ΠΠ±ΡΠ΅ΠΌΠ½ΡΠ΅ ΠΈ ΠΎΡΠ°Π³ΠΎΠ²ΡΠ΅ ΠΎΠ±ΡΠ°Π·ΠΎΠ²Π°Π½ΠΈΡ ΠΏΠ΅ΡΠ΅Π½ΠΈ
ΠΠ§ΠΠΠΠΠΠ ΠΠΠ ΠΠΠΠΠΠΠΠ ΠΠΠ§ΠΠΠ β Π§Π’Π ΠΠ’Π?
ΠΡΠ°Π³ΠΎΠ²ΡΠΌΠΈ ΠΎΠ±ΡΠ°Π·ΠΎΠ²Π°Π½ΠΈΡΠΌΠΈ (ΠΈΠ»ΠΈ ΠΎΡΠ°Π³Π°ΠΌΠΈ) ΠΏΠ΅ΡΠ΅Π½ΠΈ Π½Π°Π·ΡΠ²Π°ΡΡ Π΅Π΄ΠΈΠ½ΠΈΡΠ½ΡΠ΅ ΠΈΠ»ΠΈ ΠΌΠ½ΠΎΠΆΠ΅ΡΡΠ²Π΅Π½Π½ΡΠ΅ ΡΡΠ°ΡΡΠΊΠΈ ΠΈΠ·ΠΌΠ΅Π½Π΅Π½ΠΈΡ Π΅Π΅ ΡΡΡΡΠΊΡΡΡΡ, ΠΊΠΎΡΠΎΡΡΠ΅ Π±ΡΠ²Π°ΡΡ ΡΠ°ΠΌΠΎΠ³ΠΎ ΡΠ°Π·Π½ΠΎΠ³ΠΎ ΠΏΡΠΎΠΈΡΡ ΠΎΠΆΠ΄Π΅Π½ΠΈΡ β ΠΊΠ°ΠΊ Π΄ΠΎΠ±ΡΠΎΠΊΠ°ΡΠ΅ΡΡΠ²Π΅Π½Π½ΠΎΠ³ΠΎ, ΡΠ°ΠΊ ΠΈ Π·Π»ΠΎΠΊΠ°ΡΠ΅ΡΡΠ²Π΅Π½Π½ΠΎΠ³ΠΎ.
Π§Π°ΡΠ΅ Π²ΡΠ΅Π³ΠΎ ΠΎΡΠ°Π³ΠΈ Π²ΡΡΠ²Π»ΡΡΡΡΡ ΠΏΡΠΈ Π£ΠΠ, Π½ΠΎ ΠΈΠ½ΠΎΠ³Π΄Π° ΡΠ²Π»ΡΡΡΡΡ ΡΠ»ΡΡΠ°ΠΉΠ½ΠΎΠΉ Π½Π°Ρ
ΠΎΠ΄ΠΊΠΎΠΉ ΠΏΡΠΈ ΠΊΠΎΠΌΠΏΡΡΡΠ΅ΡΠ½ΠΎΠΉ ΡΠΎΠΌΠΎΠ³ΡΠ°ΡΠΈΠΈ ΠΈΠ»ΠΈ ΠΠ Π’, ΠΊΠΎΠ³Π΄Π° ΠΈΡΡΠ»Π΅Π΄ΠΎΠ²Π°Π½ΠΈΠ΅ Π²ΡΠΏΠΎΠ»Π½ΡΠ»ΠΎΡΡ ΠΏΠΎ ΠΊΠ°ΠΊΠΎΠΉ-ΡΠΎ ΠΈΠ½ΠΎΠΉ ΠΏΡΠΈΡΠΈΠ½Π΅. ΠΡΠΈ ΡΡΠΎΠΌ ΠΠ’ ΠΈΡΠΏΠΎΠ»ΡΠ·ΡΠ΅ΡΡΡ Π΄Π»Ρ ΡΡΠΎΡΠ½Π΅Π½ΠΈΡ ΡΠ°Π·ΠΌΠ΅ΡΠΎΠ², ΠΊΠΎΠ»ΠΈΡΠ΅ΡΡΠ²Π°, ΡΠ°ΡΠΏΠΎΠ»ΠΎΠΆΠ΅Π½ΠΈΡ ΠΈ ΡΡΡΡΠΊΡΡΡΡ ΠΎΡΠ°Π³ΠΎΠ². ΠΡΠΈ ΡΡΠΎΠΌ ΠΏΠΎ ΡΠ΅Π·ΡΠ»ΡΡΠ°ΡΠ°ΠΌ ΠΠ’ Π²ΡΠ°Ρ, ΠΊΠ°ΠΊ ΠΏΡΠ°Π²ΠΈΠ»ΠΎ, Π΄ΠΎΠ»ΠΆΠ΅Π½ ΠΎΡΠ²Π΅ΡΠΈΡΡ Π½Π° Π²ΠΎΠΏΡΠΎΡΡ ΠΎ Ρ
Π°ΡΠ°ΠΊΡΠ΅ΡΠ΅ ΠΈΠ·ΠΌΠ΅Π½Π΅Π½ΠΈΠΉ: ΠΈΠΌΠ΅Π΅ΠΌ Π»ΠΈ ΠΌΡ Π΄Π΅Π»ΠΎ Ρ Π΄ΠΎΠ±ΡΠΎΠΊΠ°ΡΠ΅ΡΡΠ²Π΅Π½Π½ΡΠΌ ΠΏΡΠΎΡΠ΅ΡΡΠΎΠΌ (Π½Π°ΠΏΡΠΈΠΌΠ΅Ρ, ΠΊΠΈΡΡΠΎΠΉ ΠΈΠ»ΠΈ Π³Π΅ΠΌΠ°Π½Π³ΠΈΠΎΠΌΠΎΠΉ), Π»ΠΈΠ±ΠΎ Π·Π»ΠΎΠΊΠ°ΡΠ΅ΡΡΠ²Π΅Π½Π½ΡΠΌ ΠΏΡΠΎΡΠ΅ΡΡΠΎΠΌ (ΡΠ°ΠΊ, ΠΌΠ΅ΡΠ°ΡΡΠ°Π·Ρ, ΠΈ Ρ.ΠΏ.). Π ΡΡΠ΄Π΅ ΡΠ»ΡΡΠ°Π΅Π² ΠΏΠΎΡΠ»Π΅ Π²ΡΠΏΠΎΠ»Π½Π΅Π½ΠΈΡ ΠΠ’ Π΄ΠΈΠ°Π³Π½ΠΎΠ· ΠΎΡΡΠ°Π΅ΡΡΡ ΡΠΎΠΌΠ½ΠΈΡΠ΅Π»ΡΠ½ΡΠΌ. Π ΡΠ°ΠΊΠΈΡ
ΡΠ»ΡΡΠ°ΡΡ
ΡΠ΅ΠΊΠΎΠΌΠ΅Π½Π΄ΡΠ΅ΡΡΡ ΠΏΠΎΠ»ΡΡΠΈΡΡ Π²ΡΠΎΡΠΎΠ΅ ΠΌΠ΅Π΄ΠΈΡΠΈΠ½ΡΠΊΠΎΠ΅ ΠΌΠ½Π΅Π½ΠΈΠ΅ ΠΏΠΎ ΡΠ΅Π·ΡΠ»ΡΡΠ°ΡΠ°ΠΌ ΠΈΡΡΠ»Π΅Π΄ΠΎΠ²Π°Π½ΠΈΡ.
com/embed/PNHqJ5D820k?rel=0&showinfo=0″ frameborder=»0″ allowfullscreen=»allowfullscreen»/>
ΠΠ½ΠΎΠ³Π΄Π° ΠΏΠ°ΡΠΎΠ»ΠΎΠ³ΠΈΡΠ΅ΡΠΊΠΎΠ΅ ΠΎΠ±ΡΠ°Π·ΠΎΠ²Π°Π½ΠΈΠ΅ ΠΏΠ΅ΡΠ΅Π½ΠΈ Π²ΡΡΠ²Π»ΡΠ΅ΡΡΡ ΠΏΡΠΈ ΡΡΠΈΠ½ΡΠΈΠ³ΡΠ°ΡΠΈΠΈ ΠΈΠ»ΠΈ ΠΠΠ’ (ΠΎΡΠ°Π³ Π³ΠΈΠΏΠ΅ΡΡΠΈΠΊΡΠ°ΡΠΈΠΈ Π Π€Π).
Π₯ΠΠ ΠΠΠ’ΠΠ ΠΠ‘Π’ΠΠΠ ΠΠΠ§ΠΠΠΠ§ΠΠ«Π₯ ΠΠ§ΠΠΠΠ ΠΠ ΠΠ’
ΠΡΠ΅ ΠΎΠ±ΡΠ΅ΠΌΠ½ΡΠ΅ ΠΎΠ±ΡΠ°Π·ΠΎΠ²Π°Π½ΠΈΡ ΠΏΠ΅ΡΠ΅Π½ΠΈ, Π²ΡΡΠ²Π»Π΅Π½Π½ΡΠ΅ ΠΏΡΠΈ ΠΊΠΎΠΌΠΏΡΡΡΠ΅ΡΠ½ΠΎΠΉ ΡΠΎΠΌΠΎΠ³ΡΠ°ΡΠΈΠΈ, ΠΌΠΎΠΆΠ½ΠΎ ΡΠ°Π·Π΄Π΅Π»ΠΈΡΡ Π² Π·Π°Π²ΠΈΡΠΈΠΌΠΎΡΡΠΈ ΠΎΡ ΡΠ»Π΅Π΄ΡΡΡΠΈΡ ΠΏΠ°ΡΠ°ΠΌΠ΅ΡΡΠΎΠ²:
1) ΠΠ»ΠΎΡΠ½ΠΎΡΡΡ β Ρ Π°ΡΠ°ΠΊΡΠ΅ΡΠΈΡΡΠΈΠΊΠ° Π»ΡΠ±ΠΎΠΉ ΡΠΊΠ°Π½ΠΈ ΠΎΡΠ³Π°Π½ΠΈΠ·ΠΌΠ°, ΠΊΠΎΡΠΎΡΠ°Ρ ΠΈΠ·ΠΌΠ΅ΡΡΠ΅ΡΡΡ Π½Π° ΠΊΠΎΠΌΠΏΡΡΡΠ΅ΡΠ½ΡΡ ΡΠΎΠΌΠΎΠ³ΡΠ°ΠΌΠΌΠ°Ρ Π² Ρ.Π½. Π΅Π΄ΠΈΠ½ΠΈΡΠ°Ρ Π₯Π°ΡΠ½ΡΡΠΈΠ»Π΄Π°. Π Π·Π°Π²ΠΈΡΠΈΠΌΠΎΡΡΠΈ ΠΎΡ ΡΠ΅Π½ΡΠ³Π΅Π½ΠΎΠ²ΡΠΊΠΎΠΉ ΠΏΠ»ΠΎΡΠ½ΠΎΡΡΠΈ ΠΎΡΠ°Π³ΠΈ Π±ΡΠ²Π°ΡΡ Π³ΠΈΠΏΠΎ-, Π³ΠΈΠΏΠ΅Ρ- ΠΈ ΠΈΠ·ΠΎΠ΄Π΅Π½ΡΠ½ΡΠΌΠΈ ΠΏΠΎ ΠΎΡΠ½ΠΎΡΠ΅Π½ΠΈΡ ΠΊ ΠΎΠΊΡΡΠΆΠ°ΡΡΠ΅ΠΉ Π½ΠΎΡΠΌΠ°Π»ΡΠ½ΠΎΠΉ ΠΏΠ°ΡΠ΅Π½Ρ ΠΈΠΌΠ΅. ΠΠΎ ΠΏΠ»ΠΎΡΠ½ΠΎΡΡΠΈ ΠΌΠΎΠΆΠ½ΠΎ ΠΏΡΠ΅Π΄ΠΏΠΎΠ»ΠΎΠΆΠΈΡΡ, ΡΡΠΎ Π½Π°Ρ ΠΎΠ΄ΠΈΡΡΡ Π² ΡΡΡΡΠΊΡΡΡΠ΅ ΠΎΡΠ°Π³Π°: ΠΊΡΠΎΠ²Ρ, Π΄ΡΡΠ³Π°Ρ ΠΆΠΈΠ΄ΠΊΠΎΡΡΡ, ΠΌΡΠ³ΠΊΠΎΡΠΊΠ°Π½Π½ΡΠΉ ΠΊΠΎΠΌΠΏΠΎΠ½Π΅Π½Ρ. ΠΠΎΠ»Π΅Π΅ Π΄ΠΎΡΡΠΎΠ²Π΅ΡΠ½ΠΎ Π²ΡΡΠ²Π»ΡΡΡΡΡ ΡΡΠ°ΡΡΠΊΠΈ ΠΎΠ±ΡΠ·Π²Π΅ΡΡΠ²Π»Π΅Π½ΠΈΡ β ΠΊΠ°Π»ΡΡΠΈΠ½Π°ΡΡ.
2) Π‘ΡΡΡΠΊΡΡΡΠ°. ΠΠΈΡΡΠΎΠ·Π½ΡΠ΅ ΠΎΠ±ΡΠ°Π·ΠΎΠ²Π°Π½ΠΈΡ ΠΏΠΎΠ΄ΡΠ°Π·Π΄Π΅Π»ΡΡΡΡΡ Π½Π° ΠΎΠ΄Π½ΠΎ- ΠΈ ΠΌΠ½ΠΎΠ³ΠΎΠΊΠ°ΠΌΠ΅ΡΠ½ΡΠ΅; ΠΎΠ½ΠΈ ΠΌΠΎΠ³ΡΡ ΠΈΠΌΠ΅ΡΡ Ρ
ΠΎΡΠΎΡΠΎ Π²ΠΈΠ΄ΠΈΠΌΡΡ ΡΡΠ΅Π½ΠΊΡ ΠΈΠ»ΠΈ Π½Π΅ ΠΈΠΌΠ΅ΡΡ ΡΠ°ΠΊΠΎΠ²ΠΎΠΉ; ΡΠΎΠ΄Π΅ΡΠΆΠ°ΡΡ Π²ΠΊΠ»ΡΡΠ΅Π½ΠΈΡ ΠΊΠ°Π»ΡΡΠΈΡ, Π³Π΅ΠΌΠΎΡΡΠ°Π³ΠΈΡΠ΅ΡΠΊΡΡ β Π³ΠΈΠΏΠ΅ΡΠ΄Π΅Π½ΡΠ½ΡΡ β ΠΆΠΈΠ΄ΠΊΠΎΡΡΡ, Π³ΠΈΠΏΠΎΠ΄Π΅Π½ΡΠ½ΡΡ ΠΆΠΈΠ΄ΠΊΠΎΡΡΡ, Π½Π°ΠΏΡΠΈΠΌΠ΅Ρ, ΠΆΠ΅Π»ΡΡ.
ΠΠ½ΡΡΡΠΈΒ ΠΌΠΎΠΆΠ½ΠΎ ΠΎΠ±Π½Π°ΡΡΠΆΠΈΡΡ ΠΈΠ½ΠΎΡΠΎΠ΄Π½ΠΎΠ΅ ΡΠ΅Π»ΠΎ ΠΈΠ»ΠΈ ΠΏΠ°ΡΠ°Π·ΠΈΡΠ°, ΠΊΠΈΡΡΠΎΠ·Π½ΡΠΉ ΠΈΠ»ΠΈ ΠΌΡΠ³ΠΊΠΎΡΠΊΠ°Π½Π½ΡΠΉ ΠΊΠΎΠΌΠΏΠΎΠ½Π΅Π½Ρ. Π’Π°ΠΊΠΆΠ΅ ΡΡΡΡΠΊΡΡΡΠ° ΠΌΠΎΠΆΠ΅Ρ Π±ΡΡΡ ΠΎΠ΄Π½ΠΎΡΠΎΠ΄Π½Π°Ρ ΠΈΠ»ΠΈ Π½Π΅ΠΎΠ΄Π½ΠΎΡΠΎΠ΄Π½Π°Ρ, ΠΏΠΎΡΠ»Π΅Π΄Π½ΡΡ ΡΠ°ΡΡΠΎ ΠΎΠ±ΡΡΡΠ½ΡΠ΅ΡΡΡ ΡΡΠ°ΡΡΠΊΠ°ΠΌΠΈ Π½Π΅ΠΊΡΠΎΠ·Π°. ΠΡΡΠ²Π»Π΅Π½ΠΈΠ΅ ΠΈΠ·Π²Π΅ΡΡΠΈ ΠΈ ΠΊΠ°Π»ΡΡΠΈΠ½Π°ΡΠΎΠ² ΡΠ²ΠΈΠ΄Π΅ΡΠ΅Π»ΡΡΡΠ²ΡΠ΅Ρ ΠΎ Π΄Π»ΠΈΡΠ΅Π»ΡΠ½ΠΎΡΡΠΈ ΠΏΡΠΎΡΠ΅ΡΡΠ°.
3) Π€ΠΎΡΠΌΠ° ΠΌΠΎΠΆΠ΅Ρ Π±ΡΡΡ ΠΏΡΠΈΠ±Π»ΠΈΠΆΠ΅Π½Π½ΠΎΠΉ ΠΊ ΡΠ°ΡΡ, Π²ΡΡΡΠ½ΡΡΠ°Ρ, Π½Π΅ΠΏΡΠ°Π²ΠΈΠ»ΡΠ½Π°Ρ (ΠΈΡΡΠ΅Π³ΡΠ»ΡΡΠ½Π°Ρ) ΠΈ Ρ. Π΄.
4) ΠΠΎΠ½ΡΡΡΡ. Π ΠΎΠ²Π½ΡΠ΅ ΠΈΠ»ΠΈ Π½Π΅ΡΠΎΠ²Π½ΡΠ΅, ΡΠ΅ΡΠΊΠΈΠ΅ ΠΈΠ»ΠΈ Π½Π΅ΡΠ΅ΡΠΊΠΈΠ΅, Π²ΠΈΠ΄ΠΈΠΌΡΠ΅ Π½Π° Π²ΡΠ΅ΠΌ ΠΏΡΠΎΡΡΠΆΠ΅Π½ΠΈΠΈ ΠΈΠ»ΠΈ Π½Π° ΠΎΠ³ΡΠ°Π½ΠΈΡΠ΅Π½Π½ΠΎΠΌ ΡΡΠ°ΡΡΠΊΠ΅.
5) Π Π°Π·ΠΌΠ΅ΡΡ. ΠΠ·ΠΌΠ΅ΡΡΡΡΡΡ Π»ΠΈΠ½Π΅ΠΉΠ½ΡΠ΅ ΡΠ°Π·ΠΌΠ΅ΡΡ ΠΎΡΠ°Π³Π° (Π΄Π»ΠΈΠ½Π½ΠΈΠΊ ΠΈ ΠΏΠΎΠΏΠ΅ΡΠ΅ΡΠ½ΠΈΠΊ) Π½Π° Π°ΠΊΡΠΈΠ°Π»ΡΠ½ΠΎΠΌ ΡΡΠ΅Π·Π΅ Π»ΠΈΠ±ΠΎ Π²ΡΠ΅ ΡΡΠΈ ΡΠ°Π·ΠΌΠ΅ΡΠ° (ΠΊΠΎΠ³Π΄Π° ΡΡΠΎ Π²ΠΎΠ·ΠΌΠΎΠΆΠ½ΠΎ, ΡΠΊΠ°Π·ΡΠ²Π°Π΅ΡΡΡ ΡΠ°ΠΊΠΆΠ΅ ΠΎΠ±ΡΠ΅ΠΌ). ΠΡΠ»ΠΈ ΠΏΠ»Π°Π½ΠΈΡΡΠ΅ΡΡΡ ΠΊΠΎΠ½ΡΡΠΎΠ»ΡΠ½ΠΎΠ΅ ΠΈΡΡΠ»Π΅Π΄ΠΎΠ²Π°Π½ΠΈΠ΅ ΡΠ΅ΡΠ΅Π· ΠΎΠΏΡΠ΅Π΄Π΅Π»Π΅Π½Π½ΠΎΠ΅ Π²ΡΠ΅ΠΌΡ, Π²ΡΠ±ΠΈΡΠ°Π΅ΡΡΡ Ρ. Π½. Β«ΠΌΠ°ΡΠΊΠ΅ΡΠ½ΡΠΉΒ» ΠΎΡΠ°Π³, ΠΈΠ·ΠΌΠ΅Π½Π΅Π½ΠΈΠ΅ ΡΠ°Π·ΠΌΠ΅ΡΠΎΠ² ΠΊΠΎΡΠΎΡΠΎΠ³ΠΎ Π±ΡΠ΄Π΅Ρ ΠΎΡΠ΅Π½ΠΈΠ²Π°ΡΡΡΡ Π²ΠΎ Π²ΡΠ΅ΠΌΠ΅Π½ΠΈ.
6) Π Π°ΡΠΏΠΎΠ»ΠΎΠΆΠ΅Π½ΠΈΠ΅ Π½Π΅ΠΎΠ±Ρ
ΠΎΠ΄ΠΈΠΌΠΎ ΡΠΊΠ°Π·ΡΠ²Π°ΡΡ Π² ΠΎΠΏΠΈΡΠ°Π½ΠΈΠΈ ΠΠ’-ΠΈΡΡΠ»Π΅Π΄ΠΎΠ²Π°Π½ΠΈΡ: Π»ΠΎΠΊΠ°Π»ΠΈΠ·ΡΠ΅ΡΡΡ Π»ΠΈ ΠΏΠ°ΡΠΎΠ»ΠΎΠ³ΠΈΡΠ΅ΡΠΊΠΈΠΉ ΡΡΠ°ΡΡΠΎΠΊ Π½Π΅ΠΏΠΎΡΡΠ΅Π΄ΡΡΠ²Π΅Π½Π½ΠΎ Π² Π³Π»ΡΠ±ΠΈΠ½Π΅ ΠΎΡΠ³Π°Π½Π°, ΠΏΠΎΠ΄ ΠΊΠ°ΠΏΡΡΠ»ΠΎΠΉ, ΡΡΠ΄ΠΎΠΌ Ρ ΠΊΡΡΠΏΠ½ΡΠΌΠΈ ΡΠΎΡΡΠ΄Π°ΠΌΠΈ, Ρ ΠΆΠ΅Π»ΡΠ½ΡΠΌΠΈ ΠΏΡΠΎΡΠΎΠΊΠ°ΠΌΠΈ, Ρ ΠΆΠ΅Π»ΡΠ½ΡΠΌ ΠΏΡΠ·ΡΡΠ΅ΠΌ ΠΈ Ρ.
Π΄. ΠΡΠΎ ΠΌΠΎΠΆΠ΅Ρ Π±ΡΡΡ Π½Π°Π²Π΅ΡΡΠΈ Π½Π° ΠΌΡΡΠ»ΠΈ ΠΎ Π΅Π³ΠΎ ΠΏΡΠΈΡΠΎΠ΄Π΅: Π½Π°ΠΏΡΠΈΠΌΠ΅Ρ, Π±ΠΈΠ»ΠΈΠ°ΡΠ½ΡΠ΅ ΠΊΠΈΡΡΡ Π»ΠΎΠΊΠ°Π»ΠΈΠ·ΠΎΠ²Π°Π½Ρ ΡΠ°ΡΠ΅ Π²ΡΠ΅Π³ΠΎ Π²Π±Π»ΠΈΠ·ΠΈ ΠΆΠ΅Π»ΡΠ½ΡΡ
ΠΏΡΠΎΡΠΎΠΊΠΎΠ², Π²Π±Π»ΠΈΠ·ΠΈ ΠΆΠ΅Π»ΡΠ½ΠΎΠ³ΠΎ ΠΏΡΠ·ΡΡΡ.
7) ΠΠΎΠ»ΠΈΡΠ΅ΡΡΠ²ΠΎ. Π‘ΠΎΠ»ΠΈΡΠ°ΡΠ½ΡΠΉ ΠΎΡΠ°Π³ Π² ΠΏΠ΅ΡΠ΅Π½ΠΈ ΠΎΠ·Π½Π°ΡΠ°Π΅Ρ ΠΎΠ΄ΠΈΠ½ΠΎΡΠ½ΡΠΉ. Π§ΠΈΡΠ»ΠΎ ΠΏΠ°ΡΠΎΠ»ΠΎΠ³ΠΈΡΠ΅ΡΠΊΠΈΡ ΡΡΠ°ΡΡΠΊΠΎΠ² (Π½Π°ΠΏΡΠΈΠΌΠ΅Ρ, ΠΌΠ΅ΡΠ°ΡΡΠ°Π·ΠΎΠ² ΠΏΡΠΈ ΡΠ°ΠΊΠ΅ ΠΆΠ΅Π»ΡΠ΄ΠΊΠ° ΠΈΠ»ΠΈ Π΄ΡΡΠ³ΠΈΡ ΠΎΡΠ³Π°Π½ΠΎΠ² ΡΠΈΡΡΠ΅ΠΌΡ ΠΏΠΈΡΠ΅Π²Π°ΡΠ΅Π½ΠΈΡ) ΠΌΠΎΠΆΠ΅Ρ Π²Π°ΡΡΠΈΡΠΎΠ²Π°ΡΡ. ΠΡΡΠ²Π»Π΅Π½ΠΈΠ΅ ΠΎΠ΄Π½ΠΎΠ³ΠΎ ΠΌΠ΅ΡΠ°ΡΡΠ°Π·Π° ΡΠΆΠ΅ ΠΏΠΎΠ·Π²ΠΎΠ»ΡΠ΅Ρ Π²ΡΡΡΠ°Π²ΠΈΡΡ ΡΡΠ°Π΄ΠΈΡ M1 ΠΏΠΎ ΡΠΈΡΡΠ΅ΠΌΠ΅ TNM. ΠΠ΄Π½Π°ΠΊΠΎ ΡΠ»Π΅Π΄ΡΠ΅Ρ ΡΡΠΈΡΡΠ²Π°ΡΡ, ΡΡΠΎ ΠΌΠ½ΠΎΠΆΠ΅ΡΡΠ²Π΅Π½Π½ΡΠ΅ ΠΎΡΠ°Π³ΠΎΠ²ΡΠ΅ ΠΎΠ±ΡΠ°Π·ΠΎΠ²Π°Π½ΠΈΡ Π² ΠΏΠ΅ΡΠ΅Π½ΠΈ β ΡΡΠΎ Π½Π΅ Π²ΡΠ΅Π³Π΄Π° ΠΌΠ΅ΡΠ°ΡΡΠ°Π·Ρ, ΠΈ Π²ΡΠ°Ρ-ΡΠ΅Π½ΡΠ³Π΅Π½ΠΎΠ»ΠΎΠ³ ΠΎΠ±ΡΠ·Π°Π½ ΠΏΡΠΎΠ²Π΅ΡΡΠΈ ΠΈΡ Π΄ΠΈΡΡΠ΅ΡΠ΅Π½ΡΠΈΠ°Π»ΡΠ½ΡΡ Π΄ΠΈΠ°Π³Π½ΠΎΡΡΠΈΠΊΡ, ΡΠΎΠΏΠΎΡΡΠ°Π²ΠΈΠ² ΠΌΠ½ΠΎΠ³ΠΎΡΠΈΡΠ»Π΅Π½Π½ΡΠ΅ ΠΠ’-ΠΏΡΠΈΠ·Π½Π°ΠΊΠΈ.
8) ΠΡΠΎΠ±Π΅Π½Π½ΠΎΡΡΠΈ Π½Π°ΠΊΠΎΠΏΠ»Π΅Π½ΠΈΡ ΠΊΠΎΠ½ΡΡΠ°ΡΡΠ°. Π§Π΅ΠΌ ΠΌΠ΅Π½ΡΡΠ΅ Π½Π°ΠΊΠΎΠΏΠ»Π΅Π½ΠΈΠ΅ ΠΊΠΎΠ½ΡΡΠ°ΡΡΠ° Π² ΠΎΡΠ°Π³Π΅, ΡΠ΅ΠΌ ΠΌΠ΅Π½ΡΡΠ΅ ΠΎΠ½ ΠΊΡΠΎΠ²ΠΎΡΠ½Π°Π±ΠΆΠ°Π΅ΡΡΡ. ΠΠ°ΠΎΠ±ΠΎΡΠΎΡ, ΡΠ΅ΠΌ Π±ΡΡΡΡΠ΅Π΅ Π½Π°ΠΊΠ°ΠΏΠ»ΠΈΠ²Π°Π΅ΡΡΡ ΠΊΠΎΠ½ΡΡΠ°ΡΡ, ΡΠ΅ΠΌ Π±ΠΎΠ»Π΅Π΅ ΡΠ°Π·Π²ΠΈΡΠ° ΡΠΎΡΡΠ΄ΠΈΡΡΠ°Ρ ΡΠ΅ΡΡ. Π§Π΅ΠΌ Π±ΡΡΡΡΠ΅Π΅ ΡΠ½ΠΈΠΆΠ°Π΅ΡΡΡ ΠΏΠ»ΠΎΡΠ½ΠΎΡΡΡ ΠΏΠΎΡΠ»Π΅ ΠΎΠΊΠΎΠ½ΡΠ°Π½ΠΈΡ Π²Π²Π΅Π΄Π΅Π½ΠΈΡ ΠΊΠΎΠ½ΡΡΠ°ΡΡΠ°, ΡΠ΅ΠΌ ΠΈΠ½ΡΠ΅Π½ΡΠΈΠ²Π½Π΅Π΅ ΠΊΡΠΎΠ²ΠΎΡΠΎΠΊ Π² ΠΎΡΠ°Π³Π΅.
Π’Π°ΠΊ, Π³Π΅ΠΌΠ°Π½Π³ΠΈΠΎΠΌΠ° ΠΏΠ΅ΡΠ΅Π½ΠΈ Π½Π° ΠΠ’ Π±Π΅Π· ΠΊΠΎΠ½ΡΡΠ°ΡΡΠ° Π²ΡΠ³Π»ΡΠ΄ΠΈΡ ΠΊΠ°ΠΊ Π³ΠΈΠΏΠΎΠ΄Π΅Π½ΡΠ½ΡΠΉ ΡΡΠ°ΡΡΠΎΠΊ, ΠΏΡΠΈΡΠΎΠ΄Ρ ΠΊΠΎΡΠΎΡΠΎΠ³ΠΎ ΡΡΡΠ°Π½ΠΎΠ²ΠΈΡΡ Π·Π°ΡΡΡΠ΄Π½ΠΈΡΠ΅Π»ΡΠ½ΠΎ.
Π Π°ΡΡΠ΅ΡΠΈΠ°Π»ΡΠ½ΡΡ ΡΠ°Π·Ρ ΠΊΠΎΠ½ΡΡΠ°ΡΡΠΈΡΠΎΠ²Π°Π½ΠΈΡ Π½Π°Π±Π»ΡΠ΄Π°Π΅ΡΡΡ Π·Π½Π°ΡΠΈΡΠ΅Π»ΡΠ½ΠΎΠ΅ ΡΠ²Π΅Π»ΠΈΡΠ΅Π½ΠΈΠ΅ ΠΏΠ»ΠΎΡΠ½ΠΎΡΡΠ½ΡΡ
Ρ
Π°ΡΠ°ΠΊΡΠ΅ΡΠΈΡΡΠΈΠΊ Π³Π΅ΠΌΠ°Π½Π³ΠΈΠΎΠΌΡ (ΠΈΠ·-Π·Π° Π½Π°ΠΊΠΎΠΏΠ»Π΅Π½ΠΈΡ ΠΊΠΎΠ½ΡΡΠ°ΡΡΠΈΡΠΎΠ²Π°Π½Π½ΠΎΠΉ ΠΊΡΠΎΠ²ΠΈ Π² ΡΠΎΡΡΠ΄ΠΈΡΡΡΡ
Π»Π°ΠΊΡΠ½Π°Ρ
), Π½ΠΎ Π·Π°ΡΠ΅ΠΌ Π΅Π΅ ΠΏΠ»ΠΎΡΠ½ΠΎΡΡΡ ΡΠ½ΠΈΠΆΠ°Π΅ΡΡΡ ΠΈ ΠΏΠΎΡΡΠ΅ΠΏΠ΅Π½Π½ΠΎ ΠΏΡΠΈΡ
ΠΎΠ΄ΠΈΡ ΠΊ ΠΏΡΠ΅ΠΆΠ½ΠΈΠΌ Π·Π½Π°ΡΠ΅Π½ΠΈΡΠΌ, ΡΡΠΎ ΠΏΠΎΠ·Π²ΠΎΠ»ΡΠ΅Ρ ΠΎΡΠ»ΠΈΡΠΈΡΡ Π³Π΅ΠΌΠ°Π½Π³ΠΈΠΎΠΌΡ ΠΏΠ΅ΡΠ΅Π½ΠΈ ΠΎΡ ΡΠ°ΠΊΠ°, ΡΠ°ΠΊ ΠΊΠ°ΠΊ Π·Π»ΠΎΠΊΠ°ΡΠ΅ΡΡΠ²Π΅Π½Π½ΡΠ΅ Π½ΠΎΠ²ΠΎΠΎΠ±ΡΠ°Π·ΠΎΠ²Π°Π½ΠΈΡ, Π½Π°ΠΏΡΠΈΠΌΠ΅Ρ, ΡΠ°ΠΊ ΠΊΠΈΡΠ΅ΡΠ½ΠΈΠΊΠ° Ρ ΠΌΠ΅ΡΠ°ΡΡΠ°Π·Π°ΠΌΠΈ Π² ΠΏΠ΅ΡΠ΅Π½Ρ ΠΏΡΠΈ ΠΠ’ Ρ ΠΊΠΎΠ½ΡΡΠ°ΡΡΠΈΡΠΎΠ²Π°Π½ΠΈΠ΅ΠΌ ΠΏΡΠΎΡΠ²Π»ΡΠ΅ΡΡΡ ΠΈΠ½Π°ΡΠ΅: Π΄Π»Ρ ΠΌΠ΅ΡΠ°ΡΡΠ°Π·ΠΎΠ² Π½Π°ΠΈΠ±ΠΎΠ»Π΅Π΅ Ρ
Π°ΡΠ°ΠΊΡΠ΅ΡΠ½ΠΎ ΡΡΠΈΠ»Π΅Π½ΠΈΠ΅ ΠΏΠ»ΠΎΡΠ½ΠΎΡΡΠΈ Π² Π²ΠΈΠ΄Π΅ Β«ΠΊΠΎΠ»ΡΡΠ°Β» (Β«ΠΎΠ±ΠΎΠ΄ΠΊΠ°Β»), ΠΊΠΎΡΠΎΡΠΎΠ΅ ΠΎΡΠΎΠ±ΡΠ°ΠΆΠ°Π΅Ρ Π°ΠΊΡΠΈΠ²Π½ΡΡ (Π²Π°ΡΠΊΡΠ»ΡΡΠΈΠ·ΠΎΠ²Π°Π½Π½ΡΡ) ΡΠ°ΡΡΡ ΠΎΠΏΡΡ
ΠΎΠ»ΠΈ.
ΠΠ΅ΠΌΠ°Π½Π³ΠΈΠΎΠΌΠ° ΠΏΠ΅ΡΠ΅Π½ΠΈ ΠΈΠ»ΠΈ ΡΠ°ΠΊ? ΠΠ’ Π±ΡΡΡΠ½ΠΎΠΉ ΠΏΠΎΠ»ΠΎΡΡΠΈ Ρ ΠΊΠΎΠ½ΡΡΠ°ΡΡΠ½ΡΠΌ ΡΡΠΈΠ»Π΅Π½ΠΈΠ΅ΠΌ: ΡΠΈΠΏΠΈΡΠ½ΠΎΠ΅ Π½Π°ΠΊΠΎΠΏΠ»Π΅Π½ΠΈΠ΅ ΠΊΠΎΠ½ΡΡΠ°ΡΡΠ° Π² Π²ΠΈΠ΄Π΅ Π»Π°ΠΊΡΠ½ ΠΏΠΎΠΌΠΎΠ³Π°Π΅Ρ Π΄ΠΈΡΡΠ΅ΡΠ΅Π½ΡΠΈΡΠΎΠ²Π°ΡΡ Π³Π΅ΠΌΠ°Π½Π³ΠΈΠΎΠΌΡ ΠΎΡ ΡΠ°ΠΊΠ° ΠΈ ΡΡΡΠ°Π½ΠΎΠ²ΠΈΡΡ ΠΏΡΠ°Π²ΠΈΠ»ΡΠ½ΡΠΉ Π΄ΠΈΠ°Π³Π½ΠΎΠ·: ΠΊΠ°Π²Π΅ΡΠ½ΠΎΠ·Π½Π°Ρ Π³Π΅ΠΌΠ°Π½Π³ΠΈΠΎΠΌΠ°.
ΠΠΠΠΠΠΠΠ‘ΠΠ«Π ΠΠ§ΠΠ ΠΠΠ§ΠΠΠ
ΠΠΈΠΏΠΎΠ΄Π΅Π½ΡΠ½ΡΠ΅ ΠΎΠ±ΡΠ°Π·ΠΎΠ²Π°Π½ΠΈΡ ΠΈΠΌΠ΅ΡΡ ΠΏΠ»ΠΎΡΠ½ΠΎΡΡΡ Π½ΠΈΠΆΠ΅ Π½ΠΎΡΠΌΠ°Π»ΡΠ½ΠΎΠΉ ΠΏΠ°ΡΠ΅Π½Ρ ΠΈΠΌΡ (Π² Π½ΠΎΡΠΌΠ΅ Π΅Π΅ ΠΏΠ»ΠΎΡΠ½ΠΎΡΡΡ ΡΠΎΡΡΠ°Π²Π»ΡΠ΅Ρ +50β¦+70 Π΅Π΄ΠΈΠ½ΠΈΡ Π₯Π°ΡΠ½ΡΡΠΈΠ»Π΄Π° β Π±Π΅Π· ΠΊΠΎΠ½ΡΡΠ°ΡΡΠΈΡΠΎΠ²Π°Π½ΠΈΡ) ΠΈ ΠΏΡΠ΅Π΄ΡΡΠ°Π²Π»ΡΡΡ ΡΠΎΠ±ΠΎΠΉ ΡΠ»Π΅Π΄ΡΡΡΠΈΠ΅ ΠΌΠΎΡΡΠΎΠ»ΠΎΠ³ΠΈΡΠ΅ΡΠΊΠΈΠ΅ Π²Π°ΡΠΈΠ°Π½ΡΡ:
1) ΠΠΈΡΠΎΠ²ΡΠ΅ ΠΎΠ±ΡΠ°Π·ΠΎΠ²Π°Π½ΠΈΡ ΠΈΠΌΠ΅ΡΡ ΠΏΠ»ΠΎΡΠ½ΠΎΡΡΡ ΠΎΡ -100 Π΄ΠΎ -10 Π΅Π΄ΠΈΠ½ΠΈΡ Π₯Π°ΡΠ½ΡΡΠΈΠ»Π΄Π°.
ΠΡΠΎ ΠΌΠΎΠΆΠ΅Ρ Π±ΡΡΡ Π»ΠΈΠΏΠΎΠΌΠ°, ΡΠΈΠ±ΡΠΎΠ»ΠΈΠΏΠΎΠΌΠ°, Π°Π½Π³ΠΈΠΎΠ»ΠΈΠΏΠΎΠΌΠ°, Π°Π½Π³ΠΈΠΎΡΠΈΠ±ΡΠΎΠ»ΠΈΠΏΠΎΠΌΠ°, Π°Π΄Π΅Π½ΠΎΠΌΠ°, Π»ΠΈΠΏΠΎΡΠ°ΡΠΊΠΎΠΌΠ° ΠΈ Π½Π΅ΠΊΠΎΡΠΎΡΡΠ΅ Π΄ΡΡΠ³ΠΈΠ΅ ΠΎΠΏΡΡ
ΠΎΠ»ΠΈ ΠΈΠ· ΠΆΠΈΡΠΎΠ²ΠΎΠΉ ΡΠΊΠ°Π½ΠΈ (Π° ΡΠ°ΠΊΠΆΠ΅ ΡΡΠ°ΡΡΠΎΠΊ Ρ ΠΎΡΡΠΈΡΠ°ΡΠ΅Π»ΡΠ½ΠΎΠΉ ΠΏΠ»ΠΎΡΠ½ΠΎΡΡΡΡ ΠΌΠΎΠΆΠ΅Ρ Π±ΡΡΡ ΠΎΠ±ΡΡΠ»ΠΎΠ²Π»Π΅Π½ Π»ΠΎΠΊΠ°Π»ΡΠ½ΡΠΌ ΡΡΠ°ΡΡΠΊΠΎΠΌ ΠΆΠΈΡΠΎΠ²ΠΎΠΉ ΠΈΠ½ΡΠΈΠ»ΡΡΡΠ°ΡΠΈΠΈ, ΠΈΠ»ΠΈ ΠΆΠΈΡΠΎΠ²ΠΎΠ³ΠΎ Π³Π΅ΠΏΠ°ΡΠΎΠ·Π°).
2) ΠΠΈΠΏΠΎΠ΄Π΅Π½ΡΠ½ΡΠΉ ΠΎΡΠ°Π³ ΠΏΠ»ΠΎΡΠ½ΠΎΡΡΡΡ 0β¦+20 Π΅Π΄ΠΈΠ½ΠΈΡ Π₯Π°ΡΠ½ΡΡΠΈΠ»Π΄Π° ΡΠ°ΡΠ΅ Π²ΡΠ΅Π³ΠΎ ΡΠΎΠ΄Π΅ΡΠΆΠΈΡ ΠΆΠΈΠ΄ΠΊΠΎΡΡΡ. ΠΡΠΎ ΠΌΠΎΠΆΠ΅Ρ Π±ΡΡΡ ΠΏΡΠΎΡΡΠ°Ρ ΠΈΠ»ΠΈ ΠΏΠ°ΡΠ°Π·ΠΈΡΠ°ΡΠ½Π°Ρ ΠΊΠΈΡΡΠ°, Π±ΠΈΠ»ΠΎΠΌΠ° β ΡΠΊΠΎΠΏΠ»Π΅Π½ΠΈΠ΅ ΠΆΠ΅Π»ΡΠΈ ΠΏΠΎΡΠ»Π΅ ΠΎΠΏΠ΅ΡΠ°ΡΠΈΠΉ Π½Π° ΠΆΠ΅Π»ΡΠ½ΠΎΠΌ ΠΏΡΠ·ΡΡΠ΅ ΠΈ ΠΏΡΠΎΡΠΎΠΊΠ°Ρ , Π° ΡΠ°ΠΊΠΆΠ΅ ΠΊΠΈΡΡΠΎΠ·Π½ΡΠ΅ ΠΌΠ΅ΡΠ°ΡΡΠ°Π·Ρ.
3) ΠΠΈΠΏΠΎΠ΄Π΅Π½ΡΠ½ΡΠΉ ΠΎΡΠ°Π³ ΠΏΠ»ΠΎΡΠ½ΠΎΡΡΡΡ +20β¦+40 Π΅Π΄ΠΈΠ½ΠΈΡ Π₯Π°ΡΠ½ΡΡΠΈΠ»Π΄Π° Π±ΡΠ²Π°Π΅Ρ ΠΎΠ±ΡΡΠ»ΠΎΠ²Π»Π΅Π½ ΠΊΠ°ΠΊ ΠΆΠΈΠ΄ΠΊΠΎΡΡΠ½ΡΠΌ ΡΠΎΠ΄Π΅ΡΠΆΠΈΠΌΡΠΌ, ΡΠ°ΠΊ ΠΈ ΠΌΡΠ³ΠΊΠΎΡΠΊΠ°Π½Π½ΡΠΌ. ΠΠ΄Π΅ΡΡ Π³ΠΎΡΠ°Π·Π΄ΠΎ Π±ΠΎΠ»ΡΡΠ΅ Π²Π°ΡΠΈΠ°Π½ΡΠΎΠ², ΠΏΡΠΈ ΡΠΎΡΡΠ°Π²Π»Π΅Π½ΠΈΠΈ Π΄ΠΈΡΡΠ΅ΡΠ΅Π½ΡΠΈΠ°Π»ΡΠ½ΠΎΠ³ΠΎ ΡΡΠ΄Π° Π½ΡΠΆΠ½ΠΎ ΡΡΠΈΡΡΠ²Π°ΡΡ ΡΠ°Π·ΠΌΠ΅ΡΡ, ΡΠΎΡΠΌΡ, Ρ Π°ΡΠ°ΠΊΡΠ΅Ρ Π½Π°ΠΊΠΎΠΏΠ»Π΅Π½ΠΈΡ ΠΊΠΎΠ½ΡΡΠ°ΡΡΠ½ΠΎΠ³ΠΎ Π²Π΅ΡΠ΅ΡΡΠ²Π°.
ΠΠ°ΠΏΠΈΠ»Π»ΡΡΠ½Π°Ρ Π³Π΅ΠΌΠ°Π½Π³ΠΈΠΎΠΌΠ° ΠΏΡΠ°Π²ΠΎΠΉ Π΄ΠΎΠ»ΠΈ ΠΏΠ΅ΡΠ΅Π½ΠΈ: ΠΠ’ Ρ ΠΊΠΎΠ½ΡΡΠ°ΡΡΠ½ΡΠΌ ΡΡΠΈΠ»Π΅Π½ΠΈΠ΅ΠΌ Π² Π°ΡΡΠ΅ΡΠΈΠ°Π»ΡΠ½ΡΡ ΡΠ°Π·Ρ Π²ΡΡΠ²Π»ΡΠ΅Ρ Π³ΠΈΠΏΠ΅ΡΠ΄Π΅Π½ΡΠ½ΡΠΉ ΡΡΠ°ΡΡΠΎΠΊ.Β
ΠΠΠΠΠ ΠΠΠΠ‘ΠΠ«Π ΠΠ§ΠΠ Π ΠΠΠ§ΠΠΠ
ΠΠΈΠΏΠ΅ΡΠ΄Π΅Π½ΡΠ½ΡΠ΅ ΠΎΡΠ°Π³ΠΈ ΠΈΠΌΠ΅ΡΡ ΡΠ΅Π½ΡΠ³Π΅Π½ΠΎΠ²ΡΠΊΡΡ ΠΏΠ»ΠΎΡΠ½ΡΠΎΡΡΡ Π²ΡΡΠ΅ Π½ΠΎΡΠΌΠ°Π»ΡΠ½ΠΎΠΉ ΠΏΠ°ΡΠ΅Π½Ρ
ΠΈΠΌΡ (>70 Π΅Π΄ΠΈΠ½ΠΈΡ Π₯Π°ΡΠ½ΡΡΠΈΠ»Π΄Π°) ΠΈ ΠΌΠΎΠ³ΡΡ Π±ΡΡΡ ΠΎΠ±ΡΡΠ»ΠΎΠ²Π»Π΅Π½Ρ ΠΊΠΈΡΡΠ°ΠΌΠΈ, ΡΠΎΠ΄Π΅ΡΠΆΠ°ΡΠΈΠΌΠΈ ΠΏΠ»ΠΎΡΠ½ΡΡ ΠΆΠΈΠ΄ΠΊΠΎΡΡΡ (Ρ ΠΏΡΠΈΠΌΠ΅ΡΡΠΌΠΈ Π±Π΅Π»ΠΊΠ° ΠΈΠ»ΠΈ ΠΊΡΠΎΠ²ΠΈ), Π»ΠΈΠ±ΠΎ ΠΈΡ
ΡΡΠ±ΡΡΡΠ°ΡΠΎΠΌ ΡΠ²Π»ΡΠ΅ΡΡΡ ΠΎΠΏΡΡ
ΠΎΠ»Ρ ΠΈΠ»ΠΈ ΠΊΠ°Π»ΡΡΠΈΠ½Π°Ρ.
1) ΠΡΠ°Π³ ΠΏΠ»ΠΎΡΠ½ΠΎΡΡΡΡ +200β¦+400 Π΅Π΄ΠΈΠ½ΠΈΡ Π₯Π°ΡΠ½ΡΡΠΈΠ»Π΄Π° ΠΎΠ±ΡΡΠ»ΠΎΠ²Π»Π΅Π½ Π½Π°Π»ΠΈΡΠΈΠ΅ΠΌ ΠΊΠ°Π»ΡΡΠΈΡ Π² ΡΡΡΡΠΊΡΡΡΠ΅. ΠΡΠΎ ΠΌΠΎΠΆΠ΅Ρ Π±ΡΡΡ ΠΎΠ±ΡΠ·Π²Π΅ΡΡΠ²Π»Π΅Π½Π½Π°Ρ ΠΊΠΈΡΡΠ°, ΡΠΈΠ±ΡΠΎΠΌΠ°, ΡΠΈΠ±ΡΠΎΠ°Π΄Π΅Π½ΠΎΠΌΠ° (Π»ΠΈΠ±ΠΎ Π΄ΡΡΠ³Π°Ρ ΠΎΠΏΡΡ ΠΎΠ»Ρ), ΠΎΠ±ΡΠ·Π²Π΅ΡΡΠ²Π»Π΅Π½Π½Π°Ρ Π³Π΅ΠΌΠ°ΡΠΎΠΌΠ°.
2) ΠΠΎΠΊΠ°Π»ΡΠ½ΡΠΉ ΡΡΠ°ΡΡΠΎΠΊ ΠΏΠΎΠ²ΡΡΠ΅Π½ΠΈΡ ΠΏΠ»ΠΎΡΠ½ΠΎΡΡΠΈ ΠΏΠ°ΡΠ΅Π½Ρ ΠΈΠΌΡ Π·Π°ΡΠ°ΡΡΡΡ Π±ΡΠ²Π°Π΅Ρ ΠΎΠ±ΡΡΠ»ΠΎΠ²Π»Π΅Π½ ΠΎΡΠ»ΠΎΠΆΠ΅Π½ΠΈΡΠΌΠΈ ΠΌΠ΅ΡΠ°Π»Π»ΠΎΠ² β ΡΠΎΠ»Π΅ΠΉ Π°Π»ΡΠΌΠΈΠ½ΠΈΡ, ΠΆΠ΅Π»Π΅Π·Π° ΠΈ Ρ.Π΄.
3) ΠΠΏΡΡ ΠΎΠ»ΠΈ Π±ΡΠ²Π°ΡΡ ΠΊΠ°ΠΊ Π³ΠΈΠΏΠ΅ΡΠ΄Π΅Π½ΡΠ½ΡΠΌΠΈ, ΡΠ°ΠΊ ΠΈ Π³ΠΈΠΏΠΎΠ΄Π΅Π½ΡΠ½ΡΠΌΠΈ.
ΠΠΠ‘Π’ΠΠΠΠ«Π ΠΠΠΠΠΠΠΠΠ― ΠΠΠ§ΠΠΠ
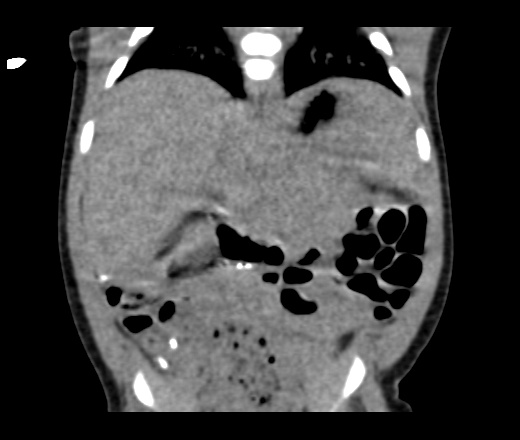
ΠΠΈΡΡΠΎΠ·Π½ΡΠΉ Ρ Π°ΡΠ°ΠΊΡΠ΅Ρ ΠΏΡΠΈ ΠΠ’ ΠΈΠΌΠ΅ΡΡ ΡΠ»Π΅Π΄ΡΡΡΠΈΠ΅ ΠΎΠ±ΡΠ°Π·ΠΎΠ²Π°Π½ΠΈΡ:
1) ΠΡΠΎΡΡΠ°Ρ ΠΊΠΈΡΡΠ° ΠΏΠ΅ΡΠ΅Π½ΠΈ β ΡΡΠΎ ΡΡΠΎ? ΠΡΠΎΡΡΠ°Ρ ΠΊΠΈΡΡΠ° Π²ΠΎΠ·Π½ΠΈΠΊΠ°Π΅Ρ Π² ΡΠ΅Π·ΡΠ»ΡΡΠ°ΡΠ΅ ΡΠΌΠ±ΡΠΈΠΎΠ³Π΅Π½Π΅Π·Π° ΠΈ ΠΏΡΠ΅Π΄ΡΡΠ°Π²Π»ΡΠ΅Ρ ΡΠΎΠ±ΠΎΠΉ ΠΎΠ³ΡΠ°Π½ΠΈΡΠ΅Π½Π½ΠΎΠ΅ ΠΊΠ°ΠΏΡΡΠ»ΠΎΠΉ ΡΠΊΠΎΠΏΠ»Π΅Π½ΠΈΠ΅ ΠΆΠΈΠ΄ΠΊΠΎΡΡΠΈ. ΠΠ° ΠΠ’ ΠΎΠ½Π° ΠΈΠΌΠ΅ΡΡ ΡΠΎΠ²Π½ΡΠ΅ ΠΊΡΠ°Ρ, ΡΠ΅ΡΠΊΠΈΠ΅ ΠΊΠΎΠ½ΡΡΡΡ, ΠΎΠ±ΡΡΠ½ΠΎ ΠΏΡΠ°Π²ΠΈΠ»ΡΠ½ΡΡ ΡΠΎΡΠΌΡ; ΠΏΠ»ΠΎΡΠ½ΠΎΡΡΠ½ΡΠ΅ Ρ
Π°ΡΠ°ΠΊΡΠ΅ΡΠΈΡΡΠΈΠΊΠΈ ΠΆΠΈΠ΄ΠΊΠΎΡΡΠΈ +5β¦+20 Π΅Π΄ΠΈΠ½ΠΈΡ Π₯Π°ΡΠ½ΡΡΠΈΠ»Π΄Π°, Π½Π΅ ΡΠΎΠ΄Π΅ΡΠΆΠΈΡ ΠΊΠ°ΠΊΠΈΡ
-Π»ΠΈΠ±ΠΎ Π²ΠΊΠ»ΡΡΠ΅Π½ΠΈΠΉ (ΠΊΡΠΎΠ²Ρ, ΠΊΠ°Π»ΡΡΠΈΠΉ ΠΈ Ρ. Π΄.), Π² ΠΈΡ
ΡΡΡΡΠΊΡΡΡΠ΅ Π½Π΅Ρ ΠΏΠ΅ΡΠ΅Π³ΠΎΡΠΎΠ΄ΠΎΠΊ, ΡΡΠ΅Π½ΠΊΠ° ΡΠΎΠ²Π½Π°Ρ, Π±Π΅Π· Π»ΠΎΠΊΠ°Π»ΡΠ½ΡΡ
ΡΡΠΎΠ»ΡΠ΅Π½ΠΈΠΉ. ΠΠΎΠ½ΡΡΠ°ΡΡ ΡΠ°ΠΊΠΈΠ΅ ΠΊΠΈΡΡΡ Π½Π΅ Π½Π°ΠΊΠ°ΠΏΠ»ΠΈΠ²Π°ΡΡ. Π§Π°ΡΡΠΎ Π²ΠΎΠ·Π½ΠΈΠΊΠ°Π΅Ρ Π²ΠΎΠΏΡΠΎΡ, ΠΌΠΎΠΆΠ΅Ρ Π»ΠΈ ΠΊΠΈΡΡΠ° ΠΏΠ΅ΡΠ΅Π½ΠΈ ΠΏΠ΅ΡΠ΅ΡΠ°ΡΡΠΈ Π² ΡΠ°ΠΊ.
ΠΡΠ»ΠΈ ΠΊΠΈΡΡΠ° ΠΈΠΌΠ΅Π΅Ρ ΡΠΈΠΏΠΈΡΠ½ΡΠ΅ ΠΠ’-Ρ
Π°ΡΠ°ΠΊΡΠ΅ΡΠΈΡΡΠΈΠΊΠΈ, ΡΡΠ΅Π²ΠΎΠ³ΠΈ ΠΎΠ½Π° Π²ΡΠ·ΡΠ²Π°ΡΡ Π½Π΅ Π΄ΠΎΠ»ΠΆΠ½Π°, ΠΎΠ·Π»ΠΎΠΊΠ°ΡΠ΅ΡΡΠ²Π»Π΅Π½ΠΈΡ ΠΊΠΈΡΡΡ Π½Π΅ Π±ΡΠ²Π°Π΅Ρ. ΠΠΎ Π²Π°ΠΆΠ½ΠΎ ΠΎΡΠ»ΠΈΡΠΈΡΡ ΠΏΡΠΎΡΡΡΡ ΠΊΠΈΡΡΡ ΠΎΡ ΡΡ
ΠΈΠ½ΠΎΠΊΠΎΠΊΠΊΠΎΠ²ΠΎΠΉ, ΠΎΡ ΠΊΠΈΡΡΠΎΠ·Π½ΠΎΠΉ ΡΠΎΡΠΌΡ ΠΌΠ΅ΡΠ°ΡΡΠ°Π·Π° ΠΈΠ»ΠΈ ΠΊΠΈΡΡΠΎΠ·Π½ΠΎΠ³ΠΎ ΡΠ°ΠΊΠ°.
2) ΠΠΈΡΡΠΎΠ·Π½ΡΠ΅ ΠΌΠ΅ΡΠ°ΡΡΠ°Π·Ρ Π² ΠΏΠ΅ΡΠ΅Π½Ρ ΠΏΡΠΈ ΡΠ°ΠΊΠ΅ ΠΌΠΎΠ»ΠΎΡΠ½ΠΎΠΉ ΠΆΠ΅Π»Π΅Π·Ρ, ΠΆΠ΅Π»ΡΠ΄ΠΊΠ°, Π΄ΡΡΠ³ΠΈΡ ΠΎΡΠ³Π°Π½ΠΎΠ² ΠΎΠ±ΡΡΠ½ΠΎ ΠΌΠ½ΠΎΠΆΠ΅ΡΡΠ²Π΅Π½Π½ΡΠ΅, ΠΈΠΌΠ΅ΡΡ Π½Π΅ΠΏΡΠ°Π²ΠΈΠ»ΡΠ½ΡΡ ΡΠΎΡΠΌΡ, Π½Π΅ΠΎΠ΄Π½ΠΎΡΠΎΠ΄Π½ΡΡ ΡΡΡΡΠΊΡΡΡΡ, ΡΠ°Π·ΠΌΠ΅ΡΡ ΠΎΡ 0,5 ΡΠΌ Π΄ΠΎ Π½Π΅ΡΠΊΠΎΠ»ΡΠΊΠΈΡ Π΄Π΅ΡΡΡΠΊΠΎΠ² ΡΠΌ. Π₯Π°ΡΠ°ΠΊΡΠ΅ΡΠΈΠ·ΡΡΡΡΡ Π½Π°ΠΊΠΎΠΏΠ»Π΅Π½ΠΈΠ΅ΠΌ ΠΊΠΎΠ½ΡΡΠ°ΡΡΠ° Π² Π²ΠΈΠ΄Π΅ Β«ΠΊΠΎΠ»ΡΡΠ°Β». ΠΠ±Π»Π°Π΄Π°ΡΡ ΠΈΠ½ΡΠΈΠ»ΡΡΡΠ°ΡΠΈΠ²Π½ΡΠΌ ΡΠΎΡΡΠΎΠΌ. ΠΠΎΠ΄ΠΎΠ·ΡΠ΅Π½ΠΈΠ΅ Π½Π° mts Π² ΠΏΠ΅ΡΠ΅Π½ΠΈ Π²ΠΎΠ·Π½ΠΈΠΊΠ°Π΅Ρ ΠΏΡΠΈ ΠΠ’ Π½Π΅ΡΠ΅Π΄ΠΊΠΎ, Π² ΡΠ°ΠΊΠΈΡ ΡΠ»ΡΡΠ°ΡΡ ΠΌΠΎΠΆΠ΅Ρ ΠΏΠΎΠΌΠΎΡΡ Π²ΡΠΎΡΠΎΠ΅ ΠΌΠ½Π΅Π½ΠΈΠ΅ ΠΏΠΎ ΡΠ½ΠΈΠΌΠΊΠ°ΠΌ. Π Π½Π°ΡΠ΅ Π²ΡΠ΅ΠΌΡ ΠΌΠ½ΠΎΠΆΠ΅ΡΡΠ²Π΅Π½Π½ΡΠ΅ ΠΌΠ΅ΡΠ°ΡΡΠ°Π·Ρ Π½Π΅ΡΠ΅Π΄ΠΊΠΎ ΡΡΠΏΠ΅ΡΠ½ΠΎ Π»Π΅ΡΠ°ΡΡΡ Π² ΠΊΡΡΠΏΠ½ΡΡ ΠΎΠ½ΠΊΠΎΠ»ΠΎΠ³ΠΈΡΠ΅ΡΠΊΠΈΡ ΠΊΠ»ΠΈΠ½ΠΈΠΊΠ°Ρ , Π³Π΄Π΅ ΠΏΡΠΈΠΌΠ΅Π½ΡΡΡΡΡ ΡΠ°Π·Π»ΠΈΡΠ½ΡΠ΅ ΠΌΠ΅ΡΠΎΠ΄ΠΈΠΊΠΈ (Ρ ΠΈΡΡΡΠ³ΠΈΡΠ΅ΡΠΊΠΎΠ΅ ΡΠ΄Π°Π»Π΅Π½ΠΈΠ΅, Ρ ΠΈΠΌΠΈΠΎΡΠΌΠ±ΠΎΠ»ΠΈΠ·Π°ΡΠΈΡ, ΡΠ°Π΄ΠΈΠΎΡΠ°ΡΡΠΎΡΠ½Π°Ρ Π°Π±Π»ΡΡΠΈΡ ΠΈ Ρ.ΠΏ.).
3) ΠΠΈΡΡΠΎΠ·Π½Π°Ρ ΡΠΎΡΠΌΠ° Π³Π΅ΠΏΠ°ΡΠΎΡΠ΅Π»Π»ΡΠ»ΡΡΠ½ΠΎΠ³ΠΎ ΡΠ°ΠΊΠ°: ΡΠΎΡΠΌΠ° Π½Π΅ΠΏΡΠ°Π²ΠΈΠ»ΡΠ½Π°Ρ, ΠΌΠΎΠΆΠ΅Ρ Π²ΡΡΠ²Π»ΡΡΡΡΡ ΡΠΎΠ»ΠΈΠ΄Π½ΡΠΉ ΠΊΠΎΠΌΠΏΠΎΠ½Π΅Π½Ρ (ΠΏΡΠΈ ΠΊΠΈΡΡΠΎΠ·Π½ΠΎΠΉ ΡΠΎΡΠΌΠ΅ ΠΎΠ½ Π²ΡΡΠ°ΠΆΠ΅Π½ ΠΌΠΈΠ½ΠΈΠΌΠ°Π»ΡΠ½ΠΎ), ΠΎΠΏΡΡ
ΠΎΠ»Ρ Π΅Π΄ΠΈΠ½ΠΈΡΠ½Π°Ρ, ΠΎΠΊΠ°Π·ΡΠ²Π°Π΅Ρ ΠΎΠ±ΡΠ΅ΠΌΠ½ΠΎΠ΅ Π²ΠΎΠ·Π΄Π΅ΠΉΡΡΠ²ΠΈΠ΅ Π½Π° ΡΡΠ΄ΠΎΠΌ ΡΠ°ΡΠΏΠΎΠ»ΠΎΠΆΠ΅Π½Π½ΡΠ΅ ΡΠΎΡΡΠ΄Ρ ΠΈ ΠΆΠ΅Π»ΡΠ½ΡΠ΅ ΠΏΡΠΎΡΠΎΠΊΠΈ..jpg)
4) ΠΠ°ΡΠ°Π·ΠΈΡΠ°ΡΠ½ΡΠ΅ ΠΊΠΈΡΡΡ. Π§Π°ΡΠ΅ Π²ΡΠ΅Π³ΠΎ ΡΡΠΈ ΠΊΠΈΡΡΡ ΠΏΡΠ΅Π΄ΡΡΠ°Π²Π»Π΅Π½Ρ ΡΡ ΠΈΠ½ΠΎΠΊΠΎΠΊΠΊΠΎΠΌ, ΡΠ΅ΠΆΠ΅ β Π°Π»ΡΠ²Π΅ΠΎΠΊΠΎΠΊΠΊΠΎΠΌ. ΠΡΠ²Π°ΡΡ ΠΌΠ½ΠΎΠΆΠ΅ΡΡΠ²Π΅Π½Π½ΡΠΌΠΈ ΠΈΠ»ΠΈ Π΅Π΄ΠΈΠ½ΠΈΡΠ½ΡΠΌΠΈ, ΠΈΠΌΠ΅ΡΡ Ρ ΠΎΡΠΎΡΠΎ Π²ΠΈΠ΄ΠΈΠΌΡΡ ΡΡΠ΅Π½ΠΊΡ, ΡΡΠΈΠ»ΠΈΠ²Π°ΡΡΡΡΡΡ ΠΏΡΠΈ ΠΊΠΎΠ½ΡΡΠ°ΡΡΠΈΡΠΎΠ²Π°Π½ΠΈΠΈ. ΠΡΠ²Π°ΡΡ ΠΎΠ΄Π½ΠΎΠΊΠ°ΠΌΠ΅ΡΠ½ΡΠ΅ ΠΈ ΠΌΠ½ΠΎΠ³ΠΎΠΊΠ°ΠΌΠ΅ΡΠ½ΡΠ΅ ΠΏΠ°ΡΠ°Π·ΠΈΡΠ°ΡΠ½ΡΠ΅ ΠΊΠΈΡΡΡ. ΠΠ½ΡΡΡΠΈ ΡΠ°ΠΊΠΈΡ ΠΊΠΈΡΡ ΠΌΠΎΠΆΠ½ΠΎ ΠΎΠ±Π½Π°ΡΡΠΆΠΈΡΡ ΠΏΠ°ΡΠ°Π·ΠΈΡΠ°.
5) ΠΠ΅ΠΌΠ°Π½Π³ΠΈΠΎΠΌΠ° ΠΏΡΠ°Π²ΠΎΠΉ Π΄ΠΎΠ»ΠΈ ΠΏΠ΅ΡΠ΅Π½ΠΈ, Π»ΠΈΠ±ΠΎ Π»Π΅Π²ΠΎΠΉ Π΄ΠΎΠ»ΠΈ. ΠΠ΅ΠΌΠ°Π½Π³ΠΈΠΎΠΌΠ° ΠΏΠ΅ΡΠ΅Π½ΠΈ Π½Π° ΠΠ’ Π²ΡΠ³Π»ΡΠ΄ΠΈΡ ΠΊΠ°ΠΊ ΡΠΈΠΏΠΈΡΠ½ΡΠΉ Π³ΠΈΠΏΠΎΠ΄Π΅Π½ΡΠ½ΡΠΉ ΠΎΡΠ°Π³, ΠΏΡΠΈ ΠΊΠΎΠ½ΡΡΠ°ΡΡΠΈΡΠΎΠ²Π°Π½ΠΈΠΈ Π² Π°ΡΡΠ΅ΡΠΈΠ°Π»ΡΠ½ΡΡ ΡΠ°Π·Ρ ΡΠ΅Π·ΠΊΠΎ ΡΡΠΈΠ»ΠΈΠ²Π°Π΅ΡΡΡ, Π² ΡΠ΅Π·ΡΠ»ΡΡΠ°ΡΠ΅ ΡΠ΅Π³ΠΎ ΡΡΠ°Π½ΠΎΠ²ΡΡΡΡ Π²ΠΈΠ΄ΠΈΠΌΡΠΌΠΈ ΡΠΎΡΡΠ΄ΠΈΡΡΡΠ΅ Π»Π°ΠΊΡΠ½Ρ, Π° Π·Π°ΡΠ΅ΠΌ ΠΌΠ΅Π΄Π»Π΅Π½Π½ΠΎ ΡΠ΅ΡΡΠ΅Ρ ΠΊΠΎΠ½ΡΡΠ°ΡΡ. ΠΡΠΈΠΏΠΈΡΠ½ΡΠ΅ Π³Π΅ΠΌΠ°Π½Π³ΠΈΠΎΠΌΡ Π½Π° ΠΠ’ ΠΈΠΌΠ΅ΡΡ Π½Π΅ΡΠΊΠΎΠ»ΡΠΊΠΎ Π΄ΡΡΠ³ΠΈΠ΅ Ρ Π°ΡΠ°ΠΊΡΠ΅ΡΠΈΡΡΠΈΠΊΠΈ, ΠΈ ΠΎΡΠ»ΠΈΡΠΈΡΡ ΠΈΡ ΠΎΡ Π·Π»ΠΎΠΊΠ°ΡΠ΅ΡΡΠ²Π΅Π½Π½ΠΎΠ³ΠΎ ΠΏΠΎΡΠ°ΠΆΠ΅Π½ΠΈΡ ΠΏΠΎΠΌΠΎΠ³Π°Π΅Ρ Π²Π·Π³Π»ΡΠ΄ ΠΎΠΏΡΡΠ½ΠΎΠ³ΠΎ ΡΠ΅Π½ΡΠ³Π΅Π½ΠΎΠ»ΠΎΠ³Π°, ΠΈΠΌΠ΅ΡΡΠ΅Π³ΠΎ ΠΎΠΏΡΡ Π² Π΄ΠΈΠ°Π³Π½ΠΎΡΡΠΈΠΊΠ΅ Π·Π°Π±ΠΎΠ»Π΅Π²Π°Π½ΠΈΠΉ Π±ΡΡΡΠ½ΠΎΠΉ ΠΏΠΎΠ»ΠΎΡΡΠΈ.
ΠΡΠΎΡΠΈΡΠ½ΡΠ΅ (ΡΠ΅ΠΊΡΠ½Π΄Π°ΡΠ½ΡΠ΅) ΠΈΠ·ΠΌΠ΅Π½Π΅Π½ΠΈΡ Π² ΠΏΠ΅ΡΠ΅Π½ΠΈ Π½Π° ΠΠ’. Π Π°ΠΊ ΠΊΠΈΡΠ΅ΡΠ½ΠΈΠΊΠ° Ρ ΠΌΠ΅ΡΠ°ΡΡΠ°Π·Π°ΠΌΠΈ. ΠΡΠΎΠ³Π½ΠΎΠ· Π½Π΅Π±Π»Π°Π³ΠΎΠΏΡΠΈΡΡΠ½ΡΠΉ, ΡΡΠΈΡΡΠ²Π°Ρ ΡΠ°Π·ΠΌΠ΅ΡΡ ΠΈ ΠΊΠΎΠ»ΠΈΡΠ΅ΡΡΠ²ΠΎ ΠΌΠ΅ΡΠ°ΡΡΠ°Π·ΠΎΠ².
Π‘ΠΠΠΠΠΠ«Π ΠΠΠ ΠΠΠΠΠΠΠΠ― ΠΠΠ§ΠΠΠ
Β«Π‘ΠΎΠ»ΠΈΠ΄Π½ΡΠΉΒ» ΠΎΠ·Π½Π°ΡΠ°Π΅Ρ ΠΌΡΠ³ΠΊΠΎΡΠΊΠ°Π½Π½ΡΠΉ, ΡΠΎΡΡΠΎΡΡΠΈΠΉ ΠΈΠ· ΠΆΠΈΠ²ΠΎΠΉ ΡΠΊΠ°Π½ΠΈ.
ΠΠ°ΠΊΠΈΠ΅ Π±ΡΠ²Π°ΡΡ ΡΠΎΠ»ΠΈΠ΄Π½ΡΠ΅ ΠΎΠ±ΡΠ°Π·ΡΠΎΠ²Π°Π½ΠΈΡ?
1) ΠΠ±ΡΠ΅ΠΌΠ½ΠΎΠ΅ ΠΎΠ±ΡΠ°Π·ΠΎΠ²Π°Π½ΠΈΠ΅ Ρ Π²ΠΊΠ»ΡΡΠ΅Π½ΠΈΡΠΌΠΈ ΠΆΠΈΡΠ°: Π»ΠΈΠΏΠΎΠΌΠ°, Π»ΠΈΠΏΠΎΡΠΈΠ±ΡΠΎΠΌΠ°, Π°Π½Π³ΠΈΠΎΠ»ΠΈΠΏΠΎΠΌΠ°, Π»ΠΈΠΏΠΎΡΠ°ΡΠΊΠΎΠΌΠ° ΠΈ Π΄Ρ. ΠΠΌΠ΅ΡΡ Ρ Π°ΡΠ°ΠΊΡΠ΅ΡΠ½ΡΡ ΡΡΡΡΠΊΡΡΡΡ ΠΈ ΠΏΠ»ΠΎΡΠ½ΠΎΡΡΠ½ΡΠ΅ Ρ Π°ΡΠ°ΠΊΡΠ΅ΡΠΈΡΡΠΈΠΊΠΈ, ΡΠΎΠΎΡΠ²Π΅ΡΡΡΠ²ΡΡΡΠΈΠ΅ ΠΆΠΈΡΠΎΠ²ΠΎΠΉ ΡΠΊΠ°Π½ΠΈ.
2) Π€ΠΎΠΊΠ°Π»ΡΠ½Π°Ρ Π½ΠΎΠ΄ΡΠ»ΡΡΠ½Π°Ρ Π³ΠΈΠΏΠ΅ΡΠΏΠ»Π°Π·ΠΈΡ (Π€ΠΠ) ΠΈΠΌΠ΅Π΅Ρ Π½Π΅ΠΏΡΠ°Π²ΠΈΠ»ΡΠ½ΡΡ ΡΠΎΡΠΌΡ (Π² Π²ΠΈΠ΄Π΅ ΡΠ·Π»Π°), ΠΏΡΠΈ Π½Π°ΡΠΈΠ²Π½ΠΎΠΌ ΠΈΡΡΠ»Π΅Π΄ΠΎΠ²Π°Π½ΠΈΠΈ β Π³ΠΈΠΏΠ΅ΡΠ΄Π΅Π½ΡΠ½ΡΠΉ (Π½Π΅Π·Π½Π°ΡΠΈΡΠ΅Π»ΡΠ½ΠΎ Π²ΡΡΠ΅ Π½ΠΎΡΠΌΠ°Π»ΡΠ½ΠΎΠΉ ΠΏΠ»ΠΎΡΠ½ΠΎΡΡΠΈ), ΠΏΡΠΈ ΠΊΠΎΠ½ΡΡΠ°ΡΡΠΈΡΠΎΠ²Π°Π½ΠΈΠΈ Π½Π΅ΡΠ°Π²Π½ΠΎΠΌΠ΅ΡΠ½ΠΎ ΡΡΠΈΠ»ΠΈΠ²Π°Π΅ΡΡΡ.
3) Π Π΅Π³Π΅Π½Π΅ΡΠ°ΡΠΎΡΠ½ΡΠΉ ΡΠ·Π΅Π», Π»ΠΎΠΊΠ°Π»ΡΠ½ΡΠΉ ΡΡΠ°ΡΡΠΎΠΊ ΡΠΈΠ±ΡΠΎΠ·Π° Π»ΠΈΠ±ΠΎ ΠΆΠΈΡΠΎΠ²ΠΎΠΉ ΠΈΠ½ΡΠΈΠ»ΡΡΡΠ°ΡΠΈΠΈ β ΠΏΡΠΈΠ·Π½Π°ΠΊ ΠΏΠ΅ΡΠ΅ΡΠΎΠΆΠ΄Π΅Π½ΠΈΡ ΠΏΠ΅ΡΠ΅Π½ΠΎΡΠ½ΠΎΠΉ ΡΠΊΠ°Π½ΠΈ ΠΏΠΎΠ΄ Π²Π»ΠΈΡΠ½ΠΈΠ΅ΠΌ ΡΠ°Π·Π»ΠΈΡΠ½ΠΎΠ³ΠΎ Ρ Π°ΡΠ°ΠΊΡΠ΅ΡΠ° ΠΈΠ½ΡΠΎΠΊΡΠΈΠΊΠ°ΡΠΈΠ΅ΠΉ ΠΈΠ»ΠΈ ΡΡΠ°Π²ΠΌ, ΠΏΡΠΈΠ·Π½Π°ΠΊ ΡΠΈΡΡΠΎΠ·Π°. ΠΡΠ³Π»ΡΠ΄ΠΈΡ ΠΊΠ°ΠΊ Π»ΠΎΠΊΠ°Π»ΡΠ½ΡΠΉ Π³ΠΈΠΏΠΎ- (ΠΆΠΈΡΠΎΠ²Π°Ρ ΠΈΠ½ΡΠΈΠ»ΡΡΡΠ°ΡΠΈΡ) ΠΈΠ»ΠΈ Π³ΠΈΠΏΠ΅ΡΠ΄Π΅Π½ΡΠ½ΡΠΉ (ΡΠΈΠ±ΡΠΎΠ·) ΡΡΠ°ΡΡΠΎΠΊ.
4) ΠΠ΅ΠΏΠ°ΡΠΎΡΠ΅Π»Π»ΡΠ»ΡΡΠ½ΡΠΉ ΡΠ°ΠΊ (ΠΠ¦Π ). ΠΡΠ³Π»ΡΠ΄ΠΈΡ ΠΊΠ°ΠΊ ΠΎΠ±ΡΠ΅ΠΌΠ½ΠΎΠ΅ ΠΎΠ±ΡΠ°Π·ΠΎΠ²Π°Π½ΠΈΠ΅ Π½Π΅ΠΏΡΠ°Π²ΠΈΠ»ΡΠ½ΠΎΠΉ ΡΠΎΡΠΌΡ, ΡΠ°Π·Π»ΠΈΡΠ½ΡΡ
ΡΠ°Π·ΠΌΠ΅ΡΠΎΠ² (ΠΈΠ½ΠΎΠ³Π΄Π° Π½Π΅ΡΠΊΠΎΠ»ΡΠΊΠΎ Π΄Π΅ΡΡΡΠΊΠΎΠ² ΡΠ°Π½ΡΠΈΠΌΠ΅ΡΡΠΎΠ² Π² ΠΏΠΎΠΏΠ΅ΡΠ΅ΡΠ½ΠΈΠΊΠ΅), ΡΡΡΡΠΊΡΡΡΠ° Π΅Π³ΠΎ Π½Π΅ΠΎΠ΄Π½ΠΎΡΠΎΠ΄Π½Π° β ΠΏΡΠΈ ΠΠ’ ΠΌΠΎΠ³ΡΡ Π±ΡΡΡ Π²ΡΡΠ²Π»Π΅Π½Ρ ΡΡΠ°ΡΡΠΊΠΈ Π½Π΅ΠΊΡΠΎΠ·Π°, ΠΏΠΎΠ»ΠΎΡΡΠΈ (Π½Π΅ ΡΡΠΈΠ»ΠΈΠ²Π°ΡΡΠΈΠ΅ΡΡ ΠΏΡΠΈ ΠΊΠΎΠ½ΡΡΠ°ΡΡΠΈΡΠΎΠ²Π°Π½ΠΈΠΈ).
Π’ΠΊΠ°Π½Ρ ΠΎΠΏΡΡ
ΠΎΠ»ΠΈ Π·Π° ΡΡΠ΅Ρ Ρ
ΠΎΡΠΎΡΠ΅Π³ΠΎ ΠΊΡΠΎΠ²ΠΎΡΠ½Π°Π±ΠΆΠ΅Π½ΠΈΡ ΠΏΠΎΠ²ΡΡΠ°Π΅Ρ ΠΏΠ»ΠΎΡΠ½ΠΎΡΡΡ ΠΏΡΠΈ ΠΊΠΎΠ½ΡΡΠ°ΡΡΠΈΡΠΎΠ²Π°Π½ΠΈΠΈ.
ΠΠ’ΠΠ ΠΠ ΠΠΠΠΠΠ ΠΠ ΠΠ§Π
ΠΠ΅ Π²ΡΠ΅ ΡΠΏΠ΅ΡΠΈΠ°Π»ΠΈΡΡΡ ΡΠΏΠΎΡΠΎΠ±Π½Ρ Π΄ΠΎΡΡΠΎΠ²Π΅ΡΠ½ΠΎ ΠΎΠΏΡΠ΅Π΄Π΅Π»ΠΈΡΡ ΠΈΠ·ΠΌΠ΅Π½Π΅Π½ΠΈΡ Π² ΠΏΠ΅ΡΠ΅Π½ΠΈ, Π²ΡΡΠ²Π»Π΅Π½Π½ΡΠ΅ ΠΏΡΠΈ ΠΊΠΎΠΌΠΏΡΡΡΠ΅ΡΠ½ΠΎΠΉ ΡΠΎΠΌΠΎΠ³ΡΠ°ΡΠΈΠΈ. ΠΡΠΎ Π²ΠΎ ΠΌΠ½ΠΎΠ³ΠΎΠΌ Π·Π°Π²ΠΈΡΠΈΡ ΠΎΡ ΠΎΠΏΡΡΠ° ΡΠ΅Π½ΡΠ³Π΅Π½ΠΎΠ»ΠΎΠ³Π°, ΠΎΡ ΠΊΠ°ΡΠ΅ΡΡΠ²Π° Π²ΡΠΏΠΎΠ»Π½Π΅Π½ΠΈΡ ΠΈΡΡΠ»Π΅Π΄ΠΎΠ²Π°Π½ΠΈΡ. Π ΡΠΎΠΆΠ°Π»Π΅Π½ΠΈΡ, ΠΏΡΠΈ Π²ΡΠΏΠΎΠ»Π½Π΅Π½ΠΈΠΈ ΠΊΠΎΠΌΠΏΡΡΡΠ΅ΡΠ½ΠΎΠΉ ΡΠΎΠΌΠΎΠ³ΡΠ°ΡΠΈΠΈ ΠΈ Π΄ΡΡΠ³ΠΈΡ Π»ΡΡΠ΅Π²ΡΡ ΠΈΡΡΠ»Π΅Π΄ΠΎΠ²Π°Π½ΠΈΠΉ (ΠΎΡΠΎΠ±Π΅Π½Π½ΠΎ Π² ΠΎΡΠ΄Π°Π»Π΅Π½Π½ΡΡ ΠΏΠ΅ΡΠΈΡΠ΅ΡΠΈΠΉΠ½ΡΡ ΠΊΠ»ΠΈΠ½ΠΈΠΊΠ°Ρ ) ΠΈΠ·ΠΌΠ΅Π½Π΅Π½ΠΈΡ ΠΈΠ½ΠΎΠ³Π΄Π° Π±ΡΠ²Π°ΡΡ ΠΏΡΠΎΠΏΡΡΠ΅Π½Ρ, Π»ΠΈΠ±ΠΎ Π½Π΅Π²Π΅ΡΠ½ΠΎ ΠΈΡΡΠΎΠ»ΠΊΠΎΠ²Π°Π½Ρ. ΠΠΎΠΆΠ½ΠΎ Π»ΠΈ ΠΏΠ΅ΡΠ΅ΠΏΡΡΠ°ΡΡ ΠΌΠ΅ΡΠ°ΡΡΠ°Π·Ρ Π² ΠΏΠ΅ΡΠ΅Π½ΠΈ? Π£Π²Ρ, Π½Π΅ΡΠ΅Π΄ΠΊΠΎ ΠΎΠ±ΡΡΠ½ΡΠ΅ Π΄ΠΎΠ±ΡΠΎΠΊΠ°ΡΠ΅ΡΡΠ²Π΅Π½Π½ΡΠ΅ Π³Π΅ΠΌΠ°Π½Π³ΠΈΠΎΠΌΡ ΡΡΠ°ΠΊΡΡΡΡΡΡ ΠΊΠ°ΠΊ ΠΌΠ΅ΡΠ°ΡΡΠ°Π·Ρ, Π»ΠΈΠ±ΠΎ Π½Π°ΠΎΠ±ΠΎΡΠΎΡ. Π ΡΡΠ΄Π΅ ΡΠ»ΡΡΠ°Π΅Π² ΠΊΠΈΡΡΠΎΠ·Π½ΡΠ΅ ΠΌΠ΅ΡΠ°ΡΡΠ°Π·Ρ Π² ΠΏΠ΅ΡΠ΅Π½Ρ ΡΡΠ°ΠΊΡΡΡΡΡΡ ΠΊΠ°ΠΊ ΠΏΡΠΎΡΡΡΠ΅ ΠΊΠΈΡΡΡ, Π΅ΡΠ»ΠΈ ΠΊ ΡΠΎΠΌΡ ΠΆΠ΅ Π½Π΅ ΠΈΡΠΏΠΎΠ»ΡΠ·ΠΎΠ²Π°ΡΡ ΠΊΠΎΠ½ΡΡΠ°ΡΡΠΈΡΠΎΠ²Π°Π½ΠΈΠ΅. Π ΡΠ΅Π»ΠΎΠΌ Π½ΡΠΆΠ½ΠΎ ΠΎΡΠΌΠ΅ΡΠΈΡΡ, ΡΡΠΎ Π΄ΠΈΠ°Π³Π½ΠΎΠ· Β«mts ΠΏΠ΅ΡΠ΅Π½ΠΈΒ» Π΄ΠΎΡΡΠ°ΡΠΎΡΠ½ΠΎ ΡΠ»ΠΎΠΆΠ½ΡΠΉ Π² ΠΏΠ»Π°Π½Π΅ Π΄ΠΈΡΡΠ΅ΡΠ΅Π½ΡΠΈΡΠΎΠ²ΠΊΠΈ Ρ Π΄ΡΡΠ³ΠΈΠΌΠΈ ΠΌΠ½ΠΎΠΆΠ΅ΡΡΠ²Π΅Π½Π½ΡΠΌΠΈ ΠΎΡΠ°Π³ΠΎΠ²ΡΠΌΠΈ ΠΈΠ·ΠΌΠ΅Π½Π΅Π½ΠΈΡΠΌΠΈ.
