость составляет от 5% до 10% [8].
Важным прогностическим фактором для МРЛ является стадия заболевания. Пациенты с локальной формой имеют лучший прогноз, чем пациенты с распространённой формой. При локальной форме МРЛ, если используются современные схемы лечения, медиана выживаемости составляет от 16 до 24 месяцев, а 5-летняя выживаемость — 14%, [9].
Долгосрочная выживаемость больных с локальной формой МРЛ выше при комбинированном лечении. Увеличение выживаемости было зарегистрировано среди пациентов после радикальной операции либо после полихимиотерапии. Но всё же химиотерапия в сочетании с лучевой терапией (ЛТ) в настоящее время считается стандартом лечения для МРЛ. Добавление ЛТ увеличивает показатель абсолютного выживания на 5% по сравнению с применением только химиотерапии. Оптимальные сроки ЛТ по отношению к химиотерапии были оценены в нескольких исследованиях, доказывающих, что прогноз улучшается при раннем проведении ЛТ [10,11].
У пациентов с распространенной формой МРЛ медиана выживаемости составляет от 6 до 12 месяцев при использовании современных методов лечения, но долгосрочная выживаемость, без признаков заболевания, встречается при этой форме крайне редко [7,12].
Профилактическое облучение головного мозга предотвращает метастазирование в центральную нервную систему и может улучшить выживаемость у пациентов, которые хорошо реагировали на химиолучевое лечение [13]. Лучевая терапия, направленная непосредственно на первичный очаг и лимфоколлекторы грудной клетки, может также улучшить результаты лечения [14].
Обзор вариантов лечения МРЛ
Химиотерапия увеличивает выживаемость пациентов, как с локализованной формой, так и с распространённой формой МРЛ, но данная терапия возможна не у всех больных. Поскольку у пациентов с МРЛ имеется тенденция к развитию отдаленных метастазов, местные формы лечения, такие как хирургическое вмешательство или лучевая терапия, редко улучшают выживаемость.
С введением современных режимов химиотерапии в лечебные программы, выживаемость у больных с МРЛ увеличивается в 4-5 раз, по сравнению с пациентами, которые не получали химиотерапию [12].
Сочетание платины и этопозида является наиболее широко используемым и эффективным стандартным режимом химиотерапии. Не привело к улучшению выживаемости ни применение неплатиновых комбинаций хи-миопрепаратов, ни увеличение интенсивности введения препарата или увеличение дозы или изменение способа введения [15, 16].
МРЛ является высоко радиочувствительным, и облучение первичной опухоли, корня лёгкого и средостения улучшает выживаемость пациентов с локальной и распространённой формами [14]. Профилактическое облучение головного мозга предотвращает возможное мета-стазирование в центральную нервную систему (ЦНС) и может улучшить долгосрочную выживаемость пациентов с хорошим ответом на химиолучевую терапию [13], а также может временно облегчить состояние больных с метастатическим поражением головного мозга.
Лечение локальной формы МРЛ
Стандартными вариантами лечения пациентов с локальной формой МРЛ являются химиотерапия с лучевой терапией, комбинированная химиотерапия, хирургическое лечение с последующей химиотерапией или химио-лучевым лечением, профилактическое облучение головного мозга.
Сочетание химиотерапии (этопозид и цисплатин) с лучевой терапией является наиболее широко используемым вариантом для лечения пациентов с локальной формой МРЛ [7]. Результаты некоторых проспективных рандомизированных исследований свидетельствуют о том, что комбинированная терапия увеличивает выживаемость на 5% за трёхлетний период, по сравнению с химиотерапией. Медиана выживаемости при этом увеличивается с 18 до 24 месяцев, а двухлетняя выживаемость — с 40% до 50%, с менее чем 3% смертностью, связанной с лечением [11].
Оптимальная продолжительность химиотерапии для пациентов с локальной формой МРЛ четко не определена, но выживаемость не улучшается после того, как продолжительность приема препаратов увеличивается от 3 до 6 месяцев.
Имеющиеся доказательства рандомизированных изучений показывают, что поддерживающая химиотерапия не увеличивает выживаемость для пациентов с локальной формой МРЛ [17,18,19].
Нет доказательств и в улучшении результатов лечения при раннем выполнении облучения первичной опухоли, корня лёгкого и средостения, а нужно начинать
процедуры лучевой терапии после первого или второго цикла введения химиопрепаратов [20,21]. Продолжительность времени от начала до завершения облучения при локальной стадии МРЛ может также влиять на общую выживаемость. Завершение терапии менее, чем за 30 дней, ассоциируется с улучшением пятилетней выживаемости [22,23]. Не доказано преимущества двухразового ежедневного облучения перед одноразовым, а также одноразовых фракций в более высоких дозах для выживаемости больных [3,5,24,25].
Пациентов, имеющих противопоказания к проведению лучевой терапии, можно лечить только с применением химиотерапии.
Лечение больных с синдромом верхней полой вены начинают с комбинированных схем химиотерапии, лучевой терапии или с помощью этих двух методов совместно, в зависимости от тяжести состояния пациентов.
Роль хирургии в лечении больных с МРЛ является недоказанной. Встречаются редкие случаи благоприятных результатов хирургического лечения у небольшого числа пациентов с локальной формой и незначительным распространением заболевания. Эти больные чаще всего имеют небольшие опухоли в лёгком с единичными метастатическими внутригрудными ипсилатеральными лимфатическими узлами. Поэтому для них имеется возможность в выполнении хирургической резекции лёгкого с последующей адъювантной химиотерапией [10, 26]. Пациенты, у которых после операции был установлен диагноз МРЛ, обычно получают адъювантную химиотерапию с проведением или без проведения лучевой терапии. Не отмечено увеличения выживаемости у пациентов, которые получали химиорадиотерапию с дальнейшим хирургическим иссечением опухоли.
Учитывая отсутствие данных рандомизированных исследований, роль хирургии в лечении отдельных пациентов с МРЛ должна быть рассмотрена как с точки зрения улучшения результатов лечения, так и с рисками от хирургического вмешательства. Рандомизированное исследование, включающее наблюдения за 328 пациентами с МРЛ и оценивающее роль хирургии в дополнение к химиорадиотерапии, не выявило увеличения выживаемости от добавления резекции лёгкого [10].
Пациенты, у которых была отмечена полная ремиссия, могут быть рассмотрены как кандидаты для проведения облучения головного мозга. Больные с достигнутым контролем МРЛ после лечения в 60% случаев имеют риск метастатического поражения центральной нервной системы в пределах от 2 до 3 лет после начала терапии. Риск развития таких метастазов может быть уменьшен более, чем на 50%, при проведении облучения головного мозга. Ретроспективные исследования показали, что пациенты с хорошей выживаемостью (> 2 лет от начала лечения) имеют высокую вероятность поражения центральной нервной системы.
Проспективные исследования выявили, что пациенты, проходившие облучение головного мозга, не имели значительных неврологических и психических нарушений, в отличие от пациентов, у которых облучение не проводилось. Достоверно доказано, что облучение головного мозга не способствует снижению интеллектуальной функции [13].
Лечение распространённой формы МРЛ
Стандартные варианты лечения у пациентов с распространённой формой МРЛ включают комбинированную химиотерапию и лучевую терапию.
Химиотерапия больным с распространённой формой МРЛ обычно выполняется двумя препаратами — препаратом платины и этопозидом в дозах с умеренным токсическим эффектом (как и при локальной форме МРЛ). Применение цисплатина связано со значительными токсическими проявлениями и требует инфузии электролитов, введение которых может быть проблематичным у пациентов с сердечнососудистыми заболеваниями.
Кар-боплатин активен в отношении МРЛ, его доза регулируется в зависимости от функции почек и ассоциируется с меньшими негематологическими токсическими эффектами. Разные дозы и варианты введения этих препаратов у пациентов с распространённой формой МРЛ имеют общий уровень ответа от 50% до 80%, а полный ответ—- от 0% до 30% [27]. Метастазы в головной мозг так же реагируют на химиотерапию, как и метастазы в другие органы.
Мета-анализ 19 исследований указал на существенное преимущество в выживаемости пациентов, получавших химиотерапию на основе препаратов платины, по сравнению с пациентами, не получавшими такие препараты [28,29]. Схемы использования иринотекана и ци-сплатина или иринотекана с этопозидом обеспечивали эквивалентную клиническую пользу с различной степенью токсичности [21, 30, 31, 32]. Не показано превосходства перорального применения топотекана в комбинации с цисплатином над схемой, включающей цисплатин и этопозид [33]. Применение паклитаксела в комбинации с этопозидом и цисплатиной не привело к изменению выживаемости [34].
Оптимальная продолжительность химиотерапии чётко не определена, но явного улучшения в течении заболевания не происходит, если длительность приёма препаратов превышает 6 месяцев. Роль увеличения дозы у больных с МРЛ остаётся неясной. В некоторых клинических исследованиях изучали использование колони-естимулирующих факторов для поддержки пациентов с увеличенной дозой химиопрепаратов при лечении МРЛ, [35, 36, 37]. Эти исследования дали противоречивые результаты.
Большинство пациентов с распространённой стадией МРЛ имеют низкий функциональный статус во время установления диагноза, в сравнении с пациентами с локальной стадией МРЛ. Такие больные имеют худший прогноз и переносят агрессивную химиотерапию или комбинированную терапию плохо. Для них предлагается использовать интравенозную и оральную монохимиотерапию, низкие дозы препаратов с режимом приёма один раз в две недели [8]. Проспективные рандомизированные исследования показали, что пациенты с плохим прогнозом, которые лечатся обычными режимами химиотерапии, живут дольше, чем те, которые получают монотерапию, режимы со сниженными или сокращёнными дозами.
Схемы стандартной химиотерапии для обычной популяции могут быть применены и к пожилым пациентам с хорошим общим состоянием (функциональный
статус 0-1, нормальное функционирование органов и отсутствие коморбидности). Нет доказательств в ответе, безрецидивной выживаемости или общей выживаемости у пожилых пациентов в сравнении с молодыми [8].
Пациенты с распространённой формой МРЛ, леченные химиотерапией с хорошим ответом на лечение, могут быть рекомендованы для проведения лучевой терапии. В рандомизированном исследовании 498 пациентов, у которых наблюдался хороший ответ после получения 4-6 циклов химиотерапии, сравнивали в группах с лучевой терапией в дозе 30 Gy за 10 фракций и без неё. Всем больным проводили облучение головного мозга. Общая выживаемость в двух группах статистически не отличалась. Однако двухлетняя выживаемость составила 13% в группе с облучением и только 3% в группе без облучения.
Лучевая терапия привела к увеличению процента безрецидивной шестимесячной выживаемости в группе, где пациентам проводили облучение. Лучевая терапия переносилась больными хорошо [14].
Пациентов с распространённой формой МРЛ, получивших химиотерапию с достижением хорошего ответа, можно рассматривать в качестве претендентов на проведение облучения головного мозга. Рандомизированное исследование 286 пациентов, которым провели 4-6 циклов химиотерапии с эффектом с последующим облучением головного мозга, сравнивали с группой больных, которым облучение не проводилось. Кумулятивный риск метастазов в головной мозг в течение 1 года составил 14,6% в группе с облучением головного мозга, 40,4% — в группе без облучения [13, 38].
Лечение рецидивов МРЛ
Стандартные схемы лечения у пациентов с рецидивами МРЛ включают химиотерапию и паллиативную терапию.
С выявлением рецидива многие пациенты с МРЛ являются потенциальными кандидатами для дальнейшей терапии.
Было показано, что химиотерапия второй линии приводит к регрессии опухоли, но ремиссия бывает кратковременной при медиане выживаемости, редко превышающей 12 месяцев, а обычно — меньше, чем 6 месяцев. Ответ на первую линию химиотерапии говорит о возможном ответе и на вторую линию химиотерапии [39].
Топотекан является стандартом химиотерапии при рецидиве МРЛ. Пациенты с чувствительными опухолями могут достигать ответа на ряд препаратов, включая топо-текан, иринотекан, таксаны, винорельбин, паклитаксел и гемцитабин [40, 41]. Скорость откликов на комбинацию препаратов обычно выше, чем при использовании одного, однако во многих исследованиях не отмечено разницы в эффекте лечения у пациентов с чувствительными и резистентными к терапии опухолями [42, 43].
Пациенты с рецидивами в центральную нервную систему часто могут получить временное облегчение симптомов при дополнительном проведении химиотерапии и/или лучевой терапии.
Ретроспективный анализ показал, что 43% больных, получавших дополнительную химиотерапию при метастазировании в головной мозг, ответили на вторую линию химиотерапии. Некоторые пациенты с внутренними эндобронхиальными пораже-
ниями или внешней компрессией, вызванной опухолью, достигли успешного паллиативного эффекта при помощи эндобронхиальной лазерной терапии (только для эндобронхиальных опухолей) и/или брахитерапии. Для облегчения симптомов и улучшения легочной функции у пациентов с обструкцией дыхательных путей опухолевыми массами могут быть безопасно использованы рас-
ширяемые металлические стенты, которые вводятся под местной анестезией при помощи бронхоскопа [13].
Работа была поддержана грантом РФФИ (договор №16-04-01146).
Авторы заявляют об отсутствии конфликта интересов.
ЛИТЕРАТУРА
1. Злокачественные новообразования в России в 2014 году (Заболеваемость и смертность). Под ред. А.Д. Каприна, В.В. Старинского, Г.В. Петровой. — М., 2016.
2. Jemal A., Bray F., Center M.M., Ferlay J., Ward E., Forman D. Global cancer statistics // CA Cancer J. Clin. — 2011. — Vol. 61 (2). — P. 69-90. doi: 10.3322/caac.20107
3. Kelley M.J., Bogart J.A., Hodgson L.D., Ansari R.H., Atkins J.N., Pang H. et al. Phase II study of induction cisplatin and irinotecan followed by concurrent carboplatin, etoposide and thoracic radiotherapy for limited-stage small-cell lung cancer, CALGB 30206 // J.Thorac. Oncol. — 2013. — Vol. 8 (1). -P. 102-8. doi: 10.1097/JT0.0b013e31827628e1
4. Bradley J.D., Dehdashti F., Mintun M.A., Govindan R.
, Trinkaus K., Siegel B.A. Positron emission tomography in limited-stage small-cell lung cancer: a prospective study // J. Clin. Oncol. — 2004. — V. 22 (16). — P. — 3248-54. DOI: 10.1200/ JC0.2004.11.089
5. Salama J.K., Hodgson L., Pang H., Urbanic J.J., Blackstock A.W., Schild S.E., et al. A pooled analysis of limited-stage small-cell lung cancer patients treated with induction chemotherapy followed by concurrent platinum-based chemotherapy and 70 Gy daily radiotherapy CALGB 30904 // J.Thorac. Oncol. — 2013. — Vol. 8 (8). — P. 1043-9. doi: 10.1097/ JT0.0b013e318293d8a4
6. Lung. In: Edge S.B., Byrd D.R., Compton C.C. et al., eds. AJCC Cancer Staging Manual. 7th ed. New York, NY: Springer. -2010. — P. 253-70.
7. Aynaci O., Canyilmaz E., Serdar L. Kandaz M., Bahat Z.M., Yoney A. Survival and prognostic factors in limited stage small cell lung cancer: A retrospective study from northeast Turkey // Cancer Res.
— 2016. — V. 12(1). — P. 238-243. doi: 10.4103/0973-1482.151446
8. Sekine I., Yamamoto N., Kunitoh H., Ohe Y., Tamura T., Kodama T., et al. Treatment of small cell lang cancer in the elderly based on a critical literature review of clinical trials // Cancer Treat. Rev. — 2004. — V. 30(4). — P. 359-68. doi: 10.1016/j.ctrv.2003.12.006
9. Videtic G.M., Stitt L.W., Dar A.R., Kocha W.I., Tomiak A.T., Truong P.T. et al. Continued cigarette smoking by patients receiving concurrent chemoradiotherapy for limited-stage small-cell lung cancer is associated with decreased survival // J. Clin. Oncol. — 2003. — V. 21 (8). — P. 1544-9. doi: 10.1200/ JC0.2003.10.089
10. Chandra V., Allen M.S., Nichols F.C., Deschamps C., Cassivi S.D., Pairolero P.C. The role of pulmonary resection in small cell lung cancer // Mayo Clin. Proc. — 2006. — V. 81 (5). -P. 619-24. doi: 10.4065/81.5.619
11. Takada M., Fukuoka M., Kawahara M. et al. Phase III study of concurrent versus sequential thoracic radiotherapy in combination with cisplatin and etoposide for limited-stage small-cell lung cancer: results of the Japan Clinical Oncology Group Study 9104 // J. Clin. Oncol. — 2002. — V 20 (14). -P. 3054-60.
12. Бычков М.Б. Мелкоклеточный рак лёгкого // Практическая онкология. — 2005. — Том 6, №4. — С. 213-219.
REFERENCES
1. Zlokachestvennye novoobrazovanija v Rossii v 2014 godu (Zabolevaemost’ i smertnost’). Moscow, 2016. (In Russ.)
2. Jemal A, Bray F, Center MM, Ferlay J, Ward E, Forman D. Global cancer statistics. CA Cancer J. Clin. 2011;61(2):69-90. doi: 10.3322/caac.20107
3. Kelley MJ, Bogart JA, Hodgson LD, Ansari RH, Atkins JN, Pang H, et al. Phase II study of induction cisplatin and irinotecan followed by concurrent carboplatin, etoposide and thoracic radiotherapy for limited-stage small-cell lung cancer, CALGB 30206. J.Thorac.Oncol. 2013;8(1):102-8. doi: 10.1097/ JT0.0b013e31827628e1
4. Bradley JD, Dehdashti F, Mintun MA, Govindan R, Trinkaus K, Siegel BA. Positron emission tomography in limited-stage small-cell lung cancer: a prospective study. J. Clin. Oncol. 2004;22(16):3248-54. DOI: 10.1200/JC0.2004.11.089
5. Salama JK, Hodgson L, Pang H, Urbanic JJ, Blackstock AW, Schild SE, et al. A pooled analysis of limited-stage small-cell lung cancer patients treated with induction chemotherapy followed by concurrent platinum-based chemotherapy and 70 Gy daily radiotherapy CALGB 30904. J.Thorac.Oncol. 2013;8(8):1043-9. doi: 10.1097/JT0.0b013e318293d8a4
6. Lung. In: Edge SB, Byrd DR, Compton CC, et al., eds. AJCC Cancer Staging Manual. 7th ed. New York, NY: Springer; 2010.
7. Aynaci O, Canyilmaz E, Serdar L, Kandaz M, Bahat ZM, Yoney A. Survival and prognostic factors in limited stage small cell lung cancer: A retrospective study from northeast Turkey. Cancer Res. 2016;12(1):238-243. doi: 10.4103/09731482.151446
8. Sekine I, Yamamoto N, Kunitoh H, Ohe Y, Tamura T, Kodama T, et al. Treatment of small cell lang cancer in the elderly based on a critical literature review of clinical trials. Cancer Treat. Rev. 2004;30(4):359-68. doi: 10.1016/j.ctrv.2003.12.006
9. Videtic GM, Stitt LW, Dar AR, Kocha WI, Tomiak AT, Truong PT, et al. Continued cigarette smoking by patients receiving concurrent chemoradiotherapy for limited-stage small-cell lung cancer is associated with decreased survival. J. Clin. Oncol. 2003;21(8):1544-9. doi: 10.1200/JC0.2003.10.089
10. Chandra V, Allen MS, Nichols FC, Deschamps C, Cassivi SD, Pairolero PC. The role of pulmonary resection in small cell lung cancer. Mayo Clin. Proc. 2006;81(5):619-24. doi: 10.4065/81.5.619
11. Takada M, Fukuoka M, Kawahara M, Sugiura T, Yokoyama A, Yokota S, et al. Phase III study of concurrent versus sequential thoracic radiotherapy in combination with cisplatin and etoposide for limited-stage small-cell lung cancer: results of the Japan Clinical Oncology Group Study 9104. J. Clin. Oncol. 2002;20(14):3054-60. DOI: 10.1200/Jœ.2002.12.071
12. Bychkov MB, Dgebuadze EN, Bol’shakova SA. Melkokletoch-nyi rak legkogoro Prakticheskaya onkologiya. 2005;6(4):213-219. (In Russ.)
13. Slotman BJ, Faivre-Finn C, Kramer G, Rankin E, Snee M, Hatton M, et al. Prophylactic cranial irradiation in extensive small-cell lung cancer. N. Engl. J. Med. 2007;357(7):664-72. DOI: 10.1056/NEJMoa071780
14. Slotman BJ, van Tinteren H, Praag JO, Knegjens JL, El Sharouni SY, Hatton M, et al. Use of thoracic radiotherapy for
13. Slotman B. J., Faivre-Finn C., Kramer G. et al. Prophylactic cranial irradiation in extensive small-cell lung cancer // N. Engl. J. Med. — 2007. — V. 357 (7). — P. 664-72.
14. Slotman B. J., van Tinteren H., Praag J.O. et al. Use of thoracic radiotherapy for extensive stage small-cell lung cancer: a phase 3 randomised controlled trial // Lancet. — 2015. -V. 385 (9962). — P. 36-42.
15. Amarasena I.U., Walters J.A., Wood-Baker R. et al.: Platinum versus non-platinum chemotherapy regimens for small cell lung cancer // Cochrane Database Syst. Rev. (4): CD006849, 2008.
16. Багрова С.Г., Бычков М.Б., Горбунова В.А. и др. Сравнительная оценка различных платиносодержащих режимов химиотерапии в лечении распространённого мелкоклеточного рака лёгкого (опыт отделения химиотерапии РОНЦ им. Н.Н. Блохина РАМН) // Рос. онкол. журнал. -2013. — №2. — С. 4-10.
17. Spiro S.G., James L.E., Rudd R.M. et al. Early compared with late radiotherapy in combined modality treatment for limited disease small-cell lung cancer: a London Lung Cancer Group multicenter randomized clinical trial and meta-analysis // J.Clin.Oncol. — 2006. — Vol. 24 (24). — P. 3823-30.
18. De Ruysscher D., Pijls-Johannesma M., Vansteenkiste J. et al. Systematic review and meta-analysis of randomized, controlled trials of the timing of chest radiotherapy in patients with limited stage, small-lung cancer // Ann. Oncol. -2006. — V. 17 (4). — P. 543-52.
19. Fried D.B., Morris D.E., Poole C. et al. Systematic review evaluating the timing of thoracic radiation therapy in combined modality therapy for limited-stage small-cell lung cancer // J.Clin.Oncol. — 2004. — Vol. 22 (23). — P. 4837-45.
20. Huncharek M., McGarry R. A meta-analysis of the timing of chest irradiation in the combined modality treatment of limited-stage small cell lung cancer // Oncologist. — 2004. -Vol. 9 (6). — P. 665-72.
21. Pijls-Johannesma M., De Ruysscher D., Lambin P. et al. Early versus late chest radiotherapy for limited stage small cell lung cancer // Cochrane Database Syst. Rev. — (1).- CD004700 —
2005.
22. De Ruysscher D., Pijls-Johannesma M., Bentzen S.M. et al. Time between the first day of chemotherapy and the last day of chest radiation is the most important predictor of survival in limited-disease small-cell lung cancer // J.Clin.Oncol. —
2006. — P. 1057-63.
23. Гулидов И.А., Золотков А.Г., Мардынский Ю.С. и др. Сравнение традиционной лучевой терапии с методикой ускоренного гиперфракционирования в химиолучевом лечении локализованного мелкоклеточного рака лёгкого // Сибирский онкологический журнал. — 2013. — №1 (55). -С. 12-15.
24. Bogart J.A., Herndon J.T., Lyss A.P. et al. 70 Gy thoracic radiotherapy is feasible concurrent with chemotherapy for limited-disease small-cell lung cancer; analysis of Cancer and Leukemia Group B study 39808 // Int.J.Radiat.Oncol.Biol. Phys. — 2004. — Vol. 59 (2). — P. 460-8.
25. Miller A.A., Wang X.F., Bogart J.A. et al. Phase II trial of paclitaxel-topotecan-etoposide followed by consolidation chemoradiotherapy for limited-stage small cell lung cancer: CALGB 30002 // J.Thorac.Oncol. — 2007. — Vol. 2 (7). -P. 645-51.
26. Колбанов К.И., Трахтенберг А.Х., Пикин О.В. Возможности хирургии при резектабельном мелкоклеточном раке лёгкого // Онкология. Журнал им. П.А. Герцена. — 2017. -Т.6, №3. — С. 67-75.
27. Okamoto H., Watanabe K., Kunikane H. et al. Randomised phase III trial of carboplatin plus etoposide vs split doses of cisplatin plus etoposide in elderly or poor-risk patients with
extensive stage small-cell lung cancer: a phase 3 randomised controlled trial. Lancet. 2015;385(9962):36-42. doi: 10.1016/ S0140-6736(14)61085-0
15. Amarasena IU, Chatterjee S, Walters JA, Wood-Baker R, Fong KM. Platinum versus non-platinum chemotherapy regimens for small cell lung cancer. Cochrane Database Syst. Rev. (4):CD006849, 2008. doi: 10.1002/14651858.CD006849.pub3
16. Bagrova SG, Bychkov MB, Gorbunova VA, Kuzminov AE, Naskhletashvili DR. Comparative evaluation of different regimen of platinum-based chemotherapy in treatment of advanced small cell lung cancer (experience of chemotherapy department N.N.Blokhin Russian Cancer Research Center RAMS). Russian Journal of Oncology. 2013;(2):4-10. (In Russ.)
17. Spiro SG, James LE, Rudd RM, Trask CW, Tobias JS, Snee M, et al. Early compared with late radiotherapy in combined modality treatment for limited disease small-cell lung cancer: a London Lung Cancer Group multicenter randomized clinical trial and meta-analysis. J.Clin.Oncol. 2006;24(24):3823-30. DOI: 10.1200/JC0.2005.05.3181
18. De Ruysscher D, Pijls-Johannesma M, Vansteenkiste J, Kester A, Rutten I, Lambin P. Systematic review and meta-analysis of randomized, controlled trials of the timing of chest radiotherapy in patients with limited stage, small-lung cancer. Ann. Oncol. 2006;17(4):543-52. DOI: 10.1093/ annonc/mdj094
19. Fried DB, Morris DE, Poole C, Rosenman JG, Halle JS, Detterbeck FC, et al. Systematic review evaluating the timing of thoracic radiation therapy in combined modality therapy for limited-stage small-cell lung cancer. J.Clin.Oncol. 2004;22(23):4837-45. DOI: 10.1200/JCO.2004.01.178
20. Huncharek M, McGarry R. A meta-analysis of the timing of chest irradiation in the combined modality treatment of limited-stage small cell lung cancer. Oncologist. 2004;9(6):665-72. DOI: 10.1634/theoncologist.9-6-665
21. Pijls-Johannesma M, De Ruysscher D, Lambin P, Rutten I, Vansteenkiste JF. Early versus late chest radiotherapy for limited stage small cell lung cancer. Cochrane Database Syst. Rev. 2005;(1):CD004700. DOI: 10.1002/14651858. CD004700.pub2
22. De Ruysscher D, Pijls-Johannesma M, Bentzen SM, Minken A, Wanders R, Lutgens L, et al. Time between the first day of chemotherapy and the last day of chest radiation is the most important predictor of survival in limited-disease small-cell lung cancer. J.Clin.Oncol. 2006;24(7):1057-63. DOI: 10.1200/ JCO.2005.02.9793
23. Gulidov IA, Zolotkov AG, Mardynsky YS, Ivanova IN, Kursova LV, et al. Comparison of conventional radiatiotherapy and accelerated hyperfractionated radiatiotherapy in chemoradiation treatment for small cell lung cancer. Siberian journal of oncology. 2013;(1):12-15. (In Russ.)
24. Bogart JA, Herndon JT, Lyss AP, Watson D, Miller AA, Lee ME, et al. 70 Gy thoracic radiotherapy is feasible concurrent with chemotherapy for limited-disease small-cell lung cancer; analysis of Cancer and Leukemia Group B study 39808. Int.J.Radiat.Oncol.Biol.Phys. 2004;59(2):460-8. DOI: 10.1016/j.ijrobp.2003.10.021
25. Miller AA, Wang XF, Bogart JA, Hodgson LD, Rocha Lima CM, Radford JE, et al. Phase II trial of paclitaxel-topotecan-etoposide followed by consolidation chemoradiotherapy for limited-stage small cell lung cancer: CALGB 30002. J.Thorac.Oncol. 2007;2(7):645-51. DOI: 10.1097/ JTO.0b013e318074bbf5
26. Kolbanov KI, Trakhtenberg AKh, Pikin OV. Vozmozhnosti khirurgii pri rezektabel’nom melkokletochnom rake legkogo. Onkologiya. Zhurnal im. P.A. Gertsena. 2017;6(3):67-75. (in Russ.)
27. Okamoto H, Watanabe K, Kunikane H, Yokoyama A, Kudoh S, Asakawa T, et al. Randomised phase III trial of carboplatin
extensive disease small-cell lung cancer: JCOG 9702 // Br. J. Cancer. — 2007. — Vol. 97 (2). — P. 162-9.
28. Hanna N., Bunn P.A., Langer C. et al. Randomized phase III trial comparing irinotecan/cisplatin with etoposide/cisplatin in patients with previously untreated extensive-stage disease small-cell lung cancer // J. Clin. Oncol. — 2006. — Vol. 24 (13). -P. 2038-43.
29. Lara P.N., Natale R., Crowley J. et al. Phase III trial of irinotecan/cisplatin compared with etoposide/cisplatin in extensive-stage small-cell lung cancer: clinical and pharmacogenomic results from SWOG S0124 // J. Clin. Oncol. — 2009. — Vol. 27 (15). — P. 2530-5.
30. Schmittel A., Sebastian M., Fischer von Weikersthal L. et al. A German multicenter, randomized phase III trial comparing irinotecan-carboplatin with etoposide-carboplatin as first-line therapy for extensive-disease small-cell lung cancer // Ann. Oncol. — 2011. — Vol. 22 (8). — P. 1798-804.
31. Zatloucal P., Cardenal F., Szczesna A. et al. A multicenter international randomized phase III study comparing cisplatin in combination with irinotecan or etoposide in previously untreated small-cell lung cancer patients with extensive disease // Ann. Oncol. — 2010. — Vol. 21 (9). — P. 1810-6.
32. Jiang J., Liang X., Zhou X. et al. A meta-analysis of randomized controlled trials comparing irinotecan/platinum with etoposide/platinum in patients with previously untreated extensive-stage small cell lung cancer // J. Thorac. Oncol. —
2010. — Vol. 5 (6). — P. 867-73.
33. Guo S., Liang Y., Zhou Q. Complement and correction for meta-analysis of patients with extensive-stage small cell lung cancer managed with irinotecan/cisplatin versus etoposide/ cisplatin as first-line chemotherapy // J. Thorac. Oncol. —
2011. — Vol. 6 (2). — P. 406-8.
34. Eckardt J.R., von Pawel J., Pujol J.L. et al. Phase III study of oral compared with intravenous topotecan as second-line therapy in small-cell lung cancer // J. Clin. Oncol. — 2007. -Vol. 25 (15). — P. 2086-92.
35. Niell H.B., Herndon J.E., Miller A.A. et al. Randomized phase III intergroup trial of etoposide and cisplatin with or without paclitaxel and granulocyte colony-stimulating factor in patients with extensive-stage small-cell lung cancer: Cancer and Leukemia Group B Trial 9732 // J. Clin. Oncol. — 2005. -Vol. 23 (16). — P. 3752-9.
36. Thatcher N., Girling D.J., Hopwood P. et al. Improving survival without reducing quality of life in small-cell lung cancer patients by increasing the dose-intensity of chemotherapy with granulocyte colony-stimulating factor support: results of a British Medical Research Council Multicenter Randomized Trial. Medical Research Council Lung Cancer Working Party // J. Clin. Oncol. — 2000. — Vol. 18 (2). — P. 395-404.
37. Lorigan P., Woll P.J., O’Brien M.E. et al. Randomized phase III trial of dose-dense chemotherapy supported by whole-blood hematopoietic progenitors in better-prognosis small-cell lung cancer // J. Natl. Cancer Inst. — 2005. — Vol. 97 (9). — P. 666-74.
38. Buchholz E., Manegold C., Pilz L. et al. Standard versus dose-intensified chemotherapy with sequential reinfusion of hematopoietic progenitor cells in small cell lung cancer patients with favorable prognosis // J. Thorac. Oncol. — 2007. -Vol. 2 (1). — P. 51-8.
39. Shivnani A.T. Prophylactic cranial irradiation in small-cell lung cancer // N. Engl. J. Med. — 2007. — Vol. 357 (19). — P. 30-34. Shivnani AT: Prophylactic cranial irradiation in small-cell lung cancer. N Engl J Med 357 (19): 1977; author reply 1978, 2007.
40. Davies A.M., Ewans W.K., Mackay J.A. et al. Treatment of recurrent small cell lung cancer // Hematol. Oncol. Clin. Noth. Am. — 2004. — Vol. 18 (2). — P. 387-416.
plus etoposide vs split doses of cisplatin plus etoposide in elderly or poor-risk patients with extensive disease small-cell lung cancer: JCOG 9702. Br. J. Cancer. 2007;97(2):162-9. DOI: 10.1038/sj.bjc.6603810
28. Hanna N, Bunn PA, Langer C, Einhorn L, Guthrie TJr, Beck T, et al. Randomized phase III trial comparing irinotecan/cisplatin with etoposide/cisplatin in patients with previously untreated extensive-stage disease small-cell lung cancer. J. Clin. Oncol. 2006;24(13):2038-43. DOI: 10.1200/ JC0.2005.04.8595
29. Lara PN, Natale R, Crowley J, Lenz HJ, Redman MW, Carleton JE, et al. Phase III trial of irinotecan/cisplatin compared with etoposide/cisplatin in extensive-stage small-cell lung cancer: clinical and pharmacogenomic results from SWOG S0124. J. Clin. Oncol. 2009;27(15):2530-5. doi: 10.1200/ JCO.2008.20.1061
30. Schmittel A, Sebastian M, Fischer von Weikersthal L, Martus P, Gauler TC, Kaufmann C, et al. A German multicenter, randomized phase III trial comparing irinotecan-carboplatin with etoposide-carboplatin as first-line therapy for extensive-disease small-cell lung cancer. Ann. Oncol. 2011;22(8):1798-804. doi: 10.1093/annonc/mdq652
31. Zatloucal P, Cardenal F, Szczesna A, Gorbunova V, Moiseyenko V, Zhang X, et al. A multicenter international randomized phase III study comparing cisplatin in combination with irinotecan or etoposide in previously untreated small-cell lung cancer patients with extensive disease. Ann. Oncol. 2010;21(9):1810-6. doi: 10.1093/annonc/mdq036
32. Jiang J, Liang X, Zhou X, Huang L, Huang R, et al. A meta-analysis of randomized controlled trials comparing irinotecan/platinum with etoposide/platinum in patients with previously untreated extensive-stage small cell lung cancer. J. Thorac. Oncol. 2010;5(6):867-73.
33. Guo S, Liang Y, Zhou Q. Complement and correction for meta-analysis of patients with extensive-stage small cell lung cancer managed with irinotecan/cisplatin versus etoposide/ cisplatin as first-line chemotherapy. J. Thorac. Oncol. 2011;6(2):406-8. doi: 10.1097/JTO.0b013e3182061d8c
34. Eckardt JR, von Pawel J, Pujol JL, Papai Z, Quoix E, Ardizzoni A, et al. Phase III study of oral compared with intravenous topotecan as second-line therapy in small-cell lung cancer. J. Clin. Oncol. 2007;25(15):2086-92. DOI: 10.1200/ JCO.2006.08.3998
35. Niell HB, Herndon JE, Miller AA, Watson DM, Sandler AB, Kelly K, et al. Randomized phase III intergroup trial of etoposide and cisplatin with or without paclitaxel and granulocyte colony-stimulating factor in patients with extensive-stage small-cell lung cancer: Cancer and Leukemia Group B Trial 9732. J. Clin. Oncol. 2005;23(16):3752-9. DOI: 10.1200/JCO.2005.09.071
36. Thatcher N, Girling DJ, Hopwood P, Sambrook RJ, Qian W, Stephens RJ. Improving survival without reducing quality of life in small-cell lung cancer patients by increasing the dose-intensity of chemotherapy with granulocyte colony-stimulating factor support: results of a British Medical Research Council Multicenter Randomized Trial. Medical Research Council Lung Cancer Working Party. J. Clin. Oncol. 2000;18(2):395-404. DOI: 10.1200/Jœ.2000.18.2.395
37. Lorigan P, Woll PJ, O’Brien ME, Ashcroft LF, Sampson MR, Thatcher N. Randomized phase III trial of dose-dense chemotherapy supported by whole-blood hematopoietic progenitors in better-prognosis small-cell lung cancer. J. Natl. Cancer Inst. 2005;97(9):666-74. DOI: 10.1093/jnci/dji114
38. Buchholz E, Manegold C, Pilz L, Thatcher N, Drings P. Standard versus dose-intensified chemotherapy with sequential reinfusion of hematopoietic progenitor cells in small cell lung cancer patients with favorable prognosis. J. Thorac. Oncol. 2007;2(1):51-8. DOI: 10.1097/JTO.0b013e31802baf9d
41. van der Lee I., Smit E.F., van Putten J.W. et al. Single-agent gemcitabine in patients with resistant small-cell lung cancer // Ann. Oncol. — 2001. — Vol. 12 (4). — P. 557-61.
42. Eckardt J.R., von Pawel J., Papai Z. et al. Open-label, multicenter, randomized phase III study comparing oral topotecan/cisplatin versus etoposide/cisplatin as treatment for chemotherapy-native patients with extensive-disease small-cell lung cancer // J. Clin. Oncol. — 2006. — Vol. 24 (13). -P. 2044-51.
43. Rocha-Lima C.M., Herndon J.E., Lee M.E. et al. Phase II trial of irinotecan/gemcitabine as second-line therapy for relapsed and refractory small-cell lung cancer: Cancer and Leukemia Group B Study 39902 // Ann. Oncol. — 2007. -Vol. 18 (2). — P. 331-7.