ΠΡΠΎΡΠΎΠ΅ ΠΊΠΎΠ½ΡΡΠ»ΡΡΠ°ΡΠΈΠ²Π½ΠΎΠ΅ ΠΌΠ½Π΅Π½ΠΈΠ΅ Π²ΡΠ°ΡΠ°, ΠΎΠ±Π»Π°Π΄Π°ΡΡΠ΅Π³ΠΎ ΠΎΠΏΡΡΠΎΠΌ Π² Π°Π½Π°Π»ΠΈΠ·Π΅ ΠΠ’-ΠΈΡΡΠ»Π΅Π΄ΠΎΠ²Π°Π½ΠΈΠΉ Π±ΡΡΡΠ½ΠΎΠΉ ΠΏΠΎΠ»ΠΎΡΡΠΈ, Π²ΡΠ΅Π³Π΄Π° ΠΏΠΎΠ»Π΅Π·Π½ΠΎ β Π·Π°ΠΊΠ»ΡΡΠ΅Π½ΠΈΠ΅ ΠΏΠΎ ΠΈΡΡΠ»Π΅Π΄ΠΎΠ²Π°Π½ΠΈΡ Π΄Π°ΡΡ ΡΠΏΠ΅ΡΠΈΠ°Π»ΠΈΡΡ, ΠΈΠΌΠ΅ΡΡΠΈΠΉ Π²ΡΡΡΡΡ Π²ΡΠ°ΡΠ΅Π±Π½ΡΡ ΠΊΠ°ΡΠ΅Π³ΠΎΡΠΈΡ ΠΈΠ»ΠΈ Π½Π°ΡΡΠ½ΠΎΠ΅ Π·Π²Π°Π½ΠΈΠ΅, ΠΏΠΎΡΠ»Π΅ ΠΏΠΎΠ΄ΡΠΎΠ±Π½ΠΎΠ³ΠΎ ΠΎΠ·Π½Π°ΠΊΠΎΠΌΠ»Π΅Π½ΠΈΡ Ρ ΠΈΡΡΠΎΡΠΈΠ΅ΠΉ Π·Π°Π±ΠΎΠ»Π΅Π²Π°Π½ΠΈΡ, Ρ ΡΠ΅Π·ΡΠ»ΡΡΠ°ΡΠ°ΠΌΠΈ Π»Π°Π±ΠΎΡΠ°ΡΠΎΡΠ½ΡΡ
ΡΠ΅ΡΡΠΎΠ² ΠΈ Ρ.
Π΄. Π ΡΠ΅Π·ΡΠ»ΡΡΠ°ΡΠ΅ ΡΠΎΡΠ½ΠΎΡΡΡ Π΄ΠΈΠ°Π³Π½ΠΎΡΡΠΈΠΊΠΈ ΡΡΠ°Π½ΠΎΠ²ΠΈΡΡΡ Π²ΡΡΠ΅, ΡΡΠΎ ΠΏΠΎΠ·Π²ΠΎΠ»ΡΠ΅Ρ ΠΎΠΏΡΠ΅Π΄Π΅Π»ΠΈΡΡΡΡ Ρ Π΄Π°Π»ΡΠ½Π΅ΠΉΡΠΈΠΌ Π½Π°ΠΏΡΠ°Π²Π»Π΅Π½ΠΈΠ΅ΠΌ Π»Π΅ΡΠ΅Π½ΠΈΡ (Π»ΠΈΠ±ΠΎ Π½Π°Π·Π½Π°ΡΠΈΡΡ Π΄ΠΎΠΏΠΎΠ»Π½ΠΈΡΠ΅Π»ΡΠ½ΡΠ΅ ΠΈΠ½ΡΡΡΡΠΌΠ΅Π½ΡΠ°Π»ΡΠ½ΡΠ΅ ΠΈ ΠΈΠ½ΡΠ΅ Π΄ΠΈΠ°Π³Π½ΠΎΡΡΠΈΡΠ΅ΡΠΊΠΈΠ΅ ΠΈΡΡΠ»Π΅Π΄ΠΎΠ²Π°Π½ΠΈΡ).
Π§ΡΠΎΠ±Ρ ΠΏΠΎΠ»ΡΡΠΈΡΡ ΠΡΠΎΡΠΎΠ΅ ΠΌΠ½Π΅Π½ΠΈΠ΅ ΠΏΠΎ ΡΠ΅Π·ΡΠ»ΡΡΠ°ΡΠ°ΠΌ ΠΠ’ ΠΈΠ»ΠΈ ΠΠ Π’, ΠΌΠΎΠΆΠ½ΠΎ ΠΎΠ±ΡΠ°ΡΠΈΡΡΡΡ Π² ΠΠ°ΡΠΈΠΎΠ½Π°Π»ΡΠ½ΡΡ ΡΠ΅Π»Π΅ΡΠ°Π΄ΠΈΠΎΠ»ΠΎΠ³ΠΈΡΠ΅ΡΠΊΡΡ ΡΠ΅ΡΡ. Π‘Π΄Π΅Π»Π°ΡΡ ΡΡΠΎ ΠΌΠΎΠΆΠ½ΠΎ ΡΠ΄Π°Π»Π΅Π½Π½ΠΎ, Π½Π΅ Π²ΡΡ ΠΎΠ΄Ρ ΠΈΠ· Π΄ΠΎΠΌΠ°. ΠΠΎΡΡΠ°ΡΠΎΡΠ½ΠΎ ΠΈΠΌΠ΅ΡΡ ΡΠ΅Π·ΡΠ»ΡΡΠ°ΡΡ ΠΈΡΡΠ»Π΅Π΄ΠΎΠ²Π°Π½ΠΈΡ Π½Π° Π΄ΠΈΡΠΊΠ΅. Π ΡΠ΅ΡΠ΅Π½ΠΈΠ΅ 24 ΡΠ°ΡΠΎΠ² Ρ ΠΌΠΎΠΌΠ΅Π½ΡΠ° ΠΎΡΠΏΡΠ°Π²ΠΊΠΈ ΡΠ½ΠΈΠΌΠΊΠΎΠ² Π²Ρ ΠΏΠΎΠ»ΡΡΠΈΡΠ΅ ΠΊΠ²Π°Π»ΠΈΡΠΈΡΠΈΡΠΎΠ²Π°Π½Π½ΡΠΉ ΠΏΠ΅ΡΠ΅ΡΠΌΠΎΡΡ ΠΠ’ ΠΈΠ»ΠΈ ΠΠ Π’ Ρ ΠΏΠΎΠ΄ΡΠΎΠ±Π½ΡΠΌ ΠΎΠΏΠΈΡΠ°Π½ΠΈΠ΅ΠΌ Π² Π²ΠΈΠ΄Π΅ Π·Π°ΠΊΠ»ΡΡΠ΅Π½ΠΈΡ Ρ ΠΏΠΎΠ΄ΠΏΠΈΡΡΡ Π²ΡΡΠΎΠΊΠΎΠΊΠ²Π°Π»ΠΈΡΠΈΡΠΈΡΠΎΠ²Π°Π½Π½ΠΎΠ³ΠΎ Π΄ΠΈΠ°Π³Π½ΠΎΡΡΠ°.
Π§ΠΈΡΠ°ΡΡ ΠΏΠΎΠ΄ΡΠΎΠ±Π½Π΅Π΅ ΠΎ ΠΡΠΎΡΠΎΠΌ ΠΌΠ½Π΅Π½ΠΈΠΈ
Π§ΠΈΡΠ°ΡΡ ΠΏΠΎΠ΄ΡΠΎΠ±Π½Π΅Π΅ ΠΎ ΡΠ΅Π»Π΅ΠΌΠ΅Π΄ΠΈΡΠΈΠ½Π΅
ΠΠ°Π½Π΄ΠΈΠ΄Π°Ρ ΠΌΠ΅Π΄ΠΈΡΠΈΠ½ΡΠΊΠΈΡ Π½Π°ΡΠΊ, ΡΠ»Π΅Π½ ΠΠ²ΡΠΎΠΏΠ΅ΠΉΡΠΊΠΎΠ³ΠΎ ΠΎΠ±ΡΠ΅ΡΡΠ²Π° ΡΠ°Π΄ΠΈΠΎΠ»ΠΎΠ³ΠΎΠ²
ΡΡΠΎ ΡΡΠΎ ΡΠ°ΠΊΠΎΠ΅, Π»Π΅ΡΠ΅Π½ΠΈΠ΅, ΠΏΡΠΈΡΠΈΠ½Ρ Π² ΠΏΡΠ°Π²ΠΎΠΉ Π΄ΠΎΠ»Π΅
Π‘ΠΎΡΡΠΎΡΠ½ΠΈΠ΅, ΠΏΡΠΈ ΠΊΠΎΡΠΎΡΠΎΠΌ Π² ΡΠΊΠ°Π½ΡΡ
ΠΏΠ΅ΡΠ΅Π½ΠΈ ΠΎΡΠΊΠ»Π°Π΄ΡΠ²Π°ΡΡΡΡ ΠΊΠ°Π»ΡΡΠΈΠ΅Π²ΡΠ΅ ΡΠΎΠ»ΠΈ, Π½Π°Π·ΡΠ²Π°ΡΡ ΠΊΠ°Π»ΡΡΠΈΠ½ΠΎΠ·ΠΎΠΌ. Π Π°Π·Π»ΠΈΡΠ°ΡΡ ΠΌΠ΅ΡΠ°Π±ΠΎΠ»ΠΈΡΠ΅ΡΠΊΠΈΠ΅, ΠΌΠ΅ΡΠ°ΡΡΠ°ΡΠΈΡΠ΅ΡΠΊΠΈΠ΅ ΠΈ ΡΠΈΡΡΠ΅ΠΌΠ½ΡΠ΅ ΠΎΠ±ΡΠ°Π·ΠΎΠ²Π°Π½ΠΈΡ. ΠΠ°Π»ΡΡΠΈΠ½Π°ΡΡ Π² ΠΏΠ΅ΡΠ΅Π½ΠΈ Π²ΠΎΠ·Π½ΠΈΠΊΠ°ΡΡ ΡΠ΅Π΄ΠΊΠΎ, ΠΈΡ
ΡΡΠΆΠ΅Π»ΠΎ Π²ΡΡΠ²ΠΈΡΡ ΠΈ ΡΡΡΡΠ°Π½ΠΈΡΡ.
Π Π°ΡΡΡΡΠΎΠΉΡΡΠ²Π° ΡΠΎΠ»Π΅Π²ΠΎΠ³ΠΎ ΠΎΠ±ΠΌΠ΅Π½Π° Π²ΠΎΠ·Π½ΠΈΠΊΠ°ΡΡ Π²ΡΠ»Π΅Π΄ΡΡΠ²ΠΈΠ΅ ΠΈΠ·ΠΌΠ΅Π½Π΅Π½ΠΈΡ ΠΏΠΎΡΡΡΠΏΠ»Π΅Π½ΠΈΡ ΠΌΠΈΠ½Π΅ΡΠ°Π»ΠΎΠ² Π² ΠΎΡΠ³Π°Π½ΠΈΠ·ΠΌ ΠΈΠ»ΠΈ Π²ΡΠ²Π΅Π΄Π΅Π½ΠΈΡ ΠΈΡ ΠΈΠ· ΠΎΡΠ³Π°Π½ΠΈΠ·ΠΌΠ°, Π° ΡΠ°ΠΊΠΆΠ΅ ΠΏΡΠΈ Π½Π°ΡΡΡΠ΅Π½ΠΈΠΈ ΡΠ°ΡΠΏΡΠ΅Π΄Π΅Π»Π΅Π½ΠΈΡ ΠΈΠΎΠ½ΠΎΠ² ΠΌΠ΅ΠΆΠ΄Ρ ΠΊΠ»Π΅ΡΠΊΠ°ΠΌΠΈ ΠΈ Π²Π½Π΅ΠΊΠ»Π΅ΡΠΎΡΠ½ΠΎΠΉ ΡΡΠ΅Π΄ΠΎΠΉ. ΠΠ°Π»ΡΡΠΈΠ½ΠΎΠ· ΡΠ°Π·Π²ΠΈΠ²Π°Π΅ΡΡΡ Π² ΡΠ΅Π·ΡΠ»ΡΡΠ°ΡΠ΅ ΡΠ°ΡΡΡΡ ΡΡΡΠ΅ΡΡΠΎΠ², Π²ΡΠ΅Π΄Π½ΡΡ ΠΏΡΠΈΠ²ΡΡΠ΅ΠΊ, Π½Π΅ΠΏΡΠ°Π²ΠΈΠ»ΡΠ½ΠΎΠ³ΠΎ ΠΏΠΈΡΠ°Π½ΠΈΡ.
ΠΠ°Π»ΡΡΠΈΠ½Π°ΡΡ ΠΎΠ±Π½Π°ΡΡΠΆΠΈΠ²Π°ΡΡ ΡΠ»ΡΡΠ°ΠΉΠ½ΠΎ Π²ΠΎ Π²ΡΠ΅ΠΌΡ ΠΈΠ½ΡΡΡΡΠΌΠ΅Π½ΡΠ°Π»ΡΠ½ΠΎΠ³ΠΎ ΠΈΡΡΠ»Π΅Π΄ΠΎΠ²Π°Π½ΠΈΡ ΠΏΠ°ΡΠΈΠ΅Π½ΡΠ°. ΠΠ½ΠΎΠ³ΠΈΠ΅ ΠΈΠ· Π½ΠΈΡ Π΄Π°ΠΆΠ΅ Π½Π΅ ΠΏΠΎΠ΄ΠΎΠ·ΡΠ΅Π²Π°ΡΡ ΠΎ ΡΠΎΠΌ, ΡΡΠΎ Ρ Π½ΠΈΡ Π΅ΡΡΡ ΡΠΎΠ»Π΅Π²ΡΠ΅ ΠΎΡΠ»ΠΎΠΆΠ΅Π½ΠΈΡ Π² ΠΏΠ΅ΡΠ΅Π½ΠΈ.
ΠΡΠ½ΠΎΠ²Π½ΡΠ΅ ΡΠ²Π΅Π΄Π΅Π½ΠΈΡ
ΠΠ½ΠΎΠ³ΠΈΡ
ΠΏΠ°ΡΠΈΠ΅Π½ΡΠΎΠ², ΠΊΠΎΡΠΎΡΡΠ΅ ΡΡΠΎΠ»ΠΊΠ½ΡΠ»ΠΈΡΡ Ρ Π΄Π°Π½Π½ΠΎΠΉ ΠΏΠ°ΡΠΎΠ»ΠΎΠ³ΠΈΠ΅ΠΉ, ΠΈΠ½ΡΠ΅ΡΠ΅ΡΡΠ΅Ρ Π²ΠΎΠΏΡΠΎΡ ΠΎ ΡΠΎΠΌ, ΡΡΠΎ ΡΠ°ΠΊΠΎΠ΅ ΠΊΠ°Π»ΡΡΠΈΠ½Π°Ρ ΠΏΠ΅ΡΠ΅Π½ΠΈ. Π£ΡΠ°ΡΡΠΊΠΈ ΡΠΊΠ°Π½Π΅ΠΉ ΠΏΠ΅ΡΠ΅Π½ΠΈ ΡΠ°Π·Π½ΠΎΠ³ΠΎ ΡΠ°Π·ΠΌΠ΅ΡΠ°, Π³Π΄Π΅ ΠΎΡΠΊΠ»Π°Π΄ΡΠ²Π°ΡΡΡΡ ΡΠΎΠ»ΠΈ ΠΊΠ°Π»ΡΡΠΈΡ, β ΡΡΠΎ ΠΊΠ°Π»ΡΡΠΈΠ½Π°ΡΡ. ΠΠ½ΠΈ ΠΌΠΎΠ³ΡΡ ΠΏΠΎΡΠ²Π»ΡΡΡΡΡ Π² ΡΠΊΠ°Π½ΡΡ
Π»ΡΠ³ΠΊΠΈΡ
, ΡΠ΅Π»Π΅Π·Π΅Π½ΠΊΠΈ, ΠΏΡΠ΅Π΄ΡΡΠ°ΡΠ΅Π»ΡΠ½ΠΎΠΉ ΠΆΠ΅Π»Π΅Π·Ρ ΠΈ Ρ. Π΄. Π§Π°ΡΠ΅ Π²ΡΠ΅Π³ΠΎ ΡΠΎΠ»Π΅Π²ΡΠ΅ ΠΎΡΠ»ΠΎΠΆΠ΅Π½ΠΈΡ Π²ΡΠΎΡΠΈΡΠ½ΡΠ΅ ΠΈ Π²ΠΎΠ·Π½ΠΈΠΊΠ°ΡΡ Π½Π° ΠΌΠ΅ΡΡΠ΅ Π΄Π»ΠΈΡΠ΅Π»ΡΠ½ΠΎΠ³ΠΎ Π²ΠΎΡΠΏΠ°Π»ΠΈΡΠ΅Π»ΡΠ½ΠΎΠ³ΠΎ ΠΏΡΠΎΡΠ΅ΡΡΠ°. ΠΠ°Π»ΡΡΠΈΠ½ΠΎΠ· (ΠΎΠ±ΡΠ·Π²Π΅ΡΡΠ²Π»Π΅Π½ΠΈΠ΅) ΠΏΡΠΎΡΠ²Π»ΡΠ΅ΡΡΡ Π½Π° ΡΠΎΠ½Π΅ ΠΈΠ½ΡΠ΅ΠΊΡΠΈΠΎΠ½Π½ΡΡ
Π·Π°Π±ΠΎΠ»Π΅Π²Π°Π½ΠΈΠΉ, Π½ΠΎΠ²ΠΎΠΎΠ±ΡΠ°Π·ΠΎΠ²Π°Π½ΠΈΠΉ Π² ΠΏΠ΅ΡΠ΅Π½ΠΈ, Π³Π΅Π»ΡΠΌΠΈΠ½ΡΠΎΠ·Π° (Π·Π°ΡΠ°ΠΆΠ΅Π½ΠΈΠ΅ Π³Π»ΠΈΡΡΠ°ΠΌΠΈ).
ΠΡΠΎΠΌΠ΅ ΡΠΎΠ³ΠΎ, ΠΏΠ°ΡΠΎΠ»ΠΎΠ³ΠΈΡΠ΅ΡΠΊΠΈΠ΅ ΠΎΡΠ»ΠΎΠΆΠ΅Π½ΠΈΡ ΡΠΊΠ°ΠΏΠ»ΠΈΠ²Π°ΡΡΡΡ Π²ΡΠ»Π΅Π΄ΡΡΠ²ΠΈΠ΅ ΠΌΠ΅Ρ
Π°Π½ΠΈΡΠ΅ΡΠΊΠΈΡ
ΡΡΠ°Π²ΠΌ.
ΠΠ°Π»ΡΡΠΈΠ½Π°ΡΡ Π² ΠΏΠ΅ΡΠ΅Π½ΠΈ
ΠΠ½ΠΎΠ³ΠΈΠ΅ ΠΌΠ΅Π΄ΠΈΠΊΠΈ ΠΏΡΠΈΠ΄Π΅ΡΠΆΠΈΠ²Π°ΡΡΡΡ ΠΌΠ½Π΅Π½ΠΈΡ, ΡΡΠΎ ΠΊΠ°Π»ΡΡΠΈΠ½ΠΎΠ· ΡΠ°Π·Π²ΠΈΠ²Π°Π΅ΡΡΡ Π²ΡΠ»Π΅Π΄ΡΡΠ²ΠΈΠ΅ ΡΠ°ΡΡΡΡΠΎΠΉΡΡΠ²Π° ΠΌΠ΅ΡΠ°Π±ΠΎΠ»ΠΈΠ·ΠΌΠ° ΠΊΠ°Π»ΡΡΠΈΡ. ΠΠ΄Π½Π°ΠΊΠΎ ΡΡΡΠ΅ΡΡΠ²ΡΠ΅Ρ Π°Π»ΡΡΠ΅ΡΠ½Π°ΡΠΈΠ²Π½ΠΎΠ΅ ΠΌΠ½Π΅Π½ΠΈΠ΅, ΡΠΎΠ³Π»Π°ΡΠ½ΠΎ ΠΊΠΎΡΠΎΡΠΎΠΌΡ ΠΎΡΠ³Π°Π½ΠΈΠ·ΠΌ ΡΠΎΡΠΌΠΈΡΡΠ΅Ρ ΡΠΎΠ»Π΅Π²ΡΠ΅ ΠΎΡΠ»ΠΎΠΆΠ΅Π½ΠΈΡ Π½Π° ΠΏΠΎΠ²ΡΠ΅ΠΆΠ΄ΡΠ½Π½ΠΎΠΌ ΡΡΠ°ΡΡΠΊΠ΅, ΡΡΠΎΠ±Ρ ΠΎΡΡΠ°Π½ΠΎΠ²ΠΈΡΡ ΡΠ°ΡΠΏΡΠΎΡΡΡΠ°Π½Π΅Π½ΠΈΠ΅ ΠΏΠ°ΡΠΎΠ»ΠΎΠ³ΠΈΡΠ΅ΡΠΊΠΎΠ³ΠΎ ΠΏΡΠΎΡΠ΅ΡΡΠ°.
Π‘ΠΎΠ»ΠΈ ΠΊΠ°Π»ΡΡΠΈΡ ΠΌΠΎΠ³ΡΡ ΠΏΠΎΡΠ²Π»ΡΡΡΡΡ Π² ΠΏΡΠ°Π²ΠΎΠΉ Π΄ΠΎΠ»Π΅, Π»Π΅Π²ΠΎΠΉ Π΄ΠΎΠ»Π΅ ΠΏΠ΅ΡΠ΅Π½ΠΈ ΠΈΠ»ΠΈ ΠΈΡ ΡΡΠ°ΡΡΠΊΠ°Ρ (Π½Π°ΠΏΡΠΈΠΌΠ΅Ρ, 2 ΡΠ΅Π³ΠΌΠ΅Π½Ρ Π»Π΅Π²ΠΎΠΉ Π΄ΠΎΠ»ΠΈ), ΠΊΡΠΎΠ²Π΅Π½ΠΎΡΠ½ΡΡ ΡΠΎΡΡΠ΄Π°Ρ ΠΈΠ»ΠΈ ΠΆΠ΅Π»ΡΠ΅Π²ΡΠ²ΠΎΠ΄ΡΡΠΈΡ ΠΏΡΠΎΡΠΎΠΊΠ°Ρ . Π’Π²ΡΡΠ΄ΡΠ΅ ΠΊΠΎΠΌΠΊΠΈ, ΠΊΠΎΡΠΎΡΡΠ΅ ΡΠΎΡΡΠΎΡΡ ΠΈΠ· ΡΠΎΠ»Π΅ΠΉ ΠΊΠ°Π»ΡΡΠΈΡ, Π·Π°ΠΌΠ΅ΡΠ°ΡΡ Π·Π΄ΠΎΡΠΎΠ²ΡΠ΅ ΠΏΠ΅ΡΡΠ½ΠΎΡΠ½ΡΠ΅ ΠΊΠ»Π΅ΡΠΊΠΈ (Π³Π΅ΠΏΠ°ΡΠΎΡΠΈΡΡ). ΠΠΏΠ°ΡΠ½Π΅Π΅ Π²ΡΠ΅Π³ΠΎ, ΠΊΠΎΠ³Π΄Π° ΠΌΠ½ΠΎΠ³ΠΎΡΠΈΡΠ»Π΅Π½Π½ΡΠ΅ ΠΎΠ±ΡΠ°Π·ΠΎΠ²Π°Π½ΠΈΡ ΡΠ°Π·ΠΌΠ΅ΡΠ°ΡΡΡΡ ΡΡΠ΄ΠΎΠΌ Ρ Π³Π»Π°Π²Π½ΡΠΌΠΈ ΠΏΡΠΎΡΠΎΠΊΠ°ΠΌΠΈ.
Π’Π°ΠΊΠΈΠΌ ΠΎΠ±ΡΠ°Π·ΠΎΠΌ, ΡΠΎΠ»Π΅Π²ΡΠ΅ ΠΎΠ±ΡΠ°Π·ΠΎΠ²Π°Π½ΠΈΡ β ΡΡΠΎ ΡΠ»Π΅Π΄ΡΡΠ²ΠΈΠ΅ ΠΏΠ΅ΡΠ΅Π½Π΅ΡΡΠ½Π½ΠΎΠ³ΠΎ ΠΏΠ°ΡΠΎΠ»ΠΎΠ³ΠΈΡΠ΅ΡΠΊΠΎΠ³ΠΎ ΠΏΡΠΎΡΠ΅ΡΡΠ°, Π½ΠΎ Π½Π΅ ΡΠ°ΠΌΠΎΡΡΠΎΡΡΠ΅Π»ΡΠ½ΠΎΠ΅ Π·Π°Π±ΠΎΠ»Π΅Π²Π°Π½ΠΈΠ΅. ΠΡΠ³Π°Π½ΠΈΠ·ΠΌ ΡΠΎΡΠΌΠΈΡΡΠ΅Ρ Π±Π»ΡΡΠΊΡ ΠΈΠ· ΡΠΎΠ»Π΅ΠΉ ΠΊΠ°Π»ΡΡΠΈΡ, ΡΡΠΎΠ±Ρ Π²ΠΎΡΠΏΠ°Π»Π΅Π½ΠΈΠ΅ ΠΈΠ»ΠΈ ΠΎΡΠΌΠΈΡΠ°Π½ΠΈΠ΅ ΡΠΊΠ°Π½Π΅ΠΉ Π½Π΅ ΡΠ°ΡΠΏΡΠΎΡΡΡΠ°Π½ΡΠ»ΠΎΡΡ Π΄Π°Π»ΡΡΠ΅.
ΠΠ΅Π΄ΠΈΠΊΠΈ Π²ΡΠ΄Π΅Π»ΡΡΡ ΡΠ»Π΅Π΄ΡΡΡΠΈΠ΅ Π²ΠΈΠ΄Ρ ΠΊΠ°Π»ΡΡΠΈΠ½Π°ΡΠΎΠ² Π² ΠΏΠ΅ΡΠ΅Π½ΠΈ:
- Π΅Π΄ΠΈΠ½ΠΈΡΠ½ΡΠ΅,
- ΠΌΠ½ΠΎΠΆΠ΅ΡΡΠ²Π΅Π½Π½ΡΠ΅,
- Π»ΠΈΠ½Π΅ΠΉΠ½ΡΠ΅,
- ΠΊΡΡΠΏΠ½ΡΠ΅,
- ΠΌΠ΅Π»ΠΊΠΈΠ΅.
ΠΠ΄ΠΈΠ½ΠΈΡΠ½ΡΠΉ ΠΊΠ°Π»ΡΡΠΈΠ½Π°Ρ ΠΌΠΎΠΆΠ΅Ρ ΡΡΠΎΡΠΌΠΈΡΠΎΠ²Π°ΡΡΡΡ Π²ΡΠ»Π΅Π΄ΡΡΠ²ΠΈΠ΅ Π³Π΅Π»ΡΠΌΠΈΠ½ΡΠΎΠ·Π°. ΠΡΠΈ ΠΏΠ°ΡΠΎΠ»ΠΎΠ³ΠΈΡΡ , ΠΊΠΎΡΠΎΡΡΠ΅ ΡΠ°ΡΠΏΡΠΎΡΡΡΠ°Π½ΡΡΡΡΡ ΠΏΠΎ Π²ΡΠ΅ΠΌΡ ΠΎΡΠ³Π°Π½ΠΈΠ·ΠΌΡ, Π½Π°Π±Π»ΡΠ΄Π°ΡΡΡΡ ΠΌΠ½ΠΎΠΆΠ΅ΡΡΠ²Π΅Π½Π½ΡΠ΅ ΠΎΡΠ»ΠΎΠΆΠ΅Π½ΠΈΡ.
ΠΠ΅ΡΠ°Π±ΠΎΠ»ΠΈΡΠ΅ΡΠΊΠΈΠΉ ΠΊΠ°Π»ΠΈΡΠΈΠ½ΠΎΠ· Π²ΠΎΠ·Π½ΠΈΠΊΠ°Π΅Ρ ΠΈΠ·-Π·Π° ΡΠΎΠ³ΠΎ, ΡΡΠΎ Π±ΡΡΠ΅ΡΠ½ΡΠ΅ ΡΠΈΡΡΠ΅ΠΌΡ Π½Π΅ΡΡΠΎΠΉΠΊΠΈΠ΅, ΠΊΠ°ΠΊ ΡΠ»Π΅Π΄ΡΡΠ²ΠΈΠ΅, ΠΈΠΎΠ½Ρ ΠΊΠ°Π»ΡΡΠΈΡ Π½Π΅ Π·Π°Π΄Π΅ΡΠΆΠΈΠ²Π°ΡΡΡΡ Π² ΠΊΡΠΎΠ²ΡΠ½ΠΎΠΌ ΡΡΡΠ»Π΅ ΠΈ ΡΠΊΠ°Π½Π΅Π²ΠΎΠΉ ΠΆΠΈΠ΄ΠΊΠΎΡΡΠΈ. ΠΠ΅ΡΠ°ΡΡΠ°ΡΠΈΡΠ΅ΡΠΊΠΈΠ΅ ΠΎΡΠ»ΠΎΠΆΠ΅Π½ΠΈΡ ΠΎΠ±ΡΠ°Π·ΡΡΡΡΡ Π²ΡΠ»Π΅Π΄ΡΡΠ²ΠΈΠ΅ ΡΠ°ΡΡΡΡΠΎΠΉΡΡΠ²Π° ΡΠ½Π΄ΠΎΠΊΡΠΈΠ½Π½ΠΎΠΉ ΡΠ΅Π³ΡΠ»ΡΡΠΈΠΈ ΠΌΠ΅ΡΠ°Π±ΠΎΠ»ΠΈΠ·ΠΌΠ° ΠΊΠ°Π»ΡΡΠΈΡ, Π² ΡΠ΅Π·ΡΠ»ΡΡΠ°ΡΠ΅ ΠΊΠΎΡΠΎΡΠΎΠ³ΠΎ ΠΏΠΎΠ²ΡΡΠ°Π΅ΡΡΡ Π²ΡΡ ΠΎΠ΄ ΠΌΠΈΠ½Π΅ΡΠ°Π»Π° ΠΈΠ· Π΄Π΅ΠΏΠΎ.
Π€Π°ΠΊΡΠΎΡΡ ΡΠ°Π·Π²ΠΈΡΠΈΡ ΠΊΠ°Π»ΡΡΠΈΠ½ΠΎΠ·Π°
ΠΠ°Π»ΡΡΠΈΠ½Π°ΡΡ ΠΏΠ΅ΡΠ΅Π½ΠΈ ΠΌΠΎΠ³ΡΡ ΠΏΠΎΡΠ²Π»ΡΡΡΡΡ Π² ΡΠ΅Π·ΡΠ»ΡΡΠ°ΡΠ΅ ΡΠ°Π·Π»ΠΈΡΠ½ΡΡ ΠΏΠ°ΡΠΎΠ»ΠΎΠ³ΠΈΠΉ. Π‘ΠΎΠ»Π΅Π²ΡΠ΅ ΠΎΡΠ»ΠΎΠΆΠ΅Π½ΠΈΡ Π² ΡΠΊΠ°Π½ΡΡ ΠΏΠ°ΡΠ΅Π½Ρ ΠΈΠΌΡ ΠΆΠ΅Π»Π΅Π·Ρ Π²ΠΎΠ·Π½ΠΈΠΊΠ°ΡΡ Π½Π° ΡΠΎΠ½Π΅ Π΄Π»ΠΈΡΠ΅Π»ΡΠ½ΡΡ ΠΈ ΡΡΠΆΡΠ»ΡΡ Π²ΠΎΡΠΏΠ°Π»ΠΈΡΠ΅Π»ΡΠ½ΡΡ ΠΏΡΠΎΡΠ΅ΡΡΠΎΠ². ΠΠΎΡΠΏΠ°Π»Π΅Π½ΠΈΠ΅ ΠΏΡΠΎΠ²ΠΎΡΠΈΡΡΡΡ Π»ΡΠ±ΡΠ΅ Π·Π°Π±ΠΎΠ»Π΅Π²Π°Π½ΠΈΡ.
ΠΠ°Π»ΡΡΠΈΠ½ΠΎΠ· ΡΠ°ΡΡΠΎ ΠΏΡΠΎΠ²ΠΎΡΠΈΡΡΡΡ ΠΏΠ°ΡΠ°Π·ΠΈΡΠ°ΡΠ½ΡΠ΅ Π±ΠΎΠ»Π΅Π·Π½ΠΈ
ΠΡΠΈΡΠΈΠ½Ρ ΠΊΠ°Π»ΡΡΠΈΠ½ΠΎΠ·Π°:
- Π Π°ΡΡΡΡΠΎΠΉΡΡΠ²Π° ΠΌΠ΅ΡΠ°Π±ΠΎΠ»ΠΈΠ·ΠΌΠ° (Π² ΡΠΎΠΌ ΡΠΈΡΠ»Π΅ Π½Π°ΡΡΡΠ΅Π½ΠΈΠ΅ ΠΎΠ±ΠΌΠ΅Π½Π° ΠΊΠ°Π»ΡΡΠΈΡ).

- ΠΠ½Π²Π°Π·ΠΈΠΎΠ½Π½ΡΠ΅ Π±ΠΎΠ»Π΅Π·Π½ΠΈ (Π·Π°Π±ΠΎΠ»Π΅Π²Π°Π½ΠΈΡ, ΠΊΠΎΡΠΎΡΡΠ΅ ΠΏΡΠΎΠ²ΠΎΡΠΈΡΡΡΡ Π³Π΅Π»ΡΠΌΠΈΠ½ΡΡ ΠΈ ΡΠ»Π΅Π½ΠΈΡΡΠΎΠ½ΠΎΠ³ΠΈΠ΅).
- ΠΠΎΡΠΏΠ°Π»ΠΈΡΠ΅Π»ΡΠ½ΠΎΠ΅ ΠΏΠΎΡΠ°ΠΆΠ΅Π½ΠΈΠ΅ ΠΏΠ΅ΡΠ΅Π½ΠΈ, ΠΊΠΎΡΠΎΡΠΎΠ΅ ΠΏΡΠΎΠ²ΠΎΡΠΈΡΡΡΡ ΡΠ°Π·Π½ΡΠ΅ Π²ΠΎΠ·Π±ΡΠ΄ΠΈΡΠ΅Π»ΠΈ.
- ΠΠΈΡΡΡΠ½ΡΠ΅ Π³Π΅ΠΏΠ°ΡΠΈΡΡ Ρ ΠΎΡΡΡΡΠΌ ΠΈΠ»ΠΈ Ρ ΡΠΎΠ½ΠΈΡΠ΅ΡΠΊΠΈΠΌ ΡΠ΅ΡΠ΅Π½ΠΈΠ΅ΠΌ ΠΈ Π΅Π³ΠΎ Π΄Π»ΠΈΡΠ΅Π»ΡΠ½Π°Ρ ΡΠ΅ΡΠ°ΠΏΠΈΡ.
- ΠΡΠ»ΠΎΠΆΠ½Π΅Π½ΠΈΠ΅ ΡΡΠ±Π΅ΡΠΊΡΠ»ΡΠ·Π°.
- ΠΠ°ΠΌΠ΅ΡΠ΅Π½ΠΈΠ΅ Π³Π΅ΠΏΠ°ΡΠΎΡΠΈΡΠΎΠ² ΠΊΠ°Π»ΡΡΠΈΠ΅ΠΌ.
ΠΠ°ΠΆΠ΅ ΠΏΡΠΈ Π½Π΅Π·Π½Π°ΡΠΈΡΠ΅Π»ΡΠ½ΡΡ Π²ΠΎΡΠΏΠ°Π»ΠΈΡΠ΅Π»ΡΠ½ΡΡ ΡΠ΅Π°ΠΊΡΠΈΡΡ ΠΏΠΎΠ²ΡΡΠ°Π΅ΡΡΡ Π²Π΅ΡΠΎΡΡΠ½ΠΎΡΡΡ ΠΎΠ±ΡΠ°Π·ΠΎΠ²Π°Π½ΠΈΡ ΡΠΎΠ»Π΅Π²ΡΡ ΠΎΡΠ»ΠΎΠΆΠ΅Π½ΠΈΠΉ. ΠΠΎΠ²ΠΎΠ»ΡΠ½ΠΎ ΡΠ°ΡΡΠΎ ΠΊΠ°Π»ΡΡΠΈΠ½ΠΎΠ· Π²ΠΎΠ·Π½ΠΈΠΊΠ°Π΅Ρ Π½Π° ΡΠΎΠ½Π΅ ΠΏΠ°ΡΠ°Π·ΠΈΡΠ°ΡΠ½ΡΡ Π·Π°Π±ΠΎΠ»Π΅Π²Π°Π½ΠΈΠΉ (ΠΌΠ°Π»ΡΡΠΈΡ, Π°ΠΌΠ΅Π±ΠΈΠ°Π·, ΡΡ ΠΈΠ½ΠΎΠΊΠΎΠΊΠΊΠΎΠ· ΠΈ Ρ. Π΄.). ΠΠ°ΡΠΈΠ΅Π½Ρ Π΄Π»ΠΈΡΠ΅Π»ΡΠ½ΠΎΠ΅ Π²ΡΠ΅ΠΌΡ ΠΌΠΎΠΆΠ΅Ρ Π½Π΅ ΠΏΠΎΠ΄ΠΎΠ·ΡΠ΅Π²Π°ΡΡ ΠΎ ΠΏΡΠΈΡΡΡΡΡΠ²ΠΈΠΈ ΠΏΠ°ΡΠ°Π·ΠΈΡΠΎΠ² Π² ΠΎΡΠ³Π°Π½ΠΈΠ·ΠΌΠ΅. ΠΠ½ΠΈ ΡΠ°ΡΡΠΎ Π·Π°ΡΠ΅Π»ΡΡΡΡΡ Π² ΡΠΊΠ°Π½ΠΈ ΠΏΠ΅ΡΠ΅Π½ΠΈ, ΡΠ°ΠΊ ΠΊΠ°ΠΊ Π² ΡΡΠΎΠΌ ΠΎΡΠ³Π°Π½Π΅ ΠΎΡΠ»ΠΈΡΠ½Π°Ρ ΡΡΠ΅Π΄Π° Π΄Π»Ρ ΠΈΡ ΡΠ°Π·ΠΌΠ½ΠΎΠΆΠ΅Π½ΠΈΡ.
ΠΠ°ΠΊΡΡΠΈΡ ΡΡΠ±Π΅ΡΠΊΡΠ»ΡΠ·Π° ΠΏΡΠΎΠ½ΠΈΠΊΠ°Π΅Ρ Π² ΠΏΠ΅ΡΡΠ½ΠΎΡΠ½ΡΡ ΡΠΊΠ°Π½Ρ ΡΠ΅ΡΠ΅Π· ΠΊΡΠΎΠ²Π΅Π½ΠΎΡΠ½ΡΠ΅ ΠΈ Π»ΠΈΠΌΡΠ°ΡΠΈΡΠ΅ΡΠΊΠΈΠ΅ ΡΠΎΡΡΠ΄Ρ. ΠΠ½ΠΎΠ³Π΄Π° ΠΏΡΠΎΠΈΡΡ ΠΎΠ΄ΠΈΡ ΠΏΠΎΡΠ°ΠΆΠ΅Π½ΠΈΠ΅ ΠΆΠ΅Π»ΡΠ½ΡΡ Ρ ΠΎΠ΄ΠΎΠ². ΠΡΠΈ ΡΡΠ±Π΅ΡΠΊΡΠ»ΡΠ·Π΅ ΠΏΠ΅ΡΠ΅Π½Ρ ΠΏΠΎΠΊΡΡΠ²Π°ΡΡ ΠΌΠ½ΠΎΠΆΠ΅ΡΡΠ²Π΅Π½Π½ΡΠ΅ ΠΌΠΈΠΊΡΠΎΠΊΠ°Π»ΡΡΠΈΠ½Π°ΡΡ, Π° ΡΠΊΠ°Π½ΠΈ ΠΎΡΠ³Π°Π½Π° ΠΏΠΎΡΡΠ΅ΠΏΠ΅Π½Π½ΠΎ ΡΠ°Π·Π»Π°Π³Π°ΡΡΡΡ.
ΠΠΎΡΠ»Π΅ ΠΏΠ΅ΡΠ΅Π½Π΅ΡΡΠ½Π½ΠΎΠ³ΠΎ Π³Π΅ΠΏΠ°ΡΠΈΡΠ° ΡΠΎΠ»ΠΈ ΠΊΠ°Π»ΡΡΠΈΡ Π² ΠΏΠ΅ΡΠ΅Π½ΠΈ ΠΎΡΠΊΠ»Π°Π΄ΡΠ²Π°ΡΡΡΡ ΡΠ°ΡΠ΅ Π²ΡΠ΅Π³ΠΎ.
ΠΠ½ΠΎΠ³Π΄Π° ΠΎΠ±ΡΠ°Π·ΠΎΠ²Π°Π½ΠΈΡ ΠΏΠΎΡΠ²Π»ΡΡΡΡΡ Π² ΠΎΠΏΡΡ
ΠΎΠ»ΡΡ
ΠΆΠ΅Π»Π΅Π·Ρ. Π§Π°ΡΠ΅ Π²ΡΠ΅Π³ΠΎ ΠΏΠ°ΡΠΎΠ»ΠΎΠ³ΠΈΡ ΡΠ²ΠΈΠ΄Π΅ΡΠ΅Π»ΡΡΡΠ²ΡΠ΅Ρ ΠΎ ΡΠ°ΡΡΡΡΠΎΠΉΡΡΠ²Π°Ρ
ΠΌΠ΅ΡΠ°Π±ΠΎΠ»ΠΈΠ·ΠΌΠ° ΠΈ Π½Π°ΡΡΡΠ΅Π½ΠΈΠΈ ΠΎΠ±ΠΌΠ΅Π½Π° ΠΊΠ°Π»ΡΡΠΈΡ.
ΠΠ°Π»ΡΡΠΈΠ½ΠΎΠ·ΠΎΠΌ ΠΎΡΠ³Π°Π½ΠΈΠ·ΠΌ ΡΠ΅Π°Π³ΠΈΡΡΠ΅Ρ Π½Π° ΠΏΠ°ΡΠΎΠ»ΠΎΠ³ΠΈΡΠ΅ΡΠΊΠΈΠΉ ΠΏΡΠΎΡΠ΅ΡΡ. Π’Π°ΠΊΠΈΠΌ ΠΎΠ±ΡΠ°Π·ΠΎΠΌ ΠΎΠ½ ΠΊΠ°ΠΊ Π±ΡΠ΄ΡΠΎ Π·Π°ΠΏΠ΅ΡΠ°ΡΡΠ²Π°Π΅Ρ ΠΏΡΠΎΠ±Π»Π΅ΠΌΠ½ΡΡ ΠΎΠ±Π»Π°ΡΡΡ, ΡΡΠΎΠ±Ρ ΠΎΠ½Π° Π½Π΅ ΡΠ°ΡΠΏΡΠΎΡΡΡΠ°Π½ΡΠ»Π°ΡΡ Π΄Π°Π»ΡΡΠ΅. ΠΡΠ»Π΅Π΄ΡΡΠ²ΠΈΠ΅ Π½Π°ΠΊΠΎΠΏΠ»Π΅Π½ΠΈΡ ΡΠΎΠ»Π΅ΠΉ ΠΊΠ°Π»ΡΡΠΈΡ Π³Π΅ΠΏΠ°ΡΠΎΡΠΈΡΡ ΠΈΠ»ΠΈ ΠΊΠ»Π΅ΡΠΊΠΈ Π΄ΡΡΠ³ΠΎΠ³ΠΎ ΠΎΡΠ³Π°Π½Π° ΠΏΠΎΠ²ΡΠ΅ΠΆΠ΄Π°ΡΡΡΡ, Π½Π°ΡΠΈΠ½Π°Π΅ΡΡΡ ΠΈΡ ΡΡΠ±ΡΠ΅Π²Π°Π½ΠΈΠ΅, Π° Π½Π° Π½Π΅ΠΊΡΠΎΡΠΈΠ·ΠΈΡΠΎΠ²Π°Π½Π½ΡΡ ΡΡΠ°ΡΡΠΊΠ°Ρ ΡΠΎΡΠΌΠΈΡΡΠ΅ΡΡΡ ΡΠΎΠ»ΡΠ½Π°Ρ Π±Π»ΡΡΠΊΠ°. ΠΠΌΠ΅Π½Π½ΠΎ ΡΡΠΎ ΠΎΠ±ΡΠ°Π·ΠΎΠ²Π°Π½ΠΈΠ΅ ΠΏΡΠ΅ΠΏΡΡΡΡΠ²ΡΠ΅Ρ ΡΠ°ΡΠΏΡΠΎΡΡΡΠ°Π½Π΅Π½ΠΈΡ Π²ΠΎΡΠΏΠ°Π»ΠΈΡΠ΅Π»ΡΠ½ΠΎΠ³ΠΎ ΠΏΡΠΎΡΠ΅ΡΡΠ° Π·Π° ΠΏΡΠ΅Π΄Π΅Π»Ρ ΠΎΡΠ³Π°Π½Π°.
Π‘ΠΈΠΌΠΏΡΠΎΠΌΡ
Π‘ΠΈΠΌΠΏΡΠΎΠΌΡ ΠΏΠ°ΡΠΎΠ»ΠΎΠ³ΠΈΠΈ Π²ΡΡΠ°ΠΆΠ΅Π½Ρ ΡΠ»Π°Π±ΠΎ. ΠΡΠΈΠ·Π½Π°ΠΊΠΈ ΠΊΠ°Π»ΡΡΠΈΠ½ΠΎΠ·Π° ΡΡ ΠΎΠ΄Π½Ρ Ρ ΡΠΈΠΌΠΏΡΠΎΠΌΠ°ΠΌΠΈ Π³Π΅ΠΏΠ°ΡΠΈΡΠ°, ΡΠΎΠ³Π΄Π° Π·Π°Π±ΠΎΠ»Π΅Π²Π°Π½ΠΈΠ΅ ΠΈΠΌΠ΅Π΅Ρ ΡΠ»Π΅Π΄ΡΡΡΠΈΠ΅ ΠΏΡΠΎΡΠ²Π»Π΅Π½ΠΈΡ:
- Π£ ΠΏΠ°ΡΠΈΠ΅Π½ΡΠ° ΡΠ½ΠΈΠΆΠ°Π΅ΡΡΡ Π°ΠΏΠΏΠ΅ΡΠΈΡ, ΡΠ°ΡΡΠΎ ΠΏΡΠΎΡΠ²Π»ΡΠ΅ΡΡΡ ΡΠΎΡΠ½ΠΎΡΠ°, ΠΈΠ·Π²Π΅ΡΠΆΠ΅Π½ΠΈΠ΅ ΡΠ²ΠΎΡΠ½ΡΡ ΠΌΠ°ΡΡ, ΠΈΠ½ΠΎΠ³Π΄Π° Ρ ΠΏΡΠΈΠΌΠ΅ΡΡΡ ΠΊΡΠΎΠ²ΠΈ (Π²ΡΠ»Π΅Π΄ΡΡΠ²ΠΈΠ΅ ΡΠ°ΡΡΠΈΡΠ΅Π½ΠΈΡ ΡΠΎΡΡΠ΄ΠΎΠ² ΠΏΠΈΡΠ΅Π²ΠΎΠ΄Π°).
- Π ΠΏΡΠ°Π²ΠΎΠΌ ΠΏΠΎΠ΄ΡΠ΅Π±Π΅ΡΡΠ΅ Ρ Π±ΠΎΠ»ΡΠ½ΠΎΠ³ΠΎ Π²ΠΎΠ·Π½ΠΈΠΊΠ°ΡΡ Π±ΠΎΠ»Π΅Π·Π½Π΅Π½Π½ΡΠ΅ ΠΎΡΡΡΠ΅Π½ΠΈΡ, Π²ΠΎΠ·Π½ΠΈΠΊΠ°ΡΡ ΡΠ°ΡΡΡΡΠΎΠΉΡΡΠ²Π° ΠΏΠΈΡΠ΅Π²Π°ΡΠ΅Π½ΠΈΡ.
- ΠΠ°ΡΠΈΠ΅Π½Ρ Π±ΡΡΡΡΠΎ ΡΡΡΠ°ΡΡ, Ρ Π½Π΅Π³ΠΎ ΠΊΡΡΠΆΠΈΡΡΡ Π³ΠΎΠ»ΠΎΠ²Π°, ΠΏΠΎΠ²ΡΡΠ°Π΅ΡΡΡ ΡΠΌΠΎΡΠΈΠΎΠ½Π°Π»ΡΠ½Π°Ρ Π²ΠΎΠ·Π±ΡΠ΄ΠΈΠΌΠΎΡΡΡ.

- ΠΡΡΡΡΠΎ ΡΠ½ΠΈΠΆΠ°Π΅ΡΡΡ Π²Π΅Ρ, ΠΊΠΎΠΆΠ½ΡΠ΅ ΠΏΠΎΠΊΡΠΎΠ²Ρ ΠΎΠΊΡΠ°ΡΠΈΠ²Π°ΡΡΡΡ Π² ΠΆΡΠ»ΡΡΠΉ ΡΠ²Π΅Ρ.
ΠΡΠΈ Π½Π°Π»ΠΈΡΠΈΠΈ ΠΊΠ°Π»ΡΡΠΈΠ½Π°ΡΠΎΠ² ΠΏΠ°ΡΠΈΠ΅Π½Ρ ΡΡΡΠ°Π΄Π°Π΅Ρ ΠΎΡ ΡΠΎΡΠ½ΠΎΡΡ, ΠΏΡΠΈΡΡΡΠΏΠΎΠ² ΡΠ²ΠΎΡΡ, Π±ΠΎΠ»ΠΈ ΡΠΏΡΠ°Π²Π° ΠΏΠΎΠ΄ ΡΡΠ±ΡΠ°ΠΌΠΈ
ΠΠΎΠ»Ρ ΡΠΏΡΠ°Π²Π° ΠΏΠΎΠ΄ ΡΡΠ±ΡΠ°ΠΌΠΈ Π²ΠΎΠ·Π½ΠΈΠΊΠ°Π΅Ρ Π²ΡΠ»Π΅Π΄ΡΡΠ²ΠΈΠ΅ ΡΠ°ΡΡΡΠΆΠ΅Π½ΠΈΡ Π³Π»ΠΈΡΡΠΎΠ½ΠΎΠ²ΠΎΠΉ ΠΊΠ°ΠΏΡΡΠ»Ρ (ΡΠΈΠ±ΡΠΎΠ·Π½Π°Ρ ΠΎΠ±ΠΎΠ»ΠΎΡΠΊΠ° ΠΏΠ΅ΡΠ΅Π½ΠΈ). ΠΡΠΈ Π½Π°Π»ΠΈΡΠΈΠΈ ΡΠΎΠ»Π΅Π²ΡΡ ΠΎΡΠ»ΠΎΠΆΠ΅Π½ΠΈΠΉ ΡΠΊΠ°ΠΏΠ»ΠΈΠ²Π°Π΅ΡΡΡ ΠΆΠΈΠ΄ΠΊΠΎΡΡΡ Π² Π±ΡΡΡΠ½ΠΎΠΉ ΠΏΠΎΠ»ΠΎΡΡΠΈ. ΠΡΠΎΠΌΠ΅ ΡΠΎΠ³ΠΎ, ΠΌΠ½ΠΎΠ³ΠΈΠ΅ ΠΏΠ°ΡΠΈΠ΅Π½ΡΡ ΠΆΠ°Π»ΡΡΡΡΡ Π½Π° ΡΠ°ΡΡΡΡΠΎΠΉΡΡΠ²Π° ΡΡΡΠ»Π°.
ΠΠ°ΠΏΡΠΈΠΌΠ΅Ρ, ΠΏΡΠΈ ΠΊΠ°Π»ΡΡΠΈΡΠ°Ρ Π² ΠΏΠ΅ΡΠ΅Π½ΠΈ Π½Π° ΡΠΎΠ½Π΅ ΠΏΠ°ΡΠ°Π·ΠΈΡΠ°ΡΠ½ΡΡ Π·Π°Π±ΠΎΠ»Π΅Π²Π°Π½ΠΈΠΉ ΠΏΡΠΎΡΠ²Π»ΡΡΡΡΡ ΡΠ»Π΅Π΄ΡΡΡΠΈΠ΅ ΠΏΡΠΈΠ·Π½Π°ΠΊΠΈ:
- Π‘ΡΡΠ΅ΠΌΠΈΡΠ΅Π»ΡΠ½ΠΎΠ΅ ΡΠ½ΠΈΠΆΠ΅Π½ΠΈΠ΅ ΠΌΠ°ΡΡΡ ΡΠ΅Π»Π°, ΠΏΡΠΈ ΡΡΠΎΠΌ Ρ ΠΏΠ°ΡΠΈΠ΅Π½ΡΠ° Π²ΠΎΠ·Π½ΠΈΠΊΠ°Π΅Ρ Π±ΠΎΠ»Ρ Π² ΠΏΡΠ°Π²ΠΎΠΌ ΠΏΠΎΠ΄ΡΠ΅Π±Π΅ΡΡΠ΅.
- ΠΠ·ΠΌΠ΅Π½Π΅Π½ΠΈΠ΅ ΡΠ°Π·ΠΌΠ΅ΡΠ° ΠΎΡΠ³Π°Π½Π°, ΠΊΠ°ΠΊ ΠΏΡΠ°Π²ΠΈΠ»ΠΎ, Π²ΡΠ»Π΅Π΄ΡΡΠ²ΠΈΠ΅ ΠΏΡΠΎΠ½ΠΈΠΊΠ½ΠΎΠ²Π΅Π½ΠΈΡ Π² ΠΏΠ΅ΡΠ΅Π½Ρ Π»ΡΠΌΠ±Π»ΠΈΠΉ.
- ΠΠΎΠ²ΡΡΠ΅Π½Π½Π°Ρ ΡΠ°Π·Π΄ΡΠ°ΠΆΠΈΡΠ΅Π»ΡΠ½ΠΎΡΡΡ, ΠΎΡΡΡΡΡΡΠ²ΠΈΠ΅ Π°ΠΏΠΏΠ΅ΡΠΈΡΠ°, ΡΠΎΡΠ½ΠΎΡΠ°. ΠΡΠΈ ΠΏΡΠΈΠ·Π½Π°ΠΊΠΈ ΠΏΡΠΎΡΠ²Π»ΡΡΡΡΡ Π² ΡΠ΅Π·ΡΠ»ΡΡΠ°ΡΠ΅ ΠΎΡΡΠ°Π²Π»Π΅Π½ΠΈΡ ΠΎΡΠ³Π°Π½ΠΈΠ·ΠΌΠ° Π±ΠΎΠ»ΡΠ½ΠΎΠ³ΠΎ ΠΌΠ΅ΡΠ°Π±ΠΎΠ»ΠΈΡΠ°ΠΌΠΈ ΠΏΠ°ΡΠ°Π·ΠΈΡΠΎΠ².
- Π£ Π±ΠΎΠ»ΡΠ½ΠΎΠ³ΠΎ Π²ΠΎΠ·Π½ΠΈΠΊΠ°ΡΡ ΡΠ°ΡΡΡΡΠΎΠΉΡΡΠ²Π° ΡΠ½Π°, Π½Π΅ΠΏΡΠΈΡΡΠ½ΡΠΉ Π°ΡΠΎΠΌΠ°Ρ ΠΈΠ·ΠΎ ΡΡΠ°, ΡΠ³ΡΠ΅Π²Π°Ρ ΡΡΠΏΡ, ΡΠ°ΡΡΠΎ Π±ΠΎΠ»ΠΈΡ Π³ΠΎΠ»ΠΎΠ²Π°.
- ΠΡΠ»ΠΈ Π² ΠΏΠ΅ΡΠ΅Π½ΠΈ ΡΡΡΠ΅ΠΌΠΈΡΠ΅Π»ΡΠ½ΠΎ ΡΠ°Π·Π²ΠΈΠ²Π°ΡΡΡΡ ΠΏΠ°ΡΠ°Π·ΠΈΡΡ, ΡΠΎ Π½Π° ΠΏΠΎΠ²ΡΠ΅ΠΆΠ΄ΡΠ½Π½ΡΡ
ΡΡΠ°ΡΡΠΊΠ°Ρ
ΠΏΠΎΡΠ²Π»ΡΡΡΡΡ ΡΡΠ±ΡΡ, ΠΊΠΎΡΠΎΡΡΠ΅ ΡΠ΅ΡΠ΅Π· Π½Π΅ΠΊΠΎΡΠΎΡΠΎΠ΅ Π²ΡΠ΅ΠΌΡ ΠΏΠΎΠΊΡΡΠ²Π°ΡΡΡΡ ΡΠΎΠ»Π΅Π²ΡΠΌΠΈ ΠΎΡΠ»ΠΎΠΆΠ΅Π½ΠΈΡΠΌΠΈ.

ΠΠΎΠ²ΡΠ΅ΠΆΠ΄ΡΠ½Π½ΡΠΉ ΡΡΠ°ΡΡΠΊΠΈ ΠΏΡΠΈ ΠΊΠ°Π»ΡΡΠΈΠ½Π°ΡΠ΅ Π½Π° ΡΠΎΠ½Π΅ ΠΏΠ°ΡΠ°Π·ΠΈΡΠ°ΡΠ½ΡΡ Π±ΠΎΠ»Π΅Π·Π½Π΅ΠΉ ΠΈΠΌΠ΅ΡΡ ΠΏΡΠΎΠ΄ΠΎΠ»Π³ΠΎΠ²Π°ΡΡΡ ΡΠΎΡΠΌΡ.
ΠΡΠ»ΠΈ ΠΊΠ°Π»ΡΡΠΈΠ½ΠΎΠ· Π²ΠΎΠ·Π½ΠΈΠΊ Π½Π° ΡΠΎΠ½Π΅ ΡΡΠ±Π΅ΡΠΊΡΠ»ΡΠ·Π°, ΡΠΎ Ρ Π±ΠΎΠ»ΡΠ½ΠΎΠ³ΠΎ Π±ΡΡΡΡΠΎ ΡΠ½ΠΈΠΆΠ°Π΅ΡΡΡ Π²Π΅Ρ, ΠΎΠ½ ΠΏΠΎΡΡΠΎΡΠ½Π½ΠΎ ΡΡΠ²ΡΡΠ²ΡΠ΅Ρ ΡΠ»Π°Π±ΠΎΡΡΡ, Π±ΠΎΠ»Ρ Π² ΠΏΡΠ°Π²ΠΎΠΌ Π±ΠΎΠΊΡ. ΠΡΠΎΠΌΠ΅ ΡΠΎΠ³ΠΎ, Π½Π΅ΡΠ΅Π΄ΠΊΠΎ ΡΠ²Π΅Π»ΠΈΡΠΈΠ²Π°Π΅ΡΡΡ ΡΠ΅Π»Π΅Π·ΡΠ½ΠΊΠ°. Π Π°Π·ΠΌΠ΅Ρ ΠΏΠ΅ΡΠ΅Π½ΠΈ ΡΠΎΠΆΠ΅ ΡΠ²Π΅Π»ΠΈΡΠΈΠ²Π°Π΅ΡΡΡ, Π° Π΅Ρ ΡΠΊΠ°Π½ΠΈ Π² ΡΠ°Π·Π½ΠΎΠΉ ΡΡΠ΅ΠΏΠ΅Π½ΠΈ ΠΏΠΎΠ²ΡΠ΅ΠΆΠ΄Π΅Π½Ρ ΡΠΎΠ»Π΅Π²ΡΠΌΠΈ ΠΎΡΠ»ΠΎΠΆΠ΅Π½ΠΈΡΠΌΠΈ.
ΠΠ°Π»ΡΡΠΈΠ½ΠΎΠ· Π½Π΅ ΠΏΡΠΎΡΠ²Π»ΡΠ΅ΡΡΡ, ΠΊΠ°ΠΊ ΡΠ°ΠΌΠΎΡΡΠΎΡΡΠ΅Π»ΡΠ½Π°Ρ Π±ΠΎΠ»Π΅Π·Π½Ρ, Π½ΠΎ ΠΈΠ½ΠΎΠ³Π΄Π° Π΅Ρ ΠΏΡΠΈΠ·Π½Π°ΠΊΠΈ Π²ΡΡΠ°ΠΆΠ΅Π½Ρ Π΄ΠΎΡΡΠ°ΡΠΎΡΠ½ΠΎ ΡΡΠΊΠΎ. Π‘Π°ΠΌΠΎΡΡΠΎΡΡΠ΅Π»ΡΠ½ΠΎ ΠΏΠΎ ΡΠΈΠΌΠΏΡΠΎΠΌΠ°ΠΌ ΠΏΠ°ΡΠΈΠ΅Π½Ρ Π½Π΅ ΡΠΌΠΎΠΆΠ΅Ρ Π²ΡΡΠ²ΠΈΡΡ Ρ Π°ΡΠ°ΠΊΡΠ΅Ρ ΠΏΠ°ΡΠΎΠ»ΠΎΠ³ΠΈΠΈ. ΠΠ΅Π΄Ρ Π΅ΡΠ»ΠΈ ΠΎΡΡΡΡΡΡΠ²ΡΠ΅Ρ ΡΠ²ΠΎΡΠ° Ρ Π²ΠΊΡΠ°ΠΏΠ»Π΅Π½ΠΈΡΠΌΠΈ ΠΊΡΠΎΠ²ΠΈ, ΡΠΎ ΠΈΠ½ΡΠΎΠΊΡΠΈΠΊΠ°ΡΠΈΡ Π»Π΅Π³ΠΊΠΎ ΡΠΏΡΡΠ°ΡΡ Ρ ΠΊΠ°Π»ΡΡΠΈΠ½ΠΎΠ·ΠΎΠΌ. ΠΠΎ ΡΡΠΎΠΉ ΠΏΡΠΈΡΠΈΠ½Π΅ ΠΊΠ°ΡΠ΅Π³ΠΎΡΠΈΡΠ΅ΡΠΊΠΈ Π·Π°ΠΏΡΠ΅ΡΠ΅Π½ΠΎ ΠΏΡΠΎΠ²ΠΎΠ΄ΠΈΡΡ ΡΠ°ΠΌΠΎΡΡΠΎΡΡΠ΅Π»ΡΠ½ΠΎΠ΅ Π»Π΅ΡΠ΅Π½ΠΈΠ΅ ΠΈ ΠΏΡΠΈΠ½ΠΈΠΌΠ°ΡΡ Π»ΡΠ±ΡΠ΅ ΠΏΡΠ΅ΠΏΠ°ΡΠ°ΡΡ Π±Π΅Π· Π²Π΅Π΄ΠΎΠΌΠ° Π²ΡΠ°ΡΠ°.
ΠΠΈΠ°Π³Π½ΠΎΡΡΠΈΡΠ΅ΡΠΊΠΈΠ΅ ΠΈΡΡΠ»Π΅Π΄ΠΎΠ²Π°Π½ΠΈΡ
ΠΠ°ΠΊ ΡΠΏΠΎΠΌΠΈΠ½Π°Π»ΠΎΡΡ ΡΠ°Π½Π΅Π΅, ΠΊΠ°Π»ΡΡΠΈΠ½ΠΎΠ·, ΠΊΠ°ΠΊ ΠΏΡΠ°Π²ΠΈΠ»ΠΎ, ΠΈΠΌΠ΅Π΅Ρ ΡΠΊΡΡΡΠΎΠ΅ ΡΠ΅ΡΠ΅Π½ΠΈΠ΅ ΠΈΠ»ΠΈ ΠΏΡΠΎΡΠ²Π»ΡΠ΅ΡΡΡ Π½Π΅Π²ΡΡΠ°ΠΆΠ΅Π½Π½ΡΠΌΠΈ ΡΠΈΠΌΠΏΡΠΎΠΌΠ°ΠΌΠΈ. ΠΠΎΡΡΠΎΠΌΡ ΡΠ°ΡΡΠΎ Π΅Π³ΠΎ Π²ΡΡΠ²Π»ΡΡΡ Π² ΡΠ΅Π·ΡΠ»ΡΡΠ°ΡΠ΅ ΠΏΠ»Π°Π½ΠΎΠ²ΠΎΠ³ΠΎ ΠΎΡΠΌΠΎΡΡΠ°.
ΠΡΠΎΡΠ΅ Π²ΡΠ΅Π³ΠΎ Π²ΡΡΠ²ΠΈΡΡ ΠΊΠ°Π»ΡΡΠΈΠ½ΠΎΠ· Ρ ΠΏΠΎΠΌΠΎΡΡΡ Π£ΠΠ ΠΈΠ»ΠΈ ΠΠ Π’
Π‘ΠΎΠ»ΠΈ ΠΊΠ°Π»ΡΡΠΈΡ ΠΌΠΎΠ³ΡΡ Π΄Π»ΠΈΡΠ΅Π»ΡΠ½ΠΎΠ΅ Π²ΡΠ΅ΠΌΡ ΠΎΡΠΊΠ»Π°Π΄ΡΠ²Π°ΡΡΡΡ Π² Π΄ΠΎΠ»ΡΡ
ΠΏΠ΅ΡΠ΅Π½ΠΈ ΠΏΠΎΡΠ»Π΅ ΠΌΠ΅Ρ
Π°Π½ΠΈΡΠ΅ΡΠΊΠΎΠΉ ΡΡΠ°Π²ΠΌΡ, ΠΏΠ°ΡΠ°Π·ΠΈΡΠ°ΡΠ½ΡΡ
Π±ΠΎΠ»Π΅Π·Π½Π΅ΠΉ, ΡΡΠΆΡΠ»ΠΎΠ³ΠΎ Π²ΠΎΡΠΏΠ°Π»Π΅Π½ΠΈΡ ΠΈ Ρ.
Π΄.
ΠΠ°Π³Π½ΠΈΡΠ½ΠΎ-ΡΠ΅Π·ΠΎΠ½Π°Π½ΡΠ½Π°Ρ ΡΠΎΠΌΠΎΠ³ΡΠ°ΡΠΈΡ β ΡΡΠΎ Π½Π°ΠΈΠ±ΠΎΠ»Π΅Π΅ ΠΏΡΠΎΡΡΠΎΠΉ ΠΌΠ΅ΡΠΎΠ΄ Π²ΡΡΠ²Π»Π΅Π½ΠΈΡ ΠΎΡΠ»ΠΎΠΆΠ΅Π½ΠΈΠΉ. Π Ρ ΠΎΠ΄Π΅ ΠΈΡΡΠ»Π΅Π΄ΠΎΠ²Π°Π½ΠΈΡ ΠΌΠΎΠΆΠ½ΠΎ ΡΠ²ΠΈΠ΄Π΅ΡΡ ΠΊΠ°Π»ΡΡΠΈΡΠΈΠΊΠ°ΡΡ Π² ΡΡΡΡ ΠΌΠ΅ΡΠ½ΠΎΠΌ Π²ΠΈΠ΄Π΅. ΠΠ΄ΠΈΠ½ΡΡΠ²Π΅Π½Π½ΡΠΉ Π½Π΅Π΄ΠΎΡΡΠ°ΡΠΎΠΊ β ΡΡΠΎ Π²ΡΡΠΎΠΊΠ°Ρ ΡΡΠΎΠΈΠΌΠΎΡΡΡ ΠΠ Π’, ΠΏΠΎ ΡΡΠΎΠΉ ΠΏΡΠΈΡΠΈΠ½Π΅ Π΄Π°Π½Π½ΡΠΉ ΠΌΠ΅ΡΠΎΠ΄ Π΄ΠΎΡΡΡΠΏΠ΅Π½ Π΄Π°Π»Π΅ΠΊΠΎ Π½Π΅ Π²ΡΠ΅ΠΌ.
Π‘ ΠΏΠΎΠΌΠΎΡΡΡ ΡΠ΅Π½ΡΠ³Π΅Π½ΠΎΠ»ΠΎΠ³ΠΈΡΠ΅ΡΠΊΠΈΡ ΠΈΡΡΠ»Π΅Π΄ΠΎΠ²Π°Π½ΠΈΠΉ ΡΠΎΠΆΠ΅ ΠΌΠΎΠΆΠ½ΠΎ Π²ΡΡΠ²ΠΈΡΡ ΠΊΠ°Π»ΡΡΠΈΠ½ΠΎΠ·. Π’ΠΎΠ³Π΄Π° Π½Π° ΡΠ½ΠΈΠΌΠΊΠ΅ Π²ΠΈΠ΄Π½Ρ ΠΎΠ±ΡΠ°Π·ΠΎΠ²Π°Π½ΠΈΡ Ρ Π²ΡΡΠΎΠΊΠΎΠΉ ΠΏΠ»ΠΎΡΠ½ΠΎΡΡΡΡ.
Π£ΠΠ ΡΠ΅Π΄ΠΊΠΎ ΠΏΡΠΈΠΌΠ΅Π½ΡΡΡ Π΄Π»Ρ Π²ΡΡΠ²Π»Π΅Π½ΠΈΡ ΠΊΠ°Π»ΡΡΠΈΡΠΈΠΊΠ°ΡΠΎΠ². ΠΠ±ΡΠ°Π·ΠΎΠ²Π°Π½ΠΈΡ Π½Π° ΠΈΠ·ΠΎΠ±ΡΠ°ΠΆΠ΅Π½ΠΈΠΈ Π²ΡΠ³Π»ΡΠ΄ΡΡ ΠΊΠ°ΠΊ ΡΠΏΠ»ΠΎΡΠ½Π΅Π½ΠΈΡ ΠΈΠ»ΠΈ ΡΠ³ΡΡΡΠΊΠΈ Ρ ΡΠ΅Π½ΡΡ. Π£Π»ΡΡΡΠ°Π·Π²ΡΠΊΠΎΠ²ΠΎΠ΅ ΠΈΡΡΠ»Π΅Π΄ΠΎΠ²Π°Π½ΠΈΠ΅ Π½Π΅ ΡΠ°ΠΊΠΎΠ΅ ΡΡΡΠ΅ΠΊΡΠΈΠ²Π½ΠΎΠ΅, ΠΊΠ°ΠΊ 2 ΠΏΡΠ΅Π΄ΡΠ΄ΡΡΠΈΡ , ΠΎΠ΄Π½Π°ΠΊΠΎ Π΅Π³ΠΎ ΡΠΎΠΆΠ΅ ΠΏΡΠΈΠΌΠ΅Π½ΡΡΡ Π΄Π»Ρ Π²ΡΡΠ²Π»Π΅Π½ΠΈΡ ΠΊΠ°Π»ΡΡΠΈΠ½ΠΎΠ·Π°.
ΠΠΎΠΌΠΏΡΡΡΠ΅ΡΠ½Π°Ρ ΡΠΎΠΌΠΎΠ³ΡΠ°ΡΠΈΡ ΠΏΠΎΠ·Π²ΠΎΠ»ΡΠ΅Ρ Π΄ΠΈΠ°Π³Π½ΠΎΡΡΠΈΡΠΎΠ²Π°ΡΡ ΡΠΎΡΠ½ΠΎΠ΅ ΡΠ°Π·ΠΌΠ΅ΡΠ΅Π½ΠΈΠ΅ ΠΈ ΡΠ°Π·ΠΌΠ΅ΡΡ ΡΠΎΠ»Π΅Π²ΡΡ ΠΎΡΠ»ΠΎΠΆΠ΅Π½ΠΈΠΉ.
Π‘ ΠΏΠΎΠΌΠΎΡΡΡ Π±ΠΈΠΎΡ ΠΈΠΌΠΈΡΠ΅ΡΠΊΠΎΠ³ΠΎ Π°Π½Π°Π»ΠΈΠ·Π° ΠΊΡΠΎΠ²ΠΈ Π²ΡΡΠ²Π»ΡΡΡ ΠΏΠΎΠ²ΡΡΠ΅Π½ΠΈΠ΅ ΠΊΠΎΠ½ΡΠ΅Π½ΡΡΠ°ΡΠΈΠΈ ΠΈΠΎΠ½ΠΎΠ² ΠΊΠ°Π»ΡΡΠΈΡ. ΠΠ΄Π½Π°ΠΊΠΎ ΡΡΠΎΡ ΡΠΏΠΎΡΠΎΠ± Π΄ΠΈΠ°Π³Π½ΠΎΡΡΠΈΠΊΠΈ ΡΡΠΈΡΠ°Π΅ΡΡΡ Π΄ΠΎΠΏΠΎΠ»Π½ΠΈΡΠ΅Π»ΡΠ½ΡΠΌ Π½Π° ΡΠΎΠ½Π΅ ΠΠ’, ΠΠ Π’ ΠΈ ΡΠ΅Π½ΡΠ³Π΅Π½Π°.
ΠΡΡΠ²ΠΈΡΡ ΠΏΡΠΈΡΠΈΠ½Ρ ΠΊΠ°Π»ΡΡΠΈΠ½ΠΎΠ·Π° Π΄ΠΎΡΡΠ°ΡΠΎΡΠ½ΠΎ ΡΡΠΆΠ΅Π»ΠΎ Π΄Π°ΠΆΠ΅ Ρ ΠΏΠΎΠΌΠΎΡΡΡ Π»Π°Π±ΠΎΡΠ°ΡΠΎΡΠ½ΡΡ
ΠΈΡΡΠ»Π΅Π΄ΠΎΠ²Π°Π½ΠΈΠΉ.
ΠΡΠΎ ΠΎΠ±ΡΡΡΠ½ΡΠ΅ΡΡΡ ΡΠ΅ΠΌ, ΡΡΠΎ ΠΎΡΠ»ΠΎΠΆΠ΅Π½ΠΈΡ ΠΊΠ°Π»ΡΡΠΈΡ ΠΌΠΎΠ³ΡΡ Π½Π°ΠΊΠ°ΠΏΠ»ΠΈΠ²Π°ΡΡΡΡ Π½Π° ΠΏΡΠΎΡΡΠΆΠ΅Π½ΠΈΠΈ Π΄Π»ΠΈΡΠ΅Π»ΡΠ½ΠΎΠ³ΠΎ Π²ΡΠ΅ΠΌΠ΅Π½ΠΈ ΠΈ Π½ΠΈΠΊΠ°ΠΊ Π½Π΅ ΠΏΡΠΎΡΠ²Π»ΡΡΡΡΡ. Π§Π°ΡΠ΅ Π²ΡΠ΅Π³ΠΎ ΠΏΡΠΎΠ±Π»Π΅ΠΌΡ ΠΎΠ±Π½Π°ΡΡΠΆΠΈΠ²Π°ΡΡ Π²ΠΎ Π²ΡΠ΅ΠΌΡ Π΄ΠΈΠ°Π³Π½ΠΎΡΡΠΈΠΊΠΈ Π΄ΡΡΠ³ΠΈΡ
Π±ΠΎΠ»Π΅Π·Π½Π΅ΠΉ.
ΠΠΎΡΠ»Π΅Π΄ΡΡΠ²ΠΈΡ ΠΊΠ°Π»ΡΡΠΈΠ½ΠΎΠ·Π°
ΠΠ°ΠΊ ΡΠΏΠΎΠΌΠΈΠ½Π°Π»ΠΎΡΡ ΡΠ°Π½Π΅Π΅, ΠΏΠ΅ΡΠ΅Π½ΠΎΡΠ½ΡΠ΅ ΠΊΠ°Π»ΡΡΠΈΠ½Π°ΡΡ Π½Π΅ ΠΏΡΠΎΡΠ²Π»ΡΡΡΡΡ ΡΠΈΠΌΠΏΡΠΎΠΌΠ°ΠΌΠΈ ΠΈΠ»ΠΈ ΡΠΎΠΏΡΠΎΠ²ΠΎΠΆΠ΄Π°ΡΡΡΡ Π½Π΅Π²ΡΡΠ°ΠΆΠ΅Π½Π½ΡΠΌΠΈ ΠΏΡΠΈΠ·Π½Π°ΠΊΠ°ΠΌΠΈ. ΠΠ·-Π·Π° ΡΡΠΎΠ³ΠΎ Π±ΠΎΠ»ΡΠ½ΠΎΠΉ Π΄Π»ΠΈΡΠ΅Π»ΡΠ½ΠΎΠ΅ Π²ΡΠ΅ΠΌΡ Π½Π΅ Π·Π½Π°Π΅Ρ ΠΎ ΡΠΎΠΌ, ΡΡΠΎ Ρ Π½Π΅Π³ΠΎ Π΅ΡΡΡ ΠΏΡΠΎΠ±Π»Π΅ΠΌΡ ΡΠΎ Π·Π΄ΠΎΡΠΎΠ²ΡΠ΅ΠΌ. ΠΠ΄Π½Π°ΠΊΠΎ ΠΏΡΠΈ ΠΏΠ°ΡΠΎΠ»ΠΎΠ³ΠΈΠΈ ΠΏΠΎΠ²ΡΡΠ°Π΅ΡΡΡ Π²Π΅ΡΠΎΡΡΠ½ΠΎΡΡΡ ΠΎΠ½ΠΊΠΎΠ»ΠΎΠ³ΠΈΡΠ΅ΡΠΊΠΈΡ Π·Π°Π±ΠΎΠ»Π΅Π²Π°Π½ΠΈΠΉ (ΠΊΠ°ΡΡΠΈΠ½ΠΎΠΌΠ° ΠΈ Ρ. Π΄.).
ΠΠ° ΡΠΎΠ½Π΅ ΠΊΠ°Π»ΡΡΠΈΠ½ΠΎΠ·Π° Π²ΠΎΠ·Π½ΠΈΠΊΠ°ΡΡ ΡΠ°ΡΡΡΡΠΎΠΉΡΡΠ²Π° ΡΡΠ½ΠΊΡΠΈΠΎΠ½Π°Π»ΡΠ½ΠΎΡΡΠΈ ΠΏΠ΅ΡΠ΅Π½ΠΈ. Π Π²Π΅Π΄Ρ ΡΡΠΎΡ ΠΎΡΠ³Π°Π½ ΠΎΡΠ²Π΅ΡΠ°Π΅Ρ Π·Π° ΠΏΠ΅ΡΠ΅ΠΊΠ°ΡΠΊΡ ΠΈ ΡΠΈΠ»ΡΡΡΠ°ΡΠΈΡ ΠΊΡΠΎΠ²ΠΈ. ΠΠ·-Π·Π° Π½Π°ΡΡΡΠ΅Π½ΠΈΡ ΡΠ°Π±ΠΎΡΡ ΠΆΠ΅Π»Π΅Π·Ρ ΡΡΡΠ°Π΄Π°ΡΡ ΠΈ Π΄ΡΡΠ³ΠΈΠ΅ ΠΎΡΠ³Π°Π½Ρ, ΠΊΠ°ΠΊ ΡΠ»Π΅Π΄ΡΡΠ²ΠΈΠ΅, ΡΡ ΡΠ΄ΡΠ°Π΅ΡΡΡ ΠΎΠ±ΡΠ΅Π΅ ΡΠΎΡΡΠΎΡΠ½ΠΈΠ΅ ΡΠ΅Π»ΠΎΠ²Π΅ΠΊΠ°.
ΠΠΎΡΡΠΎΠΌΡ ΡΠ°ΠΊ Π²Π°ΠΆΠ½ΠΎ Π½Π΅ ΠΏΡΠΎΠΏΡΡΠΊΠ°ΡΡ ΠΏΠ»Π°Π½ΠΎΠ²ΡΠ΅ ΠΎΡΠΌΠΎΡΡΡ ΠΈ Π±ΡΡΡ Π²Π½ΠΈΠΌΠ°ΡΠ΅Π»ΡΠ½ΡΠΌ ΠΊ ΡΠ²ΠΎΠ΅ΠΌΡ Π·Π΄ΠΎΡΠΎΠ²ΡΡ.
ΠΠ°Π»ΡΡΠΈΠ½Π°ΡΡ Ρ Π½ΠΎΠ²ΠΎΡΠΎΠΆΠ΄Π΅Π½Π½ΡΡ
ΠΠ°Π»ΡΡΠΈΠ½ΠΎΠ· Ρ ΠΏΠ»ΠΎΠ΄Π° β ΡΡΠΎ ΡΠ΅Π΄ΠΊΠΎΠ΅ ΡΠ²Π»Π΅Π½ΠΈΠ΅, Π½ΠΎ ΠΈΠ½ΠΎΠ³Π΄Π° Ρ Π΄Π΅ΡΠ΅ΠΉ Π²ΠΎ Π²ΡΠ΅ΠΌΡ ΠΈΡΡΠ»Π΅Π΄ΠΎΠ²Π°Π½ΠΈΠΉ ΠΎΠ±Π½Π°ΡΡΠΆΠΈΠ²Π°ΡΡ ΡΠΎΠ»Π΅Π²ΡΠ΅ ΠΎΡΠ»ΠΎΠΆΠ΅Π½ΠΈΡ.
ΠΡΠ° ΠΏΠ°ΡΠΎΠ»ΠΎΠ³ΠΈΡ Ρ Π½ΠΎΠ²ΠΎΡΠΎΠΆΠ΄Π΅Π½Π½ΠΎΠ³ΠΎ ΡΠ²ΠΈΠ΄Π΅ΡΠ΅Π»ΡΡΡΠ²ΡΠ΅Ρ ΠΎ Π·Π°Π±ΠΎΠ»Π΅Π²Π°Π½ΠΈΡΡ
ΡΠ΅ΡΠ΄ΡΠ° ΠΈ Π΄ΡΡΠ³ΠΈΡ
ΠΎΡΠ³Π°Π½ΠΎΠ².
ΠΠ°Π»ΡΡΠΈΠ½ΠΎΠ· Ρ ΠΌΠ»Π°Π΄Π΅Π½ΡΠ΅Π² Π²ΠΎΠ·Π½ΠΈΠΊΠ°Π΅Ρ ΡΠ΅Π΄ΠΊΠΎ
ΠΡΠ»ΠΈ Π²ΡΠ°Ρ ΠΏΠΎΠ΄ΡΠ²Π΅ΡΠ΄ΠΈΡ ΡΡΠΎΡ Π΄ΠΈΠ°Π³Π½ΠΎΠ·, ΡΠΎ Π±ΡΠ΄ΡΡΠ΅ΠΉ ΠΌΠ°ΠΌΠ΅ Π½ΡΠΆΠ½ΠΎ Π½Π°Ρ ΠΎΠ΄ΠΈΡΡΡΡ ΠΏΠΎΠ΄ Π²ΡΠ°ΡΠ΅Π±Π½ΡΠΌ ΠΏΡΠΈΡΠΌΠΎΡΡΠΎΠΌ. ΠΠ΅ΡΠ΅Π½ΠΈΠ΅ ΠΊΠ°Π»ΡΡΠΈΠ½ΠΎΠ·Π° Ρ ΡΠ΅Π±Π΅Π½ΠΊΠ° ΡΠΎΠ³Π΄Π° Π½Π΅ ΠΏΡΠΎΠ²ΠΎΠ΄ΠΈΡΡΡ.
Π£ΡΡΡΠ°Π½Π΅Π½ΠΈΠ΅ ΡΠΎΠ»Π΅Π²ΡΡ ΠΎΡΠ»ΠΎΠΆΠ΅Π½ΠΈΠΉ
ΠΠΎ Π²ΡΠ΅ΠΌΡ Π»Π΅ΡΠ΅Π½ΠΈΡ ΡΠ»Π΅Π΄ΡΠ΅Ρ ΠΏΠΎΠΌΠ½ΠΈΡΡ, ΡΡΠΎ ΠΊΠ°Π»ΡΡΠΈΡΠΈΠΊΠ°ΡΡ ΡΠ²Π»ΡΡΡΡΡ ΡΠ»Π΅Π΄ΡΡΠ²ΠΈΠ΅ΠΌ Π΄ΡΡΠ³ΠΈΡ Π±ΠΎΠ»Π΅Π·Π½Π΅ΠΉ. ΠΠΎΡΡΠΎΠΌΡ Π»Π΅ΡΠ΅Π½ΠΈΠ΅ ΠΊΠ°Π»ΡΡΠΈΠ½Π°ΡΠΎΠ² Π² ΠΏΠ΅ΡΠ΅Π½ΠΈ ΠΎΡΠ½ΠΎΠ²Π°Π½ΠΎ Π½Π° ΡΡΡΡΠ°Π½Π΅Π½ΠΈΠΈ ΠΎΡΠ½ΠΎΠ²Π½ΠΎΠ³ΠΎ Π·Π°Π±ΠΎΠ»Π΅Π²Π°Π½ΠΈΡ.