Информация об авторах
Бахмутский Николай Георгиевич — д.м.н., профессор, кафедра онкологии с курсом торакальной хирургии, Кубанский государственный медицинский университет, Краснодар, Россия. e-mail: [email protected]
Порханов Владимир Алексеевич — д.м.н., профессор, академик РАН; заведующий кафедрой, кафедра онкологии с курсом торакальной хирургии, Кубанский государственный медицинский университет, Краснодар, Россия Бодня Вадим Николаевич — д.м.н., кафедра онкологии с курсом торакальной хирургии, доцент кафедры; Кубанский государственный медицинский университет, Краснодар, Россия
Ширяев Ростислав Павлович — ассистент, кафедра онкологии с курсом торакальной хирургии, Кубанский государственный медицинский университет, Краснодар, Россия
39. Shivnani AT. Prophylactic cranial irradiation in small-cell lung cancer. N. Engl. J. Med. 2007;357(19):30-34. DOI: 10.1056/NEJMc072691
40. Davies AM, Ewans WK, Mackay JA, Shepherd FA. Treatment of recurrent small cell lung cancer. Hematol. Oncol. Clin. Noth. Am. 2004;18(2):387-416. DOI: 10.1016/j.hoc.2003.12.010
41. van der Lee I, Smit EF, van Putten JW, Groen HJ, Schlösser NJ, et al. Single-agent gemcitabine in patients with resistant small-cell lung cancer. Ann. Oncol. 2001;12(4):557-61.
42. Eckardt JR, von Pawel J, Papai Z, Tomova A, Tzekova V, et al. Open-label, multicenter, randomized phase III study comparing oral topotecan/cisplatin versus etoposide/ cisplatin as treatment for chemotherapy-native patients with extensive-disease small-cell lung cancer. J. Clin. Oncol. 2006;24(13):2044-51. DOI: 10.1200/JC0.2005.03.3332
43. Rocha-Lima CM, Herndon JE, Lee ME, Atkins JN, Mauer A, et al. Phase II trial of irinotecan/gemcitabine as second-line therapy for relapsed and refractory small-cell lung cancer: Cancer and Leukemia Group B Study 39902. Ann. Oncol. 2007;18(2):331-7. DOI: 10.1093/annonc/mdl375
Information about the author
Nicolay G. Bakhmutsky — Kuban State Medical University, Krasnodar, Russia. e-mail: [email protected]
Vladimir A. Porkhanov — Kuban State Medical University, Krasnodar, Russia.
Vadim N. Bodnya — Kuban State Medical University, Krasnodar, Russia.
Rostislav P. Schiryayev — Kuban State Medical University, Krasnodar, Russia.
Получено / Received 24.03.2017 Принято к печати / Accepted: 17.10.2017
Ожидаемая продолжительность жизни при раке легких 4 стадии
Вопросы о ожидаемой продолжительности жизни часто возникают в первую очередь, когда кому-то ставится диагноз немелкоклеточного рака легкого 4 стадии, наиболее поздней стадии заболевания, при которой рак распространился (метастазировал) из первичной опухоли в отдаленные органы. Среднее время выживания для людей с раком легких 4 стадии составляет около четырех месяцев, что означает, что 50% пациентов будут живы через четыре месяца после постановки диагноза.
Какой бы печальной ни была эта статистика, важно помнить, что у рака легких 4 стадии нет определенного курса.Многие из них проживут месяцы и даже годы дольше этого.
На время выживания могут влиять несколько факторов, некоторые из которых (например, курение) можно изменить. Новые таргетные методы лечения и иммунотерапия также помогают людям с раком 4 стадии жить дольше, с меньшим количеством побочных эффектов и с лучшим качеством жизни.
Характеристики рака легких 4 стадии
Рак легких классифицируют по степени тяжести заболевания. Определение стадии немелкоклеточного рака легкого (НМРЛ) помогает врачам выбрать наиболее подходящий курс лечения на основе вероятного результата, называемого прогнозом.
Стадия рака легких определяется с помощью системы классификации TNM, которая классифицирует тяжесть заболевания на основе трех условий:
- Размер и степень первичной опухоли (T)
- Есть ли в ближайших лимфатических узлах раковые клетки (N)
- Произошли ли отдаленные метастазы (M)
При раке легких 4 стадии все три перечисленных состояния имеют место. С учетом сказанного, степень метастазирования может варьироваться вместе с прогнозом.
По этой причине с выпуском новой системы классификации TNM в 2018 году стадия 4 НМРЛ была разбита на две подэтапы.
- Рак легкого стадии 4a , при котором рак распространился в пределах грудной клетки и / или распространился на одну область за пределами грудной клетки
- Рак легких стадии 4b , при котором рак распространился на несколько мест в одном или нескольких отдаленные органы, такие как мозг, надпочечник, кость, печень или отдаленные лимфатические узлы.
Рак легких 4 стадии неизлечим.Поэтому лечение направлено на замедление прогрессирования заболевания, минимизацию симптомов и поддержание оптимального качества жизни.
Статистика выживания на уровне 4
Ожидаемая продолжительность жизни при раке легкого на стадии 4 обычно оценивается с использованием пятилетнего коэффициента выживаемости, который оценивает процент людей, которые проживут минимум пяти лет после первоначального диагноза.
Эпидемиологи классифицируют пятилетнюю выживаемость одним из двух способов.
Показатели выживаемости по TNM Stage
Первый подход основан на стадии TNM; статистическое время выживания соответствует стадии заболевания.
| TNM Стадия рака легкого | 5-летняя выживаемость |
|---|---|
| 4a | 10% |
| 4б | Менее 1% |
Напротив, одногодичная выживаемость при раке легкого 4 стадии составляет от 15% до 19%, что означает, что эта часть пациентов с метастатическим заболеванием будет жить по крайней мере в год.Взаимодействие с другими людьми
Иллюстрация Хетал Ратод, Verywell
Выживаемость в зависимости от степени заболевания
Второй метод оценивает выживаемость в зависимости от степени рака в организме. Это подход, используемый в программе Национального института рака по надзору, эпидемиологии и конечным результатам (SEER). Система SEER классифицирует рак по одной из трех более широких категорий:
- Локализованный : Рак, ограниченный легкими
- Региональный : Рак, распространившийся на близлежащие лимфатические узлы или структуры
- Отдаленный : Метастатический рак
Согласно системе классификации SEER, отдаленное заболевание e и рак стадии 4 являются синонимами.
Единственным недостатком подхода SEER является то, что рак легкого стадии 4a и 4b объединен в одну категорию. Этот обобщенный подход не только дает гораздо более низкую оценку пятилетней выживаемости (5,8%), но и не отражает широкую вариабельность показателей выживаемости на стадии 4, особенно у людей с ограниченными метастазами.
| SEER Стадия при диагностике | Процент (%) Выжившие |
|---|---|
| Локализовано | 59% |
| Региональный | 31.7% |
| Дальний | 5,8% |
| Неустановленный | 8,3% |
Факторы, влияющие на выживаемость
Различия в показателях выживаемости подчеркивают одну ключевую реальность в отношении рака легких 4 стадии: нет двух людей с одинаковым заболеванием. Вероятно, больше, чем на любую другую стадию заболевания, выживаемость при раке легкого на стадии 4 зависит от множества факторов, некоторые из которых являются фиксированными (немодифицируемыми), а другие — изменяемыми (изменяемыми).
Известно семь факторов, влияющих на время выживания людей с НМРЛ 4 стадии.
Иллюстрация Эмили Робертс, Verywell
Возраст
Старший возраст связан с худшими результатами у людей с раком легких, независимо от стадии рака легких. Это связано с тем, что люди старше 70 лет часто имеют более слабое общее состояние здоровья и имеют иммунную систему, которая менее способна сдерживать рост опухоли.
Пожилой возраст влияет не только на прогрессирование заболевания, но и на выживаемость.Таким образом, если вам меньше 50 лет на момент постановки диагноза, вероятность того, что вы проживете не менее пяти лет, более чем в два раза выше, чем у людей 65 лет и старше.
| Стадия диагностики | До 50 лет | Возраст 50–64 | 65 и старше |
|---|---|---|---|
| Локализовано | 83,7% | 67,4% | 54,6% |
| Региональный | 47,7% | 36.6% | 28,3% |
| Дальний | 11% | 7% | 4,7% |
| Неустановленный | 32,1% | 15,4% | 6% |
По данным SEER, пятилетняя выживаемость для людей с раком легкого 4 стадии составляет 11% для людей моложе 50; этот показатель снижается до 4,7% для лиц 65 лет и старше.
Секс
Мужской пол независимо связан с худшими результатами у людей с раком легких в целом.У мужчин не только больше шансов заболеть раком легких, чем у женщин, но и у них больше шансов умереть в результате этого заболевания. Эти факторы способствуют несоответствию общих показателей пяти- и 10-летней выживаемости женщин и мужчин.
| Пол | 5-летняя выживаемость | 10-летняя выживаемость |
|---|---|---|
| Женщины | 19% | 11,3% |
| Мужчины | 13,8% | 7.6% |
| Всего | 16,2% | 9,5% |
Что касается конкретно НМРЛ 4 стадии, мужчины также находятся в неблагоприятном генетическом положении. По сравнению с женщинами, у мужчин меньше шансов иметь «излечимые» генные мутации, то есть те, которые поддаются лечению с помощью новых целевых методов лечения, используемых для лечения 4 стадии болезни.
В результате у мужчин, которым прописаны такие препараты, как кейтруда (пембролизумаб), как правило, наблюдается более низкая общая выживаемость и выживаемость без прогрессирования, чем у женщин.Взаимодействие с другими людьми
Состояние производительности
Люди с НМРЛ 4 стадии обычно имеют симптомы. Однако это не означает, что все люди будут одинаково больны или нетрудоспособны. Возможны значительные различия в способности функционировать в повседневной жизни, которую врачи называют статусом работоспособности (PS).
Существует несколько способов измерения PS, наиболее распространенный из которых — оценка PS по шкале Восточной совместной онкологической группы (ECOG), которая оценивает PS по шкале от 0 до 5.По системе ECOG оценка 0 означает, что вы полностью работоспособны, а оценка 5 означает смерть.
Исследования показывают, что около половины всех людей с диагнозом рака легких 4 стадии будут иметь «хороший» PS, определяемый как оценка ECOG от 0 до 2. Почти все без исключения люди с PS в этом диапазоне будут жить дольше, чем люди с PS. из 3, 4 или 5.
Используя шкалу ECOG PS Score, показатели выживаемости при раке легких и время (для всех стадий) распределяются следующим образом:
| Состояние производительности | 5-летняя выживаемость | Среднее значение общей выживаемости |
|---|---|---|
| 0 | 45.9% | 51,5 мес |
| 1 | 18,7% | 15,4 месяца |
| 2 | 5,8% | 6,7 месяцев |
| 3 | 0% | 3,9 месяца |
| 4 | 0% | 2,4 месяца |
| 5 | Не применимо | Не применимо |
Согласно исследованию 2015 года, опубликованному в PLoS One , среди людей с раком легких 4 стадии оценка ECOG, равная 0, означает не менее чем 11-кратное увеличение шестимесячной выживаемости по сравнению с оценкой ECOG, равной 4.
Статус курения
Бросить курить никогда не поздно. Согласно исследованию, опубликованному в журнале Brazilian Journal of Pneumonology , даже среди людей с раком легких 4 стадии отказ от сигарет до начала химиотерапии может увеличить время выживания на целых шесть месяцев.
С учетом сказанного, последствия отказа от курения, а именно отказ от никотина, могут перевесить преимущества для заядлых курильщиков с плохим статусом работоспособности и запущенной стадией болезни 4b.
Решение бросить курить в конечном итоге является личным, но это всегда следует обсуждать до начала лечения рака.
Расположение и тип рака легкого
Существует множество различных типов и подтипов НМРЛ, некоторые из которых более агрессивны, чем другие. Три наиболее распространенных типа:
- Аденокарцинома легкого , наиболее распространенная форма заболевания, которая в основном развивается на внешних краях легких
- Плоскоклеточный рак легкого , на который приходится от 25% до 30% случаев рака легкого и развивается в основном в дыхательные пути
- Крупноклеточная карцинома легкого , необычный тип НМРЛ, который может развиваться в любом месте легких и имеет тенденцию быть более агрессивным, чем другие типы
Эти характеристики могут влиять на продолжительность жизни людей с НМРЛ 4 стадии.Более того, расположение опухоли — будь то в дыхательных путях (как при бронхиолоальвеолярной аденокарциноме) или в самих тканях легких — может иметь большое значение в том, как долго человек выживает.
| Стадия 4 НМРЛ Тип | Коэффициент выживаемости за 1 год | 5-летняя выживаемость |
|---|---|---|
| Бронхиолоальвеолярная аденокарцинома | 29,1% | 4,4% |
| Небронхиолоальвеолярная аденокарцинома | 18% | 1.5% |
| Плоскоклеточный рак легкого | 14,6% | 1,6% |
| Крупноклеточный рак легкого | 12,8% | 1,1% |
Коморбидность
Примерно три из каждых четырех человек с распространенным раком легких имеют другое хроническое заболевание, называемое сопутствующим заболеванием. Наличие одного или нескольких сопутствующих заболеваний не только осложняет лечение рака легких, но и значительно влияет на продолжительность жизни.
В целом, наиболее частыми сопутствующими заболеваниями у людей с раком легких являются хроническая обструктивная болезнь легких (ХОБЛ), диабет и застойная сердечная недостаточность (ЗСН).
Среди людей с раком легких 4 стадии есть две сопутствующие заболевания, которые наиболее напрямую влияют на продолжительность жизни.
| Коморбидность НМРЛ 4 стадии | Снижение общей выживаемости |
|---|---|
| Застойная сердечная недостаточность | -19% |
| Цереброваскулярные заболевания (например, инсульт, аневризма или сосудистая мальформация) | -27% |
Генетические мутации
Лечение НМРЛ 4 стадии значительно изменилось в последние годы с введением таргетных методов лечения, одобренных специально для лечения метастатического рака легких.
В отличие от традиционных химиотерапевтических препаратов, эти препараты не атакуют все быстро реплицирующиеся клетки. Вместо этого они распознают и атакуют раковые клетки с помощью определенных «излечимых» мутаций. Благодаря этому нормальным клеткам меньше побочного ущерба и меньше побочных эффектов.
Не у всех есть эти генетические мутации, но если они есть, лекарства могут значительно улучшить время выживания. Три наиболее распространенные мутации:
- Мутации EGFR , которые отвечают на целевые препараты, такие как Иресса (гефитиниб), Тарцева (эрлотиниб) и Гилотриф (афатиниб)
- Перестройки ALK , которые отвечают на Xalkori (кризотиниб), Zykadia (церитиниб) и Alecensa (алектиниб)
- Мутации ROS1 , которые также отвечают на Xalkori (кризотиниб) и Zykadia (церитиниб), а также на Lorbrena (лорлатиниб) и Розлитрек (энтректиниб)
Эффект этих препаратов на время выживания был впечатляющим.В исследовании 2019 года, опубликованном в журнале Journal of Thoracic Oncology , с 2009 по 2017 год наблюдали за 110 пациентами с НМРЛ 4 стадии, каждый из которых получал Xalkora в качестве терапии первой линии наряду с химиотерапевтическими препаратами.
Согласно исследованию, среднее время выживания для людей, получавших Ксалкори, составляло 6,8 года, что означает, что к тому моменту 50% были еще живы. Напротив, только 2% из тех, кто не принимал наркотик, остались живы через пять лет.
Аналогичные результаты наблюдались у людей с мутациями EGFR или ROS1, хотя эффективность лечения может значительно варьироваться в зависимости от местоположения метастазов.Взаимодействие с другими людьми
Слово от Verywell
Рак легких 4 стадии остается серьезным диагнозом, но важно помнить, что это уже не та болезнь, которая была всего 20 лет назад. Показатели выживаемости постоянно растут, и теперь новые лекарства могут персонализировать лечение способами, о которых раньше никто не слышал.
Постарайтесь не позволять статистике выживания ошеломить вас. Вместо этого узнайте как можно больше о вашем конкретном раке и доступных вам вариантах лечения.
Если у вас есть какие-либо сомнения относительно рекомендаций по лечению, не стесняйтесь обратиться за помощью к другому специалисту, в идеале — к специалисту в одном из 71 лечебных центров, назначенных Национальным институтом рака в США. Их врачи с большей вероятностью будут в курсе текущих исследований и стратегий лечения.
Спасибо за отзыв!
Ограничение обработанных пищевых продуктов и красного мяса может помочь предотвратить риск рака. В этих рецептах основное внимание уделяется продуктам, богатым антиоксидантами, чтобы лучше защитить вас и ваших близких.Зарегистрируйтесь и получите своего гида!
Зарегистрироваться
Ты в!
Спасибо, {{form.email}}, за регистрацию.
Произошла ошибка. Пожалуйста, попробуйте еще раз.
Что вас беспокоит?
Другой
Неточный
Трудно понять
Verywell Health использует только высококачественные источники, в том числе рецензируемые исследования, для подтверждения фактов в наших статьях. Ознакомьтесь с нашей редакционной процедурой, чтобы узнать больше о том, как мы проверяем факты и обеспечиваем точность, надежность и надежность нашего контента.
Cetin K, Ettinger DS, Hei YJ, O’malley CD. Выживаемость по гистологическому подтипу при немелкоклеточном раке легкого IV стадии на основе данных Программы эпиднадзора, эпидемиологии и конечных результатов. Clin Epidemiol . 2011; 3: 139-48. DOI: 10.2147 / CLEP.S17191
Национальный институт рака. Стадия рака. Обновлено 9 марта 2015 г.
Лим В., Ридж Калифорния, Николсон А.Г., Мирсадраи С. Восьмая классификация TNM рака легкого и система клинического определения стадии: Обзор изменений и клинических последствий. Компания Quant Imaging Med Surg . 2018; 8 (7): 709-18. DOI: 10.21037 / qims.2018.08.02
Kay FU, Kandathil A, Batra K, Saboo SS, Abbara S, Rajiah P. Изменения стадии опухоли, узла, метастазирования рака легкого (8-е издание): обоснование, радиологические данные и клинические последствия. Мир J Радиол . 2017; 9 (6): 269-79. DOI: 10.4329 / wjr.v9.i6.269
Blandin Knight S, Crosbie PA, Balata H, Chudziak J, Hussell T, Dive C. Прогресс и перспективы раннего выявления рака легких. Открыть Биол . 2017; 7 (9): 170070. DOI: 10.1098 / rsob.170070
Национальные институты здравоохранения. Рак легких и бронхов SEER 5-летняя относительная выживаемость, 2010–2016 гг. По стадиям на момент постановки диагноза и возрасту, для обоих полов, всех рас (включая латиноамериканцев). 2020.
Hong H, Wang Q, Li J, Liu H, Meng X, Zhang H. Старение, рак и иммунитет. J Cancer. 2019; 10 (13): 3021-3027. DOI: 10.7150 / jca.30723
Pinto JA, Vallejos CS, Raez LE, et al.Пол и исходы при немелкоклеточном раке легкого: старая прогностическая переменная возвращается при таргетной терапии и иммунотерапии? ESMO Открыть . 2018; 3 (3): e000344. DOI: 10.1136 / esmoopen-2018-000344
Ван Ц., Цяо В., Цзян И и др. Влияние секса на эффективность пациентов, получающих ингибиторы иммунных контрольных точек при распространенном немелкоклеточном раке легкого. Рак Медико . 2019; 8 (8): 4023-31. DOI: 10.1002 / cam4.2280
Келли К.М., Шахрокни А.Выходя за рамки оценок статуса производительности по Карновскому и ECOG с помощью новых технологий. Дж Онкол . 2016; 2016: 6186543. DOI: 10.1155 / 2016/6186543
Саллум Р.Г., Смит Т.Дж., Дженсен Г.А., Лафата Дж.Э. Выживаемость среди пациентов с немелкоклеточным раком легкого с плохим статусом после химиотерапии первой линии. Рак легких . 2012; 77 (3): 545-9. DOI: 10.1016 / j.lungcan.2012.04.019
Као Дж., Голд К.Д., Заррили Дж. И др. Клинические предикторы выживаемости пациентов с раком IV стадии относятся к радиационной онкологии. ПЛОС ОДИН . 2015; 10 (7): e0132748. DOI: 10.1371 / journal.pone.0124329
Линьяс ARD, Dias MCP, Barroso AMP. Отказ от курения до начала химиотерапии при метастатическом немелкоклеточном раке легкого: влияние на прогноз. J Bras Pneumol . 2018; 44 (5): 436-8. DOI: 10.1590 / s1806-37562017000000323
Zappa C, Mousa SA. Немелкоклеточный рак легкого: современное лечение и будущие достижения. Перевод Lung Cancer Res. 2016; 5 (3): 288-300.DOI: 10.21037 / tlcr.2016.06.07
Islam KM, Jiang X, Anggondowati T, Lin G, Ganti AK. Коморбидность и выживаемость у больных раком легкого. Биомаркеры эпидемиологии рака Предыдущая . 2015; 24 (7): 1079-85. DOI: 10.1158 / 1055-9965.EPI-15-0036
Американское онкологическое общество. Таргетная лекарственная терапия немелкоклеточного рака легкого. Обновлено 10 июня 2020 г.
Пачеко Дж. М., Гао Д., Смит Д. и др. Естественный анамнез и факторы, связанные с общей выживаемостью при немелкоклеточном раке легкого с перестройкой ALK на стадии IV. J Thorac Oncol. 2019 апр; 14 (4): 691-700. DOI: 10.1016 / j.jtho.2018.12.014
Zhang C, Leighl NB, Wu YL, Zhong WZ. Новые методы лечения немелкоклеточного рака легких. Дж. Гематол Онкол . 2019; 12 (1): 45. DOI: 10.1186 / s13045-019-0731-8
Verywell Health является частью издательской семьи Dotdash.
Рак легкого — малая клетка: Статистика
НА ЭТОЙ СТРАНИЦЕ: Вы найдете информацию о количестве людей, которым ежегодно ставится диагноз SCLC.Вы также прочтете общую информацию о том, как пережить болезнь. Помните, что выживаемость зависит от нескольких факторов. Используйте меню для просмотра других страниц.
Рак легких составляет около 13% всех новых диагнозов рака, что делает его вторым по распространенности раком как у мужчин, так и у женщин. В этом году в США у 228 820 взрослых (116 300 мужчин и 112 520 женщин) будет диагностирован рак легких. Сюда входят люди, у которых диагностированы как SCLC, так и NSCLC. Около 13% людей, у которых диагностирован рак легких, имеют МКРЛ.
С 2007 по 2016 год общее число новых случаев рака легких снижалось почти на 3% ежегодно у мужчин и на 1,5% ежегодно у женщин.
Рак легких — основная причина смерти от рака у мужчин и женщин. По оценкам, в этом году от этого заболевания погибнет 135 720 человек (72 500 мужчин и 63 220 женщин).
Смертность от рака легких снизилась на 51% с 1990 года среди мужчин и на 26% среди женщин с 2002 года. С 2008 по 2017 год уровень смертности мужчин от этого заболевания ежегодно снижался на 4%.Уровень смертности женщин снижался на 3% в год. Исследования показывают, что это снижение связано с тем, что больше людей бросают курить, больше людей бросают курить, а также благодаря достижениям медицины в диагностике и лечении.
5-летняя выживаемость показывает, какой процент людей живет не менее 5 лет после обнаружения рака. Процент означает, сколько из 100. Общая 5-летняя выживаемость людей с МРЛ составляет 6%.
Важно отметить, что выживаемость зависит от нескольких факторов, включая стадию заболевания.Для людей с локализованным SCLC, что означает, что рак не распространился за пределы легких, общая 5-летняя выживаемость составляет 27%. Для регионарного SCLC, что означает, что рак распространился за пределы легкого в близлежащие области, 5-летняя выживаемость составляет 16%. Если рак распространился на отдаленную часть тела, 5-летняя выживаемость составляет 3%. Однако некоторые люди с запущенным раком легких могут жить много лет после постановки диагноза.
Иногда пациенты, которым говорят, что их рак легких излечим, не живут до тех пор, пока те, кому говорят, что их рак легких не излечим.Важно помнить, что рак легких поддается лечению на любой стадии, и было доказано, что эти методы лечения помогают людям с раком легких жить дольше при лучшем качестве жизни.
Также важно помнить, что статистика выживаемости людей с МРЛ является приблизительной. Оценка основана на ежегодных данных, основанных на количестве людей с этим раком в Соединенных Штатах. Также каждые 5 лет специалисты измеряют статистику выживаемости. Таким образом, оценка может не отражать результаты более точной диагностики или лечения, доступного менее чем за 5 лет.Поговорите со своим врачом, если у вас есть какие-либо вопросы по поводу этой информации. Узнайте больше о статистике.
Статистика адаптирована из публикации Американского онкологического общества, Cancer Facts & Figures 2020, , веб-сайта ACS и программы Национального института рака по надзору, эпидемиологии и конечным результатам (SEER) (все источники доступны в январе 2020 г.) .
Следующий раздел в этом руководстве — медицинские иллюстрации . Он предлагает чертежи частей тела, часто поражаемых SCLC. Используйте меню, чтобы выбрать другой раздел для чтения в этом руководстве.
Найдите тарифы по этапам и типам
ИСТОЧНИКОВ:
CA: Онкологический журнал для клиницистов : «Статистика рака, 2018».
Программа наблюдения, эпидемиологии и конечных результатов Национального института рака: «Статистика рака: рак легких и бронхов».
Национальный институт рака: «Словарь терминов по раку NCI.”
Клиника Мэйо: «Выживаемость рака: что это значит для вашего прогноза».
F1000 Исследование : «Раннее выявление рака легких».
UpToDate.com: «Рак легкого», «Классификация стадии опухоли, узла, метастаза (TNM) для рака груди».
Американское онкологическое общество: «Профилактика и раннее выявление рака легких», «Мелкоклеточный рак легких», «Факты и цифры по раку, 2019».
Американская ассоциация легких: «Информационный бюллетень по раку легких.”
CDC: «Кого следует обследовать на рак легких?»
Журнал гематологии и онкологии : «Новые методы лечения мелкоклеточного рака легких».
Oncology Letters : «Возраст является прогностическим фактором, влияющим на выживаемость больных раком легкого».
Рак легкого : «Связанные с полом различия в немелкоклеточном раке легкого в новую эру: является ли пол независимым прогностическим фактором?»
Достижения экспериментальной медицины и биологии : «Статистика рака легких.”
Клиническая медицина : «Последние достижения в лечении рака легких».
Научно-исследовательский институт рака: «Иммунотерапия рака легких».
JAMA Oncology : «Пятилетняя выживаемость и корреляты среди пациентов с прогрессирующей меланомой, почечно-клеточной карциномой или немелкоклеточным раком легкого, получавших ниволумаб».
Современные варианты лечения в онкологии : «Таргетная терапия и иммунная терапия мелкоклеточного рака легких.”
Американское общество клинической онкологии: «Понимание статистики, используемой для прогнозирования и оценки лечения».
Рак : «Комментарий: относительная выживаемость».
Как долго вы живете после того, как вам поставили диагноз «рак легких»? | Адвокаты по иску о раке легких
рак, выживаемость, легкие, частота, диагноз, люди, год, лечение, диагноз, показатели
По данным Американской ассоциации легких, у рака легкого один из самых низких показателей пятилетней выживаемости среди других видов рака.Согласно обзору статистики рака SEER, более половины пациентов с раком легких умирают в течение года после постановки диагноза.
Определить выживаемость при раке легких может быть непросто. На продолжительность жизни человека после постановки диагноза рака легких влияют несколько факторов, включая общее состояние здоровья пациента, тип рака и распространение болезни на другие части тела.
Понимание расчетов выживаемости
В настоящее время более 500 000 американцев живут с диагнозом рака легких.К сожалению, прогноз для многих из этих людей плохой, так как рак легких является ведущим убийцей среди всех видов рака у американцев.
По данным Американского общества клинической онкологии (ASCO), в этом году более 220 000 американцев получат диагноз рака легких. Примерно 150 000 американцев умирают каждый год от рака легких. Эти цифры не указывают на хорошую выживаемость людей, у которых диагностирован рак легких.
Расчет коэффициента выживаемости
При определении коэффициента выживаемости исследователи-медики рассчитывают процент людей, которые выжили бы с диагнозом рака легких в течение определенного времени.
Статистика выживаемости при раке легкого
Обзор Национального института рака показывает статистику выживаемости, в том числе:
- Мелкоклеточный рак легкого: , где пятилетняя выживаемость составляет 6,3% для всех стадий.
- Немелкоклеточный рак легкого: , где пятилетняя выживаемость составляет 23,7% для всех стадий.
Однако, если у кого-то есть локализованный рак, то есть он не распространился за пределы легких, пятилетняя выживаемость составляет 27.3% для мелкоклеточного и 61,4% для немелкоклеточного рака легкого.
Что влияет на выживаемость?
Ряд факторов может привести к тому, что показатель выживаемости при раке легких будет немного отличаться от среднего.
Основным фактором является то, как быстро вы начнете лечение. Ранняя диагностика и лечение обеспечивают более высокую выживаемость.
Вот еще несколько важных факторов:
Возраст
У тех, у кого рак диагностирован в более молодом возрасте, может быть более высокая выживаемость, чем у пациентов старшего возраста.
Однако молодые люди, как правило, не распознают симптомы рака легких так быстро, как пожилые люди, поэтому молодые люди могут не получить диагноз так рано, что снижает выживаемость.
Общее состояние здоровья
Люди с другими проблемами со здоровьем, такими как болезни сердца, могут иметь более низкую выживаемость, чем более здоровые люди.
Курение и воздействие химических веществ
Если пациент бросит курить сразу после постановки диагноза рака легких, его выживаемость может быть выше, чем у тех, кто продолжает курить.
Тот же фактор применяется к воздействию токсичных химикатов, которые могли вызвать рак легких.
Пол и раса
У женщин выживаемость выше, чем у мужчин.
Среди рас люди европеоидной или азиатской национальности, как правило, имеют лучшую выживаемость, чем афроамериканцы.
Толерантность к лечению
Лечение рака очень тяжело для пациента. Некоторые люди лучше справляются с побочными эффектами лечения рака легких, чем другие.
Если ваше тело не может противостоять лечению, вы можете стать слабым, что сделает вас восприимчивым к другим заболеваниям и осложнениям, что снизит вашу выживаемость.
Чтобы получить бесплатную юридическую консультацию, позвоните по телефону (800) 217-6099
Улучшение вариантов лечения
Поскольку варианты лечения рака легких со временем продолжают улучшаться, выживаемость тех, у кого сегодня диагностирован рак легких, выше, чем у тех, кто поставили диагноз лет пять-десять назад.
Многие из исследований, которые в настоящее время цитируются для оценки выживаемости, основаны на данных от пяти до десяти лет назад. По этой причине у человека с новым диагнозом может быть лучший показатель выживаемости, чем приведенные здесь цифры.
Представим ваши интересы
Некоторые люди, которым поставили диагноз рака легких, могут иметь право на получение компенсации за боль, страдания и медицинские расходы. Если кто-то другой вызвал ваше воздействие токсичных веществ, которые привели к вашему диагнозу рака, эта сторона может быть привлечена к ответственности в судебном порядке.
Наша команда юристов знает, как наилучшим образом представлять ваши интересы в переговорах со страховыми компаниями. Мы гордимся тем, что помогаем в сложных случаях, и хотим убедиться, что вы не пострадали от ситуации, в которой нет вашей вины.
Свяжитесь с юридической фирмой Pintas & Mullins по телефону (800) 217-6099 для получения бесплатной консультации. Мы работаем на основе непредвиденных расходов, что означает, что мы не принимаем платежи до тех пор, пока дело не будет урегулировано.
Позвоните или отправьте текстовое сообщение (800) 217-6099 или заполните форму бесплатной оценки случая
Обновленная информация о лечении мелкоклеточного рака легкого
Реферат
Образовательные цели
Описать актуальность постановки, включая постановку TNM
Показать клиническую значимость паранеопластических синдромов как проявление мелкоклеточного рака легкого
Разобраться в показаниях к профилактическому облучению черепа
Описать принципы лечения мелкоклеточного рака легкого с акцентом на актуальность определения стадии
Обрисовать в общих чертах варианты лечения второй линии
Резюме Мелкоклеточный рак легкого (МРЛ) составляет около 15–20% всех случаев рака легких.Поскольку МКРЛ почти всегда ассоциируется с длительным курением табака, воздержание от курения и отказ от курения имеют решающее значение для первичной профилактики. Поскольку симптомы, как правило, неспецифичны, болезнь часто диагностируется поздно, при этом 70% пациентов уже находятся на стадии IIIb или IV на момент постановки диагноза. Раннее выявление МРЛ посредством скрининга изучается. Химиотерапия, обычно комбинация на основе платины, является основой терапии и обычно сочетается с лучевой терапией в качестве первой линии лечения опухолей до стадии IIIb.Хирургия играет важную роль в диагностике и терапии МКРЛ I стадии, но не играет ключевой роли при запущенном раке. У пациентов, которые отвечают на терапию первой линии, профилактическое облучение черепа может предотвратить метастазы в мозг и улучшить общую выживаемость. Хотя первоначальный ответ на лечение обычно хороший, SCLC имеет тенденцию быстро рецидивировать. Это делает терапию второй линии очень важной. Топотекан является наиболее изученным и широко используемым средством терапии второй линии; однако новые агенты, включая биологические методы лечения, находятся в стадии изучения.
Введение
Рак легких является ведущей причиной смерти от рака во всем мире. В Европе у 386 000 человек был диагностирован рак легких в 2006 году, и почти столько же, 330 000 человек, умерли от этого заболевания [1]. Продвинутая стадия диагностики, высокая частота системных рецидивов после операции и резистентность к системной терапии способствуют высокой смертности от этого заболевания. Несмотря на некоторые недавние достижения в терапии рака легких, общий прогноз остается очень плохим, с 5-летней выживаемостью <20%, и потребность в новых стратегиях лечения остается большой.
Исторически с помощью традиционной световой микроскопии рак легких классифицировался как мелкоклеточный и немелкоклеточный. На мелкоклеточный рак легкого (МРЛ) приходится около 15–20% случаев рака легкого. Эта цифра варьируется в зависимости от региона и, похоже, уменьшается во многих частях мира. Поскольку SCLC тесно связан с курением сигарет, существует большой потенциал для снижения его заболеваемости за счет предотвращения курения.
Без лечения МРЛ быстро прогрессирует и приводит к летальному исходу.Это очень агрессивная опухоль, характеризующаяся быстрым удвоением времени, высокой фракцией роста и ранним развитием широко распространенных метастазов. Нелеченные пациенты с метастатическим заболеванием живут всего несколько недель.
У большинства пациентов с МКРЛ наблюдаются неспецифические симптомы, такие как новый кашель, изменение характера их хронического кашля или потеря веса. Это существенно сокращает время диагностики. На момент постановки первого диагноза около 70% пациентов с МРЛ имеют стадию IIIb или IV.
Эпидемиология
SCLC встречается почти исключительно у курильщиков или бывших курильщиков [2]. Хотя только 25% всех пациентов с раком легкого во всем мире никогда не курили или не курили [3], корреляция между SCLC и курением особенно сильна, при этом у подавляющего большинства (90%) пациентов с SCLC имеется четкая история курения [2] ]. Заболеваемость SCLC снизилась за последние несколько десятилетий. Govindan et al. [4] проанализировал данные из базы данных Американского эпиднадзора, эпидемиологии и конечных результатов (SEER), обнаружив явное снижение заболеваемости SCLC с 17.С 26% в 1986 году до 12,95% в 2002 году. Это наблюдение может быть связано с введением в сигареты фильтров с низким содержанием смол или с изменением демографии курящих. По-видимому, существуют факторы, специфичные для пола, которые еще больше увеличивают риск МРЛ у женщин по сравнению с курильщиками-мужчинами.
Хотя курение является наиболее важным фактором риска развития МРЛ, были выявлены и другие факторы риска. Наиболее значительными из них являются производственные воздействия, такие как пассивное курение, асбест, мышьяк, хром, никель, бериллий, кадмий, ароматические поликарбонаты и потенциально дизельная пыль.Пассивное курение также является важным фактором риска в частном секторе, особенно для детей.
Клиническое проявление
SCLC обычно возникает в центральных дыхательных путях, в отличие от неплоскоклеточного NSCLC, который чаще обнаруживается периферически. Рентгенограмма и изображения компьютерной томографии (КТ) SCLC обычно показывают большие внутригрудные образования с аденопатией средостения. Компрессия центральных дыхательных путей или верхней вены может привести к постстенотической пневмонии или синдрому верхней полой вены соответственно.Другие симптомы на момент обращения менее специфичны и включают новый кашель или изменение характера хронического кашля пациента, кровохарканье, одышку, утомляемость и B-симптомы, такие как потеря веса, лихорадка и ночная потливость. У большинства пациентов с МКРЛ на момент постановки диагноза есть отдаленные метастазы. Наиболее частыми местами метастазирования являются печень, надпочечники, кости, мозг и костный мозг. МРЛ иногда представляет собой периферический одиночный легочный узел.
Паранеопластические синдромы, особенно вызывающие неврологические симптомы, могут возникать на ранних стадиях МРЛ и при отсутствии других симптомов, связанных с опухолью.
Паранеопластические синдромы
SCLC демонстрирует высокий уровень нейроэндокринной активности и может быть связан с широким спектром паранеопластических синдромов, включая синдром неадекватного антидиуретического гормона и синдром эктопического кортикотропина [5]. Помимо эндокринных паранеопластических синдромов описаны неврологические ( например, синдром Ламберта-Итона), гематологические и дерматологические синдромы. Наиболее частые паранеопластические синдромы представлены в таблице 1.
Таблица 1
Паранеопластические синдромы, связанные с раком легких [5, 6]
Прогноз
Нелеченый МРЛ является агрессивным, со средней выживаемостью 2–4 месяца после постановки диагноза. Прогноз коррелирует со стадией заболевания на момент обращения. При IV стадии заболевания общая выживаемость (ОС) без лечения составляет всего несколько недель. Хотя SCLC обычно хорошо реагирует на начальную химиотерапию, почти всегда развивается устойчивость к химиотерапии. Тем не менее, химиотерапия дает явное преимущество в плане выживаемости по сравнению с лучшей поддерживающей терапией [7–9].Пациенты, получавшие лечение по поводу ограниченного заболевания, имеют медианную выживаемость 16–24 месяцев и 5-летнюю выживаемость 14%. Медиана выживаемости у пациентов, получавших лечение по поводу обширного заболевания, составляет 6–12 месяцев, а длительная выживаемость без заболевания встречается редко.