ΠΡΠ»ΠΈ ΡΠΎΠ»Π΅Π²ΡΠ΅ ΠΎΡΠ»ΠΎΠΆΠ΅Π½ΠΈΡ ΠΏΠΎΡΠ²ΠΈΠ»ΠΈΡΡ Π½Π° ΡΠΎΠ½Π΅ Π³Π΅ΠΏΠ°ΡΠΈΡΠ°, ΡΠΎ ΡΠ½Π°ΡΠ°Π»Π° Π½ΡΠΆΠ½ΠΎ ΠΏΡΠΈΠ½ΠΈΠΌΠ°ΡΡ ΠΏΡΠΎΡΠΈΠ²ΠΎΠ²ΠΈΡΡΡΠ½ΡΠ΅, ΠΈΠΌΠΌΡΠ½ΠΎΠΌΠΎΠ΄ΡΠ»ΠΈΡΡΡΡΠΈΠ΅ ΠΏΡΠ΅ΠΏΠ°ΡΠ°ΡΡ, Π³Π΅ΠΏΠ°ΡΠΎΠΏΡΠΎΡΠ΅ΠΊΡΠΎΡΡ. Π’ΠΎΠ»ΡΠΊΠΎ ΠΏΠΎΡΠ»Π΅ ΡΠ΅ΡΠ°ΠΏΠ΅Π²ΡΠΈΡΠ΅ΡΠΊΠΎΠ³ΠΎ ΠΊΡΡΡΠ° ΠΌΠΎΠΆΠ½ΠΎ ΠΏΡΠΈΡΡΡΠΏΠ°ΡΡ ΠΊ ΡΡΡΡΠ°Π½Π΅Π½ΠΈΡ ΠΎΠ±ΡΠ°Π·ΠΎΠ²Π°Π½ΠΈΠΉ.
Π§ΡΠΎΠ±Ρ ΠΈΠ·Π±Π°Π²ΠΈΡΡΡΡ ΠΎΡ ΠΊΠ°Π»ΡΡΠΈΠ½Π°ΡΠΎΠ², Π½ΡΠΆΠ½ΠΎ Π²ΡΠ»Π΅ΡΠΈΡΡ Π·Π°Π±ΠΎΠ»Π΅Π²Π°Π½ΠΈΠ΅, ΠΊΠΎΡΠΎΡΠΎΠ΅ ΡΠΏΡΠΎΠ²ΠΎΡΠΈΡΠΎΠ²Π°Π»ΠΎ ΠΈΡ ΠΎΠ±ΡΠ°Π·ΠΎΠ²Π°Π½ΠΈΠ΅
ΠΠ΅ΡΠ΅Π½ΠΈΠ΅ ΠΏΡΠΎΠ²ΠΎΠ΄ΡΡ Ρ ΠΏΡΠΈΠΌΠ΅Π½Π΅Π½ΠΈΠ΅ΠΌ ΡΠ°ΡΡΠ²ΠΎΡΠ° Π ΠΈΠ½Π³Π΅ΡΠ°, Π³Π»ΡΠΊΠΎΠ·Ρ, ΡΠ΅ΠΎΡΠΎΡΠ±ΠΈΠ»Π°ΠΊΡΠ°. ΠΡΠ΅ΠΏΠ°ΡΠ°ΡΡ Π²Π²ΠΎΠ΄ΡΡ Π²Π½ΡΡΡΠΈΠ²Π΅Π½Π½ΠΎ. ΠΡΠ»ΠΈ, ΠΊΡΠΎΠΌΠ΅ ΠΏΠ΅ΡΠ΅Π½ΠΈ, ΠΏΠΎΠ²ΡΠ΅ΠΆΠ΄Π΅Π½Ρ ΠΏΠΎΡΠΊΠΈ, ΡΠΎ Π½Π°Π·Π½Π°ΡΠ°ΡΡ Π³Π΅ΠΌΠΎΠ΄ΠΈΠ°Π»ΠΈΠ· (Π²Π½Π΅ΠΏΠΎΡΠ΅ΡΠ½ΠΎΠ΅ ΠΎΡΠΈΡΠ΅Π½ΠΈΠ΅ ΠΊΡΠΎΠ²ΠΈ).
Π₯ΠΈΡΡΡΠ³ΠΈΡΠ΅ΡΠΊΠΈΠΌ ΠΌΠ΅ΡΠΎΠ΄ΠΎΠΌ ΠΊΠ°Π»ΡΡΠΈΠ½ΠΎΠ· Π½Π΅ Π»Π΅ΡΠ°Ρ. ΠΡΠΎ ΠΎΠ±ΡΡΠ»ΠΎΠ²Π»Π΅Π½ΠΎ ΡΠ΅ΠΌ, ΡΡΠΎ ΡΠ΄Π°Π»Π΅Π½ΠΈΠ΅ ΡΡΠ°ΡΡΠΊΠΎΠ² Ρ ΠΎΡΠ»ΠΎΠΆΠ΅Π½ΠΈΡΠΌΠΈ Π½Π΅ Π²Π»ΠΈΡΠ΅Ρ Π½Π° ΠΏΡΠΈΡΠΈΠ½Ρ ΠΈΡ Π²ΠΎΠ·Π½ΠΈΠΊΠ½ΠΎΠ²Π΅Π½ΠΈΡ, ΠΊΡΠΎΠΌΠ΅ ΡΠΎΠ³ΠΎ, ΡΡΠΎ ΡΡΠ°Π²ΠΌΠ°ΡΠΈΡΠ½ΠΎ Π΄Π»Ρ ΠΎΠΊΡΡΠΆΠ°ΡΡΠΈΡ Π·Π΄ΠΎΡΠΎΠ²ΡΡ ΡΠΊΠ°Π½Π΅ΠΉ. ΠΠΎΠ΄ΠΎΠ±Π½Π°Ρ ΡΠ΅ΡΠ°ΠΏΠΈΡ ΠΌΠΎΠΆΠ΅Ρ ΡΠΏΡΠΎΠ²ΠΎΡΠΈΡΠΎΠ²Π°ΡΡ Π΅ΡΡ Π±ΠΎΠ»Π΅Π΅ ΠΎΠΏΠ°ΡΠ½ΡΠ΅ ΠΏΠΎΡΠ»Π΅Π΄ΡΡΠ²ΠΈΡ.
ΠΠ½ΠΎΠ³Π΄Π° ΠΊΠ°Π»ΡΡΠΈΠ½Π°ΡΡ ΠΎΡΡΠ°ΡΡΡΡ ΠΏΠΎΡΠ»Π΅ Π΄Π°Π²Π½ΠΎ ΠΏΠ΅ΡΠ΅Π½Π΅ΡΡΠ½Π½ΠΎΠΉ Π±ΠΎΠ»Π΅Π·Π½ΠΈ. Π ΡΠ°ΠΊΠΎΠΌ ΡΠ»ΡΡΠ°Π΅, Π΅ΡΠ»ΠΈ Ρ ΠΏΠ°ΡΠΈΠ΅Π½ΡΠ° ΠΎΡΡΡΡΡΡΠ²ΡΡΡ ΠΆΠ°Π»ΠΎΠ±Ρ, ΡΡΡΡΠ°Π½ΡΡΡ ΠΌΠΈΠ½Π΅ΡΠ°Π»ΡΠ½ΡΠ΅ ΡΠΊΠΎΠΏΠ»Π΅Π½ΠΈΡ Π½Π΅Ρ Π½Π΅ΠΎΠ±Ρ ΠΎΠ΄ΠΈΠΌΠΎΡΡΠΈ.
ΠΡΠΈ Π·Π°Π±ΠΎΠ»Π΅Π²Π°Π½ΠΈΡΡ Ρ Ρ ΡΠΎΠ½ΠΈΡΠ΅ΡΠΊΠΈΠΌ ΡΠ΅ΡΠ΅Π½ΠΈΠ΅ΠΌ, ΠΊΠΎΡΠΎΡΡΠ΅ ΡΠΎΠΏΡΠΎΠ²ΠΎΠΆΠ΄Π°ΡΡΡΡ ΠΎΠ±ΡΠ°Π·ΠΎΠ²Π°Π½ΠΈΠ΅ΠΌ ΠΊΠ°Π»ΡΡΠΈΠ½Π°ΡΠΎΠ², ΡΠ΅ΠΊΠΎΠΌΠ΅Π½Π΄ΡΠ΅ΡΡΡ ΠΏΡΠΎΠΉΡΠΈ ΠΊΡΡΡ Π»Π΅ΡΠ΅Π½ΠΈΡ, ΠΏΠΎΠΊΠ° ΡΠΎΡΡΠΎΡΠ½ΠΈΠ΅ ΠΏΠΈΡΠ΅Π²Π°ΡΠΈΡΠ΅Π»ΡΠ½ΡΡ ΠΎΡΠ³Π°Π½ΠΎΠ² Π½Π΅ ΡΡΠ°Π±ΠΈΠ»ΠΈΠ·ΠΈΡΡΠ΅ΡΡΡ. ΠΡΠΈ ΡΡΠΎΠΌ ΡΠ΅ΠΊΠΎΠΌΠ΅Π½Π΄ΡΠ΅ΡΡΡ ΡΠΈΡΡΠ΅ΠΌΠ°ΡΠΈΡΠ΅ΡΠΊΠΈ ΡΠ΄Π°Π²Π°ΡΡ ΠΊΡΠΎΠ²Ρ Π½Π° Π±ΠΈΠΎΡ ΠΈΠΌΠΈΡ. ΠΠ°ΡΠΈΠ΅Π½Ρ Π΄ΠΎΠ»ΠΆΠ΅Π½ ΠΏΠΎΠΌΠ½ΠΈΡΡ, ΡΡΠΎ ΠΈΠ½ΠΎΠ³Π΄Π° ΠΊΠ°Π»ΡΡΠΈΡΠΈΠΊΠ°ΡΡ Π²ΠΎΠ·Π½ΠΈΠΊΠ°ΡΡ Π½Π° ΡΠΎΠ½Π΅ Π·Π»ΠΎΠΊΠ°ΡΠ΅ΡΡΠ²Π΅Π½Π½ΡΡ ΠΎΠΏΡΡ ΠΎΠ»Π΅ΠΉ.
ΠΡΠ»ΠΈ ΠΏΠ΅ΡΠ΅Π½Ρ Π½ΠΎΡΠΌΠ°Π»ΡΠ½ΠΎ ΡΡΠ½ΠΊΡΠΈΠΎΠ½ΠΈΡΡΠ΅Ρ ΠΈ ΡΠ΅Π·ΡΠ»ΡΡΠ°ΡΡ ΠΈΡΡΠ»Π΅Π΄ΠΎΠ²Π°Π½ΠΈΠΉ ΠΎΡΡΠΈΡΠ°ΡΠ΅Π»ΡΠ½ΡΠ΅, ΡΠΎ Π»Π΅ΡΠΈΡΡ ΠΊΠ°Π»ΡΡΠΈΠ½ΠΎΠ· Π½Π΅ Π½ΡΠΆΠ½ΠΎ. Π ΡΠ°ΠΊΠΎΠΌ ΡΠ»ΡΡΠ°Π΅ ΠΏΠ°ΡΠΈΠ΅Π½ΡΡ ΡΠ΅ΠΊΠΎΠΌΠ΅Π½Π΄ΡΠ΅ΡΡΡ ΠΏΡΠΎΡ
ΠΎΠ΄ΠΈΡΡ Π£ΠΠ Ρ ΠΈΠ½ΡΠ΅ΡΠ²Π°Π»ΠΎΠΌ Π² 3 ΠΌΠ΅ΡΡΡΠ°, ΡΡΠΎΠ±Ρ ΠΊΠΎΠ½ΡΡΠΎΠ»ΠΈΡΠΎΠ²Π°ΡΡ ΡΠ°Π·ΠΌΠ΅Ρ ΠΆΠ΅Π»Π΅Π·Ρ ΠΈ ΠΊΠ°Π»ΡΡΠΈΠ½Π°ΡΠΎΠ².
ΠΠ°ΠΈΠ±ΠΎΠ»ΡΡΡΡ ΠΎΠΏΠ°ΡΠ½ΠΎΡΡΡ ΠΏΡΠ΅Π΄ΡΡΠ°Π²Π»ΡΠ΅Ρ ΡΠ²Π΅Π»ΠΈΡΠ΅Π½ΠΈΠ΅ ΠΎΠ±ΡΠ°Π·ΠΎΠ²Π°Π½ΠΈΠΉ ΠΈ ΠΈΡ
ΠΏΡΠΎΠ½ΠΈΠΊΠ½ΠΎΠ²Π΅Π½ΠΈΠ΅ Π² ΠΆΠ΅Π»ΡΠ½ΡΠ΅ Ρ
ΠΎΠ΄Ρ.
Π ΠΏΠΎΡΡΠΎΠΌΡ ΠΏΡΠΈ ΡΡ ΡΠ΄ΡΠ΅Π½ΠΈΠΈ ΠΎΠ±ΡΠ΅Π³ΠΎ ΡΠΎΡΡΠΎΡΠ½ΠΈΡ, ΡΠ°ΡΡΡΡΠΎΠΉΡΡΠ²Π°Ρ ΠΏΠΈΡΠ΅Π²Π°ΡΠ΅Π½ΠΈΡ, Π΄ΠΈΡΠΊΠΎΠΌΡΠΎΡΡΠ΅ Π² ΠΏΡΠ°Π²ΠΎΠΌ Π±ΠΎΠΊΡ ΡΠ»Π΅Π΄ΡΠ΅Ρ ΠΏΠΎΡΠ΅ΡΠΈΡΡ Π΄ΠΎΠΊΡΠΎΡΠ°. ΠΡΠΈ Π½Π΅ΡΠ²ΠΎΠ΅Π²ΡΠ΅ΠΌΠ΅Π½Π½ΠΎΠΌ Π²ΡΡΠ²Π»Π΅Π½ΠΈΠΈ ΠΈ Π»Π΅ΡΠ΅Π½ΠΈΠΈ ΠΎΡΠ½ΠΎΠ²Π½ΠΎΠ³ΠΎ Π·Π°Π±ΠΎΠ»Π΅Π²Π°Π½ΠΈΡ ΠΏΠΎΠ²ΡΡΠ°Π΅ΡΡΡ Π²Π΅ΡΠΎΡΡΠ½ΠΎΡΡΡ ΠΎΠ½ΠΊΠΎΠ»ΠΎΠ³ΠΈΡΠ΅ΡΠΊΠΈΡ Π·Π°Π±ΠΎΠ»Π΅Π²Π°Π½ΠΈΠΉ ΠΏΠ΅ΡΠ΅Π½ΠΈ.
ΠΠ°ΡΠΎΠ΄Π½ΡΠ΅ ΡΡΠ΅Π΄ΡΡΠ²Π°
ΠΠ΅ΡΠ΅Π½ΠΈΠ΅ ΠΊΠ°Π»ΡΡΠΈΠ½ΠΎΠ·Π° ΠΏΡΠΎΠ²ΠΎΠ΄ΡΡ Ρ ΠΏΠΎΠΌΠΎΡΡΡ Π½Π°ΡΠΎΠ΄Π½ΡΡ ΡΠ΅ΡΠ΅ΠΏΡΠΎΠ². ΠΡΠ»ΠΈ ΠΌΠΈΠ½Π΅ΡΠ°Π»ΡΠ½ΡΠ΅ ΡΠΊΠΎΠΏΠ»Π΅Π½ΠΈΡ ΠΏΠΎΡΠ²ΠΈΠ»ΠΈΡΡ Π²ΡΠ»Π΅Π΄ΡΡΠ²ΠΈΠ΅ Π³Π»ΠΈΡΡΠ½ΡΡ ΠΈΠ½Π²Π°Π·ΠΈΠΉ, ΡΠΎ Π΄Π»Ρ ΠΈΡ ΠΏΡΠ΅Π΄ΠΎΡΠ²ΡΠ°ΡΠ΅Π½ΠΈΡ ΠΈΡΠΏΠΎΠ»ΡΠ·ΡΡΡ ΡΡΠΊΠ²Ρ. ΠΠ»Ρ ΡΡΠΎΠ³ΠΎ ΠΏΠ°ΡΠΈΠ΅Π½Ρ Π΄ΠΎΠ»ΠΆΠ΅Π½ ΡΠΏΠΎΡΡΠ΅Π±Π»ΡΡΡ ΠΏΠ°ΡΡ Π³ΠΎΡΡΡΠ΅ΠΉ ΡΠ΅ΠΌΡΠ½ ΡΡΠΊΠ²Ρ ΠΊΠ°ΠΆΠ΄ΡΠΉ Π΄Π΅Π½Ρ.
Π’ΡΠΊΠ²Π΅Π½Π½ΡΠ΅ ΡΠ΅ΠΌΠ΅ΡΠΊΠΈ ΠΏΡΠΈΠΌΠ΅Π½ΡΡΡ Π΄Π»Ρ ΠΏΡΠ΅Π΄ΡΠΏΡΠ΅ΠΆΠ΄Π΅Π½ΠΈΡ Π³Π΅Π»ΡΠΌΠΈΠ½ΡΠΎΠ·Π°, ΠΊΠΎΡΠΎΡΡΠΉ ΠΏΡΠΎΠ²ΠΎΡΠΈΡΡΠ΅Ρ ΠΎΠ±ΡΠ°Π·ΠΎΠ²Π°Π½ΠΈΠ΅ ΠΊΠ°Π»ΡΡΠΈΡΠΈΠΊΠ°ΡΠΎΠ²
Π’ΡΠΊΠ²Π΅Π½Π½ΡΡ ΠΌΡΠΊΠΎΡΡ ΠΏΡΠΈΠΌΠ΅Π½ΡΡΡ Π΄Π»Ρ Π½ΠΎΡΠΌΠ°Π»ΠΈΠ·Π°ΡΠΈΠΈ ΡΠ°Π±ΠΎΡΡ ΠΏΠ΅ΡΠ΅Π½ΠΈ ΠΈ Π΄ΡΡΠ³ΠΈΡ Π³Π΅ΠΏΠ°ΡΠΎΠ±ΠΈΠ»ΠΈΠ°ΡΠ½ΡΡ ΠΎΡΠ³Π°Π½ΠΎΠ². Π ΡΠ°ΠΊΠΎΠΌ ΡΠ»ΡΡΠ°Π΅ ΠΏΠ»ΠΎΠ΄ Π·Π°ΠΏΠ΅ΠΊΠ°ΡΡ Π² Π΄ΡΡ ΠΎΠ²ΠΊΠ΅ Ρ ΠΌΡΠ΄ΠΎΠΌ.
ΠΠ° ΡΠΎΡΡΠΎΡΠ½ΠΈΠ΅ ΠΏΠ΅ΡΠ΅Π½ΠΈ Π±Π»Π°Π³ΠΎΡΠ²ΠΎΡΠ½ΠΎ Π²Π»ΠΈΡΡΡ ΡΡΠ°Π²ΡΠ½ΡΠ΅ ΠΎΡΠ²Π°ΡΡ Π½Π° ΠΎΡΠ½ΠΎΠ²Π΅ ΡΠ°ΡΡΠΎΡΠΎΠΏΡΠΈ. Π£ΠΏΠΎΡΡΠ΅Π±Π»ΡΡ ΠΏΠΎΠ΄ΠΎΠ±Π½ΡΠΉ Π½Π°ΠΏΠΈΡΠΎΠΊ, ΠΏΠ°ΡΠΈΠ΅Π½Ρ ΠΌΠΎΠΆΠ΅Ρ Π²ΡΠ²Π΅ΡΡΠΈ ΠΈΠ· ΠΆΠ΅Π»Π΅Π·Ρ ΠΌΠ΅Π»ΠΊΠΈΠ΅ ΠΊΠ°Π»ΡΡΠΈΡΠΈΠΊΠ°ΡΡ.
ΠΠ΅ΡΠ΅Π΄ ΠΏΡΠΈΠΌΠ΅Π½Π΅Π½ΠΈΠ΅ΠΌ Π½Π°ΡΠΎΠ΄Π½ΡΡ ΡΡΠ΅Π΄ΡΡΠ² ΡΠ»Π΅Π΄ΡΠ΅Ρ ΠΏΡΠΎΠΊΠΎΠ½ΡΡΠ»ΡΡΠΈΡΠΎΠ²Π°ΡΡΡΡ Ρ Π΄ΠΎΠΊΡΠΎΡΠΎΠΌ. ΠΠΎΠ΄ΠΎΠ±Π½ΡΠ΅ ΡΠ΅ΡΠ΅ΠΏΡΡ ΠΈΡΠΏΠΎΠ»ΡΠ·ΡΡΡ ΡΠΎΠ»ΡΠΊΠΎ Π² ΡΠΎΡΡΠ°Π²Π΅ ΠΊΠΎΠΌΠΏΠ»Π΅ΠΊΡΠ½ΠΎΠΉ ΡΠ΅ΡΠ°ΠΏΠΈΠΈ.
ΠΡΠΎΡΠΈΠ»Π°ΠΊΡΠΈΡΠ΅ΡΠΊΠΈΠ΅ ΠΌΠ΅ΡΡ
Π§ΡΠΎΠ±Ρ ΠΏΡΠ΅Π΄ΡΠΏΡΠ΅Π΄ΠΈΡΡ ΠΎΠ±ΡΠ°Π·ΠΎΠ²Π°Π½ΠΈΠ΅ ΠΊΠ°Π»ΡΡΠΈΠ½Π°ΡΠΎΠ² ΠΈ Π½ΠΎΡΠΌΠ°Π»ΠΈΠ·ΠΎΠ²Π°ΡΡ ΡΡΠ½ΠΊΡΠΈΠΎΠ½Π°Π»ΡΠ½ΠΎΡΡΡ ΠΏΠ΅ΡΠ΅Π½ΠΈ, Π½Π΅ΠΎΠ±Ρ ΠΎΠ΄ΠΈΠΌΠΎ ΠΏΡΠ°Π²ΠΈΠ»ΡΠ½ΠΎ ΠΏΠΈΡΠ°ΡΡΡΡ ΠΈ Π²Π΅ΡΡΠΈ Π·Π΄ΠΎΡΠΎΠ²ΡΠΉ ΠΎΠ±ΡΠ°Π· ΠΆΠΈΠ·Π½ΠΈ. Π Π΅ΠΆΠ΅Π΄Π½Π΅Π²Π½ΡΠΉ ΡΠ°ΡΠΈΠΎΠ½ ΡΠ»Π΅Π΄ΡΠ΅Ρ Π²Π²Π΅ΡΡΠΈ ΠΎΠ²ΠΎΡΠΈ, ΡΡΡΠΊΡΡ, Π·Π΅Π»Π΅Π½Ρ, Π΄ΠΈΠ΅ΡΠΈΡΠ΅ΡΠΊΠΎΠ΅ ΠΌΡΡΠΎ, ΠΊΠΈΡΠ»ΠΎΠΌΠΎΠ»ΠΎΡΠ½ΡΠ΅ ΠΏΡΠΎΠ΄ΡΠΊΡΡ Ρ Π½ΠΈΠ·ΠΊΠΈΠΌ ΠΏΡΠΎΡΠ΅Π½ΡΠΎΠΌ ΠΆΠΈΡΠ½ΠΎΡΡΠΈ. ΠΡΠΎΠΌΠ΅ ΡΠΎΠ³ΠΎ, ΡΠ΅ΠΊΠΎΠΌΠ΅Π½Π΄ΡΠ΅ΡΡΡ ΡΠΏΠΎΡΡΠ΅Π±Π»ΡΡΡ ΠΌΠΎΡΡΠΊΡΡ ΡΡΠ±Ρ, ΡΠ°ΡΡΠΈΡΠ΅Π»ΡΠ½ΡΠ΅ ΠΌΠ°ΡΠ»Π° (Π½Π°ΠΏΡΠΈΠΌΠ΅Ρ, ΠΎΠ»ΠΈΠ²ΠΊΠΎΠ²ΠΎΠ΅, ΠΊΡΠΊΡΡΡΠ·Π½ΠΎΠ΅, Π»ΡΠ½ΡΠ½ΠΎΠ΅). ΠΡΠ΄, ΠΎΡΠ΅Ρ ΠΈ, ΡΡΡ ΠΎΡΡΡΠΊΡΡ, ΡΠ΅Π·ΠΎΠ½Π½ΡΠ΅ ΡΡΡΠΊΡΡ ΠΈ ΡΠ³ΠΎΠ΄Ρ ΠΏΡΠ΅Π΄ΠΏΠΎΡΠΈΡΠ°ΡΡ ΠΊΠΎΠ½Π΄ΠΈΡΠ΅ΡΡΠΊΠΈΠΌ ΠΈΠ·Π΄Π΅Π»ΠΈΡΠΌ.
Π§ΡΠΎΠ±Ρ ΠΏΡΠ΅Π΄ΠΎΡΠ²ΡΠ°ΡΠΈΡΡ ΠΊΠ°Π»ΡΡΠΈΠ½ΠΎΠ· Π½ΡΠΆΠ½ΠΎ Π²Π΅ΡΡΠΈ Π·Π΄ΠΎΡΠΎΠ²ΡΠΉ ΠΎΠ±ΡΠ°Π· ΠΆΠΈΠ·Π½ΠΈ
ΠΠ°ΠΆΠ½ΠΎ ΠΏΡΠ°Π²ΠΈΠ»ΡΠ½ΠΎ ΠΏΡΠΎΠ²ΠΎΠ΄ΠΈΡΡ ΡΠ΅ΡΠΌΠΈΡΠ΅ΡΠΊΡΡ ΠΎΠ±ΡΠ°Π±ΠΎΡΠΊΡ ΠΏΡΠΎΠ΄ΡΠΊΡΠΎΠ². ΠΡΠ΅Π΄ΠΏΠΎΡΡΠΈΡΠ΅Π»ΡΠ½Π΅Π΅ ΠΈΡ Π²Π°ΡΠΈΡΡ, Π³ΠΎΡΠΎΠ²ΠΈΡΡ Π½Π° ΠΏΠ°ΡΡ ΠΈΠ»ΠΈ Π·Π°ΠΏΠ΅ΠΊΠ°ΡΡ Π±Π΅Π· ΠΌΠ°ΡΠ»Π°.
ΠΡΠΎΠΌΠ΅ ΡΠΎΠ³ΠΎ, ΡΠ»Π΅Π΄ΡΠ΅Ρ ΠΎΡΠΊΠ°Π·Π°ΡΡΡΡ ΠΎΡ Π²ΡΠ΅Π΄Π½ΡΡ
ΠΏΡΠΈΠ²ΡΡΠ΅ΠΊ. ΠΡΠΎ ΠΊΠ°ΡΠ°Π΅ΡΡΡ Π½Π΅ ΡΠΎΠ»ΡΠΊΠΎ ΠΊΡΡΠ΅Π½ΠΈΡ ΠΈ ΡΠΏΠΎΡΡΠ΅Π±Π»Π΅Π½ΠΈΡ Π°Π»ΠΊΠΎΠ³ΠΎΠ»Ρ, Π½ΠΎ ΠΈ ΡΠΏΠΎΡΡΠ΅Π±Π»Π΅Π½ΠΈΡ ΡΠΎΠ½ΠΈΠ·ΠΈΡΡΡΡΠΈΡ
Π½Π°ΠΏΠΈΡΠΊΠΎΠ² (ΡΠ°ΠΉ, ΠΊΠΎΡΠ΅, ΠΊΠ°ΠΊΠ°ΠΎ, Π³Π°Π·ΠΈΡΠΎΠ²ΠΊΠΈ).
ΠΡΡΡΠ΅ ΠΎΡΠ΄Π°ΡΡ ΠΏΡΠ΅Π΄ΠΏΠΎΡΡΠ΅Π½ΠΈΠ΅ ΡΠΈΠ»ΡΡΡΠΎΠ²Π°Π½Π½ΠΎΠΉ Π²ΠΎΠ΄Π΅, ΡΡΠ°Π²ΡΠ½ΡΠΌ ΡΠ°ΡΠΌ, ΡΠ²Π΅ΠΆΠ΅Π²ΡΠΆΠ°ΡΡΠΌ ΡΠΎΠΊΠ°ΠΌ.
ΠΠ°ΡΠΈΠ΅Π½Ρ Π΄ΠΎΠ»ΠΆΠ΅Π½ Π²Π΅ΡΡΠΈ Π°ΠΊΡΠΈΠ²Π½ΡΠΉ ΠΎΠ±ΡΠ°Π· ΠΆΠΈΠ·Π½ΠΈ. ΠΡΠΎ Π½Π΅ΠΎΠ±Ρ ΠΎΠ΄ΠΈΠΌΠΎ, ΡΡΠΎΠ±Ρ ΡΠΊΠ°Π½ΠΈ ΠΈ ΠΎΡΠ³Π°Π½Ρ Π½Π°ΡΡΡΠ°Π»ΠΈΡΡ ΠΊΠΈΡΠ»ΠΎΡΠΎΠ΄ΠΎΠΌ. Π’Π°ΠΊΠΈΠΌ ΡΠΏΠΎΡΠΎΠ±ΠΎΠΌ Π½Π΅ ΡΠΎΠ»ΡΠΊΠΎ ΡΠ»ΡΡΡΠ°Π΅ΡΡΡ ΡΠΈΠ·ΠΈΡΠ΅ΡΠΊΠ°Ρ ΡΠΎΡΠΌΠ°, Π½ΠΎ ΠΈ ΠΏΠΎΠ²ΡΡΠ°ΡΡΡΡ Π·Π°ΡΠΈΡΠ½ΡΠ΅ ΡΠΈΠ»Ρ ΠΎΡΠ³Π°Π½ΠΈΠ·ΠΌΠ°.
Π’Π΅ΠΏΠ΅ΡΡ Π²Ρ Π·Π½Π°Π΅ΡΠ΅, ΡΡΠΎ ΡΠ°ΠΊΠΎΠ΅ ΠΊΠ°Π»ΡΡΠΈΠ½Π°ΡΡ ΠΈ ΠΊΠ°ΠΊ ΠΎΠ½ΠΈ ΠΎΠ±ΡΠ°Π·ΡΡΡΡΡ. Π§ΡΠΎΠ±Ρ ΠΏΡΠ΅Π΄ΠΎΡΠ²ΡΠ°ΡΠΈΡΡ ΠΎΠΏΠ°ΡΠ½ΡΠ΅ ΠΎΡΠ»ΠΎΠΆΠ½Π΅Π½ΠΈΡ, Π½ΡΠΆΠ½ΠΎ Π²Π½ΠΈΠΌΠ°ΡΠ΅Π»ΡΠ½ΠΎ ΠΎΡΠ½ΠΎΡΠΈΡΡΡΡ ΠΊ ΡΠ²ΠΎΠ΅ΠΌΡ Π·Π΄ΠΎΡΠΎΠ²ΡΡ ΠΈ ΠΏΡΠΈ Π²ΠΎΠ·Π½ΠΈΠΊΠ½ΠΎΠ²Π΅Π½ΠΈΠΈ ΠΏΠΎΠ΄ΠΎΠ·ΡΠΈΡΠ΅Π»ΡΠ½ΡΡ ΡΠΈΠΌΠΏΡΠΎΠΌΠΎΠ² ΠΎΠ±ΡΠ°ΡΠ°ΡΡΡΡ ΠΊ Π²ΡΠ°ΡΡ. ΠΠ΅ΡΠ΅Π΄ ΠΏΡΠΈΠΌΠ΅Π½Π΅Π½ΠΈΠ΅ΠΌ ΠΌΠ΅Π΄ΠΈΠΊΠ°ΠΌΠ΅Π½ΡΠΎΠ·Π½ΡΡ ΠΈΠ»ΠΈ Π½Π°ΡΠΎΠ΄Π½ΡΡ ΡΡΠ΅Π΄ΡΡΠ² ΡΠ»Π΅Π΄ΡΠ΅Ρ ΠΏΡΠΎΠΊΠΎΠ½ΡΡΠ»ΡΡΠΈΡΠΎΠ²Π°ΡΡΡΡ Ρ Π²ΡΠ°ΡΠΎΠΌ.
ΠΠ°Π»ΡΡΠΈΠ½Π°ΡΡ Π² ΠΏΠ΅ΡΠ΅Π½ΠΈ (ΠΏΡΠ°Π²ΠΎΠΉ, Π»Π΅Π²ΠΎΠΉ Π΄ΠΎΠ»ΠΈ): ΡΠΈΠΌΠΏΡΠΎΠΌΡ, ΠΏΡΠΈΡΠΈΠ½Ρ, Π»Π΅ΡΠ΅Π½ΠΈΠ΅
ΠΠ°Π»ΡΡΠΈΠ½Π°ΡΡ Π² ΠΏΠ΅ΡΠ΅Π½ΠΈ ΠΎΡΠΊΠ»Π°Π΄ΡΠ²Π°ΡΡΡΡ Π³ΠΎΡΠ°Π·Π΄ΠΎ ΡΠ΅ΠΆΠ΅, ΡΠ΅ΠΌ Ρ
ΠΎΠ»Π΅ΡΡΠ΅ΡΠΈΠ½ΠΎΠ²ΡΠ΅ ΠΈΠ»ΠΈ Π±ΠΈΠ»ΠΈΡΡΠ±ΠΈΠ½ΠΎΠ²ΡΠ΅ ΠΊΠ°ΠΌΠ½ΠΈ. ΠΠ°ΠΊ ΠΏΡΠ°Π²ΠΈΠ»ΠΎ, ΠΎΠ½ΠΈ Π½Π°ΠΊΠ°ΠΏΠ»ΠΈΠ²Π°ΡΡΡΡ ΠΏΠΎΡΠ»Π΅ ΠΏΠ΅ΡΠ΅Π½Π΅ΡΠ΅Π½Π½ΠΎΠΉ Π±ΠΎΠ»Π΅Π·Π½ΠΈ, Π΅ΡΠ»ΠΈ ΡΠΊΠ°Π½ΠΈ ΠΆΠ΅Π»Π΅Π·Ρ Π±ΡΠ»ΠΈ ΡΡΠ°Π²ΠΌΠΈΡΠΎΠ²Π°Π½Ρ ΠΈΠ»ΠΈ Π²ΠΎΡΠΏΠ°Π»Π΅Π½Ρ, Π½ΠΎ ΠΌΠΎΠ³ΡΡ ΠΎΠ±Π½Π°ΡΡΠΆΠΈΠ²Π°ΡΡΡΡ ΠΈ Ρ Π½ΠΎΠ²ΠΎΡΠΎΠΆΠ΄Π΅Π½Π½ΡΡ
Π² ΡΠ΅Π·ΡΠ»ΡΡΠ°ΡΠ΅ ΡΠΈΡΡΠ΅ΠΌΠ½ΡΡ
Π·Π°Π±ΠΎΠ»Π΅Π²Π°Π½ΠΈΠΉ. ΠΠ΅ Π²ΡΠ΅Π³Π΄Π° ΠΈΡ
ΠΎΠ±Π½Π°ΡΡΠΆΠ΅Π½ΠΈΠ΅ Π²Π»Π΅ΡΠ΅Ρ Π·Π° ΡΠΎΠ±ΠΎΠΉ ΡΠ΅ΡΠ°ΠΏΠΈΡ, ΠΏΠΎΡΠΊΠΎΠ»ΡΠΊΡ ΠΎΠ½ΠΈ Π½Π΅ ΡΠ°ΡΡΡΡ ΠΈ Π½Π΅ Π²ΡΠ·ΡΠ²Π°ΡΡ Π΄ΠΈΡΠΊΠΎΠΌΡΠΎΡΡΠ°, Π½ΠΎ ΡΠ»Π΅Π΄ΠΈΡΡ Π·Π° Π½ΠΈΠΌΠΈ Π²ΡΠ΅ ΠΆΠ΅ ΡΡΠ΅Π±ΡΠ΅ΡΡΡ.
ΠΠΎΡΠ΅ΠΌΡ ΠΎΠ±ΡΠ°Π·ΠΎΠ²ΡΠ²Π°ΡΡΡΡ
ΠΠ°Π»ΡΡΠΈΠ½ΠΎΠ· β ΡΡΠΎ ΡΠΎΡΡΠΎΡΠ½ΠΈΠ΅, Ρ Π°ΡΠ°ΠΊΡΠ΅ΡΠΈΠ·ΡΡΡΠΈΠ΅ΡΡ ΠΎΠ±ΡΠ°Π·ΠΎΠ²Π°Π½ΠΈΠ΅ΠΌ Π² ΠΏΠ°ΡΠ΅Π½Ρ ΠΈΠΌΠ΅ ΠΈΠ»ΠΈ ΡΠΎΡΡΠ΄Π°Ρ ΠΊΠ°Π»ΡΡΠΈΠ΅Π²ΡΡ ΠΎΡΠ»ΠΎΠΆΠ΅Π½ΠΈΠΉ. ΠΠ°Π»ΡΡΠΈΠΉ Π΄ΠΎΠ»ΠΆΠ΅Π½ Π½Π°Ρ ΠΎΠ΄ΠΈΡΡΡΡ Π² ΡΠ°ΡΡΠ²ΠΎΡΠ΅Π½Π½ΠΎΠΌ ΡΠΎΡΡΠΎΡΠ½ΠΈΠΈ, Π½ΠΎ ΠΏΡΠΈ Π½Π°ΡΡΡΠ΅Π½ΠΈΠΈ ΠΌΠ΅ΡΠ°Π±ΠΎΠ»ΠΈΠ·ΠΌΠ° ΠΎΠ½ Π²ΡΠΏΠ°Π΄Π°Π΅Ρ Π² ΠΎΡΠ°Π΄ΠΎΠΊ ΠΈ ΡΠΎΡΠΌΠΈΡΡΠ΅Ρ ΡΠ²Π΅ΡΠ΄ΡΠ΅ ΠΎΠ±ΡΠ°Π·ΠΎΠ²Π°Π½ΠΈΡ. ΠΡΠΎΠ²ΠΎΡΠΈΡΡΡΡ ΠΏΠ°ΡΠΎΠ»ΠΎΠ³ΠΈΡ ΠΌΠ½ΠΎΠΆΠ΅ΡΡΠ²ΠΎ ΡΠ°ΠΊΡΠΎΡΠΎΠ², ΠΊΠΎΡΠΎΡΡΠ΅ ΡΠΏΠΎΡΠΎΠ±Π½Ρ Π²Π»ΠΈΡΡΡ Π½Π° ΡΠΈΠ·ΠΈΠΎΠ»ΠΎΠ³ΠΈΡΠ΅ΡΠΊΠΈΠ΅ ΠΏΡΠΎΡΠ΅ΡΡΡ Π² ΡΠΊΠ°Π½ΡΡ .
ΠΡΠ΅ΠΆΠ΄Π΅ Π²ΡΠ΅Π³ΠΎ, ΡΡΠΎ Π΄ΠΈΡΡΡΠ½ΠΊΡΠΈΡ ΡΠ½Π΄ΠΎΠΊΡΠΈΠ½Π½ΠΎΠΉ ΡΠΈΡΡΠ΅ΠΌΡ, ΠΎΡΠ²Π΅ΡΡΡΠ²Π΅Π½Π½ΠΎΠΉ Π·Π° ΡΠΈΠ½ΡΠ΅Π· Π³ΠΎΡΠΌΠΎΠ½ΠΎΠ² ΠΊΠ°Π»ΡΡΠΈΡΠΎΠ½ΠΈΠ½Π° ΠΈ ΠΏΠ°ΡΠ°ΡΠ³ΠΎΡΠΌΠΎΠ½Π°, Π° ΡΠ°ΠΊΠΆΠ΅ ΡΠ²Π΅Π»ΠΈΡΠ΅Π½ΠΈΠ΅ ΡΡΠΎΠ²Π½Ρ ΠΊΠ°Π»ΡΡΠΈΡ ΠΈ ΡΠΌΠ΅ΡΠ΅Π½ΠΈΠ΅ ΡΠ ΠΊΡΠΎΠ²ΠΈ, ΡΡ ΡΠ΄ΡΠ΅Π½ΠΈΠ΅ ΡΠΈΠ·ΠΈΠΎΠ»ΠΎΠ³ΠΈΡΠ΅ΡΠΊΠΈΡ ΡΠ΅Π°ΠΊΡΠΈΠΉ, ΡΠ½ΠΈΠΆΠ΅Π½ΠΈΠ΅ ΠΎΠ±ΡΠ°Π·ΠΎΠ²Π°Π½ΠΈΡ Ρ ΠΎΠ½Π΄ΡΠΎΠΈΡΠΈΠ½ ΡΡΠ»ΡΡΠ°ΡΠ°. ΠΠ°ΡΠΎΠ»ΠΎΠ³ΠΈΡΠ΅ΡΠΊΠΎΠ΅ ΠΎΠ±ΡΠ°Π·ΠΎΠ²Π°Π½ΠΈΠ΅ ΠΌΠΎΠΆΠ΅Ρ Π±ΡΡΡ ΠΎΠ±ΡΡΠ»ΠΎΠ²Π»Π΅Π½ΠΎ Ρ ΡΠΎΠ½ΠΈΡΠ΅ΡΠΊΠΈΠΌ Π·Π°Π±ΠΎΠ»Π΅Π²Π°Π½ΠΈΠ΅ΠΌ, Π½Π°ΠΏΡΠΈΠΌΠ΅Ρ, ΠΌΠΈΠ΅Π»ΠΎΠΌΠΎΠΉ, ΠΎΠΏΡΡ ΠΎΠ»ΡΡ, ΠΏΠΎΠ»ΠΈΠΊΠΈΡΡΠΎΠ·ΠΎΠΌ, Π½Π΅ΡΡΠΈΡΠΎΠΌ, Π±ΠΎΠ»Π΅Π·Π½ΡΠΌΠΈ ΡΠ½Π΄ΠΎΠΊΡΠΈΠ½Π½ΠΎΠΉ ΡΠΈΡΡΠ΅ΠΌΡ, Π° ΠΌΠΎΠΆΠ΅Ρ Π±ΡΡΡ ΡΠ΅Π·ΡΠ»ΡΡΠ°ΡΠΎΠΌ ΠΏΠΎΠ²ΡΠ΅ΠΆΠ΄Π°ΡΡΠ΅Π³ΠΎ ΡΠ°ΠΊΡΠΎΡΠ° (ΠΈΠ·Π±ΡΡΠΎΠΊ Π²ΠΈΡΠ°ΠΌΠΈΠ½Π° D, ΠΌΠ΅Ρ Π°Π½ΠΈΡΠ΅ΡΠΊΠ°Ρ ΡΡΠ°Π²ΠΌΠ°, Π΄ΠΈΡΡΡΠΎΡΠΈΡΠ΅ΡΠΊΠΈΠ΅ ΠΈΠ·ΠΌΠ΅Π½Π΅Π½ΠΈΡ).
ΠΠ±ΡΠ·Π²Π΅ΡΡΠ²Π»Π΅Π½ΠΈΠ΅ ΠΌΠΎΠΆΠ΅Ρ Π²ΠΎΠ·Π½ΠΈΠΊΠ½ΡΡΡ Π½Π° ΡΠΎΠ½Π΅ ΠΈΠ½ΡΠ΅ΠΊΡΠΈΠΎΠ½Π½ΠΎΠ³ΠΎ Π·Π°Π±ΠΎΠ»Π΅Π²Π°Π½ΠΈΡ, Π½ΠΎΠ²ΠΎΠΎΠ±ΡΠ°Π·ΠΎΠ²Π°Π½ΠΈΡ Π² ΠΏΠ΅ΡΠ΅Π½ΠΈ, Π·Π°ΡΠ°ΠΆΠ΅Π½ΠΈΡ Π³Π΅Π»ΡΠΌΠΈΠ½ΡΠ°ΠΌΠΈ.
ΠΠ°Π»ΡΡΠΈΡΠΈΠΊΠ°ΡΠΈΠΈ ΠΏΠΎΠ΄Π²Π΅ΡΠΆΠ΅Π½Π° ΡΡΠ±ΡΠΎΠ²Π°Ρ ΡΠΊΠ°Π½Ρ (ΠΈ Ρ
ΡΡΡΠ΅Π²Π°Ρ), ΠΌΠΎΠ³ΡΡ ΠΎΠ±ΡΠ°Π·ΠΎΠ²Π°ΡΡΡΡ ΠΈΠ·Π²Π΅ΡΡΠΊΠΎΠ²ΡΠ΅ ΠΊΠΎΠ½Π³Π»ΠΎΠΌΠ΅ΡΠ°ΡΡ Π²ΠΎΠΊΡΡΠ³ Π°ΡΠ΅ΡΠΎΡΠΊΠ»Π΅ΡΠΎΡΠΈΡΠ΅ΡΠΊΠΈΡ
Π±Π»ΡΡΠ΅ΠΊ, ΠΏΠ°ΡΠ°Π·ΠΈΡΠΎΠ². Π‘ΡΠΈΡΠ°Π΅ΡΡΡ, ΡΡΠΎ ΠΊΠ°Π»ΡΡΠΈΠ½ΠΎΠ· ΠΌΠΎΠΆΠ΅Ρ ΠΏΠΎΡΠ²ΠΈΡΡΡΡ Π² ΡΠ΅Π·ΡΠ»ΡΡΠ°ΡΠ΅ ΡΠ°ΡΡΡΡ
ΡΡΡΠ΅ΡΡΠΎΠ², Π½Π΅ΡΠ°ΡΠΈΠΎΠ½Π°Π»ΡΠ½ΠΎΠ³ΠΎ ΠΏΠΈΡΠ°Π½ΠΈΡ, Π²ΡΠ΅Π΄Π½ΡΡ
ΠΏΡΠΈΠ²ΡΡΠ΅ΠΊ.
ΠΡΠΈΡΠΈΠ½ΠΎΠΉ ΠΎΡΠ»ΠΎΠΆΠ΅Π½ΠΈΡ Π½Π°Π·ΡΠ²Π°ΡΡ ΠΎΠΏΡΡ ΠΎΠ»Π΅Π²ΡΠ΅ ΠΈ Π²ΠΎΡΠΏΠ°Π»ΠΈΡΠ΅Π»ΡΠ½ΡΠ΅ ΠΏΡΠΎΡΠ΅ΡΡΡ
Π ΠΏΠ΅ΡΠ΅Π½ΠΈ Π²ΡΠ΄Π΅Π»ΡΡΡ ΠΏΠ°ΡΠ΅Π½Ρ ΠΈΠΌΠ°ΡΠΎΠ·Π½ΠΎΠ΅ ΠΈ ΠΊΠ°Π½Π°Π»ΠΈΠΊΡΠ»ΡΡΠ½ΠΎΠ΅ ΠΎΠ±ΡΠ·Π²Π΅ΡΡΠ²Π»Π΅Π½ΠΈΠ΅. ΠΡΠΈ ΠΏΠ΅ΡΠ²ΠΎΠΌ, ΠΎΡΠ»ΠΎΠΆΠ΅Π½ΠΈΠ΅ ΠΈΠ·Π²Π΅ΡΡΠΊΠΎΠ²ΡΡ ΡΠΎΠ»Π΅ΠΉ ΠΏΡΠΎΠΈΡΡ ΠΎΠ΄ΠΈΡ Π² ΡΠΊΠ°Π½ΡΡ ΠΏΠ΅ΡΠ΅Π½ΠΈ, Π° ΠΏΡΠΈ Π²ΡΠΎΡΠΎΠΌ, ΠΈΠ·Π²Π΅ΡΡΠΊΠΎΠ²ΡΠ΅ ΠΊΠΎΠ½ΠΊΡΠ΅ΠΌΠ΅Π½ΡΡ Π½Π°Ρ ΠΎΠ΄ΡΡΡΡ Π² ΠΆΠ΅Π»ΡΠ½ΡΡ ΠΏΡΡΡΡ . ΠΠ°Π»ΡΡΠΈΠ½Π°ΡΡ ΠΌΠΎΠ³ΡΡ ΡΠΎΡΠΌΠΈΡΠΎΠ²Π°ΡΡΡΡ Π² Π»Π΅Π²ΠΎΠΉ ΠΈΠ»ΠΈ ΠΏΡΠ°Π²ΠΎΠΉ Π΄ΠΎΠ»Π΅ ΠΏΠ΅ΡΠ΅Π½ΠΈ, Π² ΡΠΎΡΡΠ΄Π°Ρ ΠΆΠ΅Π»Π΅Π·Ρ ΠΈΠ»ΠΈ Π΅Π΅ ΠΏΡΠΎΡΠΎΠΊΠ°Ρ . ΠΠΎΠ½ΠΊΡΠ΅ΠΌΠ΅Π½ΡΡ Π½Π°ΡΡΡΠ°ΡΡ ΡΠ°Π±ΠΎΡΡ ΠΏΠ΅ΡΠ΅Π½ΠΎΡΠ½ΡΡ ΠΊΠ»Π΅ΡΠΎΠΊ ΠΈ ΠΌΠΎΠ³ΡΡ Π±ΡΡΡ ΠΎΠΏΠ°ΡΠ½ΡΠΌΠΈ, Π΅ΡΠ»ΠΈ ΡΠΎΡΠΌΠΈΡΡΡΡΡΡ ΡΡΠ΄ΠΎΠΌ Ρ ΠΏΡΠΎΡΠΎΠΊΠ°ΠΌΠΈ.
ΠΠ΄ΠΈΠ½ΠΈΡΠ½ΡΠΉ ΠΊΠ°ΠΌΠ΅Π½Ρ ΠΌΠΎΠΆΠ΅Ρ ΠΏΠΎΡΠ²ΠΈΡΡΡΡ Π² ΡΠ΅Π·ΡΠ»ΡΡΠ°ΡΠ΅ Π³Π΅Π»ΡΠΌΠΈΠ½ΡΠΎΠ·Π°, ΠΏΡΠΈ ΡΠΈΡΡΠ΅ΠΌΠ½ΡΡ ΠΏΠ°ΡΠΎΠ»ΠΎΠ³ΠΈΡΡ ΠΎΠ±ΡΡΠ½ΠΎ ΡΠΎΡΠΌΠΈΡΡΠ΅ΡΡΡ ΠΌΠ½ΠΎΠΆΠ΅ΡΡΠ²ΠΎ ΠΎΡΠ»ΠΎΠΆΠ΅Π½ΠΈΠΉ Π²ΠΎ Π²ΡΠ΅Ρ ΡΠ΅Π³ΠΌΠ΅Π½ΡΠ°Ρ .
ΠΠ· ΠΏΠ°ΡΠ°Π·ΠΈΡΠ°ΡΠ½ΡΡ
ΠΎΠ±ΡΠ·Π²Π΅ΡΡΠ²Π»Π΅Π½ΠΈΠΉ ΡΠ°ΡΠ΅ Π²ΡΠ΅Π³ΠΎ Π² ΠΏΠ΅ΡΠ΅Π½ΠΈ Π²ΠΎΠ·Π½ΠΈΠΊΠ°ΡΡ ΡΡ
ΠΈΠ½ΠΎΠΊΠ°ΠΊΠΊΠΎΠ²ΡΠ΅. ΠΡΠΈ Π·Π°ΡΠ°ΠΆΠ΅Π½ΠΈΠΈ ΠΏΠ°ΡΠ°Π·ΠΈΡΠΎΠΌ Π² ΠΊΠ»Π΅ΡΠΊΠ°Ρ
ΠΏΠ΅ΡΠ΅Π½ΠΈ ΡΠ°ΡΡΠ΅Ρ ΡΡ
ΠΈΠ½ΠΎΠΊΠΎΠΊΠΊΠΎΠ²ΡΠΉ ΠΏΡΠ·ΡΡΡ, ΠΊΠΎΡΠΎΡΡΠΉ ΠΏΡΠ΅Π΄ΡΡΠ°Π²Π»ΡΠ΅Ρ ΡΠΎΠ±ΠΎΠΉ ΠΊΠΈΡΡΡ.
ΠΠ±ΡΠ°Π·ΠΎΠ²Π°Π½ΠΈΠ΅ ΡΠ²Π΅Π»ΠΈΡΠΈΠ²Π°Π΅ΡΡΡ ΠΏΡΠΈΠΌΠ΅ΡΠ½ΠΎ Π½Π° 1 ΠΌΠΌ Π² ΠΌΠ΅ΡΡΡ ΠΈ ΠΌΠΎΠΆΠ΅Ρ ΡΡΠ°Π½ΠΎΠ²ΠΈΡΡΡΡ ΠΎΡΠ΅Π½Ρ Π±ΠΎΠ»ΡΡΠΈΠΌ. ΠΠΈΡΡΠ° Π΄Π°Π²ΠΈΡ Π½Π° ΠΎΠΊΡΡΠΆΠ°ΡΡΠΈΠ΅ ΡΠΊΠ°Π½ΠΈ ΠΈ Π½Π°ΡΡΡΠ°Π΅Ρ ΡΠ°Π±ΠΎΡΡ ΠΏΠ΅ΡΠ΅Π½ΠΈ, ΠΈ Π΅ΡΠ»ΠΈ ΠΏΡΠΎΠΈΡΡ
ΠΎΠ΄ΠΈΡ Π΅Π΅ ΡΠ°Π·ΡΡΠ², ΡΠΎ ΡΠΎΠ΄Π΅ΡΠΆΠΈΠΌΠΎΠ΅ ΠΈΡΡΠ΅ΠΊΠ°Π΅Ρ Π² Π±ΡΡΡΠ½ΡΡ ΠΏΠΎΠ»ΠΎΡΡΡ, ΡΡΠΎ ΠΌΠΎΠΆΠ΅Ρ Π²ΡΠ·Π²Π°ΡΡ Π°Π½Π°ΡΠΈΠ»Π°ΠΊΡΠΈΡΠ΅ΡΠΊΠΈΠΉ ΡΠΎΠΊ.
Π‘ΠΎ Π²ΡΠ΅ΠΌΠ΅Π½Π΅ΠΌ ΡΡΠ΅Π½ΠΊΠΈ ΠΊΠΈΡΡΡ ΡΡΠΎΠ»ΡΠ°ΡΡΡΡ, ΡΠΈΠ±ΡΠΎΡΠΈΠ·ΠΈΡΡΡΡΡΡ ΠΈ ΠΎΠ±ΡΠ·Π²Π΅ΡΡΠ²Π»ΡΡΡΡΡ. ΠΠ΅Π³Π΅Π½Π΅ΡΠ°ΡΠΈΠ²Π½ΡΠ΅ ΠΏΡΠΎΡΠ΅ΡΡΡ ΠΏΡΠΎΡΠ΅ΠΊΠ°ΡΡ ΠΌΠ΅ΡΡΠ°ΠΌΠΈ, ΠΏΠΎΡΡΠΎΠΌΡ ΠΊΠΈΡΡΡ Π½Π° ΡΠ½ΠΈΠΌΠΊΠ°Ρ Π½Π΅ ΠΈΠΌΠ΅ΡΡ ΡΠ΅ΡΠΊΠΈΡ ΠΊΠΎΠ½ΡΡΡΠΎΠ². ΠΠ±ΡΠ·Π²Π΅ΡΡΠ²Π»Π΅Π½ΠΈΠ΅ ΠΊΠΈΡΡΡ ΡΠ²ΠΈΠ΄Π΅ΡΠ΅Π»ΡΡΡΠ²ΡΠ΅Ρ ΠΎ Π½Π΅Π°ΠΊΡΠΈΠ²Π½ΠΎΠΉ ΡΠΎΡΠΌΠ΅ ΡΡ ΠΈΠ½ΠΎΠΊΠΎΠΊΠΊΠΎΠ·Π°. Π§Π΅ΡΠΊΠΈΠ΅ ΠΏΠ»ΠΎΡΠ½ΡΠ΅ ΡΠ΅Π½ΠΈ Π²ΠΎΠ·Π½ΠΈΠΊΠ°ΡΡ ΠΏΡΠΈ Π½Π΅ΠΏΠ°ΡΠ°Π·ΠΈΡΠ°ΡΠ½ΡΡ ΠΊΠΈΡΡΠ°Ρ . Π’Π°ΠΊΠΈΠΌ ΠΎΠ±ΡΠ°Π·ΠΎΠΌ, ΠΏΡΠΈΡΠΈΠ½ΠΎΠΉ ΠΊΠ°Π»ΡΡΠΈΠ½ΠΎΠ·Π° ΠΌΠΎΠ³ΡΡ Π±ΡΡΡ Π»ΡΠ±ΡΠ΅ ΠΏΠ°ΡΠΎΠ»ΠΎΠ³ΠΈΠΈ, ΠΊΠΎΡΠΎΡΡΠ΅ ΠΏΡΠΎΠ²ΠΎΡΠΈΡΡΡΡ Π²ΠΎΡΠΏΠ°Π»Π΅Π½ΠΈΠ΅ Π² ΠΏΠ°ΡΠ΅Π½Ρ ΠΈΠΌΠ΅ ΠΏΠ΅ΡΠ΅Π½ΠΈ.
ΠΠ΅ΡΠΎΡΡΠ½ΠΎΡΡΡ ΡΠΎΡΠΌΠΈΡΠΎΠ²Π°Π½ΠΈΡ ΡΠΎΠ»Π΅Π²ΡΡ ΠΎΡΠ»ΠΎΠΆΠ΅Π½ΠΈΠΉ Π² ΠΆΠ΅Π»Π΅Π·Π΅ ΡΡΡΠ΅ΡΡΠ²ΡΠ΅Ρ, Π΅ΡΠ»ΠΈ ΡΠ΅Π»ΠΎΠ²Π΅ΠΊ ΠΏΠ΅ΡΠ΅Π½Π΅Ρ:
- ΠΌΠ°Π»ΡΡΠΈΡ;
- Π°ΠΌΠ΅Π±ΠΈΠΎΠ·;
- ΡΡ ΠΈΠ½ΠΎΠΊΠΎΠΊΠΊΠΎΠ·;
- ΡΡΠ±Π΅ΡΠΊΡΠ»Π΅Π·;
- Π²ΠΈΡΡΡΠ½ΡΠΉ ΠΈΠ»ΠΈ Π°Π»ΠΊΠΎΠ³ΠΎΠ»ΡΠ½ΡΠΉ Π³Π΅ΠΏΠ°ΡΠΈΡ.
ΠΠ°Π»ΡΡΠΈΠ½ΠΎΠ· ΠΌΠΎΠΆΠ΅Ρ ΠΎΠ±Π½Π°ΡΡΠΆΠΈΠ²Π°ΡΡΡΡ ΠΈ Ρ ΠΏΠ»ΠΎΠ΄Π° ΠΈΠ»ΠΈ Π½ΠΎΠ²ΠΎΡΠΎΠΆΠ΄Π΅Π½Π½ΠΎΠ³ΠΎ, Ρ
ΠΎΡΡ ΡΡΠΎ ΠΈ ΡΠ²Π»ΡΠ΅ΡΡΡ ΡΠ΅Π΄ΠΊΠΎΡΡΡΡ. ΠΠ°ΡΠΎΠ»ΠΎΠ³ΠΈΡ ΡΠ²ΠΈΠ΄Π΅ΡΠ΅Π»ΡΡΡΠ²ΡΠ΅Ρ ΠΎ Π½Π°ΡΡΡΠ΅Π½ΠΈΠΈ ΡΡΠ½ΠΊΡΠΈΠΈ ΡΠ΅ΡΠ΄ΡΠ° ΠΈΠ»ΠΈ Π΄ΡΡΠ³ΠΈΡ
ΠΎΡΠ³Π°Π½ΠΎΠ².
ΠΠ±ΡΠ·Π²Π΅ΡΡΠ²Π»Π΅Π½Π½ΡΠ΅ ΡΡ
ΠΈΠ½ΠΎΠΊΠΎΠΊΠΊΠΎΠ²ΡΠ΅ ΠΊΠΈΡΡΡ ΠΌΠΎΠ³ΡΡ ΠΏΠΎΠ΄Π²Π΅ΡΠ³Π°ΡΡΡΡ Π½Π°Π³Π½ΠΎΠ΅Π½ΠΈΡ, ΠΏΡΠΈΡΠ΅ΠΌ ΠΏΠ°ΡΠΎΠ»ΠΎΠ³ΠΈΡΠ΅ΡΠΊΠΈΠΉ ΠΏΡΠΎΡΠ΅ΡΡ ΠΏΡΠΎΡΠ΅ΠΊΠ°Π΅Ρ Π±Π΅Π· ΠΆΠ°ΡΠ° ΠΈΠ»ΠΈ ΠΎΡΡΡΠΎΠΉ ΠΊΠ»ΠΈΠ½ΠΈΠΊΠΈ. Π ΠΊΠΈΡΡΠ΅ ΡΠΊΠ°ΠΏΠ»ΠΈΠ²Π°Π΅ΡΡΡ Π³Π°Π· ΠΈ ΠΆΠΈΠ΄ΠΊΠΎΡΡΡ, Π° Π·Π½Π°ΡΠΈΡ, Π΅ΡΡΡ ΡΡΠ»ΠΎΠ²ΠΈΡ ΠΈ Π΄Π»Ρ ΡΠ°Π·Π²ΠΈΡΠΈΡ Π°Π½Π°ΡΡΠΎΠ±Π½ΠΎΠΉ ΠΈΠ½ΡΠ΅ΠΊΡΠΈΠΈ.
ΠΠ°Π»ΡΡΠΈΡΠΈΠΊΠ°ΡΡ Π² ΠΏΠ΅ΡΠ΅Π½ΠΈ ΠΌΠ΅ΡΠ°ΡΡ Π½ΠΎΡΠΌΠ°Π»ΡΠ½ΠΎΠΉ ΡΠ°Π±ΠΎΡΠ΅ ΠΆΠ΅Π»Π΅Π·Ρ, ΠΎΠ½ΠΈ ΠΌΠΎΠ³ΡΡ ΠΏΠ΅ΡΠ΅ΠΊΡΡΡΡ ΠΏΡΠΎΡΠΎΠΊ ΠΈ ΡΠΏΡΠΎΠ²ΠΎΡΠΈΡΠΎΠ²Π°ΡΡ ΠΏΠΎΡΠ΅ΡΠ½ΡΡ ΠΊΠΎΠ»ΠΈΠΊΡ
ΠΡΠΈΠ·Π½Π°ΠΊΠΈ ΠΎΠ±ΡΠ·Π²Π΅ΡΡΠ²Π»Π΅Π½ΠΈΡ ΠΏΠ΅ΡΠ΅Π½ΠΈ
ΠΠ΅ Π²ΡΠ΅Π³Π΄Π° Π½Π°ΡΡΡΠ΅Π½ΠΈΠ΅ ΠΏΡΠΎΡΠ΅ΠΊΠ°Π΅Ρ Ρ ΠΊΠ»ΠΈΠ½ΠΈΡΠ΅ΡΠΊΠΈΠΌΠΈ ΠΏΡΠΎΡΠ²Π»Π΅Π½ΠΈΡΠΌΠΈ. Π Π±ΠΎΠ»ΡΡΠΈΠ½ΡΡΠ²Π΅ ΡΠ»ΡΡΠ°Π΅Π² Π±ΠΎΠ»ΡΠ½ΡΠ΅ ΡΠ·Π½Π°ΡΡ ΠΎ ΠΏΠ°ΡΠΎΠ»ΠΎΠ³ΠΈΠΈ ΡΠΎΠ»ΡΠΊΠΎ ΠΏΡΠΈ ΠΎΠ±ΡΠ°ΡΠ΅Π½ΠΈΠΈ ΠΏΠΎ Π΄ΡΡΠ³ΠΎΠΌΡ Π²ΠΎΠΏΡΠΎΡΡ ΠΈΠ»ΠΈ ΠΏΠΎΡΠ»Π΅ ΠΏΠ»Π°Π½ΠΎΠ²ΠΎΠ³ΠΎ ΠΈΡΡΠ»Π΅Π΄ΠΎΠ²Π°Π½ΠΈΡ.
ΠΠ°Π»ΡΡΠΈΠ½ΠΎΠ· Π½Π΅ ΡΠ²Π»ΡΠ΅ΡΡΡ ΡΠ°ΠΌΠΎΡΡΠΎΡΡΠ΅Π»ΡΠ½ΡΠΌ Π·Π°Π±ΠΎΠ»Π΅Π²Π°Π½ΠΈΠ΅ΠΌ, ΠΏΠΎΡΡΠΎΠΌΡ Π½Π΅ ΠΈΠΌΠ΅Π΅Ρ ΡΠΏΠ΅ΡΠΈΡΠΈΡΠ΅ΡΠΊΠΈΡ ΠΏΡΠΈΠ·Π½Π°ΠΊΠΎΠ². ΠΠ°ΡΠΎΠ»ΠΎΠ³ΠΈΡ ΠΎΠ±Π½Π°ΡΡΠΆΠΈΠ²Π°Π΅ΡΡΡ Ρ ΠΏΠΎΠΌΠΎΡΡΡ ΠΎΠ±ΡΠ΅ΠΊΡΠΈΠ²Π½ΡΡ ΠΌΠ΅ΡΠΎΠ΄ΠΎΠ² ΠΈΡΡΠ»Π΅Π΄ΠΎΠ²Π°Π½ΠΈΡ. ΠΡΠ΅Π΄ΠΏΠΎΠ»ΠΎΠΆΠΈΡΡ Π½Π°ΡΡΡΠ΅Π½ΠΈΠ΅ ΠΌΠΎΠΆΠ½ΠΎ ΠΏΠΎ ΠΊΠ»ΠΈΠ½ΠΈΡΠ΅ΡΠΊΠΎΠΉ ΠΊΠ°ΡΡΠΈΠ½Π΅, ΠΊΠΎΡΠΎΡΠ°Ρ Π²ΠΎΠ·Π½ΠΈΠΊΠ°Π΅Ρ ΠΏΡΠΈ Π²ΠΎΡΠΏΠ°Π»ΠΈΡΠ΅Π»ΡΠ½ΡΡ ΠΏΡΠΎΡΠ΅ΡΡΠ°Ρ Π² ΠΏΠ΅ΡΠ΅Π½ΠΈ.
ΠΡΠ»ΠΈ ΠΊΠ°Π»ΡΡΠΈΡΠΈΠΊΠ°ΡΠΎΠ² Π² ΠΏΠ΅ΡΠ΅Π½ΠΈ ΠΌΠ½ΠΎΠ³ΠΎ, ΡΠΎ ΠΎΠ½ΠΈ ΡΠΏΠΎΡΠΎΠ±Π½Ρ Π²ΡΠ·Π²Π°ΡΡ ΠΏΠΎΡΠ²Π»Π΅Π½ΠΈΠ΅ ΡΠ»Π΅Π΄ΡΡΡΠΈΡ ΡΠΈΠΌΠΏΡΠΎΠΌΠΎΠ²:
- ΡΠΎΡΠ½ΠΎΡΡ, ΡΠ²ΠΎΡΡ;
- ΡΠ½ΠΈΠΆΠ΅Π½ΠΈΠ΅ Π°ΠΏΠΏΠ΅ΡΠΈΡΠ°;
- Π±ΠΎΠ»Π΅Π·Π½Π΅Π½Π½ΡΠ΅ ΠΎΡΡΡΠ΅Π½ΠΈΡ Π² ΠΏΡΠ°Π²ΠΎΠΌ ΠΏΠΎΠ΄ΡΠ΅Π±Π΅ΡΡΠ΅;
- ΠΆΠ΅Π»ΡΡΡΠ½ΠΎΡΡΡ ΠΊΠΎΠΆΠΈ;
- ΡΠ°ΡΡΡΡΠΎΠΉΡΡΠ²ΠΎ ΡΡΡΠ»Π°;
- ΡΠ½ΠΈΠΆΠ΅Π½ΠΈΠ΅ ΡΠ°Π±ΠΎΡΠΎΡΠΏΠΎΡΠΎΠ±Π½ΠΎΡΡΠΈ, ΡΠΌΠΎΡΠΈΠΎΠ½Π°Π»ΡΠ½ΡΡ Π»Π°Π±ΠΈΠ»ΡΠ½ΠΎΡΡΡ.

ΠΡΠΈ ΠΏΠ°ΡΠ°Π·ΠΈΡΠ°ΡΠ½ΠΎΠΌ ΠΏΠΎΡΠ°ΠΆΠ΅Π½ΠΈΠΈ ΠΆΠ΅Π»Π΅Π·Ρ Π²ΠΎΠ·Π½ΠΈΠΊΠ°ΡΡ ΡΠΈΠΌΠΏΡΠΎΠΌΡ ΠΈΠ½ΡΠΎΠΊΡΠΈΠΊΠ°ΡΠΈΠΈ ΠΈ Π°Π»Π»Π΅ΡΠ³ΠΈΡΠ΅ΡΠΊΠΈΠ΅ ΡΠ΅Π°ΠΊΡΠΈΠΈ, Ρ Π°ΡΠ°ΠΊΡΠ΅ΡΠ½Π° Π³Π΅ΠΏΠ°ΡΠΎΡΠΏΠ»Π΅Π½ΠΎΠΌΠ΅Π³Π°Π»ΠΈΡ (ΡΠ²Π΅Π»ΠΈΡΠ΅Π½ΠΈΠ΅ ΠΏΠ΅ΡΠ΅Π½ΠΈ ΠΈ ΡΠ΅Π»Π΅Π·Π΅Π½ΠΊΠΈ).
ΠΡΠΈ ΡΡ ΠΈΠ½ΠΎΠΊΠΎΠΊΠΊΠΎΠ·Π΅ ΠΏΠ΅ΡΠ΅Π½ΠΈ ΠΌΠΎΠΆΠ½ΠΎ ΠΏΡΠΎΡΡΠΏΠ°ΡΡ ΠΎΠΊΡΡΠ³Π»ΠΎΠ΅ ΠΏΠ»ΠΎΡΠ½ΠΎΠ΅ ΠΎΠ±ΡΠ°Π·ΠΎΠ²Π°Π½ΠΈΠ΅ (ΠΊΠΈΡΡΡ). ΠΠΎΠ»ΡΠ½ΠΎΠΉ ΠΏΠ»ΠΎΡ ΠΎ ΡΠΏΠΈΡ, ΡΠ°ΡΡΠΎ ΠΈΡΠΏΡΡΡΠ²Π°Π΅Ρ Π³ΠΎΠ»ΠΎΠ²Π½ΡΠ΅ Π±ΠΎΠ»ΠΈ, Π½Π° ΠΊΠΎΠΆΠ΅ ΠΏΠΎΡΠ²Π»ΡΡΡΡΡ ΡΠ³ΡΠΈ ΠΈ Π²ΡΡΡΠΏΠ°Π½ΠΈΡ, ΠΈΠ·ΠΎ ΡΡΠ° ΠΎΡΡΡΠ°Π΅ΡΡΡ Π½Π΅ΠΏΡΠΈΡΡΠ½ΡΠΉ Π·Π°ΠΏΠ°Ρ .
ΠΡΠ»ΠΈ ΠΊΠ°Π»ΡΡΠΈΠ½ΠΎΠ· ΡΠ°Π·Π²ΠΈΠ»ΡΡ Π½Π° ΡΠΎΠ½Π΅ ΡΡΠ±Π΅ΡΠΊΡΠ»Π΅Π·Π°, ΡΠΎ Π±ΠΎΠ»ΡΠ½ΠΎΠΉ Π±ΡΡΡΡΠΎ Ρ ΡΠ΄Π΅Π΅Ρ, ΠΎΡΡΡΠ°Π΅Ρ ΠΏΠΎΡΡΠΎΡΠ½Π½ΡΡ ΡΠ»Π°Π±ΠΎΡΡΡ, Π±ΠΎΠ»Ρ Π² ΠΏΡΠ°Π²ΠΎΠΌ ΠΏΠΎΠ΄ΡΠ΅Π±Π΅ΡΡΠ΅, ΠΏΠΎΡΠ²Π»ΡΠ΅ΡΡΡ ΡΠ½Π°ΡΠ°Π»Π° ΡΡΡ ΠΎΠΉ ΠΊΠ°ΡΠ΅Π»Ρ, Π° Π·Π°ΡΠ΅ΠΌ ΠΎΡΡ ΠΎΠ΄ΠΈΡ ΠΌΠΎΠΊΡΠΎΡΠ° Ρ ΠΊΡΠΎΠ²ΡΠ½ΡΠΌΠΈ ΡΠ³ΡΡΡΠΊΠ°ΠΌΠΈ. ΠΠ΅ΡΠ΅Π½Ρ ΠΈ ΡΠ΅Π»Π΅Π·Π΅Π½ΠΊΠ° Π·Π½Π°ΡΠΈΡΠ΅Π»ΡΠ½ΠΎ ΡΠ²Π΅Π»ΠΈΡΠ΅Π½Ρ Π² ΡΠ°Π·ΠΌΠ΅ΡΠ΅.
ΠΠ°ΠΊ Π²ΡΡΠ²ΠΈΡΡ Π½Π°ΡΡΡΠ΅Π½ΠΈΠ΅
Π‘ΠΎΠ»ΠΈ ΠΊΠ°Π»ΡΡΠΈΡ ΠΌΠΎΠ³ΡΡ ΡΠΊΠ°ΠΏΠ»ΠΈΠ²Π°ΡΡΡΡ Π² ΠΆΠ΅Π»Π΅Π·Π΅ Π½Π° ΠΏΡΠΎΡΡΠΆΠ΅Π½ΠΈΠΈ Π΄Π»ΠΈΡΠ΅Π»ΡΠ½ΠΎΠ³ΠΎ Π²ΡΠ΅ΠΌΠ΅Π½ΠΈ ΠΏΠΎΡΠ»Π΅ Π²ΠΎΡΠΏΠ°Π»ΠΈΡΠ΅Π»ΡΠ½ΠΎΠ³ΠΎ ΠΏΡΠΎΡΠ΅ΡΡΠ°, ΠΏΠ°ΡΠ°Π·ΠΈΡΠ°ΡΠ½ΠΎΠΉ ΠΈΠ½Π²Π°Π·ΠΈΠΈ ΠΈΠ»ΠΈ ΠΌΠ΅Ρ Π°Π½ΠΈΡΠ΅ΡΠΊΠΎΠΉ ΡΡΠ°Π²ΠΌΡ, ΠΏΡΠΈ ΡΡΠΎΠΌ ΠΊΠ»ΠΈΠ½ΠΈΠΊΠ° ΠΏΠΎΠ»Π½ΠΎΡΡΡΡ ΠΎΡΡΡΡΡΡΠ²ΡΠ΅Ρ ΠΈΠ»ΠΈ ΠΆΠ΅ ΡΠ»Π°Π±ΠΎΠ²ΡΡΠ°ΠΆΠ΅Π½Π°, ΠΏΠΎΡΡΠΎΠΌΡ ΡΠ°ΡΡΠΎ ΠΊΠ°Π»ΡΡΠΈΡΠΈΠΊΠ°ΡΡ ΠΎΠ±Π½Π°ΡΡΠΆΠΈΠ²Π°ΡΡ Π²ΠΎ Π²ΡΠ΅ΠΌΡ ΠΏΡΠΎΡΠΈΠ»Π°ΠΊΡΠΈΡΠ΅ΡΠΊΠΎΠ³ΠΎ ΠΎΡΠΌΠΎΡΡΠ°.
ΠΠ°Π³Π½ΠΈΡΠ½ΠΎ-ΡΠ΅Π·ΠΎΠ½Π°Π½ΡΠ½Π°Ρ ΡΠΎΠΌΠΎΠ³ΡΠ°ΡΠΈΡ ΠΏΠΎΠ·Π²ΠΎΠ»ΡΠ΅Ρ ΡΠ²ΠΈΠ΄Π΅ΡΡ ΡΡΠ΅Ρ
ΠΌΠ΅ΡΠ½ΠΎΠ΅ ΠΈΠ·ΠΎΠ±ΡΠ°ΠΆΠ΅Π½ΠΈΠ΅ ΠΊΠ°ΠΌΠ½Ρ.
Π Π΅Π½ΡΠ³Π΅Π½ΠΎΠ»ΠΎΠ³ΠΈΡΠ΅ΡΠΊΠΎΠ΅ ΠΈΡΡΠ»Π΅Π΄ΠΎΠ²Π°Π½ΠΈΠ΅ ΡΠ°ΠΊΠΆΠ΅ Π΄Π°Π΅Ρ Π²ΠΎΠ·ΠΌΠΎΠΆΠ½ΠΎΡΡΡ ΠΎΠ±Π½Π°ΡΡΠΆΠΈΡΡ ΠΎΡΠ»ΠΎΠΆΠ΅Π½ΠΈΡ. ΠΠ° ΡΠ½ΠΈΠΌΠΊΠ΅ ΠΊΠΎΠ½ΠΊΡΠ΅ΠΌΠ΅Π½Ρ Π²ΡΠ³Π»ΡΠ΄ΠΈΡ ΠΊΠ°ΠΊ ΡΠΎΡΠΌΠΈΡΠΎΠ²Π°Π½ΠΈΠ΅ Ρ Π²ΡΡΠΎΠΊΠΎΠΉ ΠΏΠ»ΠΎΡΠ½ΠΎΡΡΡΡ. Π£Π»ΡΡΡΠ°Π·Π²ΡΠΊΠΎΠ²ΠΎΠ΅ ΠΈΡΡΠ»Π΅Π΄ΠΎΠ²Π°Π½ΠΈΠ΅ ΠΏΠΎΠ·Π²ΠΎΠ»ΡΠ΅Ρ Π²ΡΡΠ²ΠΈΡΡ ΡΠΏΠ»ΠΎΡΠ½Π΅Π½ΠΈΡ Π² ΠΏΠ΅ΡΠ΅Π½ΠΈ.
ΠΠΎΠ½ΠΊΡΠ΅ΠΌΠ΅Π½ΡΡ ΠΌΠΎΠΆΠ½ΠΎ ΡΠ²ΠΈΠ΄Π΅ΡΡ Ρ ΠΏΠΎΠΌΠΎΡΡΡ Π£ΠΠ, ΠΠ Π’, ΠΠ’
ΠΠ°Π»ΡΡΠΈΠ½Π°ΡΡ Π²ΡΠ³Π»ΡΠ΄ΡΡ ΠΊΠ°ΠΊ ΠΌΠ½ΠΎΠΆΠ΅ΡΡΠ²Π΅Π½Π½ΡΠ΅ ΠΈΠ»ΠΈ Π΅Π΄ΠΈΠ½ΠΈΡΠ½ΡΠ΅ ΠΏΠ»ΠΎΡΠ½ΡΠ΅ ΠΎΠ±ΡΠ°Π·ΠΎΠ²Π°Π½ΠΈΡ, Π·Π° ΠΊΠΎΡΠΎΡΡΠΌΠΈ Π΅ΡΡΡ Π°ΠΊΡΡΡΠΈΡΠ΅ΡΠΊΠ°Ρ ΡΠ΅Π½Ρ. ΠΠΎΠΌΠΏΡΡΡΠ΅ΡΠ½Π°Ρ ΡΠΎΠΌΠΎΠ³ΡΠ°ΡΠΈΡ ΠΎΠΏΡΠ΅Π΄Π΅Π»ΡΠ΅Ρ ΡΠΎΡΠ½ΠΎΠ΅ ΠΏΠΎΠ»ΠΎΠΆΠ΅Π½ΠΈΠ΅ ΠΈ ΡΠ°Π·ΠΌΠ΅Ρ ΠΎΡΠ»ΠΎΠΆΠ΅Π½ΠΈΡ. ΠΠ°ΠΊ Π΄ΠΎΠΏΠΎΠ»Π½Π΅Π½ΠΈΠ΅ ΠΊ ΠΈΠ½ΡΡΡΡΠΌΠ΅Π½ΡΠ°Π»ΡΠ½ΠΎΠΌΡ ΠΈΡΡΠ»Π΅Π΄ΠΎΠ²Π°Π½ΠΈΡ ΠΌΠΎΠΆΠ΅Ρ ΠΈΡΠΏΠΎΠ»ΡΠ·ΠΎΠ²Π°ΡΡΡΡ Π±ΠΈΠΎΡ ΠΈΠΌΠΈΡΠ΅ΡΠΊΠΈΠΉ Π°Π½Π°Π»ΠΈΠ· ΠΊΡΠΎΠ²ΠΈ. ΠΠ½ Π΄Π°Π΅Ρ Π²ΠΎΠ·ΠΌΠΎΠΆΠ½ΠΎΡΡΡ ΠΎΡΡΠ»Π΅ΠΆΠΈΠ²Π°ΡΡ ΡΡΠΎΠ²Π΅Π½Ρ ΠΊΠ°Π»ΡΡΠΈΡ Π² ΠΊΡΠΎΠ²ΠΈ.
ΠΠ°ΠΊ ΡΡΡΡΠ°Π½ΠΈΡΡ ΠΊΠ°Π»ΡΡΠΈΠ½Π°ΡΡ
ΠΡΠ»ΠΎΠΆΠ΅Π½ΠΈΠ΅ ΠΊΠ°Π»ΡΡΠΈΡ ΡΡΠΎ ΠΏΠΎΡΠ»Π΅Π΄ΡΡΠ²ΠΈΡ ΠΎΡΠ½ΠΎΠ²Π½ΠΎΠ³ΠΎ Π·Π°Π±ΠΎΠ»Π΅Π²Π°Π½ΠΈΡ, ΠΈΠΌΠ΅Π½Π½ΠΎ Π΅Π³ΠΎ ΠΈ Π½Π΅ΠΎΠ±Ρ
ΠΎΠ΄ΠΈΠΌΠΎ Π»Π΅ΡΠΈΡΡ. ΠΠΎΡΠΎΠΌΡ ΠΏΠ΅ΡΠ΅Π΄ ΡΠ΅ΠΌ ΠΊΠ°ΠΊ ΠΎΠΏΡΠ΅Π΄Π΅Π»ΠΈΡΡΡ Ρ ΡΠ°ΠΊΡΠΈΠΊΠΎΠΉ Π»Π΅ΡΠ΅Π½ΠΈΡ ΡΠΏΠ΅ΡΠΈΠ°Π»ΠΈΡΡ Π΄ΠΎΠ»ΠΆΠ΅Π½ ΠΏΡΠΎΠ²Π΅ΡΡΠΈ ΠΊΠΎΠΌΠΏΠ»Π΅ΠΊΡΠ½ΠΎΠ΅ ΠΎΠ±ΡΠ»Π΅Π΄ΠΎΠ²Π°Π½ΠΈΠ΅ Π±ΠΎΠ»ΡΠ½ΠΎΠ³ΠΎ, ΡΡΡΠ°Π½ΠΎΠ²ΠΈΡΡ Π³Π΄Π΅ Π»ΠΎΠΊΠ°Π»ΠΈΠ·ΡΡΡΡΡ ΠΎΡΠ»ΠΎΠΆΠ΅Π½ΠΈΡ ΠΈ ΠΊΠ°ΠΊΠΎΠ³ΠΎ ΠΎΠ½ΠΈ ΡΠ°Π·ΠΌΠ΅ΡΠ°, Π²ΡΡΡΠ½ΠΈΡΡ ΠΏΡΠΈΡΠΈΠ½Ρ ΠΈΡ
ΠΏΠΎΡΠ²Π»Π΅Π½ΠΈΡ. ΠΡΠΈΡΠΈΠ½Ρ ΠΎΠ±ΡΠ·Π²Π΅ΡΡΠ²Π»Π΅Π½ΠΈΡ ΠΌΠΎΠΆΠ½ΠΎ ΠΏΡΠ΅Π΄ΠΏΠΎΠ»ΠΎΠΆΠΈΡΡ ΠΏΠΎ ΠΊΠΎΠ»ΠΈΡΠ΅ΡΡΠ²Ρ ΠΎΠ±ΡΠ°Π·ΠΎΠ²Π°Π½ΠΈΠΉ, ΠΈΡ
ΡΠ°Π·ΠΌΠ΅ΡΡ ΠΈ ΡΠΎΡΠΌΠ΅, ΠΏΠΎ ΡΠΎΠΌΡ Π² ΠΊΠ°ΠΊΠΈΡ
ΡΠ°ΡΡΡΡ
ΠΆΠ΅Π»Π΅Π·Ρ ΠΎΠ½ΠΈ Π½Π°Ρ
ΠΎΠ΄ΡΡΡΡ.
ΠΡΠ»ΠΈ ΠΊΠ°Π»ΡΡΠΈΡΠΈΠΊΠ°ΡΡ ΡΡΠΎΡΠΌΠΈΡΠΎΠ²Π°Π»ΠΈΡΡ Π² ΡΠ΅Π·ΡΠ»ΡΡΠ°ΡΠ΅ ΡΠΆΠ΅ Π²ΡΠ»Π΅ΡΠ΅Π½Π½ΠΎΠ³ΠΎ Π·Π°Π±ΠΎΠ»Π΅Π²Π°Π½ΠΈΡ, ΡΠΎ Π²ΡΠ°Ρ ΡΠ΅ΡΠ°Π΅Ρ, Π½ΡΠΆΠ½ΠΎ Π»ΠΈ ΠΏΡΠΎΠ²ΠΎΠ΄ΠΈΡΡ ΡΠ΅ΡΠ°ΠΏΠΈΡ. ΠΡΠ»ΠΈ ΠΏΡΠΈΡΠΈΠ½Π° ΠΎΠ±ΡΠ°Π·ΠΎΠ²Π°Π½ΠΈΡ ΠΊΠ°Π»ΡΡΠΈΡΠΈΠΊΠ°ΡΠ° Π² Π²ΠΎΡΠΏΠ°Π»Π΅Π½ΠΈΠΈ ΠΏΠ°ΡΠ΅Π½Ρ ΠΈΠΌΡ ΠΏΠ΅ΡΠ΅Π½ΠΈ Π²ΠΈΡΡΡΠ½ΠΎΠΉ ΡΡΠΈΠΎΠ»ΠΎΠ³ΠΈΠΈ, ΡΠΎ Π½Π΅ΠΎΠ±Ρ ΠΎΠ΄ΠΈΠΌΠΎ ΠΏΡΠΎΠΏΠΈΡΡ ΠΏΡΠΎΡΠΈΠ²ΠΎΠ²ΠΈΡΡΡΠ½ΡΠ΅ ΠΏΡΠ΅ΠΏΠ°ΡΠ°ΡΡ ΠΈ ΠΈΠΌΠΌΡΠ½ΠΎΠΌΠΎΠ΄ΡΠ»ΠΈΡΡΡΡΠΈΠ΅, Π° ΡΠ°ΠΊΠΆΠ΅ Π³Π΅ΠΏΠ°ΡΠΎΠΏΡΠΎΡΠ΅ΠΊΡΠΎΡΡ ΠΈ Π²ΠΈΡΠ°ΠΌΠΈΠ½Ρ. Π’ΠΎΠ»ΡΠΊΠΎ ΠΏΠΎΡΠ»Π΅ ΡΡΡΡΠ°Π½Π΅Π½ΠΈΡ Π²ΠΈΡΡΡΠ½ΠΎΠ³ΠΎ Π³Π΅ΠΏΠ°ΡΠΈΡΠ° Π½ΡΠΆΠ½ΠΎ ΠΏΡΠΈΠ½ΠΈΠΌΠ°ΡΡΡΡ Π·Π° ΡΡΡΡΠ°Π½Π΅Π½ΠΈΠ΅ ΠΊΠΎΠ½ΠΊΡΠ΅ΠΌΠ΅Π½ΡΠΎΠ².