Анализ данных SEER, проведенный Govindan et al. [4] и Oze et al. [10] пришел к разочаровывающему выводу, что ОС в SCLC не претерпела существенных изменений за последние 30 лет. В таблице 2 суммировано влияние стадии при представлении и различных стратегий лечения на выживаемость.
Таблица 2
Мелкоклеточный рак легкого: выживаемость в зависимости от степени заболевания на момент обращения [11] с поправками на терапию [12]
Наиболее важным прогностическим фактором для ОС является стадия обращения [13], за которой следует состояние работоспособности (индекс Карновского или Восточной кооперативной онкологической группы (ECOG)), потеря веса, лактатдегидрогеназа сыворотки и абсолютное количество нейтрофилов [6]. Сам по себе возраст не является прогностическим фактором. Прогностические оценки следует использовать с осторожностью, поскольку они редко отражают все соответствующие факторы, особенно сопутствующие заболевания.Несмотря на то, что пациенты с рецидивом на ранней стадии после лечения первой линии имеют плохой прогноз, у тех, кто достаточно приспособлен для дальнейшего системного лечения, действительно есть преимущество в выживаемости от спасительной химиотерапии [14].
Стадирование и диагностическое обследование
Первоначальная двухэтапная классификация SCLC как ограниченного заболевания (LD) или обширного заболевания (ED) была разработана Группой по борьбе с раком легких при администрации ветеранов и до сих пор широко используется. Как показано в таблице 2, LD используется для описания опухолей, в которых мишень лечения (обычно первичная опухоль и ипсилатеральные средостенные или надключичные лимфатические узлы) попадает в одно поле лучевой терапии.ЭД относится к опухоли, не ограниченной одним гемитораксом, или опухоли, сопровождающейся злокачественным плевральным выпотом или отдаленными метастазами. К сожалению, используются разные версии этой системы, что может привести к путанице или разногласиям между центрами. Большинство пациентов на момент постановки диагноза имеют обширное заболевание.
Система стадирования TNM, хорошо зарекомендовавшая себя при немелкоклеточном раке легкого (НМРЛ), а также при других солидных опухолях, основана на описании первичной опухоли (T), распространения лимфатических узлов (N) и отдаленных метастазов. (М) [15].Седьмая версия промежуточной системы TNM используется с 2010 года (таблица 3). Поскольку стадия TNM позволяет более точно описать опухолевую нагрузку, чем это возможно при использовании двухэтапной системы LD / ED, это позволяет более дифференцированно планировать лечение и дизайн исследования. Это особенно верно для мультимодальных подходов, используемых на этапах I – IIIB. Всем пациентам с МРЛ рекомендуется использовать стадию TNM [15].
Таблица 3
Определение стадии рака легких по TNM [15]
Соответствующее диагностическое обследование и оценка состояния работоспособности необходимы до начала терапии и во время последующего наблюдения.В дополнение к тщательному анамнезу и физическому обследованию, диагностическое обследование включает визуализационные исследования (рентгенограмма грудной клетки, компьютерная томография головы, шеи, грудной клетки и живота), анализы крови (включая анализ крови, электролиты, маркеры воспаления и опухолевые маркеры). -гастрин-высвобождающий пептид (про-GRP) и нейрон-специфическая энолаза (NSE)), ЭКГ и функция легких. В некоторых случаях могут помочь тесты с физической нагрузкой, позитронно-эмиссионная томография (ПЭТ) -КТ или сцинтиграфия костей и диагностика костного мозга.Поскольку некоторые опухоли с эндокринной активностью экспрессируют октреотидные рецепторы, DOTATATE / DOTATOC-PET может быть полезен для обнаружения отдаленных активных метастазов, которые затем можно лечить радиофармацевтическими препаратами. В общем, диагностическое обследование при SCLC должно проводиться с небольшой задержкой, так как терапию следует начинать рано, в идеале в течение 7-10 дней после появления или обострения симптомов [4, 6, 16, 17].
Биология SCLC
SCLC можно отличить от NSCLC с помощью световой микроскопии.Клетки SCLC имеют небольшие размеры (всего в два раза больше лимфоцитов), круглой или овальной формы и под световой микроскопией выглядят синеватыми. Размер и морфология ядра, а также количество цитоплазмы различаются между подтипами. Клетки расположены в кластеры, разделенные фиброзно-ретикулярной стромой. Они демонстрируют высокую митотическую скорость, а биопсия часто включает значительное количество некротических клеток. Клетки SCLC хрупкие, что приводит к типичным «артефактам раздавливания» в образцах биопсии. SCLC может возникать в сочетании с другими гистологическими типами рака легких, чаще всего с плоскоклеточной карциномой [18, 19].
Гистопатологическая классификация SCLC менялась несколько раз за последние несколько десятилетий. Ранее микроскопические особенности использовались для классификации опухолей как овсяных клеток, промежуточных или комбинированных клеток SCLC. Клинические особенности этих трех подгрупп схожи, и все они могут проявлять нейроэндокринные особенности. Новая система классификации, принятая Всемирной организацией здравоохранения (ВОЗ) в 1999 г. (таблица 4) [20], классифицирует SCLC как нейроэндокринную опухоль. Это имеет клиническое значение, поскольку паранеопластические нейроэндокринные симптомы часто являются первыми признаками МРЛ.Другие нейроэндокринные опухоли легких включают крупноклеточную нейроэндокринную карциному, типичные и атипичные карциноидные опухоли, а также диффузную идиопатическую гиперплазию нейроэндокринных клеток легких и опухоли. Панели антигенов могут быть полезны в диагностике SCLC. Guinee et al. [21] проанализировал биопсию открытого легкого (OLB) и трансбронхиальную биопсию (TBB) и смог показать, что почти все SCLC происходят из эпителия и поэтому могут быть окрашены виментином, кератином или BER-EP4 (OLB и TBB). .Нейроэндокринные маркеры в большинстве случаев положительны и включают хромогранин A (60% OLB, 47% TBB), NSE (60% / 33%), Leu-7 (40% / 21%), синаптофизин (5% / 21%). %). Другие группы показали положительное окрашивание на допа декарбоксилазу, кальцитонин, CD56 (молекула адгезии нервных клеток), GRP и инсулиноподобный фактор роста-I. Хотя большинство SCLC экспрессируют нейроэндокринные маркеры, отсутствие экспрессии не исключает диагноза SCLC в случаях положительного окрашивания на эпителиальные маркеры [19, 21].
Таблица 4
ВОЗ / IASLC Подтипы нейроэндокринных опухолей [20]
Помимо факторов риска окружающей среды, семейный анамнез рака легких связан с повышенным риском развития МРЛ.Одна генетическая аномалия, связанная с повышенным риском SCLC, была идентифицирована Bailey-Wilson et al. [22], который обнаружил, что потеря аллеля в хромосоме 6q коррелирует с ранним началом рака легких и плохим прогнозом.
Несколько важных генетических и молекулярных изменений были отмечены в SCLC, включая идентификацию аутокринных петель роста, активацию протоонкогенов и потерю или инактивацию генов-супрессоров опухолей. Изменения в генах-супрессорах опухолей являются обычным явлением при SCLC и, вероятно, играют ключевую роль в патогенезе заболевания.Наиболее важные изменения гена-супрессора опухоли при SCLC перечислены в работе Jackman et al. [23], и обобщены в таблице 5.
Таблица 5
Некоторые генетические изменения при мелкоклеточном раке легкого (SCLC) [23, 24]
Хотя большинство пациентов с SCLC хорошо реагируют на начальную химиотерапию, развитие ранней резистентности ограничивает ОС. Механизмы устойчивости при SCLC еще предстоит полностью выяснить. Одна теория предполагает, что небольшие популяции устойчивых к химиотерапии раковых стволовых клеток повторно заселяют опухоль после химиотерапии.Есть также свидетельства того, что изменения гомеостаза кальция могут играть роль в развитии устойчивости к химиотерапии. Дальнейшие исследования, включая уточненные модели рака и интеграцию трансляционных подходов, необходимы для понимания и преодоления устойчивости к химиотерапии при SCLC.
Терапевтические методы
Химиотерапия
Из-за быстрого удвоения времени и скорости роста SCLC изначально очень чувствителен к химиотерапии [6, 7, 16], что делает химиотерапию краеугольным камнем лечения.Стандартные режимы химиотерапии перечислены в таблице 6. Хотя ни одна из стандартных комбинаций не превосходила другие с точки зрения долгосрочной выживаемости [9, 25], комбинированная химиотерапия превосходит терапию одним агентом. Это особенно верно для ED, но может быть экстраполировано на LD. При планировании химиотерапии следует учитывать состояние пациента и необходимость облучения. Комбинированная терапия на основе платины с этопозидом, по крайней мере, равна КАВ с меньшей токсичностью и меньшим вмешательством в облучение.
Таблица 6
Широко используемые химиотерапевтические схемы, эффективные против мелкоклеточного рака легкого [6]
ACCP рекомендует цисплатин (60–80 мг · м –2 ) и этопозид (250–360 мг · м2 –2 , разделенные на 3–5 доз) в качестве стандартной группы лечения для сравнительных проспективных исследований [26].
К сожалению, выживаемость пациентов с МРЛ, особенно с обширным заболеванием, включенных в исследования фазы III, за последние годы существенно не улучшилась, что ясно демонстрирует необходимость дальнейшей разработки новых мишеней, новых агентов и комплексного ухода за пациентами.
Хирургия
Роль хирургии при МРЛ довольно ограничена. Большинство пациентов поступают с метастазами и явно не являются кандидатами на хирургическое вмешательство. Однако даже у пациентов с локализованными опухолями роль радикальной местной терапии не ясна [27, 28]. В случаях, когда диагноз SCLC ставится во время операции, например, во время обследования одиночного легочного узелка без признаков поражения лимфатических узлов, следует провести анатомическую резекцию. В таких случаях хирургическое вмешательство может считаться излечивающим, но адъювантная комбинированная терапия является обязательной.За исключением I стадии, хирургическая резекция не дает явных преимуществ при SCLC.
Радиотерапия
За последние годы лучевая терапия приобрела все большее значение. Радиочувствительный характер SCLC приводит к хорошему локальному контролю в области облучения, а сочетание облучения с химиотерапией дополнительно улучшает контроль над местной опухолевой массой. Было показано, что одновременное традиционное облучение грудной клетки увеличивает 2-летнюю выживаемость до 41%, а облучение два раза в день до общей дозы 45 Гр дополнительно увеличивает ОС на 10% через 5 лет (частота ОС составляет 26%) [29 ].Также было показано, что параллельное облучение, начинающееся с первого курса химиотерапии, превосходит последовательную терапию [30, 31]. Использование профилактического краниального облучения будет обсуждаться позже в этом обзоре.
Паллиативная лучевая терапия предназначена для уменьшения боли и других симптомов. Метастазы в кости могут быть облучены, чтобы уменьшить боль, предотвратить патологические переломы и, в случае метастазов в позвонки, снизить риск нестабильности или сдавления спинного мозга. Метастазы в мозг облучают для уменьшения симптомов и прогрессирующего массового эффекта; однако прогноз после рецидива головного мозга, как показано в таблице 8, плохой даже при интеграции новых подходов, таких как радиохирургия [6, 12, 32].
Терапия первой линии
Терапия первой линии при IV стадии (ED)
Большинство пациентов находятся на стадии IV (ED) и должны получать химиотерапию. Химиотерапия дает явное преимущество в плане выживаемости: от 4–6-недельной выживаемости у нелеченных пациентов с обширным заболеванием до 12-месячной выживаемости при обширном заболевании с химиотерапией. Первоначальный ответ на химиотерапию у этих пациентов составляет 50–80%, а частота полного ответа (ПО) — 15–25%. Однако из-за ранних рецидивов долгосрочная выживаемость редка: <5% пациентов живут более 2 лет, а 5-летняя выживаемость составляет всего 2%.
Схемы на основе платины, состоящие из цис- или карбоплатины и одного или двух кохимиотерапевтических препаратов, являются стандартом лечения пациентов с адекватным статусом работоспособности. Карбоплатин в сочетании с этопозидом, по-видимому, так же эффективен при обширном заболевании, как цисплатин и этопозид (ПЭ), и может вызывать меньше побочных эффектов. Карбоплатин особенно подходит пациентам с плохим прогнозом / состоянием здоровья или противопоказаниями к цисплатину. Циклофосфамид, адриамицин и винкристин (КАВ) были стандартной схемой лечения до появления препаратов на основе платины.Хотя КАВ все еще используется в некоторых областях, ПЭ показала схожую частоту ответа и обычно ассоциируется с меньшей токсичностью [6, 16]. Стандартные схемы химиотерапии перечислены в таблице 7 [6].
Таблица 7
Мелкоклеточный рак легкого: ответ на новые препараты [6, 34–38]
Таблица 8
Лечение метастазов в головной мозг с помощью лучевой терапии в модификации [32]
Рекомендация Американского колледжа грудных врачей (ACCP) в 2007 году заключалась в следующем: «Пациенты с обширной стадией заболевания должны получить от четырех до не более шести циклов комбинированной химиотерапии на основе цисплатина или карбоплатина.Цисплатин можно сочетать с этопозидом или СРТ-11. ( Уровень рекомендации, 1B) ». CPT-11 не лицензирован для использования в SCLC в Европе.
Лучевая терапия обычно используется для паллиативного лечения обширного заболевания, за исключением торакальной лучевой терапии после полного ответа за пределами грудной клетки и хорошего ответа в области грудной клетки. ACCP заявил: «После химиотерапии пациентам, достигшим полного ответа вне грудной клетки и полного или частичного ответа в грудной клетке, может быть предложена консолидированная TRTx в груди (уровень рекомендации , 2C )».Рекомендации по профилактическому облучению черепа описаны ниже.
Терапия первой линии при I – IIIB стадии (LD)
Только 30% пациентов имеют LD на момент постановки диагноза. Стандартный терапевтический подход к ограниченному заболеванию — химиотерапия с использованием цисплатина и этопозида (ЭП) с одновременным облучением грудной клетки. Поскольку ЭП относительно хорошо переносится в сочетании с радиацией, в этом случае он предпочтительнее КАВ [45]. Сама по себе химиотерапия не обеспечивает хорошего местного контроля, частота местных неудач составляет 75–90%, несмотря на хорошие начальные показатели эффективности 80–90%.Использование торакальной лучевой терапии увеличивает местный ответ. Эффект от добавления лучевой терапии к химиотерапии кажется более выраженным, если лучевая терапия интегрирована в начале курса лечения [30, 46]. Гиперфракционная лучевая терапия улучшает выживаемость по сравнению с традиционно фракционированной лучевой терапией [29]. Комбинированная терапия, состоящая из химиотерапии и лучевой терапии грудной клетки, может привести к полному ответу у 50–60% пациентов и, как было показано, улучшает долгосрочную выживаемость на 10% по сравнению с одной химиотерапией [30, 47].
Профилактическое краниальное облучение (ЧКВ) (описанное ниже) рекомендуется пациентам, у которых наблюдается хороший ответ после начальной терапии.
Некоторым пациентам с очень ограниченным заболеванием может быть полезна операция. Использование адъювантной химиотерапии после полной резекции улучшает ОС даже у пациентов с очень ограниченным заболеванием.
В целом, при нынешних формах лечения можно разумно ожидать среднего времени выживания в 16–24 месяцев, при этом 12–26% пациентов выживают более 5 лет.
Облучение черепа профилактическое
PCI был первоначально введен для лечения лейкемии и был предложен для использования при SCLC Хансеном [48]. Он основан на концепции, что мозг плохо доступен для химиотерапии и, следовательно, является убежищем для раковых клеток.
Целями профилактического облучения черепа являются предотвращение рецидива головного мозга и, следовательно, предотвращение симптомов со стороны центральной нервной системы, улучшение качества жизни (QoL) и улучшение общего состояния.Приблизительно у 30–40% пациентов с МРЛ метастазы в головном мозге развиваются во время болезни, часто в течение первого года. ЧКВ снижает этот риск до <15% и может увеличить ОС [49] у пациентов с полной или стабильной частичной ремиссией после химиотерапии. Кратковременные побочные эффекты ЧКВ включают усталость, потерю аппетита и временное выпадение волос.
Несколько испытаний показали улучшение выживаемости при ЧКВ у пациентов с МРЛ. Мета-анализ ЧКВ у пациентов с полной ремиссией после системного лечения продемонстрировал небольшое улучшение выживаемости, превышающее 5% при ЧКВ [42].Кроме того, более позднее исследование фазы III, проведенное Slotman et al. [50] у пациентов с обширным заболеванием и функциональным статусом 0–2 показали, что у пациентов, ответивших на химиотерапию (не только пациентов с полным ответом), ЧКВ снизило частоту метастазов в мозг с 40,4% через 1 год до 14,6% ( отношение рисков (ОР) 0,27, 95% ДИ 0,16–0,44; p <0,0001) и дало выживаемость и улучшение симптомов с 1-летней выживаемостью 13,3% в контрольной группе и 27,1% в группе лечения (ОР 0.68, 95% ДИ 0,52–0,88; р = 0,003).
Кокрановский обзор показал метастазы в мозг у 29% пациентов, получивших ЧКВ, и 57% пациентов без ЧКВ (HR 0,38, 95% ДИ 0,23–0,64). HR выживаемости составил 0,77 (95% ДИ 0,54–1,11) [51].
Рецидив и дальнейшая терапия
Несмотря на в целом хороший ответ на начальную терапию, у пациентов с МРЛ почти всегда развивается прогрессирование [6, 9, 14, 27, 28], и их следует рассматривать для назначения химиотерапии второй линии. Выбор химиотерапии второй линии зависит от режима терапии первой линии, первоначального ответа, времени до рецидива и общего состояния пациента.В целом терапия второй линии менее эффективна, чем терапия первой линии, что приводит к относительно небольшому увеличению выживаемости по сравнению с лучшей поддерживающей терапией (5,5 против 2,2 месяца). Это особенно верно для пациентов с ранним рецидивом или преимущественно рефрактерным / прогрессирующим или резистентным заболеванием (прогрессирование в течение 3 месяцев после первичной терапии). Если ремиссия после терапии первой линии была стабильной в течение> 6 месяцев, можно рассмотреть более агрессивную терапию второй линии, даже с использованием системных агентов, используемых в терапии первой линии.При рецидивах с более коротким интервалом следует обсудить альтернативную химиотерапию. Одним из наиболее изученных вариантов химиотерапии второй линии является топотекан. Топотекан — это ингибитор топоизомеразы-I, который можно вводить перорально или внутривенно. В проспективном исследовании 170 пациентов (73,2% на стадии IV, 63,4% получали терапию первой линии на основе платины) общий ответ составил 14,1% с одной полной ремиссией. Более того, 28,8% пациентов имели стабильную болезнь со средней продолжительностью ответа 13.6 недель и средняя выживаемость 23,4 недели. В этом исследовании топотекан использовался с начальной дозой 1,25 мг · м -2 в / в. и дозу, скорректированную в соответствии с гематологической токсичностью. Это значительно снизило гематологическую токсичность без снижения эффективности [6]. В рандомизированном исследовании фазы III топотекан продемонстрировал преимущество в выживаемости по сравнению с наилучшей поддерживающей терапией [31]; и в рандомизированном исследовании против КАВ топотекан был по крайней мере столь же эффективен [52]. Другие вещества, которые продемонстрировали хотя бы некоторую эффективность в испытаниях, перечислены в таблице 7 и включают паклитаксел, гемцитабин и пеметрексед [17, 35, 37, 38, 43, 54].
При рецидиве облучение следует использовать только для достижения определенных паллиативных целей, таких как предотвращение патологических переломов или лечение метастазов в головной мозг. Метастазы в мозг, которые развиваются после ЧКВ, следует оценивать в свете периода времени после ЧКВ и системной опухолевой ситуации. Возможна стереотаксическая лучевая терапия, а в случаях рецидива головного мозга после длительного периода без прогрессирования можно рассмотреть возможность повторного облучения головного мозга. В зависимости от общего состояния здоровья пациента следует рассмотреть возможность симптоматического лечения дексаметазоном и / или системной (химиотерапии) терапии.
Хотя первичная резистентность к химиотерапии может возникать при SCLC, пациентов, которые не достигают значительной ремиссии при терапии первой линии, следует тщательно рассматривать для альтернативных диагнозов, таких как наличие комбинированных гистологических исследований. В таких случаях часть комбинированной опухоли с SCLC может реагировать иначе, чем часть NSCLC. Наличие второй опухоли следует учитывать в случае очевидного рецидива после длительного перерыва в прогрессировании. Рассматриваемая опухоль должна быть (повторно) взята на биопсию и соответственно скорректирована химиотерапия.
Подходы к совершенствованию системной терапии
Поскольку общая выживаемость при SCLC остается низкой, усилия по повышению эффективности системной терапии были в центре внимания. Эти подходы включают усиление химиотерапии, использование новых химиотерапевтических средств и интеграцию таргетных методов лечения.
Эскалация химиотерапии
Повышение дозы
Эскалация химиотерапии может быть достигнута увеличением дозы или сокращением интервала между курсами.Выполнимость этих подходов часто ограничивается заболеваемостью и смертностью, связанными с миелодепрессивными побочными эффектами химиотерапии.
Использование колониестимулирующих факторов (CSF) позволяет проводить химиотерапию в более высоких или более плотных дозах. Более ранние данные показали, что интенсификация дозы у пациентов с хорошим прогнозом может улучшить выживаемость [55]. К сожалению, несмотря на более высокую частоту ответов, эта стратегия не показала значительного улучшения ОС [56]. Кроме того, было несколько сообщений о вреде, связанном с использованием гранулоцитарного CSF (G-CSF).Юго-западная онкологическая группа сообщила о более тяжелой и продолжительной нейтропении и тяжелой тромбопении при применении G-CSF, особенно у пациентов, получавших комбинированную терапию [57].
Поддерживающая терапия
В отличие от недавних доказательств использования поддерживающей терапии при НМРЛ, этот подход не является общепринятым при лечении МРЛ. В ходе исследований были изучены различные агенты в поддерживающей терапии при SCLC, включая химиотерапевтические препараты, интерферон и другие биологические агенты.Некоторые из этих испытаний показали улучшение выживаемости без прогрессирования заболевания (ВБП) при поддерживающей терапии. Например, в исследовании ECOG E7593 топотекан (четыре цикла 1,5 мг · м -2 в течение 5 дней) использовался в качестве сменной поддерживающей терапии при обширном заболевании и продемонстрировал разницу в ВБП 1,4 месяца (2,3 против 3,7 месяца; p <0,001), без существенной разницы в OS (8,9 против 9,3 месяцев ; p = 0,43) [58].
Недавний мета-анализ 21 опубликованного рандомизированного исследования (11 с использованием химиотерапии, шести интерферонов и четырех других биологических агентов), включая в общей сложности 3688 пациентов, не продемонстрировал общего статистического преимущества по ОВ (HR 0.93, 95% ДИ 0,87–1,00; p = 0,05) или в PFS (HR 0,98, 95% CI 0,91–1,06; p = 0,63) [59] с поддерживающей терапией. Однако в этих исследованиях наблюдалось снижение смертности с использованием химиотерапии (ОР 0,89, 95% ДИ 0,81–0,98; p = 0,02) или интерферона-α (ОР 0,78, 95% ДИ 0,64–0,96; p = 0,02). Ясно, что необходимо дальнейшее разъяснение полезности поддерживающей терапии при МКРЛ с помощью хорошо спланированных рандомизированных исследований для решения конкретных вопросов.
Новые химиотерапевтические средства
Алкалоид топотекан — ингибитор топоизомеразы, одобренный Управлением по контролю за продуктами и лекарствами США для терапии второй линии SCLC [45, 61].Он также был исследован для использования в качестве агента первой линии. Некоторые исследования первой линии показали несколько лучшую ОС после приема цисплатина и топотекана по сравнению с карбоплатином и этопозидом [61, 62]. Одно исследование обширного заболевания сравнивало цисплатин и топотекан с цисплатином и этопозидом, показывая преимущество комбинации топотекана (OR 55,5 против 45,5%, p = 0,01). Среднее время до прогрессирования составило 7 против 6 месяцев (лог-ранг p = 0,004), а медиана OS 10,5 против 9.5 месяцев) [63].
Иринотекан, другой ингибитор топоизомеразы-I, еще не нашел своего места в лечении МРЛ кавказских популяций. В рандомизированном японском исследовании 154 пациентов с обширным заболеванием иринотекан и цисплатин показали значительно лучшую выживаемость, чем цисплатин и этопозид [64]. Это преимущество выживаемости не было воспроизведено в испытаниях на кавказских популяциях [65, 66]. Иринотекан можно вводить последовательно или параллельно облучению. Его следует избегать у пациентов с диареей и требует интенсивного наблюдения за пациентом.
Таксаны доцетаксел и паклитаксел также были протестированы в SCLC. Данных относительно доцетаксела немного [67]. Паклитаксел в сочетании с этопозидом и платиной дал обнадеживающие результаты в исследованиях фазы II. Данные испытаний фазы III несколько противоречивы и варьируются между испытаниями с цисплатином и с карбоплатином. Два исследования фазы III, сравнивающих паклитаксел-этопозид-цисплатин (TEP) и EP, показали сравнимую эффективность, но увеличили количество токсических смертей в группе TEP [57, 68].Однако исследование фазы III, сравнивающее паклитаксел / этопозид / карбоплатин (ТЕС) и карбоплатин / этопозид / винкристин (CEV) у пациентов с ЭД и ЛД, показало значительное улучшение выживаемости в пользу ТЭК. Медиана ОВ составила 12,5 месяцев после ТЭК по сравнению с 11,7 месяцами в группе CEV (ОР 1,21, 95% ДИ, 1,02–1,43; p = 0,030) [69] . 5-летняя выживаемость составила 14% для экспериментального по сравнению с 6% для группы CEV. Значительное улучшение выживаемости также наблюдалось в подгруппе пациентов с болезнью IV стадии (HR 1.27, 95% ДИ, 1,00–1,60; р = 0,047). Кроме того, пациенты в группе TEC сообщили о меньшей токсичности 3/4 степени и показали улучшение ряда соответствующих параметров QoL, включая общее общее QoL и физическое функционирование [70].
Гемцитабин представляет собой аналог нуклеотида, который нарушает биосинтез белка, замещая цитозин в основной цепи ДНК. Неисправная нуклеиновая кислота не может быть обработана и индуцируется апоптоз. Исследование с неблагоприятным прогнозом SCLC (в основном ED) показало преимущество цисплатина плюс гемцитабин по сравнению с цисплатином и этопозидом плюс гемцитабин, в основном на основании меньшей гематологической токсичности.Выживаемость была одинаковой в обеих группах [6, 34].
Пеметрексед — антиметаболит, химическая структура которого аналогична фолиевой кислоте. Он подавляет ферменты, участвующие в синтезе пурина и пиримидина, и, следовательно, препятствует синтезу ДНК. В рандомизированном исследовании фазы II по МКРЛ пеметрексед сочетался с карбо- или цисплатином, что дало хорошие результаты в обеих группах с меньшей гематологической токсичностью 3-4 степени [71]. Однако исследование фазы III, сравнивающее пеметрексед-карбоплатин и этопозид-карбоплатин у пациентов с ED SCLC, не получавших химиотерапию, показало, что пеметрексед-карбоплатин уступает этопозиду-карбоплатину по обоим OS (медиана 8.1 против 10,6 месяцев; ОР 1,56, 95% ДИ 1,27–1,92; лог-ранг p <0,01) и ВБП (медиана 3,8 против 5,4 месяца; ОР 1,85, 95% ДИ 1,58–2,17; лог-ранг p <0,01) [72].
Алкилирующий агент бендамустин наиболее известен своим применением при злокачественных гематологических заболеваниях; однако он также продемонстрировал эффективность при SCLC. Исследование фазы II в комбинации с карбоплатином у пациентов с обширным заболеванием показало хорошую переносимость и активность, сопоставимую с другими схемами на основе платины [36].
Антрациклин амрубицин был лицензирован для использования при SCLC в Японии с 2002 года. Амрубицин действует путем ингибирования топоизомеразы II, и его часто сравнивают с ингибитором топоизомеразы I топотеканом в клинических испытаниях [54]. Эффективность амрубицина у пациентов европеоидной расы остается неясной, различие может быть связано с этническими различиями в ферментативном метаболизме [73]. Имеются данные фазы II как для второй линии [37, 38], так и для первой линии у пациентов европеоидной расы с обширным заболеванием [74].Одно рандомизированное испытание терапии второй линии, в котором сравнивали амрубицин с топотеканом, было представлено в абстрактной форме [75] и, по-видимому, предполагает активность у пациентов с европеоидной расой.
Таргетная терапия
Новые мишени для системной терапии на генетическом уровне дают надежду на улучшение выживаемости. Энтузиазм по поводу таргетной терапии при МРЛ подпитывается успехами в других областях онкологии, включая лечение НМРЛ.
Однако положительные результаты испытаний при SCLC были относительно редкими, и в настоящее время только несколько новых агентов по-прежнему являются многообещающими при SCLC.Тем не менее, улучшение нашего понимания биологии опухоли и попытки интегрировать таргетную терапию в лечение SCLC могут улучшить выживаемость пациентов [76]. Поскольку целевые методы лечения остаются экспериментальными при SCLC, они должны быть протестированы в подходящем окне возможностей и часто сочетаются с традиционной цитотоксической химиотерапией.
Здесь перечислены наиболее многообещающие агенты. Однако следует подчеркнуть, что в настоящее время нет данных фазы III, показывающих преимущество этих целевых агентов при SCLC.Безусловно, необходимы дальнейшие испытания и новые комбинации.
Млекопитающие-мишени ингибиторов рапамицина
Рапамицин, также известный как сиролимус, представляет собой иммуномодулятор, который обычно используется у пациентов с трансплантацией для уменьшения отторжения органов. Блокирование мишени рапамицина у млекопитающих (mTOR) блокирует трансляцию генов, регулирующих клеточный цикл, и, следовательно, является антипролиферативным, а также антиангиогенным.
Ингибиторы фактора роста эндотелия сосудов
Фактор роста эндотелия сосудов (VEGF) является мощным эндотелиальным промотором неоангиогенеза.
Бевацизумаб
Моноклональное антитело против VEGF, бевацизумаб, было протестировано в сочетании с химиотерапией (иринотекан и карбоплатин) и в качестве продолжающей поддерживающей терапии, показав ВБП через 1 год у 63% и через 2 года у 54% пациентов.
Ингибиторы тирозинкиназы и рецепторов тирозинкиназы
Тирозинкиназы (TK) представляют собой ферменты, которые катализируют фосфорилирование остатков тирозина, и их можно разделить на TK, связанные с рецептором, и клеточные или нерецепторные TK.Они участвуют в клеточных сигнальных путях и регулируют рост, пролиферацию, дифференцировку и антиапоптотическую передачу сигналов. Нерегулируемая активность, по-видимому, является отличительной чертой многих раковых клеток [77, 78].
Иматиниб
Иматиниб является низкомолекулярным ингибитором нескольких ТК, включая c-Kit (CD117), и показал значительный эффект у пациентов с хронической миелоидной лимфомой. Поскольку клетки SCLC также могут проявлять положительную реакцию на CD117, они могут служить мишенью для иматиниба. К сожалению, клинические данные не показали многообещающих результатов в отношении иматиниба в этой ситуации [79].
Ингибиторы матриксных металлопротеиназ
Матричные металлопротеиназы (ММП) представляют собой металлоэндопептидазы цинка и принадлежат к клану металлопептидаз MB, которые представляют собой ферменты, способные разрушать внеклеточный матрикс. Они участвуют в физиологических и патологических процессах, включая рост и миграцию опухоли. Недавние исследования не показали преимущества использования ингибиторов ММП при лечении МРЛ [80].
Вакцинотерапия
клетки SCLC отображают антигены, которые отличают их от нормальных клеток.Круг и др. [81] сообщил об антиидиотипической вакцине против ганглиозида GD3 и BEC-2. Вакцины были протестированы в фазе III испытания в 2004 году. К сожалению, эти иммунотерапевтические методы лечения не дали преимущества в плане выживаемости по сравнению со стандартной мультимодальной терапией.
Антисмысловые олигонуклеотиды
Этот новый подход нацелен на конкретные последовательности РНК и препятствует экспрессии белка на уровне трансляции мРНК. Облимерсен — это антисмысловой нуклеотид, который в настоящее время исследуется.Поскольку опухолевые клетки часто демонстрируют повышенную активность антиапоптотического белка B-клеточной лимфомы (Bcl) -2 по сравнению с проапоптическим Bax (Bcl-2-ассоциированный X), блокирование Bcl-2 должно реактивировать физиологическую регуляцию клеточного цикла и повышать чувствительность опухолевых клеток к химиотерапии. Bcl-2 может также играть роль в запуске устойчивости опухоли к химиотерапии [82].
Заключение
Прогноз SCLC существенно не улучшился за последние десятилетия. Это, по-видимому, частично связано с биологией опухоли и ее быстрым развитием устойчивости к традиционным системным методам лечения.По этой причине существует большой интерес к интеграции биологии в клинические испытания, включая таргетную терапию и подходы со стволовыми клетками.
Вне исследований лечение должно проводиться в соответствии с алгоритмами, основанными на точном определении стадии опухоли с учетом индивидуальных факторов пациента. На этапе I – III следует использовать комплексный подход, включая ЧКВ. На стадии IV рекомендуется системная терапия с ЧКВ у респондентов. Интенсивность системного лечения на IV стадии зависит от клинической ситуации и индивидуального прогноза пациента.При терапии второй линии выбор системного лечения зависит от интервала отсутствия прогрессирования после лечения первой линии.
Рекомендуется лечение в центрах, где есть доступ к врачам-респираторам, торакальным онкологам, торакальным хирургам, онкологам-радиологам, а также к паллиативной помощи.
Ключевые моменты
Системное лечение улучшает прогноз пациентов с мелкоклеточным раком легкого.
Лечение мелкоклеточного рака легкого зависит от степени заболевания и состояния пациента при поступлении.
Паранеопластические синдромы могут быть первым признаком мелкоклеточного рака легкого.
У пациентов, которые отвечают на лечение первой линии, следует рассмотреть возможность профилактического облучения черепа.
Образовательные вопросы
Стандартное лечение МКРЛ IIIA стадии состоит из
Хирургия
Лучевая терапия
Химиотерапия
Химиолучевая терапия
Химиолучевая терапия и профилактическое облучение черепа
Стандартное лечение МКРЛ IV стадии состоит из
Монохимиотерапия
полихимиотерапия
Полихимиотерапия и лучевая терапия грудной клетки
Паллиативная лучевая терапия
Полихимиотерапия и профилактическое облучение черепа
Показано профилактическое облучение черепа
В качестве первого этапа лечения при IV стадии SCLC
Только после химиотерапии МКРЛ II стадии
Только после радиохимиотерапии при I — III стадии МКРЛ с полной ремиссией
Только после химиотерапии при МКРЛ IV стадии с полной ремиссией
После лечения МРЛ II — IV стадии с хорошим ответом на лечение
Рецидив МРЛ поддается лечению (правильные два ответа)
При повторном воздействии на терапию по 1 линии через 6 недель после завершения терапии по 1 линии
С топотеканом
При повторном воздействии на терапию по 1 линии через 6 месяцев после завершения терапии по 1 линии
С пеметрекседом
С эрлотинибом
Предлагаемые ответы
e.
e.
e.
б и в.
Сноски
Заявление о заинтересованности
Не заявлено.
Мелкоклеточный рак легкого — Консультант по терапии рака
Что нужно знать каждому врачу:
Мелкоклеточный рак легкого (SCLC) — агрессивная эпителиальная опухоль с нейроэндокринными характеристиками, на которую приходится 15% всех диагнозов рака легкого.SCLC имеет быстрое время удвоения и склонность к ранним метастазам; примерно две трети пациентов имеют метастатическое заболевание.
Лечение следует начать как можно скорее. За исключением редких пациентов с крайне плохим статусом работоспособности, лечение включает системную химиотерапию для всех пациентов; Постановка также позволяет определить пациентов, которым может помочь местная терапия, такая как лучевая терапия или хирургическое вмешательство. Прогноз для SCLC плохой; средняя выживаемость пациентов с локализованным SCLC (ограниченное заболевание, LD) составляет менее 2 лет, тогда как выживаемость пациентов с метастатическим SCLC (обширное заболевание, ED) составляет менее одного года.
Определение SCLC ВОЗ включает SCLC и комбинированный SCLC. В комбинированном SCLC компоненты немелкоклеточного рака легкого смешаны с мелкоклеточной карциномой легкого и должны составлять не менее 10% клеток. Пациентов с комбинированным SCLC следует лечить в соответствии с той же парадигмой, что и пациентов с (чистым) SCLC.
Генетика мелкоклеточного рака легкого
Генетически МРЛ характеризуется дискретными отклонениями нескольких генов-супрессоров опухоли. TP53 мутирует в 70-90% случаев SCLC.Точно так же продукт гена ретинобластомы (Rb) отсутствует в подавляющем большинстве случаев. Делеция короткого плеча хромосомы 3 (3p) обычно удаляется при SCLC; три предполагаемых гена-супрессора опухолей расположены в этой хромосомной области, включая хрупкую гистидиновую триаду и RASSF1A.
Вы уверены, что у вашего пациента мелкоклеточный рак легких? Что вы должны ожидать найти?
Общие симптомы
Диагноз SCLC ставится с помощью световой микроскопии. Классическое описание SCLC — это маленькие круглые синие клетки со скудной цитоплазмой, ядерной формой и высокой скоростью митоза.SCLC положительно окрашивает эпителиальные маркеры (AE1 / 3) и обычно является TTF-1-положительным.
SCLC часто демонстрирует нейроэндокринную дифференцировку, и более 90% опухолей SCLC окрашиваются положительно по крайней мере по одному из следующих маркеров:
- нейрон-специфическая энолаза (NSE)
- Молекула адгезии нервных клеток (NCAM, CD56)
- синаптофизин
- или хромогранин.