ΠΠ΅ΡΠ΅Π½ΠΈΠ΅ ΠΎΡΡΡΠ΅ΡΡΠ²Π»ΡΠ΅ΡΡΡ Ρ ΠΏΠΎΠΌΠΎΡΡΡ ΡΠ°ΡΡΠ²ΠΎΡΠ° Π ΠΈΠ½Π³Π΅ΡΠ°, Π³Π»ΡΠΊΠΎΠ·Ρ ΠΈ ΡΠ΅ΠΎΡΠΎΡΠ±ΠΈΠ»Π°ΠΊΡΠ°. ΠΠ΅ΠΊΠ°ΡΡΡΠ²Π° Π²Π²ΠΎΠ΄ΡΡΡΡ Π²Π½ΡΡΡΠΈΠ²Π΅Π½Π½ΠΎ. ΠΠ»Ρ ΡΠ°ΡΡΠ²ΠΎΡΠ΅Π½ΠΈΡ ΠΊΠΎΠ½ΠΊΡΠ΅ΠΌΠ΅Π½ΡΠΎΠ² ΠΌΠΎΠ³ΡΡ ΠΏΡΠΈΠΌΠ΅Π½ΡΡΡΡΡ ΠΏΡΠ΅ΠΏΠ°ΡΠ°ΡΡ, ΡΠΎΠ΄Π΅ΡΠΆΠ°ΡΠΈΠ΅ ΠΊΠΈΡΠ»ΠΎΡΡ, ΠΊΠΎΡΠΎΡΡΠ΅ Π½ΡΠΆΠ½ΠΎ ΠΏΡΠΈΠΌΠ΅Π½ΡΡΡ Π² ΡΠ΅ΡΠ΅Π½ΠΈΠ΅ Π΄Π»ΠΈΡΠ΅Π»ΡΠ½ΠΎΠ³ΠΎ Π²ΡΠ΅ΠΌΠ΅Π½ΠΈ. ΠΡΠ°Ρ ΠΌΠΎΠΆΠ΅Ρ Π½Π°Π·Π½Π°ΡΠΈΡΡ Π£ΡΡΠΎΡΠ°Π½ ΠΈΠ»ΠΈ Π£ΡΡΠΎΡΠ°Π»ΡΠΊ.
Π’Π°ΠΊΠΆΠ΅ ΠΌΠΎΠ³ΡΡ Π½Π°Π·Π½Π°ΡΠ°ΡΡΡΡ Π³Π΅ΠΏΠ°ΡΠΎΠΏΡΠΎΡΠ΅ΠΊΡΠΎΡΡ (ΠΠ°ΡΡΠΈΠ», ΠΡΡΠ΅Π½ΡΠΈΡΠ»Π΅, ΠΠ΅ΠΏΡΡΠ°Π», ΠΠΈΠ² 52), ΠΊΠΎΡΠΎΡΡΠ΅ ΠΏΠΎΠΌΠΎΠ³ΡΡ Π½ΠΎΡΠΌΠ°Π»ΠΈΠ·ΠΎΠ²Π°ΡΡ ΡΠ°Π±ΠΎΡΡ ΠΏΠ΅ΡΠ΅Π½ΠΎΡΠ½ΡΡ
ΠΊΠ»Π΅ΡΠΎΠΊ. ΠΡΠ»ΠΈ Π΅ΡΡΡ Π΄ΠΈΡΠΏΠ΅ΠΏΡΠΈΡΠ΅ΡΠΊΠΈΠ΅ ΡΠ°ΡΡΡΡΠΎΠΉΡΡΠ²Π° (ΡΠΎΡΠ½ΠΎΡΠ°, ΡΠ²ΠΎΡΠ°, Π±ΠΎΠ»Ρ Π² ΠΆΠΈΠ²ΠΎΡΠ΅, Π½Π°ΡΡΡΠ΅Π½ΠΈΠ΅ ΡΡΡΠ»Π°), ΡΠΎ Π±ΡΠ΄Π΅Ρ ΡΠ΅ΠΊΠΎΠΌΠ΅Π½Π΄ΠΎΠ²Π°Π½Π° Π»Π΅ΡΠ΅Π±Π½ΠΎΠ΅ ΠΏΠΈΡΠ°Π½ΠΈΠ΅ No5, ΠΊΠΎΡΠΎΡΠΎΠ΅ ΡΠ½ΠΈΠΌΠ°Π΅Ρ ΡΡΠ½ΠΊΡΠΈΠΎΠ½Π°Π»ΡΠ½ΡΡ Π½Π°Π³ΡΡΠ·ΠΊΡ Ρ Π³Π΅ΠΏΠ°ΡΠΎΠ±ΠΈΠ»ΠΈΠ°ΡΠ½ΠΎΠΉ ΡΠΈΡΡΠ΅ΠΌΡ ΠΈ Π΄Π°Π΅Ρ Π²ΠΎΠ·ΠΌΠΎΠΆΠ½ΠΎΡΡΡ Π²ΠΎΡΡΡΠ°Π½ΠΎΠ²ΠΈΡΡΡΡ ΠΏΠΎΡΠ°ΠΆΠ΅Π½Π½ΠΎΠΌΡ ΠΎΡΠ³Π°Π½Ρ.
Π₯ΠΈΡΡΡΠ³ΠΈΡΠ΅ΡΠΊΠΎΠ΅ Π»Π΅ΡΠ΅Π½ΠΈΠ΅ Π½Π΅ΡΠ΅Π»Π΅ΡΠΎΠΎΠ±ΡΠ°Π·Π½ΠΎ, ΠΏΠΎΡΠΊΠΎΠ»ΡΠΊΡ ΡΠ΄Π°Π»Π΅Π½ΠΈΠ΅ ΠΊΠΎΠ½ΠΊΡΠ΅ΠΌΠ΅Π½ΡΠ° Π½Π΅ Π²Π»ΠΈΡΠ΅Ρ Π½Π° ΠΏΡΠΈΡΠΈΠ½Ρ Π΅Π³ΠΎ Π²ΠΎΠ·Π½ΠΈΠΊΠ½ΠΎΠ²Π΅Π½ΠΈΡ ΠΈ ΡΡΠΎ ΡΡΠ°Π²ΠΌΠ°ΡΠΈΡΠ½ΠΎ Π΄Π»Ρ ΠΎΠΊΡΡΠΆΠ°ΡΡΠΈΡ ΡΠΊΠ°Π½Π΅ΠΉ
Π§ΠΈΡΠ°ΠΉΡΠ΅ ΡΠ°ΠΊΠΆΠ΅:
ΠΡΠ»ΠΈ ΠΊΠ°Π»ΡΡΠΈΠ½Π°ΡΡ ΠΎΠ±ΡΠ°Π·ΠΎΠ²Π°Π»ΠΈΡΡ Π½Π° ΡΠΎΠ½Π΅ Π΄Π°Π²Π½ΠΎ ΠΏΠ΅ΡΠ΅Π½Π΅ΡΠ΅Π½Π½ΠΎΠΉ Π±ΠΎΠ»Π΅Π·Π½ΠΈ ΠΈ ΠΎΠ½ΠΈ Π½Π΅ Π²ΡΠ·ΡΠ²Π°ΡΡ ΠΏΠΎΡΠ²Π»Π΅Π½ΠΈΠ΅ Π½Π΅ΠΏΡΠΈΡΡΠ½ΡΡ ΡΠΈΠΌΠΏΡΠΎΠΌΠΎΠ², ΡΠΎ Π² ΠΈΡ ΡΠ΄Π°Π»Π΅Π½ΠΈΠΈ Π½Π΅Ρ Π½Π΅ΠΎΠ±Ρ ΠΎΠ΄ΠΈΠΌΠΎΡΡΠΈ. ΠΡΠ»ΠΈ ΠΊΠ°Π»ΡΡΠΈΠ½Π°ΡΡ ΡΠΎΡΠΌΠΈΡΡΡΡΡΡ Π² ΡΠ΅Π·ΡΠ»ΡΡΠ°ΡΠ΅ Ρ ΡΠΎΠ½ΠΈΡΠ΅ΡΠΊΠΎΠ³ΠΎ Π·Π°Π±ΠΎΠ»Π΅Π²Π°Π½ΠΈΡ, ΡΠΎ Π½Π΅ΠΎΠ±Ρ ΠΎΠ΄ΠΈΠΌΠΎ ΠΏΡΠΎΠΉΡΠΈ ΡΠ΅ΡΠ°ΠΏΠΈΡ, ΠΊΠΎΡΠΎΡΠ°Ρ ΠΏΠΎΠΌΠΎΠΆΠ΅Ρ Π²ΠΎΡΡΡΠ°Π½ΠΎΠ²ΠΈΡΡ ΡΠ°Π±ΠΎΡΡ ΠΏΠΈΡΠ΅Π²Π°ΡΠΈΡΠ΅Π»ΡΠ½ΠΎΠΉ ΡΠΈΡΡΠ΅ΠΌΡ. ΠΠΎ Π²ΡΠ΅ΠΌΡ ΡΠ΅ΠΌΠΈΡΡΠΈΠΈ Π½Π΅ΠΎΠ±Ρ ΠΎΠ΄ΠΈΠΌΠΎ ΠΏΠ΅ΡΠΈΠΎΠ΄ΠΈΡΠ΅ΡΠΊΠΈ ΡΠ΄Π°Π²Π°ΡΡ Π°Π½Π°Π»ΠΈΠ· ΠΊΡΠΎΠ²ΠΈ Π½Π° ΠΎΠΏΡΠ΅Π΄Π΅Π»Π΅Π½ΠΈΠ΅ Π±ΠΈΠΎΡ ΠΈΠΌΠΈΡΠ΅ΡΠΊΠΈΡ ΠΏΠΎΠΊΠ°Π·Π°ΡΠ΅Π»Π΅ΠΉ, ΡΡΠΎΠ±Ρ ΠΎΡΡΠ»Π΅ΠΆΠΈΠ²Π°ΡΡ ΡΡΠΎΠ²Π΅Π½Ρ ΠΊΠ°Π»ΡΡΠΈΡ.
ΠΡΠΈ Π½ΠΎΡΠΌΠ°Π»ΡΠ½ΠΎΠΉ ΡΠ°Π±ΠΎΡΠ΅ ΠΆΠ΅Π»Π΅Π·Ρ ΡΡΡΡΠ°Π½ΡΡΡ ΠΊΠ°Π»ΡΡΠΈΠ½ΠΎΠ· Π½Π΅Ρ Π½Π΅ΠΎΠ±Ρ ΠΎΠ΄ΠΈΠΌΠΎΡΡΠΈ, Π½ΠΎ ΡΠ΅ΠΊΠΎΠΌΠ΅Π½Π΄ΡΠ΅ΡΡΡ ΠΏΡΠΎΡ ΠΎΠ΄ΠΈΡΡ ΠΎΠ΄ΠΈΠ½ ΡΠ°Π· Π² ΡΡΠΈ ΠΌΠ΅ΡΡΡΠ° ΡΠ»ΡΡΡΠ°Π·Π²ΡΠΊΠΎΠ²ΠΎΠ΅ ΠΈΡΡΠ»Π΅Π΄ΠΎΠ²Π°Π½ΠΈΠ΅, ΡΡΠΎΠ±Ρ ΠΊΠΎΠ½ΡΡΠΎΠ»ΠΈΡΠΎΠ²Π°ΡΡ ΡΠ°Π·ΠΌΠ΅Ρ ΠΎΡΠ³Π°Π½Π° ΠΈ ΠΎΠ±ΡΠ°Π·ΠΎΠ²Π°Π½ΠΈΡ. Π’Π΅ΡΠ°ΠΏΠΈΡ Π½Π°Π·Π½Π°ΡΠ°Π΅ΡΡΡ ΡΠΎΠ»ΡΠΊΠΎ, Π΅ΡΠ»ΠΈ ΠΊΠ°Π»ΡΡΠΈΡΠΈΠΊΠ°ΡΡ ΡΠ°ΡΡΡΡ ΠΈΠ»ΠΈ ΠΏΡΠΎΠ΄Π²ΠΈΠ³Π°ΡΡΡΡ ΠΊ ΠΆΠ΅Π»ΡΠ½ΡΠΌ ΠΏΡΠΎΡΠΎΠΊΠ°ΠΌ. ΠΡΠΈ Π²ΠΎΠ·Π½ΠΈΠΊΠ½ΠΎΠ²Π΅Π½ΠΈΠΈ Π΄ΠΈΡΠΊΠΎΠΌΡΠΎΡΡΠ° Π² ΠΎΠ±Π»Π°ΡΡΠΈ ΠΏΠ΅ΡΠ΅Π½ΠΈ, Π½Π°ΡΡΡΠ΅Π½ΠΈΠΈ ΠΏΠΈΡΠ΅Π²Π°ΡΠΈΡΠ΅Π»ΡΠ½ΠΎΠΉ ΡΡΠ½ΠΊΡΠΈΠΈ Π½Π΅ΠΎΠ±Ρ ΠΎΠ΄ΠΈΠΌΠΎ ΠΏΡΠΎΠΊΠΎΠ½ΡΡΠ»ΡΡΠΈΡΠΎΠ²Π°ΡΡΡΡ Ρ Π³Π΅ΠΏΠ°ΡΠΎΠ»ΠΎΠ³ΠΎΠΌ.
ΠΡΠΈΡΠΈΠ½Ρ, ΡΠΈΠΌΠΏΡΠΎΠΌΡ ΠΈ Π»Π΅ΡΠ΅Π½ΠΈΠ΅ ΠΊΠ°Π»ΡΡΠΈΠ½Π°ΡΠΎΠ² Π² ΠΏΠ΅ΡΠ΅Π½ΠΈ
ΠΠ°Π»ΡΡΠΈΠ½Π°ΡΡ Π² ΠΏΠ΅ΡΠ΅Π½ΠΈ β ΡΡΠΎ ΡΠ°ΠΊΠΎΠ΅ ΠΏΠ°ΡΠΎΠ»ΠΎΠ³ΠΈΡΠ΅ΡΠΊΠΎΠ΅ ΡΠΎΡΡΠΎΡΠ½ΠΈΠ΅, ΠΏΡΠΈ ΠΊΠΎΡΠΎΡΠΎΠΌ Π² ΠΎΡΠ³Π°Π½ΠΈΠ·ΠΌΠ΅ Π½Π°ΡΠΈΠ½Π°ΡΡ Π½Π°ΡΡΡΠ°ΡΡΡΡ ΠΎΠ±ΠΌΠ΅Π½Π½ΡΠ΅ ΠΏΡΠΎΡΠ΅ΡΡΡ. ΠΠ°ΡΠΈΠ΅Π½ΡΡ Π½ΡΠΆΠ½ΠΎ ΡΡΠ°ΡΠ΅Π»ΡΠ½ΠΎ ΡΠ»Π΅Π΄ΠΈΡΡ Π·Π° ΡΠ°ΠΌΠΎΡΡΠ²ΡΡΠ²ΠΈΠ΅ΠΌ ΠΈ Π΅ΡΠ»ΠΈ ΠΎΠ½ΠΎ ΡΡ ΡΠ΄ΡΠ°Π΅ΡΡΡ, Π½Π΅ΠΎΠ±Ρ ΠΎΠ΄ΠΈΠΌΠΎ ΠΎΠ±ΡΠ°ΡΠΈΡΡΡΡ ΠΊ Π²ΡΠ°ΡΡ. ΠΠ½ Π½Π°Π·Π½Π°ΡΠΈΡ ΠΊΠΎΠΌΠΏΠ»Π΅ΠΊΡΠ½ΡΡ Π΄ΠΈΠ°Π³Π½ΠΎΡΡΠΈΠΊΡ ΠΈ ΠΎΠΏΡΠ΅Π΄Π΅Π»ΠΈΡ Π½Π°ΠΈΠ±ΠΎΠ»Π΅Π΅ ΡΡΡΠ΅ΠΊΡΠΈΠ²Π½ΡΡ ΡΠ΅ΡΠ°ΠΏΠΈΡ.
Π‘ΠΎΠ΄Π΅ΡΠΆΠ°Π½ΠΈΠ΅ ΡΡΠ°ΡΡΠΈ:
ΠΠ±ΡΠΈΠ΅ ΡΠ²Π΅Π΄Π΅Π½ΠΈΡ
ΠΠ΅ΡΠ΅Π½Ρ ΡΠ²Π»ΡΠ΅ΡΡΡ ΠΎΠ΄Π½ΠΈΠΌ ΠΈΠ· ΡΠ°ΠΌΡΡ ΠΊΡΡΠΏΠ½ΡΡ ΠΎΡΠ³Π°Π½ΠΎΠ² Π²Π½Π΅ΡΠ½Π΅ΠΉ ΡΠ΅ΠΊΡΠ΅ΡΠΈΠΈ. ΠΠ΅Π»Π΅Π·Π° ΠΈΠΌΠ΅Π΅Ρ ΡΠ°Π·Π²ΠΈΡΡΡ Π²Π΅Π½ΠΎΠ·Π½ΡΡ ΡΠΈΡΡΠ΅ΠΌΡ ΠΈ ΠΎΡΠ²Π΅ΡΠ°Π΅Ρ Π·Π° ΡΠ³Π»Π΅Π²ΠΎΠ΄Π½ΡΠ΅, ΠΆΠΈΡΠΎΠ²ΡΠ΅, Π±Π΅Π»ΠΊΠΎΠ²ΡΠ΅, ΠΌΠΈΠ½Π΅ΡΠ°Π»ΡΠ½ΡΠ΅, Π²ΠΈΡΠ°ΠΌΠΈΠ½Π½ΡΠ΅ ΠΏΡΠΎΡΠ΅ΡΡΡ. Π‘ΠΏΠ΅ΡΠΈΡΠΈΡΠ΅ΡΠΊΠ°Ρ ΡΡΠ½ΠΊΡΠΈΡ ΠΏΠ΅ΡΠ΅Π½ΠΈ β ΠΆΠ΅Π»ΡΠ΅ΠΎΠ±ΡΠ°Π·ΠΎΠ²Π°Π½ΠΈΠ΅.
Π§ΡΠΎ ΡΠ°ΠΊΠΎΠ΅ ΠΊΠ°Π»ΡΡΠΈΠ½Π°ΡΡ
ΠΠΎΠ΄ ΠΊΠ°Π»ΡΡΠΈΠ½Π°ΡΠ°ΠΌΠΈ Π² ΠΏΠ΅ΡΠ΅Π½ΠΈ ΠΏΠΎΠ΄ΡΠ°Π·ΡΠΌΠ΅Π²Π°ΡΡ Π½Π΅Π±ΠΎΠ»ΡΡΠΈΠ΅ ΠΎΠ±ΡΠ°Π·ΠΎΠ²Π°Π½ΠΈΡ, Π² ΡΠΎΡΡΠ°Π² ΠΊΠΎΡΠΎΡΡΡ Π²Ρ ΠΎΠ΄ΡΡ ΡΠΎΠ»Π΅Π²ΡΠ΅ ΠΊΠΎΠΌΠΏΠΎΠ½Π΅Π½ΡΡ. ΠΠ½ΠΈ Π½Π°ΡΠΈΠ½Π°ΡΡ ΡΠΎΡΠΌΠΈΡΠΎΠ²Π°ΡΡΡΡ ΠΏΠΎΡΠ»Π΅ Π»Π΅ΡΠ΅Π½ΠΈΡ ΡΠ΅ΡΡΠ΅Π·Π½ΠΎΠ³ΠΎ ΠΎΡΠ°Π³ΠΎΠ²ΠΎΠ³ΠΎ Π²ΠΎΡΠΏΠ°Π»Π΅Π½ΠΈΡ ΠΈΠ»ΠΈ Π±ΠΎΠ»Π΅Π·Π½Π΅ΠΉ ΠΈΠ½ΡΠ΅ΠΊΡΠΈΠΎΠ½Π½ΠΎΠΉ ΠΏΡΠΈΡΠΎΠ΄Ρ, ΠΊ ΠΏΡΠΈΠΌΠ΅ΡΡ, Π΅ΡΠ»ΠΈ ΠΏΠ°ΡΠΈΠ΅Π½Ρ ΠΏΠ΅ΡΠ΅Π½Π΅Ρ Π³Π΅ΠΏΠ°ΡΠΈΡ Π²ΠΈΡΡΡΠ½ΠΎΠΉ ΡΠΎΡΠΌΡ. ΠΠΎΠ²ΠΎΠΎΠ±ΡΠ°Π·ΠΎΠ²Π°Π½ΠΈΡ ΡΠ°ΠΊΠΆΠ΅ ΠΌΠΎΠ³ΡΡ ΠΏΠΎΡΠ²ΠΈΡΡΡΡ ΠΏΡΠΈ ΡΡΠ°Π²ΠΌΠΈΡΠΎΠ²Π°Π½ΠΈΠΈ ΠΈΠ»ΠΈ Π½Π°Π»ΠΈΡΠΈΠΈ Π³Π»ΠΈΡΡΠ½ΡΡ ΠΈΠ½Π²Π°Π·ΠΈΠΉ. ΠΠ±ΡΠ·Π²Π΅ΡΡΠ²Π»Π΅Π½ΠΈΠ΅ ΡΠ°Π·Π²ΠΈΠ²Π°Π΅ΡΡΡ ΠΏΠΎΡΠ»Π΅ Π½Π°ΡΡΡΠ΅Π½ΠΈΡ ΠΎΠ±ΠΌΠ΅Π½Π½ΠΎΠ³ΠΎ ΠΏΡΠΎΡΠ΅ΡΡΠ°.
ΠΠΈΠ΄Ρ ΠΏΠ°ΡΠΎΠ»ΠΎΠ³ΠΈΠΈ
Π‘ΡΡΠ΅ΡΡΠ²ΡΠ΅Ρ Π½Π΅ΡΠΊΠΎΠ»ΡΠΊΠΎ ΡΠ°Π·Π½ΠΎΠ²ΠΈΠ΄Π½ΠΎΡΡΠ΅ΠΉ ΠΊΠ°Π»ΡΡΠΈΠ½Π°ΡΠΎΠ². ΠΡ ΠΊΠ»Π°ΡΡΠΈΡΠΈΠΊΠ°ΡΠΈΡ Π·Π°Π²ΠΈΡΠΈΡ ΠΎΡ ΠΌΠ΅ΡΡΠ° ΡΠΊΠ°Π½Π΅Π²ΠΎΠ³ΠΎ ΠΏΠΎΡΠ°ΠΆΠ΅Π½ΠΈΡ, ΠΊΠΎΠ»ΠΈΡΠ΅ΡΡΠ²Π° ΠΈ ΡΠ°Π·ΠΌΠ΅ΡΠ°. Π’ΠΈΠΏΠΈΡΠΎΠ²Π°Π½ΠΈΠ΅ ΡΠ°ΠΊΠΆΠ΅ ΡΠ²ΡΠ·Π°Π½ΠΎ Ρ ΡΠ°Π·Π½ΠΈΡΠ΅ΠΉ Π² ΡΠΎΡΡΠΎΡΠ½ΠΈΠΈ ΠΎΠ±ΠΌΠ΅Π½Π° ΠΊΠ°Π»ΡΡΠΈΡ ΠΈ ΠΏΡΠΎΡΠ΅ΠΊΠ°Π½ΠΈΠ΅ΠΌ Π·Π°Π±ΠΎΠ»Π΅Π²Π°Π½ΠΈΡ.
ΠΠ΄ΠΈΠ½ΠΈΡΠ½ΡΠ΅ ΠΈ ΠΌΠ½ΠΎΠΆΠ΅ΡΡΠ²Π΅Π½Π½ΡΠ΅
ΠΠ΄ΠΈΠ½ΠΈΡΠ½ΡΠΉ ΠΊΠ°Π»ΡΡΠΈΠ½Π°Ρ Π½Π°ΡΠΈΠ½Π°Π΅Ρ ΡΠΎΡΠΌΠΈΡΠΎΠ²Π°ΡΡΡΡ ΠΏΠΎΡΡΠ΅ΠΏΠ΅Π½Π½ΠΎ. ΠΠ°ΡΠΎΠ»ΠΎΠ³ΠΈΡΠ΅ΡΠΊΠΈΠ΅ ΠΏΡΠΎΡΠ΅ΡΡΡ ΠΏΡΠΎΠΈΡΡ ΠΎΠ΄ΡΡ ΠΏΠΎΡΠ»Π΅ Π·Π°ΡΠ°ΠΆΠ΅Π½ΠΈΡ ΠΏΠ°ΡΠ°Π·ΠΈΡΠ°ΠΌΠΈ ΠΈ ΡΠ°Π·Π½ΡΠΌΠΈ Π³Π΅Π»ΡΠΌΠΈΠ½ΡΠ°ΠΌΠΈ. ΠΡΠ»ΠΈ ΠΏΠ°ΡΠΈΠ΅Π½ΡΡ ΠΈΠ³Π½ΠΎΡΠΈΡΡΡΡ Π»Π΅ΡΠ΅Π½ΠΈΠ΅, Π²ΠΎΡΠΏΠ°Π»ΠΈΡΠ΅Π»ΡΠ½ΡΠΉ ΠΏΡΠΎΡΠ΅ΡΡ ΠΏΡΠΎΠ³ΡΠ΅ΡΡΠΈΡΡΠ΅Ρ. ΠΠΎΠ·Π½ΠΈΠΊΠ°Π΅Ρ ΠΏΠΎΡΠ°ΠΆΠ΅Π½ΠΈΠ΅ Π·Π΄ΠΎΡΠΎΠ²ΡΡ ΡΠΊΠ°Π½Π΅ΠΉ ΠΈ Π²Π½ΡΡΡΠΈ ΠΏΠ΅ΡΠ΅Π½ΠΈ ΠΎΠ±ΡΠ°Π·ΠΎΠ²ΡΠ²Π°Π΅ΡΡΡ Π½Π΅ΡΠΊΠΎΠ»ΡΠΊΠΎ ΠΎΡΠ°Π³ΠΎΠ². Π ΡΡΠΈΡ ΠΌΠ΅ΡΡΠ°Ρ ΠΏΠΎΡΡΠ΅ΠΏΠ΅Π½Π½ΠΎ ΠΏΠΎΡΠ²Π»ΡΡΡΡΡ ΠΌΠ½ΠΎΠΆΠ΅ΡΡΠ²Π΅Π½Π½ΡΠ΅ ΠΊΠ°Π»ΡΡΠΈΠ½Π°ΡΡ.
ΠΡΡΠΏΠ½ΡΠ΅ ΠΈ ΠΌΠ΅Π»ΠΊΠΈΠ΅
ΠΠΎ Π²ΡΠ΅ΠΌΡ Π΄ΠΈΠ°Π³Π½ΠΎΡΡΠΈΠΊΠΈ Π²ΡΠ°Ρ ΠΎΠ±ΡΠ·Π°ΡΠ΅Π»ΡΠ½ΠΎ ΡΠΌΠΎΡΡΠΈΡ Π½Π° ΡΠ°Π·ΠΌΠ΅Ρ ΠΊΠ°Π»ΡΡΠΈΠ½Π°ΡΠΎΠ², ΡΡΠΎΠ±Ρ Π½Π°Π·Π½Π°ΡΠΈΡΡ ΡΠΎΠΎΡΠ²Π΅ΡΡΡΠ²ΡΡΡΠ΅Π΅ Π»Π΅ΡΠ΅Π½ΠΈΠ΅. ΠΠ΅Π»ΠΊΠΈΠ΅ ΠΊΠ°ΠΌΠ΅ΡΠΊΠΈ ΡΠ²Π΅Π»ΠΈΡΠΈΠ²Π°ΡΡΡΡ Π΄ΠΎ 1 ΠΌΠΌ Π² Π΄ΠΈΠ°ΠΌΠ΅ΡΡΠ΅. ΠΡΡΠΏΠ½ΡΠ΅ ΠΌΠΎΠ³ΡΡ Π΄ΠΎΡΡΠΈΠ³Π°ΡΡ Π΄ΠΎ 3 ΠΌΠΌ ΠΈ Π±ΠΎΠ»Π΅Π΅.
ΠΠΈΠ½Π΅ΠΉΠ½ΡΠ΅ ΠΈ ΠΊΡΡΠ³Π»ΡΠ΅
ΠΡΠ΅ ΠΎΠ΄ΠΈΠ½ Ρ Π°ΡΠ°ΠΊΡΠ΅ΡΠ½ΡΠΉ ΠΏΡΠΈΠ·Π½Π°ΠΊ β ΠΎΠ±Π»ΠΈΠΊ ΠΎΠ±ΡΠ°Π·ΠΎΠ²Π°Π½ΠΈΠΉ. ΠΠ°ΠΊ ΠΏΡΠ°Π²ΠΈΠ»ΠΎ, ΠΎΠ½ΠΈ Π±ΡΠ²Π°ΡΡ Π»ΠΈΠ½Π΅ΠΉΠ½ΡΠΌΠΈ, Π²ΡΡΡΡΠΎΠ΅Π½Π½ΡΠΌΠΈ Π² ΠΎΠ΄Π½Ρ ΠΏΠΎΠ»ΠΎΡΡ ΠΈ ΠΌΠΎΠ³ΡΡ ΠΈΠΌΠ΅ΡΡ ΠΎΠΊΡΡΠ³Π»ΡΠ΅ ΠΊΡΠ°Ρ. ΠΡΠΈ Π²ΡΠ±ΠΎΡΠ΅ ΠΏΡΠ°Π²ΠΈΠ»ΡΠ½ΠΎΠ³ΠΎ ΠΌΠ΅ΡΠΎΠ΄Π° Π»Π΅ΡΠ΅Π½ΠΈΡ Π²ΡΠ°Ρ ΠΎΠ±ΡΠ·Π°ΡΠ΅Π»ΡΠ½ΠΎ ΠΈΠ·ΡΡΠΈΡ ΡΡΡΡΠΊΡΡΡΡ, Π° ΡΠ°ΠΊΠΆΠ΅ ΡΠΎΡΠΌΡ ΠΊΠ°Π»ΡΡΠΈΠ½Π°ΡΠΎΠ²
ΠΠ΅Π²ΠΎΠΉ ΠΈΠ»ΠΈ ΠΏΡΠ°Π²ΠΎΠΉ Π΄ΠΎΠ»ΠΈ
ΠΠ°Π»ΡΡΠΈΠ½Π°ΡΡ ΠΌΠΎΠ³ΡΡ ΡΠΎΡΠΌΠΈΡΠΎΠ²Π°ΡΡΡΡ Π² ΠΏΡΠ°Π²ΠΎΠΉ ΠΈΠ»ΠΈ Π»Π΅Π²ΠΎΠΉ Π΄ΠΎΠ»ΠΈ ΠΏΠ΅ΡΠ΅Π½ΠΈ Ρ Π²Π·ΡΠΎΡΠ»ΡΡ , Π² ΠΏΡΠΎΡΠΎΠΊΠ°Ρ , Π² ΡΠΎΡΡΠ΄Π°Ρ ΠΆΠ΅Π»Π΅Π·Ρ. ΠΡΠΈ ΡΠ°ΠΊΠΎΠΌ ΡΠ°ΡΠΏΠΎΠ»ΠΎΠΆΠ΅Π½ΠΈΠΈ ΠΎΠ½ΠΈ ΡΡΠ°Π½ΠΎΠ²ΡΡΡΡ ΠΏΡΠΈΡΠΈΠ½ΠΎΠΉ Π½Π°ΡΡΡΠ΅Π½ΠΈΡ ΡΠ°Π±ΠΎΡΡ ΠΏΠ΅ΡΠ΅Π½ΠΎΡΠ½ΡΡ ΠΊΠ»Π΅ΡΠΎΠΊ Π² ΠΎΠΏΡΠ΅Π΄Π΅Π»Π΅Π½Π½ΠΎΠΌ ΡΠ΅Π³ΠΌΠ΅Π½ΡΠ΅, ΠΏΠΎΡΡΠΎΠΌΡ ΠΏΡΠ΅Π΄ΡΡΠ°Π²Π»ΡΡΡ ΡΠ΅ΡΡΠ΅Π·Π½ΡΡ ΠΎΠΏΠ°ΡΠ½ΠΎΡΡΡ Π΄Π»Ρ Π·Π΄ΠΎΡΠΎΠ²ΡΡ. ΠΠ΅ΡΠ΅Π΄ΠΊΠΎ ΠΎΠ½ΠΈ Π½Π°Ρ ΠΎΠ΄ΡΡΡΡ Π²ΠΎΠ·Π»Π΅ Π²ΡΠ²ΠΎΠ΄ΡΡΠΈΡ ΠΏΡΠΎΡΠΎΠΊΠΎΠ².
ΠΡΠΈΡΠΈΠ½Ρ ΡΠ°Π·Π²ΠΈΡΠΈΡ ΠΏΠ°ΡΠΎΠ»ΠΎΠ³ΠΈΠΈ ΠΈ ΡΠ°ΠΊΡΠΎΡΡ ΡΠΈΡΠΊΠ°
ΠΠ°ΠΌΠ΅ΡΠΊΠΈ ΠΏΠΎΡΠ²Π»ΡΡΡΡΡ ΠΏΡΠΈ ΠΏΠ°ΡΠΎΠ»ΠΎΠ³ΠΈΡΠ΅ΡΠΊΠΈΡ ΠΏΡΠΎΡΠ΅ΡΡΠ°Ρ ΡΠ°Π·Π½ΠΎΠΉ ΡΡΠΈΠΎΠ»ΠΎΠ³ΠΈΠΈ. ΠΡΠ»ΠΎΠΆΠ΅Π½ΠΈΡ ΡΠΎΠ»Π΅ΠΉ Π²ΠΎΠ·Π½ΠΈΠΊΠ°Π΅Ρ ΠΏΡΠΈ Π΄Π»ΠΈΡΠ΅Π»ΡΠ½ΠΎΠΌ ΠΈΠ»ΠΈ ΡΡΠΆΠ΅Π»ΠΎΠΌ Π²ΠΎΡΠΏΠ°Π»Π΅Π½ΠΈΠΈ, Π΅ΡΠ»ΠΈ ΠΏΠ°ΡΠΈΠ΅Π½ΡΡ Π½Π°Π·Π½Π°ΡΠ΅Π½ΠΎ Π½Π΅ΡΡΡΠ΅ΠΊΡΠΈΠ²Π½ΠΎΠ΅ ΠΈΠ»ΠΈ Π½Π΅ΠΏΡΠ°Π²ΠΈΠ»ΡΠ½ΠΎΠ΅ Π»Π΅ΡΠ΅Π½ΠΈΠ΅. ΠΡΠ½ΠΎΠ²Π½ΡΠ΅ ΠΏΡΠΈΡΠΈΠ½Ρ ΠΊΠ°Π»ΡΡΠΈΠ½ΠΎΠ·Π°:
- Π½Π°ΡΡΡΠ΅Π½ΠΈΠ΅ ΠΌΠ΅ΡΠ°Π±ΠΎΠ»ΠΈΡΠ΅ΡΠΊΠΈΡ ΠΏΡΠΎΡΠ΅ΡΡΠΎΠ²;
- ΠΏΡΠΎΠ³ΡΠ΅ΡΡΠΈΡΠΎΠ²Π°Π½ΠΈΠ΅ ΠΈΠ½Π²Π°Π·ΠΈΠΎΠ½Π½ΡΡ Π±ΠΎΠ»Π΅Π·Π½Π΅ΠΉ;
- Π½Π°Π»ΠΈΡΠΈΠ΅ ΠΎΡΠ°Π³ΠΎΠ² Π²ΠΎΡΠΏΠ°Π»Π΅Π½ΠΈΡ Π² ΠΌΡΠ³ΠΊΠΈΡ ΡΠΊΠ°Π½ΡΡ ;
- ΡΡΠ±Π΅ΡΠΊΡΠ»Π΅Π· Π² ΠΎΡΠ»ΠΎΠΆΠ½Π΅Π½Π½ΠΎΠΉ ΡΠΎΡΠΌΠ΅.
ΠΠ°ΠΆΠ½ΠΎ Π·Π½Π°ΡΡ! ΠΠΎΡΠΏΠ°Π»Π΅Π½ΠΈΠ΅ Π»Π΅Π³ΠΊΠΎΠΉ ΡΠΎΡΠΌΡ ΠΌΠΎΠΆΠ΅Ρ ΡΡΠ°ΡΡ ΠΏΡΠΈΡΠΈΠ½ΠΎΠΉ ΠΎΡΠ»ΠΎΠΆΠ΅Π½ΠΈΠΉ ΠΌΠΈΠΊΡΠΎΠΊΠ°Π»ΡΡΠΈΠ½Π°ΡΠΎΠ². ΠΠ½ΠΈ Π²ΠΎΠ·Π½ΠΈΠΊΠ°ΡΡ Π²ΠΎ Π²ΡΠ΅ΠΌΡ ΠΏΠ°ΡΠ°Π·ΠΈΡΠ°ΡΠ½ΡΡ Π±ΠΎΠ»Π΅Π·Π½Π΅ΠΉ, ΠΊΠΎΠ³Π΄Π° Π² ΠΎΡΠ³Π°Π½ΠΈΠ·ΠΌΠ΅ ΠΏΠΎΡΠ²Π»ΡΡΡΡΡ Π³Π΅Π»ΡΠΌΠΈΠ½ΡΡ.
ΠΠΎΡΠ»Π΅Π΄ΡΡΠ²ΠΈΡ ΠΊΠ°Π»ΡΡΠΈΠ½ΠΎΠ·Π°
ΠΠ΅ΡΠ΅Π½ΠΎΡΠ½ΡΠ΅ ΠΊΠ°Π»ΡΡΠΈΠ½Π°ΡΡ ΡΠ΅Π΄ΠΊΠΎ ΠΏΡΠΎΡΠ²Π»ΡΡΡ ΡΠ΅Π±Ρ ΡΡΠΊΠΎ Π²ΡΡΠ°ΠΆΠ΅Π½Π½ΡΠΌΠΈ ΡΠΈΠΌΠΏΡΠΎΠΌΠ°ΠΌΠΈ. Π ΡΠ΅Π·ΡΠ»ΡΡΠ°ΡΠ΅ Π΄Π»ΠΈΡΠ΅Π»ΡΠ½ΠΎΠ³ΠΎ Π½Π°Ρ ΠΎΠΆΠ΄Π΅Π½ΠΈΡ Π² ΠΌΡΠ³ΠΊΠΈΡ ΡΠΊΠ°Π½ΡΡ , ΠΎΠ½ΠΈ ΠΏΡΠΈΠ²ΠΎΠ΄ΡΡ ΠΊ Π½Π΅ΠΎΠ±ΡΠ°ΡΠΈΠΌΡΠΌ ΠΏΠΎΡΠ»Π΅Π΄ΡΡΠ²ΠΈΡΠΌ.
ΠΠΎΡΠΊΠΎΠ»ΡΠΊΡ ΠΏΠ΅ΡΠ΅Π½Ρ ΠΎΡΠ²Π΅ΡΠ°Π΅Ρ Π·Π° ΡΠΈΡΠΊΡΠ»ΡΡΠΈΡ ΠΊΡΠΎΠ²ΠΈ ΠΈ ΠΆΠ΅Π»ΡΠΈ, ΡΠΎ ΠΏΡΠΈ Π»ΡΠ±ΡΡ Π½Π°ΡΡΡΠ΅Π½ΠΈΡΡ ΠΏΠ°ΡΠΈΠ΅Π½ΡΡ ΠΎΡΡΡΠ°ΡΡ ΡΠ΅Π·ΠΊΠΎΠ΅ ΡΡ ΡΠ΄ΡΠ΅Π½ΠΈΠ΅ ΡΠ°ΠΌΠΎΡΡΠ²ΡΡΠ²ΠΈΡ. ΠΠ°Π»ΡΡΠΈΠ½Π°ΡΡ ΡΠ°ΠΊΠΆΠ΅ ΡΠ²Π»ΡΡΡΡΡ ΡΠ°ΠΊΡΠΎΡΠΎΠΌ ΡΠΈΡΠΊΠ° ΡΠ°Π·Π²ΠΈΡΠΈΡ ΠΎΠ½ΠΊΠΎΠ»ΠΎΠ³ΠΈΡΠ΅ΡΠΊΠΈΡ Π±ΠΎΠ»Π΅Π·Π½Π΅ΠΉ.
ΠΡΠΎΠ±Π΅Π½Π½ΠΎΡΡΠΈ ΠΊΠ°Π»ΡΡΠΈΠ½ΠΎΠ·Π° Ρ Π½ΠΎΠ²ΠΎΡΠΎΠΆΠ΄Π΅Π½Π½ΡΡ
ΠΠ°Π»ΡΡΠΈΠ½ΠΎΠ· Ρ Π΄Π΅ΡΠ΅ΠΉ Ρ ΡΠΎΠΆΠ΄Π΅Π½ΠΈΡ ΠΏΠΎΡΠ²Π»ΡΠ΅ΡΡΡ Π² ΡΠ΅Π΄ΠΊΠΈΡ ΡΠΈΡΡΠ°ΡΠΈΡΡ . ΠΠΎ ΠΈΠ½ΠΎΠ³Π΄Π°, Π²ΠΎ Π²ΡΠ΅ΠΌΡ ΠΎΠ±ΡΠ»Π΅Π΄ΠΎΠ²Π°Π½ΠΈΡ, Ρ Π½ΠΎΠ²ΠΎΡΠΎΠΆΠ΄Π΅Π½Π½ΡΡ ΠΌΠ°Π»ΡΡΠ΅ΠΉ Π΄ΠΈΠ°Π³Π½ΠΎΡΡΠΈΡΡΡΡ ΠΎΡΠ»ΠΎΠΆΠ΅Π½ΠΈΡ ΡΠΎΠ»Π΅ΠΉ. Π ΡΠ°Π·Π²ΠΈΡΠΈΡ ΡΡΠΎΠΉ ΠΏΠ°ΡΠΎΠ»ΠΎΠ³ΠΈΠΈ ΠΏΡΠΈΠ²ΠΎΠ΄ΡΡ Π±ΠΎΠ»Π΅Π·Π½ΠΈ ΡΠ΅ΡΠ΄ΡΠ° ΠΈ Π΄ΡΡΠ³ΠΈΡ Π²Π½ΡΡΡΠ΅Π½Π½ΠΈΡ ΠΎΡΠ³Π°Π½ΠΎΠ².
ΠΡΠΎΠΌΠ΅ ΡΠΎΠ³ΠΎ, ΠΎΡΠΌΠ΅ΡΠ΅Π½ΠΎ ΠΏΠΎΡΠ²Π»Π΅Π½ΠΈΠ΅ ΠΊΠ°Π»ΡΡΠΈΠ½Π°ΡΠΎΠ² Ρ ΠΌΠ»Π°Π΄Π΅Π½ΡΠ΅Π² Π² ΡΠΎΠΌ ΡΠ»ΡΡΠ°Π΅, Π΅ΡΠ»ΠΈ Π²ΠΎ Π²ΡΠ΅ΠΌΡ Π±Π΅ΡΠ΅ΠΌΠ΅Π½Π½ΠΎΡΡΠΈ ΠΌΠ°ΡΡ Π½Π΅ΠΏΡΠ°Π²ΠΈΠ»ΡΠ½ΠΎ ΠΏΠΈΡΠ°Π»Π°ΡΡ ΠΈ Π½Π΅ ΡΠΎΠ±Π»ΡΠ΄Π°Π»Π° ΡΠ΅ΠΆΠΈΠΌ ΠΎΡΠ΄ΡΡ Π°.
ΠΡΠΈ ΠΏΠΎΠ΄ΡΠ²Π΅ΡΠΆΠ΄Π΅Π½ΠΈΠΈ Π΄ΠΈΠ°Π³Π½ΠΎΠ·Π° ΡΠ΅Π±Π΅Π½ΠΊΠ° Π½ΡΠΆΠ½ΠΎ ΡΠ΅Π³ΡΠ»ΡΡΠ½ΠΎ ΠΏΠΎΠΊΠ°Π·ΡΠ²Π°ΡΡ Π΄ΠΎΠΊΡΠΎΡΡ. ΠΠ΅ΡΠ΅Π½ΠΈΠ΅ Π·Π°Π²ΠΈΡΠΈΡ ΠΎΡ ΡΠ»ΠΎΠΆΠ½ΠΎΡΡΠΈ ΠΏΠ°ΡΠΎΠ»ΠΎΠ³ΠΈΠΈ, Π½Π°Π»ΠΈΡΠΈΡ ΠΏΠΎΡΠ°ΠΆΠ΅Π½ΠΈΡ ΡΠΎΡΠ΅Π΄Π½ΠΈΡ ΠΎΡΠ³Π°Π½ΠΎΠ².
Π‘ΠΈΠΌΠΏΡΠΎΠΌΡ Π½Π°Π»ΠΈΡΠΈΡ ΠΊΠ°Π»ΡΡΠΈΠ½ΠΎΠ·Π°
Π‘ΠΈΠΌΠΏΡΠΎΠΌΡ ΠΊΠ°Π»ΡΡΠΈΠ½ΠΎΠ·Π° ΡΠ΅Π΄ΠΊΠΎ ΠΏΡΠΎΡΠ²Π»ΡΡΡ ΡΠ΅Π±Ρ ΠΎΡΡΡΠΎΠΉ Π±ΠΎΠ»ΡΡ. ΠΠΎ ΡΠ²ΠΎΠ΅ΠΌΡ Ρ Π°ΡΠ°ΠΊΡΠ΅ΡΡ ΠΎΠ½ΠΈ Π½Π°ΠΏΠΎΠΌΠΈΠ½Π°ΡΡ ΠΏΡΠΎΠ³ΡΠ΅ΡΡΠΈΡΠΎΠ²Π°Π½ΠΈΠ΅ Π³Π΅ΠΏΠ°ΡΠΈΡΠ°. ΠΠΎΠΆΠ½ΠΎ Π²ΡΠ΄Π΅Π»ΠΈΡΡ ΡΠ»Π΅Π΄ΡΡΡΠΈΠ΅ ΠΏΡΠΈΠ·Π½Π°ΠΊΠΈ Π·Π°Π±ΠΎΠ»Π΅Π²Π°Π½ΠΈΡ:
- ΡΠ½ΠΈΠΆΠ΅Π½ΠΈΠ΅ Π°ΠΏΠΏΠ΅ΡΠΈΡΠ°, ΡΠΎΡΠ½ΠΎΡΠ°;
- Π±ΠΎΠ»Π΅Π·Π½Π΅Π½Π½ΠΎΡΡΡ Π² ΠΎΠ±Π»Π°ΡΡΠΈ ΠΏΡΠ°Π²ΠΎΠ³ΠΎ ΠΏΠΎΠ΄ΡΠ΅Π±Π΅ΡΡΡ;
- ΡΠ°ΡΡΡΡΠΎΠΉΡΡΠ²ΠΎ ΠΏΠΈΡΠ΅Π²Π°ΡΠΈΡΠ΅Π»ΡΠ½ΠΎΠΉ ΡΠΈΡΡΠ΅ΠΌΡ;
- Π±ΡΡΡΡΠ°Ρ ΡΡΠΎΠΌΠ»ΡΠ΅ΠΌΠΎΡΡΡ;
- Π³ΠΎΠ»ΠΎΠ²ΠΎΠΊΡΡΠΆΠ΅Π½ΠΈΠ΅;
- Π±ΡΡΡΡΠΎΠ΅ ΡΠ½ΠΈΠΆΠ΅Π½ΠΈΠ΅ Π²Π΅ΡΠ°.
ΠΠ½ΠΈΠΌΠ°Π½ΠΈΠ΅! ΠΠ»Π°Π²Π½ΡΠΉ ΠΏΡΠΈΠ·Π½Π°ΠΊ ΡΠ°Π·Π²ΠΈΡΠΈΡ ΠΊΠ°Π»ΡΡΠΈΠ½ΠΎΠ·Π° β ΠΊΠΎΠΆΠ° ΡΡΠ°Π½ΠΎΠ²ΠΈΡΡΡ ΡΡΠΊΠΎ-ΠΆΠ΅Π»ΡΠΎΠ³ΠΎ ΠΎΠΊΡΠ°ΡΠ°. ΠΠΎΠ³Π΄Π° Π² ΠΎΡΠ³Π°Π½ΠΈΠ·ΠΌΠ΅ ΡΠ°ΡΡΡΠ³ΠΈΠ²Π°Π΅ΡΡΡ Π³Π»ΠΈΡΡΠΎΠ½ΠΎΠ²Π° ΠΊΠ°ΠΏΡΡΠ»Π°, Π²ΠΎΠ·Π½ΠΈΠΊΠ°Π΅Ρ ΠΎΡΡΡΠ°Ρ Π±ΠΎΠ»Ρ ΠΏΠΎΠ΄ ΡΠ΅Π±ΡΠ°ΠΌΠΈ.
ΠΠΈΠ°Π³Π½ΠΎΡΡΠΈΡΠ΅ΡΠΊΠΈΠ΅ ΠΏΡΠΎΡΠ΅Π΄ΡΡΡ
ΠΠ°Π»ΡΡΠΈΠ½ΠΎΠ· ΡΠ°ΡΡΠΎ ΠΏΡΠΎΡΠ΅ΠΊΠ°Π΅Ρ Π² ΡΠΊΡΡΡΠΎΠΉ ΡΠΎΡΠΌΠ΅, ΠΏΠΎΡΡΠΎΠΌΡ Π΅Π³ΠΎ Π΄ΠΈΠ°Π³Π½ΠΎΡΡΠΈΡΡΡΡ, ΠΊΠ°ΠΊ ΠΏΡΠ°Π²ΠΈΠ»ΠΎ, ΡΠ»ΡΡΠ°ΠΉΠ½ΡΠΌ ΠΎΠ±ΡΠ°Π·ΠΎΠΌ ΠΈΠ»ΠΈ Π²ΠΎ Π²ΡΠ΅ΠΌΡ ΠΏΠ»Π°Π½ΠΎΠ²ΠΎΠ³ΠΎ ΠΎΠ±ΡΠ»Π΅Π΄ΠΎΠ²Π°Π½ΠΈΡ. ΠΠΎΠ»ΡΡΠ΅Π½Π½Π°Ρ ΠΈΠ½ΡΠΎΡΠΌΠ°ΡΠΈΡ ΠΎΠΏΡΠ΅Π΄Π΅Π»ΡΠ΅Ρ Π΄Π°Π»ΡΠ½Π΅ΠΉΡΡΡ Π»Π΅ΡΠ΅Π±Π½ΡΡ ΡΠ°ΠΊΡΠΈΠΊΡ.
- ΠΠ°Π±ΠΎΡΠ°ΡΠΎΡΠ½ΡΠ΅ Π°Π½Π°Π»ΠΈΠ·Ρ. ΠΠ°Π±ΠΎΡΠ°ΡΠΎΡΠ½ΡΠ΅ ΠΈΡΡΠ»Π΅Π΄ΠΎΠ²Π°Π½ΠΈΡ Π½Π΅ Π²ΡΠ΅Π³Π΄Π° ΠΏΠΎΠΊΠ°Π·ΡΠ²Π°ΡΡ ΡΠ΅Π°Π»ΡΠ½ΡΡ ΠΊΠ»ΠΈΠ½ΠΈΡΠ΅ΡΠΊΡΡ ΠΊΠ°ΡΡΠΈΠ½Ρ, ΠΊΠΎΡΠΎΡΠ°Ρ ΠΏΡΠΎΠΈΡΡ ΠΎΠ΄ΠΈΡ Π²Π½ΡΡΡΠΈ ΠΏΠ΅ΡΠ΅Π½ΠΈ. ΠΠΎ ΠΏΡΠΈ ΠΏΠΎΠ΄ΠΎΠ·ΡΠ΅Π½ΠΈΠΈ Π½Π° ΠΊΠ°Π»ΡΡΠΈΠ½ΠΎΠ· Π²ΡΠ°Ρ ΠΎΠ±ΡΠ·Π°ΡΠ΅Π»ΡΠ½ΠΎ Π½Π°Π·Π½Π°ΡΠ°Π΅Ρ Π±ΠΈΠΎΡ ΠΈΠΌΠΈΡΠ΅ΡΠΊΠΈΠΉ Π°Π½Π°Π»ΠΈΠ· ΠΊΡΠΎΠ²ΠΈ. ΠΡΠΎΡ ΠΌΠ΅ΡΠΎΠ΄ ΠΏΠΎΠΌΠΎΠ³Π°Π΅Ρ ΠΎΠΏΡΠ΅Π΄Π΅Π»ΠΈΡΡ ΠΊΠΎΠ½ΡΠ΅Π½ΡΡΠ°ΡΠΈΡ ΠΈΠΎΠ½ΠΎΠ² ΠΊΠ°Π»ΡΡΠΈΡ. ΠΡΠ»ΠΈ ΡΡΠΎΠ²Π΅Π½Ρ Π½Π°Ρ ΠΎΠ΄ΠΈΡΡΡ Π²ΡΡΠ΅ Π½ΠΎΡΠΌΡ, Π²ΡΠ°Ρ ΡΠ°ΡΡΠΈΡΡΠ΅Ρ Π΄ΠΈΠ°Π³Π½ΠΎΡΡΠΈΡΠ΅ΡΠΊΠΈΠΉ ΠΏΠΎΠΈΡΠΊ.
- ΠΠ Π’. ΠΠ°Π³Π½ΠΈΡΠ½ΠΎ-ΡΠ΅Π·ΠΎΠ½Π°Π½ΡΠ½Π°Ρ ΡΠΎΠΌΠΎΠ³ΡΠ°ΡΠΈΡ ΡΠ²Π»ΡΠ΅ΡΡΡ Π½Π°ΠΈΠ±ΠΎΠ»Π΅Π΅ ΠΈΠ½ΡΠΎΡΠΌΠ°ΡΠΈΠ²Π½ΡΠΌ ΠΈ ΠΏΡΠΎΡΡΡΠΌ ΡΠΏΠΎΡΠΎΠ±ΠΎΠΌ Π΄ΠΈΠ°Π³Π½ΠΎΡΡΠΈΠΊΠΈ. ΠΠΎ Π²ΡΠ΅ΠΌΡ ΠΏΡΠΎΠ²Π΅Π΄Π΅Π½ΠΈΡ ΠΏΡΠΎΡΠ΅Π΄ΡΡΡ Π½Π° ΠΌΠΎΠ½ΠΈΡΠΎΡΠ΅ ΠΎΡΠΎΠ±ΡΠ°ΠΆΠ°ΡΡΡΡ ΠΊΠ°Π»ΡΡΠΈΠ½Π°ΡΡ Π² ΡΡΠ΅Ρ ΠΌΠ΅ΡΠ½ΠΎΠΌ Π²ΠΈΠ΄Π΅. Π Π½Π΅Π΄ΠΎΡΡΠ°ΡΠΊΠ°ΠΌ ΡΡΠΎΠ³ΠΎ ΠΌΠ΅ΡΠΎΠ΄Π° ΠΎΠ±ΡΠ»Π΅Π΄ΠΎΠ²Π°Π½ΠΈΡ ΠΎΡΠ½ΠΎΡΡΡ Π²ΡΡΠΎΠΊΡΡ ΡΡΠΎΠΈΠΌΠΎΡΡΡ. ΠΠ»ΡΡΠ΅ΡΠ½Π°ΡΠΈΠ²Π° ΠΠ Π’ β ΡΠ΅Π½ΡΠ³Π΅Π½ ΡΠ½ΠΈΠΌΠΎΠΊ. ΠΡΠΈ Π½Π°Π»ΠΈΡΠΈΠΈ ΠΊΠ°Π»ΡΡΠΈΡΠΈΠΊΠ°ΡΠΎΠ² Π² ΠΏΠ΅ΡΠ΅Π½ΠΈ Π²ΡΠ°Ρ Π²ΠΈΠ΄ΠΈΡ ΠΎΠ±ΡΠ°Π·ΠΎΠ²Π°Π½ΠΈΡ, ΠΊΠΎΡΠΎΡΡΠ΅ ΠΈΠΌΠ΅ΡΡ Π²ΡΡΠΎΠΊΠΈΠΉ ΡΡΠΎΠ²Π΅Π½Ρ ΠΏΠ»ΠΎΡΠ½ΠΎΡΡΠΈ.
- Π£ΠΠ.Β ΠΡΠΈΠΌΠ΅Π½ΡΠ΅ΡΡΡ Π² ΡΠ΅Π΄ΠΊΠΈΡ ΡΠ»ΡΡΠ°ΡΡ . ΠΠΎ Π²ΡΠ΅ΠΌΡ ΠΎΠ±ΡΠ»Π΅Π΄ΠΎΠ²Π°Π½ΠΈΡ ΠΏΡΠΈ ΠΏΠΎΠΌΠΎΡΠΈ Π£ΠΠ Π²ΡΠ°Ρ Π½Π΅ ΠΌΠΎΠΆΠ΅Ρ ΡΠΎΡΠ½ΠΎ ΠΎΠΏΡΠ΅Π΄Π΅Π»ΠΈΡΡ ΡΠΎΡΠΌΡ ΠΈ Π²ΠΈΠ΄ ΠΊΠ°Π»ΡΡΠΈΠ½Π°ΡΠΎΠ². ΠΠ° ΠΌΠΎΠ½ΠΈΡΠΎΡΠ΅ Π²ΠΈΠ΄Π½Ρ ΡΠΎΠ»ΡΠΊΠΎ ΡΠΏΠ»ΠΎΡΠ½Π΅Π½ΠΈΡ ΠΈΠ»ΠΈ ΡΠ³ΡΡΡΠΊΠΈ, ΠΊΠΎΡΠΎΡΡΠ΅ Π΄Π°ΡΡ ΡΠ΅Π½Ρ. Π£Π»ΡΡΡΠ°Π·Π²ΡΠΊ ΠΏΡΠΈΠΌΠ΅Π½ΡΡΡ Π² ΠΊΠΎΠΌΠΏΠ»Π΅ΠΊΡΠ΅ Ρ Π΄ΡΡΠ³ΠΈΠΌΠΈ ΠΌΠ΅ΡΠΎΠ΄Π°ΠΌΠΈ.
ΠΠ΅ΡΠΎΠ΄Ρ Π»Π΅ΡΠ΅Π½ΠΈΡ
ΠΡΠΈ Π²ΡΡΠ°Π±ΠΎΡΠΊΠ΅ Π»Π΅ΡΠ΅Π±Π½ΠΎΠΉ ΡΠ°ΠΊΡΠΈΠΊΠΈ Π²ΡΠ°Ρ ΡΡΠΈΡΡΠ²Π°Π΅Ρ ΡΠΎΡ ΡΠ°ΠΊΡ, ΡΡΠΎ ΠΊΠ°Π»ΡΡΠΈΠ½ΠΎΠ· ΡΠ°Π·Π²ΠΈΠ²Π°Π΅ΡΡΡ Π²ΡΠ»Π΅Π΄ΡΡΠ²ΠΈΠ΅ Π΄ΡΡΠ³ΠΈΡ Π±ΠΎΠ»Π΅Π·Π½Π΅ΠΉ. Π’Π΅ΡΠ°ΠΏΠΈΡ Π΄ΠΎΠ»ΠΆΠ½Π° Π±ΡΡΡ ΠΊΠΎΠΌΠΏΠ»Π΅ΠΊΡΠ½ΠΎΠΉ, ΡΡΠΎΠ±Ρ ΡΡΡΡΠ°Π½ΠΈΡΡ ΠΏΡΠΈΡΠΈΠ½Ρ ΠΎΡΠ½ΠΎΠ²Π½ΠΎΠΉ ΠΏΠ°ΡΠΎΠ»ΠΎΠ³ΠΈΠΈ.
ΠΠ΅Π΄ΠΈΠΊΠ°ΠΌΠ΅Π½ΡΠΎΠ·Π½ΡΠ΅
ΠΡΠ»ΠΈ ΡΠΎΠ»Π΅Π²ΡΠ΅ ΠΎΡΠ»ΠΎΠΆΠ΅Π½ΠΈΡ Π½Π°ΠΊΠ°ΠΏΠ»ΠΈΠ²Π°ΡΡΡΡ Π² ΠΏΠ΅ΡΠ΅Π½ΠΈ ΠΏΡΠΈ ΠΏΡΠΎΠ³ΡΠ΅ΡΡΠΈΡΠΎΠ²Π°Π½ΠΈΠΈ Π³Π΅ΠΏΠ°ΡΠΈΡΠ°, ΠΏΠ°ΡΠΈΠ΅Π½ΡΡ Π½Π°Π·Π½Π°ΡΠ°ΡΡ ΠΏΡΠΎΡΠΈΠ²ΠΎΠ²ΠΈΡΡΡΠ½ΡΠ΅ ΠΈ ΠΈΠΌΠΌΡΠ½ΠΎΠΌΠΎΠ΄ΡΠ»ΠΈΡΡΡΡΠΈΠ΅ ΠΏΡΠ΅ΠΏΠ°ΡΠ°ΡΡ. ΠΡ ΠΏΡΠΈΠ½ΠΈΠΌΠ°ΡΡ ΡΡΡΠΎΠ³ΠΎ ΠΏΠΎ ΠΈΠ½ΡΡΡΡΠΊΡΠΈΠΈ. ΠΠ°ΠΈΠ±ΠΎΠ»Π΅Π΅ ΡΡΡΠ΅ΠΊΡΠΈΠ²Π½ΡΠΌ ΡΡΠ΅Π΄ΡΡΠ²ΠΎΠΌ ΡΠ²Π»ΡΠ΅ΡΡΡ Β«Π£ΡΡΠΎΡΠ°Π½Β», Π½ΠΎ Π΅Π³ΠΎ ΠΌΠΎΠΆΠ½ΠΎ ΠΏΠΈΡΡ ΡΠΎΠ»ΡΠΊΠΎ ΠΏΠΎΠ΄ Π½Π°Π±Π»ΡΠ΄Π΅Π½ΠΈΠ΅ΠΌ Π²ΡΠ°ΡΠ°. ΠΠΎΡΠ»Π΅ ΠΏΡΠΎΡ ΠΎΠΆΠ΄Π΅Π½ΠΈΡ Π»Π΅ΠΊΠ°ΡΡΡΠ²Π΅Π½Π½ΠΎΠΉ ΡΠ΅ΡΠ°ΠΏΠΈΠΈ Π΄ΠΎΠΊΡΠΎΡ Π½Π°Π·Π½Π°ΡΠ°Π΅Ρ ΠΌΠ΅ΡΠΎΠ΄ ΡΡΡΡΠ°Π½Π΅Π½ΠΈΡ ΠΎΠ±ΡΠ°Π·ΠΎΠ²Π°Π½ΠΈΠΉ Π² ΠΏΠ΅ΡΠ΅Π½ΠΈ.
ΠΠΎ Π²ΡΠ΅ΠΌΡ Π»Π΅ΡΠ΅Π½ΠΈΡ ΡΠΎΠ΅Π΄ΠΈΠ½ΡΡΡ ΡΠ°ΡΡΠ²ΠΎΡ Π ΠΈΠ½Π³Π΅ΡΠ°, ΡΠ΅ΠΎΡΠΎΡΠ±ΠΈΠ»Π°ΠΊΡ ΠΈ Π³Π»ΡΠΊΠΎΠ·Ρ. ΠΡΠ΅ΠΏΠ°ΡΠ°ΡΡ Π²Π²ΠΎΠ΄ΡΡΡΡ Π²Π½ΡΡΡΠΈΠ²Π΅Π½Π½ΠΎ. ΠΡΠ»ΠΈ ΠΏΠ°ΡΠΎΠ»ΠΎΠ³ΠΈΡΠ΅ΡΠΊΠΈΠ΅ ΠΏΡΠΎΡΠ΅ΡΡΡ ΠΊΠ°Π»ΡΡΠΈΡΠΈΠΊΠ°ΡΠΈΠΈ Π² ΠΎΡΠ³Π°Π½ΠΈΠ·ΠΌΠ΅ ΠΏΡΠΈΠ²Π΅Π»ΠΈ ΠΊ ΠΏΠΎΡΠ°ΠΆΠ΅Π½ΠΈΡ ΠΏΠΎΡΠ΅ΠΊ, ΠΏΠ°ΡΠΈΠ΅Π½ΡΡ Π½ΡΠΆΠ½ΠΎ ΠΏΡΠΎΡ ΠΎΠ΄ΠΈΡΡ Π³Π΅ΠΌΠΎΠ΄ΠΈΠ°Π»ΠΈΠ· ΠΈΠ»ΠΈ Π²Π½Π΅ΠΏΠΎΡΠ΅ΡΠ½ΠΎΠ΅ ΠΎΡΠΈΡΠ΅Π½ΠΈΠ΅ ΠΊΡΠΎΠ²ΠΈ.
ΠΠ΅ΡΠ΅Π½ΠΈΠ΅ Ρ ΠΈΡΡΡΠ³ΠΈΡΠ΅ΡΠΊΠΈΠΌ ΠΏΡΡΠ΅ΠΌ ΠΏΡΠΎΡΠΈΠ²ΠΎΠΏΠΎΠΊΠ°Π·Π°Π½ΠΎ, ΠΏΠΎΡΠΊΠΎΠ»ΡΠΊΡ Π²ΠΎ Π²ΡΠ΅ΠΌΡ ΠΎΠΏΠ΅ΡΠ°ΡΠΈΠΈ ΠΌΠΎΠΆΠ½ΠΎ ΠΏΠΎΠ²ΡΠ΅Π΄ΠΈΡΡ ΡΠΎΡΠ΅Π΄Π½ΠΈΠ΅ ΠΎΡΠ³Π°Π½Ρ, ΡΠ΅Π»Π΅Π·Π΅Π½ΠΊΡ ΠΈ Π·Π΄ΠΎΡΠΎΠ²ΡΠ΅ ΡΠΊΠ°Π½ΠΈ. Π‘ΡΡΠ΅ΡΡΠ²ΡΠ΅Ρ ΡΠΈΡΠΊ ΡΠ°Π·Π²ΠΈΡΠΈΡ Π΅ΡΠ΅ Π±ΠΎΠ»Π΅Π΅ ΡΠ΅ΡΡΠ΅Π·Π½ΡΡ ΠΎΡΠ»ΠΎΠΆΠ½Π΅Π½ΠΈΠΉ.
ΠΠ°ΡΠΎΠ΄Π½ΡΠ΅ ΡΡΠ΅Π΄ΡΡΠ²Π°
ΠΠΌΠ΅ΡΡΠ΅ Ρ ΠΌΠ΅Π΄ΠΈΠΊΠ°ΠΌΠ΅Π½ΡΠΎΠ·Π½ΠΎΠΉ ΡΠ΅ΡΠ°ΠΏΠΈΠ΅ΠΉ ΠΏΠ°ΡΠΈΠ΅Π½ΡΡ Π½Π°Π·Π½Π°ΡΠ°ΡΡ Π½Π°ΡΠΎΠ΄Π½ΡΠ΅ ΡΡΠ΅Π΄ΡΡΠ²Π°. ΠΡΠ»ΠΈ ΠΌΠΈΠ½Π΅ΡΠ°Π»ΡΠ½ΡΠ΅ ΡΠ³ΡΡΡΠΊΠΈ ΠΎΡΠΊΠ»Π°Π΄ΡΠ²Π°ΡΡΡΡ ΠΏΡΠΈ ΠΏΠΎΡΠ°ΠΆΠ΅Π½ΠΈΠΈ Π³Π»ΠΈΡΡΠ½ΡΠΌΠΈ ΠΈΠ½Π²Π°Π·ΠΈΡΠΌΠΈ, Π±ΠΎΠ»ΡΠ½ΠΎΠΌΡ ΡΠ΅ΠΊΠΎΠΌΠ΅Π½Π΄ΡΡΡ ΠΈΡΠΏΠΎΠ»ΡΠ·ΠΎΠ²Π°ΡΡ ΡΡΠΊΠ²Ρ.
Π’ΡΠΊΠ²Π΅Π½Π½Π°Ρ ΠΌΡΠΊΠΎΡΡ ΡΠΏΠΎΡΠΎΠ±ΡΡΠ²ΡΠ΅Ρ Π½ΠΎΡΠΌΠ°Π»ΠΈΠ·Π°ΡΠΈΠΈ ΡΡΠ½ΠΊΡΠΈΠΎΠ½ΠΈΡΠΎΠ²Π°Π½ΠΈΡ ΠΏΠ΅ΡΠ΅Π½ΠΈ, Π° ΡΠ°ΠΊΠΆΠ΅ Π³Π΅ΠΏΠ°ΡΠΎΠ±ΠΈΠ»ΠΈΠ°ΡΠ½ΡΡ ΠΎΡΠ³Π°Π½ΠΎΠ². ΠΠ΅ ΠΌΠΎΠΆΠ½ΠΎ ΠΎΡΠ²Π°ΡΠΈΡΡ, ΠΏΡΠΈΠ³ΠΎΡΠΎΠ²ΠΈΡΡ Π½Π° ΠΏΠ°ΡΡ ΠΈΠ»ΠΈ Π·Π°ΠΏΠ΅ΡΡ Π² Π΄ΡΡ ΠΎΠ²ΠΎΠΌ ΡΠΊΠ°ΡΡ Ρ ΠΌΠ΅Π΄ΠΎΠΌ. ΠΠΎΠ»ΠΎΠΆΠΈΡΠ΅Π»ΡΠ½ΠΎΠ΅ Π²Π»ΠΈΡΠ½ΠΈΠ΅ Π½Π° ΠΏΠ΅ΡΠ΅Π½Ρ ΠΎΠΊΠ°Π·ΡΠ²Π°ΡΡ ΠΈ ΡΠ±ΠΎΡΡ ΡΡΠ°Π². Π Π΅ΠΊΠΎΠΌΠ΅Π½Π΄ΡΠ΅ΡΡΡ Π·Π°Π²Π°ΡΠΈΠ²Π°ΡΡ ΡΠ°ΡΡΠΎΡΠΎΠΏΡΡ, ΡΡΠΎΠ±Ρ Π²ΡΠ²Π΅ΡΡΠΈ ΠΌΠ΅Π»ΠΊΠΈΠ΅ ΠΎΠ±ΡΠ°Π·ΠΎΠ²Π°Π½ΠΈΡ.
ΠΡΠ°ΡΠΈ ΡΡ ΠΎΠ΄ΡΡΡΡ Π²ΠΎ ΠΌΠ½Π΅Π½ΠΈΠΈ, ΡΡΠΎ ΡΠ°ΠΊΠΎΠ΅ Π»Π΅ΡΠ΅Π½ΠΈΠ΅ ΠΊΠ°Π»ΡΡΠΈΠ½Π°ΡΠΎΠ² ΠΏΠ΅ΡΠ΅Π½ΠΈ β ΡΡΠΎ Π½Π°ΠΈΠ±ΠΎΠ»Π΅Π΅ ΠΏΡΠ°Π²ΠΈΠ»ΡΠ½ΡΠΉ Π²Π°ΡΠΈΠ°Π½Ρ. Π‘ΡΠ΅Π΄ΡΡΠ²Π° Π½Π°ΡΠΎΠ΄Π½ΠΎΠΉ ΠΌΠ΅Π΄ΠΈΡΠΈΠ½Ρ Π½Π΅ ΠΎΠΊΠ°Π·ΡΠ²Π°ΡΡ Π½Π΅Π³Π°ΡΠΈΠ²Π½ΠΎΠ³ΠΎ Π²ΠΎΠ·Π΄Π΅ΠΉΡΡΠ²ΠΈΡ Π½Π° ΡΠ°Π±ΠΎΡΡ Π²Π½ΡΡΡΠ΅Π½Π½ΠΈΡ ΠΎΡΠ³Π°Π½ΠΎΠ².
ΠΠΈΠ΅ΡΠ°
ΠΠΎΠ³Π΄Π° ΠΏΠ°ΡΠΈΠ΅Π½Ρ ΠΏΡΠΈΠ½ΠΈΠΌΠ°Π΅Ρ Π»Π΅ΠΊΠ°ΡΡΡΠ²Π°, Π΅ΠΌΡ Π½Π΅ΠΎΠ±Ρ ΠΎΠ΄ΠΈΠΌΠΎ ΠΏΡΠΈΠ΄Π΅ΡΠΆΠΈΠ²Π°ΡΡΡΡ ΠΏΡΠΈΠ½ΡΠΈΠΏΠΎΠ² ΠΏΡΠ°Π²ΠΈΠ»ΡΠ½ΠΎΠ³ΠΎ ΠΏΠΈΡΠ°Π½ΠΈΡ. ΠΡΠΈ ΠΏΠΎΠΌΠΎΡΠΈ ΠΏΡΠΎΠ΄ΡΠΊΡΠΎΠ² ΠΌΠΎΠΆΠ½ΠΎ Π½ΠΎΡΠΌΠ°Π»ΠΈΠ·ΠΎΠ²Π°ΡΡ ΡΡΠ½ΠΊΡΠΈΠΎΠ½ΠΈΡΠΎΠ²Π°Π½ΠΈΠ΅ ΠΆΠ΅Π»ΡΠΈ ΠΈ Π²ΠΎΡΡΡΠ°Π½ΠΎΠ²ΠΈΡΡ ΠΏΠ΅ΡΠ΅Π½Ρ.
ΠΠ΄Π½ΠΈΠΌ ΠΈΠ· ΠΎΡΠ½ΠΎΠ²Π½ΡΡ ΡΡΠ»ΠΎΠ²ΠΈΠΉ Π΄ΠΈΠ΅ΡΡ ΡΠ²Π»ΡΠ΅ΡΡΡ ΠΌΠ°ΠΊΡΠΈΠΌΠ°Π»ΡΠ½ΠΎ ΡΠ°Π΄ΡΡΠΈΠΉ Π²ΡΠ±ΠΎΡ ΠΈΠ½Π³ΡΠ΅Π΄ΠΈΠ΅Π½ΡΠΎΠ².Β ΠΡΡΠΎ Π΄ΠΎΠ»ΠΆΠ½ΠΎ Π±ΡΡΡ ΠΏΠΎΡΡΠ½ΡΠΌ, Π½Π΅Π»ΡΠ·Ρ Π΅ΡΡΡ ΠΆΠΈΡΠ½ΡΡ ΠΏΠΈΡΡ ΠΈ ΠΊΠΎΠΏΡΠ΅Π½ΠΎΡΡΠΈ. ΠΠ°ΠΆΠ½ΠΎ ΠΏΡΠ°Π²ΠΈΠ»ΡΠ½ΠΎ ΠΎΠ±ΡΠ°Π±Π°ΡΡΠ²Π°ΡΡ ΠΏΡΠΎΠ΄ΡΠΊΡΡ, Π½Π΅ ΠΆΠ°ΡΠΈΡΡ ΠΈΡ Π½Π° ΡΠ°ΡΡΠΈΡΠ΅Π»ΡΠ½ΠΎΠΌ ΠΌΠ°ΡΠ»Π΅. ΠΠΎΠ½Π΄ΠΈΡΠ΅ΡΡΠΊΠΈΠ΅ ΠΈΠ·Π΄Π΅Π»ΠΈΡ ΠΈ ΡΠΎΠΊΠΎΠ»Π°Π΄ Π½Π°Ρ ΠΎΠ΄ΡΡΡΡ ΠΏΠΎΠ΄ ΡΡΡΠΎΠ³ΠΈΠΌ Π·Π°ΠΏΡΠ΅ΡΠΎΠΌ. Π‘ΡΠΎΡΠΌΠΈΡΠΎΠ²Π°ΡΡ ΡΠ°ΡΠΈΠΎΠ½ ΠΏΠΎΠΌΠΎΠΆΠ΅Ρ Π»Π΅ΡΠ°ΡΠΈΠΉ Π²ΡΠ°Ρ.
ΠΡΠΎΡΠΈΠ»Π°ΠΊΡΠΈΡΠ΅ΡΠΊΠΈΠ΅ ΠΌΠ΅ΡΡ
ΠΠ°ΠΌΠ΅ΡΠΊΠΈ Π½Π΅ Π±ΡΠ΄ΡΡ ΠΏΠΎΡΠ²Π»ΡΡΡΡΡ Π² ΠΏΠ΅ΡΠ΅Π½ΠΈ, Π΅ΡΠ»ΠΈ ΠΏΠ°ΡΠΈΠ΅Π½Ρ ΠΎΡΠΊΠ°ΠΆΠ΅ΡΡΡ ΠΎΡ Π²ΡΠ΅Π΄Π½ΡΡ ΠΏΡΠΈΠ²ΡΡΠ΅ΠΊ. ΠΠ»ΠΊΠΎΠ³ΠΎΠ»Ρ Π½Π°Ρ ΠΎΠ΄ΠΈΡΡΡ ΠΏΠΎΠ΄ ΡΡΡΠΎΠ³ΠΈΠΌ Π·Π°ΠΏΡΠ΅ΡΠΎΠΌ. ΠΠ· ΠΌΠ΅Π½Ρ ΡΠ°ΠΊΠΆΠ΅ ΠΈΡΠΊΠ»ΡΡΠ°ΡΡ ΠΊΡΠ΅ΠΏΠΊΠΈΠΉ ΡΠ°ΠΉ, ΠΊΠΎΡΠ΅ ΠΈ ΠΊΠ°ΠΊΠ°ΠΎ. ΠΠ° ΡΠΎΡΡΠΎΡΠ½ΠΈΠΈ ΠΏΠ΅ΡΠ΅Π½ΠΈ Π²Π»ΠΈΡΡΡ ΠΈ ΡΠ»Π°Π΄ΠΊΠΈΠ΅ Π³Π°Π·ΠΈΡΠΎΠ²Π°Π½Π½ΡΠ΅ Π½Π°ΠΏΠΈΡΠΊΠΈ. ΠΡ ΠΌΠΎΠΆΠ½ΠΎ Π·Π°ΠΌΠ΅Π½ΠΈΡΡ Π²ΠΎΠ΄ΠΎΠΉ, ΡΠ°Π΅ΠΌ ΠΈΠ· Π»Π΅ΠΊΠ°ΡΡΡΠ²Π΅Π½Π½ΡΡ ΡΡΠ°Π², ΡΠ²Π΅ΠΆΠ΅Π²ΡΠΆΠ°ΡΡΠΌ ΡΠΎΠΊΠΎΠΌ.
Π‘ΠΎΠ²Π΅Ρ! ΠΠ°ΡΠΈΠ΅Π½ΡΠ°ΠΌ ΠΎΠ±ΡΠ·Π°ΡΠ΅Π»ΡΠ½ΠΎ Π½ΡΠΆΠ½ΠΎ Π²Π΅ΡΡΠΈ Π°ΠΊΡΠΈΠ²Π½ΡΠΉ ΠΎΠ±ΡΠ°Π· ΠΆΠΈΠ·Π½ΠΈ. Π£ΠΏΡΠ°ΠΆΠ½Π΅Π½ΠΈΡ ΠΈ Π΅ΠΆΠ΅Π΄Π½Π΅Π²Π½Π°Ρ Π³ΠΈΠΌΠ½Π°ΡΡΠΈΠΊΠ° ΠΏΠΎΠΌΠΎΠ³Π°Π΅Ρ Π½Π°ΡΡΡΠΈΡΡ ΠΏΠ΅ΡΠ΅Π½Ρ, Π° ΡΠ°ΠΊΠΆΠ΅ Π΄ΡΡΠ³ΠΈΠ΅ Π²Π½ΡΡΡΠ΅Π½Π½ΠΈΠ΅ ΠΎΡΠ³Π°Π½Ρ ΠΊΠΈΡΠ»ΠΎΡΠΎΠ΄ΠΎΠΌ.
ΠΡΠ»ΠΈ Ρ ΠΏΠ°ΡΠΈΠ΅Π½ΡΠ° Π²ΠΎΠ·Π½ΠΈΠΊΠ°Π΅Ρ Π±ΠΎΠ»Π΅Π·Π½Π΅Π½Π½ΠΎΡΡΡ ΠΏΠΎΠ΄ ΡΠ΅Π±ΡΠ°ΠΌΠΈ ΠΏΡΠΈ ΡΠ°ΡΠΏΡΠΎΡΡΡΠ°Π½Π΅Π½ΠΈΠΈ ΠΈΠ½ΡΠ΅ΠΊΡΠΈΠΈ ΠΏΠΎ ΠΎΡΠ³Π°Π½ΠΈΠ·ΠΌΡ β ΡΡΠΎ ΠΊΠ°Π»ΡΡΠΈΠ½ΠΎΠ· ΠΏΠ΅ΡΠ΅Π½ΠΈ, ΡΡΠΎ ΠΌΠΎΠΆΠ΅Ρ Π½Π΅Π³Π°ΡΠΈΠ²Π½ΠΎ ΠΎΡΡΠ°Π·ΠΈΡΡΡΡ Π½Π° Π·Π΄ΠΎΡΠΎΠ²ΡΠ΅ Π±ΠΎΠ»ΡΠ½ΠΎΠ³ΠΎ.
ΠΠ΅Π·Π°Π²ΠΈΡΠΈΠΌΠΎ ΠΎΡ ΡΠ°ΡΠΏΠΎΠ»ΠΎΠΆΠ΅Π½ΠΈΡ ΠΈ ΠΎΠ±ΡΠ°Π·ΠΎΠ²Π°Π½ΠΈΡ ΠΊΠ°ΠΌΠ΅ΡΠΊΠΎΠ² ΠΏΠ°ΡΠΈΠ΅Π½ΡΡ ΡΡΠ΅Π±ΡΠ΅ΡΡΡ ΠΏΡΠ°Π²ΠΈΠ»ΡΠ½Π°Ρ ΡΠ΅ΡΠ°ΠΏΠΈΡ, Π° ΠΈΠ½ΠΎΠ³Π΄Π° ΠΈ ΠΏΠΎΠ»Π½Π°Ρ Π³ΠΎΡΠΏΠΈΡΠ°Π»ΠΈΠ·Π°ΡΠΈΡ Π² ΡΡΠ°ΡΠΈΠΎΠ½Π°Ρ. ΠΠ΅ΡΠ΅Π½ΠΈΠ΅ΠΌ ΠΊΠ°Π»ΡΡΠΈΠ½Π°ΡΠΎΠ² Π² ΠΏΠ΅ΡΠ΅Π½ΠΈ Π΄ΠΎΠ»ΠΆΠ΅Π½ Π·Π°Π½ΠΈΠΌΠ°ΡΡΡΡ ΠΊΠ²Π°Π»ΠΈΡΠΈΡΠΈΡΠΎΠ²Π°Π½Π½ΡΠΉ Π²ΡΠ°Ρ, ΠΊΠΎΡΠΎΡΡΠΉ ΠΏΡΠΈ Π²ΡΠ±ΠΎΡΠ΅ ΠΏΡΠ΅ΠΏΠ°ΡΠ°ΡΠΎΠ² ΡΡΡΠ΅Ρ ΡΠΎΡΡΠΎΡΠ½ΠΈΠ΅ ΠΈ ΡΠΎΡΠΌΡ Π½ΠΎΠ²ΠΎΠΎΠ±ΡΠ°Π·ΠΎΠ²Π°Π½ΠΈΠΉ.
ΠΠΈΡΡΠ° Π²Β ΠΏΠ΅ΡΠ΅Π½ΠΈΒ β Π΅ΡΡΡΒ Π»ΠΈ ΠΏΠΎΠ²ΠΎΠ΄ Π΄Π»Ρ Π±Π΅ΡΠΏΠΎΠΊΠΎΠΉΡΡΠ²Π°?
ΠΠΈΡΡΡ Π²Β ΠΏΠ΅ΡΠ΅Π½ΠΈ: ΠΊΠ°ΠΊ Π½Π΅Β Π·Π°ΠΏΡΡΠ°ΡΡΡΡ?