Реже проявляющиеся симптомы (паранеопластические синдромы)
Пациенты с МКРЛ могут иметь признаки и симптомы эндокринных или неврологических паранеопластических синдромов, которые встречаются у 15% пациентов, в том числе:
- Синдром неадекватной секреции антидиуретического гормона (SIADH)
- Синдром Кушинга
- Синдром Ламберта-Итона
Синдром неадекватной секреции антидиуретического гормона
SIADH — это эуволемическая, гипоосмотическая гипонатриемия, вызванная неадекватным подавлением секреции антидиуретического гормона.Этот синдром поражает 1-2% всех онкологических больных, но наблюдается у 10-50% пациентов с МКРЛ в какой-то момент их болезненного процесса.
У большинства пациентов симптомы отсутствуют или проявляются легкие симптомы, включая головную боль, утомляемость, слабость и легкие когнитивные изменения. Тяжелые симптомы, такие как судороги и кома, могут возникать у пациентов, у которых уровень натрия в сыворотке упал ниже 120 мэкв / л менее чем за 48 часов.
Управление:
- Лечение основной опухоли; разрешение может быть медленным в течение нескольких недель.
- Неотложная помощь может включать:
Ограничение жидкости с целевым потреблением менее 800 мл в день
Введение физиологического раствора внутривенно пациентам с тяжелой, симптоматической или резистентной гипонатриемией. Для эффективного повышения уровня натрия в сыворотке осмолярность жидкости для внутривенного введения должна быть выше осмоляльности мочи пациента.
Начало приема пероральных солевых таблеток с петлевым диуретиком или без него.
Фармакологические средства, такие как демеклоциклин или антагонисты рецепторов вазопрессина, такие как конивапан (парентерально) или толваптан (перорально).
Синдром Кушинга
Синдром Кушинга классически ассоциируется с рядом симптомов, вторичных по отношению к избытку глюкокортикоидов. Синдром эктопического АКТГ (адренокортикоид-стимулирующий гормон; кортикотропин) — вторая по частоте причина синдрома Кушинга.
SCLC составляет 50% всех случаев эктопической продукции АКТГ; Распространенность этого синдрома среди пациентов с МКРЛ составляет примерно 1%. Пациенты обычно обращаются с гипертонией, гипокалиемией, слабостью или отеком, в то время как другие симптомы, связанные с синдромом Кушинга, такие как туловищное ожирение, наблюдаются реже.
Тест на подавление высокой дозы дексаметазона может помочь различить болезнь Кушинга, вызванную гиперсекрецией гипофиза, или эктопический синдром АКТГ. Неспособность подавить 17-гидроксикортикостероиды ниже 50% подтверждает наличие эктопического источника АКТГ.
Управление:
- Лечение основной опухоли.
- Ингибиторы ферментов надпочечников могут использоваться для снижения выработки стероидов:
Кетоконазол 200 мг перорально 3 раза в день, можно увеличить до 400 мг перорально 3 раза в день. Измеряйте уровень кортизола каждые 24 часа.
Метирапон 250 мг два раза в день может быть добавлен, если 1200 мг кетоконазола в день недостаточно для подавления кортизола.
Синдром Ламберта-Итона
Примерно у 5% пациентов с МРЛ разовьются неврологические паранеопластические синдромы, опосредованные антителами, направленными на онконевральные антигены; У 3% пациентов с МКРЛ развивается синдром миастении Ламберта-Итона (LEMS). И наоборот, примерно 50% случаев LEMS связаны со злокачественными новообразованиями, обычно с SCLC. У подавляющего большинства (95%) пациентов с LEMS развивается прогрессирующая симметричная проксимальная мышечная слабость нижних конечностей без атрофии.Также может наблюдаться птоз. Дыхательная недостаточность встречается редко, но может проявляться в конце этого синдрома.
Диагноз LEMS основан на клинических данных и подтверждается наличием антител, направленных против потенциал-управляемых кальциевых каналов (VGCC) и ЭМГ.
Управление:
Лечение основного рака может улучшить или стабилизировать симптомы. Однако во многих случаях неврологические нарушения могут быть необратимыми. Поддерживающие меры включают иммунодепрессанты и симптоматическое лечение неврологических симптомов.
1) При легкой форме болезни
- Пиридостигмин 30-120 мг каждые 3-6 часов.
- 3,4-DAP 10-25 мг три раза в сутки или гуанидин 5-10 мг / кг / сутки, разделенные на три раза в сутки или четыре раза в сутки, могут быть добавлены, если ответ на пиридостигмин неадекватный.
2) Для умеренного или более симптоматического заболевания рассмотрите:
- ВВИГ 2 мг / кг в течение 2-5 дней.
- Преднизолон 60-100 мг внутрь через день.
Остерегайтесь других состояний, которые могут имитировать мелкоклеточный рак легкого:
Опухоли, которые могут быть ошибочно приняты за SCLC, включая небольшие круглые голубые клеточные опухоли (например,g., примитивные нейроэктодермальные опухоли, PNET) или другие нейроэндокринные опухоли (атипичный карциноид, крупноклеточная нейроэндокринная карцинома). Мелкоклеточная карцинома также может возникать не только в легких (внелегочная мелкоклеточная карцинома), но и в других местах, включая шейку матки, простату и несколько органов ЖКТ (поджелудочная железа, тонкий кишечник).
Какие люди наиболее подвержены риску развития мелкоклеточного рака легкого:
SCLC встречается почти исключительно у курильщиков, особенно у заядлых курильщиков. Из карцином легких плоскоклеточные и мелкоклеточные имеют самый высокий риск, связанный с воздействием табака на протяжении всей жизни.
Какие лабораторные и визуальные исследования вы должны заказать, чтобы охарактеризовать опухоль этого пациента (т.е. стадия, степень, КТ / МРТ против ПЭТ / КТ, клеточные и молекулярные маркеры, иммунофенотипирование и т. Д.) Как вы должны интерпретировать результаты и использовать их для установления прогноз и план начальной терапии?
Патология
Допускается биопсия первичной опухоли или места метастазирования, включая плевральный или перикардиальный выпот. Диагноз SCLC ставится с помощью световой микроскопии; Классическое описание SCLC — это маленькие круглые синие клетки со скудной цитоплазмой, ядерной формой и высокой скоростью митоза.
SCLC положительно окрашивает эпителиальные маркеры (AE1 / 3) и обычно является TTF-1-положительным. SCLC часто демонстрирует нейроэндокринную дифференцировку, и более 90% опухолей SCLC окрашиваются положительно по крайней мере по одному из следующих маркеров:
- нейрон-специфическая энолаза (NSE)
- Молекула адгезии нервных клеток (NCAM, CD56)
- синаптофизин
- и / или хромогранин
Радиографические исследования
Рекомендуемые исследования включают следующее:
- Компьютерная томография грудной клетки, брюшной полости и таза.
- ПЭТ сканирование или, если ПЭТ недоступно, сканирование костей. Метастазы в кости наблюдаются у 30% пациентов с МРЛ и часто протекают бессимптомно.
- МРТ головного мозга с гадолинием (предпочтительно) или КТ головы с контрастированием. До 15% пациентов имеют метастазы в головной мозг на момент постановки диагноза.
- Лабораторные исследования.
- Панель химии. Адекватная функция почек является определяющим фактором того, будут ли пациенты иметь право на определенные схемы химиотерапии.
- CBC с дифференциалом.
- ЛДГ не важен, но его повышение предвещает худший прогноз.
Другие исследования
- Тесты функции легких для пациентов, которым предстоит лучевая терапия или хирургическое вмешательство.
- Биопсия или аспирация костного мозга: поражение костного мозга как единственного очага внегрудной болезни встречается редко (5%). Рассмотрите возможность оценки костного мозга у пациентов с ограниченной стадией заболевания, у которых есть подозрение на поражение костного мозга, например, наличие ядерных эритроцитов в мазке периферической крови.
Полезные иммуноокрашивания
SCLC является эпителиальной опухолью и, следовательно, должен быть положительным на цитокератины (AE1 / AE3). Он также демонстрирует нейроэндокринную дифференцировку и высокий индекс пролиферации. Для диагностики МРЛ часто используются следующие иммуноокрашивания:
- TTF-1
- NCAM (CD56)
- Синаптофизин
- Хромогранин А
- Ki-67
До 90% случаев SCLC являются положительными на TTF-1. Более 90% случаев SCLC окрашиваются положительно по крайней мере на одно из следующих значений: NCAM, синаптофизин или хромогранин.
Стадия
Часто мелкоклеточный рак легкого характеризуется как ограниченная или обширная стадия (см. Ниже). Мелкоклеточный рак легкого также может быть охарактеризован стадией TNM (см. Таблицу I).
Какие методы лечения следует начать немедленно, т. Е. Срочно?
SCLC быстро удваивается и рано дает метастазы. Даже при отсутствии симптомов пациенты должны немедленно начинать лечение — в идеале в течение 1-2 недель после постановки диагноза. Пациентам с симптоматическим заболеванием лечение следует начинать в срочном порядке.
Синдром верхней полой вены
Пациент должен быть госпитализирован для экстренного лечения химиотерапией и / или лучевой терапией.
Симптоматические метастазы в головной мозг
Направьте пациента на лучевую терапию всего мозга в лечебных дозах. Если при визуализирующих исследованиях наблюдается значительный отек или у пациента наблюдаются симптомы, рассмотрите возможность назначения стероидов.
Спонтанный лизис опухоли
Спонтанный лизис опухоли у пациентов с солидными опухолями встречается крайне редко.Следуйте рекомендациям по лечению синдрома лизиса опухоли.
Кровохарканье
Кровохарканье может варьироваться от мокроты с оттенком крови до макроскопической крови и может быть результатом местной инфильтрации опухолью. Обильное кровохарканье относится к случаям, когда кровотечение из дыхательных путей потенциально опасно для жизни.
Пациентов с кровянистой мокротой следует направлять к пульмонологу для оценки проходимости дыхательных путей и возможного местного лечения. Большинству этих пациентов можно начать терапию, но следует тщательно контролировать количество их клеток, поскольку развитие тромбоцитопении может усугубить их состояние.
Пациенты с макроскопическим кровотечением или массивным кровохарканьем должны быть госпитализированы для оказания неотложной помощи. Это может включать оценку интервенционным бронхоскопистом, защиту дыхательных путей и лечение любой коагулопатии. Если сильное кровохарканье вызвано инвазией опухоли, лучевая терапия может помочь в лечении неотложных состояний.
Обструкция дыхательных путей
Пациенты с обструкцией дыхательных путей должны быть госпитализированы для оказания неотложной помощи. Это может включать оценку интервенционным бронхоскопистом, защиту дыхательных путей и неотложное начало химиотерапии и / или лучевой терапии.
Какой должна быть начальная окончательная терапия рака?
Почти все пациенты с диагнозом SCLC должны получать химиотерапию; пациенты с ранней стадией заболевания также должны получать местную терапию (лучевую терапию или хирургическое вмешательство). Даже пациентам с плохим статусом работоспособности, если этот статус считается вторичным по отношению к недавно диагностированному SCLC, следует предложить терапию, поскольку болезнь очень чувствительна.
Рекомендация только химиотерапии по сравнению с комбинированной терапией основана на стадии пациента на момент обращения.Классификация VALSG (Группа по изучению рака легких ветеранов) традиционно использовалась и классифицирует пациентов как имеющих:
- Ограниченное заболевание (LD): заболевание, ограниченное гемитораксом и которое можно охватить в пределах допустимого радиационного порта.
- Обширное заболевание (ED): заболевание, не поддающееся определению LD, включая злокачественный плевральный или перикардиальный выпот.
Стадия (VASLG по сравнению с TNM)
- LD SCLC: TNM Этапы I-III
- ED SCLC: TNM, стадия IV
Примерно у 5% пациентов с МРЛ будет стадия I (только паренхиматозная болезнь); эти пациенты могут быть кандидатами на хирургическую резекцию.
Ведение пациентов с ограниченным заболеванием мелкоклеточным раком легкого (TNM, стадии I-IIIB)
Добавление лучевой терапии к химиотерапии улучшает выживаемость и местный контроль болезни у пациентов с LD SCLC. При комбинированном лечении примерно 15% пациентов с LD SCLC избавляются от болезни через 5 лет.
Рандомизированные клинические испытания, проведенные за последние два десятилетия, дополнительно установили, что:
- Лучевая терапия грудной клетки (TRT) должна проводиться одновременно с химиотерапией.
- ЗТТ следует начинать на ранней стадии терапии.
- Гиперфракционированная (дважды в день) TRT обеспечила лучшие результаты, чем стандартная фракционированная (один раз в день) TRT.
Пациенты с I стадией (только паренхиматозный) SCLC также могут быть кандидатами на хирургическую резекцию с последующей химиотерапией.
Химиолучевая терапия при ограниченном поражении мелкоклеточного рака легкого
Пациенты с LD SCLC должны получить 4 цикла химиотерапии на основе платины. По возможности следует назначать цисплатин.Пациентам, которые не являются кандидатами на цисплатин, можно назначать карбоплатин. Необходимо приложить все усилия, чтобы пациенты не отставали от графика.
Рекомендуемые схемы:
- Цисплатин 60 мг / м 2 Внутривенно в 1 день плюс
- Этопозид 120 мг / м 2 Внутривенно на 1-3 день
- Выдается каждые 21 день
- Цисплатин 80 мг / м 2 Внутривенно в 1-й день плюс
- Этопозид 100 мг / м 2 Внутривенно в дни 1-3
- Выдается каждые 21 день
Пациенты, которые не могут получать цисплатин:
- Карбоплатин AUC 5-6 в / в в день 1 плюс
- Этопозид 100 мг / м 2 Внутривенно в дни 1-3
- Выдается каждые 21 день
Радиотерапия:
- Следует начать с 1 или 2 цикла химиотерапии.
- Если возможно, предпочтительна гиперфракционированная ЗТТ (1,5 Гр BID до общей дозы 45 Гр).
- Если пациент не является кандидатом, рекомендуется 1,8–2,0 Гр один раз в день до общей дозы 60–70 Гр.
Ведение пациентов с обширным заболеванием мелкоклеточным раком легкого (стадия IV TNM)
Пациенты с ED SCLC должны получать системную химиотерапию только с паллиативной целью. Этопозид плюс платиновый агент считается стандартом лечения в США.До 70% пациентов с ED SCLC отвечают на химиотерапию первой линии; однако эти ответы редко бывают длительными. Менее 2% пациентов с ED SCLC живы через 5 лет.
Химиотерапия при обширном мелкоклеточном раке легкого
Пациентам с ED SCLC рекомендуется пройти 4-6 курсов химиотерапии на основе платины. Лечение после 6 циклов не принесло пользы.
Рекомендуемые схемы:
- Цисплатин 60 мг / м 2 Внутривенно в 1 день плюс
- Этопозид 120 мг / м 2 Внутривенно в дни 1-3
- Выдается каждые 21 день
- Цисплатин 80 мг / м 2 Внутривенно в 1-й день плюс
- Этопозид 120 мг / м 2 Внутривенно в дни 1-3
- Выдается каждые 21 день
- Карбоплатин AUC 5-6 в день 1 плюс
- Этопозид 100 мг / м 2 Внутривенно в дни 1-3
- Выдается каждые 21 день
Альтернативные схемы:
- Цисплатин 60 мг / м 2 Внутривенно в 1 день плюс
- Этопозид 120 мг / м 2 Внутривенно в день 1, затем
- Этопозид 240 мг / м 2 ПО на 2-3 день
- Выдается каждые 21 день
- Цисплатин 60 мг / м 2 Внутривенно в 1 день плюс
- Иринотекан 60 мг / м 2 Внутривенно в дни 1, 8, 15
- Выдается каждые 28 дней
- Карбоплатин AUC 5 в день 1 плюс
- Иринотекан 50 мг / м 2 Внутривенно в дни 1, 8, 15
- Выдается каждые 28 дней
- Циклофосфамид 1000 мг / м 2 Внутривенно в день 1 плюс
- Доксорубицин 45 мг / м 2 Внутривенно в 1-й день плюс
- Винкристин 2 мг внутривенно в 1 день
- Выдается каждые 21 день
- Осторожно с прижизненной дозой доксорубицина
Хирургическая резекция у пациентов с мелкоклеточным раком легкого на ранней стадии (болезнь I стадии)
Стадия
TNM полезна для пациентов, которым предстоит хирургическая резекция.Приблизительно 5% МРЛ проявляются только паренхиматозным заболеванием. Все пациенты с удаленным SCLC должны получать адъювантную химиотерапию на основе платины. Для хирургической резекции предпочтение отдается лобэктомии наряду с торакальной лимфаденэктомией.
Адъювантная химиотерапия при удаленном мелкоклеточном раке легкого
Химиотерапию следует начинать после того, как пациент восстановится после операции, в идеале в течение 4-6 недель после резекции. Предпочтительно четыре цикла химиотерапии на основе цисплатина.
Рекомендуемые схемы:
- Цисплатин 60 мг / м 2 Внутривенно в 1 день
- Этопозид 120 мг / м 2 Внутривенно в дни 1-3
- Каждые 21 день x 4 цикла
- Цисплатин 80 мг / м 2 Внутривенно в 1-е сутки
- Этопозид 100 мг / м 2 Внутривенно в дни 1-3
- Каждые 21 день x 4 цикла
Пациенты, которые не могут получать цисплатин:
- Карбоплатин AUC 5-6 внутривенно в 1-й день
- Этопозид 100 мг / м 2 Внутривенно в дни 1-3
- Каждые 21 день x 4 цикла
Облучение черепа профилактическое
Более чем у 50% пациентов с МРЛ развиваются внутричерепные метастазы.Профилактическое краниальное облучение (ЧКВ) снижает частоту метастазов в мозг. Несколько исследований также продемонстрировали улучшение выживаемости у пациентов с LD и ED SCLC, у которых был объективный ответ на первичную терапию. По завершении первичной терапии пациенты должны пройти повторную компьютерную томографию и повторную визуализацию головного мозга. Пациентов с PR или CR и без признаков внутричерепного заболевания следует направлять на ЧКВ.
У таких пациентов ЧКВ
следует начинать в течение 5-8 недель после завершения первичной терапии.Рекомендуемая доза составляет 25 Гр на 10 фракций или 30 Гр на 10-12 фракций. Нет данных, подтверждающих роль ЧКВ у пациентов со стабильным заболеванием после завершения первичной терапии.
Пациенты с внутричерепным заболеванием по завершении первичной терапии должны быть направлены на лучевую терапию всего мозга.
Объединительная торакальная лучевая терапия после первоначального ответа у пациентов с обширным заболеванием мелкоклеточным раком легкого
Пациентам, у которых после химиотерапии отмечен полный ответ по поводу отдаленных метастазов, может помочь консолидирующая лучевая терапия.Сообщалось об улучшении средней выживаемости у пациентов с ED SCLC, которые получали консолидированную TRT после первоначального полного ответа на удаленных участках заболевания.
Роль консолидации TRT в настоящее время изучается в большом рандомизированном исследовании. Разумно направить пациентов, у которых есть полный ответ на внегрудные участки заболевания, для обсуждения рисков и потенциальных преимуществ консолидированной ЗТТ.
Какие другие методы лечения помогают уменьшить осложнения?
Агрессивная гидратация, вызывающая диурез, может помочь предотвратить вызванную цисплатином нефротоксичность.Мы рекомендуем гидратацию 1 л NS перед инфузией цисплатина и не менее 500 мл NS после инфузии. 12,5 г маннита внутривенно перед приемом цисплатина может способствовать развитию диуреза.
Цисплатин обладает сильным рвотным действием. Мы рекомендуем агрессивное лечение антагонистами вещества P, такими как апрепитант или фосапрепитант, вместе со стероидами и антагонистом 5HT3.
Гранулоцитарные колониестимулирующие факторы могут помочь в лечении миелосупрессии, вызванной химиотерапией.
Синдром лизиса опухоли
Синдром лизиса опухоли (TLS) — это неотложная онкологическая ситуация, характеризующаяся метаболическими нарушениями, включая гиперурикемию, гиперкалиемию, гиперфосфатемию и гипокальциемию из-за быстрого выброса внутриклеточного содержимого в кровоток.
Метаболиты могут вызывать острую почечную недостаточность и широкий спектр симптомов, включая тошноту, судороги, аритмию и тетанию. TLS редко возникает спонтанно у пациентов с солидной опухолью, однако может наблюдаться после начала терапии рака.
SCLC обладает внутренними характеристиками и может предрасполагать к TLS, связанным с терапией, включая более высокую скорость пролиферации и чувствительность к терапии. Пациенты с МРЛ с большой опухолевой нагрузкой должны находиться под тщательным наблюдением после терапии на предмет признаков TLS.
Синдром лизиса опухоли — определения
Лаборатория (Каир-Бишоп) TLS определяется как два или более из следующих:
- Мочевая кислота ≥ 8 мг / дл
- Калий ≥ 6 мэкв / л
- Фосфор ≥ 4,5 мг / дл
- Кальций ≤ 7 мг / дл
Клинический TLS определяется как лабораторный TLS плюс как минимум одно из следующего:
- Креатинин ≥ 1,5 x ULN
- Сердечная аритмия
- Изъятие
Синдром лизиса опухоли — лечение
Пациенты должны быть госпитализированы, а лечение должно быть сосредоточено на выявленных метаболических нарушениях.
Гиперкалиемия:
Умеренная гиперкалиемия (> 6 мэкв / л) и бессимптомная:
- Сердечный мониторинг
- Натрия полистиролсульфонат 15-30 г перорально, при необходимости повторять каждые 4-6 часов.
Тяжелая гиперкалиемия (> 7 мэкв / л) и / или симптоматическая: как указано выше, плюс временные меры по перемещению калия внутриклеточно:
- Обычный инсулин 10 ЕД плюс 100 мг D50, можно повторить через 30-60 мин.
- Бикарбонат натрия 50 мэкв. IV.
- Альбутерол 10-20 мг, распыляемый в течение 20 минут или 10-20 затяжек MDI.
- Расширение QRS, потеря зубцов p на ЭКГ: глюконат кальция 1 г внутривенно, может повториться через 5-10 минут при стойких изменениях ЭКГ.
Гиперфосфатемия:
Умеренная гиперфосфатемия (> 6,5 мг / дл) — любой из следующих фосфатсвязывающих веществ:
Тяжелая гиперфосфатемия: диализ
Гипокальциемия:
Бессимптомная гипокальциемия: без терапии
Симптоматическая гипокальциемия: в первую очередь следует скорректировать гиперфосфатемию:
- Глюконат кальция 1 г медленной внутривенной инфузии.Можно повторить через 5-10 мин, если симптомы или изменения на ЭКГ сохраняются.
Что делать, если сценарии.
Что делать, если у пациента обнаружено поражение лимфатических узлов после резекции и торакальной лимфаденэктомии по поводу клинического МКРЛ I стадии? Что делать, если у них резекция с положительным краем (R1 / R2)?
Пациенты, у которых обнаружено поражение лимфатических узлов во время операции или резекции с положительным краем, должны получать адъювантную лучевую терапию в дополнение к адъювантной химиотерапии.
Что делать, если у пациента наблюдается синдром верхней полой вены из-за SCLC?
Начните лечение срочно с химиотерапии или лучевой терапии.
Что делать, если у пациента наблюдаются симптоматические метастазы в мозг?
Начало лучевой терапии всего мозга. Олигометастатическое заболевание при SCLC встречается редко, и следует предполагать микрометастатическое заболевание. Хирургическая резекция метастазов МРЛ в головной мозг не играет никакой роли.
Что делать, если у пациента обнаруживаются метастазы в головной мозг сразу после завершения первичной терапии?
Направьте пациента на лучевую терапию всего мозга в лечебных дозах, а не в профилактических.
Что делать, если у пациента паранеопластический синдром?
Симптомы, связанные с ПНС, могут исчезнуть после начала лечения. Некоторым пациентам может потребоваться симптоматическое лечение.
Как следует вести пожилых пациентов с диагнозом SCLC?
Пожилые пациенты с МКРЛ с хорошей работоспособностью должны получать оптимальную терапию.
Как следует лечить пациентов с метастазами в печень?
SCLC часто метастазирует в печень.Пациенты с нормальными ферментами печени и синтетической функцией, несмотря на поражение печени, должны получать химиотерапию полной дозой. Пациентам с отклонениями в тестах функции печени, особенно с повышенным билирубином, может потребоваться снижение дозы.
Последующее наблюдение и терапия / лечение рецидивов
После завершения терапии пациенты должны проходить каждые 2-3 месяца серийные визуализирующие исследования, физикальное обследование и анализ крови. У большинства пациентов будет рецидив, и их обычно классифицируют в зависимости от продолжительности ремиссии как имеющих:
- Болезнь, чувствительная к химиотерапии (рецидив> 2-3 месяцев после завершения первичной терапии).
или
- Болезнь, резистентная к химиотерапии (рецидив <2-3 месяцев после завершения первичной терапии).
Прогноз после рецидива плохой.
Ведение пациентов с химиотерапевтическими заболеваниями
Топотекан, ингибитор ДНК-топоизомеразы I, одобрен FDA для лечения чувствительного к химиотерапии SCLC. Внутривенные и пероральные препараты одинаково эффективны. Частота ответа пациентов с рецидивом, чувствительным к химиотерапии, составляет 18–22%.Другой ингибитор ДНК-топоизомеразы I, иринотекан, может быть подходящей альтернативой топотекану. Иринотекан был одобрен для использования в Японии для лечения МРЛ и отличается от топотекана графиком дозирования и профилем побочных эффектов.
Рекомендуемая дозировка (вводится до прогрессирования заболевания или появления значительной токсичности):
- Топотекан 1,5 мг / м 2 Внутривенно в дни 1-5
- Выдается каждые 21 день
- Топотекан 2,3 мг / м 2 ПО в дни 1-5
- Выдается каждые 21 день
- Иринотекан 300 мг / м 2 Внутривенно в 1 день
- Выдается каждые 21 день
Пациенты, у которых рецидив через 6 месяцев после первичной терапии, могут реагировать на повторную индукцию с помощью платины и этопозида.
Ведение пациентов с рефрактерной к химиотерапии болезнью
Не существует одобренных FDA методов лечения резистентного к химиотерапии SCLC. В эту популяцию пациентов входят пациенты, которые прошли курс начальной химиотерапии. Несколько агентов продемонстрировали активность при рецидивирующем и рефрактерном МРЛ и могут быть предложены пациентам с хорошим статусом работоспособности, но ни один из них не продемонстрировал преимущества в выживаемости при рефрактерном заболевании.
До принятия EP CAV (циклофосфамид, адриамицин и винкристин) считался стандартом лечения SCLC и проявлял активность в EP-устойчивом SCLC, хотя его следует зарезервировать для пациентов с хорошим статусом эффективности.
Химиотерапия:
- Паклитаксел 175 мг / м 2 Внутривенно в 1 день
- Выдается каждые 21 день
- Темозоломид 75 мг / м 2 ПО в дни 1-21
- Выдается каждые 28 дней
- Циклофосфамид 1000 мг / м 2 Внутривенно в день 1 плюс
- Доксорубицин 45 мг / м 2 Внутривенно в 1-й день плюс
- Винкристин 2 мг внутривенно в 1 день
- Выдается каждые 21 день
Иммунотерапия
Ингибирование иммунных контрольных точек с помощью моноклональных антител, направленных против белка анти-запрограммированной смерти-1 (PD-1, пембролизумаб и ниволумаб) и против цитотоксического Т-лимфоцит-ассоциированного антигена 4 (CTLA-4, ипилимумаб) в настоящее время исследуется.Предварительные результаты обнадеживают: общая частота ответа составляет от 17 до 35% у пациентов, предварительно получавших интенсивное лечение.
Таргетная терапия
Ровальпитузумаб тезирин (Rova-T) представляет собой конъюгат антитело-лекарственное средство (ADC), нацеленный на дельта-подобный белок 3 (DLL3). DLL3 сверхэкспрессируется злокачественными клетками примерно в 70% случаев SCLC и других нейроэндокринных злокачественных новообразования высокой степени, но не в нормальной ткани. Это позволяет доставлять сильно цитотоксический димер пирролобензодиазепина (тезирин) к злокачественным клеткам с высокой степенью специфичности.В настоящее время этот метод находится в стадии исследования, при этом сообщается, что частота ответа составляет приблизительно 50%, а уровень контроля над заболеванием превышает 80% в ранее леченных DLL3-положительных SCLC.
Ведение пациентов, прогрессирующих во время терапии первой линии
Приблизительно у 30% пациентов с МКРЛ наблюдается прогрессирование во время лечения препаратами первой линии. Нет одобренных FDA препаратов для лечения первично-рефрактерного МРЛ. Следует рассмотреть возможность применения препаратов, применяемых для пациентов, резистентных к химиотерапии.
Copyright © 2017, 2013 ООО «Поддержка принятия решений в медицине».Все права защищены.
Ни один спонсор или рекламодатель не участвовал, не одобрял и не платил за контент, предоставляемый Decision Support in Medicine LLC. Лицензионный контент является собственностью DSM и защищен авторским правом.
Мелкоклеточный и немелкоклеточный рак легкого: в чем различия?
Мелкоклеточный и немелкоклеточный — два основных типа рака легких. Есть несколько ключевых отличий, в том числе перспективы.
У человека с мелкоклеточным раком раковые клетки под микроскопом кажутся маленькими и круглыми.Клетки немелкоклеточного рака легкого больше.
Курение является основным фактором риска для обоих типов. Из тех, кому поставили диагноз мелкоклеточного рака легкого, 95% курили в анамнезе.
Существует несколько подтипов мелкоклеточного и немелкоклеточного рака легкого. Немелкоклеточный рак легких включает аденокарциному, плоскоклеточный рак и крупноклеточный рак.
Мелкоклеточный рак различается в зависимости от экспрессии конкретных генов.
Некоторые типы более агрессивны, чем другие, но в целом мелкоклеточный рак более агрессивен, чем немелкоклеточный рак легкого.
Рак легких — как мелкоклеточный, так и немелкоклеточный — является вторым по распространенности типом рака среди взрослых в Соединенных Штатах, за исключением рака кожи. На рак легких в целом приходится 14% новых диагнозов рака. На мелкоклеточный рак легкого приходится 10–15% этих случаев.
Поделиться на PinterestЧеловек с мелкоклеточным или немелкоклеточным раком легкого может испытывать постоянный кашель.
Мелкоклеточный и немелкоклеточный рак легких вызывает аналогичные симптомы. Иногда симптомы не появляются до тех пор, пока рак не достигнет более поздних стадий.
Симптомы включают:
- хриплый голос
- постоянный кашель
- усталость
- одышка и хрипы
- затруднение глотания
- потеря аппетита
- боль и дискомфорт в груди
- кровь в слизи при кашле
- Отек вен лица и шеи
Симптомы мелкоклеточного и немелкоклеточного рака схожи, но мелкоклеточный рак распространяется быстрее.
Вероятность появления симптомов у человека повышается после того, как рак легких достиг более поздней стадии.
По-разному ли рак легких поражает женщин? Узнайте больше здесь.
Может ли боль в плече быть признаком рака легких? Узнать больше.
Причины и факторы риска мелкоклеточного и немелкоклеточного рака обычно схожи.
Курение — главный фактор риска. Дым и содержащиеся в нем химические вещества могут повредить легкие. Это может привести к клеточным изменениям, которые могут привести к раку.
Дополнительные факторы риска включают:
- воздействие пассивного курения
- проживание в районе со значительным загрязнением воздуха
- пожилой возраст
- воздействие радиации в прошлом
- воздействие мышьяка и других химических веществ
- воздействие асбеста, никеля, хром, сажа или деготь
- с семейным анамнезом рака легких
- с ВИЧ
Курение является основным фактором риска рака легких. Найдите здесь несколько идей о том, как бросить курить.
Если человек обращается к врачу по поводу стойкого кашля и других возможных симптомов рака легких, он задаст вопросы и соберет историю болезни. Они также проведут медицинский осмотр.
Если может присутствовать рак легких, врач также запросит визуализацию, такую как рентген или компьютерную томографию, и поиск признаков опухоли, рубцов или скопления жидкости.
Они также могут запросить образцы мокроты для проведения анализа мокроты. Это может помочь определить наличие рака.Врач, вероятно, попросит человека сдавать образец каждое утро в течение 3 дней подряд.
Они также могут выполнить биопсию. Это включает использование иглы для взятия образца клеток из легких для исследования под микроскопом. Они могут сделать это во время операции.
Биопсия может показать:
- , являются ли клетки злокачественными
- какой тип рака присутствует, если есть
Иногда врач запрашивает бронхоскопию. Эта процедура включает введение инструмента со встроенной камерой через рот или нос в легкие.Это помогает им увидеть область и взять образцы тканей.
Они также могут проводить другие тесты, чтобы определить, распространился ли рак за пределы легких.
Как выглядит рак легких? Узнай здесь.
Стадия
Стадия рака описывает степень его распространения в организме.
Есть разные способы описания этапов. Один простой способ:
Локализованный : Это означает, что рак находится только в одном месте.
Региональный : Рак распространился на близлежащие ткани.
Далеко : рак распространился на другие части тела, например, на печень.
Также существует стадия 0 или «карцинома in situ». На этом этапе могут быть предраковые клетки. Это еще не рак, но со временем они могут стать злокачественными.
Стадия 0 рака легких означает, что врач не может обнаружить раковые клетки с помощью традиционных методов визуализации, но тесты выявили предраковые клетки в слизи или в других частях тела.
Поздняя стадия или метастатический рак легких распространился на другие части тела.Что это значит и каковы перспективы? Узнайте больше здесь.
Немелкоклеточный рак легкого
При этом типе рака врачи обычно используют четырехступенчатую систему.
Стадия 1 : Это означает, что рак находится только в легких.
Стадия 2 : Рак достиг близлежащих лимфатических узлов.
Стадия 3 : Рак распространился на другие лимфатические узлы грудной клетки, возможно, на те, которые находятся в середине или на другой стороне грудной клетки.
Стадия 4 : Рак распространился на оба легких, на другие части тела или на оба.
Стадии мелкоклеточного рака легкого
Врачи обычно разделяют мелкоклеточный рак легкого на одну из двух стадий:
Ограниченная стадия: это означает, что рак находится на одной стороне грудной клетки. Это может быть одно легкое и, возможно, близлежащие лимфатические узлы.
Обширная стадия: рак распространился на другие части грудной клетки и другие органы.
Некоторые врачи используют дополнительную стадию мелкоклеточного рака легкого.
Может ли человек иметь оба типа?
Около 5–10% случаев мелкоклеточного рака легкого являются «смешанными». Это означает, что у человека есть мелкоклеточный и немелкоклеточный рак. Исследования показывают, что лечить смешанный рак легче, чем только мелкоклеточный рак легкого.
После постановки диагноза врач опишет варианты лечения и разработает план лечения.
Факторы, которые влияют на план, будут включать: — тип рака
- насколько далеко он распространился
- возраст человека и общее состояние здоровья
- доступность лечения
- личные предпочтения
Поскольку ситуация каждого человека индивидуальна , лечение будет соответственно меняться.
Немелкоклеточный рак легкого
Варианты лечения немелкоклеточного рака легкого включают:
Хирургия : Хирург удалит раковые клетки и любые близлежащие лимфатические узлы, которые могут быть поражены. Однако, если рак поражает большую часть легких, операция может оказаться невозможной.
Химиотерапия : Врач назначит сильнодействующие лекарства, которые убивают раковые клетки.
Эндоскопические стенты : Если опухоль заблокировала часть дыхательных путей, хирург может вставить стент.
Лучевая терапия : Радиолог направляет луч радиации на злокачественные клетки, чтобы уничтожить их.
Целенаправленное лечение : Эти препараты воздействуют на определенные гены или другие факторы, которые увеличивают способность рака расти. Блокирование этих факторов может помочь остановить или замедлить рост некоторых видов рака.
Иммунотерапия : Это лечение направлено на повышение способности иммунной системы защищать организм от рака. Это новое лечение.
Мелкоклеточный рак легкого
При мелкоклеточном раке легкого лечение в основном направлено на излечение.
Варианты включают:
- химиотерапия, которая является основным лечением
- лучевая терапия, которая может помочь повысить эффективность химиотерапии или помочь предотвратить распространение рака на мозг
- операция с химиотерапией, когда рак еще не появился достигли лимфатических узлов, что бывает редко.
Врачи могут использовать комбинацию методов лечения рака легких в зависимости от индивидуальных потребностей, стадии рака и местоположения опухоли.
Эксперты используют прошлые статистические данные для оценки процента людей, которые могут жить в течение 5 или более лет после постановки диагноза рака. Эти оценки называются коэффициентами выживаемости.
Они представляют собой средние значения и не принимают во внимание такие факторы, как возраст человека или общее состояние здоровья.
Немелкоклеточный рак легкого
Для немелкоклеточного рака легкого Американское онкологическое общество (ACS) сообщает следующие показатели выживаемости:
- для локализованного рака: 60%
- для регионального рака: 33%
- для отдаленного рака: 6%
Общая средняя вероятность прожить по крайней мере еще 5 лет составляет 23%.
Мелкоклеточный рак легкого
Поделиться на Pinterest Возраст и общее состояние здоровья человека могут повлиять на его прогноз по обоим типам рака.
ACS оценивает следующие 5-летние показатели выживаемости для людей с мелкоклеточным раком легкого:
- для локализованного рака: 29%
- для регионального рака: 15%
- для отдаленного рака: 3%
Общее среднее вероятность прожить еще не менее 5 лет после постановки диагноза мелкоклеточного рака легкого составляет 6%.
Другие факторы, которые могут повлиять на выживаемость, включают рецидив рака после лечения и возраст человека. Рецидив рака и пожилой возраст могут отрицательно сказаться на выживаемости.
Существует два основных типа рака легких: мелкоклеточный и немелкоклеточный. Мелкоклеточный рак легкого встречается реже и более агрессивен.
Отказ от курения или отказ от курения может значительно снизить риск развития любого типа рака легких.
Q:
Если у человека диагностирован мелкоклеточный рак легкого, как долго он обычно может прожить?
A:
Это зависит от стадии заболевания, но в целом средняя выживаемость составляет около 1-2 лет.



Он сжигает раковые клетки.