ΠΠΎΠ΄ ΠΊΠΈΡΡΠΎΠΉ Π²Β ΠΏΠ΅ΡΠ΅Π½ΠΈ ΠΏΠΎΠ½ΠΈΠΌΠ°Π΅ΡΡΡ Π΄ΠΎΠ±ΡΠΎΠΊΠ°ΡΠ΅ΡΡΠ²Π΅Π½Π½ΠΎΠ΅ ΠΏΠΎΠ»ΠΎΡΡΠ½ΠΎΠ΅ ΠΎΠ±ΡΠ°Π·ΠΎΠ²Π°Π½ΠΈΠ΅ Π²Β ΠΏΠ΅ΡΠ΅Π½ΠΎΡΠ½ΠΎΠΉ ΡΠΊΠ°Π½ΠΈ. ΠΠ½ΡΡΡΠΈ Π΅Π³ΠΎ ΡΠΎΠ΄Π΅ΡΠΆΠΈΡΡΡ ΠΆΠΈΠ΄ΠΊΠΎΡΡΡ. Π‘Π°ΠΌΠ° ΠΊΠΈΡΡΠ° ΡΠ½Π°ΡΡΠΆΠΈ ΠΎΠ³ΡΠ°Π½ΠΈΡΠ΅Π½Π° ΠΏΠ»ΠΎΡΠ½ΠΎΠΉ ΠΊΠ°ΠΏΡΡΠ»ΠΎΠΉ ΡΠΎΠ΅Π΄ΠΈΠ½ΠΈΡΠ΅Π»ΡΠ½ΠΎΠΉ ΡΠΊΠ°Π½ΠΈ, Π°Β Π²Π½ΡΡΡΠΈ Π²ΡΡΡΠ»Π°Π½Π° ΡΠΏΠΈΡΠ΅Π»ΠΈΠ°Π»ΡΠ½ΠΎΠΉ ΡΠΊΠ°Π½ΡΡ.
ΠΠΎΠΎΠ±ΡΠ΅, ΠΏΠ΅ΡΠ΅Π½ΠΎΡΠ½ΡΠ΅ ΠΊΠΈΡΡΡ Π²ΡΡΡΠ΅ΡΠ°ΡΡΡΡ Π½Π΅ΡΠ°ΡΡΠΎ (Π²Β ΡΡΠ°Π²Π½Π΅Π½ΠΈΠΈ ΡΒ ΠΏΠΎΠ΄ΠΎΠ±Π½ΡΠΌΠΈ ΠΎΠ±ΡΠ°Π·ΠΎΠ²Π°Π½ΠΈΡΠΌΠΈ Π²Β Π΄ΡΡΠ³ΠΈΡ ΠΎΡΠ³Π°Π½Π°Ρ ). Π‘ΡΠ΅Π΄ΠΈ Π²ΡΠ΅Ρ ΠΎΠΏΠ΅ΡΠ°ΡΠΈΠ²Π½ΡΡ Π²ΠΌΠ΅ΡΠ°ΡΠ΅Π»ΡΡΡΠ², ΠΏΡΠΎΠ²ΠΎΠ΄ΠΈΠΌΡΡ Π½Π°Β ΠΏΠ΅ΡΠ΅Π½ΠΈ, ΠΎΠΏΠ΅ΡΠ°ΡΠΈΡ ΠΏΠΎΒ ΠΏΠΎΠ²ΠΎΠ΄Ρ ΠΊΠΈΡΡΡ ΠΏΡΠΎΠ²ΠΎΠ΄ΠΈΡΡΡ Π»ΠΈΡΡ Π²Β 0,5% ΡΠ»ΡΡΠ°Π΅Π².
Π§Π°ΡΠ΅ ΠΏΡΠΎΠ±Π»Π΅ΠΌΠ° Π΄ΠΈΠ°Π³Π½ΠΎΡΡΠΈΡΡΠ΅ΡΡΡ ΡΒ ΠΆΠ΅Π½ΡΠΈΠ½ ΡΡΠ΅Π΄Π½ΠΈΡ Π»Π΅Ρ, Π½ΠΎΒ ΠΌΠΎΠΆΠ΅Ρ Π²ΡΡΡΠ΅ΡΠ°ΡΡΡΡ Π²Β Π»ΡΠ±ΠΎΠΌ Π²ΠΎΠ·ΡΠ°ΡΡΠ΅ ΠΈΒ ΡΒ ΠΏΡΠ΅Π΄ΡΡΠ°Π²ΠΈΡΠ΅Π»Π΅ΠΉ ΠΎΠ±ΠΎΠΈΡ ΠΏΠΎΠ»ΠΎΠ².
ΠΠ΅ΡΠ΅Π½ΠΎΡΠ½ΡΠ΅ ΠΊΠΈΡΡΡ Π±ΡΠ²Π°ΡΡ ΡΠ°Π·Π½ΡΠΌΠΈ ΠΏΠΎΒ ΡΠ°Π·ΠΌΠ΅ΡΡ: ΠΎΡΒ ΠΊΡΠΎΡΠ΅ΡΠ½ΡΡ Π΄ΠΎΒ Π½Π΅ΡΠΊΠΎΠ»ΡΠΊΠΈΡ Π΄Π΅ΡΡΡΠΊΠΎΠ² ΡΠ°Π½ΡΠΈΠΌΠ΅ΡΡΠΎΠ² Π²Β Π΄ΠΈΠ°ΠΌΠ΅ΡΡΠ΅.
ΠΠ½ΠΎΠ³Π΄Π° ΠΎΠ½ΠΈ ΡΠ°Π·Π²ΠΈΠ²Π°ΡΡΡΡ Π²Β Π·Π΄ΠΎΡΠΎΠ²ΠΎΠΌ ΠΎΡΠ³Π°Π½Π΅, Π½ΠΎΒ ΡΠ°ΡΡΠΎ Π±ΡΠ²Π°Π΅Ρ, ΡΡΠΎ ΡΠ°Π·Π²ΠΈΡΠΈΠ΅ ΠΎΠ±ΡΠ°Π·ΠΎΠ²Π°Π½ΠΈΡ ΡΠΎΠΏΡΡΡΡΠ²ΡΠ΅Ρ Π΄ΡΡΠ³ΠΈΠΌ Π·Π°Π±ΠΎΠ»Π΅Π²Π°Π½ΠΈΡΠΌ: ΠΆΠ΅Π»ΡΠ½ΠΎΠΊΠ°ΠΌΠ΅Π½Π½Π°Ρ Π±ΠΎΠ»Π΅Π·Π½Ρ, ΡΠΈΡΡΠΎΡΠΈΡΠ΅ΡΠΊΠΎΠ΅ ΠΏΠΎΡΠ°ΠΆΠ΅Π½ΠΈΠ΅ ΠΎΡΠ³Π°Π½Π°, ΠΏΠΎΠ»ΠΈΠΊΠΈΡΡΠΎΠ· ΡΠΈΡΠ½ΠΈΠΊΠΎΠ² ΠΈΒ Π΄ΡΡΠ³ΠΈΡ ΠΎΡΠ³Π°Π½ΠΎΠ². Π£Β Π½Π΅ΠΊΠΎΡΠΎΡΡΡ ΠΏΠ°ΡΠΈΠ΅Π½ΡΠΎΠ² Π²Β ΠΏΠ΅ΡΠ΅Π½ΠΈ ΠΌΠΎΠ³ΡΡ Π±ΡΡΡ ΡΡΠ°Π·Ρ Π½Π΅ΡΠΊΠΎΠ»ΡΠΊΠΎ ΠΊΠΈΡΡ.
ΠΠΈΡΡΡ Π²Β ΠΏΠ΅ΡΠ΅Π½ΠΈ Π±ΡΠ²Π°ΡΡ ΠΏΠ°ΡΠ°Π·ΠΈΡΠ°ΡΠ½ΡΠΌΠΈ ΠΈΒ Π½Π΅ΠΏΠ°ΡΠ°Π·ΠΈΡΠ°ΡΠ½ΡΠΌΠΈ. ΠΠ΅ΠΏΠ°ΡΠ°Π·ΠΈΡΠ°ΡΠ½ΡΠ΅, Π²Β ΡΠ²ΠΎΡ ΠΎΡΠ΅ΡΠ΅Π΄Ρ, ΠΏΠΎΠ΄ΡΠ°Π·Π΄Π΅Π»ΡΡΡΡΡ Π½Π°Β ΠΈΡΡΠΈΠ½Π½ΡΠ΅ (ΡΒ ΠΊΠΎΡΠΎΡΡΠΌΠΈ ΡΠ΅Π»ΠΎΠ²Π΅ΠΊ ΡΠΎΠ΄ΠΈΠ»ΡΡ) ΠΈΒ Π»ΠΎΠΆΠ½ΡΠ΅ (ΠΏΠΎΡΠ²ΠΈΠ»ΠΈΡΡ Π²Β ΡΠ΅ΡΠ΅Π½ΠΈΠ΅ ΠΆΠΈΠ·Π½ΠΈ).
ΠΠΎΡΠ»Π΅Π΄Π½ΠΈΠ΅, ΠΊΠ°ΠΊ ΠΏΡΠ°Π²ΠΈΠ»ΠΎ, ΡΠΎΡΠΌΠΈΡΡΡΡΡΡ ΠΏΠΎΡΠ»Π΅ ΡΡΠ°Π²ΠΌ, ΠΎΠΏΠ΅ΡΠ°ΡΠΈΠ²Π½ΡΡ Π²ΠΌΠ΅ΡΠ°ΡΠ΅Π»ΡΡΡΠ² Π½Π°Β ΠΏΠ΅ΡΠ΅Π½ΠΎΡΠ½ΠΎΠΉ ΡΠΊΠ°Π½ΠΈ, Π²ΠΎΡΠΏΠ°Π»ΠΈΡΠ΅Π»ΡΠ½ΡΡ ΠΏΡΠΎΡΠ΅ΡΡΠΎΠ².
ΠΒ ΡΠ΅ΠΌ ΠΎΠΏΠ°ΡΠ½ΠΎΡΡΡ ΠΏΠ°ΡΠ°Π·ΠΈΡΠ°ΡΠ½ΡΡ ΠΊΠΈΡΡΠΎΠ·Π½ΡΡ ΠΎΠ±ΡΠ°Π·ΠΎΠ²Π°Π½ΠΈΠΉ?
ΠΠ½ΠΈ ΡΠΎΡΠΌΠΈΡΡΡΡΡΡ Π²ΡΠ»Π΅Π΄ΡΡΠ²ΠΈΠ΅ ΠΈΠ½ΡΠΈΡΠΈΡΠΎΠ²Π°Π½ΠΈΡ ΠΎΡΠ³Π°Π½Π° ΡΡ ΠΈΠ½ΠΎΠΊΠΎΠΊΠΊΠΎΠΌ. ΠΡΠΎ Π»Π΅Π½ΡΠΎΡΠ½ΡΠΉ Π³Π΅Π»ΡΠΌΠΈΠ½Ρ, ΠΊΠΎΡΠΎΡΡΠΉ Π³ΠΎΠ΄Π°ΠΌΠΈ ΠΏΠ°ΡΠ°Π·ΠΈΡΠΈΡΡΠ΅Ρ Π²Β ΡΠ΅Π»ΠΎΠ²Π΅ΡΠ΅ΡΠΊΠΎΠΌ ΠΎΡΠ³Π°Π½ΠΈΠ·ΠΌΠ΅, Π²ΡΠ·ΡΠ²Π°Ρ ΠΏΠΎΡΠ°ΠΆΠ΅Π½ΠΈΠ΅ ΡΠ°Π·Π»ΠΈΡΠ½ΡΡ Π²Π½ΡΡΡΠ΅Π½Π½ΠΈΡ ΠΎΡΠ³Π°Π½ΠΎΠ² ΡΒ ΠΎΠ±ΡΠ°Π·ΠΎΠ²Π°Π½ΠΈΠ΅ΠΌ ΠΊΠΈΡΡΠΎΠ·Π½ΡΡ ΠΏΠΎΠ»ΠΎΡΡΠ΅ΠΉ. ΠΠ±ΡΡΠ½ΠΎ ΠΏΠΎΡΠ°ΠΆΠ°Π΅ΡΡΡ ΠΏΡΠ°Π²Π°Ρ Π΄ΠΎΠ»Ρ ΠΏΠ΅ΡΠ΅Π½ΠΈ.
ΠΠ°Π±ΠΎΠ»Π΅Π²Π°Π½ΠΈΠ΅ Π΄Π»ΠΈΡΠ΅Π»ΡΠ½ΠΎΠ΅ Π²ΡΠ΅ΠΌΡ ΠΌΠΎΠΆΠ΅Ρ ΠΏΡΠΎΡΠ΅ΠΊΠ°ΡΡ Π±Π΅Π· ΡΠ²Π½ΡΡ ΠΏΡΠΈΠ·Π½Π°ΠΊΠΎΠ². ΠΠ°Β ΡΠ°Π½Π½ΠΈΡ ΡΡΠ°Π΄ΠΈΡΡ ΡΠ΅Π»ΠΎΠ²Π΅ΠΊΠ° ΠΌΠΎΠ³ΡΡ Π±Π΅ΡΠΏΠΎΠΊΠΎΠΈΡΡ ΠΊΡΠ°ΠΏΠΈΠ²Π½ΠΈΡΠ° ΠΈΒ ΠΊΠΎΠΆΠ½ΡΠΉ Π·ΡΠ΄ (Π±Π΅Π· ΡΠ²Π½ΠΎΠΉ Π½Π°Β ΡΠΎΒ ΠΏΡΠΈΡΠΈΠ½Ρ).
ΠΠΎΒ ΠΌΠ΅ΡΠ΅ ΡΠΎΡΠΌΠΈΡΠΎΠ²Π°Π½ΠΈΡ ΠΏΠ°ΡΠ°Π·ΠΈΡΠ°ΡΠ½ΠΎΠΉ ΠΏΠ΅ΡΠ΅Π½ΠΎΡΠ½ΠΎΠΉ ΠΊΠΈΡΡΡ Π±ΡΠ΄ΡΡ ΠΏΠΎΡΠ²Π»ΡΡΡΡΡ ΡΡΠΏΡΠ΅ ΡΡΠ½ΡΡΠΈΠ΅ Π±ΠΎΠ»ΠΈ Π²Β ΠΏΡΠ°Π²ΠΎΠΌ ΠΏΠΎΠ΄ΡΠ΅Π±Π΅ΡΡΠ΅, ΡΠ²Π΅Π»ΠΈΡΠ΅Π½ΠΈΠ΅ ΠΏΠ΅ΡΠ΅Π½ΠΈ, ΡΡΠΆΠ΅ΡΡΡ Π²Β ΠΆΠΈΠ²ΠΎΡΠ΅, ΠΏΡΠΈΠ·Π½Π°ΠΊΠΈ Π½Π°ΡΡΡΠ΅Π½ΠΈΡ ΠΏΠΈΡΠ΅Π²Π°ΡΠ΅Π½ΠΈΡ.
ΠΡΠΈ ΠΏΡΠΎΠ³ΡΠ΅ΡΡΠΈΡΠΎΠ²Π°Π½ΠΈΠΈ Π±ΠΎΠ»Π΅Π·Π½ΠΈ (Π°Β Π½Π°Β ΡΡΠΎ ΠΌΠΎΠ³ΡΡ ΡΠΉΡΠΈ Π³ΠΎΠ΄Ρ) Π²Β ΡΡΠ΄Π΅ ΡΠ»ΡΡΠ°Π΅Π² ΡΠ°Π·Π²ΠΈΠ²Π°ΡΡΡΡ ΠΎΡΠ»ΠΎΠΆΠ½Π΅Π½ΠΈΡ. ΠΡΠΎ ΠΏΡΠΎΠΈΡΡ ΠΎΠ΄ΠΈΡ ΡΒ 10-15% Π±ΠΎΠ»ΡΠ½ΡΡ ΡΒ ΠΏΠ°ΡΠ°Π·ΠΈΡΠ°ΡΠ½ΡΠΌΠΈ ΠΊΠΈΡΡΠ°ΠΌΠΈ ΠΏΠ΅ΡΠ΅Π½ΠΈ. ΠΠΏΠ°ΡΠ½ΡΠΌΠΈ ΠΎΡΠ»ΠΎΠΆΠ½Π΅Π½ΠΈΡΠΌΠΈ ΡΠ²Π»ΡΡΡΡΡ Π½Π°Π³Π½ΠΎΠ΅Π½ΠΈΠ΅ ΠΎΠ±ΡΠ°Π·ΠΎΠ²Π°Π½ΠΈΡ, Π΅Π³ΠΎ ΡΠ°Π·ΡΡΠ², ΠΎΠ±ΡΠ·Π²Π΅ΡΡΠ²Π»Π΅Π½ΠΈΠ΅ ΡΡΠ΅Π½ΠΎΠΊ ΠΊΠΈΡΡΡ (ΠΎΡΠ»ΠΎΠΆΠ΅Π½ΠΈΠ΅ ΡΠΎΠ»Π΅ΠΉ ΠΊΠ°Π»ΡΡΠΈΡ).
ΠΠΎΠ»ΡΡΠ°Ρ ΠΊΠΈΡΡΠ° ΡΠ΄Π°Π²Π»ΠΈΠ²Π°Π΅Ρ ΠΆΠ΅Π»ΡΠ½ΡΠ΅ ΠΏΡΠΎΡΠΎΠΊΠΈ, Π²ΡΠ·ΡΠ²Π°Ρ ΠΌΠ΅Ρ Π°Π½ΠΈΡΠ΅ΡΠΊΡΡ ΠΆΠ΅Π»ΡΡΡ Ρ. ΠΡΠΎΠΌΠ΅ ΡΠΎΠ³ΠΎ, ΠΎΠ½Π° ΠΌΠ΅ΡΠ°Π΅Ρ Π½ΠΎΡΠΌΠ°Π»ΡΠ½ΠΎΠΉ ΡΠ°Π±ΠΎΡΠ΅ ΠΏΠ΅ΡΠ΅Π½ΠΈ, ΠΏΠΎΡΡΠ΅ΠΏΠ΅Π½Π½ΠΎ Π²ΡΠ·ΡΠ²Π°Ρ ΠΏΠ΅ΡΠ΅Π½ΠΎΡΠ½ΡΡ Π½Π΅Π΄ΠΎΡΡΠ°ΡΠΎΡΠ½ΠΎΡΡΡ, ΠΏΠΎΡΡΠ°Π»ΡΠ½ΡΡ Π³ΠΈΠΏΠ΅ΡΡΠ΅Π½Π·ΠΈΡ (ΠΏΠΎΠ²ΡΡΠ΅Π½ΠΈΠ΅ Π΄Π°Π²Π»Π΅Π½ΠΈΡ Π²Β ΡΠΈΡΡΠ΅ΠΌΠ΅ Π²ΠΎΡΠΎΡΠ½ΠΎΠΉ Π²Π΅Π½Ρ).
ΠΡ ΠΈΠ½ΠΎΠΊΠΎΠΊΠΊΠΎΠ²ΡΠ΅ ΠΊΠΈΡΡΡ Π»Π΅ΡΠ°ΡΡΡ ΡΠΎΠ»ΡΠΊΠΎ Ρ ΠΈΡΡΡΠ³ΠΈΡΠ΅ΡΠΊΠΈΠΌ ΠΏΡΡΠ΅ΠΌ.
ΠΠ΅ΠΏΠ°ΡΠ°Π·ΠΈΡΠ°ΡΠ½ΡΠ΅ ΠΊΠΈΡΡΡ: Π²Β ΡΠ΅ΠΌ ΠΈΡ Β ΠΎΡΠΎΠ±Π΅Π½Π½ΠΎΡΡΡ?
ΠΡΡΡ ΠΌΠ½Π΅Π½ΠΈΠ΅, ΡΡΠΎ ΡΡΠ° ΠΏΠ°ΡΠΎΠ»ΠΎΠ³ΠΈΡ Π½Π΅Β ΡΡΠ°Π»Π° Π±ΠΎΠ»Π΅Π΅ ΡΠ°ΡΡΠΎΠΉ, ΠΏΡΠΎΡΡΠΎ Π΅Π΅Β ΡΡΠ°Π»ΠΈ Π»ΡΡΡΠ΅ Π΄ΠΈΠ°Π³Π½ΠΎΡΡΠΈΡΠΎΠ²Π°ΡΡ. ΠΠ΅ΡΠ΅Π΄ΠΊΠΎ ΡΠ΅Π»ΠΎΠ²Π΅ΠΊ ΡΠ·Π½Π°Π΅Ρ ΠΎΒ Π½Π°Π»ΠΈΡΠΈΠΈ ΠΏΡΠΎΠ±Π»Π΅ΠΌΡ Π²Β ΠΏΠ΅ΡΠ΅Π½ΠΈ ΡΠ»ΡΡΠ°ΠΉΠ½ΠΎ, ΠΏΡΠΎΡ ΠΎΠ΄Ρ ΠΏΠ»Π°Π½ΠΎΠ²ΠΎΠ΅ ΡΠ»ΡΡΡΠ°Π·Π²ΡΠΊΠΎΠ²ΠΎΠ΅ ΠΈΡΡΠ»Π΅Π΄ΠΎΠ²Π°Π½ΠΈΠ΅ ΠΏΠ΅ΡΠ΅Π½ΠΈ ΠΈΠ»ΠΈ ΠΊΠΎΠΌΠΏΡΡΡΠ΅ΡΠ½ΡΡ ΡΠΎΠΌΠΎΠ³ΡΠ°ΡΠΈΡ ΡΠΎΠ²Π΅ΡΡΠ΅Π½Π½ΠΎ ΠΏΠΎΒ Π΄ΡΡΠ³ΠΎΠΌΡ ΠΏΠΎΠ²ΠΎΠ΄Ρ.
Π’Π΅ΠΌ Π½Π΅Β ΠΌΠ΅Π½Π΅Π΅, Π±ΠΎΠ»ΡΠ½ΡΠ΅ ΡΡΠ°Π»ΠΈ ΡΠ°ΡΠ΅ ΠΎΠ±ΡΠ°ΡΠ°ΡΡΡΡ ΡΒ ΡΡΠΎΠΉ ΠΏΡΠΎΠ±Π»Π΅ΠΌΠΎΠΉ ΠΊΒ Ρ ΠΈΡΡΡΠ³Ρ.
ΠΠ΅ΡΠ΅Π½ΠΎΡΠ½ΡΠ΅ ΠΊΠΈΡΡΡ ΡΠ΅ΠΆΠ΅ Π΄Π°ΡΡ ΠΎΡΠ»ΠΎΠΆΠ½Π΅Π½ΠΈΡ (ΡΒ 5% Π±ΠΎΠ»ΡΠ½ΡΡ ), ΡΠ΅ΠΌ ΠΏΠ°ΡΠ°Π·ΠΈΡΠ°ΡΠ½ΡΠ΅. Π‘ΡΠ΅Π΄ΠΈ Π½ΠΈΡ Β β ΠΌΠ΅Ρ Π°Π½ΠΈΡΠ΅ΡΠΊΠ°Ρ ΠΆΠ΅Π»ΡΡΡ Π°, ΠΏΠΎΡΡΠ°Π»ΡΠ½Π°Ρ Π³ΠΈΠΏΠ΅ΡΡΠ΅Π½Π·ΠΈΡ, ΠΊΡΠΎΠ²ΠΎΠΈΠ·Π»ΠΈΡΠ½ΠΈΡ Π²Β ΠΏΠΎΠ»ΠΎΡΡΡ ΠΎΠ±ΡΠ°Π·ΠΎΠ²Π°Π½ΠΈΡ ΠΈΠ»ΠΈ Π²Β Π±ΡΡΡΠ½ΡΡ ΠΏΠΎΠ»ΠΎΡΡΡ (ΠΏΡΠΈ Π΅Π³ΠΎ ΡΠ°Π·ΡΡΠ²Π΅), Π½Π°Π³Π½ΠΎΠ΅Π½ΠΈΠ΅, ΡΠΎΡΠΌΠΈΡΠΎΠ²Π°Π½ΠΈΠ΅ ΡΠ²ΠΈΡΠ΅ΠΉ ΠΌΠ΅ΠΆΠ΄Ρ ΠΊΠΈΡΡΠΎΠΉ ΠΈΠ»ΠΈ ΠΆΠ΅Π»ΡΠ½ΡΠΌΠΈ ΠΏΡΠΎΡΠΎΠΊΠ°ΠΌΠΈ.
ΠΠΏΠΈΡΠ°Π½Ρ ΠΈΒ Π±ΠΎΠ»Π΅Π΅ ΡΠ΅Π΄ΠΊΠΈΠ΅ ΠΎΡΠ»ΠΎΠΆΠ½Π΅Π½ΠΈΡ Π±ΠΎΠ»Π΅Π·Π½ΠΈ ΠΏΡΠΈ Π±ΠΎΠ»ΡΡΠΈΡ ΠΊΠΈΡΡΠ°Ρ , Π½Π°ΠΏΡΠΈΠΌΠ΅Ρ, Π½Π°ΡΡΡΠ΅Π½ΠΈΠ΅ ΠΏΡΠΎΠ΄Π²ΠΈΠΆΠ΅Π½ΠΈΡ ΠΏΠΈΡΠ΅Π²ΠΎΠ³ΠΎ ΠΊΠΎΠΌΠΊΠ° ΡΠ΅ΡΠ΅Π· ΠΆΠ΅Π»ΡΠ΄ΠΎΠΊ ΠΈΒ ΠΊΠΈΡΠ΅ΡΠ½ΠΈΠΊ ΠΈΠ·-Π·Π° ΠΈΡ Β ΡΠ΄Π°Π²Π»Π΅Π½ΠΈΡ, Π»ΠΎΠΊΠ°Π»ΡΠ½ΡΠΉ ΡΡΠΎΠΌΠ±ΠΎΠ· Π½ΠΈΠΆΠ½Π΅ΠΉ ΠΏΠΎΠ»ΠΎΠΉ Π²Π΅Π½Ρ (ΡΠΎΠΆΠ΅ ΠΈΠ·-Π·Π° Π΅Π΅Β ΡΠ΄Π°Π²Π»Π΅Π½ΠΈΡ).
ΠΠΈΡΡΡ ΠΏΠ΅ΡΠ΅Π½ΠΈ Π½Π΅Β ΡΠ°ΡΡΠ°ΡΡΠ²Π°ΡΡΡΡ, ΠΏΠΎΡΡΠΎΠΌΡ ΠΏΡΠΈ ΠΈΡ Β ΠΏΡΠΎΠ³ΡΠ΅ΡΡΠΈΠ²Π½ΠΎΠΌ ΡΠΎΡΡΠ΅ ΠΈΠ»ΠΈ ΠΏΡΠΈ ΡΠΎΡΠΌΠΈΡΠΎΠ²Π°Π½ΠΈΠΈ ΠΎΡΠ»ΠΎΠΆΠ½Π΅Π½ΠΈΠΉ ΡΡΠ΅Π±ΡΠ΅ΡΡΡ ΠΏΡΠΎΠ²ΠΎΠ΄ΠΈΡΡ Ρ ΠΈΡΡΡΠ³ΠΈΡΠ΅ΡΠΊΠΎΠ΅ Π²ΠΌΠ΅ΡΠ°ΡΠ΅Π»ΡΡΡΠ²ΠΎ.
ΠΒ Π·Π°Π²ΠΈΡΠΈΠΌΠΎΡΡΠΈ ΠΎΡΒ ΡΠ°Π·ΠΌΠ΅ΡΠ°, ΡΠ°ΡΠΏΠΎΠ»ΠΎΠΆΠ΅Π½ΠΈΡ ΠΈΒ Π΄ΡΡΠ³ΠΈΡ ΠΎΡΠΎΠ±Π΅Π½Π½ΠΎΡΡΠ΅ΠΉ ΠΎΠ±ΡΠ°Π·ΠΎΠ²Π°Π½ΠΈΡ, ΠΏΡΠΎΠ²ΠΎΠ΄ΡΡ Π΅Π³ΠΎ ΠΈΡΡΠ΅ΡΠ΅Π½ΠΈΠ΅ ΠΈΠ»ΠΈ Π²ΡΠ»ΡΡΠΈΠ²Π°Π½ΠΈΠ΅, ΠΏΡΠ½ΠΊΡΠΈΡ ΡΒ Π΄Π°Π»ΡΠ½Π΅ΠΉΡΠΈΠΌ ΡΠΊΠ»Π΅ΡΠΎΠ·ΠΈΡΠΎΠ²Π°Π½ΠΈΠ΅ΠΌ (ΡΠΊΠ»Π΅ΠΈΠ²Π°Π½ΠΈΠ΅ΠΌ) ΡΡΠ΅Π½ΠΎΠΊ, ΡΠ°ΡΡΠΈΡΠ½ΠΎΠ΅ ΠΈΡΡΠ΅ΡΠ΅Π½ΠΈΠ΅ ΠΎΠ±ΡΠ°Π·ΠΎΠ²Π°Π½ΠΈΡ, Π²ΡΠΊΡΡΡΠΈΠ΅ ΠΈΒ Π΄ΡΠ΅Π½ΠΈΡΠΎΠ²Π°Π½ΠΈΠ΅ ΠΊΠΈΡΡΠΎΠ·Π½ΠΎΠΉ ΠΏΠΎΠ»ΠΎΡΡΠΈ ΠΈΒ Π΄ΡΡΠ³ΠΈΠ΅ ΠΎΠΏΠ΅ΡΠ°ΡΠΈΠΈ.
ΠΒ Π½Π°ΠΈΠ±ΠΎΠ»Π΅Π΅ ΡΡΠΆΠ΅Π»ΡΡ ΡΠ»ΡΡΠ°ΡΡ ΠΏΡΠΎΠ²ΠΎΠ΄ΠΈΡΡΡ ΠΈΡΡΠ΅ΡΠ΅Π½ΠΈΠ΅ ΠΊΠΈΡΡΡ Π²ΠΌΠ΅ΡΡΠ΅ ΡΒ ΡΠ°ΡΡΡΡ ΠΏΠ΅ΡΠ΅Π½ΠΈ, ΡΠ΄Π°Π»Π΅Π½ΠΈΠ΅ ΡΠ΅Π»ΠΎΠΉ ΠΏΠ΅ΡΠ΅Π½ΠΎΠΉ Π΄ΠΎΠ»ΠΈ ΠΈΒ Π΄Π°ΠΆΠ΅ ΡΡΠ°Π½ΡΠΏΠ»Π°Π½ΡΠ°ΡΠΈΡ ΠΎΡΠ³Π°Π½Π°.
ΠΠ°Β Π΄Π°Π½Π½ΡΠΉ ΠΌΠΎΠΌΠ΅Π½Ρ Π΄Π°Π½Π½ΡΠ΅ ΠΎΒ ΠΏΠΎΠΊΠ°Π·Π°Π½ΠΈΡΡ ΠΊΒ ΠΎΠΏΠ΅ΡΠ°ΡΠΈΠΈ ΠΈΒ Π²ΡΠ±ΠΎΡΠ΅ ΡΠ°ΠΊΡΠΈΠΊΠΈ ΠΎΠΏΠ΅ΡΠ°ΡΠΈΠ²Π½ΠΎΠ³ΠΎ Π²ΠΌΠ΅ΡΠ°ΡΠ΅Π»ΡΡΡΠ²Π° ΠΎΡΠ΅Π½Ρ ΠΏΡΠΎΡΠΈΠ²ΠΎΡΠ΅ΡΠΈΠ²Ρ. ΠΠ΅ΠΎΠ±Ρ ΠΎΠ΄ΠΈΠΌΠΎ Π΄Π°Π»ΡΠ½Π΅ΠΉΡΠ΅Π΅ ΠΈΠ·ΡΡΠ΅Π½ΠΈΠ΅ ΠΏΡΠΎΠ±Π»Π΅ΠΌΡ ΠΈΒ ΠΎΠ±ΠΌΠ΅Π½ ΠΎΠΏΡΡΠΎΠΌ.
Π Π°Π·ΡΠ°Π±Π°ΡΡΠ²Π°ΡΡΡΡ ΠΌΠ°Π»ΠΎΠΈΠ½Π²Π°Π·ΠΈΠ²Π½ΡΠ΅ Π²ΠΌΠ΅ΡΠ°ΡΠ΅Π»ΡΡΡΠ²Π° ΠΏΠΎΠ΄ ΠΊΠΎΠ½ΡΡΠΎΠ»Π΅ΠΌ Π£ΠΠ, ΡΡΠΎ ΠΏΠΎΠΌΠΎΠΆΠ΅Ρ Π±ΠΎΠ»ΡΠ½ΡΠΌ Π±ΡΡΡΡΠ΅Π΅ Π²ΠΎΡΡΡΠ°Π½ΠΎΠ²ΠΈΡΡΡΡ ΠΏΠΎΡΠ»Π΅ ΠΎΠΏΠ΅ΡΠ°ΡΠΈΠΈ. Π’Π°ΠΊΠΆΠ΅ Π²ΡΠ°ΡΠΈ ΠΈΡΠΏΠΎΠ»ΡΠ·ΡΡΡ ΠΏΡΠΈ ΠΎΠΏΠ΅ΡΠ°ΡΠΈΠΈ Π½Π°Β ΠΏΠ΅ΡΠ΅Π½ΠΈ Π²ΡΡΠΎΠΊΠΎΡΠ½Π΅ΡΠ³Π΅ΡΠΈΡΠ΅ΡΠΊΠΎΠ΅ Π»Π°Π·Π΅ΡΠ½ΠΎΠ΅ ΠΈΠ·Π»ΡΡΠ΅Π½ΠΈΠ΅ ΠΈΒ ΠΏΠ»Π°Π·ΠΌΠ΅Π½Π½ΡΠΉ ΡΠΊΠ°Π»ΡΠΏΠ΅Π»Ρ.
ΠΠΎΠ΄ΠΎΠ·ΡΠ΅Π½ΠΈΠ΅ Π½Π°Β ΠΊΠΈΡΡΡ ΠΏΠ΅ΡΠ΅Π½ΠΈ: ΡΡΠΎ Π΄Π΅Π»Π°ΡΡ?
ΠΠ±ΡΡΠ½ΠΎ ΡΠΈΠΌΠΏΡΠΎΠΌΡ, ΠΊΠΎΡΠΎΡΡΠ΅ ΠΌΠΎΠ³ΡΡ ΡΠ²ΠΈΠ΄Π΅ΡΠ΅Π»ΡΡΡΠ²ΠΎΠ²Π°ΡΡ ΠΎΒ Π½Π°Π»ΠΈΡΠΈΠΈ ΠΊΠΈΡΡΠΎΠ·Π½ΠΎΠΉ ΠΏΠΎΠ»ΠΎΡΡΠΈ Π²Β ΠΏΠ΅ΡΠ΅Π½ΠΈ, ΠΏΠΎΡΠ²Π»ΡΡΡΡΡ ΠΏΡΠΈ ΠΏΡΠ΅Π²ΡΡΠ΅Π½ΠΈΠΈ Π΅Π΅Β ΡΠ°Π·ΠΌΠ΅ΡΠΎΠ² Π±ΠΎΠ»Π΅Π΅ 7Β ΡΠΌ ΠΈΠ»ΠΈΒ ΠΆΠ΅ ΠΏΡΠΈ ΠΌΠ½ΠΎΠΆΠ΅ΡΡΠ²Π΅Π½Π½ΡΡ ΠΊΠΈΡΡΠ°Ρ (ΠΊΠΎΠ³Π΄Π° ΠΏΠΎΡΠ°ΠΆΠ΅Π½ΠΎ Π½Π΅Β ΠΌΠ΅Π½Π΅Π΅Β 20% ΠΏΠ΅ΡΠ΅Π½ΠΎΡΠ½ΠΎΠΉ ΡΠΊΠ°Π½ΠΈ).
Π‘ΠΈΠΌΠΏΡΠΎΠΌΡ Π·Π°Π±ΠΎΠ»Π΅Π²Π°Π½ΠΈΡ Π½Π΅ΡΠΏΠ΅ΡΠΈΡΠΈΡΠ½Ρ, ΠΈΡ Β ΠΌΠΎΠΆΠ½ΠΎ ΠΏΠ΅ΡΠ΅ΠΏΡΡΠ°ΡΡ ΡΒ Π΄ΡΡΠ³ΠΈΠΌΠΈ ΠΏΠ°ΡΠΎΠ»ΠΎΠ³ΠΈΡΠΌΠΈ.
ΠΡΠ½ΠΎΠ²Π½ΡΠΌΠΈ ΠΏΡΠΈΠ·Π½Π°ΠΊΠ°ΠΌΠΈ Π½Π΅Π΄ΡΠ³Π° ΡΠ²Π»ΡΡΡΡΡ ΡΡΠΏΡΠ΅ Π±ΠΎΠ»ΠΈ Π²Β ΠΏΡΠ°Π²ΠΎΠΌ ΠΏΠΎΠ΄ΡΠ΅Π±Π΅ΡΡΠ΅, ΡΡΠ²ΡΡΠ²ΠΎ ΡΠ°ΡΠΏΠΈΡΠ°Π½ΠΈΡ Π²Β ΠΆΠΈΠ²ΠΎΡΠ΅, Π΅Π³ΠΎ Π²Π·Π΄ΡΡΠΈΠ΅, Π½Π°ΡΡΡΠ΅Π½ΠΈΡ ΡΡΡΠ»Π°, ΡΠΎΡΠ½ΠΎΡΠ°, ΡΠ²ΠΎΡΠ°, ΡΠ»Π°Π±ΠΎΡΡΡ, ΡΠ½ΠΈΠΆΠ΅Π½ΠΈΠ΅ Π°ΠΏΠΏΠ΅ΡΠΈΡΠ°, ΠΏΠΎΠ²ΡΡΠ΅Π½ΠΈΠ΅ ΡΠ΅ΠΌΠΏΠ΅ΡΠ°ΡΡΡΡ ΡΠ΅Π»Π° Π΄ΠΎΒ ΡΡΠ±ΡΠ΅Π±ΡΠΈΠ»ΡΠ½ΡΡ ΡΠΈΡΡ.
ΠΡΠΈ Π²ΡΡΠ°ΠΆΠ΅Π½Π½ΠΎΠΌ ΠΏΡΠΎΡΠ΅ΡΡΠ΅ ΡΒ Π±ΠΎΠ»ΡΠ½ΠΎΠ³ΠΎ ΠΌΠΎΠΆΠ΅Ρ ΡΠ°Π·Π²ΠΈΡΡΡΡ ΠΆΠ΅Π»ΡΡΡ Π°, ΠΏΠΎΡ ΡΠ΄Π΅Π½ΠΈΠ΅, ΡΠ²Π΅Π»ΠΈΡΠΈΡΡΡΡ ΠΏΠ΅ΡΠ΅Π½Ρ ΠΈΒ Π΄Π°ΠΆΠ΅ ΡΠ°ΠΌ ΠΆΠΈΠ²ΠΎΡ.
ΠΡΠ»ΠΈ Π΅ΡΡΡ Ρ ΠΎΡΡ ΠΊΠ°ΠΊΠΈΠ΅-ΡΠΎ ΠΏΡΠΈΠ·Π½Π°ΠΊΠΈ ΠΈΠ·Β Π²ΡΡΠ΅ΠΏΠ΅ΡΠ΅ΡΠΈΡΠ»Π΅Π½Π½ΡΡ , ΡΠΎΒ ΡΡΠΎΠΈΡ ΠΎΠ±ΡΠ°ΡΠΈΡΡΡΡ ΠΊΒ Π²ΡΠ°ΡΡ-ΡΠ΅ΡΠ°ΠΏΠ΅Π²ΡΡ ΠΈΒ ΠΏΡΠΎΠΉΡΠΈ ΡΠ»ΡΡΡΠ°Π·Π²ΡΠΊΠΎΠ²ΠΎΠ΅ ΠΈΡΡΠ»Π΅Π΄ΠΎΠ²Π°Π½ΠΈΠ΅ ΠΎΡΠ³Π°Π½ΠΎΠ² Π±ΡΡΡΠ½ΠΎΠΉ ΠΏΠΎΠ»ΠΎΡΡΠΈ. ΠΠ°Β Π£ΠΠ ΠΊΠΈΡΡΡ ΠΏΠ΅ΡΠ΅Π½ΠΈ Ρ ΠΎΡΠΎΡΠΎ Π²ΠΈΠ΄Π½Ρ, ΠΈΒ Π΄Π»Ρ ΠΏΠ΅ΡΠ²ΠΈΡΠ½ΠΎΠΉ Π΄ΠΈΠ°Π³Π½ΠΎΡΡΠΈΠΊΠΈ ΡΡΠΎΠ³ΠΎ Π±ΡΠ΄Π΅Ρ Π΄ΠΎΡΡΠ°ΡΠΎΡΠ½ΠΎ.
ΠΠ°ΡΠ΅ΠΌ Π²ΡΠ°Ρ ΠΏΡΠΈ Π½Π΅ΠΎΠ±Ρ ΠΎΠ΄ΠΈΠΌΠΎΡΡΠΈ Π½Π°Π·Π½Π°ΡΠΈΡ Π΄ΠΎΠΏΠΎΠ»Π½ΠΈΡΠ΅Π»ΡΠ½ΡΠ΅ ΠΈΡΡΠ»Π΅Π΄ΠΎΠ²Π°Π½ΠΈΡ (ΠΠ Π’, ΡΡΠΈΠ½ΡΠΈΠ³ΡΠ°ΡΠΈΡ, ΡΠ΅ΡΠΎΠ»ΠΎΠ³ΠΈΡΠ΅ΡΠΊΠΈΠ΅ ΡΠ΅ΡΡΡ ΠΈΒ Π΄Ρ.), Π²ΠΎΠ·ΠΌΠΎΠΆΠ½ΠΎ, ΠΏΡΠ΅Π΄Π»ΠΎΠΆΠΈΡ ΡΡΠ°ΡΠΈΠΎΠ½Π°ΡΠ½ΠΎΠ΅ ΠΎΠ±ΡΠ»Π΅Π΄ΠΎΠ²Π°Π½ΠΈΠ΅.
ΠΠ΅Β ΠΈΡΠΊΠ»ΡΡΠ΅Π½ΠΎ, ΡΡΠΎ ΠΏΠΎΡΡΠ΅Π±ΡΠ΅ΡΡΡ ΠΊΠΎΠ½ΡΡΠ»ΡΡΠ°ΡΠΈΡ ΠΈΠ½ΡΠ΅ΠΊΡΠΈΠΎΠ½ΠΈΡΡΠ° ΠΈΠ»ΠΈ ΠΏΠ°ΡΠ°Π·ΠΈΡΠΎΠ»ΠΎΠ³Π°. ΠΠ°Π»Π΅Π΅ ΡΠΏΠ΅ΡΠΈΠ°Π»ΠΈΡΡ ΠΎΠΏΡΠ΅Π΄Π΅Π»ΡΠ΅ΡΡΡ ΡΒ Π½Π΅ΠΎΠ±Ρ ΠΎΠ΄ΠΈΠΌΠΎΡΡΡΡ Π»Π΅ΡΠ΅Π½ΠΈΡ ΠΈΒ Π΅Π³ΠΎ ΠΌΠ΅ΡΠΎΠ΄ΠΈΠΊΠΎΠΉ.
ΠΡΠΈ ΡΠ²ΠΎΠ΅Π²ΡΠ΅ΠΌΠ΅Π½Π½ΠΎΠΌ ΠΈΒ Π³ΡΠ°ΠΌΠΎΡΠ½ΠΎΠΌ Π»Π΅ΡΠ΅Π½ΠΈΠΈ ΠΊΠΈΡΡ ΠΏΠ΅ΡΠ΅Π½ΠΈ ΠΏΡΠΎΠ³Π½ΠΎΠ· Π±Π»Π°Π³ΠΎΠΏΡΠΈΡΡΠ½ΡΠΉ. ΠΒ ΡΠ»ΡΡΠ°Π΅ ΡΠΎΡΠΌΠΈΡΠΎΠ²Π°Π½ΠΈΡ ΠΎΡΠ»ΠΎΠΆΠ½Π΅Π½ΠΈΠΉ ΠΏΠΎΡΡΠ΅Π±ΡΠ΅ΡΡΡ Π±ΠΎΠ»Π΅Π΅ Π΄Π»ΠΈΡΠ΅Π»ΡΠ½ΠΎΠ΅ Π»Π΅ΡΠ΅Π½ΠΈΠ΅ ΠΈΒ Π²ΠΎΡΡΡΠ°Π½ΠΎΠ²Π»Π΅Π½ΠΈΠ΅.
ΠΠ΅Π±Π»Π°Π³ΠΎΠΏΡΠΈΡΡΠ½ΡΠΉ ΠΏΡΠΎΠ³Π½ΠΎΠ· Π²ΠΎΠ·ΠΌΠΎΠΆΠ΅Π½ ΠΏΡΠΈ ΡΠΎΡΠΌΠΈΡΠΎΠ²Π°Π½ΠΈΠΈ ΠΏΠ΅ΡΠ΅Π½ΠΎΡΠ½ΠΎΠΉ Π½Π΅Π΄ΠΎΡΡΠ°ΡΠΎΡΠ½ΠΎΡΡΠΈ.
ΠΠΎΠΌΠΏΡΡΡΠ΅ΡΠ½Π°Ρ ΡΠΎΠΌΠΎΠ³ΡΠ°ΡΠΈΡ ΠΏΠ΅ΡΠ΅Π½ΠΈ | ΠΠΎΠΌΠΏΠ΅ΡΠ΅Π½ΡΠ½ΠΎ ΠΎ Π·Π΄ΠΎΡΠΎΠ²ΡΠ΅ Π½Π° iLive
Π‘Π΅Π³ΠΌΠ΅Π½ΡΠ°ΡΠ½ΠΎΠ΅ ΡΡΡΠΎΠ΅Π½ΠΈΠ΅ ΠΏΠ΅ΡΠ΅Π½ΠΈ
ΠΡΠΈ ΠΏΠ»Π°Π½ΠΈΡΠΎΠ²Π°Π½ΠΈΠΈ Π±ΠΈΠΎΠΏΡΠΈΠΈ ΠΈΠ»ΠΈ Π»ΡΡΠ΅Π²ΠΎΠΉ ΡΠ΅ΡΠ°ΠΏΠΈΠΈ ΠΏΠ΅ΡΠ΅Π½ΠΈ Π½Π΅ΠΎΠ±Ρ ΠΎΠ΄ΠΈΠΌΠΎ ΡΠΎΡΠ½ΠΎ Π·Π½Π°ΡΡ, Π² ΠΊΠ°ΠΊΠΎΠΌ ΡΠ΅Π³ΠΌΠ΅Π½ΡΠ΅ Π½Π°Ρ ΠΎΠ΄ΠΈΡΡΡ ΠΏΠ°ΡΠΎΠ»ΠΎΠ³ΠΈΡΠ΅ΡΠΊΠΎΠ΅ ΠΎΠ±ΡΠ°Π·ΠΎΠ²Π°Π½ΠΈΠ΅. ΠΠΎ Ρ ΠΎΠ΄Ρ Π³Π»Π°Π²Π½ΠΎΠΉ Π²Π΅ΡΠ²ΠΈ Π²ΠΎΡΠΎΡΠ½ΠΎΠΉ Π²Π΅Π½Ρ Π² Π³ΠΎΡΠΈΠ·ΠΎΠ½ΡΠ°Π»ΡΠ½ΠΎΠΌ Π½Π°ΠΏΡΠ°Π²Π»Π΅Π½ΠΈΠΈ ΠΏΠ΅ΡΠ΅Π½Ρ Π΄Π΅Π»ΠΈΡΡΡ Π½Π° ΠΊΡΠ°Π½ΠΈΠ°Π»ΡΠ½ΡΡ ΠΈ ΠΊΠ°ΡΠ΄Π°Π»ΡΠ½ΡΡ ΡΠ°ΡΡΠΈ. Π ΠΊΡΠ°Π½ΠΈΠ°Π»ΡΠ½ΠΎΠΉ ΡΠ°ΡΡΠΈ Π³ΡΠ°Π½ΠΈΡΠ°ΠΌΠΈ ΡΠ΅Π³ΠΌΠ΅Π½ΡΠΎΠ² ΡΠ²Π»ΡΡΡΡΡ Π³Π»Π°Π²Π½ΡΠ΅ ΠΏΠ΅ΡΠ΅Π½ΠΎΡΠ½ΡΠ΅ Π²Π΅Π½Ρ. ΠΡΠ°Π½ΠΈΡΠ° ΠΌΠ΅ΠΆΠ΄Ρ ΠΏΡΠ°Π²ΠΎΠΉ ΠΈ Π»Π΅Π²ΠΎΠΉ Π΄ΠΎΠ»ΡΠΌΠΈ ΠΏΠ΅ΡΠ΅Π½ΠΈ ΠΏΡΠΎΡ ΠΎΠ΄ΠΈΡ Π½Π΅ ΠΏΠΎ ΡΠ΅ΡΠΏΠΎΠ²ΠΈΠ΄Π½ΠΎΠΉ ΡΠ²ΡΠ·ΠΊΠ΅, Π° ΠΏΠΎ ΠΏΠ»ΠΎΡΠΊΠΎΡΡΠΈ ΠΌΠ΅ΠΆΠ΄Ρ ΡΡΠ΅Π΄Π½Π΅ΠΉ ΠΏΠ΅ΡΠ΅Π½ΠΎΡΠ½ΠΎΠΉ Π²Π΅Π½ΠΎΠΉ ΠΈ ΡΠΌΠΊΠΎΠΉ ΠΆΠ΅Π»ΡΠ½ΠΎΠ³ΠΎ ΠΏΡΠ·ΡΡΡ.
ΠΠ΅Π²Π°Ρ Π΄ΠΎΠ»Ρ | I Ρ Π²ΠΎΡΡΠ°ΡΠ°Ρ Π΄ΠΎΠ»Ρ II Π»Π°ΡΠ΅ΡΠ°Π»ΡΠ½ΡΠΉ ΡΠ΅Π³ΠΌΠ΅Π½Ρ, ΠΊΡΠ°Π½ΠΈΠ°Π»ΡΠ½Π°Ρ ΡΠ°ΡΡΡ III Π»Π°ΡΠ΅ΡΠ°Π»ΡΠ½ΡΠΉ ΡΠ΅Π³ΠΌΠ΅Π½Ρ, ΠΊΠ°ΡΠ΄Π°Π»ΡΠ½Π°Ρ ΡΠ°ΡΡΡ IV ΠΊΠ²Π°Π΄ΡΠ°ΡΠ½Π°Ρ Π΄ΠΎΠ»Ρ (Π°: ΠΊΡΠ°Π½ΠΈΠ°Π»ΡΠ½Π°Ρ, b: ΠΊΠ°ΡΠ΄Π°Π»ΡΠ½Π°Ρ) |
ΠΡΠ°Π²Π°Ρ Π΄ΠΎΠ»Ρ | V ΠΏΠ΅ΡΠ΅Π΄Π½ΠΈΠΉ ΡΠ΅Π³ΠΌΠ΅Π½Ρ, ΠΊΠ°ΡΠ΄Π°Π»ΡΠ½Π°Ρ ΡΠ°ΡΡΡ VI Π·Π°Π΄Π½ΠΈΠΉ ΡΠ΅Π³ΠΌΠ΅Π½Ρ, ΠΊΠ°ΡΠ΄Π°Π»ΡΠ½Π°Ρ ΡΠ°ΡΡΡ VII Π·Π°Π΄Π½ΠΈΠΉ ΡΠ΅Π³ΠΌΠ΅Π½Ρ, ΠΊΡΠ°Π½ΠΈΠ°Π»ΡΠ½Π°Ρ ΡΠ°ΡΡΡ VIII ΠΏΠ΅ΡΠ΅Π΄Π½ΠΈΠΉ ΡΠ΅Π³ΠΌΠ΅Π½Ρ, ΠΊΡΠ°Π½ΠΈΠ°Π»ΡΠ½Π°Ρ ΡΠ°ΡΡΡ |
ΠΡΠ±ΠΎΡ ΠΎΠΊΠ½Π°
ΠΡΠΈ ΡΡΠ°Π΄ΠΈΡΠΈΠΎΠ½Π½ΠΎΠΉ (Π½Π΅ΡΠΏΠΈΡΠ°Π»ΡΠ½ΠΎΠΉ)Β ΠΊΠΎΠΌΠΏΡΡΡΠ΅ΡΠ½ΠΎΠΉ ΡΠΎΠΌΠΎΠ³ΡΠ°ΡΠΈΠΈΒ ΠΏΠ΅ΡΠ΅Π½Ρ Π±Π΅Π· ΠΊΠΎΠ½ΡΡΠ°ΡΡΠ½ΠΎΠ³ΠΎ ΡΡΠΈΠ»Π΅Π½ΠΈΡ ΠΎΡΠ΅Π½ΠΈΠ²Π°ΡΡ Π² ΡΠΏΠ΅ΡΠΈΠ°Π»ΡΠ½ΠΎΠΌ ΠΏΠ΅ΡΠ΅Π½ΠΎΡΠ½ΠΎΠΌ ΠΎΠΊΠ½Π΅. ΠΠ³ΠΎ ΡΠΈΡΠΈΠ½Π° — 120 — 140 HU. ΠΡΠΎ ΡΠΏΠ΅ΡΠΈΠ°Π»ΡΠ½ΠΎΠ΅ ΡΡΠΆΠ΅Π½Π½ΠΎΠ΅ ΠΎΠΊΠ½ΠΎ ΠΏΠΎΠΌΠΎΠ³Π°Π΅Ρ Π±ΠΎΠ»Π΅Π΅ ΡΠ΅ΡΠΊΠΎ Π΄ΠΈΡΡΠ΅ΡΠ΅Π½ΡΠΈΡΠΎΠ²Π°ΡΡ ΠΏΠ°ΡΠΎΠ»ΠΎΠ³ΠΈΡΠ΅ΡΠΊΠΈΠ΅ ΠΎΠ±ΡΠ°Π·ΠΎΠ²Π°Π½ΠΈΡ ΠΎΡ Π½ΠΎΡΠΌΠ°Π»ΡΠ½ΠΎΠΉ ΠΏΠ΅ΡΠ΅Π½ΠΎΡΠ½ΠΎΠΉ ΠΏΠ°ΡΠ΅Π½Ρ ΠΈΠΌΡ, ΠΏΠΎΡΠΎΠΌΡ ΡΡΠΎ ΠΎΠ±Π΅ΡΠΏΠ΅ΡΠΈΠ²Π°Π΅Ρ Π»ΡΡΡΡΡ ΠΊΠΎΠ½ΡΡΠ°ΡΡΠ½ΠΎΡΡΡ ΠΈΠ·ΠΎΠ±ΡΠ°ΠΆΠ΅Π½ΠΈΡ. ΠΡΠ»ΠΈ Π½Π΅Ρ ΠΆΠΈΡΠΎΠ²ΠΎΠ³ΠΎ Π³Π΅ΠΏΠ°ΡΠΎΠ·Π°, Π²Π½ΡΡΡΠΈΠΏΠ΅ΡΠ΅Π½ΠΎΡΠ½ΡΠ΅ ΡΠΎΡΡΠ΄Ρ ΠΎΠΏΡΠ΅Π΄Π΅Π»ΡΡΡΡΡ ΠΊΠ°ΠΊ Π³ΠΈΠΏΠΎΠ΄Π΅Π½ΡΠ½ΡΠ΅ ΡΡΡΡΠΊΡΡΡΡ. ΠΡΠΈ ΠΆΠΈΡΠΎΠ²ΠΎΠΌ Π³Π΅ΠΏΠ°ΡΠΎΠ·Π΅, ΠΊΠΎΠ³Π΄Π° ΠΏΠΎΠ½ΠΈΠΆΠ΅Π½Π° ΠΏΠΎΠ³Π»ΠΎΡΠ°ΡΡΠ°Ρ ΡΠΏΠΎΡΠΎΠ±Π½ΠΎΡΡΡ ΡΠΊΠ°Π½ΠΈ, Π²Π΅Π½Ρ ΠΌΠΎΠ³ΡΡ Π±ΡΡΡ ΠΈΠ·ΠΎΠ΄Π΅Π½ΡΠ½Ρ ΠΈΠ»ΠΈ Π΄Π°ΠΆΠ΅ Π³ΠΈΠΏΠ΅ΡΠ΄Π΅Π½ΡΠ½Ρ ΠΎΡΠ½ΠΎΡΠΈΡΠ΅Π»ΡΠ½ΠΎ Π½Π΅ΡΡΠΈΠ»Π΅Π½Π½ΠΎΠΉ ΠΏΠ°ΡΠ΅Π½Ρ ΠΈΠΌΡ ΠΏΠ΅ΡΠ΅Π½ΠΈ. ΠΠΎΡΠ»Π΅ Π²/Π² Π²Π²Π΅Π΄Π΅Π½ΠΈΡ KB ΠΈΡΠΏΠΎΠ»ΡΠ·ΡΡΡ ΠΎΠΊΠ½ΠΎ Ρ ΡΠΈΡΠΈΠ½ΠΎΠΉ ΠΎΠΊΠΎΠ»ΠΎ 350 HU, ΠΊΠΎΡΠΎΡΠΎΠ΅ ΡΠ³Π»Π°ΠΆΠΈΠ²Π°Π΅Ρ ΠΊΠΎΠ½ΡΡΠ°ΡΡΠ½ΠΎΡΡΡ ΠΈΠ·ΠΎΠ±ΡΠ°ΠΆΠ΅Π½ΠΈΡ.
ΠΠ°ΡΡΠ°ΠΆ Π±ΠΎΠ»ΡΡΠ° ΠΊΠΎΠ½ΡΡΠ°ΡΡΠ½ΠΎΠ³ΠΎ Π²Π΅ΡΠ΅ΡΡΠ²Π°
Π‘ΠΏΠΈΡΠ°Π»ΡΠ½ΠΎΠ΅ ΡΠΊΠ°Π½ΠΈΡΠΎΠ²Π°Π½ΠΈΠ΅ ΠΏΡΠΎΠ²ΠΎΠ΄ΠΈΡΡΡ Π² ΡΡΠ΅Ρ ΡΠ°Π·Π°Ρ ΠΏΠ°ΡΡΠ°ΠΆΠ° Π±ΠΎΠ»ΡΡΠ° ΠΊΠΎΠ½ΡΡΠ°ΡΡΠ½ΠΎΠ³ΠΎ ΠΏΡΠ΅ΠΏΠ°ΡΠ°ΡΠ°. ΠΡΠ΄Π΅Π»ΡΡΡ ΡΠ°Π½Π½ΡΡ Π°ΡΡΠ΅ΡΠΈΠ°Π»ΡΠ½ΡΡ ΡΠ°Π·Ρ, ΡΠ°Π·Ρ Π²ΠΎΡΠΎΡΠ½ΠΎΠΉ Π²Π΅Π½Ρ ΠΈ ΠΏΠΎΠ·Π΄Π½ΡΡ Π²Π΅Π½ΠΎΠ·Π½ΡΡ ΡΠ°Π·Ρ. ΠΡΠ»ΠΈ Π½Π΅ ΠΏΡΠΎΠ²ΠΎΠ΄ΠΈΠ»ΠΎΡΡ ΠΏΡΠ΅Π΄Π²Π°ΡΠΈΡΠ΅Π»ΡΠ½ΠΎΠ΅ ΡΠΊΠ°Π½ΠΈΡΠΎΠ²Π°Π½ΠΈΠ΅, ΡΠΎ ΡΠΊΠ°Π½ΠΈΡΠΎΠ²Π°Π½ΠΈΠ΅ Π² ΠΏΠΎΡΠ»Π΅Π΄Π½Π΅ΠΉ ΡΠ°Π·Π΅ ΠΌΠΎΠΆΠ½ΠΎ ΠΈΡΠΏΠΎΠ»ΡΠ·ΠΎΠ²Π°ΡΡ ΠΊΠ°ΠΊ Π½Π΅ΡΡΠΈΠ»Π΅Π½Π½ΠΎΠ΅ Π΄Π»Ρ ΡΡΠ°Π²Π½Π΅Π½ΠΈΡ Ρ Π΄ΡΡΠ³ΠΈΠΌΠΈ ΡΠ°Π·Π°ΠΌΠΈ. ΠΠΈΠΏΠ΅ΡΠ²Π°ΡΠΊΡΠ»ΡΡΠΈΠ·ΠΈΡΠΎΠ²Π°Π½Π½ΡΠ΅ ΠΏΠ°ΡΠΎΠ»ΠΎΠ³ΠΈΡΠ΅ΡΠΊΠΈΠ΅ ΠΎΠ±ΡΠ°Π·ΠΎΠ²Π°Π½ΠΈΡ Π³ΠΎΡΠ°Π·Π΄ΠΎ Π»ΡΡΡΠ΅ Π΄ΠΈΡΡΠ΅ΡΠ΅Π½ΡΠΈΡΡΡΡΡΡ Π² ΡΠ°Π½Π½Π΅ΠΉ Π°ΡΡΠ΅ΡΠΈΠ°Π»ΡΠ½ΠΎΠΉ ΡΠ°Π·Π΅, ΡΠ΅ΠΌ Π² ΠΏΠΎΠ·Π΄Π½Π΅ΠΉ Π²Π΅Π½ΠΎΠ·Π½ΠΎΠΉ. ΠΠΎΠ·Π΄Π½ΡΡ Π²Π΅Π½ΠΎΠ·Π½Π°Ρ ΡΠ°Π·Π° Ρ Π°ΡΠ°ΠΊΡΠ΅ΡΠΈΠ·ΡΠ΅ΡΡΡ ΠΏΡΠ°ΠΊΡΠΈΡΠ΅ΡΠΊΠΈ ΠΎΠ΄ΠΈΠ½Π°ΠΊΠΎΠ²ΡΠΌΠΈ ΠΏΠ»ΠΎΡΠ½ΠΎΡΡΡΠΌΠΈ Π°ΡΡΠ΅ΡΠΈΠΉ, Π²ΠΎΡΠΎΡΠ½ΠΎΠΉ ΠΈ ΠΏΠ΅ΡΠ΅Π½ΠΎΡΠ½ΡΡ Π²Π΅Π½ (ΡΠΎΡΡΠΎΡΠ½ΠΈΠ΅ ΡΠ°Π²Π½ΠΎΠ²Π΅ΡΠΈΡ).
ΠΠ’-ΠΏΠΎΡΡΠΎΠ³ΡΠ°ΡΠΈΡ
ΠΡΡΠΈΠ½Π½ΡΠ΅ ΡΠ°Π·ΠΌΠ΅ΡΡ ΡΠ°ΡΠΏΡΠΎΡΡΡΠ°Π½Π΅Π½ΠΈΡ ΠΏΠ°ΡΠΎΠ»ΠΎΠ³ΠΈΡΠ΅ΡΠΊΠΈΡ ΠΎΠ±ΡΠ°Π·ΠΎΠ²Π°Π½ΠΈΠΉ ΠΏΠ΅ΡΠ΅Π½ΠΈ (Π½Π°ΠΏΡΠΈΠΌΠ΅Ρ, ΠΌΠ΅ΡΠ°ΡΡΠ°Π·ΠΎΠ²) Π·Π½Π°ΡΠΈΡΠ΅Π»ΡΠ½ΠΎ Π»ΡΡΡΠ΅ ΠΎΠΏΡΠ΅Π΄Π΅Π»ΡΡΡΡΡ ΠΏΡΠΈ ΡΠΊΠ°Π½ΠΈΡΠΎΠ²Π°Π½ΠΈΠΈ Π² ΡΠ°Π·Π΅ Π²ΠΎΡΠΎΡΠ½ΠΎΠΉ Π²Π΅Π½Ρ ΠΏΠΎΡΠ»Π΅ ΡΠ΅Π»Π΅ΠΊΡΠΈΠ²Π½ΠΎΠ³ΠΎ Π²Π²Π΅Π΄Π΅Π½ΠΈΡ ΠΊΠΎΠ½ΡΡΠ°ΡΡΠ½ΠΎΠ³ΠΎ Π²Π΅ΡΠ΅ΡΡΠ²Π° Π² Π²Π΅ΡΡ Π½ΡΡ Π±ΡΡΠΆΠ΅Π΅ΡΠ½ΡΡ ΠΈΠ»ΠΈ ΡΠ΅Π»Π΅Π·Π΅Π½ΠΎΡΠ½ΡΡ Π°ΡΡΠ΅ΡΠΈΡ. ΠΡΠΎ ΡΠ²ΡΠ·Π°Π½ΠΎ Ρ ΡΠ΅ΠΌ, ΡΡΠΎ ΠΊΡΠΎΠ²ΠΎΡΠ½Π°Π±ΠΆΠ΅Π½ΠΈΠ΅ Π±ΠΎΠ»ΡΡΠΈΠ½ΡΡΠ²Π° ΠΌΠ΅ΡΠ°ΡΡΠ°Π·ΠΎΠ² ΠΈ ΠΎΠΏΡΡ ΠΎΠ»Π΅ΠΉ ΠΎΡΡΡΠ΅ΡΡΠ²Π»ΡΠ΅ΡΡΡ ΠΈΠ· ΠΏΠ΅ΡΠ΅Π½ΠΎΡΠ½ΠΎΠΉ Π°ΡΡΠ΅ΡΠΈΠΈ. ΠΠ° ΡΠΎΠ½Π΅ ΡΡΠΈΠ»Π΅Π½Π½ΠΎΠΉ ΠΊΠΎΠ½ΡΡΠ°ΡΡΠ½ΡΠΌ ΠΏΡΠ΅ΠΏΠ°ΡΠ°ΡΠΎΠΌ Π³ΠΈΠΏΠ΅ΡΠ΄Π΅Π½ΡΠ½ΠΎΠΉ Π½Π΅ΠΈΠ·ΠΌΠ΅Π½Π΅Π½Π½ΠΎΠΉ ΠΏΠ°ΡΠ΅Π½Ρ ΠΈΠΌΡ ΠΏΠ΅ΡΠ΅Π½ΠΈ ΠΏΠ°ΡΠΎΠ»ΠΎΠ³ΠΈΡΠ΅ΡΠΊΠΈΠ΅ ΠΎΠ±ΡΠ°Π·ΠΎΠ²Π°Π½ΠΈΡ ΡΡΠ°Π½ΠΎΠ²ΡΡΡΡ Π³ΠΈΠΏΠΎΠ΄Π΅Π½ΡΠ½ΡΠΌΠΈ. ΠΡΠΈ ΡΡΠ°Π²Π½Π΅Π½ΠΈΠΈ ΡΠΎ ΡΡΠ΅Π·ΠΎΠΌ Π² ΡΠ°Π½Π½Π΅ΠΉ Π°ΡΡΠ΅ΡΠΈΠ°Π»ΡΠ½ΠΎΠΉ ΡΠ°Π·Π΅ Ρ ΡΠΎΠ³ΠΎ ΠΆΠ΅ ΠΏΠ°ΡΠΈΠ΅Π½ΡΠ° Π²ΠΈΠ΄Π½ΠΎ, ΡΡΠΎ Π±Π΅Π· ΠΊΠΎΠ½ΡΡΠ°ΡΡΠ½ΠΎΠΉ ΠΏΠΎΡΡΠΎΠ³ΡΠ°ΡΠΈΠΈ Π·Π½Π°ΡΠΈΡΠ΅Π»ΡΠ½ΠΎ Π½Π΅Π΄ΠΎΠΎΡΠ΅Π½ΠΈΠ²Π°Π΅ΡΡΡ ΡΠ°ΡΠΏΡΠΎΡΡΡΠ°Π½Π΅Π½Π½ΠΎΡΡΡ ΠΌΠ΅ΡΠ°ΡΡΠ°Π·ΠΎΠ².
ΠΠΈΡΡΡ ΠΏΠ΅ΡΠ΅Π½ΠΈ
ΠΠΈΡΡΡ ΠΏΠ΅ΡΠ΅Π½ΠΈ ΡΠΎΠ΄Π΅ΡΠΆΠ°Ρ ΡΠ΅ΡΠΎΠ·Π½ΡΡ ΠΆΠΈΠ΄ΠΊΠΎΡΡΡ, ΡΠ΅ΡΠΊΠΎ ΠΎΡΠ³ΡΠ°Π½ΠΈΡΠ΅Π½Ρ ΡΠΎΠ½ΠΊΠΎΠΉ ΡΡΠ΅Π½ΠΊΠΎΠΉ ΠΎΡ ΠΎΠΊΡΡΠΆΠ°ΡΡΠΈΡ ΡΠΊΠ°Π½Π΅ΠΉ, ΠΈΠΌΠ΅ΡΡ ΠΎΠ΄Π½ΠΎΡΠΎΠ΄Π½ΡΡ ΡΡΡΡΠΊΡΡΡΡ ΠΈ ΠΏΠ»ΠΎΡΠ½ΠΎΡΡΡ, Π±Π»ΠΈΠ·ΠΊΡΡ ΠΊ Π²ΠΎΠ΄Π΅. ΠΡΠ»ΠΈ ΠΊΠΈΡΡΠ° Π½Π΅Π±ΠΎΠ»ΡΡΠΈΡ ΡΠ°Π·ΠΌΠ΅ΡΠΎΠ², ΡΠΎ Π·Π° ΡΡΠ΅Ρ ΡΡΡΠ΅ΠΊΡΠ° ΡΠ°ΡΡΠ½ΠΎΠ³ΠΎ ΠΎΠ±ΡΠ΅ΠΌΠ° ΠΎΠ½Π° Π½Π΅ ΠΈΠΌΠ΅Π΅Ρ ΡΠ΅ΡΠΊΠΈΡ Π³ΡΠ°Π½ΠΈΡ Ρ ΠΎΠΊΡΡΠΆΠ°ΡΡΠ΅ΠΉ ΡΠΊΠ°Π½ΡΡ ΠΏΠ΅ΡΠ΅Π½ΠΈ. Π ΡΠΎΠΌΠ½ΠΈΡΠ΅Π»ΡΠ½ΡΡ ΡΠ»ΡΡΠ°ΡΡ Π½Π΅ΠΎΠ±Ρ ΠΎΠ΄ΠΈΠΌΠΎ ΠΈΠ·ΠΌΠ΅ΡΠΈΡΡ ΠΏΠ»ΠΎΡΠ½ΠΎΡΡΡ Π²Π½ΡΡΡΠΈ ΠΊΠΈΡΡΡ. ΠΡΠΈ ΡΡΠΎΠΌ Π²Π°ΠΆΠ½ΠΎ ΡΡΡΠ°Π½ΠΎΠ²ΠΈΡΡ ΠΎΠ±Π»Π°ΡΡΡ ΠΈΠ½ΡΠ΅ΡΠ΅ΡΠ° ΡΠΎΡΠ½ΠΎ Π² ΡΠ΅Π½ΡΡ ΠΊΠΈΡΡΡ, ΠΏΠΎΠ΄Π°Π»ΡΡΠ΅ ΠΎΡ Π΅Π΅ ΡΡΠ΅Π½ΠΎΠΊ. Π£ ΠΌΠ°Π»Π΅Π½ΡΠΊΠΈΡ ΠΊΠΈΡΡ ΡΡΠ΅Π΄Π½ΡΡ Π²Π΅Π»ΠΈΡΠΈΠ½Π° ΠΏΠ»ΠΎΡΠ½ΠΎΡΡΠΈ ΠΌΠΎΠΆΠ΅Ρ ΠΎΠΊΠ°Π·Π°ΡΡΡΡ Π΄ΠΎΡΡΠ°ΡΠΎΡΠ½ΠΎ Π²ΡΡΠΎΠΊΠΎΠΉ. ΠΡΠΎ ΡΠ²ΡΠ·Π°Π½ΠΎ Ρ ΠΏΠΎΠΏΠ°Π΄Π°Π½ΠΈΠ΅ΠΌ Π² ΠΈΠ·ΠΌΠ΅ΡΡΠ΅ΠΌΡΡ ΠΎΠ±Π»Π°ΡΡΡ ΠΎΠΊΡΡΠΆΠ°ΡΡΠ΅ΠΉ ΠΏΠ΅ΡΠ΅Π½ΠΎΡΠ½ΠΎΠΉ ΡΠΊΠ°Π½ΠΈ. ΠΠ±ΡΠ°ΡΠΈΡΠ΅ Π²Π½ΠΈΠΌΠ°Π½ΠΈΠ΅ Π½Π° ΠΎΡΡΡΡΡΡΠ²ΠΈΠ΅ ΡΡΠΈΠ»Π΅Π½ΠΈΡ ΠΊΠΈΡΡ ΠΏΠΎΡΠ»Π΅ Π²/Π² Π²Π²Π΅Π΄Π΅Π½ΠΈΡ ΠΊΠΎΠ½ΡΡΠ°ΡΡΠ½ΠΎΠ³ΠΎ Π²Π΅ΡΠ΅ΡΡΠ²Π°.
ΠΡ ΠΈΠ½ΠΎΠΊΠΎΠΊΠΊΠΎΠ²ΡΠ΅ ΠΊΠΈΡΡΡ (Echinococcus granulosus) ΠΈΠΌΠ΅ΡΡ Ρ Π°ΡΠ°ΠΊΡΠ΅ΡΠ½ΡΠΉ ΠΌΠ½ΠΎΠ³ΠΎΠΊΠ°ΠΌΠ΅ΡΠ½ΡΠΉ Π²ΠΈΠ΄, ΡΠ°ΡΡΠΎ Ρ ΡΠ°Π΄ΠΈΠ°Π»ΡΠ½ΠΎ ΡΠ°ΡΡ ΠΎΠ΄ΡΡΠΈΠΌΠΈΡΡ ΠΏΠ΅ΡΠ΅Π³ΠΎΡΠΎΠ΄ΠΊΠ°ΠΌΠΈ. ΠΠΎ ΠΏΡΠΈ Π³ΠΈΠ±Π΅Π»ΠΈ ΠΏΠ°ΡΠ°Π·ΠΈΡΠ° ΠΈΠ½ΠΎΠ³Π΄Π° Π±ΡΠ²Π°Π΅Ρ ΡΡΡΠ΄Π½ΠΎ Π΄ΠΈΡΡΠ΅ΡΠ΅Π½ΡΠΈΡΠΎΠ²Π°ΡΡ ΡΠΏΠ°Π²ΡΡΡΡΡ ΠΏΠ°ΡΠ°Π·ΠΈΡΠ°ΡΠ½ΡΡ ΠΊΠΈΡΡΡ Ρ Π΄ΡΡΠ³ΠΈΠΌΠΈ Π²Π½ΡΡΡΠΈΠΏΠ΅ΡΠ΅Π½ΠΎΡΠ½ΡΠΌΠΈ ΠΎΠ±ΡΠ°Π·ΠΎΠ²Π°Π½ΠΈΡΠΌΠΈ. Π§Π°ΡΠ΅ ΠΏΠΎΡΠ°ΠΆΠ°Π΅ΡΡΡ ΠΏΡΠ°Π²Π°Ρ Π΄ΠΎΠ»Ρ ΠΏΠ΅ΡΠ΅Π½ΠΈ, Ρ ΠΎΡΡ ΠΈΠ½ΠΎΠ³Π΄Π° Π² ΠΏΡΠΎΡΠ΅ΡΡ Π²ΠΎΠ²Π»Π΅ΠΊΠ°Π΅ΡΡΡ Π»Π΅Π²Π°Ρ Π΄ΠΎΠ»Ρ ΠΈΠ»ΠΈ ΡΠ΅Π»Π΅Π·Π΅Π½ΠΊΠ°. ΠΠ° ΡΡΠ΅Π·Π°Ρ Π±Π΅Π· ΠΊΠΎΠ½ΡΡΠ°ΡΡΠΈΡΠΎΠ²Π°Π½ΠΈΡ ΠΏΠ»ΠΎΡΠ½ΠΎΡΡΡ ΠΊΠΈΡΡΠΎΠ·Π½ΠΎΠΉ ΠΆΠΈΠ΄ΠΊΠΎΡΡΠΈ ΠΎΠ±ΡΡΠ½ΠΎ ΡΠ°Π²Π½Π° 10 — 40 HU. ΠΠΎΡΠ»Π΅ Π²/Π² Π²Π²Π΅Π΄Π΅Π½ΠΈΡ ΠΊΠΎΠ½ΡΡΠ°ΡΡΠ½ΠΎΠ³ΠΎ Π²Π΅ΡΠ΅ΡΡΠ²Π° ΠΎΠΏΡΠ΅Π΄Π΅Π»ΡΠ΅ΡΡΡ ΡΡΠΈΠ»Π΅Π½ΠΈΠ΅ Π½Π°ΡΡΠΆΠ½ΠΎΠΉ ΠΊΠ°ΠΏΡΡΠ»Ρ. Π§Π°ΡΡΠΎ Π²ΡΡΡΠ΅ΡΠ°Π΅ΡΡΡ ΡΠ°ΡΡΠΈΡΠ½ΠΎΠ΅ ΠΈΠ»ΠΈ ΠΏΠΎΠ»Π½ΠΎΠ΅ ΠΎΠ±ΡΠ·Π²Π΅ΡΡΠ²Π»Π΅Π½ΠΈΠ΅ ΡΡΠ΅Π½ΠΎΠΊ ΠΊΠΈΡΡ. ΠΠΈΡΡΠ΅ΡΠ΅Π½ΡΠΈΠ°Π»ΡΠ½ΡΠΉ Π΄ΠΈΠ°Π³Π½ΠΎΠ· Π²ΠΊΠ»ΡΡΠ°Π΅Ρ ΠΈΠ½ΡΠ΅ΠΊΡΠΈΠΎΠ½Π½ΠΎΠ΅ ΠΏΠΎΡΠ°ΠΆΠ΅Π½ΠΈΠ΅ Π. alveolaris (Π½Π΅ ΠΏΠΎΠΊΠ°Π·Π°Π½ΠΎ) ΠΈ Π³Π΅ΠΏΠ°ΡΠΎΡΠ΅Π»Π»ΡΠ»ΡΡΠ½ΡΠΉ ΡΠ°ΠΊ, ΠΊΠΎΡΠΎΡΡΠΉ ΡΡΡΠ΄Π½ΠΎ ΠΎΡΠ»ΠΈΡΠΈΡΡ ΠΎΡ Π΄ΡΡΠ³ΠΈΡ ΠΏΠ°ΡΠΎΠ»ΠΎΠ³ΠΈΡΠ΅ΡΠΊΠΈΡ ΠΎΠ±ΡΠ°Π·ΠΎΠ²Π°Π½ΠΈΠΉ ΠΏΠ΅ΡΠ΅Π½ΠΈ Π½Π΅ΠΏΡΠ°Π²ΠΈΠ»ΡΠ½ΠΎΠΉ ΡΠΎΡΠΌΡ.
ΠΠ΅ΡΠ°ΡΡΠ°Π·Ρ Π² ΠΏΠ΅ΡΠ΅Π½Ρ
ΠΡΠ»ΠΈ Π² ΠΏΠ΅ΡΠ΅Π½ΠΈ Π²ΠΈΠ·ΡΠ°Π»ΠΈΠ·ΠΈΡΡΡΡΡΡ ΠΌΠ½ΠΎΠΆΠ΅ΡΡΠ²Π΅Π½Π½ΡΠ΅ ΠΎΡΠ°Π³ΠΎΠ²ΡΠ΅ ΠΎΠ±ΡΠ°Π·ΠΎΠ²Π°Π½ΠΈΡ, ΡΠ»Π΅Π΄ΡΠ΅Ρ Π΄ΡΠΌΠ°ΡΡ ΠΎ Π½Π°Π»ΠΈΡΠΈΠΈ ΠΌΠ΅ΡΠ°ΡΡΠ°Π·ΠΎΠ². Π§Π°ΡΠ΅ Π²ΡΠ΅Π³ΠΎ ΠΈΡΡΠΎΡΠ½ΠΈΠΊΠ°ΠΌΠΈ ΡΠ²Π»ΡΡΡΡΡ Π½ΠΎΠ²ΠΎΠΎΠ±ΡΠ°Π·ΠΎΠ²Π°Π½ΠΈΡ ΡΠΎΠ»ΡΡΠΎΠΉ ΠΊΠΈΡΠΊΠΈ, ΠΆΠ΅Π»ΡΠ΄ΠΊΠ°, Π»Π΅Π³ΠΊΠΈΡ , ΠΌΠΎΠ»ΠΎΡΠ½ΠΎΠΉ ΠΆΠ΅Π»Π΅Π·Ρ, ΠΏΠΎΡΠ΅ΠΊ ΠΈ ΠΌΠ°ΡΠΊΠΈ. Π Π·Π°Π²ΠΈΡΠΈΠΌΠΎΡΡΠΈ ΠΎΡ ΠΌΠΎΡΡΠΎΠ»ΠΎΠ³ΠΈΠΈ ΠΈ Π²Π°ΡΠΊΡΠ»ΡΡΠΈΠ·Π°ΡΠΈΠΈ, Π²ΡΠ΄Π΅Π»ΡΡΡ Π½Π΅ΡΠΊΠΎΠ»ΡΠΊΠΎ ΡΠΈΠΏΠΎΠ² ΠΌΠ΅ΡΠ°ΡΡΠ°Π·ΠΎΠ² Π² ΠΏΠ΅ΡΠ΅Π½ΠΈ. Π‘ΠΏΠΈΡΠ°Π»ΡΠ½ΡΡΒ ΠΊΠΎΠΌΠΏΡΡΡΠ΅ΡΠ½ΡΡ ΡΠΎΠΌΠΎΠ³ΡΠ°ΡΠΈΡΒ Ρ ΠΊΠΎΠ½ΡΡΠ°ΡΡΠΈΡΠΎΠ²Π°Π½ΠΈΠ΅ΠΌ ΠΏΡΠΎΠ²ΠΎΠ΄ΡΡ Π΄Π»Ρ ΠΎΡΠ΅Π½ΠΊΠΈ Π΄ΠΈΠ½Π°ΠΌΠΈΠΊΠΈ ΠΏΡΠΎΡΠ΅ΡΡΠ° ΠΊΠ°ΠΊ Π² ΡΠ°Π½Π½ΡΡ Π°ΡΡΠ΅ΡΠΈΠ°Π»ΡΠ½ΡΡ, ΡΠ°ΠΊ ΠΈ Π² ΠΎΠ±Π΅ Π²Π΅Π½ΠΎΠ·Π½ΡΠ΅ ΡΠ°Π·Ρ. ΠΡΠΈ ΡΡΠΎΠΌ ΡΡΠ°Π½ΠΎΠ²ΡΡΡΡ Ρ ΠΎΡΠΎΡΠΎ Π²ΠΈΠ΄Π½Ρ Π΄Π°ΠΆΠ΅ ΠΌΠ΅Π»ΡΡΠ°ΠΉΡΠΈΠ΅ ΠΌΠ΅ΡΠ°ΡΡΠ°Π·Ρ, ΠΈ Π²Ρ Π½Π΅ ΡΠΏΡΡΠ°Π΅ΡΠ΅ ΠΈΡ Ρ ΠΏΠ΅ΡΠ΅Π½ΠΎΡΠ½ΡΠΌΠΈ Π²Π΅Π½Π°ΠΌΠΈ.
Π Π²Π΅Π½ΠΎΠ·Π½ΠΎΠΉ ΡΠ°Π·Π΅ Π³ΠΈΠΏΠΎ- ΠΈ Π³ΠΈΠΏΠ΅ΡΠ²Π°ΡΠΊΡΠ»ΡΡΠΈΠ·ΠΈΡΠΎΠ²Π°Π½Π½ΡΠ΅ ΠΌΠ΅ΡΠ°ΡΡΠ°Π·Ρ Π³ΠΈΠΏΠΎΠ΄Π΅Π½ΡΠ½Ρ (ΡΠ΅ΠΌΠ½ΡΠ΅), ΠΏΠΎΡΠΎΠΌΡ ΡΡΠΎ ΠΈΠ· Π½ΠΈΡ Π±ΡΡΡΡΠΎ Π²ΡΠΌΡΠ²Π°Π΅ΡΡΡ ΠΊΠΎΠ½ΡΡΠ°ΡΡΠ½ΠΎΠ΅ Π²Π΅ΡΠ΅ΡΡΠ²ΠΎ. ΠΡΠ»ΠΈ Π½Π΅Ρ Π²ΠΎΠ·ΠΌΠΎΠΆΠ½ΠΎΡΡΠΈ ΠΏΡΠΎΠ²Π΅ΡΡΠΈ ΡΠΏΠΈΡΠ°Π»ΡΠ½ΠΎΠ΅ ΡΠΊΠ°Π½ΠΈΡΠΎΠ²Π°Π½ΠΈΠ΅, Π²Π°ΠΌ ΠΏΠΎΠΌΠΎΠΆΠ΅Ρ ΡΡΠ°Π²Π½Π΅Π½ΠΈΠ΅ ΡΡΠ΅Π·ΠΎΠ² Π±Π΅Π· ΡΡΠΈΠ»Π΅Π½ΠΈΡ ΠΈ Ρ ΡΡΠΈΠ»Π΅Π½ΠΈΠ΅ΠΌ. ΠΠ»Ρ ΠΎΡΠ΅Π½ΠΊΠΈ Π½Π°ΡΠΈΠ²Π½ΡΡ ΠΈΠ·ΠΎΠ±ΡΠ°ΠΆΠ΅Π½ΠΈΠΉ Π½Π΅ΠΎΠ±Ρ ΠΎΠ΄ΠΈΠΌΠΎ Π²ΡΠ΅Π³Π΄Π° ΠΏΠΎΠ²ΡΡΠ°ΡΡ ΠΊΠΎΠ½ΡΡΠ°ΡΡΠ½ΠΎΡΡΡ ΠΏΠ°ΡΠ΅Π½Ρ ΠΈΠΌΡ ΠΏΠ΅ΡΠ΅Π½ΠΈ ΡΡΡΠ°Π½ΠΎΠ²ΠΊΠΎΠΉ ΡΠΏΠ΅ΡΠΈΠ°Π»ΡΠ½ΠΎΠ³ΠΎ ΡΡΠΆΠ΅Π½Π½ΠΎΠ³ΠΎ ΠΎΠΊΠ½Π°. ΠΡΠΎ ΠΏΠΎΠ·Π²ΠΎΠ»ΡΠ΅Ρ Π²ΠΈΠ·ΡΠ°Π»ΠΈΠ·ΠΈΡΠΎΠ²Π°ΡΡ Π΄Π°ΠΆΠ΅ Π½Π΅Π±ΠΎΠ»ΡΡΠΈΠ΅ ΠΌΠ΅ΡΠ°ΡΡΠ°Π·Ρ. ΠΠ΅Π±ΠΎΠ»ΡΡΠΈΠ΅ ΠΏΠ΅ΡΠ΅Π½ΠΎΡΠ½ΡΠ΅ ΠΌΠ΅ΡΠ°ΡΡΠ°Π·Ρ, Π² ΠΎΡΠ»ΠΈΡΠΈΠ΅ ΠΎΡ ΠΊΠΈΡΡ, ΠΈΠΌΠ΅ΡΡ Π½Π΅ΡΠ΅ΡΠΊΠΈΠΉ ΠΊΠΎΠ½ΡΡΡ ΠΈ Π²ΡΡΠΎΠΊΡΡ ΠΏΠ»ΠΎΡΠ½ΠΎΡΡΡ (ΡΡΠΈΠ»Π΅Π½ΠΈΠ΅) ΠΏΠΎΡΠ»Π΅ Π²/Π² Π²Π²Π΅Π΄Π΅Π½ΠΈΡ ΠΊΠΎΠ½ΡΡΠ°ΡΡΠ½ΠΎΠ³ΠΎ Π²Π΅ΡΠ΅ΡΡΠ²Π°. Π‘ΡΠ΅Π΄Π½ΠΈΠΉ ΡΡΠΎΠ²Π΅Π½Ρ ΠΏΠ»ΠΎΡΠ½ΠΎΡΡΠΈ ΡΠΎΡΡΠ°Π²Π»ΡΠ΅Ρ 55 ΠΈ 71 HU.
Π ΡΠΎΠΌΠ½ΠΈΡΠ΅Π»ΡΠ½ΡΡ ΡΠ»ΡΡΠ°ΡΡ ΠΈ Π΄Π»Ρ ΠΎΡΠ΅Π½ΠΊΠΈ Π΄ΠΈΠ½Π°ΠΌΠΈΠΊΠΈ Π² ΠΏΡΠΎΡΠ΅ΡΡΠ΅ Π»Π΅ΡΠ΅Π½ΠΈΡ ΠΏΠΎΠ»Π΅Π·Π½ΠΎ ΡΡΠ°Π²Π½ΠΈΠ²Π°ΡΡ ΠΠ’-ΠΈΠ·ΠΎΠ±ΡΠ°ΠΆΠ΅Π½ΠΈΡ Ρ Π΄Π°Π½Π½ΡΠΌΠΈ Π£ΠΠ. Π’Π°ΠΊ ΠΆΠ΅ ΠΊΠ°ΠΊ ΠΈ Π½Π° KT, ΡΠ»ΡΡΡΠ°Π·Π²ΡΠΊΠΎΠ²ΡΠ΅ ΠΏΡΠΈΠ·Π½Π°ΠΊΠΈ ΠΌΠ΅ΡΠ°ΡΡΠ°Π·ΠΎΠ² ΡΠ°Π·Π»ΠΈΡΠ½Ρ ΠΈ Π½Π΅ ΡΠ²ΠΎΠ΄ΡΡΡΡ ΡΠΎΠ»ΡΠΊΠΎ ΠΊ ΡΠΈΠΏΠΈΡΠ½ΠΎΠΌΡ Π³ΠΈΠΏΠΎΡΡ ΠΎΠ³Π΅Π½Π½ΠΎΠΌΡ ΠΎΠ±ΠΎΠ΄ΠΊΡ. Π£Π»ΡΡΡΠ°Π·Π²ΡΠΊΠΎΠ²Π°Ρ Π΄ΠΈΠ°Π³Π½ΠΎΡΡΠΈΠΊΠ° ΠΌΠΎΠΆΠ΅Ρ Π±ΡΡΡ Π·Π°ΡΡΡΠ΄Π½Π΅Π½Π°, ΠΎΡΠΎΠ±Π΅Π½Π½ΠΎ ΠΊΠΎΠ³Π΄Π° Π² ΠΌΠ΅ΡΠ°ΡΡΠ°Π·Π°Ρ ΠΏΠΎΡΠ²Π»ΡΠ΅ΡΡΡ ΠΎΠ±ΡΠ·Π²Π΅ΡΡΠ²Π»Π΅Π½ΠΈΠ΅ Ρ Π°ΠΊΡΡΡΠΈΡΠ΅ΡΠΊΠΎΠΉ ΡΠ΅Π½ΡΡ. ΠΠΎ ΡΡΠΎ Π²ΡΡΡΠ΅ΡΠ°Π΅ΡΡΡ Π΄ΠΎΡΡΠ°ΡΠΎΡΠ½ΠΎ ΡΠ΅Π΄ΠΊΠΎ, Π·Π° ΠΈΡΠΊΠ»ΡΡΠ΅Π½ΠΈΠ΅ΠΌ ΠΌΠ΅Π΄Π»Π΅Π½Π½ΠΎ ΡΠ°ΡΡΡΡΠΈΡ ΠΌΠ΅ΡΠ°ΡΡΠ°Π·ΠΎΠ² ΡΠ»ΠΈΠ·ΠΈΡΡΠΎΠ³ΠΎ ΡΠ°ΠΊΠ° (Π½Π°ΠΏΡΠΈΠΌΠ΅Ρ, Π³Π°Π»Π΅ΡΠΎΠΉ ΠΊΠΈΡΠΊΠΈ), ΠΊΠΎΡΠΎΡΡΠ΅ ΠΌΠΎΠ³ΡΡ ΠΏΠΎΡΡΠΈ ΠΏΠΎΠ»Π½ΠΎΡΡΡΡ ΠΎΠ±ΡΠ·Π²Π΅ΡΡΠ²Π»ΡΡΡΡΡ.
Π‘ΠΎΠ»ΠΈΠ΄Π½ΡΠ΅ ΠΎΠ±ΡΠ°Π·ΠΎΠ²Π°Π½ΠΈΡ ΠΏΠ΅ΡΠ΅Π½ΠΈ
ΠΠ΅ΠΌΠ°Π½Π³ΠΈΠΎΠΌΠ° — Π½Π°ΠΈΠ±ΠΎΠ»Π΅Π΅ ΡΠ°ΡΡΠΎ Π²ΡΡΡΠ΅ΡΠ°ΡΡΠ΅Π΅ΡΡ Π΄ΠΎΠ±ΡΠΎΠΊΠ°ΡΠ΅ΡΡΠ²Π΅Π½Π½ΠΎΠ΅ ΠΎΠ±ΡΠ°Π·ΠΎΠ²Π°Π½ΠΈΠ΅ ΠΏΠ΅ΡΠ΅Π½ΠΈ. ΠΠ° Π½Π°ΡΠΈΠ²Π½ΡΡ ΠΈΠ·ΠΎΠ±ΡΠ°ΠΆΠ΅Π½ΠΈΡΡ Π½Π΅Π±ΠΎΠ»ΡΡΠΈΠ΅ Π³Π΅ΠΌΠ°Π½Π³ΠΈΠΎΠΌΡ ΠΎΠΏΡΠ΅Π΄Π΅Π»ΡΡΡΡΡ Π² Π²ΠΈΠ΄Π΅ ΡΠ΅ΡΠΊΠΎ ΠΎΡΠ³ΡΠ°Π½ΠΈΡΠ΅Π½Π½ΡΡ ΠΎΠ΄Π½ΠΎΡΠΎΠ΄Π½ΡΡ Π·ΠΎΠ½ ΠΏΠΎΠ½ΠΈΠΆΠ΅Π½Π½ΠΎΠΉ ΠΏΠ»ΠΎΡΠ½ΠΎΡΡΠΈ. ΠΠΎΡΠ»Π΅ Π²/Π² Π²Π²Π΅Π΄Π΅Π½ΠΈΡ ΠΊΠΎΠ½ΡΡΠ°ΡΡΠ½ΠΎΠ³ΠΎ Π²Π΅ΡΠ΅ΡΡΠ²Π° Ρ Π°ΡΠ°ΠΊΡΠ΅ΡΠ½ΠΎ ΡΡΠΈΠ»Π΅Π½ΠΈΠ΅ ΡΠ½Π°ΡΠ°Π»Π° Π½Π° ΠΏΠ΅ΡΠΈΡΠ΅ΡΠΈΠΈ ΠΎΠ±ΡΠ°Π·ΠΎΠ²Π°Π½ΠΈΡ, Π° Π·Π°ΡΠ΅ΠΌ ΠΏΠΎΡΡΠ΅ΠΏΠ΅Π½Π½ΠΎΠ΅ ΡΠ°ΡΠΏΡΠΎΡΡΡΠ°Π½Π΅Π½ΠΈΠ΅ ΠΊ ΡΠ΅Π½ΡΡΡ, ΡΡΠΎ Π½Π°ΠΏΠΎΠΌΠΈΠ½Π°Π΅Ρ Π·Π°ΠΊΡΡΡΠΈΠ΅ ΠΎΠΏΡΠΈΡΠ΅ΡΠΊΠΎΠΉ Π΄ΠΈΠ°ΡΡΠ°Π³ΠΌΡ. ΠΡΠΈ Π΄ΠΈΠ½Π°ΠΌΠΈΡΠ΅ΡΠΊΠΎΠΌ ΠΠ’-ΠΈΡΡΠ»Π΅Π΄ΠΎΠ²Π°Π½ΠΈΠΈ ΠΏΠΎΡΠ»Π΅ Π²Π²Π΅Π΄Π΅Π½ΠΈΡ ΠΊΠΎΠ½ΡΡΠ°ΡΡΠ½ΠΎΠ³ΠΎ ΠΏΡΠ΅ΠΏΠ°ΡΠ°ΡΠ° Π±ΠΎΠ»ΡΡΠΎΠΌ ΡΡΠΈΠ»Π΅Π½ΠΈΠ΅ ΠΏΡΠΎΠ³ΡΠ΅ΡΡΠΈΡΡΠ΅Ρ ΡΠ΅Π½ΡΡΠΎΡΡΡΠ΅ΠΌΠΈΡΠ΅Π»ΡΠ½ΠΎ. Π ΡΡΠΎΠΌ ΡΠ»ΡΡΠ°Π΅ Π²Π²ΠΎΠ΄ΡΡ Π±ΠΎΠ»ΡΡ ΠΊΠΎΠ½ΡΡΠ°ΡΡΠ½ΠΎΠ³ΠΎ Π²Π΅ΡΠ΅ΡΡΠ²Π° ΠΈ ΠΏΡΠΎΠ²ΠΎΠ΄ΡΡ ΡΠΊΠ°Π½ΠΈΡΠΎΠ²Π°Π½ΠΈΠ΅ Ρ ΠΏΠΎΠ»ΡΡΠ΅Π½ΠΈΠ΅ΠΌ ΡΠ΅ΡΠΈΠΈ ΠΠ’-ΠΈΠ·ΠΎΠ±ΡΠ°ΠΆΠ΅Π½ΠΈΠΉ ΠΊΠ°ΠΆΠ΄ΡΠ΅ Π½Π΅ΡΠΊΠΎΠ»ΡΠΊΠΎ ΡΠ΅ΠΊΡΠ½Π΄ Π½Π° ΠΎΠ΄Π½ΠΎΠΌ ΡΡΠΎΠ²Π½Π΅. ΠΠ°ΠΊΠΎΠΏΠ»Π΅Π½ΠΈΠ΅ ΠΊΠΎΠ½ΡΡΠ°ΡΡΠ½ΠΎΠ³ΠΎ ΠΏΡΠ΅ΠΏΠ°ΡΠ°ΡΠ° Π²Π½ΡΡΡΠΈ Π³Π΅ΠΌΠ°Π½Π³ΠΈΠΎΠΌΡ ΠΏΡΠΈΠ²ΠΎΠ΄ΠΈΡ ΠΊ Π³ΠΎΠΌΠΎΠ³Π΅Π½Π½ΠΎΠΌΡ ΡΡΠΈΠ»Π΅Π½ΠΈΡ Π² ΠΏΠΎΠ·Π΄Π½Π΅ΠΉ Π²Π΅Π½ΠΎΠ·Π½ΠΎΠΉ ΡΠ°Π·Π΅. Π ΡΠ»ΡΡΠ°Π΅ ΠΊΡΡΠΏΠ½ΡΡ Π³Π΅ΠΌΠ°Π½Π³ΠΈΠΎΠΌ ΡΡΠΎ ΠΌΠΎΠΆΠ΅Ρ Π·Π°Π½ΡΡΡ Π½Π΅ΡΠΊΠΎΠ»ΡΠΊΠΎ ΠΌΠΈΠ½ΡΡ, ΠΈΠ»ΠΈ ΡΡΠΈΠ»Π΅Π½ΠΈΠ΅ Π±ΡΠ΄Π΅Ρ Π½Π΅Π³ΠΎΠΌΠΎΠ³Π΅Π½Π½ΡΠΌ.
ΠΠ΄Π΅Π½ΠΎΠΌΠ° ΠΏΠ΅ΡΠ΅Π½ΠΈ ΡΠ°ΡΠ΅ Π²ΡΠ΅Π³ΠΎ ΠΎΠ±Π½Π°ΡΡΠΆΠΈΠ²Π°Π΅ΡΡΡ Ρ ΠΆΠ΅Π½ΡΠΈΠ½ Π² Π²ΠΎΠ·ΡΠ°ΡΡΠ΅ 20 — 60 Π»Π΅Ρ, Π΄Π»ΠΈΡΠ΅Π»ΡΠ½ΠΎ ΠΏΡΠΈΠ½ΠΈΠΌΠ°Π²ΡΠΈΡ ΠΎΡΠ°Π»ΡΠ½ΡΠ΅ ΠΊΠΎΠ½ΡΡΠ°ΡΠ΅ΠΏΡΠΈΠ²Ρ. ΠΠ½ΠΈ ΡΠ°ΡΡΡΡ ΠΈΠ· Π³Π΅ΠΏΠ°ΡΠΎΡΠΈΡΠΎΠ² ΠΈ ΠΌΠΎΠ³ΡΡ Π±ΡΡΡ ΠΎΠ΄ΠΈΠ½ΠΎΡΠ½ΡΠΌΠΈ ΠΈ ΠΌΠ½ΠΎΠΆΠ΅ΡΡΠ²Π΅Π½Π½ΡΠΌΠΈ. ΠΠ΄Π΅Π½ΠΎΠΌΡ ΠΎΠ±ΡΡΠ½ΠΎ Π³ΠΈΠΏΠΎΠ΄Π΅Π½ΡΠ½Ρ, ΠΈΠ½ΠΎΠ³Π΄Π° Π³ΠΈΠΏΠ΅ΡΠ²Π°ΡΠΊΡΠ»ΡΡΠΈΠ·ΠΈΡΠΎΠ²Π°Π½Ρ ΠΈ ΠΌΠΎΠ³ΡΡ ΡΠΎΠΏΡΠΎΠ²ΠΎΠΆΠ΄Π°ΡΡΡΡ Π·ΠΎΠ½Π°ΠΌΠΈ ΠΈΠ½ΡΠ°ΡΠΊΡΠ° ΠΈΠ»ΠΈ ΡΠ΅Π½ΡΡΠ°Π»ΡΠ½ΠΎΠ³ΠΎ Π½Π΅ΠΊΡΠΎΠ·Π° ΠΏΠΎΠ½ΠΈΠΆΠ΅Π½Π½ΠΎΠΉ ΠΏΠ»ΠΎΡΠ½ΠΎΡΡΠΈ ΠΈ/ΠΈΠ»ΠΈ ΡΡΠ°ΡΡΠΊΠ°ΠΌΠΈ ΠΏΠΎΠ²ΡΡΠ΅Π½Π½ΠΎΠΉ ΠΏΠ»ΠΎΡΠ½ΠΎΡΡΠΈ, ΠΎΡΡΠ°ΠΆΠ°ΡΡΠΈΠΌΠΈ ΡΠΏΠΎΠ½ΡΠ°Π½Π½ΠΎΠ΅ ΠΊΡΠΎΠ²ΠΎΠΈΠ·Π»ΠΈΡΠ½ΠΈΠ΅. Π₯ΠΈΡΡΡΠ³ΠΈΡΠ΅ΡΠΊΠΎΠ΅ ΡΠ΄Π°Π»Π΅Π½ΠΈΠ΅ ΡΠ΅ΠΊΠΎΠΌΠ΅Π½Π΄ΠΎΠ²Π°Π½ΠΎ Π² ΡΠ²ΡΠ·ΠΈ Ρ ΡΠΈΡΠΊΠΎΠΌ Π·Π½Π°ΡΠΈΡΠ΅Π»ΡΠ½ΠΎΠ³ΠΎ ΠΊΡΠΎΠ²ΠΎΡΠ΅ΡΠ΅Π½ΠΈΡ ΠΈ Π·Π»ΠΎΠΊΠ°ΡΠ΅ΡΡΠ²Π΅Π½Π½ΠΎΠ³ΠΎ ΠΏΠ΅ΡΠ΅ΡΠΎΠΆΠ΄Π΅Π½ΠΈΡ. ΠΠ°ΠΏΡΠΎΡΠΈΠ², ΠΎΡΠ°Π³ΠΎΠ²Π°Ρ ΡΠ·Π»ΠΎΠ²Π°Ρ Π³ΠΈΠΏΠ΅ΡΠΏΠ»Π°Π·ΠΈΡ Π½Π΅ ΡΠΊΠ»ΠΎΠ½Π½Π° ΠΊ ΠΎΠ·Π»ΠΎΠΊΠ°ΡΠ΅ΡΡΠ²Π»Π΅Π½ΠΈΡ ΠΈ ΡΠΎΠ΄Π΅ΡΠΆΠΈΡ ΠΆΠ΅Π»ΡΠ½ΡΠ΅ ΠΏΡΠΎΡΠΎΠΊΠΈ. ΠΠ° Π½Π°ΡΠΈΠ²Π½ΡΡ ΠΈΠ·ΠΎΠ±ΡΠ°ΠΆΠ΅Π½ΠΈΡΡ ΡΡΠ°ΡΡΠΊΠΈ ΠΎΡΠ°Π³ΠΎΠ²ΠΎΠΉ ΡΠ·Π»ΠΎΠ²ΠΎΠΉ Π³ΠΈΠΏΠ΅ΡΠΏΠ»Π°Π·ΠΈΠΈ ΠΎΠΏΡΠ΅Π΄Π΅Π»ΡΡΡΡΡ ΠΊΠ°ΠΊ Π³ΠΈΠΏΠΎΠ΄Π΅Π½ΡΠ½ΡΠ΅, ΠΈΠ½ΠΎΠ³Π΄Π° ΠΈΠ·ΠΎΠ΄Π΅Π½ΡΠ½ΡΠ΅, Π½ΠΎ ΡΠ΅ΡΠΊΠΎ ΠΎΡΠ³ΡΠ°Π½ΠΈΡΠ΅Π½Π½ΡΠ΅ ΠΎΠ±ΡΠ°Π·ΠΎΠ²Π°Π½ΠΈΡ. ΠΠΎΡΠ»Π΅ Π²/Π² Π²Π²Π΅Π΄Π΅Π½ΠΈΡ ΠΊΠΎΠ½ΡΡΠ°ΡΡΠ½ΠΎΠ³ΠΎ Π²Π΅ΡΠ΅ΡΡΠ²Π° Π² ΠΎΠ±Π»Π°ΡΡΠΈ ΡΠ·Π»ΠΎΠ²ΠΎΠΉ Π³ΠΈΠΏΠ΅ΡΠΏΠ»Π°Π·ΠΈΠΈ ΡΠ°ΡΡΠΎ ΠΏΠΎΡΠ²Π»ΡΠ΅ΡΡΡ ΡΠ΅Π½ΡΡΠ°Π»ΡΠ½Π°Ρ Π·ΠΎΠ½Π° ΠΊΡΠΎΠ²ΠΎΡΠ½Π°Π±ΠΆΠ΅Π½ΠΈΡ Π½Π΅ΠΏΡΠ°Π²ΠΈΠ»ΡΠ½ΠΎΠΉ ΡΠΎΡΠΌΡ ΠΏΠΎΠ½ΠΈΠΆΠ΅Π½Π½ΠΎΠΉ ΠΏΠ»ΠΎΡΠ½ΠΎΡΡΠΈ. ΠΠ΄Π½Π°ΠΊΠΎ ΡΡΠΎΡ ΠΏΡΠΈΠ·Π½Π°ΠΊ ΠΎΠΏΡΠ΅Π΄Π΅Π»ΡΠ΅ΡΡΡ ΡΠΎΠ»ΡΠΊΠΎ Π² 50 % ΡΠ»ΡΡΠ°Π΅Π².
ΠΠ΅ΠΏΠ°ΡΠΎΡΠ΅Π»Π»ΡΠ»ΡΡΠ½ΡΠΉ ΡΠ°ΠΊ ΡΠ°ΡΡΠΎ Π²ΡΡΡΠ΅ΡΠ°Π΅ΡΡΡ Ρ ΠΏΠ°ΡΠΈΠ΅Π½ΡΠΎΠ² Ρ Π΄Π»ΠΈΡΠ΅Π»ΡΠ½ΡΠΌ ΡΠΈΡΡΠΎΠ·ΠΎΠΌ ΠΏΠ΅ΡΠ΅Π½ΠΈ, ΠΎΡΠΎΠ±Π΅Π½Π½ΠΎ Ρ ΠΌΡΠΆΡΠΈΠ½ ΡΡΠ°ΡΡΠ΅ 40 Π»Π΅Ρ. Π ΠΎΠ΄Π½ΠΎΠΉ ΡΡΠ΅ΡΠΈ Π²ΡΠ΅Ρ ΡΠ»ΡΡΠ°Π΅Π² ΠΎΠΏΡΠ΅Π΄Π΅Π»ΡΠ΅ΡΡΡ ΠΎΠ΄ΠΈΠ½ΠΎΡΠ½Π°Ρ ΠΎΠΏΡΡ ΠΎΠ»Ρ, Π² ΠΎΡΡΠ°Π»ΡΠ½ΡΡ — ΠΌΠ½ΠΎΠ³ΠΎΠΎΡΠ°Π³ΠΎΠ²ΠΎΠ΅ ΠΏΠΎΡΠ°ΠΆΠ΅Π½ΠΈΠ΅. Π’ΡΠΎΠΌΠ±ΠΎΠ·Ρ Π²Π΅ΡΠ²Π΅ΠΉ Π²ΠΎΡΠΎΡΠ½ΠΎΠΉ Π²Π΅Π½Ρ Π²ΡΠ»Π΅Π΄ΡΡΠ²ΠΈΠ΅ ΠΏΡΠΎΡΠ°ΡΡΠ°Π½ΠΈΡ ΠΎΠΏΡΡ ΠΎΠ»ΠΈ Π² ΠΏΡΠΎΡΠ²Π΅Ρ ΡΠΎΡΡΠ΄Π° ΡΠ°ΠΊΠΆΠ΅ Π²ΡΡΡΠ΅ΡΠ°ΡΡΡΡ Ρ ΠΎΠ΄Π½ΠΎΠΉ ΡΡΠ΅ΡΠΈ ΠΏΠ°ΡΠΈΠ΅Π½ΡΠΎΠ². ΠΡΠΎΡΠ²Π»Π΅Π½ΠΈΡ Π³Π΅ΠΏΠ°ΡΠΎΡΠ΅Π»Π»ΡΠ»ΡΡΠ½ΠΎΠ³ΠΎ ΡΠ°ΠΊΠ° Π½Π° ΠΠ’ ΠΈΠ·ΠΎΠ±ΡΠ°ΠΆΠ΅Π½ΠΈΡΡ Π²Π΅ΡΡΠΌΠ° ΡΠ°Π·Π½ΠΎΠΎΠ±ΡΠ°Π·Π½Ρ. ΠΠ° Π½Π°ΡΠΈΠ²Π½ΡΡ ΠΈΠ·ΠΎΠ±ΡΠ°ΠΆΠ΅Π½ΠΈΡΡ ΠΎΠΏΡΡ ΠΎΠ»Ρ ΠΎΠ±ΡΡΠ½ΠΎ Π³ΠΈΠΏΠΎΠ΄Π΅Π½ΡΠ½Π° ΠΈΠ»ΠΈ ΠΈΠ·ΠΎΠ΄Π΅Π½ΡΠ½Π°. ΠΠΎΡΠ»Π΅ Π²Π²Π΅Π΄Π΅Π½ΠΈΡ ΠΊΠΎΠ½ΡΡΠ°ΡΡΠ½ΠΎΠ³ΠΎ Π²Π΅ΡΠ΅ΡΡΠ²Π° ΡΡΠΈΠ»Π΅Π½ΠΈΠ΅ Π±ΡΠ²Π°Π΅Ρ Π΄ΠΈΡΡΡΠ·Π½ΡΠΌ ΠΈΠ»ΠΈ ΠΊΠΎΠ»ΡΡΠ΅Π²ΠΈΠ΄Π½ΡΠΌ Ρ Π·ΠΎΠ½ΠΎΠΉ ΡΠ΅Π½ΡΡΠ°Π»ΡΠ½ΠΎΠ³ΠΎ Π½Π΅ΠΊΡΠΎΠ·Π°. ΠΡΠ»ΠΈ Π³Π΅ΠΏΠ°ΡΠΎΡΠ΅Π»Π»ΡΠ»ΡΡΠ½ΡΠΉ ΡΠ°ΠΊ ΡΠ°Π·Π²ΠΈΠ²Π°Π΅ΡΡΡ Π½Π° ΡΠΎΠ½Π΅ ΡΠΈΡΡΠΎΠ·Π° ΠΏΠ΅ΡΠ΅Π½ΠΈ, Π±ΡΠ²Π°Π΅Ρ ΠΎΡΠ΅Π½Ρ ΡΡΡΠ΄Π½ΠΎ ΠΎΠΏΡΠ΅Π΄Π΅Π»ΠΈΡΡ Π³ΡΠ°Π½ΠΈΡΡ ΠΎΠΏΡΡ ΠΎΠ»ΠΈ.
ΠΡΠΈ ΠΏΡΠΎΠ²Π΅Π΄Π΅Π½ΠΈΠΈ Π΄ΠΈΡΡΠ΅ΡΠ΅Π½ΡΠΈΠ°Π»ΡΠ½ΠΎΠΉ Π΄ΠΈΠ°Π³Π½ΠΎΡΡΠΈΠΊΠΈ ΡΠ»Π΅Π΄ΡΠ΅Ρ Π²ΡΠ΅Π³Π΄Π° ΠΈΠΌΠ΅ΡΡ Π² Π²ΠΈΠ΄Ρ Π²ΡΠΎΡΠΈΡΠ½ΡΡ Π»ΠΈΠΌΡΠΎΠΌΡ ΠΈΠ·-Π·Π° Π΅Π΅ ΡΠΏΠΎΡΠΎΠ±Π½ΠΎΡΡΠΈ ΠΈΠ½ΡΠΈΠ»ΡΡΡΠΈΡΠΎΠ²Π°ΡΡ ΠΏΠ°ΡΠ΅Π½Ρ ΠΈΠΌΡ ΠΏΠ΅ΡΠ΅Π½ΠΈ ΠΈ Π²ΡΠ·ΡΠ²Π°ΡΡ Π΄ΠΈΡΡΡΠ·Π½ΡΡ Π³Π΅ΠΏΠ°ΡΠΎΠΌΠ΅Π³Π°Π»ΠΈΡ. ΠΠΎΠ½Π΅ΡΠ½ΠΎ, Π½Π΅ ΡΠ»Π΅Π΄ΡΠ΅Ρ Π΄ΡΠΌΠ°ΡΡ, ΡΡΠΎ Π»ΡΠ±Π°Ρ Π³Π΅ΠΏΠ°ΡΠΎΠΌΠ΅Π³Π°Π»ΠΈΡ ΡΠ°Π·Π²ΠΈΠ»Π°ΡΡ Π²ΡΠ»Π΅Π΄ΡΡΠ²ΠΈΠ΅ Π»ΠΈΠΌΡΠΎΠΌΡ. ΠΠ΅Ρ ΠΎΠ΄ΠΆΠΊΠΈΠ½ΡΠΊΠΈΠ΅ Π»ΠΈΠΌΡΠΎΠΌΡ Π½Π°ΠΏΠΎΠΌΠΈΠ½Π°ΡΡ Π³Π΅ΠΏΠ°ΡΠΎΡΠ΅Π»Π»ΡΠ»ΡΡΠ½ΡΠΉ ΡΠ°ΠΊ, ΠΏΠΎΡΠΎΠΌΡ ΡΡΠΎ ΠΈΠΌΠ΅ΡΡ ΡΡ ΠΎΠ΄ΡΡΠ²ΠΎ Π² Π²Π°ΡΠΊΡΠ»ΡΡΠΈΠ·Π°ΡΠΈΠΈ ΠΈ ΡΠ·Π»ΠΎΠ²ΠΎΠΌ ΡΠΎΡΡΠ΅.
ΠΠΈΡΡΡΠ·Π½ΡΠ΅ ΠΏΠΎΡΠ°ΠΆΠ΅Π½ΠΈΡ ΠΏΠ΅ΡΠ΅Π½ΠΈ
ΠΡΠΈ ΠΆΠΈΡΠΎΠ²ΠΎΠΌ Π³Π΅ΠΏΠ°ΡΠΎΠ·Π΅ ΠΏΠ»ΠΎΡΠ½ΠΎΡΡΡ Π½Π΅ΡΡΠΈΠ»Π΅Π½Π½ΠΎΠΉ ΠΏΠ΅ΡΠ΅Π½ΠΎΡΠ½ΠΎΠΉ ΠΏΠ°ΡΠ΅Π½Ρ ΠΈΠΌΡ (Π² Π½ΠΎΡΠΌΠ΅ ΠΎΠΊΠΎΠ»ΠΎ 65 HU) ΠΌΠΎΠΆΠ΅Ρ ΡΠ½ΠΈΠΆΠ°ΡΡΡΡ Π½Π°ΡΡΠΎΠ»ΡΠΊΠΎ, ΡΡΠΎ ΡΡΠ°Π½ΠΎΠ²ΠΈΡΡΡ ΠΈΠ·ΠΎΠ΄Π΅Π½ΡΠ½ΠΎΠΉ ΠΈΠ»ΠΈ Π΄Π°ΠΆΠ΅ Π³ΠΈΠΏΠΎΠ΄Π΅Π½ΡΠ½ΠΎΠΉ ΠΏΠΎ ΡΡΠ°Π²Π½Π΅Π½ΠΈΡ Ρ ΠΊΡΠΎΠ²Π΅Π½ΠΎΡΠ½ΡΠΌΠΈ ΡΠΎΡΡΠ΄Π°ΠΌΠΈ. Π ΡΠ»ΡΡΠ°Π΅ Π³Π΅ΠΌΠΎΡ ΡΠΎΠΌΠ°ΡΠΎΠ·Π°, Π½Π°ΠΊΠΎΠΏΠ»Π΅Π½ΠΈΠ΅ ΠΆΠ΅Π»Π΅Π·Π° ΠΏΡΠΈΠ²ΠΎΠ΄ΠΈΡ ΠΊ ΡΠ²Π΅Π»ΠΈΡΠ΅Π½ΠΈΡ ΠΏΠ»ΠΎΡΠ½ΠΎΡΡΠΈ Π²ΡΡΠ΅ 90 HU ΠΈ Π΄Π°ΠΆΠ΅ Π΄ΠΎ 140 HU. ΠΡΠΈ ΡΡΠΎΠΌ Π΅ΡΡΠ΅ΡΡΠ²Π΅Π½Π½Π°Ρ ΠΊΠΎΠ½ΡΡΠ°ΡΡΠ½ΠΎΡΡΡ ΠΌΠ΅ΠΆΠ΄Ρ ΠΏΠ°ΡΠ΅Π½Ρ ΠΈΠΌΠΎΠΉ ΠΏΠ΅ΡΠ΅Π½ΠΈ ΠΈ ΡΠΎΡΡΠ΄Π°ΠΌΠΈ Π·Π½Π°ΡΠΈΡΠ΅Π»ΡΠ½ΠΎ ΠΏΠΎΠ²ΡΡΠ°Π΅ΡΡΡ. Π¦ΠΈΡΡΠΎΠ· Π² ΡΠ΅Π·ΡΠ»ΡΡΠ°ΡΠ΅ Ρ ΡΠΎΠ½ΠΈΡΠ΅ΡΠΊΠΎΠ³ΠΎ ΠΏΠΎΡΠ°ΠΆΠ΅Π½ΠΈΡ ΠΏΠ΅ΡΠ΅Π½ΠΈ ΠΏΡΠΈΠ²ΠΎΠ΄ΠΈΡ ΠΊ ΠΏΠΎΡΠ²Π»Π΅Π½ΠΈΡ Π΄ΠΈΡΡΡΠ·Π½ΠΎΠΉ ΡΠ·Π»ΠΎΠ²ΠΎΠΉ ΡΡΡΡΠΊΡΡΡΡ ΠΎΡΠ³Π°Π½Π° ΠΈ Π½Π΅ΡΠΎΠ²Π½ΡΠΌ, Π±ΡΠ³ΡΠΈΡΡΡΠΌ ΠΊΡΠ°ΡΠΌ.
[1], [2], [3], [4], [5], [6], [7], [8], [9], [10], [11], [12], [13], [14], [15]
ΠΠ°Π΄ΠΎΠ»ΠΈΠ½ΠΈΠΉ Π½Π° ΠΠ’ — ΠΠΎΠΏΡΠΎΡΡ ΠΈ ΠΎΡΠ²Π΅ΡΡ Π½Π° ΠΠ Π’
ΠΠΎΠΏΡΠΎΡΡ ΠΈ ΠΎΡΠ²Π΅ΡΡ Π² ΠΠ Π’
ΠΠΎΠΌ
ΠΠΎΠ»Π½ΡΠΉ ΡΠΏΠΈΡΠΎΠΊ Π²ΠΎΠΏΡΠΎΡΠΎΠ²
β¦ ΠΠ°Π³Π½ΠΈΡΡ ΠΈ ΡΠΊΠ°Π½Π΅ΡΡ
ΠΡΠ½ΠΎΠ²Π½ΠΎΠΉ ΡΠ»Π΅ΠΊΡΡΠΎΠΌΠ°Π³Π½Π΅ΡΠΈΠ·ΠΌ
>Π§ΡΠΎ Π²ΡΠ·ΡΠ²Π°Π΅Ρ ΠΌΠ°Π³Π½Π΅ΡΠΈΠ·ΠΌ?
Π§ΡΠΎ ΡΠ°ΠΊΠΎΠ΅ Π’Π΅ΡΠ»Π°?
ΠΠ΅ΠΌ Π±ΡΠ» Π’Π΅ΡΠ»Π°?
Π§ΡΠΎ ΡΠ°ΠΊΠΎΠ΅ Π³Π°ΡΡΡ?
ΠΠ°ΡΠΊΠΎΠ»ΡΠΊΠΎ ΡΠΈΠ»Π΅Π½ 3.0T?
Π§ΡΠΎ ΡΠ°ΠΊΠΎΠ΅ Π³ΡΠ°Π΄ΠΈΠ΅Π½Ρ?
Π Π°Π·Π²Π΅ Π½Π΅ Π³ΡΠ°Π΄ΠΈΠ΅Π½ΡΠ½ΡΠ΅ ΠΊΠ°ΡΡΡΠΊΠΈ?
Π§ΡΠΎ ΡΠ°ΠΊΠΎΠ΅ Π²ΠΎΡΠΏΡΠΈΠΈΠΌΡΠΈΠ²ΠΎΡΡΡ?
ΠΠ°ΠΊ Π»Π΅Π²ΠΈΡΠΈΡΠΎΠ²Π°ΡΡ Π»ΡΠ³ΡΡΠΊΡ?
Π§ΡΠΎ ΡΠ°ΠΊΠΎΠ΅ ΡΠ΅ΡΡΠΎΠΌΠ°Π³Π½Π΅ΡΠΈΠ·ΠΌ?
Π‘ΡΠΏΠ΅ΡΠΏΠ°ΡΠ°ΠΌΠ°Π³Π½Π΅ΡΠΈΠ·ΠΌ?
ΠΠ°Π³Π½ΠΈΡΡ — Π§Π°ΡΡΡ I
>Π’ΠΈΠΏΡ ΠΌΠ°Π³Π½ΠΈΡΠΎΠ²?
ΠΠ°ΡΠΊΠΈ ΡΠΊΠ°Π½Π΅ΡΠΎΠ²?
Π ΠΊΠ°ΠΊΡΡ ΡΡΠΎΡΠΎΠ½Ρ ΡΠΊΠ°Π·ΡΠ²Π°Π΅Ρ ΠΏΠΎΠ»Π΅?
ΠΠ°ΠΊΠΎΠΉ ΡΠ΅Π²Π΅ΡΠ½ΡΠΉ ΠΏΠΎΠ»ΡΡ?
ΠΠΈΠ·ΠΊΠΎΠ΅ v ΡΡΠ΅Π΄Π½Π΅Π΅ v Π²ΡΡΠΎΠΊΠΎΠ΅ ΠΏΠΎΠ»Π΅?
ΠΡΠ΅ΠΈΠΌΡΡΠ΅ΡΡΠ²Π° ΠΏΠ΅ΡΠ΅Π΄ low-field?
ΠΠ΅Π΄ΠΎΡΡΠ°ΡΠΊΠΈ?
Π§ΡΠΎ ΡΠ°ΠΊΠΎΠ΅ ΠΎΠ΄Π½ΠΎΡΠΎΠ΄Π½ΠΎΡΡΡ?
ΠΠΎΡΠ΅ΠΌΡ ΠΎΠ΄Π½ΠΎΡΠΎΠ΄Π½ΠΎΡΡΡ?
ΠΠΎΡΠ΅ΠΌΡ ΡΠΈΠΌΠΌΠΈΠ½Π³?
ΠΠ°ΡΡΠΈΠ²Π½Π°Ρ ΡΠ΅Π³ΡΠ»ΠΈΡΠΎΠ²ΠΊΠ°?
ΠΠΊΡΠΈΠ²Π½ΠΎΠ΅ ΡΠ΅Π³ΡΠ»ΠΈΡΠΎΠ²Π°Π½ΠΈΠ΅?
ΠΠ°Π³Π½ΠΈΡΡ — Π§Π°ΡΡΡ II
>Π‘Π²Π΅ΡΡ ΠΏΡΠΎΠ²ΠΎΠ΄ΠΈΠΌΠΎΡΡΡ?
ΠΠ΅ΡΠ½ΠΎΠ΅ Π΄Π²ΠΈΠΆΠ΅Π½ΠΈΠ΅?
ΠΠ°ΠΊ ΡΡΠ΅Ρ Π°ΡΡ?
Π‘Π²Π΅ΡΡ ΠΏΡΠΎΠ²ΠΎΠ΄ΡΡΠΈΠΉ Π΄ΠΈΠ·Π°ΠΉΠ½?
Room Temp supercon?
ΠΡΠΏΠΎΠ»ΡΠ·ΠΎΠ²Π°Π½ΠΈΠ΅ ΠΆΠΈΠ΄ΠΊΠΎΠ³ΠΎ Π³Π΅Π»ΠΈΡ?
Π§ΡΠΎ ΡΠ°ΠΊΠΎΠ΅ Π·Π°ΠΊΠ°Π»ΠΊΠ°?
ΠΠΎΠ»Π΅ ΠΊΠΎΠ³Π΄Π°-Π½ΠΈΠ±ΡΠ΄Ρ ΠΎΡΠΊΠ»ΡΡΠ°Π»ΠΎΡΡ?
ΠΠ½ΠΎΠΏΠΊΠ° Π°Π²Π°ΡΠΈΠΉΠ½ΠΎΠΉ ΠΎΡΡΠ°Π½ΠΎΠ²ΠΊΠΈ?
ΠΡΠ°Π΄ΠΈΠ΅Π½ΡΡ
>ΠΡΠ°Π΄ΠΈΠ΅Π½ΡΠ½ΡΠ΅ ΠΊΠ°ΡΡΡΠΊΠΈ?
ΠΠ°ΠΊ ΡΠ°Π±ΠΎΡΠ°ΡΡ z-Π³ΡΠ°Π΄ΠΈΠ΅Π½ΡΡ?
X- ΠΈ Y- Π³ΡΠ°Π΄ΠΈΠ΅Π½ΡΡ?
ΠΡΠΊΡΡΡΡ Π³ΡΠ°Π΄ΠΈΠ΅Π½ΡΡ ΡΠΊΠ°Π½Π΅ΡΠ°?
ΠΡΠΎΠ±Π»Π΅ΠΌΡ Ρ Π²ΠΈΡ ΡΠ΅Π²ΡΠΌΠΈ ΡΠΎΠΊΠ°ΠΌΠΈ?
ΠΠΊΡΠΈΠ²Π½ΡΠ΅ ΡΠΊΡΠ°Π½ΠΈΡΠΎΠ²Π°Π½Π½ΡΠ΅ Π³ΡΠ°Π΄ΠΈΠ΅Π½ΡΡ?
ΠΠ°ΠΌΠ΅ΡΠ°ΡΠ΅Π»ΡΡΡΠ²ΠΎ Π°ΠΊΡΠΈΠ²Π½ΠΎΠ³ΠΎ ΡΠΈΡΠ°?
Π§ΡΠΎ ΡΠ°ΠΊΠΎΠ΅ ΠΏΡΠ΅Π΄Π²Π°ΡΠΈΡΠ΅Π»ΡΠ½ΡΠΉ ΡΠΏΠΎΡ?
ΠΡΠ°Π΄ΠΈΠ΅Π½ΡΠ½ΡΠΉ Π½Π°Π³ΡΠ΅Π²?
Π₯Π°ΡΠ°ΠΊΡΠ΅ΡΠΈΡΡΠΈΠΊΠΈ Π³ΡΠ°Π΄ΠΈΠ΅Π½ΡΠ°?
ΠΠΈΠ½Π΅ΠΉΠ½ΠΎΡΡΡ Π³ΡΠ°Π΄ΠΈΠ΅Π½ΡΠ°?
RF ΠΈ ΠΊΠ°ΡΡΡΠΊΠΈ
>ΠΠ½ΠΎΠ³ΠΎ Π²ΠΈΠ΄ΠΎΠ² ΠΊΠ°ΡΡΡΠ΅ΠΊ?
Π Π°Π΄ΠΈΠΎΡΠ°ΡΡΠΎΡΠ½ΡΠ΅ Π²ΠΎΠ»Π½Ρ?
Π§Π°ΡΡΠΎΡΠ° ΡΠ°Π·Ρ v?
Π€ΡΠ½ΠΊΡΠΈΡ (-Ρ) Π Π§-ΠΊΠ°ΡΡΡΠΊΠΈ?
Π Π§-ΠΏΠ΅ΡΠ΅Π΄Π°ΡΡΠΈΠ΅ ΠΊΠ°ΡΡΡΠΊΠΈ?
LP ΠΏΡΠΎΡΠΈΠ² CP (ΠΊΠ²Π°Π΄ΡΠ°ΡΡΡΠ½Π°Ρ)?
ΠΡΠ»ΡΡΠΈ-ΠΏΠ΅ΡΠ΅Π΄Π°ΡΠ° RF?
ΠΠ°ΡΡΡΠΊΠΈ ΡΠΎΠ»ΡΠΊΠΎ Π΄Π»Ρ ΠΏΡΠΈΠ΅ΠΌΠ°?
ΠΠ°ΡΡΡΠΊΠΈ ΠΌΠ°ΡΡΠΈΠ²Π°?
ΠΠΎΠ·Π΄ΡΡΠ½ΡΠ΅ Π·ΠΌΠ΅Π΅Π²ΠΈΠΊΠΈ?
ΠΠ»Π°Π½ΠΈΡΠΎΠ²Π°Π½ΠΈΠ΅ ΠΏΠ»ΠΎΡΠ°Π΄ΠΊΠΈ
>Π‘Ρ Π΅ΠΌΠ° ΡΠΈΡΡΠ΅ΠΌΡ MR?
Π§ΡΠΎ ΡΠ°ΠΊΠΎΠ΅ ΠΏΠ΅ΡΠΈΡΠ΅ΡΠΈΠΉΠ½ΡΠ΅ ΠΏΠΎΠ»Ρ?
ΠΠΎΠ½Ρ Π±Π΅Π·ΠΎΠΏΠ°ΡΠ½ΠΎΡΡΠΈ ACR?
ΠΠ°ΠΊ ΡΠΌΠ΅Π½ΡΡΠΈΡΡ Π±Π°Ρ ΡΠΎΠΌΡ?
ΠΠ°Π³Π½ΠΈΡΠ½ΠΎΠ΅ ΡΠΊΡΠ°Π½ΠΈΡΠΎΠ²Π°Π½ΠΈΠ΅?
ΠΡΠΆΠ½Ρ Π²ΠΈΠ±ΡΠ°ΡΠΈΠΎΠ½Π½ΡΠ΅ ΠΈΡΠΏΡΡΠ°Π½ΠΈΡ?
Π§ΡΠΎ ΡΡΠΎ Π·Π° ΡΡΠΌ?
ΠΠΎΡΠ΅ΠΌΡ ΡΠ°Π΄ΠΈΠΎΡΠ°ΡΡΠΎΡΠ½ΠΎΠ΅ ΡΠΊΡΠ°Π½ΠΈΡΠΎΠ²Π°Π½ΠΈΠ΅?
ΠΡΠΎΠ²ΠΎΠ΄Π° / ΡΡΡΠ±ΠΊΠΈ ΡΠ΅ΡΠ΅Π· ΡΡΠ΅Π½Ρ?
β¦ Π―ΠΠ -ΡΠ΅Π½ΠΎΠΌΠ΅Π½
ΠΡΠ°ΡΠ΅Π½ΠΈΠ΅
>Π§ΡΠΎ ΡΠ°ΠΊΠΎΠ΅ ΡΠΏΠΈΠ½?
ΠΠΎΡΠ΅ΠΌΡ I = Β½, 1 ΠΈ Ρ. Π.?
ΠΡΠΎΡΠΎΠ½ = ΡΠ΄ΡΠΎ ββ= ΡΠΏΠΈΠ½?
ΠΡΠ΅Π΄ΡΠΊΠ°Π·Π°ΡΡ ΡΠ΄Π΅ΡΠ½ΡΠΉ ΡΠΏΠΈΠ½ (I)?
ΠΠ°Π³Π½ΠΈΡΠ½ΡΠΉ Π΄ΠΈΠΏΠΎΠ»ΡΠ½ΡΠΉ ΠΌΠΎΠΌΠ΅Π½Ρ?
ΠΠΈΡΠΎΠΌΠ°Π³Π½ΠΈΡΠ½ΠΎΠ΅ ΠΎΡΠ½ΠΎΡΠ΅Π½ΠΈΠ΅ (Ξ³)?
Β«ΠΡΠ°ΡΠ΅Π½ΠΈΠ΅Β» ΠΏΡΠΎΡΠΈΠ² Β«Π‘ΠΎΡΡΠΎΡΠ½ΠΈΠ΅ Π²ΡΠ°ΡΠ΅Π½ΠΈΡΒ»?
Π Π°ΡΡΠ΅ΠΏΠ»Π΅Π½ΠΈΠ΅ ΡΠ½Π΅ΡΠ³ΠΈΠΈ?
Π£ΠΏΠ°ΡΡΡ Π² ΡΠ°ΠΌΠΎΠ΅ Π½ΠΈΠ·ΠΊΠΎΠ΅ ΡΠΎΡΡΠΎΡΠ½ΠΈΠ΅?
ΠΠ²Π°Π½ΡΠΎΠ²Π°Ρ Β«ΡΠ΅Π°Π»ΡΠ½ΠΎΡΡΡΒ»?
ΠΡΠ΅ΡΠ΅ΡΡΠΈΡ
>ΠΠΎΡΠ΅ΠΌΡ ΠΏΡΠ΅ΡΠ΅ΡΡΠΈΡ?
ΠΠ΅ΠΌ Π±ΡΠ» ΠΠ°ΡΠΌΠΎΡ?
ΠΠ½Π΅ΡΠ³ΠΈΡ ΠΏΡΠ΅ΡΠ΅ΡΡΠΈΠΈ?
Π₯ΠΈΠΌΠΈΡΠ΅ΡΠΊΠΈΠΉ ΡΠ΄Π²ΠΈΠ³?
Π§ΠΈΡΡΠ°Ρ Π½Π°ΠΌΠ°Π³Π½ΠΈΡΠ΅Π½Π½ΠΎΡΡΡ (M)?
ΠΠ³Π½ΠΎΠ²Π΅Π½Π½ΠΎ ΠΏΠΎΡΠ²Π»ΡΠ΅ΡΡΡ Π?
ΠΡΠ΅ΡΠ΅ΡΡΠΈΡΡΠ΅Ρ Π»ΠΈ M?
ΠΡΠ΅ΡΠ΅ΡΡΠΈΡ = Π―ΠΠ ?
Π Π΅Π·ΠΎΠ½Π°Π½Ρ
>ΠΠ Π’ ΠΏΡΠΎΡΠΈΠ² ΠΠ Π’ ΠΏΡΠΎΡΠΈΠ² Π―ΠΠ ?
ΠΡΠΎ ΠΎΡΠΊΡΡΠ» Π―ΠΠ ?
ΠΠ°ΠΊ B1 ΠΏΠΎΠ΄ΡΠΊΠ°Π·ΡΠ²Π°Π΅Ρ M?
ΠΠΎΡΠ΅ΠΌΡ Π½Π° Π»Π°ΡΠΌΠΎΡΠΎΠ²ΡΠΊΠΎΠΉ ΡΠ°ΡΡΠΎΡΠ΅?
Π§ΡΠΎ ΡΠ°ΠΊΠΎΠ΅ ΡΠ³ΠΎΠ» ΠΏΠΎΠ²ΠΎΡΠΎΡΠ°?
ΠΡΠ΅ΡΠ΅ΡΡΠΈΡ Π²ΡΠ°ΡΠ΅Π½ΠΈΡ ΠΏΠΎΡΠ»Π΅ 180 Β°?
Π€Π°Π·ΠΎΠ²Π°Ρ ΠΊΠΎΠ³Π΅ΡΠ΅Π½ΡΠ½ΠΎΡΡΡ?
ΠΡΡΠ²ΠΎΠ±ΠΎΠΆΠ΄Π΅Π½ΠΈΠ΅ ΡΠ°Π΄ΠΈΠΎΡΠ°ΡΡΠΎΡΠ½ΠΎΠΉ ΡΠ½Π΅ΡΠ³ΠΈΠΈ?
ΠΡΠ°ΡΠ°ΡΡΠ°ΡΡΡ ΡΠ°ΠΌΠΊΠ°?
ΠΠ½Π΅ΡΠ΅Π·ΠΎΠ½Π°Π½Ρ?
ΠΠ΄ΠΈΠ°Π±Π°ΡΠΈΡΠ΅ΡΠΊΠΎΠ΅ Π²ΠΎΠ·Π±ΡΠΆΠ΄Π΅Π½ΠΈΠ΅?
ΠΠ΄ΠΈΠ°Π±Π°ΡΠΈΡΠ΅ΡΠΊΠΈΠ΅ ΠΈΠΌΠΏΡΠ»ΡΡΡ?
Π Π΅Π»Π°ΠΊΡΠ°ΡΠΈΡ — Π€ΠΈΠ·ΠΈΠΊΠ°
>Π£ΡΠ°Π²Π½Π΅Π½ΠΈΡ ΠΠ»ΠΎΡ Π°?
Π§ΡΠΎ ΡΠ°ΠΊΠΎΠ΅ Π’1?
Π§ΡΠΎ ΡΠ°ΠΊΠΎΠ΅ Π’2?
Π‘ΠΊΠΎΡΠΎΡΡΡ ΡΠ΅Π»Π°ΠΊΡΠ°ΡΠΈΠΈ Π²ΠΎ Π²ΡΠ΅ΠΌΠ΅Π½ΠΈ?
ΠΠΎΡΠ΅ΠΌΡ Π’1> Π’2?
Π’2 ΠΏΡΠΎΡΠΈΠ² Π’2 *?
ΠΡΠΈΡΠΈΠ½Ρ ΡΠ°ΡΡΠ»Π°Π±Π»Π΅Π½ΠΈΡ?
ΠΠΈΠΏΠΎΠ»Ρ-Π΄ΠΈΠΏΠΎΠ»ΡΠ½ΡΠ΅ Π²Π·Π°ΠΈΠΌΠΎΠ΄Π΅ΠΉΡΡΠ²ΠΈΡ?
Π₯ΠΈΠΌΠΈΡΠ΅ΡΠΊΠΈΠΉ ΠΎΠ±ΠΌΠ΅Π½?
Π‘ΠΏΠΈΠ½-ΡΠΏΠΈΠ½ΠΎΠ²ΡΠ΅ Π²Π·Π°ΠΈΠΌΠΎΠ΄Π΅ΠΉΡΡΠ²ΠΈΡ?
ΠΡΡΠ΅ΠΊΡΡ ΠΌΠ°ΠΊΡΠΎΠΌΠΎΠ»Π΅ΠΊΡΠ»?
ΠΠ°ΠΊΠΈΠ΅ H ΠΏΡΠΎΠΈΠ·Π²ΠΎΠ΄ΡΡ ΡΠΈΠ³Π½Π°Π»?
Β«ΠΠ΅Π²ΠΈΠ΄ΠΈΠΌΡΠ΅Β» ΠΏΡΠΎΡΠΎΠ½Ρ?
ΠΠ΅ΡΠ΅Π΄Π°ΡΠ° Π½Π°ΠΌΠ°Π³Π½ΠΈΡΠΈΠ²Π°Π½ΠΈΡ?
ΠΠΎ Π²Π»ΠΈΡΠ΅Ρ Π½Π° Π’1 ΠΈ Π’2?
ΠΠ°ΠΊ ΠΏΡΠ΅Π΄ΡΠΊΠ°Π·Π°ΡΡ T1 ΠΈ T2?
Π Π΅Π»Π°ΠΊΡΠ°ΡΠΈΡ — ΠΠ»ΠΈΠ½ΠΈΡΠ΅ΡΠΊΠ°Ρ
>Π’1 ΡΡΠΊΠΈΠΉ? — ΠΆΠΈΡ
Π’1 ΡΡΠΊΠΈΠΉ? — Π΄ΡΡΠ³ΠΈΠ΅ ΠΌΠ°ΡΠ»Π°
Π’1 ΡΡΠΊΠΈΠΉ? — Ρ ΠΎΠ»Π΅ΡΡΠ΅ΡΠΈΠ½
Π’1 ΡΡΠΊΠΈΠΉ? — ΠΊΠ°Π»ΡΡΠΈΡΠΈΠΊΠ°ΡΡ
Π’1 ΡΡΠΊΠΈΠΉ? — ΠΌΠ΅ΠΊΠΎΠ½ΠΈΠΉ
Π’1 ΡΡΠΊΠΈΠΉ? — ΠΌΠ΅Π»Π°Π½ΠΈΠ½
Π’1 ΡΡΠΊΠΈΠΉ? — Π±Π΅Π»ΠΎΠΊ / ΠΌΡΡΠΈΠ½
Π’1 ΡΡΠΊΠΈΠΉ? — ΠΌΠΈΠ΅Π»ΠΈΠ½
ΠΠ°Π³ΠΈΡΠ΅ΡΠΊΠΈΠΉ ΡΠ³ΠΎΠ»?
ΠΠ’ ΠΈΠ·ΠΎΠ±ΡΠ°ΠΆΠ΅Π½ΠΈΡ / ΠΊΠΎΠ½ΡΡΠ°ΡΡ?
β¦ ΠΠΌΠΏΡΠ»ΡΡΠ½ΡΠ΅ ΠΏΠΎΡΠ»Π΅Π΄ΠΎΠ²Π°ΡΠ΅Π»ΡΠ½ΠΎΡΡΠΈ
MR ΡΠΈΠ³Π½Π°Π»Ρ
>ΠΡΠΎΠΈΡΡ ΠΎΠΆΠ΄Π΅Π½ΠΈΠ΅ ΡΠΈΠ³Π½Π°Π»Π° MR?
Π Π°ΡΠΏΠ°Π΄ ΡΠ²ΠΎΠ±ΠΎΠ΄Π½ΠΎΠΉ ΠΈΠ½Π΄ΡΠΊΡΠΈΠΈ?
ΠΡΠ°Π΄ΠΈΠ΅Π½ΡΠ½ΠΎΠ΅ ΡΡ ΠΎ?
TR ΠΈ TE?
Π‘ΠΏΠΈΠ½ΠΎΠ²ΠΎΠ΅ ΡΡ ΠΎ?
90 Β° -90 Β° Hahn Echo?
Π‘ΡΠΈΠΌΡΠ»ΠΈΡΠΎΠ²Π°Π½Π½ΠΎΠ΅ ΡΡ ΠΎ?
STE Π΄Π»Ρ Π²ΠΈΠ·ΡΠ°Π»ΠΈΠ·Π°ΡΠΈΠΈ?
4 ΠΈΠ»ΠΈ Π±ΠΎΠ»Π΅Π΅ ΠΠ§-ΠΈΠΌΠΏΡΠ»ΡΡΠΎΠ²?
Π§Π°ΡΡΠΈΡΠ½ΡΠ΅ ΡΠ³Π»Ρ ΠΏΠΎΠ²ΠΎΡΠΎΡΠ°?
ΠΠ°ΠΊ ΡΠΈΠ³Π½Π°Π» Π²ΡΡΠ΅?
ΠΠΏΡΠΈΠΌΠ°Π»ΡΠ½ΡΠΉ ΡΠ³ΠΎΠ» ΠΏΠΎΠ²ΠΎΡΠΎΡΠ°?
Π‘ΠΏΠΈΠ½-ΡΡ ΠΎ
>SE ΠΏΡΠΎΡΠΈΠ² Multi-SE ΠΏΡΠΎΡΠΈΠ² FSE?
ΠΠΎΠ½ΡΡΠ°ΡΡΠ½ΠΎΡΡΡ ΠΈΠ·ΠΎΠ±ΡΠ°ΠΆΠ΅Π½ΠΈΡ: TR / TE?
ΠΡΠΎΡΠΈΠ²ΠΎΠΏΠΎΠ»ΠΎΠΆΠ½ΡΠ΅ ΡΡΡΠ΅ΠΊΡΡ β T1 β T2?
ΠΠ½Π°ΡΠ΅Π½ΠΈΠ΅ Π²Π΅ΡΠ°?
ΠΠΎΠ΄Ρ ΠΎΠ΄ΠΈΡ Π»ΠΈ SE Π΄Π»Ρ T2?
ΠΠ»ΠΈΡΠ½ΠΈΠ΅ 180 Β° Π½Π° Mz?
ΠΠ°ΠΏΡΠ°Π²Π»Π΅Π½ΠΈΠ΅ ΠΈΠΌΠΏΡΠ»ΡΡΠ° 180 Β°?
ΠΠ½Π²Π΅ΡΡΠΈΡ Recovery
>Π§ΡΠΎ ΡΠ°ΠΊΠΎΠ΅ ΠΠ?
ΠΠ°ΡΠ΅ΠΌ ΠΈΡΠΏΠΎΠ»ΡΠ·ΠΎΠ²Π°ΡΡ ΠΠ?
Π€Π°Π·ΠΎΡΡΠ²ΡΡΠ²ΠΈΡΠ΅Π»ΡΠ½ΡΠΉ ΠΠ?
ΠΠΎΡΠ΅ΠΌΡ Π½Π΅ PSIR Π²ΡΠ΅Π³Π΄Π°?
ΠΡΠ±ΠΎΡ ΠΠ-ΠΏΠ°ΡΠ°ΠΌΠ΅ΡΡΠΎΠ²?
TI ΠΎΠ±Π½ΡΠ»ΠΈΡΡ ΡΠΊΠ°Π½Ρ?
Π ΠΠΠΠΠ¨ΠΠΠΠ’Π¬?
T1-FLAIR
T2-FLAIR?
IR-ΠΏΠΎΠ΄Π³ΠΎΡΠΎΠ²Π»Π΅Π½Π½ΡΠ΅ ΠΏΠΎΡΠ»Π΅Π΄ΠΎΠ²Π°ΡΠ΅Π»ΡΠ½ΠΎΡΡΠΈ?
ΠΠ²ΠΎΠΉΠ½ΠΎΠΉ ΠΠ?
ΠΡΠ°Π΄ΠΈΠ΅Π½ΡΠ½ΠΎΠ΅ ΡΡ ΠΎ
>GRE ΠΏΡΠΎΡΠΈΠ² SE?
ΠΡΠ»ΡΡΠΈ-ΡΡ ΠΎ GRE?
Π’ΠΈΠΏΡ ΠΏΠΎΡΠ»Π΅Π΄ΠΎΠ²Π°ΡΠ΅Π»ΡΠ½ΠΎΡΡΠ΅ΠΉ GRE?
ΠΠΎΠΌΠΌΠ΅ΡΡΠ΅ΡΠΊΠΈΠ΅ ΡΠΎΠΊΡΠ°ΡΠ΅Π½ΠΈΡ?
ΠΠΎΡΡΠ° — ΡΡΠΎ ΠΈ ΠΊΠ°ΠΊ?
ΠΡΠΏΠΎΡΡΠ΅Π½Π½ΡΠ΅ ΠΏΠ°ΡΠ°ΠΌΠ΅ΡΡΡ GRE?
ΠΠ·Π±Π°Π»ΠΎΠ²Π°Π½ ΡΠΎΠ»ΡΠΊΠΎ T1W?
Π§ΡΠΎ ΡΠ°ΠΊΠΎΠ΅ SSFP?
GRASS / FISP: ΠΊΠ°ΠΊ?
GRASS / FISP: ΠΏΠ°ΡΠ°ΠΌΠ΅ΡΡΡ?
GRASS ΠΏΡΠΎΡΠΈΠ² MPGR?
PSIF ΠΏΡΠΎΡΠΈΠ² FISP?
ΠΡΡΠΈΠ½Π½ΡΠΉ FISP / FIESTA?
Π€ΠΠΠ‘Π’Π ΠΏΡΠΎΡΠΈΠ² Π€ΠΠΠ‘Π’Π-Π‘?
ΠΠΠ‘Π‘?
MERGE / MEDIC?
GRASE?
MP-RAGE v MR2RAGE?
ΠΠΎΡΠΏΡΠΈΡΡΠΈΠ΅ Π²ΠΎΡΠΏΡΠΈΠΈΠΌΡΠΈΠ²ΠΎΡΡΠΈ
>Π§ΡΠΎ ΡΠ°ΠΊΠΎΠ΅ Π²ΠΎΡΠΏΡΠΈΠΈΠΌΡΠΈΠ²ΠΎΡΡΡ (Ο)?
Π§ΡΠΎ Π½Π΅ ΡΠ°ΠΊ Ρ GRE?
Π‘ΠΎΠ·Π΄Π°Π½ΠΈΠ΅ ΠΎΠ±ΡΠ°Π·Π° ΠΠ?
Π€Π°Π·Π° ΠΊΡΠΎΠ²ΠΈ v Ca ++?
ΠΠΎΠ»ΠΈΡΠ΅ΡΡΠ²Π΅Π½Π½Π°Ρ Π²ΠΎΡΠΏΡΠΈΠΈΠΌΡΠΈΠ²ΠΎΡΡΡ?
Π Π°ΡΠΏΡΠΎΡΡΡΠ°Π½Π΅Π½ΠΈΠ΅: Π±Π°Π·ΠΎΠ²ΠΎΠ΅
>Π§ΡΠΎ ΡΠ°ΠΊΠΎΠ΅ Π΄ΠΈΡΡΡΠ·ΠΈΡ?
ΠΠ·ΠΎ- / Π°Π½ΠΈΠ·ΠΎΡΡΠΎΠΏΠ½Π°Ρ Π΄ΠΈΡΡΡΠ·ΠΈΡ?
Β«ΠΠΈΠ΄ΠΈΠΌΠΎΠ΅Β» ΡΠ°ΡΠΏΡΠΎΡΡΡΠ°Π½Π΅Π½ΠΈΠ΅?
Π‘ΠΎΠ·Π΄Π°Π½ΠΈΠ΅ ΠΎΠ±ΡΠ°Π·Π° DW?
Π§ΡΠΎ ΡΠ°ΠΊΠΎΠ΅ b-Π·Π½Π°ΡΠ΅Π½ΠΈΠ΅?
b0 ΠΏΡΠΎΡΠΈΠ² b50?
Π’ΡΠ°ΡΡΠΈΡΠΎΠ²ΠΊΠ° ΠΏΡΠΎΡΠΈΠ² ΠΊΠ°ΡΡΡ ΠΠ¦Π?
Π‘ΠΌΠ΅Π½Π° Π½Π°ΠΏΡΠ°Π²Π»Π΅Π½ΠΈΡ ΡΠ²Π΅Ρ / ΡΠ΅ΠΌΠ½ΠΎΡΠ°?
Π’2 «ΠΏΡΠΎΡΠ²Π΅ΡΠΈΠ²Π°Π΅Ρ»?
ΠΠΊΡΠΏΠΎΠ½Π΅Π½ΡΠΈΠ°Π»ΡΠ½ΡΠΉ ΠΠ¦Π?
Π’2 «Π·Π°ΡΠ΅ΠΌΠ½Π΅Π½ΠΈΠ΅»?
DWI ΡΡΠΊΠΈΠ΅ ΠΏΡΠΈΡΠΈΠ½Ρ?
Π Π°ΡΠΏΡΠΎΡΡΡΠ°Π½Π΅Π½ΠΈΠ΅: ΠΡΠΎΠ΄Π²ΠΈΠ½ΡΡΡΠΉ
>Π’Π΅Π½Π·ΠΎΡ Π΄ΠΈΡΡΡΠ·ΠΈΠΈ?
DTI (ΡΠ΅Π½Π·ΠΎΡΠ½Π°Ρ Π²ΠΈΠ·ΡΠ°Π»ΠΈΠ·Π°ΡΠΈΡ)?
DWI Π²ΡΠ΅Π³ΠΎ ΡΠ΅Π»Π°?
Π‘ΡΠΈΡΡΠ²Π°Π΅ΠΌΡΠΉ ΡΠ΅Π³ΠΌΠ΅Π½ΡΠΈΡΠΎΠ²Π°Π½Π½ΡΠΉ DWI?
ΠΠ°Π»ΡΠΉ ΡΠ³ΠΎΠ» ΠΎΠ±Π·ΠΎΡΠ° DWI?
IVIM?
ΠΠΈΡΡΡΠ·ΠΈΠΎΠ½Π½ΡΠΉ ΡΠΊΡΡΠ΅ΡΡ?
ΠΠΈΡΠΎΠ²Π°Ρ Π²ΠΈΠ·ΡΠ°Π»ΠΈΠ·Π°ΡΠΈΡ
>Π‘Π²ΠΎΠΉΡΡΠ²Π° ΠΆΠΈΡΠ° ΠΈ Π²ΠΎΠ΄Ρ?
Π₯ΠΈΠΌΠΈΡΠ΅ΡΠΊΠΈΠΉ ΡΠ΄Π²ΠΈΠ³ F-W?
Π ΡΠ°Π·Π΅ / Π½Π΅ Π² ΡΠ°Π·Π΅?
ΠΡΡΡΠΈΠΉ ΡΠΏΠΎΡΠΎΠ±?
ΠΠ΅ΡΠΎΠ΄ ΠΠΈΠΊΡΠΎΠ½Π°?
«ΠΠΈΡΠ½ΠΎ-Π½Π°ΡΡΡΠ΅Π½Π½ΡΠ΅» Π±ΠΎΠ±ΠΎΠ²ΡΠ΅?
ΠΠΎΠ΄Π½ΠΎΠ΅ Π²ΠΎΠ·Π±ΡΠΆΠ΄Π΅Π½ΠΈΠ΅?
Π ΠΠΠΠΠ¨ΠΠΠΠ’Π¬?
ΠΠ£Π₯?
Π‘ΠΠΠΠ ΠΏΡΠΎΡΠΈΠ² ΠΠ£Π₯Π?
SPIR / SPAIR v STIR?
β¦ Π‘ΠΎΠ·Π΄Π°Π½ΠΈΠ΅ ΠΈΠ·ΠΎΠ±ΡΠ°ΠΆΠ΅Π½ΠΈΡ
ΠΡ ΡΠΈΠ³Π½Π°Π»ΠΎΠ² ΠΊ ΠΈΠ·ΠΎΠ±ΡΠ°ΠΆΠ΅Π½ΠΈΡΠΌ
>Π§Π°ΡΡΠΎΡΠ° ΡΠ°Π·Ρ v?
Π£Π³Π»ΠΎΠ²Π°Ρ ΡΠ°ΡΡΠΎΡΠ° (Ο)?
Π‘ΠΈΠ³Π½Π°Π»ΡΠ½ΡΠ΅ Π²ΠΎΠ»Π½ΠΈΡΡΡΠ΅ Π»ΠΈΠ½ΠΈΠΈ?
Π Π΅Π°Π»ΡΠ½ΡΠΉ v ΠΠ½ΠΈΠΌΡΠΉ?
ΠΡΠ΅ΠΎΠ±ΡΠ°Π·ΠΎΠ²Π°Π½ΠΈΠ΅ Π€ΡΡΡΠ΅ (FT)?
Π§ΡΠΎ ΡΠ°ΠΊΠΎΠ΅ 2D- ΠΈ 3D-FT?
ΠΡΠΎ ΠΈΠ·ΠΎΠ±ΡΠ΅Π» ΠΠ Π’?
ΠΠ°ΠΊ Π½Π°ΠΉΡΠΈ ΡΠΈΠ³Π½Π°Π»Ρ?
Π§Π°ΡΡΠΎΡΠ½ΠΎΠ΅ ΠΊΠΎΠ΄ΠΈΡΠΎΠ²Π°Π½ΠΈΠ΅
>Π§Π°ΡΡΠΎΡΠ½ΠΎΠ΅ ΠΊΠΎΠ΄ΠΈΡΠΎΠ²Π°Π½ΠΈΠ΅?
ΠΡΠΎΠΏΡΡΠΊΠ½Π°Ρ ΡΠΏΠΎΡΠΎΠ±Π½ΠΎΡΡΡ ΠΏΡΠΈΠ΅ΠΌΠ½ΠΈΠΊΠ°?
Π£Π·ΠΊΠ°Ρ ΠΏΠΎΠ»ΠΎΡΠ° ΠΏΡΠΎΠΏΡΡΠΊΠ°Π½ΠΈΡ?
Π‘ΡΠ΅Π·-ΡΠ΅Π»Π΅ΠΊΡΠΈΠ²Π½ΠΎΠ΅ Π²ΠΎΠ·Π±ΡΠΆΠ΄Π΅Π½ΠΈΠ΅?
ΠΠ΅ΠΏΠ΅ΡΡΠΊΠΈ Π³ΡΠ°Π΄ΠΈΠ΅Π½ΡΠ° Π‘Π‘?
ΠΠ΅ΡΠ΅ΠΊΡΠ΅ΡΡΠ½ΡΠΉ ΡΠ°Π·Π³ΠΎΠ²ΠΎΡ?
Π§Π°ΡΡΠΎΡΡ Π²ΡΠ΅ ΠΊΠΎΠ΄ΠΈΡΠΎΠ²Π°ΡΡ?
Π‘ΠΌΠ΅ΡΠΈΠ²Π°Π½ΠΈΠ΅ Π»ΠΎΠΌΡΠΈΠΊΠΎΠ²?
ΠΠ΄Π½ΠΎΠ²ΡΠ΅ΠΌΠ΅Π½Π½ΡΠ΅ ΡΡΠ΅Π·Ρ?
Π€Π°Π·ΠΎΠ²ΠΎΠ΅ ΠΊΠΎΠ΄ΠΈΡΠΎΠ²Π°Π½ΠΈΠ΅
>ΠΡΠ°Π΄ΠΈΠ΅Π½Ρ ΡΠ°Π·ΠΎΠ²ΠΎΠ³ΠΎ ΠΊΠΎΠ΄ΠΈΡΠΎΠ²Π°Π½ΠΈΡ?
ΠΠ΄ΠΈΠ½ ΡΠ°Π³ PE?
Π§ΡΠΎ ΡΠ°ΠΊΠΎΠ΅ ΡΠ°Π·ΠΎΠ²ΠΎΠ΅ ΠΊΠΎΠ΄ΠΈΡΠΎΠ²Π°Π½ΠΈΠ΅?
Π§Π ΠΈ ΠΠ Π²ΠΌΠ΅ΡΡΠ΅?
2DFT ΡΠ΅ΠΊΠΎΠ½ΡΡΡΡΠΊΡΠΈΡ?
ΠΡΠ±ΠΈΡΠ°Π΅ΡΠ΅ Π½Π°ΠΏΡΠ°Π²Π»Π΅Π½ΠΈΠ΅ PE / FE?
ΠΡΠΏΠΎΠ»Π½Π΅Π½ΠΈΠ΅ ΠΠ Π’-ΡΠΊΠ°Π½ΠΈΡΠΎΠ²Π°Π½ΠΈΡ
>ΠΠ°ΠΊΠΈΠ΅ ΡΠ°Π³ΠΈ?
ΠΠ²ΡΠΎΠΌΠ°ΡΠΈΡΠ΅ΡΠΊΠΎΠ΅ ΠΏΡΠ΅Π΄Π²Π°ΡΠΈΡΠ΅Π»ΡΠ½ΠΎΠ΅ ΡΠΊΠ°Π½ΠΈΡΠΎΠ²Π°Π½ΠΈΠ΅?
ΠΠ±ΡΡΠ½Π°Ρ ΡΠ΅Π³ΡΠ»ΠΈΡΠΎΠ²ΠΊΠ°?
ΠΠ°ΡΡΡΠΎΠΉΠΊΠ° / ΡΠΎΠ³Π»Π°ΡΠΎΠ²Π°Π½ΠΈΠ΅ ΠΊΠ°ΡΡΡΠ΅ΠΊ?
Π¦Π΅Π½ΡΡΠ°Π»ΡΠ½Π°Ρ ΡΠ°ΡΡΠΎΡΠ°?
ΠΠΎΡΡΡΠΈΡΠΈΠ΅Π½Ρ ΡΡΠΈΠ»Π΅Π½ΠΈΡ ΠΏΠ΅ΡΠ΅Π΄Π°ΡΡΠΈΠΊΠ°?
Π£ΡΠΈΠ»Π΅Π½ΠΈΠ΅ ΠΏΡΠΈΠ΅ΠΌΠ½ΠΈΠΊΠ°?
ΠΡΡΡΡΠ΅ ΡΠΈΠΊΠ»Ρ?
ΠΠ΄Π΅ ΠΌΠΎΠΈ Π΄Π°Π½Π½ΡΠ΅?
ΠΠ²Π°Π»ΠΈΡΠΈΠΊΠ°ΡΠΈΡ MR Tech?
β¦ K-space ΠΈ Rapid Imaging
K-ΠΏΡΠΎΡΡΡΠ°Π½ΡΡΠ²ΠΎ (Π±Π°Π·ΠΎΠ²ΡΠΉ)
>Π§ΡΠΎ ΡΠ°ΠΊΠΎΠ΅ k-ΠΏΡΠΎΡΡΡΠ°Π½ΡΡΠ²ΠΎ?
Π§Π°ΡΡΠΈ k-ΠΏΡΠΎΡΡΡΠ°Π½ΡΡΠ²Π°?
Π§ΡΠΎ ΠΎΠ·Π½Π°ΡΠ°Π΅Ρ «ΠΊ»?
ΠΡΠΎΡΡΡΠ°Π½ΡΡΠ²Π΅Π½Π½ΡΠ΅ ΡΠ°ΡΡΠΎΡΡ?
ΠΠΎΠΊΠ°ΡΠΈΠΈ Π² k-ΠΏΡΠΎΡΡΡΠ°Π½ΡΡΠ²Π΅?
ΠΠ°Π½Π½ΡΠ΅ Π΄Π»Ρ k-ΠΏΡΠΎΡΡΡΠ°Π½ΡΡΠ²Π°?
ΠΠΎΡΠ΅ΠΌΡ ΡΠΈΠ³Π½Π°Π» β k-space?
Π‘ΠΏΠΈΠ½-Π΄Π΅ΡΠΎΡΠΌΠ°ΡΠΈΡ ΠΈΠ·ΠΎΠ±ΡΠ°ΠΆΠ΅Π½ΠΈΡ?
ΠΠΎΠ»ΡΡΠΎΠ΅ ΠΏΡΡΠ½ΠΎ ΠΏΠΎΡΠ΅ΡΠ΅Π΄ΠΈΠ½Π΅?
Π’ΡΠ°Π΅ΠΊΡΠΎΡΠΈΠΈ Π² K-ΠΏΡΠΎΡΡΡΠ°Π½ΡΡΠ²Π΅?
Π Π°Π΄ΠΈΠ°Π»ΡΠ½ΡΠΉ ΠΎΡΠ±ΠΎΡ ΠΏΡΠΎΠ±?
K-space (ΠΡΠΎΠ΄Π²ΠΈΠ½ΡΡΡΠΉ)
>Π-ΠΏΡΠΎΡΡΡΠ°Π½ΡΡΠ²Π΅Π½Π½Π°Ρ ΡΠ΅ΡΠΊΠ°?
ΠΡΡΠΈΡΠ°ΡΠ΅Π»ΡΠ½ΡΠ΅ ΡΠ°ΡΡΠΎΡΡ?
ΠΠΎΠ»Π΅ Π·ΡΠ΅Π½ΠΈΡ (FOV)
ΠΡΡΠΌΠΎΡΠ³ΠΎΠ»ΡΠ½ΠΎΠ΅ ΠΏΠΎΠ»Π΅ Π·ΡΠ΅Π½ΠΈΡ?
Π§Π°ΡΡΠΈΡΠ½ΡΠΉ Π€ΡΡΡΠ΅?
Π€Π°Π·ΠΎΠ²Π°Ρ ΡΠΈΠΌΠΌΠ΅ΡΡΠΈΡ?
Π§ΠΈΡΠ°ΡΡ ΡΠΈΠΌΠΌΠ΅ΡΡΠΈΡ?
ΠΠΎΡΠ΅ΠΌΡ Π±Ρ Π½Π΅ ΠΈΡΠΏΠΎΠ»ΡΠ·ΠΎΠ²Π°ΡΡ ΠΎΠ±Π°?
ZIP?
ΠΡΡΡΡΠ°Ρ Π²ΠΈΠ·ΡΠ°Π»ΠΈΠ·Π°ΡΠΈΡ (FSE ΠΈ EPI)
>Π§ΡΠΎ ΡΠ°ΠΊΠΎΠ΅ FSE / TSE?
ΠΠ°ΡΠ°ΠΌΠ΅ΡΡΡ FSE?
Π―ΡΠΊΠΈΠΉ ΠΆΠΈΡ?
ΠΡΡΠ³ΠΈΠ΅ ΠΎΡΠ»ΠΈΡΠΈΡ FSE?
ΠΠ²ΠΎΠΉΠ½ΠΎΠ΅ ΡΡ ΠΎ FSE?
Π£ΠΏΡΠ°Π²Π»ΡΠ΅ΠΌΠΎΠ΅ ΡΠ°Π²Π½ΠΎΠ²Π΅ΡΠΈΠ΅?
Π£ΠΌΠ΅Π½ΡΡΠ΅Π½Π½ΡΠΉ ΡΠ³ΠΎΠ» ΠΏΠΎΠ²ΠΎΡΠΎΡΠ° FSE?
ΠΠΈΠΏΠ΅ΡΡΡ ΠΎ?
ΠΠΠ‘ΠΠΠ‘ / ΠΠ£Π / ΠΠΠΠΠΠ?
ΠΡ ΠΎ-ΠΏΠ»Π°Π½Π°ΡΠ½ΠΎΠ΅ ΠΈΠ·ΠΎΠ±ΡΠ°ΠΆΠ΅Π½ΠΈΠ΅?
HASTE / SS-FSE?
ΠΠ°ΡΠ°Π»Π»Π΅Π»ΡΠ½Π°Ρ Π²ΠΈΠ·ΡΠ°Π»ΠΈΠ·Π°ΡΠΈΡ (PI)
>Π§ΡΠΎ ΡΠ°ΠΊΠΎΠ΅ ΠΠ?
Π§Π΅ΠΌ ΠΎΡΠ»ΠΈΡΠ°Π΅ΡΡΡ PI?
ΠΠ°ΡΡΡΠΊΠΈ PI ΠΈ ΠΏΠΎΡΠ»Π΅Π΄ΠΎΠ²Π°ΡΠ΅Π»ΡΠ½ΠΎΡΡΠΈ?
ΠΠ°ΡΠ΅ΠΌ ΠΈ ΠΊΠΎΠ³Π΄Π° ΠΈΡΠΏΠΎΠ»ΡΠ·ΠΎΠ²Π°ΡΡ?
ΠΠ²Π° ΡΠΈΠΏΠ° ΠΠ?
Π‘ΠΠ«Π‘Π / ΠΠΠ’ΠΠ?
GRAPPA / ARC?
ΠΠΠΠΠΠ ΠΠΠ¬Π―?
Π¨ΡΠΌ Π² PI?
ΠΡΡΠ΅ΡΠ°ΠΊΡΡ Π² PI?
β¦ ΠΠΎΠ½ΡΡΠ°ΡΡΠ½ΡΠ΅ Π²Π΅ΡΠ΅ΡΡΠ²Π° ΠΈ ΠΊΡΠΎΠ²Ρ
ΠΠΎΠ½ΡΡΠ°ΡΡΠ½ΡΠ΅ Π²Π΅ΡΠ΅ΡΡΠ²Π°: ΡΠΈΠ·ΠΈΠΊΠ°
>ΠΠΎΡΠ΅ΠΌΡ Π³Π°Π΄ΠΎΠ»ΠΈΠ½ΠΈΠΉ?
ΠΠ°ΡΠ°ΠΌΠ°Π³Π½ΠΈΡΠ½Π°Ρ ΡΠ΅Π»Π°ΠΊΡΠ°ΡΠΈΡ?
Π§ΡΠΎ ΡΠ°ΠΊΠΎΠ΅ ΡΠ°ΡΡΠ»Π°Π±Π»Π΅Π½ΠΈΠ΅?
ΠΠΎΡΠ΅ΠΌΡ Π-Π³ ΡΠΎΠΊΡΠ°ΡΠ°Π΅Ρ Π’1?
ΠΠ»ΠΈΡΠ΅Ρ Π»ΠΈ Π-Π³ Π½Π° ββΠ’2?
Gd ΠΈ Π½Π°ΠΏΡΡΠΆΠ΅Π½Π½ΠΎΡΡΡ ΠΏΠΎΠ»Ρ?
ΠΡΡΡΠ°Ρ ΠΏΠΎΡΠ»Π΅Π΄ΠΎΠ²Π°ΡΠ΅Π»ΡΠ½ΠΎΡΡΡ ΠΈΠΌΠΏΡΠ»ΡΡΠΎΠ² T1?
Π’ΡΠΎΠΉΠ½Π°Ρ Π΄ΠΎΠ·Π° ΠΈ ΠΠ’?
ΠΠΈΠ½Π°ΠΌΠΈΡΠ΅ΡΠΊΠ°Ρ Π²ΠΈΠ·ΡΠ°Π»ΠΈΠ·Π°ΡΠΈΡ CE?
ΠΠ°Π΄ΠΎΠ»ΠΈΠ½ΠΈΠΉ Π½Π° ΠΠ’?
ΠΠΎΠ½ΡΡΠ°ΡΡΠ½ΡΠ΅ Π²Π΅ΡΠ΅ΡΡΠ²Π°: ΠΊΠ»ΠΈΠ½ΠΈΡΠ΅ΡΠΊΠΈΠ΅
>Π’Π°ΠΊ ΠΌΠ½ΠΎΠ³ΠΎ Π°Π³Π΅Π½ΡΠΎΠ² Π-Π³Π°!
ΠΠ°ΠΆΠ½ΡΠ΅ ΡΠ²ΠΎΠΉΡΡΠ²Π°?
ΠΠΎΠ½Π½ΡΠΉ v Π½Π΅ΠΈΠΎΠ½Π½ΡΠΉ?
ΠΠ½ΡΡΡΠΈΡΡΡΡΠ°Π²Π½ΠΎΠΉ / ΡΠ΅ΠΊΠ°Π»ΡΠ½ΡΠΉ Gd?
Π-Π³ Π°Π³Π΅Π½ΡΡ ΠΏΠ΅ΡΠ΅Π½ΠΈ (ΠΠΎΠ²ΠΈΡΡ)?
ΠΠ³Π΅Π½ΡΡ Mn (Π’Π΅ΡΠ»Π°ΡΠΊΠ°Π½)?
Π€Π΅ΡΠΈΠ΄Π΅ΠΊΡ ΠΈ ΠΏΠ΅ΡΠ΅Π½ΠΎΡΠ½ΡΠ΅ Π°Π³Π΅Π½ΡΡ?
ΠΠΎΠ·Π±ΡΠ΄ΠΈΡΠ΅Π»ΠΈ Π»ΠΈΠΌΡΠ°ΡΠΈΡΠ΅ΡΠΊΠΈΡ ΡΠ·Π»ΠΎΠ²?
Π€Π΅ΡΡΠΌΠΎΠΊΡΠΈΡΠΎΠ»?
ΠΠ°ΡΡΠ΅ΠΉΠ½ ΠΊΡΠΎΠ²ΠΈ (ΠΠ±Π»Π°Π²Π°Ρ)?
ΠΠΎΠ½ΡΡΠ°ΡΡΠ½ΡΠ΅ Π²Π΅ΡΠ΅ΡΡΠ²Π° ΠΊΠΈΡΠ΅ΡΠ½ΠΈΠΊΠ°?
ΠΠΎΠ½ΡΡΠ°ΡΡΠ½ΡΠ΅ Π²Π΅ΡΠ΅ΡΡΠ²Π°: Π±Π΅Π·ΠΎΠΏΠ°ΡΠ½ΠΎΡΡΡ
>ΠΠ΅Π·ΠΎΠΏΠ°ΡΠ½ΠΎΡΡΡ Π³Π°Π΄ΠΎΠ»ΠΈΠ½ΠΈΡ?
ΠΠ»Π»Π΅ΡΠ³ΠΈΡΠ΅ΡΠΊΠΈΠ΅ ΡΠ΅Π°ΠΊΡΠΈΠΈ?
ΠΠΎΡΠ΅ΡΠ½Π°Ρ ΡΠΎΠΊΡΠΈΡΠ½ΠΎΡΡΡ?
Π§ΡΠΎ ΡΠ°ΠΊΠΎΠ΅ NSF?
NSF Π°Π³Π΅Π½ΡΠΎΠΌ?
ΠΡΠΎΠ·Π½Π°Π½Π½ΠΎΠ΅ ΡΠΎΠ³Π»Π°ΡΠΈΠ΅ Π΄Π»Ρ Π-Π³Π°?
Π-Π³ ΠΏΡΠΎΡΠΎΠΊΠΎΠ»?
ΠΠ΅Π·ΠΎΠΏΠ°ΡΠ΅Π½ Π»ΠΈ Π-Π³ Π΄Π»Ρ ΠΌΠ»Π°Π΄Π΅Π½ΡΠ΅Π²?
Π‘Π½ΠΈΠΆΠ΅Π½Π½Π°Ρ Π΄ΠΎΠ·Π° Π΄Π»Ρ ΠΌΠ»Π°Π΄Π΅Π½ΡΠ΅Π²?
Π-Π³ Π² Π³ΡΡΠ΄Π½ΠΎΠΌ ΠΌΠΎΠ»ΠΎΠΊΠ΅?
Π-Π³ Π²ΠΎ Π²ΡΠ΅ΠΌΡ Π±Π΅ΡΠ΅ΠΌΠ΅Π½Π½ΠΎΡΡΠΈ?
ΠΠ°ΠΊΠΎΠΏΠ»Π΅Π½ΠΈΠ΅ Π-Π³Π°?
ΠΠΎΠ»Π΅Π·Π½Ρ ΠΎΡΠ»ΠΎΠΆΠ΅Π½ΠΈΠΉ Gd?
ΠΡΠΎΠ²Ρ: ΠΏΠ°ΡΠ°ΠΌΠ°Π³Π½Π΅ΡΠΈΠ·ΠΌ
>ΠΠ±Π·ΠΎΡ Π³Π΅ΠΌΠ°ΡΠΎΠΌΡ?
Π’ΠΈΠΏΡ Π³Π΅ΠΌΠΎΠ³Π»ΠΎΠ±ΠΈΠ½Π°?
Π‘Π²Π΅ΡΡ ΠΎΡΡΡΡΠΉ / Oxy-Hb?
ΠΡΡΡΡΠΉ / Deoxy-Hb?
ΠΠΎΠ΄ΠΎΡΡΡΡΠΉ / Met-Hb?
ΠΠ΅Π·ΠΎΠΊΡΠΈ-Hb ΠΏΡΠΎΡΠΈΠ² Met-Hb?
ΠΠ½Π΅ΠΊΠ»Π΅ΡΠΎΡΠ½ΡΠΉ met-Hb?
Π₯ΡΠΎΠ½ΠΈΡΠ΅ΡΠΊΠΈΠ΅ Π³Π΅ΠΌΠ°ΡΠΎΠΌΡ?
ΠΠ΅ΠΌΠΈΡ ΡΠΎΠΌΡ?
Π€Π΅ΡΡΠΈΡΠΈΠ½ / ΠΠ΅ΠΌΠΎΡΠΈΠ΄Π΅ΡΠΈΠ½?
Π‘ΡΠ±Π°ΡΠ°Ρ Π½ΠΎΠΈΠ΄Π°Π»ΡΠ½Π°Ρ ΠΊΡΠΎΠ²Ρ?
β¦ Π‘Π΅ΡΠ΄Π΅ΡΠ½ΠΎ-ΡΠΎΡΡΠ΄ΠΈΡΡΡΠ΅ Π·Π°Π±ΠΎΠ»Π΅Π²Π°Π½ΠΈΡ ΠΈ ΠΠ Π
ΠΡΡΠ΅ΠΊΡΡ ΠΏΠΎΡΠΎΠΊΠ° Π² ΠΠ Π’
>ΠΠΏΡΠ΅Π΄Π΅Π»Π΅Π½ΠΈΠ΅ ΠΏΠΎΡΠΎΠΊΠ°?
ΠΠΆΠΈΠ΄Π°Π΅ΠΌΡΠ΅ ΡΠΊΠΎΡΠΎΡΡΠΈ?
ΠΠ°ΠΌΠΈΠ½Π°ΡΠ½ΡΠΉ v ΡΡΡΠ±ΡΠ»Π΅Π½ΡΠ½ΡΠΉ?
ΠΡΠΎΠ³Π½ΠΎΠ·ΠΈΡΠΎΠ²Π°Π½ΠΈΠ΅ MR ΠΏΠΎΡΠΎΠΊΠ°?
ΠΡΡΠ΅ΠΊΡΡ Π²ΡΠ΅ΠΌΠ΅Π½ΠΈ ΠΏΡΠΎΠ»Π΅ΡΠ°?
ΠΡΡΠ΅ΠΊΡΡ ΡΠ°Π·Ρ Π²ΡΠ°ΡΠ΅Π½ΠΈΡ?
ΠΠΎΡΠΎΠΊ ΠΏΡΡΡ?
ΠΠΎΡΠ΅ΠΌΡ GRE β ΡΠΈΠ³Π½Π°Π» ΠΏΠΎΡΠΎΠΊΠ°?
ΠΠ΅Π΄Π»Π΅Π½Π½ΠΎΠ΅ ΡΠ΅ΡΠ΅Π½ΠΈΠ΅ v ΡΡΠΎΠΌΠ±?
ΠΠ΅ΡΠ΅ΡΠ°Π·ΠΈΡΠΎΠ²ΠΊΠ° ΡΠ΅ΡΠ½ΠΎΠ³ΠΎ ΡΡ Π°?
ΠΠΎΠΌΠΏΠ΅Π½ΡΠ°ΡΠΈΡ ΠΏΠΎΡΠΎΠΊΠ°?
Π‘ΠΌΠ΅ΡΠ΅Π½ΠΈΠ΅ ΡΠ΅Π³ΠΈΡΡΡΠ°ΡΠΈΠΈ ΠΏΠΎΡΠΎΠΊΠ°?
ΠΠ -Π°Π½Π³ΠΈΠΎΠ³ΡΠ°ΡΠΈΡ — I
>ΠΠ΅ΡΠΎΠ΄Ρ MRA?
Π’Π΅ΠΌΠ½Π°Ρ ΠΊΡΠΎΠ²Ρ ΠΏΡΠΎΡΠΈΠ² ΡΡΠΊΠΎΠΉ?
Time-of-Flight (TOF) MRA?
2D ΠΏΡΠΎΡΠΈΠ² 3D MRA?
ΠΠ°ΡΠ°ΠΌΠ΅ΡΡΡ MRA?
ΠΠ΅ΡΠ΅Π΄Π°ΡΠ° Π½Π°ΠΌΠ°Π³Π½ΠΈΡΠΈΠ²Π°Π½ΠΈΡ?
Π£Π³ΠΎΠ» ΠΏΠΎΠ²ΠΎΡΠΎΡΠ° Ρ Π½Π°ΠΊΠ»ΠΎΠ½ΠΎΠΌ?
ΠΠΠ¦Π?
MRA Ρ ΠΏΠΎΠ΄Π°Π²Π»Π΅Π½ΠΈΠ΅ΠΌ ΠΆΠΈΡΠ°?
TOF MRA ΠΡΡΠ΅ΡΠ°ΠΊΡΡ?
Π€Π°Π·ΠΎΠ²ΡΠΉ ΠΊΠΎΠ½ΡΡΠ°ΡΡ ΠΠ Π?
Π§ΡΠΎ ΡΠ°ΠΊΠΎΠ΅ VENC?
ΠΠ·ΠΌΠ΅ΡΠ΅Π½ΠΈΠ΅ ΡΠ°ΡΡ ΠΎΠ΄Π°?
ΠΠ°ΡΠΊΠΎΠ»ΡΠΊΠΎ ΡΠΎΡΠ½ΠΎ?
ΠΠ -Π°Π½Π³ΠΈΠΎΠ³ΡΠ°ΡΠΈΡ — II
>ΠΠ°ΠΊΡΡΡΡΠΉ 3D FSE MRA?
ΠΠ°ΡΠ°ΠΌΠ΅ΡΡΡ 3D FSE MRA?
SSFP MRA?
SSFP Ρ ΡΡΠΈΠ»Π΅Π½Π½ΡΠΌ ΠΏΡΠΈΡΠΎΠΊΠΎΠΌ?
MRA Ρ ASL?
ΠΡΡΠ³ΠΈΠ΅ ΠΌΠ΅ΡΠΎΠ΄Ρ ΠΠ Π?
ΠΠ Π Ρ ΡΡΠΈΠ»Π΅Π½ΠΈΠ΅ΠΌ ΠΊΠΎΠ½ΡΡΠ°ΡΡΠ°?
ΠΡΠ΅ΠΌΡ Π±ΠΎΠ»ΡΡΠ½ΠΎΠ³ΠΎ Π²Π²Π΅Π΄Π΅Π½ΠΈΡ?
ΠΠΎΡΠΌΠΎΡΡΠ΅ΡΡ Π·Π°ΠΊΠ°Π· Π² MRA?
ΠΠΎΠ³ΠΎΠ½Ρ Π·Π° Π±ΠΎΠ»ΡΡΠΎΠΌ?
Π£Π»ΠΎΠ²ΠΊΠΈ ΠΈΠ»ΠΈ ΡΠ²ΠΈΡΡ?
ΠΡΡΠ΅ΡΠ°ΠΊΡΡ CE-MRA?
Π‘Π΅ΡΠ΄Π΅ΡΠ½ΡΠΉ I — ΠΠ²Π΅Π΄Π΅Π½ΠΈΠ΅ / ΠΠ½Π°ΡΠΎΠΌΠΈΡ
>ΠΠ°ΡΠ΄ΠΈΠΎΠ»ΠΎΠ³ΠΈΡΠ΅ΡΠΊΠΈΠ΅ ΠΏΡΠΎΡΠΎΠΊΠΎΠ»Ρ?
ΠΠΎΠ΄Π³ΠΎΡΠΎΠ²ΠΊΠ° ΠΏΠ°ΡΠΈΠ΅Π½ΡΠ°?
ΠΡΠΎΠ±Π»Π΅ΠΌΡ Ρ ΠΠΠ?
ΠΠ°Π³Π½ΠΈΡ ΠΌΠ΅Π½ΡΠ΅Ρ ΠΠΠ?
Π‘ΡΠ°Π±Π°ΡΡΠ²Π°Π½ΠΈΠ΅ ΡΡΡΠΎΠ±ΠΈΡΠΎΠ²Π°Π½ΠΈΡ v?
ΠΠ°ΡΠ°ΠΌΠ΅ΡΡΡ ΡΡΡΠΎΠ±ΠΈΡΠΎΠ²Π°Π½ΠΈΡ?
Π‘Π΅ΡΠ΄Π΅ΡΠ½ΡΠ΅ Π½Π°Π²ΠΈΠ³Π°ΡΠΎΡΡ?
Π’Π΅ΠΌΠ½Π°Ρ ΠΊΡΠΎΠ²Ρ / Π΄Π²ΠΎΠΉΠ½ΠΎΠΉ ΠΠ?
ΠΠΎΡΠ΅ΠΌΡ Π½Π΅ ΠΎΠ΄ΠΈΠ½ΠΎΡΠ½ΡΠΉ ΠΠ?
Π’ΡΠΎΠΉΠ½ΠΎΠΉ ΠΠ?
ΠΠΎΠ»ΡΡΠ½ΡΠ΅ ΡΡΠΆΠ΅ΡΡ?
ΠΠ Π ΠΊΠΎΡΠΎΠ½Π°ΡΠ½ΠΎΠΉ Π°ΡΡΠ΅ΡΠΈΠΈ?
Cardiac II — ΡΡΠ½ΠΊΡΠΈΡ
>Π€ΠΈΠ»ΡΠΌΡ ΠΎ Π±ΠΈΠ΅Π½ΠΈΠΈ ΡΠ΅ΡΠ΄ΡΠ°?
ΠΠ°ΡΠ°ΠΌΠ΅ΡΡΡ ΠΊΠΈΠ½ΠΎ?
ΠΠΈΠ½ΠΎ Π² ΡΠ΅Π°Π»ΡΠ½ΠΎΠΌ Π²ΡΠ΅ΠΌΠ΅Π½ΠΈ?
ΠΠ΅Π»ΡΠ΄ΠΎΡΠΊΠΎΠ²Π°Ρ ΡΡΠ½ΠΊΡΠΈΡ?
Π’Π΅Π³ΠΈ / Π‘ΠΠΠ?
ΠΠ΅ΡΡΡΠ·ΠΈΡ: Π·Π°ΡΠ΅ΠΌ ΠΈ ΠΊΠ°ΠΊ?
ΠΠ΅ΡΡΡΠ·ΠΈΡ 1-Π³ΠΎ ΠΏΡΠΎΡ ΠΎΠΆΠ΄Π΅Π½ΠΈΡ?
ΠΠΎΠ»ΠΈΡΠ΅ΡΡΠ²Π΅Π½Π½Π°Ρ ΠΎΡΠ΅Π½ΠΊΠ° ΠΏΠ΅ΡΡΡΠ·ΠΈΠΈ?
ΠΡΡΠ΅ΡΠ°ΠΊΡ ΡΠ΅ΠΌΠ½ΠΎΠ³ΠΎ ΠΎΠ±ΠΎΠ΄Π°
Π‘Π΅ΡΠ΄Π΅ΡΠ½ΡΠΉ III — ΠΠΈΠ·Π½Π΅ΡΠΏΠΎΡΠΎΠ±Π½ΠΎΡΡΡ
>Π-Π³ ΡΠ»ΡΡΡΠ΅Π½ΠΈΠ΅?
TI ΠΎΠ±Π½ΡΠ»ΠΈΡΡ ΠΌΠΈΠΎΠΊΠ°ΡΠ΄?
PS (ΡΠ°Π·ΠΎΡΡΠ²ΡΡΠ²ΠΈΡΠ΅Π»ΡΠ½ΡΠΉ) IR?
ΠΡΠΎΠ±ΡΠ°ΠΆΠ΅Π½ΠΈΠ΅ T1?
ΠΠ΅Π»Π΅Π·ΠΎ / Π’2 * -ΠΌΠ°ΠΏΠΏΠΈΠ½Π³?
ΠΡΠ΅ΠΊ / Π’2-ΠΊΠ°ΡΡΠΈΡΠΎΠ²Π°Π½ΠΈΠ΅?
ΠΠΎΡΠ΅ΠΌΡ / ΠΊΠ°ΠΊ ΡΡΡΠ΅ΡΡ-ΡΠ΅ΡΡ?
Stess ΠΏΡΠ΅ΠΏΠ°ΡΠ°ΡΡ / ΡΡΠ΅Π΄ΡΡΠ²Π°?
Π€ΠΎΡΠΌΠ° ΡΠΎΠ³Π»Π°ΡΠΈΡ Π½Π° ΡΡΡΠ΅ΡΡ?
β¦ MR ΠΡΡΠ΅ΡΠ°ΠΊΡΡ
ΠΡΡΠ΅ΡΠ°ΠΊΡΡ, ΡΠ²ΡΠ·Π°Π½Π½ΡΠ΅ Ρ ΡΠΊΠ°Π½ΡΠΌΠΈ
>ΠΡΡΠ΅ΡΠ°ΠΊΡ Ρ ΠΈΠΌΠΈΡΠ΅ΡΠΊΠΎΠ³ΠΎ ΡΠ΄Π²ΠΈΠ³Π°?
Π₯ΠΈΠΌΠΈΡΠ΅ΡΠΊΠΈΠΉ ΡΠ΄Π²ΠΈΠ³ ΠΏΠΎ ΡΠ°Π·Π΅?
Π£ΠΌΠ΅Π½ΡΡΠ΅Π½ΠΈΠ΅ Ρ ΠΈΠΌΠΈΡΠ΅ΡΠΊΠΎΠ³ΠΎ ΡΠ΄Π²ΠΈΠ³Π°?
Π₯ΠΈΠΌΠΈΡΠ΅ΡΠΊΠΈΠΉ ΡΠ΄Π²ΠΈΠ³ 2-Π³ΠΎ ΡΠΎΠ΄Π°?
Π ΡΠ°Π·Π΅ / Π½Π΅ Π² ΡΠ°Π·Π΅?
Π’ΠΎΡΠΊΠ° ΠΎΡΡΠΊΠΎΠΊΠ° ΠΠ?
ΠΡΡΠ΅ΡΠ°ΠΊΡ Π²ΠΎΡΠΏΡΠΈΠΈΠΌΡΠΈΠ²ΠΎΡΡΠΈ?
ΠΠΎΠ΄Π°Π²Π»Π΅Π½ΠΈΠ΅ ΠΌΠ΅ΡΠ°Π»Π»Π°?
ΠΠΈΡΠ»Π΅ΠΊΡΡΠΈΡΠ΅ΡΠΊΠΈΠΉ ΡΡΡΠ΅ΠΊΡ?
ΠΠΈΡΠ»Π΅ΠΊΡΡΠΈΡΠ΅ΡΠΊΠΈΠ΅ ΠΏΡΠΎΠΊΠ»Π°Π΄ΠΊΠΈ?
ΠΡΡΠ΅ΡΠ°ΠΊΡΡ, ΡΠ²ΡΠ·Π°Π½Π½ΡΠ΅ Ρ Π΄Π²ΠΈΠΆΠ΅Π½ΠΈΠ΅ΠΌ
>ΠΠΎΡΠ΅ΠΌΡ Π΄ΠΈΡΠΊΡΠ΅ΡΠ½ΡΠ΅ ΠΏΡΠΈΠ·ΡΠ°ΠΊΠΈ?
ΠΠ°ΠΏΡΠ°Π²Π»Π΅Π½ΠΈΠ΅ Π°ΡΡΠ΅ΡΠ°ΠΊΡΠ° Π΄Π²ΠΈΠΆΠ΅Π½ΠΈΡ?
Π£ΠΌΠ΅Π½ΡΡΠ΅Π½ΠΈΠ΅ Π°ΡΡΠ΅ΡΠ°ΠΊΡΠΎΠ² Π΄Π²ΠΈΠΆΠ΅Π½ΠΈΡ?
ΠΠ°ΡΡΡΠ΅Π½ΠΈΠ΅ ΠΈΠΌΠΏΡΠ»ΡΡΠΎΠ²?
ΠΠ΅ΡΠΎΠ΄Ρ ΡΡΡΠΎΠ±ΠΈΡΠΎΠ²Π°Π½ΠΈΡ?
Π Π΅ΡΠΏΠΈΡΠ°ΡΠΎΡΠ½ΡΠΉ ΠΊΠΎΠΌΠΏ?
ΠΠ°Π²ΠΈΠ³Π°ΡΠΎΡ ΠΏΠ΅ΡΠ΅ΠΊΠ»ΠΈΠΊΠ°Π΅ΡΡΡ?
ΠΠ ΠΠΠΠΠΠΠ / ΠΠΠΠΠΠ?
ΠΡΡΠ΅ΡΠ°ΠΊΡΡ, ΡΠ²ΡΠ·Π°Π½Π½ΡΠ΅ Ρ ΡΠ΅Ρ Π½ΠΈΠΊΠΎΠΉ
>ΠΡΡΠ΅ΠΊΡΡ ΡΠ°ΡΡΠΈΡΠ½ΠΎΠ³ΠΎ ΠΎΠ±ΡΠ΅ΠΌΠ°?
Π‘ΡΠ΅Π·Ρ ΠΏΠ΅ΡΠ΅ΠΊΡΡΠ²Π°ΡΡΡΡ?
Π‘Π³Π»Π°ΠΆΠΈΠ²Π°Π½ΠΈΠ΅?
ΠΠ±ΠΎΡΠ°ΡΠΈΠ²Π°ΡΡΠΈΠΉΡΡ Π°ΡΡΠ΅ΡΠ°ΠΊΡ?
Π£ΡΡΡΠ°Π½ΠΈΡΡ Π·Π°ΡΠΈΠΊΠ»ΠΈΠ²Π°Π½ΠΈΠ΅?
Π€Π°Π·ΠΎΠ²Π°Ρ ΠΏΠ΅ΡΠ΅Π΄ΠΈΡΠΊΡΠ΅ΡΠΈΠ·Π°ΡΠΈΡ?
Π§Π°ΡΡΠΎΡΠ½ΡΠΉ ΠΏΠ΅ΡΠ΅Ρ ΠΎΠ΄?
Π‘ΠΏΠΈΡΠ°Π»ΡΠ½ΡΠ΅ / ΡΠ°Π΄ΠΈΠ°Π»ΡΠ½ΡΠ΅ Π°ΡΡΠ΅ΡΠ°ΠΊΡΡ?
ΠΡΡΠ΅ΡΠ°ΠΊΡ ΠΠΈΠ±Π±ΡΠ°?
ΠΠ°ΠΉΠΊΠ²ΠΈΡΡ (N / 2) ΠΏΡΠΈΠ·ΡΠ°ΠΊΠΈ?
ΠΠ°ΡΡΠ΅ΠΆΠΊΠ°-ΠΌΠΎΠ»Π½ΠΈΡ Π°ΡΡΠ΅ΡΠ°ΠΊΡ?
ΠΡΡΠ΅ΡΠ°ΠΊΡΡ Π΄Π°Π½Π½ΡΡ ?
Π Π°Π·Π²Π°Π»ΡΡΠΎΠ²ΠΊΠ° ΠΏΠΎΠ²Π΅ΡΡ Π½ΠΎΡΡΠ½ΠΎΠ³ΠΎ Π·ΠΌΠ΅Π΅Π²ΠΈΠΊΠ°?
ΠΡΡΠ΅ΡΠ°ΠΊΡΡ MRA (TOF)?
ΠΡΡΠ΅ΡΠ°ΠΊΡΡ MRA (CE)?
β¦ Π€ΡΠ½ΠΊΡΠΈΠΎΠ½Π°Π»ΡΠ½Π°Ρ Π²ΠΈΠ·ΡΠ°Π»ΠΈΠ·Π°ΡΠΈΡ
ΠΠ΅ΡΡΡΠ·ΠΈΡ I: ΠΠ²Π΅Π΄Π΅Π½ΠΈΠ΅ ΠΈ DSC
>ΠΠ·ΠΌΠ΅ΡΠ΅Π½ΠΈΠ΅ ΠΏΠ΅ΡΡΡΠ·ΠΈΠΈ?
ΠΠ½Π°ΡΠ΅Π½ΠΈΠ΅ CBF, MTT ΠΈ Ρ. Π.?
DSC v DCE v ASL?
ΠΠ°ΠΊ Π²ΡΠΏΠΎΠ»Π½ΠΈΡΡ DSC?
ΠΠΎΠ»ΡΡΠ½ΡΠΉ ΡΡΡΠ΅ΠΊΡ Gd?
Π’1 Π²Π»ΠΈΡΠ΅Ρ Π½Π° ΠΠ‘Π?
Π Π΅ΡΠΈΡΠΊΡΠ»ΡΡΠΈΡ DSC?
ΠΠ½Π°Π»ΠΈΠ· ΠΊΡΠΈΠ²ΠΎΠΉ ΠΠ‘Π?
Π‘ΠΈΠ³Π½Π°Π» Π¦ΠΠ v [Gd]
ΠΡΡΠ΅ΡΠΈΠ°Π»ΡΠ½ΡΠΉ Π²Π²ΠΎΠ΄ (AIF)?
ΠΠΎΠ»ΠΈΡΠ΅ΡΡΠ²Π΅Π½Π½ΡΠΉ ΠΠ‘Π?
ΠΠ΅ΡΡΡΠ·ΠΈΡ II: DCE
>Π§ΡΠΎ ΡΠ°ΠΊΠΎΠ΅ DCE?
ΠΠ°ΠΊ Π²ΡΠΏΠΎΠ»Π½ΡΠ΅ΡΡΡ DCE?
ΠΠ°ΠΊ Π°Π½Π°Π»ΠΈΠ·ΠΈΡΡΠ΅ΡΡΡ DCE?
DCE Π³ΡΡΠ΄ΠΈ?
DCE ΡΠΈΠ³Π½Π°Π» v [Gd]
ΠΠ°ΡΠ°ΠΌΠ΅ΡΡΡ ΡΠΊΠ°Π½ΠΈ DCE?
ΠΠ°ΡΠ°ΠΌΠ΅ΡΡΡ ΠΊ ΠΈΠ·ΠΎΠ±ΡΠ°ΠΆΠ΅Π½ΠΈΡΠΌ?
Π-ΡΡΠ°Π½Ρ = ΠΏΡΠΎΠ½ΠΈΡΠ°Π΅ΠΌΠΎΡΡΡ?
Π£ΡΠΈΠ»ΠΈΡΠ° DCE?
ΠΠ΅ΡΡΡΠ·ΠΈΡ III: ASL
>Π§ΡΠΎ ΡΠ°ΠΊΠΎΠ΅ ASL?
ΠΠ±Π·ΠΎΡ ΠΌΠ΅ΡΠΎΠ΄ΠΎΠ² ASL?
CASL?
PASL?
pCASL?
ΠΠ°ΡΠ°ΠΌΠ΅ΡΡΡ ASL?
ΠΡΡΠ΅ΡΠ°ΠΊΡΡ ASL?
ΠΠ°Π΄ΠΎΠ»ΠΈΠ½ΠΈΠΉ ΠΈ ASL?
Π¦Π²Π΅ΡΠ½ΡΠ΅ ΠΊΠ°ΡΡΡ ΡΠΎΡΡΠ΄ΠΎΠ²?
ΠΠΎΠ»ΠΈΡΠ΅ΡΡΠ²Π΅Π½Π½Π°Ρ ΠΎΡΠ΅Π½ΠΊΠ° ΠΏΠΎΡΠΎΠΊΠ°?
Π€ΡΠ½ΠΊΡΠΈΠΎΠ½Π°Π»ΡΠ½Π°Ρ ΠΠ Π’ / BOLD — I
>ΠΡΠΎ ΠΈΠ·ΠΎΠ±ΡΠ΅Π» ΡΠΠ Π’?
ΠΠ°ΠΊ ΡΠ°Π±ΠΎΡΠ°Π΅Ρ ΡΠΠ Π’?
Π‘ΠΌΠ΅Π»ΡΠΉ ΠΊΠΎΠ½ΡΡΠ°ΡΡ?
ΠΠΎΡΠ΅ΠΌΡ ΠΠΠ ΠΠ«Π β ΡΠΈΠ³Π½Π°Π»ΠΈΠ·ΠΈΡΡΠ΅Ρ?
ΠΠΠ ΠΠ«Π = ΠΌΠΎΠ·Π³ΠΎΠ²Π°Ρ Π°ΠΊΡΠΈΠ²Π½ΠΎΡΡΡ?
ΠΠΠ ΠΠ«Π ΠΈΠΌΠΏΡΠ»ΡΡΠ½ΡΠ΅ ΠΏΠΎΡΠ»Π΅Π΄ΠΎΠ²Π°ΡΠ΅Π»ΡΠ½ΠΎΡΡΠΈ?
ΠΠΈΠ·Π°ΠΉΠ½ ΠΏΠ°ΡΠ°Π΄ΠΈΠ³ΠΌΡ ΡΠΠ Π’?
ΠΠΎΡΠ΅ΠΌΡ ΡΡΠ°Π²Π½Π΅Π½ΠΈΠ΅ «Π²ΠΊΠ»ΡΡΠ΅Π½ΠΎ-Π²ΡΠΊΠ»ΡΡΠ΅Π½ΠΎ»?
ΠΠΎΡΠΎΡΠ½ΡΠ΅ ΠΏΠ°ΡΠ°Π΄ΠΈΠ³ΠΌΡ?
ΠΠΈΠ·ΡΠ°Π»ΡΠ½ΡΠΉ?
Π―Π·ΡΠΊ?
Π€ΡΠ½ΠΊΡΠΈΠΎΠ½Π°Π»ΡΠ½Π°Ρ ΠΠ Π’ / BOLD — II
>ΠΠ±ΡΠ°Π±ΠΎΡΠ°ΡΡ / ΠΏΡΠΎΠ°Π½Π°Π»ΠΈΠ·ΠΈΡΠΎΠ²Π°ΡΡ ΡΠΠ Π’?
ΠΡΡΡΠ΅Π΅ ΠΏΡΠΎΠ³ΡΠ°ΠΌΠΌΠ½ΠΎΠ΅ ΠΎΠ±Π΅ΡΠΏΠ΅ΡΠ΅Π½ΠΈΠ΅ Π΄Π»Ρ ΡΠΠ Π’?
ΠΡΠ΅Π΄Π²Π°ΡΠΈΡΠ΅Π»ΡΠ½Π°Ρ ΠΎΠ±ΡΠ°Π±ΠΎΡΠΊΠ° Π΄Π°Π½Π½ΡΡ ?
Π Π΅Π³ΠΈΡΡΡΠ°ΡΠΈΡ / Π½ΠΎΡΠΌΠ°Π»ΠΈΠ·Π°ΡΠΈΡ?
Π‘ΡΠ°ΡΠΈΡΡΠΈΡΠ΅ΡΠΊΠΈΠΉ Π°Π½Π°Π»ΠΈΠ· ΡΠΠ Π’?
ΠΠ±ΡΠ°Ρ Π»ΠΈΠ½Π΅ΠΉΠ½Π°Ρ ΠΌΠΎΠ΄Π΅Π»Ρ?
ΠΠΊΡΠΈΠ²Π°ΡΠΈΡ «Π±Π»ΠΎΠ±ΠΎΠ²»?
ΠΠΎΠΆΠ½Π°Ρ Π°ΠΊΡΠΈΠ²Π°ΡΠΈΡ?
Π€ΠΠ Π’ Π² ΡΠΎΡΡΠΎΡΠ½ΠΈΠΈ ΠΏΠΎΠΊΠΎΡ?
ΠΡΠΎΠ°Π½Π°Π»ΠΈΠ·ΠΈΡΠΎΠ²Π°ΡΡ RS-fMRI?
Π‘Π΅ΡΡ / ΠΡΠ°ΡΠΈΠΊΠΈ?
ΡΠΠ Π’ ΠΏΡΠΈ 7Π’?
Π§ΡΠ΅Π½ΠΈΠ΅ ΠΌΡΡΠ»Π΅ΠΉ / Π΄Π΅ΡΠ΅ΠΊΡΠΎΡ Π»ΠΆΠΈ?
ΠΊΡΠΈΡΠΈΠΊΠ° ΡΠΠ Π’?
β¦ ΠΠ -ΡΠΏΠ΅ΠΊΡΡΠΎΡΠΊΠΎΠΏΠΈΡ
MRS I — ΠΡΠ½ΠΎΠ²Ρ
>ΠΠ Π’ ΠΏΡΠΎΡΠΈΠ² ΠΠ Π‘?
Π‘ΠΏΠ΅ΠΊΡΡΡ ΠΏΡΠΎΡΠΈΠ² ΠΈΠ·ΠΎΠ±ΡΠ°ΠΆΠ΅Π½ΠΈΠΉ?
Π₯ΠΈΠΌΠΈΡΠ΅ΡΠΊΠΈΠΉ ΡΠ΄Π²ΠΈΠ³ (Ξ΄)?
ΠΠ·ΠΌΠ΅ΡΠ΅Π½ΠΈΠ΅ Ξ΄?
ΠΠ±ΡΠ°ΡΠ½Π°Ρ ΡΠΊΠ°Π»Π° Ξ΄?
ΠΡΠΎΠ³Π½ΠΎΠ·ΠΈΡΠΎΠ²Π°Π½ΠΈΠ΅ Ξ΄?
Π Π°Π·ΠΌΠ΅Ρ / ΡΠΎΡΠΌΠ° Π²Π΅ΡΡΠΈΠ½?
Π Π°ΡΡΠ΅ΠΏΠ»Π΅Π½ΠΈΠ΅ Π²Π΅ΡΡΠΈΠ½?
ΠΠ΅ΡΠΎΠ΄Ρ Π»ΠΎΠΊΠ°Π»ΠΈΠ·Π°ΡΠΈΠΈ?
Single v multi-voxel?
ΠΠΠΠΠΠ’Π?
ΠΠΠ ?
ΠΠΠΠ?
ΠΠΎΠ΅ ΠΈΠ½ΡΠ΅ΡΠ²ΡΡ Ρ Π΄ΠΎΠΊΡΠΎΡΠΎΠΌΠΠ΅ΡΠΊΠΎΠ»Π° ΠΎ Ρ ΠΎΠ»Π΅ΡΡΠ΅ΡΠΈΠ½Π΅, Π²ΠΈΡΠ°ΠΌΠΈΠ½Π΅ Π, ΠΈΠ½ΡΡΠ»ΠΈΠ½Π΅, Π»ΠΈΠΏΠΈΠ΄Π°Ρ ΠΊΡΠΎΠ²ΠΈ, ΠΊΠΎΠΌΠΏΡΡΡΠ΅ΡΠ½ΠΎΠΉ ΡΠΎΠΌΠΎΠ³ΡΠ°ΡΠΈΠΈ, ΠΊΠ°Π»ΡΡΠΈΡΠΈΠΊΠ°ΡΠΈΠΈ ΠΈ ΡΠ΅ΡΠ΄Π΅ΡΠ½ΡΡ Π·Π°Π±ΠΎΠ»Π΅Π²Π°Π½ΠΈΡΡ |
ΠΡ ΠΏΡΠ°Π·Π΄Π½ΠΈΠΊΠ° Π ΠΎΠΆΠ΄Π΅ΡΡΠ²Π° Π΄ΠΎ Π²ΡΠ΅Ρ , Ρ Π¨Π΅ΡΡΡΠΌ Π΄Π½Π΅ΠΌ ββΠ ΠΎΠΆΠ΄Π΅ΡΡΠ²Π°! Π― Π½Π°Π΄Π΅ΡΡΡ, ΡΡΠΎ Π²Ρ Π²ΡΠ΅ Π½Π°ΡΠ»Π°ΠΆΠ΄Π°Π΅ΡΠ΅ΡΡ ΡΠ΅ΠΌ, ΡΡΠΎ ΠΏΡΠ°Π·Π΄Π½ΡΠ΅ΡΠ΅ Π² ΡΠ΅Π·ΠΎΠ½ ΡΠ°ΡΡΠΈΡΠ΅Π½ΠΈΡ Π΄Π½Π΅Π²Π½ΠΎΠ³ΠΎ ΡΠ²Π΅ΡΠ° ΠΈ ΠΏΡΠΎΡΡΠΎ Π½Π°ΡΠ»Π°ΠΆΠ΄Π°Π΅ΡΠ΅ΡΡ ΠΆΠΈΠ·Π½ΡΡ.
ΠΠΎΠΊΡΠΎΡ ΠΠ΅ΡΠΊΠΎΠ»Π° ΠΎΠΏΡΠ±Π»ΠΈΠΊΠΎΠ²Π°Π» ΡΠ΅Π³ΠΎΠ΄Π½Ρ Π²ΠΈΠ΄Π΅ΠΎΠΈΠ½ΡΠ΅ΡΠ²ΡΡ, ΠΊΠΎΡΠΎΡΠΎΠ΅ ΠΌΡ Π·Π°ΠΏΠΈΡΠ°Π»ΠΈ Π½Π΅ΡΠΊΠΎΠ»ΡΠΊΠΎ Π½Π΅Π΄Π΅Π»Ρ Π½Π°Π·Π°Π΄, ΠΎ Ρ ΠΎΠ»Π΅ΡΡΠ΅ΡΠΈΠ½Π΅, Π²ΠΈΡΠ°ΠΌΠΈΠ½Π΅ Π, ΠΈΠ½ΡΡΠ»ΠΈΠ½Π΅, Π»ΠΈΠΏΠΈΠ΄Π°Ρ ΠΊΡΠΎΠ²ΠΈ, ΠΊΠΎΠΌΠΏΡΡΡΠ΅ΡΠ½ΠΎΠΉ ΡΠΎΠΌΠΎΠ³ΡΠ°ΡΠΈΠΈ, ΠΊΠ°Π»ΡΡΠΈΡΠΈΠΊΠ°ΡΠΈΠΈ ΠΈ ΡΠ΅ΡΠ΄Π΅ΡΠ½ΡΡ Π·Π°Π±ΠΎΠ»Π΅Π²Π°Π½ΠΈΡΡ .ΠΡΠ»ΠΈ Π²Ρ Ρ ΠΎΡΠΈΡΠ΅ Π΅Π³ΠΎ ΠΏΠΎΡΠΌΠΎΡΡΠ΅ΡΡ, Π²ΠΎΡ ΠΎΠ½ΠΎ!
ΠΡΠ»ΠΈ Π²Ρ Ρ ΠΎΡΠΈΡΠ΅ ΠΏΡΠΎΡΠΈΡΠ°ΡΡ ΡΡΠ°ΡΡΡ, ΠΊΠΎΡΠΎΡΡΡ Π΄ΠΎΠΊΡΠΎΡ ΠΠ΅ΡΠΊΠΎΠ»Π° Π½Π°ΠΏΠΈΡΠ°Π» ΠΎ Π½Π°ΡΠ΅ΠΌ ΠΈΠ½ΡΠ΅ΡΠ²ΡΡ, Π²Ρ ΠΌΠΎΠΆΠ΅ΡΠ΅ ΠΏΡΠΎΡΠΈΡΠ°ΡΡ Π΅Π΅ Π·Π΄Π΅ΡΡ:
ΠΠΎΡΠ΅ΠΌΡ Ρ ΠΎΠ»Π΅ΡΡΠ΅ΡΠΈΠ½ Π½Π΅ΠΎΠ±Ρ ΠΎΠ΄ΠΈΠΌ Π΄Π»Ρ ΠΎΠΏΡΠΈΠΌΠ°Π»ΡΠ½ΠΎΠ³ΠΎ Π·Π΄ΠΎΡΠΎΠ²ΡΡ,
ΠΈ ΡΠ΅ΡΡΡ Π½Π°ΠΈΠ±ΠΎΠ»Π΅Π΅ Π²Π°ΠΆΠ½ΡΡ ΡΠ°ΠΊΡΠΎΡΠΎΠ² ΡΠΈΡΠΊΠ° ΡΠ΅ΡΠ΄Π΅ΡΠ½ΡΡ Π·Π°Π±ΠΎΠ»Π΅Π²Π°Π½ΠΈΠΉ
Π Π²ΠΎΡ ΡΠΎΠ΄Π΅ΡΠΆΠ°Π½ΠΈΠ΅, ΡΡΠΎΠ±Ρ Π²Ρ ΠΌΠΎΠ³Π»ΠΈ ΡΠΎΡΠΈΠ΅Π½ΡΠΈΡΠΎΠ²Π°ΡΡΡΡ Π² ΠΈΠ½ΡΠ΅ΡΠ²ΡΡ, Π΅ΡΠ»ΠΈ Ρ ΠΎΡΠΈΡΠ΅:
0:00:00 — ΠΡ.ΠΠ΅ΡΠΊΠΎΠ»Π° Π·Π½Π°ΠΊΠΎΠΌΠΈΡ ΠΌΠ΅Π½Ρ
0:01:40 — ΠΠΎΡΠ΅ΠΌΡ Ρ
ΠΎΠ»Π΅ΡΡΠ΅ΡΠΈΠ½ ΠΏΠΎΠ»Π΅Π·Π΅Π½ — ΠΌΠΎΡ Π»ΡΠ±ΠΈΠΌΠ°Ρ ΡΠ΅ΠΌΠ°!
0:07:24 — ΠΠΎΡΠ΅ΠΌΡ Ρ
ΠΎΠ»Π΅ΡΡΠ΅ΡΠΈΠ½ ΡΠ°ΠΊ Π΄Π΅ΠΌΠΎΠ½ΠΈΠ·ΠΈΡΡΡΡ?
0:15:30 — ΠΡΠ΅ Π΄Π΅Π»ΠΎ Π² Π΄Π΅Π½ΡΠ³Π°Ρ
? Π Ρ ΠΊΠΎΠ³ΠΎ Π΅ΡΡΡ Π²ΡΠ΅ ΡΡΠΈ Π΄Π΅Π½ΡΠ³ΠΈ?
0:19:22 — Π‘ΡΠ΅ΡΠ°Π½ΠΈ Π‘Π΅Π½Π½Π΅ΡΡ ΠΈ ΡΡΠ»ΡΡΠ°Ρ Ρ
ΠΎΠ»Π΅ΡΡΠ΅ΡΠΈΠ½Π°
0:22:44 — ΠΡΠ½ΠΎΡΠ΅Π½ΠΈΠ΅ ΠΎΠ±ΡΠ΅Π³ΠΎ Ρ
ΠΎΠ»Π΅ΡΡΠ΅ΡΠΈΠ½Π° ΠΊ Ρ
ΠΎΠ»Π΅ΡΡΠ΅ΡΠΈΠ½Ρ ΠΠΠΠ, ΠΌΠΎΡΠ½ΡΠΉ ΠΏΡΠ΅Π΄ΠΈΠΊΡΠΎΡ ΡΠ΅ΡΠ΄Π΅ΡΠ½ΡΡ
Π·Π°Π±ΠΎΠ»Π΅Π²Π°Π½ΠΈΠΉ, Π½ΠΎ Π½Π΅ ΠΏΡΠΈΡΠΈΠ½Π°.
0:28:44 — ΠΡΠ½ΠΎΡΠ΅Π½ΠΈΠ΅ ΠΎΠ±ΡΠ΅Π³ΠΎ ΠΊΠΎΠ»ΠΈΡΠ΅ΡΡΠ²Π° Π₯Π‘ ΠΊ ΠΠΠΠ ΠΊΠ°ΠΊ ΠΎΠ±ΡΠ°ΡΠ½ΡΠΉ ΠΌΠ΅ΡΠ°Π±ΠΎΠ»ΠΈΡΠ΅ΡΠΊΠΈΠΉ ΠΌΠ°ΡΠΊΠ΅Ρ ΠΈΡΠΏΠΎΠ»ΡΠ·ΠΎΠ²Π°Π½ΠΈΡ Π₯Π‘ ΠΠΠΠ
0:33:02 — ΠΠΈΡΠ°ΠΌΠΈΠ½ Π2 (ΡΠΈΡΠ½ΡΠ΅ ΠΆΠ΅Π»ΡΠΊΠΈ ΠΈ ΡΡΡ!) ΠΠ°ΡΠΈΡΠ°Π΅Ρ ΠΎΡ Π°ΡΠ΅ΡΠΎΡΠΊΠ»Π΅ΡΠΎΠ·Π°, ΠΏΠΎΠ΄Π°Π²Π»ΡΡ ΠΠ°Π»ΡΡΠΈΡΠΈΠΊΠ°ΡΠΈΡ ΠΊΡΠΎΠ²Π΅Π½ΠΎΡΠ½ΡΡ
ΡΠΎΡΡΠ΄ΠΎΠ² ΠΈ ΡΠΎΠ΄Π΅ΠΉΡΡΠ²ΠΈΠ΅ Π²ΡΠΆΠΈΠ²Π°Π½ΠΈΡ ΠΊΠ»Π΅ΡΠΎΠΊ (ΠΠ΅ΡΠΊΠΎΠ»Π° ΡΠ°ΡΡΠΊΠ°Π·ΡΠ²Π°Π΅Ρ ΠΎ ΡΠ²ΠΎΠΈΡ
Π½ΠΎΠ²ΡΡ
ΡΡΠ°Π½Π΄Π°ΡΡΠΈΠ·ΠΈΡΠΎΠ²Π°Π½Π½ΡΡ
ΡΠ΅ΡΠΌΠ΅Π½ΡΠΈΡΠΎΠ²Π°Π½Π½ΡΡ
ΠΎΠ²ΠΎΡΠ°Ρ
, Π±ΠΎΠ³Π°ΡΡΡ
K2)
0:39:50 — ΠΠΎΠΊΠ°Π·Π°ΡΠ΅Π»ΠΈ ΠΊΠ°Π»ΡΡΠΈΡ Π² ΠΊΠΎΡΠΎΠ½Π°ΡΠ½ΡΡ
ΡΠΎΡΡΠ΄Π°Ρ
ΠΏΡΠΈ ΠΊΠΎΠΌΠΏΡΡΡΠ΅ΡΠ½ΠΎΠΉ ΡΠΎΠΌΠΎΠ³ΡΠ°ΡΠΈΠΈ
0:44:00 — ΠΠΎΠΆΠ½ΠΎ Π»ΠΈ ΠΎΠ±ΡΠ°ΡΠΈΡΡ Π°ΡΠ΅ΡΠΎΡΠΊΠ»Π΅ΡΠΎΠ·?
0:45:51 — ΠΠ΅Π»ΠΊΠΈΠ΅ ΡΠ°ΡΡΠΈΡΡ ΠΠΠΠ — ΠΏΡΠΈΡΠΈΠ½Π° ΠΈΠ»ΠΈ ΠΌΠ°ΡΠΊΠ΅Ρ? ΠΡ
ΡΠ΅Π·Π΅ΡΠ²ΠΈΡΠΎΠ²Π°Π½ΠΈΠ΅ Ρ ΡΠΎΠΎΡΠ½ΠΎΡΠ΅Π½ΠΈΠ΅ΠΌ ΠΎΠ±ΡΠ΅Π³ΠΎ ΡΠΎΠ΄Π΅ΡΠΆΠ°Π½ΠΈΡ Ρ
ΠΎΠ»Π΅ΡΡΠ΅ΡΠΈΠ½Π° ΠΈ Ρ
ΠΎΠ»Π΅ΡΡΠ΅ΡΠΈΠ½Π° ΠΠΠΠ.ΠΡΡΡΡΡΡΠ²ΠΈΠ΅ ΡΡΠ°Π½Π΄Π°ΡΡΠΈΠ·Π°ΡΠΈΠΈ Π² ΡΠ΅ΡΡΠΈΡΠΎΠ²Π°Π½ΠΈΠΈ, Π΄ΠΎΡΠΎΠ³ΠΎ.
0:53:26 — ΠΠ½ΡΡΠ»ΠΈΠ½ (ΠΈ Π»Π΅ΠΏΡΠΈΠ½) Π·Π°ΡΠΈΡΠ°Π΅Ρ ΠΎΡ Π°ΡΠ΅ΡΠΎΡΠΊΠ»Π΅ΡΠΎΠ·Π°, ΡΡΠΈΠΌΡΠ»ΠΈΡΡΡ Π°ΠΊΡΠΈΠ²Π½ΠΎΡΡΡ ΡΠΈΡΠΎΠ²ΠΈΠ΄Π½ΠΎΠΉ ΠΆΠ΅Π»Π΅Π·Ρ ΠΈ, Π²ΠΎΠ·ΠΌΠΎΠΆΠ½ΠΎ, Π½Π°ΠΏΡΡΠΌΡΡ ΠΏΠΎΠ΄Π΄Π΅ΡΠΆΠΈΠ²Π°Ρ Π°ΠΊΡΠΈΠ²Π½ΠΎΡΡΡ ΡΠ΅ΡΠ΅ΠΏΡΠΎΡΠΎΠ² ΠΠΠΠ; Π’Π°ΠΊΠΈΠΌ ΠΎΠ±ΡΠ°Π·ΠΎΠΌ, ΠΈΠ½ΡΡΠ»ΠΈΠ½ΠΎΡΠ΅Π·ΠΈΡΡΠ΅Π½ΡΠ½ΠΎΡΡΡ, Π²Π΅ΡΠΎΡΡΠ½ΠΎ, ΡΠ²Π»ΡΠ΅ΡΡΡ ΠΎΡΠ½ΠΎΠ²Π½ΠΎΠΉ ΠΏΡΠΈΡΠΈΠ½ΠΎΠΉ Π½ΠΈΠ·ΠΊΠΎΠΉ ΡΡΠΈΠ»ΠΈΠ·Π°ΡΠΈΠΈ ΠΠΠΠ.
0:57:14 — ΠΠ½ΡΡΠ»ΠΈΠ½ΠΎΡΠ΅Π·ΠΈΡΡΠ΅Π½ΡΠ½ΠΎΡΡΡ ΠΊΠ°ΠΊ Π΅ΡΡΠ΅ΡΡΠ²Π΅Π½Π½Π°Ρ Π°Π΄Π°ΠΏΡΠ°ΡΠΈΡ ΠΊ ΡΠ½Π΅ΡΠ³Π΅ΡΠΈΡΠ΅ΡΠΊΠΎΠΉ ΠΏΠ΅ΡΠ΅Π³ΡΡΠ·ΠΊΠ΅.
1:00:57 — ΠΠ΅ ΠΏΠΎΠΌΠΎΠ³Π°Π΅Ρ Π΄ΠΎΡΡΠΈΡΡ ΠΌΠ°ΠΊΡΠΈΠΌΠ°Π»ΡΠ½ΠΎΠΉ ΡΡΠ²ΡΡΠ²ΠΈΡΠ΅Π»ΡΠ½ΠΎΡΡΠΈ ΠΊ ΠΈΠ½ΡΡΠ»ΠΈΠ½Ρ, Π΅ΡΠ»ΠΈ Ρ Π²Π°Ρ Π½Π΅Ρ ΠΈΠ½ΡΡΠ»ΠΈΠ½Π°; ΠΠ»Ρ ΠΎΠΏΡΠΈΠΌΠ°Π»ΡΠ½ΠΎΠΉ ΠΏΠ΅ΡΠ΅Π΄Π°ΡΠΈ ΡΠΈΠ³Π½Π°Π»ΠΎΠ² ΠΈΠ½ΡΡΠ»ΠΈΠ½Π°, Π²Π΅ΡΠΎΡΡΠ½ΠΎ, Π±ΠΎΠ»ΡΡΠΈΠ½ΡΡΠ²Ρ Π»ΡΠ΄Π΅ΠΉ ΡΡΠ΅Π±ΡΠ΅ΡΡΡ Π½Π΅ΠΊΠΎΡΠΎΡΠΎΠ΅ ΠΊΠΎΠ»ΠΈΡΠ΅ΡΡΠ²ΠΎ ΡΠ³Π»Π΅Π²ΠΎΠ΄ΠΎΠ² Π² ΡΠ°ΡΠΈΠΎΠ½Π΅.
1:02:25 — ΠΠΎΡΠ΅ΠΌΡ ΠΈΠ·ΠΌΠ΅ΡΠ΅Π½ΠΈΠ΅ ΠΎΠ±ΡΠ΅Π³ΠΎ Ρ
ΠΎΠ»Π΅ΡΡΠ΅ΡΠΈΠ½Π°, Ρ
ΠΎΠ»Π΅ΡΡΠ΅ΡΠΈΠ½Π° ΠΠΠΠ ΠΈ ΠΠΠΠ ΠΌΠΎΠΆΠ΅Ρ Π±ΡΡΡ ΡΠ΅Π½Π½ΡΠΌ, Π΄Π°ΠΆΠ΅ Π΅ΡΠ»ΠΈ Π²Ρ ΠΌΠΎΠΆΠ΅ΡΠ΅ ΠΈΠ·ΠΌΠ΅ΡΠΈΡΡ ΡΠΎΠΎΡΠ½ΠΎΡΠ΅Π½ΠΈΠ΅ ΡΠ°Π»ΠΈΠΈ ΠΈ Π±Π΅Π΄Π΅Ρ ΠΏΡΠ°ΠΊΡΠΈΡΠ΅ΡΠΊΠΈ Π±Π΅ΡΠΏΠ»Π°ΡΠ½ΠΎ Π΄ΠΎΠΌΠ° (Π½Π΅ΡΠΊΠΎΠ»ΡΠΊΠΎ ΡΠ΅ΠΌΠ°ΡΠΈΡΠ΅ΡΠΊΠΈΡ
ΠΈΡΡΠ»Π΅Π΄ΠΎΠ²Π°Π½ΠΈΠΉ, Π΄Π΅ΠΌΠΎΠ½ΡΡΡΠΈΡΡΡΡΠΈΡ
Π΅Π³ΠΎ ΡΠ΅Π½Π½ΠΎΡΡΡ Π² ΠΎΡΠ½ΠΎΡΠ΅Π½ΠΈΠΈ ΠΈΠ½ΡΡΠ»ΠΈΠ½ΠΎΡΠ΅Π·ΠΈΡΡΠ΅Π½ΡΠ½ΠΎΡΡΡ ΠΈ Π½ΠΈΠ·ΠΊΠ°Ρ Π°ΠΊΡΠΈΠ²Π½ΠΎΡΡΡ ΡΠΈΡΠΎΠ²ΠΈΠ΄Π½ΠΎΠΉ ΠΆΠ΅Π»Π΅Π·Ρ).
1:14:06 — ΠΠ°ΡΠ΅ΡΠΈΠ°Π», Π½Π°Π΄ ΠΊΠΎΡΠΎΡΡΠΌ Ρ ΡΠ°Π±ΠΎΡΠ°Ρ, ΠΈ Π΄ΠΎ ΡΠ²ΠΈΠ΄Π°Π½ΠΈΡ!
ΠΠ°ΡΠ»Π°ΠΆΠ΄Π°ΠΉΡΠ΅ΡΡ!
Π‘ΠΎΡΡΠ΄ΠΈΡΡΠ°Ρ ΠΊΠ°Π»ΡΡΠΈΡΠΈΠΊΠ°ΡΠΈΡ: ΠΌΠ΅Ρ Π°Π½ΠΈΠ·ΠΌΡ ΠΈ Π»Π΅ΡΠ΅Π½ΠΈΠ΅
Π‘ΡΠΈΡΠ°Π΅ΡΡΡ, ΡΡΠΎ ΠΎΡ Ρ ΡΠΎΠ½ΠΈΡΠ΅ΡΠΊΠΎΠΉ Π±ΠΎΠ»Π΅Π·Π½ΠΈ ΠΏΠΎΡΠ΅ΠΊ (Π₯ΠΠ) ΡΡΡΠ°Π΄Π°Π΅Ρ ΠΏΡΠΈΠΌΠ΅ΡΠ½ΠΎ ΠΎΠ΄ΠΈΠ½ ΠΈΠ· 10 ΡΠ΅Π»ΠΎΠ²Π΅ΠΊ.Π£ ΠΏΠ°ΡΠΈΠ΅Π½ΡΠΎΠ² Ρ Π₯ΠΠ Π·Π½Π°ΡΠΈΡΠ΅Π»ΡΠ½ΠΎ Π²ΡΡΠ΅ ΡΠ΅ΡΠ΄Π΅ΡΠ½ΠΎ-ΡΠΎΡΡΠ΄ΠΈΡΡΠ°Ρ Π·Π°Π±ΠΎΠ»Π΅Π²Π°Π΅ΠΌΠΎΡΡΡ ΠΈ ΡΠΌΠ΅ΡΡΠ½ΠΎΡΡΡ ΠΏΠΎ ΡΡΠ°Π²Π½Π΅Π½ΠΈΡ Ρ Π½Π°ΡΠ΅Π»Π΅Π½ΠΈΠ΅ΠΌ Π² ΡΠ΅Π»ΠΎΠΌ. Π‘ΡΠΈΡΠ°Π΅ΡΡΡ, ΡΡΠΎ ΡΡΠΎ ΠΏΡΠΎΠΈΡΡ ΠΎΠ΄ΠΈΡ ΠΈΠ·-Π·Π° ΡΠΎΡΠ΅ΡΠ°Π½ΠΈΡ ΠΏΠΎΠ²ΡΡΠ΅Π½Π½ΠΎΠ³ΠΎ Π°ΡΠ΅ΡΠΎΡΠΊΠ»Π΅ΡΠΎΡΠΈΡΠ΅ΡΠΊΠΎΠ³ΠΎ ΠΏΠΎΡΠ°ΠΆΠ΅Π½ΠΈΡ ΠΈ ΠΌΠ΅Π΄ΠΈΠ°Π»ΡΠ½ΠΎΠΉ ΠΊΠ°Π»ΡΡΠΈΡΠΈΠΊΠ°ΡΠΈΠΈ Π°ΡΡΠ΅ΡΠΈΠ°Π»ΡΠ½ΡΡ ΡΡΠ΅Π½ΠΎΠΊ. Π‘ΠΎΡΡΠ΄ΠΈΡΡΡΠΉ ΠΊΠ°Π»ΡΡΠΈΠ½ΠΎΠ· (ΠΠ) ΡΡΠΈΡΠ°Π΅ΡΡΡ Π°ΠΊΡΠΈΠ²Π½ΡΠΌ ΠΊΠ»Π΅ΡΠΎΡΠ½ΠΎ-ΠΎΠΏΠΎΡΡΠ΅Π΄ΠΎΠ²Π°Π½Π½ΡΠΌ ΠΏΡΠΎΡΠ΅ΡΡΠΎΠΌ, ΡΡ ΠΎΠ΄Π½ΡΠΌ Ρ ΠΎΡΡΠ΅ΠΎΠ³Π΅Π½Π΅Π·ΠΎΠΌ. ΠΠ½ΠΎΠ³ΠΎΡΠΈΡΠ»Π΅Π½Π½ΡΠ΅ ΡΠΈΡΡΠ΅ΠΌΠ½ΡΠ΅ ΠΈ ΠΌΠ΅ΡΡΠ½ΡΠ΅ ΡΠ°ΠΊΡΠΎΡΡ Π±ΡΠ»ΠΈ ΠΈΠ΄Π΅Π½ΡΠΈΡΠΈΡΠΈΡΠΎΠ²Π°Π½Ρ ΠΊΠ°ΠΊ ΠΈΠ½Π³ΠΈΠ±ΠΈΡΠΎΡΡ ΠΊΠ°Π»ΡΡΠΈΡΠΈΠΊΠ°ΡΠΈΠΈ, Π²ΠΊΠ»ΡΡΠ°Ρ ΡΠ΅ΡΡΠΈΠ½-A, ΠΌΠ°ΡΡΠΈΡΠ½ΡΠΉ Π±Π΅Π»ΠΎΠΊ Gla ΠΈ ΠΏΠΈΡΠΎΡΠΎΡΡΠ°Ρ.Π’Π°ΠΊΠΆΠ΅ ΠΏΠΎΡΠ²Π»ΡΠ΅ΡΡΡ Π²ΡΠ΅ Π±ΠΎΠ»ΡΡΠ΅ Π΄ΠΎΠΊΠ°Π·Π°ΡΠ΅Π»ΡΡΡΠ² ΡΠΎΠ³ΠΎ, ΡΡΠΎ ΠΏΠΎΠ²ΡΡΠ΅Π½Π½ΡΠΉ ΡΡΠΎΠ²Π΅Π½Ρ ΡΠΎΡΡΠΎΡΠ° Π² ΡΡΠ²ΠΎΡΠΎΡΠΊΠ΅, ΡΡΠ²ΠΎΡΠΎΡΠΎΡΠ½ΡΠΉ ΠΊΠ°Π»ΡΡΠΈΠΉ x ΡΠΎΡΡΠΎΡΠ½ΡΠΉ ΠΏΡΠΎΠ΄ΡΠΊΡ ΠΈ / ΠΈΠ»ΠΈ ΠΊΠ°Π»ΡΡΠΈΠ΅Π²Π°Ρ Π½Π°Π³ΡΡΠ·ΠΊΠ° ΡΠ²ΡΠ·Π°Π½Ρ Ρ ΡΠ²Π΅Π»ΠΈΡΠ΅Π½ΠΈΠ΅ΠΌ VC.
Π’Π΅ΠΊΡΡΠΈΠ΅ ΡΡΡΠ°ΡΠ΅Π³ΠΈΠΈ Π»Π΅ΡΠ΅Π½ΠΈΡ ΡΠΎΡΡΠ΅Π΄ΠΎΡΠΎΡΠ΅Π½Ρ Π½Π° ΠΊΠΎΡΡΠ΅ΠΊΡΠΈΠΈ ΠΌΠ°ΡΠΊΠ΅ΡΠΎΠ² ΠΌΠΈΠ½Π΅ΡΠ°Π»ΡΠ½ΠΎΠ³ΠΎ ΠΌΠ΅ΡΠ°Π±ΠΎΠ»ΠΈΠ·ΠΌΠ° ΠΊΠΎΡΡΠ½ΡΡ Π·Π°Π±ΠΎΠ»Π΅Π²Π°Π½ΠΈΠΉ, ΡΠ°ΠΊΠΈΡ ΠΊΠ°ΠΊ ΡΠΎΡΡΠ°Ρ, ΠΊΠ°Π»ΡΡΠΈΠΉ, ΠΏΠ°ΡΠ°ΡΠΈΡΠΎΠΈΠ΄Π½ΡΠΉ Π³ΠΎΡΠΌΠΎΠ½ ΠΈ Π²ΠΈΡΠ°ΠΌΠΈΠ½ D. ΠΡΠΏΠΎΠ»ΡΠ·ΠΎΠ²Π°Π½ΠΈΠ΅ ΡΠ°ΠΊΠΈΡ Π°Π³Π΅Π½ΡΠΎΠ², ΠΊΠ°ΠΊ Π±ΠΈΡΡΠΎΡΡΠΎΠ½Π°ΡΡ ΠΈ ΡΠΈΠ½Π°ΠΊΠ°Π»ΡΡΠ΅Ρ, ΡΠ²Π»ΡΠ΅ΡΡΡ ΠΌΠ½ΠΎΠ³ΠΎΠΎΠ±Π΅ΡΠ°ΡΡΠΈΠΌ, Π½ΠΎ ΠΎΠΆΠΈΠ΄Π°ΡΡΡΡ Π΄Π°Π»ΡΠ½Π΅ΠΉΡΠΈΠ΅ Π΄Π°Π½Π½ΡΠ΅, ΠΏΡΠ΅ΠΆΠ΄Π΅ ΡΠ΅ΠΌ ΠΎΠ½ΠΈ Π±ΡΠ΄ΡΡ ΡΠΈΡΠΎΠΊΠΎ ΠΈΡΠΏΠΎΠ»ΡΠ·ΠΎΠ²Π°ΡΡΡΡ Π² ΠΊΠ°ΡΠ΅ΡΡΠ²Π΅ Π»Π΅ΡΠ΅Π±Π½ΠΎΠ³ΠΎ ΡΡΠ΅Π΄ΡΡΠ²Π°. Π»Π΅ΡΠ΅Π½ΠΈΠ΅ ΠΠ ΠΌΠΎΠΆΠ½ΠΎ ΡΠ΅ΠΊΠΎΠΌΠ΅Π½Π΄ΠΎΠ²Π°ΡΡ. Π’Π°ΠΊΠΆΠ΅ ΠΎΠ±ΡΡΠΆΠ΄Π°ΡΡΡΡ ΠΌΠ΅ΡΠΎΠ΄Ρ Π²ΠΈΠ·ΡΠ°Π»ΠΈΠ·Π°ΡΠΈΠΈ, ΠΈΡΠΏΠΎΠ»ΡΠ·ΡΠ΅ΠΌΡΠ΅ Π² Π½Π°ΡΡΠΎΡΡΠ΅Π΅ Π²ΡΠ΅ΠΌΡ Π΄Π»Ρ ΠΎΡΠ΅Π½ΠΊΠΈ ΠΠ.ΠΡΡΠ»Π΅Π΄ΠΎΠ²Π°Π½ΠΈΡ ΠΌΠ΅Ρ Π°Π½ΠΈΠ·ΠΌΠΎΠ², Π»Π΅ΠΆΠ°ΡΠΈΡ Π² ΠΎΡΠ½ΠΎΠ²Π΅ VC, Π²ΡΠ΅ Π΅ΡΠ΅ ΠΈΠ·ΡΡΠ°ΡΡΡΡ, ΠΈ Π΄Π°Π»ΡΠ½Π΅ΠΉΡΠ΅Π΅ ΠΏΠΎΠ½ΠΈΠΌΠ°Π½ΠΈΠ΅ ΡΡΠΈΡ ΠΌΠ΅Ρ Π°Π½ΠΈΠ·ΠΌΠΎΠ² ΠΏΡΠΈΠ²Π΅Π΄Π΅Ρ ΠΊ ΡΠ°Π·ΡΠ°Π±ΠΎΡΠΊΠ΅ ΡΠ΅ΡΠ°ΠΏΠ΅Π²ΡΠΈΡΠ΅ΡΠΊΠΈΡ Π°Π³Π΅Π½ΡΠΎΠ², ΠΊΠΎΡΠΎΡΡΠ΅ ΠΌΠΎΠ³ΡΡ ΡΠ»ΡΡΡΠΈΡΡ ΡΠ΅ΡΠ΄Π΅ΡΠ½ΠΎ-ΡΠΎΡΡΠ΄ΠΈΡΡΡΠ΅ ΠΈΡΡ ΠΎΠ΄Ρ Ρ ΠΏΠ°ΡΠΈΠ΅Π½ΡΠΎΠ².
ΠΠ±ΡΡΠ²Π»Π΅Π½ΠΈΠ΅
Π’ΠΎΠ»ΡΠΊΠΎ Π΄Π»Ρ ΠΌΠ΅Π΄ΠΈΡΠΈΠ½ΡΠΊΠΈΡ ΡΠ°Π±ΠΎΡΠ½ΠΈΠΊΠΎΠ²
ΠΠ»Π°ΡΠΈΡΠ΅ Π·Π° Π΄ΠΎΡΡΡΠΏ ΠΊ ΡΡΠΎΠΌΡ ΠΏΡΠ΅ΠΌΠΈΠ°Π»ΡΠ½ΠΎΠΌΡ ΠΊΠΎΠ½ΡΠ΅Π½ΡΡ Β£ 5
BJC Π²Π²ΠΎΠ΄ΠΈΡ Π½Π΅Π±ΠΎΠ»ΡΡΡΡ ΠΏΠ»Π°ΡΡ Π·Π° ΡΠ°ΡΡΡ ΡΠ²ΠΎΠ΅Π³ΠΎ ΠΏΡΠ΅ΠΌΠΈΠ°Π»ΡΠ½ΠΎΠ³ΠΎ ΠΊΠΎΠ½ΡΠ΅Π½ΡΠ°. ΠΡΠΈ ΠΏΠΎΠΊΡΠΏΠΊΠ΅ Π²Ρ ΠΏΠΎΠ»ΡΡΠΈΡΠ΅ ΡΠ»Π΅ΠΊΡΡΠΎΠ½Π½ΠΎΠ΅ ΠΏΠΈΡΡΠΌΠΎ Π΄Π»Ρ Π΄ΠΎΡΡΡΠΏΠ° ΠΊ ΡΡΠ°ΡΡΠ΅ ΠΈ ΡΠΎΡ ΡΠ°Π½ΠΈΡΠ΅ Π·Π°Π³ΡΡΠΆΠ°Π΅ΠΌΡΠΉ PDF-ΡΠ°ΠΉΠ».PDF-ΡΠ°ΠΉΠ» ΠΌΠΎΠΆΠ½ΠΎ Π·Π°Π³ΡΡΠ·ΠΈΡΡ Ρ ΠΏΠΎΠΌΠΎΡΡΡ ΠΊΠ½ΠΎΠΏΠΊΠΈ Π½Π° Π±ΠΎΠΊΠΎΠ²ΠΎΠΉ ΠΏΠ°Π½Π΅Π»ΠΈ. ΠΠ±ΡΠ°ΡΠΈΡΠ΅ Π²Π½ΠΈΠΌΠ°Π½ΠΈΠ΅, ΡΡΠΎ ΠΏΠΎΠΊΡΠΏΠΊΠ° ΡΡΠΎΠΉ ΡΡΠ°ΡΡΠΈ ΠΏΡΠ΅Π΄Π½Π°Π·Π½Π°ΡΠ΅Π½Π° ΡΠΎΠ»ΡΠΊΠΎ Π΄Π»Ρ Π²Π°ΡΠ΅Π³ΠΎ Π»ΠΈΡΠ½ΠΎΠ³ΠΎ ΠΈΡΠΏΠΎΠ»ΡΠ·ΠΎΠ²Π°Π½ΠΈΡ. ΠΠΎΠ΄Π΄Π΅ΡΠΆΠΈΠ²Π°Ρ Π½Π°Ρ ΡΠ°ΠΊΠΈΠΌ ΠΎΠ±ΡΠ°Π·ΠΎΠΌ, Π²Ρ ΠΏΠΎΠΌΠΎΠ³Π°Π΅ΡΠ΅ Π½Π°ΠΌ ΠΏΡΠ΅Π΄ΠΎΡΡΠ°Π²Π»ΡΡΡ Π²ΡΡΠΎΠΊΠΎΠΊΠ°ΡΠ΅ΡΡΠ²Π΅Π½Π½ΡΠ΅ ΡΡΠ»ΡΠ³ΠΈ ΡΠΏΠ΅ΡΠΈΠ°Π»ΠΈΡΡΠ°ΠΌ Π² ΠΎΠ±Π»Π°ΡΡΠΈ Π·Π΄ΡΠ°Π²ΠΎΠΎΡ ΡΠ°Π½Π΅Π½ΠΈΡ. ΠΡ ΠΏΡΠΎΠ΄ΠΎΠ»ΠΆΠΈΠΌ Ρ ΡΠ°Π½ΠΈΡΡ Π±ΠΎΠ»ΡΡΡΡ ΡΠ°ΡΡΡ Π½Π°ΡΠ΅Π³ΠΎ ΠΊΠΎΠ½ΡΠ΅Π½ΡΠ° Π±Π΅ΡΠΏΠ»Π°ΡΠ½ΠΎ.
ΠΠ»ΠΈΡΠ½ΠΈΠ΅ Π²ΠΈΡΠ°ΠΌΠΈΠ½Π° Π Π½Π° Π²ΠΎΠ·ΡΠ°ΡΡΠ½ΡΡ ΠΏΠΎΡΠ΅ΡΡ ΠΊΠΎΡΡΠ½ΠΎΠΉ ΠΌΠ°ΡΡΡ ΠΈ ΠΊΠ°Π»ΡΡΠΈΡΠΈΠΊΠ°ΡΠΈΡ ΡΠΎΡΡΠ΄ΠΎΠ² — ΠΡΠΎΡΠΌΠΎΡΡ ΠΏΠΎΠ»Π½ΠΎΠ³ΠΎ ΡΠ΅ΠΊΡΡΠ°
ΠΡΠΎ ΡΡΠ΅Ρ Π»Π΅ΡΠ½Π΅Π΅ Π΄Π²ΠΎΠΉΠ½ΠΎΠ΅ ΡΠ»Π΅ΠΏΠΎΠ΅ ΠΏΠ»Π°ΡΠ΅Π±ΠΎ-ΠΊΠΎΠ½ΡΡΠΎΠ»ΠΈΡΡΠ΅ΠΌΠΎΠ΅ ΠΈΡΠΏΡΡΠ°Π½ΠΈΠ΅ Π΄Π»Ρ ΠΈΠ·ΡΡΠ΅Π½ΠΈΡ Π²Π»ΠΈΡΠ½ΠΈΡ Π΄ΠΎΠ±Π°Π²ΠΎΠΊ Π²ΠΈΡΠ°ΠΌΠΈΠ½Π° Π (500 ΠΌΠΊΠ³ / Π΄Π΅Π½Ρ) Π½Π° ΠΏΠ»ΠΎΡΠ½ΠΎΡΡΡ ΠΊΠΎΡΡΠ½ΠΎΠΉ ΡΠΊΠ°Π½ΠΈ Π±Π΅Π΄ΡΠ°, ΠΌΠ°ΡΠΊΠ΅ΡΡ ΠΎΠ±Π½ΠΎΠ²Π»Π΅Π½ΠΈΡ ΠΊΠΎΡΡΠ½ΠΎΠΉ ΡΠΊΠ°Π½ΠΈ, ΠΊΠ°Π»ΡΡΠΈΡΠΈΠΊΠ°ΡΠΈΡ ΡΠΎΡΡΠ΄ΠΎΠ², ΠΎΡΡΠ΅ΠΎΠ°ΡΡΡΠΈΡ ΠΈ ΡΠ΅ΡΡΡ ΠΊΠΎΠ½ΡΠ΅Π½ΡΡΠ°ΡΠΈΠΈ Ρ 452 ΠΌΡΠΆΡΠΈΠ½ ΠΈ ΠΆΠ΅Π½ΡΠΈΠ½ Π² Π²ΠΎΠ·ΡΠ°ΡΡΠ΅ 60-80 Π»Π΅Ρ.ΠΡΠ΅ ΡΡΠ°ΡΡΠ½ΠΈΠΊΠΈ ΡΠ°ΠΊΠΆΠ΅ Π±ΡΠ΄ΡΡ ΠΏΠΎΠ»ΡΡΠ°ΡΡ Π΄ΠΎΠ±Π°Π²ΠΊΠΈ Ρ ΠΊΠ°Π»ΡΡΠΈΠ΅ΠΌ ΠΈ Π²ΠΈΡΠ°ΠΌΠΈΠ½ΠΎΠΌ D, Π² Π΄ΠΎΠΏΠΎΠ»Π½Π΅Π½ΠΈΠ΅ ΠΊ ΠΏΠΎΠ»ΠΈΠ²ΠΈΡΠ°ΠΌΠΈΠ½Π°ΠΌ, ΡΡΠΎΠ±Ρ ΠΏΡΠ΅Π΄ΠΎΡΠ²ΡΠ°ΡΠΈΡΡ Π»ΡΠ±ΡΡ ΠΏΠΎΡΠ΅Π½ΡΠΈΠ°Π»ΡΠ½ΡΡ ΠΏΠΎΡΠ΅ΡΡ ΠΊΠΎΡΡΠ½ΠΎΠΉ ΠΌΠ°ΡΡΡ, ΡΠ²ΡΠ·Π°Π½Π½ΡΡ Ρ Π½Π΅Π΄ΠΎΡΡΠ°ΡΠΎΡΠ½ΠΎΡΡΡΡ ΡΡΠΈΡ ΠΏΠΈΡΠ°ΡΠ΅Π»ΡΠ½ΡΡ Π²Π΅ΡΠ΅ΡΡΠ² Π² ΡΠ°ΡΠΈΠΎΠ½Π΅.
ΠΠ·ΠΌΠ΅ΡΠ΅Π½ΠΈΡ ΠΊΠΎΠ½ΡΠ΅Π½ΡΡΠ°ΡΠΈΠΈ Π²ΠΈΡΠ°ΠΌΠΈΠ½Π° Π Π² ΠΏΠ»Π°Π·ΠΌΠ΅, ΠΏΡΠΎΡΠ΅Π½ΡΠ° Π½Π΅Π΄ΠΎΠΊΠ°ΡΠ±ΠΎΠΊΡΠΈΠ»ΠΈΡΠΎΠ²Π°Π½Π½ΠΎΠ³ΠΎ ΠΎΡΡΠ΅ΠΎΠΊΠ°Π»ΡΡΠΈΠ½Π° (ΠΌΠ°ΡΠΊΠ΅ΡΡ ΡΡΠ°ΡΡΡΠ° Π²ΠΈΡΠ°ΠΌΠΈΠ½Π° Π), ΠΎΡΡΠ΅ΠΎΠΊΠ°Π»ΡΡΠΈΠ½Π° Π² ΡΡΠ²ΠΎΡΠΎΡΠΊΠ΅ ΠΊΡΠΎΠ²ΠΈ, N-ΡΠ΅Π»ΠΎΠΏΠ΅ΠΏΡΠΈΠ΄ΠΎΠ², ΠΏΠ΅ΡΠ΅ΠΊΡΠ΅ΡΡΠ½ΠΎ ΡΡΠΈΠ²Π°ΡΡΠΈΡ ΠΊΠΎΠ»Π»Π°Π³Π΅Π½ ΡΠΈΠΏΠ° I (ΠΌΠ°ΡΠΊΠ΅ΡΡ ΠΎΠ±Π½ΠΎΠ²Π»Π΅Π½ΠΈΡ ΠΊΠΎΡΡΠ½ΠΎΠΉ ΡΠΊΠ°Π½ΠΈ), ΠΈ ΠΠΠ Π±Π΅Π΄ΡΠ°, Π° ΡΠ°ΠΊΠΆΠ΅ ΠΏΡΡΠΊΠΈ, ΠΏΠΎΠ·Π²ΠΎΠ½ΠΎΡΠ½ΠΈΠΊΠ° ΠΈ Π²ΡΠ΅Π³ΠΎ ΡΠ΅Π»Π° Π½Π° 0, 6, 12, 24 ΠΈ 36 ΠΌΠ΅ΡΡΡΠ°Ρ ΠΏΡΠΈΠ΅ΠΌΠ° Π΄ΠΎΠ±Π°Π²ΠΎΠΊ Π²ΠΈΡΠ°ΠΌΠΈΠ½Π° Π.ΠΠ°Π»ΡΡΠΈΡΠΈΠΊΠ°ΡΠΈΡ ΡΠΎΡΡΠ΄ΠΎΠ² Π±ΡΠ΄Π΅Ρ ΠΈΠ·ΠΌΠ΅ΡΡΡΡΡΡ Π½Π° ΠΈΡΡ ΠΎΠ΄Π½ΠΎΠΌ ΡΡΠΎΠ²Π½Π΅ ΠΈ ΡΠ΅ΡΠ΅Π· 36 ΠΌΠ΅ΡΡΡΠ΅Π² ΠΏΡΠΈΠ΅ΠΌΠ° Π²ΠΈΡΠ°ΠΌΠΈΠ½Π° Π Ρ ΠΏΠΎΠΌΠΎΡΡΡ ΠΌΡΠ»ΡΡΠΈΡΡΠ΅Π·ΠΎΠ²ΠΎΠ³ΠΎ ΠΊΠΎΠΌΠΏΡΡΡΠ΅ΡΠ½ΠΎΠ³ΠΎ ΡΠΎΠΌΠΎΠ³ΡΠ°ΡΠ°. ΠΠΎΠΏΠΎΠ»Π½ΠΈΡΠ΅Π»ΡΠ½Π°Ρ ΠΠΠ Π±ΡΠ΄Π΅Ρ Π²ΡΠΏΠΎΠ»Π½Π΅Π½Π° ΡΠ΅ΡΠ΅Π· 36 ΠΌΠ΅ΡΡΡΠ΅Π² ΠΏΡΠΈΠ΅ΠΌΠ° Π²ΠΈΡΠ°ΠΌΠΈΠ½Π° Π Π΄Π»Ρ ΠΎΠΏΡΠ΅Π΄Π΅Π»Π΅Π½ΠΈΡ ΡΠ΅ΡΠ΄Π΅ΡΠ½ΡΡ ΠΈΠ·ΠΌΠ΅Π½Π΅Π½ΠΈΠΉ, ΠΊΠΎΡΠΎΡΡΠ΅ ΠΌΠΎΠ³Π»ΠΈ ΠΏΡΠΎΠΈΠ·ΠΎΠΉΡΠΈ Π² Ρ ΠΎΠ΄Π΅ ΠΈΡΡΠ»Π΅Π΄ΠΎΠ²Π°Π½ΠΈΡ. ΠΠ²ΡΡΡΠΎΡΠΎΠ½Π½ΠΈΠ΅ ΡΠ΅Π½ΡΠ³Π΅Π½ΠΎΠ²ΡΠΊΠΈΠ΅ Π»ΡΡΠΈ ΡΡΠΊ Π±ΡΠ΄ΡΡ ΠΈΠ·ΠΌΠ΅ΡΡΡΡΡΡ ΡΠ΅ΡΠ΅Π· 36 ΠΌΠ΅ΡΡΡΠ΅Π² ΠΏΡΠΈΠ΅ΠΌΠ° Π²ΠΈΡΠ°ΠΌΠΈΠ½Π° Π, ΠΊΠ°ΠΊ ΠΈ Π²Π²Π΅Π΄Π΅Π½ΠΈΠ΅ ΠΎΠΏΡΠΎΡΠ½ΠΈΠΊΠ° Framingham OA. ΠΠΎΠ½ΡΠ΅Π½ΡΡΠ°ΡΠΈΠΈ 25-Π³ΠΈΠ΄ΡΠΎΠΊΡΠΈΠ²ΠΈΡΠ°ΠΌΠΈΠ½Π° D Π² ΠΏΠ»Π°Π·ΠΌΠ΅, Π° ΡΠ°ΠΊΠΆΠ΅ ΠΊΠ°Π»ΡΡΠΈΠΉ ΠΈ Π½Π°ΡΡΠΈΠΉ Π² ΠΌΠΎΡΠ΅ Π±ΡΠ΄ΡΡ ΠΈΠ·ΠΌΠ΅ΡΡΡΡΡΡ Π² ΠΎΠ΄Π½ΠΈ ΠΈ ΡΠ΅ ΠΆΠ΅ ΠΌΠΎΠΌΠ΅Π½ΡΡ Π²ΡΠ΅ΠΌΠ΅Π½ΠΈ, ΡΡΠΎΠ±Ρ ΠΈΡΠΏΠΎΠ»ΡΠ·ΠΎΠ²Π°ΡΡ ΠΈΡ Π² ΠΊΠ°ΡΠ΅ΡΡΠ²Π΅ ΠΊΠΎΠ²Π°ΡΠΈΠ°Π½Ρ Π² ΡΡΠΎΠΉ ΠΎΡΠ΅Π½ΠΊΠ΅.ΠΡΠΎΠΌΠ΅ ΡΠΎΠ³ΠΎ, 1,25-Π΄ΠΈΠ³ΠΈΠ΄ΡΠΎΠΊΡΠΈΠ²ΠΈΡΠ°ΠΌΠΈΠ½ D Π±ΡΠ΄Π΅Ρ ΠΈΠ·ΠΌΠ΅ΡΡΡΡΡΡ Π² Π½Π°ΡΠ°Π»Π΅ ΠΈ Π² ΠΊΠΎΠ½ΡΠ΅ ΠΈΡΡΠ»Π΅Π΄ΠΎΠ²Π°Π½ΠΈΡ. ΠΡΡΠ³ΠΈΠ΅ ΠΊΠΎΠ²Π°ΡΠΈΠ°ΡΡ, ΡΠΎΠ±ΡΠ°Π½Π½ΡΠ΅ Π² Ρ ΠΎΠ΄Π΅ ΠΈΡΡΠ»Π΅Π΄ΠΎΠ²Π°Π½ΠΈΡ, Π²ΠΊΠ»ΡΡΠ°ΡΡ Π²ΠΎΠ·ΡΠ°ΡΡ, Π²Π΅Ρ, Π°Π½ΡΡΠΎΠΏΠΎΠΌΠ΅ΡΡΠΈΡΠ΅ΡΠΊΠΈΠ΅ Π΄Π°Π½Π½ΡΠ΅, ΡΠΈΠ·ΠΈΡΠ΅ΡΠΊΡΡ Π°ΠΊΡΠΈΠ²Π½ΠΎΡΡΡ, ΠΈΡΠΏΠΎΠ»ΡΠ·ΠΎΠ²Π°Π½Π½ΡΠ΅ Π»Π΅ΠΊΠ°ΡΡΡΠ²Π°, ΠΊΡΡΠ΅Π½ΠΈΠ΅, Π»ΠΈΠΏΠΈΠ΄Ρ ΠΏΠ»Π°Π·ΠΌΡ, ΠΈΠ½ΡΡΠ»ΠΈΠ½ ΠΈ ΠΏΠΎΠΊΠ°Π·Π°ΡΠ΅Π»ΠΈ Π²ΠΎΡΠΏΠ°Π»Π΅Π½ΠΈΡ, Π²ΠΈΡΠ°ΠΌΠΈΠ½Ρ Π³ΡΡΠΏΠΏΡ B ΠΈ Π΄ΠΈΠ΅ΡΠΈΡΠ΅ΡΠΊΠΎΠ΅ ΠΏΠΎΡΡΠ΅Π±Π»Π΅Π½ΠΈΠ΅. ΠΡΠΎΠΌΠ΅ ΡΠΎΠ³ΠΎ, ΡΠ΅ΡΠ΅Π· 36 ΠΌΠ΅ΡΡΡΠ΅Π² ΠΏΡΠΈΠ΅ΠΌΠ° Π²ΠΈΡΠ°ΠΌΠΈΠ½Π° Π Π±ΡΠ΄ΡΡ ΠΏΡΠΎΠ²Π΅Π΄Π΅Π½Ρ Π΄Π²Π° ΡΠ΅ΡΡΠ° Π½Π° Π²Π½ΠΈΠΌΠ°Π½ΠΈΠ΅ ΠΈ ΠΊΠΎΠ½ΡΠ΅Π½ΡΡΠ°ΡΠΈΡ. ΠΡΠΎ ΠΈΡΠΏΡΡΠ°Π½ΠΈΠ΅ ΠΎΠΏΡΠ΅Π΄Π΅Π»ΠΈΡ, ΡΠ½ΠΈΠ·ΠΈΡ Π»ΠΈ Π΄ΠΎΠ±Π°Π²ΠΊΠ° Π²ΠΈΡΠ°ΠΌΠΈΠ½Π° Π Π²ΠΎΠ·ΡΠ°ΡΡΠ½ΡΡ ΠΏΠΎΡΠ΅ΡΡ ΠΊΠΎΡΡΠ½ΠΎΠΉ ΠΌΠ°ΡΡΡ, ΠΊΠ°Π»ΡΡΠΈΡΠΈΠΊΠ°ΡΠΈΡ ΡΠΎΡΡΠ΄ΠΎΠ², ΠΎΡΡΠ΅ΠΎΠ°ΡΡΡΠΈΡ ΠΈ ΠΊΠΎΠ½ΡΠ΅Π½ΡΡΠ°ΡΠΈΡ Ρ ΠΏΠΎΠΆΠΈΠ»ΡΡ ΠΌΡΠΆΡΠΈΠ½ ΠΈ ΠΆΠ΅Π½ΡΠΈΠ½ ΠΏΠΎ ΡΡΠ°Π²Π½Π΅Π½ΠΈΡ Ρ ΡΠ΅ΠΌ, ΡΡΠΎ Π΄ΠΎΡΡΠΈΠ³Π°Π΅ΡΡΡ Π΄ΠΎΠ±Π°Π²Π»Π΅Π½ΠΈΠ΅ΠΌ ΡΠΎΠ»ΡΠΊΠΎ ΠΊΠ°Π»ΡΡΠΈΡ ΠΈ Π²ΠΈΡΠ°ΠΌΠΈΠ½Π° D.
ΠΠ°Π»ΡΡΠΈΡΠΈΠΊΠ°ΡΠΈΡ ΡΠ΅ΡΠ΄Π΅ΡΠ½ΠΎΠ³ΠΎ ΠΊΠ»Π°ΠΏΠ°Π½Π°: 8 Π²Π°ΠΆΠ½ΡΡ ΡΠ°ΠΊΡΠΎΠ²
Π― Π½ΠΈΠΊΠΎΠ³Π΄Π° Π½Π΅ Π·Π°Π±ΡΠ΄Ρ, ΠΊΠΎΠ³Π΄Π° ΠΌΠΎΠΉ ΠΊΠ°ΡΠ΄ΠΈΠΎΠ»ΠΎΠ³ ΡΠΊΠ°Π·Π°Π» ΠΌΠ½Π΅: Β«ΠΠ΄Π°ΠΌ, ΠΊΠ°Π»ΡΡΠΈΠΉ Π½Π° ΡΠ²ΠΎΠ΅ΠΌ ΠΊΠ»Π°ΠΏΠ°Π½Π΅ Π²ΡΠ·ΡΠ²Π°Π΅Ρ ΡΠ΅ΡΡΠ΅Π·Π½ΡΠ΅ ΠΏΡΠΎΠ±Π»Π΅ΠΌΡ. ΠΠ°Ρ ΠΊΠ»Π°ΠΏΠ°Π½ ΡΡΠ΅Π½ΠΎΠ·ΠΈΡΠΎΠ²Π°Π½. ΠΠ°ΠΌ Π½ΡΠΆΠ΅Π½ Π½ΠΎΠ²ΡΠΉ ΠΊΠ»Π°ΠΏΠ°Π½ Β». Π ΡΠΎΡ ΠΌΠΎΠΌΠ΅Π½Ρ ΠΌΠ΅Π½Ρ ΠΏΠ΅ΡΠ΅ΠΏΠΎΠ»Π½ΠΈΠ»ΠΈ ΡΠΌΠΎΡΠΈΠΈ ΠΈβ¦ Π²ΠΎΠΏΡΠΎΡΡ. ΠΠ΅ΠΊΠΎΡΠΎΡΡΠ΅ ΠΈΠ· Π²ΠΎΠΏΡΠΎΡΠΎΠ² Π±ΡΠ»ΠΈ ΡΠ°ΠΊΠΈΠΌΠΈ: Β«Π§ΡΠΎ Π·Π½Π°ΡΠΈΡ ΠΊΠ°Π»ΡΡΠΈΡ Π½Π° ΠΊΠ»Π°ΠΏΠ°Π½Π΅?Β» ΠΈ Β«Π§ΡΠΎ ΡΠ°ΠΊΠΎΠ΅ ΡΡΠ΅Π½ΠΎΠ·?Β» ΠΈ Β«ΠΠΠ! ΠΠ½Π΅ Π΄Π΅ΠΉΡΡΠ²ΠΈΡΠ΅Π»ΡΠ½ΠΎ Π½ΡΠΆΠ½Π° ΠΎΠΏΠ΅ΡΠ°ΡΠΈΡ Π½Π° ΡΠ΅ΡΠ΄ΡΠ΅? Β»
Π§Π΅ΡΠ΅Π· Π΄Π΅ΡΡΡΡ Π»Π΅Ρ ΠΏΠΎΡΠ»Π΅ ΠΎΠΏΠ΅ΡΠ°ΡΠΈΠΈ Ρ Ρ ΡΠ°Π΄ΠΎΡΡΡΡ ΡΠΎΠΎΠ±ΡΠ°Ρ, ΡΡΠΎ ΠΏΡΠΎΡΠ΅Π·ΠΈΡΠΎΠ²Π°Π½ΠΈΠ΅ ΠΌΠΎΠ΅Π³ΠΎ Π°ΠΎΡΡΠ°Π»ΡΠ½ΠΎΠ³ΠΎ ΠΊΠ»Π°ΠΏΠ°Π½Π° ΠΈΠ΄Π΅Ρ ΠΎΡΠ»ΠΈΡΠ½ΠΎ.Π’Π΅ΠΌ Π½Π΅ ΠΌΠ΅Π½Π΅Π΅, Ρ ΠΏΠΎΠ»ΡΡΠ°Ρ ΠΌΠ½ΠΎΠ³ΠΎ ΠΎΡΠ»ΠΈΡΠ½ΡΡ Π²ΠΎΠΏΡΠΎΡΠΎΠ² ΠΎΡ Π½Π°ΡΠ΅Π³ΠΎ ΡΠΎΠΎΠ±ΡΠ΅ΡΡΠ²Π° ΠΎ ΠΊΠ°Π»ΡΡΠΈΡΠΈΠΊΠ°ΡΠΈΠΈ ΡΠ΅ΡΠ΄Π΅ΡΠ½ΠΎΠ³ΠΎ ΠΊΠ»Π°ΠΏΠ°Π½Π°. ΠΡΠ°ΠΊ, Ρ Ρ ΠΎΡΠ΅Π» ΡΠΎΠ·Π΄Π°ΡΡ ΡΠΏΠ΅ΡΠΈΠ°Π»ΡΠ½ΡΠΉ ΠΏΠΎΡΡ, ΠΏΠΎΡΠ²ΡΡΠ΅Π½Π½ΡΠΉ ΡΡΠΎΠΉ ΠΎΡΠ΅Π½Ρ Π²Π°ΠΆΠ½ΠΎΠΉ ΡΠ΅ΠΌΠ΅.
Π§ΡΠΎΠ±Ρ ΠΏΠΎΠ»ΡΡΠΈΡΡ ΠΏΠΎΡΠ»Π΅Π΄Π½ΠΈΠ΅ ΠΈΡΡΠ»Π΅Π΄ΠΎΠ²Π°Π½ΠΈΡ ΠΊΠ°Π»ΡΡΠΈΡΠΈΠΊΠ°ΡΠΈΠΈ ΡΠ΅ΡΠ΄Π΅ΡΠ½ΠΎΠ³ΠΎ ΠΊΠ»Π°ΠΏΠ°Π½Π°, Ρ ΡΠ²ΡΠ·Π°Π»ΡΡ Ρ Π΄Π²ΡΠΌΡ ΠΊΠ°ΡΠ΄ΠΈΠΎΡ ΠΈΡΡΡΠ³Π°ΠΌΠΈ, ΠΊΠΎΡΠΎΡΡΠ΅ ΡΠΏΠ΅ΡΠΈΠ°Π»ΠΈΠ·ΠΈΡΡΡΡΡΡ Π½Π° ΡΠ΅ΡΠ°ΠΏΠΈΠΈ ΡΠ΅ΡΠ΄Π΅ΡΠ½ΠΎΠ³ΠΎ ΠΊΠ»Π°ΠΏΠ°Π½Π° — Π΄ΠΎΠΊΡΠΎΡΠΎΠΌ ΠΠ°ΠΉΠΊΠ»ΠΎΠΌ ΠΠΎΡΠ³Π΅ΡΠΎΠΌ ΠΈΠ· ΠΠ΅Π΄ΠΈΡΠΈΠ½ΡΠΊΠΎΠ³ΠΎ ΡΠ΅Π½ΡΡΠ° ΠΠΎΠ»ΡΠΌΠ±ΠΈΠΉΡΠΊΠΎΠ³ΠΎ ΡΠ½ΠΈΠ²Π΅ΡΡΠΈΡΠ΅ΡΠ° Π² ΠΡΡ-ΠΠΎΡΠΊΠ΅ ΠΈ Π΄ΠΎΠΊΡΠΎΡΠΎΠΌ ΠΠΆΠΎΠ·Π΅ΡΠΎΠΌ ΠΠ°ΠΌΠ΅Π»Π°ΡΠΎΠΌ ΠΈΠ· ΠΠ΅Π΄ΠΈΡΠΈΠ½ΡΠΊΠΎΠ³ΠΎ ΡΠ΅Π½ΡΡΠ° ΠΠ°ΡΠ½Ρ-Π‘ΠΈΠ½Π°ΠΉ Π² ΠΠ°ΠΉΠ°ΠΌΠΈ, Π€Π»ΠΎΡΠΈΠ΄Π°. .
1.Π§ΡΠΎ ΡΠ°ΠΊΠΎΠ΅ ΠΊΠ°Π»ΡΡΠΈΠ½ΠΈΡΠΎΠ²Π°Π½Π½ΡΠΉ ΠΊΠ»Π°ΠΏΠ°Π½ ΡΠ΅ΡΠ΄ΡΠ°?
ΠΠΎΠΊΡΠΎΡ ΠΠΎΡΠ³Π΅Ρ Π³ΠΎΠ²ΠΎΡΠΈΡ: ΠΠ°Π»ΡΡΠΈΠ½ΠΈΡΠΎΠ²Π°Π½Π½ΡΠΉ ΠΊΠ»Π°ΠΏΠ°Π½ ΡΠ΅ΡΠ΄ΡΠ° — ΡΡΠΎ ΠΊΠ»Π°ΠΏΠ°Π½, Π² ΠΊΠΎΡΠΎΡΠΎΠΌ Π·Π° ΠΌΠ½ΠΎΠ³ΠΈΠ΅ Π³ΠΎΠ΄Ρ ΠΎΡΠΊΠ»Π°Π΄ΡΠ²Π°Π΅ΡΡΡ Π±ΠΎΠ»ΡΡΠΎΠ΅ ΠΊΠΎΠ»ΠΈΡΠ΅ΡΡΠ²ΠΎ ΠΊΠ°Π»ΡΡΠΈΡ. Π‘Π΅ΡΠ΄Π΅ΡΠ½ΡΠ΅ ΠΊΠ»Π°ΠΏΠ°Π½Ρ ΠΎΠ±ΡΡΠ½ΠΎ ΡΠΎΡΡΠΎΡΡ ΠΈΠ· ΡΠΎΠ½ΠΊΠΈΡ ΠΈ Π³ΠΈΠ±ΠΊΠΈΡ ΡΡΠ²ΠΎΡΠΎΠΊ. ΠΠΎΠ³Π΄Π° ΠΊΠ»Π°ΠΏΠ°Π½ ΡΠ΅ΡΠ΄ΡΠ° ΠΊΠ°Π»ΡΡΠΈΠ½ΠΈΡΡΠ΅ΡΡΡ, ΡΡΠ²ΠΎΡΠΊΠΈ ΡΡΠ°Π½ΠΎΠ²ΡΡΡΡ ΠΆΠ΅ΡΡΠΊΠΈΠΌΠΈ, ΠΈ ΠΊΠ»Π°ΠΏΠ°Π½ Π² ΠΊΠΎΠ½Π΅ΡΠ½ΠΎΠΌ ΠΈΡΠΎΠ³Π΅ ΡΡΠΆΠ°Π΅ΡΡΡ (Β«ΡΡΠ΅Π½ΠΎΠ·ΠΈΡΡΠ΅ΡΡΡΒ»). Π‘ΡΠ΅Π½ΠΎΠ· ΠΊΠ»Π°ΠΏΠ°Π½Π° ΡΠ΅ΡΠ΄ΡΠ°, Π² ΡΠ²ΠΎΡ ΠΎΡΠ΅ΡΠ΅Π΄Ρ, ΠΏΡΠΈΠ²ΠΎΠ΄ΠΈΡ ΠΊ ΡΠ²Π΅Π»ΠΈΡΠ΅Π½ΠΈΡ ΡΠΎΠΏΡΠΎΡΠΈΠ²Π»Π΅Π½ΠΈΡ ΠΊΡΠΎΠ²ΠΎΡΠΎΠΊΡ ΠΈ ΡΠ²Π΅Π»ΠΈΡΠ΅Π½ΠΈΡ ΡΠ°Π±ΠΎΡΡ ΡΠ΅ΡΠ΄ΡΠ°.
2. ΠΠ°ΠΊ ΠΊΠ°Π»ΡΡΠΈΠ½ΠΈΡΡΠ΅ΡΡΡ ΠΊΠ»Π°ΠΏΠ°Π½ ΡΠ΅ΡΠ΄ΡΠ°?
ΠΠΎΠΊΡΠΎΡ.ΠΠ°ΠΌΠ΅Π»Π°Ρ Π³ΠΎΠ²ΠΎΡΠΈΡ: Β«ΠΠ»Π°ΠΏΠ°Π½Ρ ΠΊΠ°Π»ΡΡΠΈΠ½ΠΈΡΡΡΡ ΠΏΠΎ Π½Π΅ΡΠΊΠΎΠ»ΡΠΊΠΈΠΌ ΠΏΡΠΈΡΠΈΠ½Π°ΠΌ. ΠΠ΄Π½Π° ΠΊΠΎΠ½ΠΊΡΠ΅ΡΠ½Π°Ρ ΠΏΡΠΈΡΠΈΠ½Π° ΡΠ²ΡΠ·Π°Π½Π° Ρ Π½ΠΎΡΠΌΠ°Π»ΡΠ½ΡΠΌ ΠΈΠ·Π½ΠΎΡΠΎΠΌ ΡΠ΅ΡΠ΄Π΅ΡΠ½ΡΡ ΠΊΠ»Π°ΠΏΠ°Π½ΠΎΠ², ΠΏΠΎΡΠΊΠΎΠ»ΡΠΊΡ ΡΠ΅ΡΠ΄ΡΠ΅ ΡΠ²Π»ΡΠ΅ΡΡΡ ΡΠ°ΠΌΠΎΠΉ ΡΡΠΆΠ΅Π»ΠΎΠΉ ΡΠ°Π±ΠΎΡΠ°ΡΡΠ΅ΠΉ ΠΌΡΡΡΠ΅ΠΉ Π² ΠΎΡΠ³Π°Π½ΠΈΠ·ΠΌΠ΅. ΠΡΠΎΠΌΠ΅ ΡΠΎΠ³ΠΎ, ΠΌΠΎΠ³ΡΡ Π±ΡΡΡ Π³Π΅Π½Π΅ΡΠΈΡΠ΅ΡΠΊΠΈΠ΅ ΠΏΡΠΈΡΠΈΠ½Ρ, ΠΊΠΎΡΠΎΡΡΠ΅ Π²ΠΊΠ»ΡΡΠ°ΡΡ Π²ΡΠΎΠΆΠ΄Π΅Π½Π½ΡΠ΅ Π°Π½ΠΎΠΌΠ°Π»ΠΈΠΈ ΠΊΠ»Π°ΠΏΠ°Π½Π°, ΠΏΡΠΈ ΠΊΠΎΡΠΎΡΡΡ ΠΊΠ»Π°ΠΏΠ°Π½ ΡΡΠ°Π½ΠΎΠ²ΠΈΡΡΡ ΠΆΠ΅ΡΡΠΊΠΈΠΌ Π² Π±ΠΎΠ»Π΅Π΅ ΠΏΠΎΠ·Π΄Π½Π΅ΠΌ Π²ΠΎΠ·ΡΠ°ΡΡΠ΅. ΠΡΡΠ³ΠΈΠ΅ ΡΠ°ΠΊΡΠΎΡΡ, ΡΠΏΠΎΡΠΎΠ±ΡΡΠ²ΡΡΡΠΈΠ΅ ΠΊΠ°Π»ΡΡΠΈΡΠΈΠΊΠ°ΡΠΈΠΈ, Π²ΠΊΠ»ΡΡΠ°ΡΡ ΠΊΡΡΠ΅Π½ΠΈΠ΅, Π΄ΠΈΠ°Π±Π΅Ρ, Ρ ΡΠΎΠ½ΠΈΡΠ΅ΡΠΊΠΎΠ΅ Π·Π°Π±ΠΎΠ»Π΅Π²Π°Π½ΠΈΠ΅ ΠΏΠΎΡΠ΅ΠΊ ΠΈ ΠΏΠΎΠ²ΡΡΠ΅Π½Π½ΡΠΉ ΡΡΠΎΠ²Π΅Π½Ρ Ρ ΠΎΠ»Π΅ΡΡΠ΅ΡΠΈΠ½Π° ΠΈ ΡΡΠΈΠ³Π»ΠΈΡΠ΅ΡΠΈΠ΄ΠΎΠ². ΠΠΎΠ»ΡΡΠΈΠ½ΡΡΠ²ΠΎ ΠΊΠ»Π°ΠΏΠ°Π½ΠΎΠ² ΠΊΠ°Π»ΡΡΠΈΠ½ΠΈΡΡΡΡΡΡ ΠΈΠ·-Π·Π° Π°ΡΠ΅ΡΠΎΡΠΊΠ»Π΅ΡΠΎΠ·Π°, ΠΊΠΎΡΠΎΡΡΠΉ Π²ΡΠ·ΡΠ²Π°Π΅Ρ Π·Π°ΠΊΡΠΏΠΎΡΠΊΡ Π°ΡΡΠ΅ΡΠΈΠΉ ΡΠ΅ΡΠ΄ΡΠ°, Π° ΡΠ°ΠΊΠΆΠ΅ ΠΎΡΡΠ°Π»ΡΠ½ΡΡ ΡΠ°ΡΡΠ΅ΠΉ ΡΠ΅Π»Π°.
ΠΠ°Π»ΡΡΠΈΠ½ΠΈΡΠΎΠ²Π°Π½Π½ΡΠΉ Π°ΠΎΡΡΠ°Π»ΡΠ½ΡΠΉ ΠΊΠ»Π°ΠΏΠ°Π½
ΠΠΎΡΠΏΠ°Π»Π΅Π½ΠΈΠ΅ ΠΌΠΎΠΆΠ΅Ρ Π²ΠΎΠ·Π½ΠΈΠΊΠ°ΡΡ Π½Π° ΡΠ΅ΡΠ΄Π΅ΡΠ½ΠΎΠΌ ΠΊΠ»Π°ΠΏΠ°Π½Π΅, ΡΡΠΎ ΠΏΡΠΈΠ²ΠΎΠ΄ΠΈΡ ΠΊ ΡΠ΅Π°ΠΊΡΠΈΠΈ Π² ΠΊΡΠΎΠ²ΠΎΡΠΎΠΊΠ΅, ΠΊΠΎΡΠΎΡΠ°Ρ ΡΠΏΠΎΡΠΎΠ±ΡΡΠ²ΡΠ΅Ρ ΠΊΠ°Π»ΡΡΠΈΡΠΈΠΊΠ°ΡΠΈΠΈ. ΠΠ΅ΡΠΌΠΎΡΡΡ Π½Π° Π²ΡΠ΅ ΡΡΠΈ ΠΏΠΎΡΠ΅Π½ΡΠΈΠ°Π»ΡΠ½ΡΠ΅ ΠΏΡΠΈΡΠΈΠ½Ρ, ΡΠΎΡΠ½ΡΠΉ ΠΌΠ΅Ρ Π°Π½ΠΈΠ·ΠΌ, Π²ΡΠ·ΡΠ²Π°ΡΡΠΈΠΉ ΠΊΠ°Π»ΡΡΠΈΡΠΈΠΊΠ°ΡΠΈΡ ΡΠ΅ΡΠ΄Π΅ΡΠ½ΠΎΠ³ΠΎ ΠΊΠ»Π°ΠΏΠ°Π½Π°, Π²ΡΠ΅ Π΅ΡΠ΅ ΠΈΡΡΠ»Π΅Π΄ΡΠ΅ΡΡΡ. ΠΡΡΠ³ΠΈΠ΅ ΠΏΡΠΈΡΠΈΠ½Ρ ΠΊΠ°Π»ΡΡΠΈΡΠΈΠΊΠ°ΡΠΈΠΈ Π°ΠΎΡΡΠ°Π»ΡΠ½ΠΎΠ³ΠΎ ΠΊΠ»Π°ΠΏΠ°Π½Π° ΠΈΠ»ΠΈ Π΅Π³ΠΎ ΠΆΠ΅ΡΡΠΊΠΎΡΡΠΈ Π²ΠΊΠ»ΡΡΠ°ΡΡ ΠΎΠ±Π»ΡΡΠ΅Π½ΠΈΠ΅ Π³ΡΡΠ΄Π½ΠΎΠΉ ΠΊΠ»Π΅ΡΠΊΠΈ ΠΈ ΡΠ΅Π²ΠΌΠ°ΡΠΈΡΠ΅ΡΠΊΠΎΠ΅ Π·Π°Π±ΠΎΠ»Π΅Π²Π°Π½ΠΈΠ΅ Π°ΠΎΡΡΠ°Π»ΡΠ½ΠΎΠ³ΠΎ ΠΊΠ»Π°ΠΏΠ°Π½Π°.
3.ΠΠΎΠΆΠ΅Ρ Π»ΠΈ ΠΊΠ°Π»ΡΡΠΈΠ½ΠΈΡΠΎΠ²Π°ΡΡΡΡ ΠΊΠ°ΠΆΠ΄ΡΠΉ ΠΈΠ· ΡΠ΅ΡΡΡΠ΅Ρ ΡΠ΅ΡΠ΄Π΅ΡΠ½ΡΡ ΠΊΠ»Π°ΠΏΠ°Π½ΠΎΠ²?
ΠΠΎΠΊΡΠΎΡ ΠΠ°ΠΌΠ΅Π»Π°Ρ ΠΠΎΠ²ΠΎΡΠΈΡ: ΠΠ΅Π²ΠΎΡΡΠΎΡΠΎΠ½Π½ΠΈΠ΅ ΡΠ΅ΡΠ΄Π΅ΡΠ½ΡΠ΅ ΠΊΠ»Π°ΠΏΠ°Π½Ρ (Π°ΠΎΡΡΠ°Π»ΡΠ½ΡΠΉ ΠΈ ΠΌΠΈΡΡΠ°Π»ΡΠ½ΡΠΉ) ΠΎΠ±ΡΡΠ½ΠΎ ΠΊΠ°Π»ΡΡΠΈΡΠΈΡΠΈΡΡΡΡΡΡ. ΠΠΎΡΡΠ°Π»ΡΠ½ΡΠΉ ΠΊΠ»Π°ΠΏΠ°Π½, ΠΊΠΎΡΠΎΡΡΠΉ ΡΠ²Π»ΡΠ΅ΡΡΡ Π³Π»Π°Π²Π½ΡΠΌ ΠΊΠ»Π°ΠΏΠ°Π½ΠΎΠΌ ΠΈΠ»ΠΈ Β«ΠΏΠ΅ΡΠ΅Π΄Π½Π΅ΠΉ Π΄Π²Π΅ΡΡΡ ΡΠ΅ΡΠ΄ΡΠ°Β», ΡΠ΅Π³ΡΠ»ΠΈΡΡΠ΅Ρ Π²ΡΡ ΠΊΡΠΎΠ²Ρ, ΠΏΠΎΠΊΠΈΠ΄Π°ΡΡΡΡ ΡΠ΅ΡΠ΄ΡΠ΅, ΠΈ ΡΠ²Π»ΡΠ΅ΡΡΡ ΠΊΠ»Π°ΠΏΠ°Π½ΠΎΠΌ, ΠΊΠΎΡΠΎΡΡΠΉ ΠΊΠ°Π»ΡΡΠΈΡΠΈΡΠΈΡΡΠ΅ΡΡΡ Π½Π°ΠΈΠ±ΠΎΠ»Π΅Π΅ ΡΠ°ΡΡΠΎ. ΠΠ°Π»ΡΡΠΈΡΠΈΠΊΠ°ΡΠΈΡ ΠΏΡΠ°Π²ΡΡ ΡΠ΅ΡΠ΄Π΅ΡΠ½ΡΡ ΠΊΠ»Π°ΠΏΠ°Π½ΠΎΠ² (ΡΡΠ΅Ρ ΡΡΠ²ΠΎΡΡΠ°ΡΠΎΠ³ΠΎ ΠΈ Π»Π΅Π³ΠΎΡΠ½ΠΎΠ³ΠΎ) ΠΎΡΠ΅Π½Ρ Π½Π΅ΠΎΠ±ΡΡΠ½Π°, ΠΈ Π½Π΅ ΡΠΎΠ²ΡΠ΅ΠΌ ΠΏΠΎΠ½ΡΡΠ½ΠΎ, ΠΏΠΎΡΠ΅ΠΌΡ.
ΠΠΎΠ³Π΄Π° Π°ΠΎΡΡΠ°Π»ΡΠ½ΡΠΉ ΠΊΠ»Π°ΠΏΠ°Π½ ΠΊΠ°Π»ΡΡΠΈΠ½ΠΈΡΡΠ΅ΡΡΡ, ΡΡΠΎ Π²Π»ΠΈΡΠ΅Ρ ΠΊΠ°ΠΊ Π½Π° ΡΡΠ²ΠΎΡΠΊΠΈ ΠΊΠ»Π°ΠΏΠ°Π½Π° (Π΄Π²Π΅ΡΠΈ), ΡΠ°ΠΊ ΠΈ Π½Π° ΡΠΈΠ±ΡΠΎΠ·Π½ΠΎΠ΅ ΠΊΠΎΠ»ΡΡΠΎ (ΠΊΠΎΠ»ΡΡΠΎ, Π½Π° ΠΊΠΎΡΠΎΡΠΎΠΌ Π½Π°Ρ ΠΎΠ΄ΠΈΡΡΡ ΠΊΠ»Π°ΠΏΠ°Π½).ΠΠΎΠ³Π΄Π° ΠΌΠΈΡΡΠ°Π»ΡΠ½ΡΠΉ ΠΊΠ»Π°ΠΏΠ°Π½ ΠΊΠ°Π»ΡΡΠΈΡΠΈΡΠΈΡΡΠ΅ΡΡΡ, ΡΡΠΎ Π² ΠΎΡΠ½ΠΎΠ²Π½ΠΎΠΌ Π²Π»ΠΈΡΠ΅Ρ Π½Π° ΡΠΈΠ±ΡΠΎΠ·Π½ΠΎΠ΅ ΠΊΠΎΠ»ΡΡΠΎ (ΠΊΠΎΠ»ΡΡΠΎ), Π½ΠΎ ΡΠ°ΠΊΠΆΠ΅ ΠΌΠΎΠΆΠ΅Ρ ΠΏΠΎΡΠ°ΠΆΠ°ΡΡ ΡΡΠ²ΠΎΡΠΊΠΈ. ΠΠ°ΠΈΠ±ΠΎΠ»Π΅Π΅ ΡΠ°ΡΡΡΠΌ Π·Π°Π±ΠΎΠ»Π΅Π²Π°Π½ΠΈΠ΅ΠΌ, Π²ΡΠ·ΡΠ²Π°ΡΡΠΈΠΌ ΠΊΠ°Π»ΡΡΠΈΡΠΈΠΊΠ°ΡΠΈΡ ΠΌΠΈΡΡΠ°Π»ΡΠ½ΠΎΠ³ΠΎ ΠΊΠ»Π°ΠΏΠ°Π½Π°, ΡΠ²Π»ΡΠ΅ΡΡΡ ΡΠ΅Π²ΠΌΠ°ΡΠΈΡΠ΅ΡΠΊΠ°Ρ Π±ΠΎΠ»Π΅Π·Π½Ρ ΠΊΠ»Π°ΠΏΠ°Π½Π°. ΠΠ±ΡΡΠ½ΠΎ ΡΡΠΎ ΠΏΡΠΎΠΈΡΡ ΠΎΠ΄ΠΈΡ, ΠΊΠΎΠ³Π΄Π° ΡΡΡΠ΅ΠΏΡΠΎΠΊΠΎΠΊΠΊΠΎΠ²Π°Ρ ΠΈΠ½ΡΠ΅ΠΊΡΠΈΡ Π³ΠΎΡΠ»Π° ΠΏΠΎΡΠ°ΠΆΠ°Π΅Ρ ΠΊΠ»Π°ΠΏΠ°Π½ Π² ΠΌΠΎΠ»ΠΎΠ΄ΠΎΡΡΠΈ, Π½ΠΎ Π½Π΅ ΠΏΡΠΎΡΠ²Π»ΡΠ΅ΡΡΡ Π΄ΠΎ ΠΏΠΎΠ΄ΡΠΎΡΡΠΊΠΎΠ²ΠΎΠ³ΠΎ ΠΈΠ»ΠΈ Π²Π·ΡΠΎΡΠ»ΠΎΠ³ΠΎ Π²ΠΎΠ·ΡΠ°ΡΡΠ°.
ΠΠ°Π»ΡΡΠΈΡΠΈΡΠΈΡΠΎΠ²Π°Π½Π½ΡΠΉ ΠΌΠΈΡΡΠ°Π»ΡΠ½ΡΠΉ ΠΊΠ»Π°ΠΏΠ°Π½
Π-Ρ ΠΠΎΡΠ³Π΅Ρ ΠΠΎΠ²ΠΎΡΠΈΡ: ΠΡΠ»ΠΎΠΆΠ΅Π½ΠΈΡ ΠΊΠ°Π»ΡΡΠΈΡ ΡΠ°ΡΠ΅ ΠΎΠ±Π½Π°ΡΡΠΆΠΈΠ²Π°ΡΡΡΡ Π² ΠΎΠ±Π»Π°ΡΡΡΡ ΡΡΡΠ±ΡΠ»Π΅Π½ΡΠ½ΠΎΠ³ΠΎ ΠΊΡΠΎΠ²ΠΎΡΠΎΠΊΠ°, ΠΊΠΎΡΠΎΡΡΠΉ ΡΠ°ΡΠ΅ ΠΎΠ±Π½Π°ΡΡΠΆΠΈΠ²Π°Π΅ΡΡΡ Π½Π° Π°ΠΎΡΡΠ°Π»ΡΠ½ΠΎΠΌ ΠΊΠ»Π°ΠΏΠ°Π½Π΅, ΡΠ°ΡΠΏΠΎΠ»ΠΎΠΆΠ΅Π½Π½ΠΎΠΌ ΠΌΠ΅ΠΆΠ΄Ρ Π»Π΅Π²ΡΠΌ ΠΆΠ΅Π»ΡΠ΄ΠΎΡΠΊΠΎΠΌ ΠΈ Π°ΠΎΡΡΠΎΠΉ.ΠΠ²ΡΡΡΠ²ΠΎΡΡΠ°ΡΡΠ΅ Π°ΠΎΡΡΠ°Π»ΡΠ½ΡΠ΅ ΠΊΠ»Π°ΠΏΠ°Π½Ρ (BAV) ΠΈ Π΄ΡΡΠ³ΠΈΠ΅ ΠΊΠ»Π°ΠΏΠ°Π½Π½ΡΠ΅ Π°Π½ΠΎΠΌΠ°Π»ΠΈΠΈ ΠΏΡΠΈΠ²ΠΎΠ΄ΡΡ ΠΊ ΠΎΡΠΎΠ±Π΅Π½Π½ΠΎ ΡΡΡΠ±ΡΠ»Π΅Π½ΡΠ½ΠΎΠΌΡ ΠΊΡΠΎΠ²ΠΎΡΠΎΠΊΡ, ΠΏΠΎΡΡΠΎΠΌΡ Ρ ΡΡΠΈΡ ΠΏΠ°ΡΠΈΠ΅Π½ΡΠΎΠ² ΠΊΠ°Π»ΡΡΠΈΡΠΈΠΊΠ°ΡΠΈΡ ΠΊΠ»Π°ΠΏΠ°Π½Π° Π²ΠΎΠ·Π½ΠΈΠΊΠ°Π΅Ρ Π² Π³ΠΎΡΠ°Π·Π΄ΠΎ Π±ΠΎΠ»Π΅Π΅ ΡΠ°Π½Π½Π΅ΠΌ Π²ΠΎΠ·ΡΠ°ΡΡΠ΅. ΠΠ°Π±ΠΎΠ»Π΅Π²Π°Π½ΠΈΠ΅ ΠΠΠ ΡΠ²Π»ΡΠ΅ΡΡΡ Π½Π°ΠΈΠ±ΠΎΠ»Π΅Π΅ ΡΠ°ΡΡΠΎΠΉ Π²ΡΠΎΠΆΠ΄Π΅Π½Π½ΠΎΠΉ Π°Π½ΠΎΠΌΠ°Π»ΠΈΠ΅ΠΉ ΡΠ΅ΡΠ΄ΡΠ°, Π²ΡΡΡΠ΅ΡΠ°ΡΡΠ΅ΠΉΡΡ Ρ 1-2% Π½Π°ΡΠ΅Π»Π΅Π½ΠΈΡ Π² ΡΠ΅Π»ΠΎΠΌ.
4. ΠΠ°ΠΊ ΠΊΠ°Π»ΡΡΠΈΠ½ΠΈΡΠΎΠ²Π°Π½Π½ΡΠΉ ΠΊΠ»Π°ΠΏΠ°Π½ ΡΠ΅ΡΠ΄ΡΠ° Π²Π»ΠΈΡΠ΅Ρ Π½Π° ΠΏΠ°ΡΠΈΠ΅Π½ΡΠΎΠ²?
Π-Ρ ΠΠΎΡΠ³Π΅Ρ Π³ΠΎΠ²ΠΎΡΠΈΡ: ΠΠΎΠ³Π΄Π° ΠΊΠ°Π»ΡΡΠΈΠ½ΠΎΠ· ΠΈ ΡΡΠ΅Π½ΠΎΠ· ΠΊΠ»Π°ΠΏΠ°Π½Π° ΡΡΠ°Π½ΠΎΠ²ΡΡΡΡ ΡΠ΅ΡΡΠ΅Π·Π½ΡΠΌΠΈ, Ρ ΠΏΠ°ΡΠΈΠ΅Π½ΡΠΎΠ² ΡΠ°Π·Π²ΠΈΠ²Π°Π΅ΡΡΡ ΠΎΠ΄ΡΡΠΊΠ° ΠΏΡΠΈ ΡΠΈΠ·ΠΈΡΠ΅ΡΠΊΠΎΠΉ Π½Π°Π³ΡΡΠ·ΠΊΠ΅.ΠΡΡΠ³ΠΈΠ΅ ΠΎΠ±ΡΠΈΠ΅ ΡΠΈΠΌΠΏΡΠΎΠΌΡ — Π³ΠΎΠ»ΠΎΠ²ΠΎΠΊΡΡΠΆΠ΅Π½ΠΈΠ΅ ΠΈ Π±ΠΎΠ»Ρ Π² Π³ΡΡΠ΄ΠΈ.
Π-Ρ ΠΠ°ΠΌΠ΅Π»Π°Ρ Π³ΠΎΠ²ΠΎΡΠΈΡ: Π£ ΠΏΠ°ΡΠΈΠ΅Π½ΡΠΎΠ² Ρ Π΄Π°Π²Π½Π΅ΠΉ ΠΊΠ°Π»ΡΡΠΈΡΠΈΠΊΠ°ΡΠΈΠ΅ΠΉ ΡΠ΅ΡΠ΄Π΅ΡΠ½ΡΡ ΠΊΠ»Π°ΠΏΠ°Π½ΠΎΠ² ΠΌΠΎΠΆΠ΅Ρ ΡΠ°ΠΊΠΆΠ΅ ΡΠ°Π·Π²ΠΈΡΡΡΡ ΡΠ²Π΅Π»ΠΈΡΠ΅Π½ΠΈΠ΅ ΡΠ΅ΡΠ΄ΡΠ°, Π° ΡΠ°ΠΊΠΆΠ΅ ΡΡΠΎΠ»ΡΠ΅Π½ΠΈΠ΅ ΡΠ΅ΡΠ΄Π΅ΡΠ½ΠΎΠΉ ΠΌΡΡΡΡ. Π ΠΎΡΠ»ΠΈΡΠΈΠ΅ ΠΎΡ ΡΠΊΠ΅Π»Π΅ΡΠ½ΡΡ ΠΌΡΡΡ Π² ΠΎΡΡΠ°Π»ΡΠ½ΠΎΠΉ ΡΠ°ΡΡΠΈ Π½Π°ΡΠ΅Π³ΠΎ ΡΠ΅Π»Π° ΡΠ²Π΅Π»ΠΈΡΠ΅Π½ΠΈΠ΅ ΠΈΠ»ΠΈ ΡΡΠΎΠ»ΡΠ΅Π½ΠΈΠ΅ ΡΠ΅ΡΠ΄Π΅ΡΠ½ΠΎΠΉ ΠΌΡΡΡΡ Π½Π΅Π³Π°ΡΠΈΠ²Π½ΠΎ Π²Π»ΠΈΡΠ΅Ρ Π½Π° ΡΠ΅ΡΠ΄ΡΠ΅. ΠΡΠ΅ ΡΡΠΈ ΠΏΠΎΡΠ»Π΅Π΄ΡΡΠ²ΠΈΡ ΠΎΠ³ΡΠ°Π½ΠΈΡΠΈΠ²Π°ΡΡ ΠΊΠ°ΡΠ΅ΡΡΠ²ΠΎ ΠΆΠΈΠ·Π½ΠΈ ΠΏΠ°ΡΠΈΠ΅Π½ΡΠ°, Π° ΡΠ°ΠΊΠΆΠ΅ Π΅Π³ΠΎ Π΄ΠΎΠ»Π³ΠΎΡΡΠΎΡΠ½ΠΎΠ΅ Π²ΡΠΆΠΈΠ²Π°Π½ΠΈΠ΅.
ΠΠΎΠΊΡΠΎΡ ΠΠΎΡΠ³Π΅Ρ Π³ΠΎΠ²ΠΎΡΠΈΡ: Π ΡΠ΅Π΄ΠΊΠΈΡ ΡΠ»ΡΡΠ°ΡΡ ΠΏΠ°ΡΠΈΠ΅Π½ΡΡ Ρ ΡΡΠΆΠ΅Π»ΡΠΌ ΡΡΠ΅Π½ΠΎΠ·ΠΎΠΌ Π°ΠΎΡΡΠ°Π»ΡΠ½ΠΎΠ³ΠΎ ΠΊΠ»Π°ΠΏΠ°Π½Π° ΠΌΠΎΠ³ΡΡ ΡΡΡΠ°Π΄Π°ΡΡ ΠΎΡ ΠΎΡΡΠ°Π½ΠΎΠ²ΠΊΠΈ ΡΠ΅ΡΠ΄ΡΠ° ΠΈΠ»ΠΈ Π²Π½Π΅Π·Π°ΠΏΠ½ΠΎΠΉ ΡΠΌΠ΅ΡΡΠΈ.ΠΠ΄Π½Π°ΠΊΠΎ Π²Π΅ΡΠΎΡΡΠ½ΠΎΡΡΡ ΡΡΠΎΠ³ΠΎ ΠΎΡΠ΅Π½Ρ ΠΌΠ°Π»Π° Ρ ΠΏΠ°ΡΠΈΠ΅Π½ΡΠΎΠ², Ρ ΠΊΠΎΡΠΎΡΡΡ Π΅ΡΠ΅ Π½Π΅ ΠΏΠΎΡΠ²ΠΈΠ»ΠΈΡΡ ΡΠΈΠΌΠΏΡΠΎΠΌΡ. Π’Π°ΠΊΠΈΠ΅ ΡΠΈΠΌΠΏΡΠΎΠΌΡ ΠΎΠ±ΡΡΠ½ΠΎ Π±ΡΡΡΡΠΎ ΠΏΡΠΎΡ ΠΎΠ΄ΡΡ ΠΏΠΎΡΠ»Π΅ ΠΎΠΏΠ΅ΡΠ°ΡΠΈΠΈ ΠΏΠΎ Π·Π°ΠΌΠ΅Π½Π΅ ΠΊΠ»Π°ΠΏΠ°Π½Π°.
5. ΠΠ°ΠΊ Π»Π΅ΡΠ°Ρ ΠΊΠ°Π»ΡΡΠΈΠ½ΠΈΡΠΎΠ²Π°Π½Π½ΡΠ΅ ΡΠ΅ΡΠ΄Π΅ΡΠ½ΡΠ΅ ΠΊΠ»Π°ΠΏΠ°Π½Ρ?
ΠΠΎΠΊΡΠΎΡ ΠΠ°ΠΌΠ΅Π»Π°Ρ Π³ΠΎΠ²ΠΎΡΠΈΡ: ΠΠ°ΠΌΠ΅Π½Π° ΠΊΠ»Π°ΠΏΠ°Π½Π° ΠΏΠΎΠΊΠ°Π·Π°Π½Π° ΠΏΠ°ΡΠΈΠ΅Π½ΡΠ°ΠΌ, Ρ ΠΊΠΎΡΠΎΡΡΡ ΠΊΠ°Π»ΡΡΠΈΠΉ Π½Π° ΠΊΠ»Π°ΠΏΠ°Π½Π΅ ΠΏΡΠΎΠ³ΡΠ΅ΡΡΠΈΡΡΠ΅Ρ Π΄ΠΎ ΡΠΎΡΠΊΠΈ, Π³Π΄Π΅ Π΅Π³ΠΎ ΡΡΠ½ΠΊΡΠΈΡ Π½Π°ΡΡΡΠ°Π΅ΡΡΡ ΠΈ Π² ΠΊΠΎΠ½Π΅ΡΠ½ΠΎΠΌ ΠΈΡΠΎΠ³Π΅ Π²ΡΠ·ΡΠ²Π°Π΅Ρ ΡΠΈΠΌΠΏΡΠΎΠΌΡ. ΠΡΡΡ 2 Π±ΠΎΠ»ΡΡΠΈΠ΅ ΠΊΠ°ΡΠ΅Π³ΠΎΡΠΈΠΈ ΡΠΌΠ΅Π½Π½ΡΡ ΠΊΠ»Π°ΠΏΠ°Π½ΠΎΠ² — ΠΌΠ΅Ρ Π°Π½ΠΈΡΠ΅ΡΠΊΠΈΠ΅ ΠΈ Π±ΠΈΠΎΠΏΡΠΎΡΠ΅Π·Π½ΡΠ΅.ΠΠ΅Ρ Π°Π½ΠΈΡΠ΅ΡΠΊΠΈΠ΅ Π·Π°ΠΌΠ΅Π½Ρ ΡΠ΅ΡΠ΄Π΅ΡΠ½ΠΎΠ³ΠΎ ΠΊΠ»Π°ΠΏΠ°Π½Π° ΠΎΠ±ΡΡΠ½ΠΎ ΠΈΠ·Π³ΠΎΡΠ°Π²Π»ΠΈΠ²Π°ΡΡΡΡ ΠΈΠ· ΠΌΠ΅ΡΠ°Π»Π»ΠΈΡΠ΅ΡΠΊΠΎΠ³ΠΎ ΠΌΠ°ΡΠ΅ΡΠΈΠ°Π»Π°. ΠΠΈΠΎΠΏΡΠΎΡΠ΅Π·Ρ ΠΊΠ»Π°ΠΏΠ°Π½ΠΎΠ² ΡΠ΅ΡΠ΄ΡΠ° ΠΈΠ·Π³ΠΎΡΠ°Π²Π»ΠΈΠ²Π°ΡΡΡΡ ΠΈΠ· ΡΠΊΠ°Π½Π΅ΠΉ ΠΆΠΈΠ²ΠΎΡΠ½ΡΡ , ΠΊΠΎΡΠΎΠ²Ρ ΠΈΠ»ΠΈ ΡΠ²ΠΈΠ½ΡΠΈ.
ΠΠ΅Ρ Π°Π½ΠΈΡΠ΅ΡΠΊΠΈΠ΅ (ΡΠ»Π΅Π²Π°) ΠΈ Π±ΠΈΠΎΠΏΡΠΎΡΠ΅Π·Π½ΡΠ΅ (ΡΠΏΡΠ°Π²Π°) ΠΊΠ»Π°ΠΏΠ°Π½Ρ ΡΠ΅ΡΠ΄ΡΠ°
ΠΠ»Π°ΠΏΠ°Π½Ρ ΡΠ΅ΡΠ΄ΡΠ° ΠΌΠΎΠ³ΡΡ Π±ΡΡΡ Π·Π°ΠΌΠ΅Π½Π΅Π½Ρ Ρ ΠΈΡΡΡΠ³ΠΈΡΠ΅ΡΠΊΠΈΠΌ Π΄ΠΎΡΡΡΠΏΠΎΠΌ, ΠΊΠΎΡΠΎΡΡΠΉ ΠΌΠΎΠΆΠ΅Ρ Π±ΡΡΡ Π²ΡΠΏΠΎΠ»Π½Π΅Π½ ΠΎΠ±ΡΡΠ½ΡΠΌ ΡΠΏΠΎΡΠΎΠ±ΠΎΠΌ ΠΏΡΡΠ΅ΠΌ Π²ΡΠΊΡΡΡΠΈΡ Π³ΡΡΠ΄ΠΈΠ½Ρ (Π³ΡΡΠ΄Π½ΠΎΠΉ ΠΊΠΎΡΡΠΈ) ΠΈΠ»ΠΈ ΠΌΠΈΠ½ΠΈΠΌΠ°Π»ΡΠ½ΠΎ ΠΈΠ½Π²Π°Π·ΠΈΠ²Π½ΡΠΌ ΠΏΠΎΠ΄Ρ ΠΎΠ΄ΠΎΠΌ ΡΠ΅ΡΠ΅Π· Π½Π΅Π±ΠΎΠ»ΡΡΠΎΠΉ ΡΠ°Π·ΡΠ΅Π· ΡΠ±ΠΎΠΊΡ Π³ΡΡΠ΄Π½ΠΎΠΉ ΠΊΠ»Π΅ΡΠΊΠΈ.Π ΠΎΠ±Π΅ΠΈΡ ΡΡΠΈΡ ΠΏΡΠΎΡΠ΅Π΄ΡΡΠ°Ρ ΠΊΠ°ΠΌΠ΅ΡΠ° ΡΠ΅ΡΠ΄ΡΠ° ΠΎΡΠΊΡΡΠ²Π°Π΅ΡΡΡ, ΠΏΠΎΡΠ°ΠΆΠ΅Π½Π½ΡΠΉ ΠΊΠ»Π°ΠΏΠ°Π½ ΠΏΠΎΠ»Π½ΠΎΡΡΡΡ ΡΠ΄Π°Π»ΡΠ΅ΡΡΡ ΠΈ ΠΈΠΌΠΏΠ»Π°Π½ΡΠΈΡΡΠ΅ΡΡΡ Π½ΠΎΠ²ΡΠΉ ΠΊΠ»Π°ΠΏΠ°Π½.
ΠΡΡΠ³ΠΎΠΉ Π²Π°ΡΠΈΠ°Π½Ρ, Π΄ΠΎΡΡΡΠΏΠ½ΡΠΉ Π² Π½Π°ΡΡΠΎΡΡΠ΅Π΅ Π²ΡΠ΅ΠΌΡ Π½Π΅ΠΊΠΎΡΠΎΡΡΠΌ ΠΏΠ°ΡΠΈΠ΅Π½ΡΠ°ΠΌ ΡΠΎ ΡΡΠ΅Π½ΠΎΠ·ΠΎΠΌ Π°ΠΎΡΡΠ°Π»ΡΠ½ΠΎΠ³ΠΎ ΠΊΠ»Π°ΠΏΠ°Π½Π°, — ΡΡΠΎ ΡΡΠ°Π½ΡΠΊΠ°ΡΠ΅ΡΠ΅ΡΠ½Π°Ρ Π·Π°ΠΌΠ΅Π½Π° Π°ΠΎΡΡΠ°Π»ΡΠ½ΠΎΠ³ΠΎ ΠΊΠ»Π°ΠΏΠ°Π½Π° (TAVR). Π ΡΡΠΈΡ ΠΏΡΠΎΡΠ΅Π΄ΡΡΠ°Ρ ΠΊΠ»Π°ΠΏΠ°Π½ ΡΠ°ΡΠ΅ Π²ΡΠ΅Π³ΠΎ Π²Π²ΠΎΠ΄ΠΈΡΡΡ Π² ΠΏΠΎΡΠ°ΠΆΠ΅Π½Π½ΡΠΉ Π°ΠΎΡΡΠ°Π»ΡΠ½ΡΠΉ ΠΊΠ»Π°ΠΏΠ°Π½ ΠΏΠ°ΡΠΈΠ΅Π½ΡΠ° ΡΠ΅ΡΠ΅Π· Π°ΡΡΠ΅ΡΠΈΡ Π² Π½ΠΎΠ³Π΅ ΠΈΠ»ΠΈ ΡΡΠΊΠ΅. ΠΠΎΡΠ°ΠΆΠ΅Π½Π½ΡΠΉ ΠΊΠ»Π°ΠΏΠ°Π½ Π½Π΅ ΡΠ΄Π°Π»ΡΠ΅ΡΡΡ, ΠΈ ΠΏΠ°ΡΠΈΠ΅Π½ΡΠ° Π½Π΅ Π½ΡΠΆΠ½ΠΎ ΠΏΠΎΠΌΠ΅ΡΠ°ΡΡ Π½Π° Π°ΠΏΠΏΠ°ΡΠ°Ρ ΠΈΡΠΊΡΡΡΡΠ²Π΅Π½Π½ΠΎΠ³ΠΎ ΠΊΡΠΎΠ²ΠΎΠΎΠ±ΡΠ°ΡΠ΅Π½ΠΈΡ.
Π’ΡΠ°Π½ΡΠΊΠ°ΡΠ΅ΡΠ΅ΡΠ½Π°Ρ Π·Π°ΠΌΠ΅Π½Π° Π°ΠΎΡΡΠ°Π»ΡΠ½ΠΎΠ³ΠΎ ΠΊΠ»Π°ΠΏΠ°Π½Π°
ΠΠΎΠΊΡΠΎΡ ΠΠΎΡΠ³Π΅Ρ Π³ΠΎΠ²ΠΎΡΠΈΡ: ΠΠΎΠΆΠΈΠ»ΡΠ΅ ΠΏΠ°ΡΠΈΠ΅Π½ΡΡ Ρ Π²ΡΡΠΎΠΊΠΈΠΌ ΡΠΈΡΠΊΠΎΠΌ ΡΡΠ΅Π½ΠΎΠ·Π° Π°ΠΎΡΡΡ Π² Π½Π°ΡΡΠΎΡΡΠ΅Π΅ Π²ΡΠ΅ΠΌΡ ΠΏΡΠΎΡ ΠΎΠ΄ΡΡ Π»Π΅ΡΠ΅Π½ΠΈΠ΅ Ρ ΠΏΠΎΠΌΠΎΡΡΡ ΡΡΠ°Π½ΡΠΊΠ°ΡΠ΅ΡΠ΅ΡΠ½ΠΎΠΉ Π·Π°ΠΌΠ΅Π½Ρ Π°ΠΎΡΡΠ°Π»ΡΠ½ΠΎΠ³ΠΎ ΠΊΠ»Π°ΠΏΠ°Π½Π° (TAVR), ΡΠ΅Π²ΠΎΠ»ΡΡΠΈΠΎΠ½Π½ΠΎΠΉ ΠΏΡΠΎΡΠ΅Π΄ΡΡΡ, ΠΊΠΎΡΠΎΡΠ°Ρ ΠΎΠ±ΡΡΠ½ΠΎ Π²ΡΠΏΠΎΠ»Π½ΡΠ΅ΡΡΡ ΡΠ΅ΡΠ΅Π· ΠΏΠ°Ρ ΠΈ Π±Π΅Π· ΠΈΡΠΏΠΎΠ»ΡΠ·ΠΎΠ²Π°Π½ΠΈΡ ΠΈΡΠΊΡΡΡΡΠ²Π΅Π½Π½ΠΎΠ³ΠΎ ΠΊΡΠΎΠ²ΠΎΠΎΠ±ΡΠ°ΡΠ΅Π½ΠΈΡ.
6. ΠΠΎΠΆΠ΅Ρ Π»ΠΈ ΠΊΠ°Π»ΡΡΠΈΠ½ΠΈΡΠΎΠ²Π°Π½Π½ΡΠΉ ΠΊΠ»Π°ΠΏΠ°Π½ ΡΠ½ΠΎΠ²Π° ΡΡΠ°ΡΡ ΠΊΠ°Π»ΡΡΠΈΠ½ΠΈΡΠΎΠ²Π°Π½Π½ΡΠΌ?
ΠΠΎΠΊΡΠΎΡ ΠΠ°ΠΌΠ΅Π»Π°Ρ ΠΠΎΠ²ΠΎΡΠΈΡ: ΠΠ°. ΠΠΈΠΎΠΏΡΠΎΡΠ΅Π·Π½ΡΠ΅ ΠΊΠ»Π°ΠΏΠ°Π½Ρ, ΠΊΠΎΡΠΎΡΡΠ΅ ΠΈΠΌΠΏΠ»Π°Π½ΡΠΈΡΡΡΡΡΡ ΠΌΠΎΠ»ΠΎΠ΄ΡΠΌ ΠΏΠ°ΡΠΈΠ΅Π½ΡΠ°ΠΌ, Π° ΡΠ°ΠΊΠΆΠ΅ ΡΠ΅ΠΌ, ΠΊΡΠΎ Π½Π°Ρ ΠΎΠ΄ΠΈΡΡΡ Π½Π° Π΄ΠΈΠ°Π»ΠΈΠ·Π΅, ΠΈΠΌΠ΅ΡΡ Π±ΠΎΠ»ΡΡΠ΅ ΡΠ°Π½ΡΠΎΠ² Π½Π° Π±ΠΎΠ»Π΅Π΅ ΡΠ°Π½Π½ΡΡ ΠΊΠ°Π»ΡΡΠΈΡΠΈΠΊΠ°ΡΠΈΡ.ΠΡΡΠ΅ΡΡΠ²Π΅Π½Π½Π°Ρ Π½Π°Π³ΡΡΠ·ΠΊΠ° Π½Π° ΠΊΠ»Π°ΠΏΠ°Π½ Π² ΡΠ΅Π·ΡΠ»ΡΡΠ°ΡΠ΅ ΠΈΠ·Π½ΠΎΡΠ° ΠΌΠΎΠΆΠ΅Ρ ΡΠ°ΠΊΠΆΠ΅ ΠΏΡΠΈΠ²Π΅ΡΡΠΈ ΠΊ ΠΊΠ°Π»ΡΡΠΈΡΠΈΠΊΠ°ΡΠΈΠΈ ΠΈ Π΄Π΅Π³Π΅Π½Π΅ΡΠ°ΡΠΈΠΈ ΠΈΡΠΊΡΡΡΡΠ²Π΅Π½Π½ΠΎΠ³ΠΎ ΠΊΠ»Π°ΠΏΠ°Π½Π°. ΠΠΈΠΊΡΠΎ ΡΠΎΡΠ½ΠΎ Π½Π΅ Π·Π½Π°Π΅Ρ, ΠΏΠΎΡΠ΅ΠΌΡ ΡΡΠΈ ΠΊΠ»Π°ΠΏΠ°Π½Ρ ΠΊΠ°Π»ΡΡΠΈΡΠΈΡΠΈΡΡΡΡΡΡ, Π½ΠΎ ΡΡΡΠ΅ΡΡΠ²ΡΡΡ 2 ΡΠ΅ΠΎΡΠΈΠΈ. ΠΠ΄ΠΈΠ½ ΠΈΠ· Π½ΠΈΡ ΡΠ²ΡΠ·Π°Π½ Ρ ΡΠ΅ΠΌ, ΠΊΠ°ΠΊ ΠΊΠ»Π°ΠΏΠ°Π½Ρ ΠΎΠ±ΡΠ°Π±Π°ΡΡΠ²Π°ΡΡΡΡ ΠΈΠ»ΠΈ ΠΊΠΎΠ½ΡΠ΅ΡΠ²ΠΈΡΡΡΡΡΡ Ρ ΠΈΠΌΠΈΡΠ΅ΡΠΊΠΈΠΌ Π²Π΅ΡΠ΅ΡΡΠ²ΠΎΠΌ, Π½Π°Π·ΡΠ²Π°Π΅ΠΌΡΠΌ Π³Π»ΡΡΠ°ΡΠΎΠ²ΡΠΌ Π°Π»ΡΠ΄Π΅Π³ΠΈΠ΄ΠΎΠΌ, ΠΊΠΎΡΠΎΡΡΠΉ ΠΏΡΠΈΡΡΠ³ΠΈΠ²Π°Π΅Ρ ΠΊΠ°Π»ΡΡΠΈΠΉ. ΠΡΡΠ³ΠΎΠΉ ΠΌΠΎΠΆΠ΅Ρ Π±ΡΡΡ ΠΈΠΌΠΌΡΠ½Π½Π°Ρ ΡΠ΅Π°ΠΊΡΠΈΡ ΠΎΡΠ³Π°Π½ΠΈΠ·ΠΌΠ° Π½Π° ΠΈΡΠΊΡΡΡΡΠ²Π΅Π½Π½ΡΠΉ ΠΊΠ»Π°ΠΏΠ°Π½ ΠΆΠΈΠ²ΠΎΡΠ½ΠΎΠ³ΠΎ. Π‘ Π΄ΡΡΠ³ΠΎΠΉ ΡΡΠΎΡΠΎΠ½Ρ, ΠΌΠ΅ΡΠ°Π»Π»ΠΈΡΠ΅ΡΠΊΠΈΠ΅ ΠΈΠ»ΠΈ ΠΌΠ΅Ρ Π°Π½ΠΈΡΠ΅ΡΠΊΠΈΠ΅ ΠΊΠ»Π°ΠΏΠ°Π½Ρ Π½Π΅ ΠΊΠ°Π»ΡΡΠΈΡΠΈΡΠΈΡΡΡΡΡΡ, Π½ΠΎ ΠΎΠ½ΠΈ ΠΌΠΎΠ³ΡΡ Π²ΡΠΉΡΠΈ ΠΈΠ· ΡΡΡΠΎΡ, ΠΊΠΎΠ³Π΄Π° Π΄Π²Π΅ΡΠΈ ΠΊΠ»Π°ΠΏΠ°Π½Π° Π±ΡΠ΄ΡΡ ΠΏΠΎΠ²ΡΠ΅ΠΆΠ΄Π΅Π½Ρ, ΠΎΠ³ΡΠ°Π½ΠΈΡΠΈΠ²Π°Ρ Π΅Π³ΠΎ ΠΎΡΠΊΡΡΡΠΈΠ΅ ΠΈ Π·Π°ΠΊΡΡΡΠΈΠ΅.ΠΡΠΎ ΠΌΠΎΠΆΠ΅Ρ ΠΏΡΠΎΠΈΠ·ΠΎΠΉΡΠΈ, ΠΊΠΎΠ³Π΄Π° Π½Π° ΠΊΠ»Π°ΠΏΠ°Π½Π΅ ΠΎΠ±ΡΠ°Π·ΡΡΡΡΡ ΡΠ³ΡΡΡΠΊΠΈ ΠΈΠ»ΠΈ ΠΊΠΎΠ³Π΄Π° ΠΏΠΎΠ΄ ΠΊΠ»Π°ΠΏΠ°Π½ΠΎΠΌ ΠΎΠ±ΡΠ°Π·ΡΠ΅ΡΡΡ ΡΠΎΠ»ΡΡΡΠΉ ΡΠ»ΠΎΠΉ ΡΠΊΠ°Π½ΠΈ (ΠΏΠ°Π½Π½ΡΡ).
7. ΠΡ ΡΠ»ΡΡΠ°Π»ΠΈ, ΡΡΠΎ Π½Π΅ΠΊΠΎΡΠΎΡΡΠ΅ ΠΈΠ· Π½ΠΎΠ²ΡΡ ΡΡΡΡΠΎΠΉΡΡΠ² Π΄Π»Ρ Π·Π°ΠΌΠ΅Π½Ρ ΡΠ΅ΡΠ΄Π΅ΡΠ½ΠΎΠ³ΠΎ ΠΊΠ»Π°ΠΏΠ°Π½Π° ΠΈΠΌΠ΅ΡΡ ΡΠ΅Ρ Π½ΠΎΠ»ΠΎΠ³ΠΈΠΈ Π·Π°ΡΠΈΡΡ ΠΎΡ ΠΊΠ°Π»ΡΡΠΈΡΠΈΠΊΠ°ΡΠΈΠΈ, Π½Π°ΠΏΡΠΈΠΌΠ΅Ρ Linx AC ΠΎΡ St. Jude Medical. ΠΡ ΠΌΠΎΠΆΠ΅ΡΠ΅ ΡΠ°ΡΡΠΊΠ°Π·Π°ΡΡ ΠΎΠ± ΡΡΠΈΡ ΡΠ΅Ρ Π½ΠΎΠ»ΠΎΠ³ΠΈΡΡ ? ΠΠ°ΠΊ ΠΎΠ½ΠΈ ΠΏΡΠ΅Π΄ΠΎΡΠ²ΡΠ°ΡΠ°ΡΡ ΠΊΠ°Π»ΡΡΠΈΡΠΈΠΊΠ°ΡΠΈΡ?
ΠΠΎΠΊΡΠΎΡ ΠΠΎΡΠ³Π΅Ρ ΠΠΎΠ²ΠΎΡΠΈΡ: ΠΠΎΡΡΠΈ Π²ΡΠ΅ Π±ΠΈΠΎΠ»ΠΎΠ³ΠΈΡΠ΅ΡΠΊΠΈΠ΅ ΠΊΠ»Π°ΠΏΠ°Π½Ρ Π½ΡΠ½Π΅ΡΠ½Π΅Π³ΠΎ ΠΏΠΎΠΊΠΎΠ»Π΅Π½ΠΈΡ ΠΈΠΌΠ΅ΡΡ ΡΡ ΠΈΠ»ΠΈ ΠΈΠ½ΡΡ ΡΠΎΡΠΌΡ ΠΏΡΠΎΡΠΈΠ²ΠΎΠΊΠ°Π»ΡΡΠΈΠ½ΠΎΠ·Π°.ΠΠΎΠ»ΡΡΠΈΠ½ΡΡΠ²ΠΎ ΠΈΠ· Π½ΠΈΡ , Π²ΠΊΠ»ΡΡΠ°Ρ Linx AC, ΠΏΡΠ΅Π΄ΠΎΡΠ²ΡΠ°ΡΠ°ΡΡ ΡΠ²ΡΠ·ΡΠ²Π°Π½ΠΈΠ΅ ΠΌΠΎΠ»Π΅ΠΊΡΠ» ΠΊΠ°Π»ΡΡΠΈΡ Ρ ΠΌΠΎΠ»Π΅ΠΊΡΠ»Π°ΠΌΠΈ ΠΆΠΈΡΠ° Π½Π° ΡΡΠ²ΠΎΡΠΊΠ°Ρ ΠΊΠ»Π°ΠΏΠ°Π½Π°. Π’Π°ΠΊΠΈΠ΅ ΠΌΠ΅ΡΠΎΠ΄Ρ Π»Π΅ΡΠ΅Π½ΠΈΡ ΠΊΠ°Π»ΡΡΠΈΡΠΈΠΊΠ°ΡΠΈΠΈ ΠΎΠΊΠ°Π·Π°Π»ΠΈΡΡ ΠΎΡΠ΅Π½Ρ ΡΡΡΠ΅ΠΊΡΠΈΠ²Π½ΡΠΌΠΈ ΠΏΡΠΈ Π»Π°Π±ΠΎΡΠ°ΡΠΎΡΠ½ΡΡ ΠΈΡΡΠ»Π΅Π΄ΠΎΠ²Π°Π½ΠΈΡΡ ΠΈ ΠΈΡΡΠ»Π΅Π΄ΠΎΠ²Π°Π½ΠΈΡΡ Π½Π° ΠΆΠΈΠ²ΠΎΡΠ½ΡΡ . ΠΠ΄Π½Π°ΠΊΠΎ Π΄ΠΎΠ»Π³ΠΎΡΡΠΎΡΠ½ΠΎΠ΅ Π½Π°Π±Π»ΡΠ΄Π΅Π½ΠΈΠ΅ Π·Π° ΠΏΠ°ΡΠΈΠ΅Π½ΡΠ°ΠΌΠΈ ΡΠ²Π»ΡΠ΅ΡΡΡ Π»ΡΡΡΠΈΠΌ Π΄ΠΎΠΊΠ°Π·Π°ΡΠ΅Π»ΡΡΡΠ²ΠΎΠΌ Π°Π½ΡΠΈΠΊΠ°Π»ΡΡΠΈΡΠΈΠΊΠ°ΡΠΈΠΎΠ½Π½ΠΎΠΉ ΡΡΡΠ΅ΠΊΡΠΈΠ²Π½ΠΎΡΡΠΈ. ΠΡΠΎ ΠΎΠ΄Π½Π° ΠΈΠ· ΠΏΡΠΈΡΠΈΠ½, ΠΏΠΎΡΠ΅ΠΌΡ Π°ΠΊΠ°Π΄Π΅ΠΌΠΈΡΠ΅ΡΠΊΠΈΠ΅ ΠΊΠ°ΡΠ΄ΠΈΠΎΡ ΠΈΡΡΡΠ³ΠΈΡΠ΅ΡΠΊΠΈΠ΅ ΡΠ΅Π½ΡΡΡ ΡΠ°ΠΊ Π·Π°ΠΈΠ½ΡΠ΅ΡΠ΅ΡΠΎΠ²Π°Π½Ρ Π² ΠΏΠΎΡΡΠΎΡΠ½Π½ΠΎΠΌ Π½Π°Π±Π»ΡΠ΄Π΅Π½ΠΈΠΈ Π·Π° ΠΏΠ°ΡΠΈΠ΅Π½ΡΠ°ΠΌΠΈ.
ΠΠΎΠΊΡΠΎΡ ΠΠ°ΠΌΠ΅Π»Π°Ρ Π³ΠΎΠ²ΠΎΡΠΈΡ: ΠΡΠ½ΠΎΠ²Π½Π°Ρ ΡΠ΅Π»Ρ Π²ΡΠ΅Ρ ΠΏΡΠΎΠΈΠ·Π²ΠΎΠ΄ΠΈΡΠ΅Π»Π΅ΠΉ Π±ΠΈΠΎΠΏΡΠΎΡΠ΅Π·Π½ΡΡ ΠΊΠ»Π°ΠΏΠ°Π½ΠΎΠ² — ΡΠ°Π·ΡΠ°Π±ΠΎΡΠ°ΡΡ ΠΊΠ»Π°ΠΏΠ°Π½, ΠΊΠΎΡΠΎΡΡΠΉ Π½Π΅ ΠΊΠ°Π»ΡΡΠΈΡΠΈΡΠΈΡΡΠ΅ΡΡΡ.ΠΠ°ΠΊ Ρ ΡΠΏΠΎΠΌΠΈΠ½Π°Π» ΡΠ°Π½Π΅Π΅, Π΄Π»Ρ Π»Π΅ΡΠ΅Π½ΠΈΡ ΡΡΠΈΡ ΠΊΠ»Π°ΠΏΠ°Π½ΠΎΠ² ΠΈΡΠΏΠΎΠ»ΡΠ·ΡΠ΅ΡΡΡ Ρ ΠΈΠΌΠΈΡΠ΅ΡΠΊΠΎΠ΅ Π²Π΅ΡΠ΅ΡΡΠ²ΠΎ, Π½Π°Π·ΡΠ²Π°Π΅ΠΌΠΎΠ΅ Π³Π»ΡΡΠ°ΡΠΎΠ²ΡΠΌ Π°Π»ΡΠ΄Π΅Π³ΠΈΠ΄ΠΎΠΌ. ΠΡΠΎ Ρ ΠΈΠΌΠΈΡΠ΅ΡΠΊΠΎΠ΅ Π²Π΅ΡΠ΅ΡΡΠ²ΠΎ ΠΏΠΎΠΌΠΎΠ³Π°Π΅Ρ ΡΡΠ΅ΡΠΈΠ»ΠΈΠ·ΠΎΠ²Π°ΡΡ ΠΊΠ»Π°ΠΏΠ°Π½, ΡΠ½ΠΈΠΆΠ°Π΅Ρ Π΅Π³ΠΎ ΠΈΠΌΠΌΡΠ½Π½ΡΡ ΡΠ΅Π°ΠΊΡΠΈΡ ΠΈ Π΄Π΅Π»Π°Π΅Ρ ΠΊΠ»Π°ΠΏΠ°Π½ Π±ΠΎΠ»Π΅Π΅ ΠΏΡΠΎΡΠ½ΡΠΌ. ΠΠ΅ΡΠΌΠΎΡΡΡ Π½Π° ΡΠ²ΠΎΠΈ ΠΏΡΠ΅ΠΈΠΌΡΡΠ΅ΡΡΠ²Π°, Π³Π»ΡΡΠ°ΡΠ°Π»ΡΠ΄Π΅Π³ΠΈΠ΄ Π΄Π΅ΠΉΡΡΠ²ΠΈΡΠ΅Π»ΡΠ½ΠΎ ΡΠΏΠΎΡΠΎΠ±ΡΡΠ²ΡΠ΅Ρ ΠΊΠ°Π»ΡΡΠΈΡΠΈΠΊΠ°ΡΠΈΠΈ ΠΊΠ»Π°ΠΏΠ°Π½Π°. ΠΠ½ΠΎΠ³ΠΈΠ΅ ΠΊΠΎΠΌΠΏΠ°Π½ΠΈΠΈ ΡΠ°Π±ΠΎΡΠ°ΡΡ Π½Π°Π΄ ΡΠ°Π·Π½ΡΠΌΠΈ ΡΠΏΠΎΡΠΎΠ±Π°ΠΌΠΈ ΠΎΠ³ΡΠ°Π½ΠΈΡΠ΅Π½ΠΈΡ ΡΡΠΎΠ³ΠΎ ΠΏΡΠΎΡΠ΅ΡΡΠ°. Π’Π΅Ρ Π½ΠΎΠ»ΠΎΠ³ΠΈΡ Linx — ΠΎΠ΄Π½Π° ΠΈΠ· Π½ΠΈΡ . ΠΠ½ Π·Π°ΠΊΠ»ΡΡΠ°Π΅ΡΡΡ Π² ΠΎΠ±ΡΠ°Π±ΠΎΡΠΊΠ΅ ΡΡΠΈΡ ΠΈΡΠΊΡΡΡΡΠ²Π΅Π½Π½ΡΡ ΠΊΠ»Π°ΠΏΠ°Π½ΠΎΠ² Ρ ΠΈΠΌΠΈΡΠ΅ΡΠΊΠΈΠΌΠΈ Π²Π΅ΡΠ΅ΡΡΠ²Π°ΠΌΠΈ, ΠΊΠΎΡΠΎΡΡΠ΅ ΡΠ½ΠΈΠΆΠ°ΡΡ Π²Π»ΠΈΡΠ½ΠΈΠ΅ Π³Π»ΡΡΠ°ΡΠ°Π»ΡΠ΄Π΅Π³ΠΈΠ΄Π° Π½Π° ΠΎΠ±ΡΠ°Π·ΠΎΠ²Π°Π½ΠΈΠ΅ ΠΊΠ°Π»ΡΡΠΈΡ, Π° ΡΠ°ΠΊΠΆΠ΅ ΡΠΌΠ΅Π½ΡΡΠ°ΡΡ ΠΊΠΎΠ»ΠΈΡΠ΅ΡΡΠ²ΠΎ Ρ ΠΎΠ»Π΅ΡΡΠ΅ΡΠΈΠ½Π° ΠΈ Π»ΠΈΠΏΠΈΠ΄ΠΎΠ², ΠΎΠ±ΡΠ°Π·ΡΡΡΠΈΡ ΡΡ Π½Π° ΠΊΠ»Π°ΠΏΠ°Π½Π°Ρ .
8. Π§ΡΠΎ Π΅ΡΠ΅, ΠΏΠΎ Π²Π°ΡΠ΅ΠΌΡ ΠΌΠ½Π΅Π½ΠΈΡ, ΠΏΠ°ΡΠΈΠ΅Π½ΡΡ Π΄ΠΎΠ»ΠΆΠ½Ρ Π·Π½Π°ΡΡ ΠΎ ΠΊΠ°Π»ΡΡΠΈΠ½ΠΈΡΠΎΠ²Π°Π½Π½ΡΡ ΡΠ΅ΡΠ΄Π΅ΡΠ½ΡΡ ΠΊΠ»Π°ΠΏΠ°Π½Π°Ρ ? ΠΠ°ΠΊΠΈΠ΅-Π½ΠΈΠ±ΡΠ΄Ρ ΡΠΎΠ²Π΅ΡΡ ΠΏΠΎ ΠΏΡΠ΅Π΄ΠΎΡΠ²ΡΠ°ΡΠ΅Π½ΠΈΡ ΠΊΠ°Π»ΡΡΠΈΡΠΈΠΊΠ°ΡΠΈΠΈ ΡΠ΅ΡΠ΄Π΅ΡΠ½ΠΎΠ³ΠΎ ΠΊΠ»Π°ΠΏΠ°Π½Π°?
ΠΠΎΠΊΡΠΎΡ ΠΠΎΡΠ³Π΅Ρ Π³ΠΎΠ²ΠΎΡΠΈΡ: ΠΠ°ΡΠΈΠ΅Π½ΡΡ ΡΠ°ΡΡΠΎ ΡΠΏΡΠ°ΡΠΈΠ²Π°ΡΡ: Β«Π§ΡΠΎ ΠΏΠ°ΡΠΈΠ΅Π½ΡΡ ΠΌΠΎΠ³ΡΡ ΡΠ΄Π΅Π»Π°ΡΡ, ΡΡΠΎΠ±Ρ ΠΏΡΠ΅Π΄ΠΎΡΠ²ΡΠ°ΡΠΈΡΡ ΠΊΠ°Π»ΡΡΠΈΡΠΈΠΊΠ°ΡΠΈΡ ΡΠ΅ΡΠ΄Π΅ΡΠ½ΠΎΠ³ΠΎ ΠΊΠ»Π°ΠΏΠ°Π½Π°?Β» Π ΡΠΎΠΆΠ°Π»Π΅Π½ΠΈΡ, Π½Π΅ ΡΡΡΠ΅ΡΡΠ²ΡΠ΅Ρ ΠΈΠ·Π²Π΅ΡΡΠ½ΠΎΠ³ΠΎ ΠΌΠ΅ΡΠΎΠ΄Π°, Ρ ΠΏΠΎΠΌΠΎΡΡΡ ΠΊΠΎΡΠΎΡΠΎΠ³ΠΎ ΠΌΠΎΠΆΠ½ΠΎ Π·Π°ΠΌΠ΅Π΄Π»ΠΈΡΡ ΠΏΡΠΎΡΠ΅ΡΡ ΠΊΠ°Π»ΡΡΠΈΡΠΈΠΊΠ°ΡΠΈΠΈ ΡΠ΅ΡΠ΄Π΅ΡΠ½ΡΡ ΠΊΠ»Π°ΠΏΠ°Π½ΠΎΠ². ΠΠ΄Π½Π°ΠΊΠΎ ΠΏΠΎΡΠ»Π΅ ΡΠΎΠ³ΠΎ, ΠΊΠ°ΠΊ ΠΏΡΠΎΠ±Π»Π΅ΠΌΠ° Π±ΡΠ΄Π΅Ρ Π΄ΠΈΠ°Π³Π½ΠΎΡΡΠΈΡΠΎΠ²Π°Π½Π°, ΡΠ΅ΠΊΠΎΠΌΠ΅Π½Π΄ΡΠ΅ΡΡΡ ΡΠ΅Π³ΡΠ»ΡΡΠ½ΠΎ ΠΏΠΎΡΠ΅ΡΠ°ΡΡ ΠΊΠ°ΡΠ΄ΠΈΠΎΠ»ΠΎΠ³Π°.ΠΡΠΎΠΌΠ΅ ΡΠΎΠ³ΠΎ, ΡΠ»Π΅Π΄ΡΠ΅Ρ Π½Π΅Π·Π°ΠΌΠ΅Π΄Π»ΠΈΡΠ΅Π»ΡΠ½ΠΎ Π½Π°ΠΏΡΠ°Π²ΠΈΡΡ ΠΊ Ρ ΠΈΡΡΡΠ³Ρ ΠΏΠ°ΡΠΈΠ΅Π½ΡΠΎΠ², Ρ ΠΊΠΎΡΠΎΡΡΡ ΡΠ°Π·Π²ΠΈΠ²Π°ΡΡΡΡ ΡΠΈΠΌΠΏΡΠΎΠΌΡ ΠΎΠ΄ΡΡΠΊΠΈ, Π±ΠΎΠ»ΠΈ Π² Π³ΡΡΠ΄ΠΈ ΠΈΠ»ΠΈ Π³ΠΎΠ»ΠΎΠ²ΠΎΠΊΡΡΠΆΠ΅Π½ΠΈΡ.
ΠΠΎΠΊΡΠΎΡ ΠΠ°ΠΌΠ΅Π»Π°Ρ Π³ΠΎΠ²ΠΎΡΠΈΡ: ΠΠ°ΡΠ΄ΠΈΠΎΠ»ΠΎΠ³ Π΄ΠΎΠ»ΠΆΠ΅Π½ Π²Π½ΠΈΠΌΠ°ΡΠ΅Π»ΡΠ½ΠΎ Π½Π°Π±Π»ΡΠ΄Π°ΡΡ Π·Π° ΠΏΠ°ΡΠΈΠ΅Π½ΡΠΎΠΌ Ρ ΠΊΠ°Π»ΡΡΠΈΠ΅ΠΌ Π½Π° ΡΠ΅ΡΠ΄Π΅ΡΠ½ΠΎΠΌ ΠΊΠ»Π°ΠΏΠ°Π½Π΅. ΠΠΌ ΡΠ»Π΅Π΄ΡΠ΅Ρ ΠΏΡΠΎΡ ΠΎΠ΄ΠΈΡΡ ΡΡ ΠΎΠΊΠ°ΡΠ΄ΠΈΠΎΠ³ΡΠ°ΠΌΠΌΡ (Π£ΠΠ ΡΠ΅ΡΠ΄ΡΠ°) ΠΎΠ΄ΠΈΠ½ ΡΠ°Π· Π² Π³ΠΎΠ΄ ΠΈΠ»ΠΈ Π΄Π°ΠΆΠ΅ ΡΠ΅ΡΠ΅Π· 6 ΠΌΠ΅ΡΡΡΠ΅Π². ΠΡΠ»ΠΈ Ρ Π½ΠΈΡ ΡΠ°Π·Π²ΠΈΠ²Π°ΡΡΡΡ ΡΠΈΠΌΠΏΡΠΎΠΌΡ, ΡΡ ΠΎΠΊΠ°ΡΠ΄ΠΈΠΎΠ³ΡΠ°ΠΌΠΌΡ ΡΠ»Π΅Π΄ΡΠ΅Ρ Π²ΡΠΏΠΎΠ»Π½ΠΈΡΡ ΡΠ°Π½ΡΡΠ΅. Π’ΡΠ°ΡΠ΅Π»ΡΠ½ΠΎΠ΅ Π½Π°Π±Π»ΡΠ΄Π΅Π½ΠΈΠ΅ ΠΈ ΠΏΠΎΡΠ»Π΅Π΄ΡΡΡΠ΅Π΅ ΡΠ²ΠΎΠ΅Π²ΡΠ΅ΠΌΠ΅Π½Π½ΠΎΠ΅ Π»Π΅ΡΠ΅Π½ΠΈΠ΅, ΠΊΠΎΠ³Π΄Π° ΡΡΠΎ Π½Π΅ΠΎΠ±Ρ ΠΎΠ΄ΠΈΠΌΠΎ, ΠΏΠΎΠ·Π²ΠΎΠ»ΡΡ ΡΠ½ΠΈΠ·ΠΈΡΡ ΡΠΈΡΠΊΠΈ ΠΏΡΠΈ Π»ΡΠ±ΠΎΠΌ Π²ΠΌΠ΅ΡΠ°ΡΠ΅Π»ΡΡΡΠ²Π΅, Π±ΡΠ΄Ρ ΡΠΎ Ρ ΠΈΡΡΡΠ³ΠΈΡΠ΅ΡΠΊΠ°Ρ ΠΈΠ»ΠΈ ΡΡΠ°Π½ΡΠΊΠ°ΡΠ΅ΡΠ΅ΡΠ½Π°Ρ Π·Π°ΠΌΠ΅Π½Π°.ΠΠ±ΡΠ°Π·ΠΎΠ²Π°Π½Π½ΡΠΉ ΠΏΠ°ΡΠΈΠ΅Π½Ρ, Π²Π΅Π΄ΡΡΠΈΠΉ Π·Π΄ΠΎΡΠΎΠ²ΡΠΉ ΠΎΠ±ΡΠ°Π· ΠΆΠΈΠ·Π½ΠΈ, Π²ΡΠ΅Π³Π΄Π° Π±ΡΠ΄Π΅Ρ ΠΈΠΌΠ΅ΡΡ Π»ΡΡΡΠ΅Π΅ ΠΊΠ°ΡΠ΅ΡΡΠ²ΠΎ ΠΆΠΈΠ·Π½ΠΈ.
ΠΠ°Π΄Π΅ΡΡΡ, ΡΡΠΎ ΠΏΠΎΠΌΠΎΠ³Π»ΠΎ Π²Π°ΠΌ ΡΠ·Π½Π°ΡΡ Π±ΠΎΠ»ΡΡΠ΅ ΠΎ ΠΊΠ°Π»ΡΡΠΈΡΠΈΠΊΠ°ΡΠΈΠΈ ΡΠ΅ΡΠ΄Π΅ΡΠ½ΠΎΠ³ΠΎ ΠΊΠ»Π°ΠΏΠ°Π½Π°. Π― Π·Π½Π°Ρ, ΡΡΠΎ ΠΌΠ½Π΅ ΠΏΠΎΠΌΠΎΠ³Π»ΠΎ. ΠΡ ΠΈΠΌΠ΅Π½ΠΈ Π½Π°ΡΠ΅Π³ΠΎ ΡΠΎΠΎΠ±ΡΠ΅ΡΡΠ²Π° Ρ Ρ ΠΎΡΠ΅Π» Π±Ρ ΡΠΊΠ°Π·Π°ΡΡ ΠΎΠ³ΡΠΎΠΌΠ½ΠΎΠ΅ ΡΠΏΠ°ΡΠΈΠ±ΠΎ !!!! Π΄ΠΎΠΊΡΠΎΡΡ ΠΠΎΡΠ³Π΅ΡΡ ΠΈ Π΄ΠΎΠΊΡΠΎΡΡ ΠΠ°ΠΌΠ΅Π»Π°ΡΡ Π·Π° ΡΠΎ, ΡΡΠΎ ΠΎΠ½ΠΈ ΠΏΠΎΠ΄Π΅Π»ΠΈΠ»ΠΈΡΡ Ρ Π½Π°ΡΠΈΠΌ ΡΠΎΠΎΠ±ΡΠ΅ΡΡΠ²ΠΎΠΌ ΡΠ²ΠΎΠΈΠΌ ΠΊΠ»ΠΈΠ½ΠΈΡΠ΅ΡΠΊΠΈΠΌ ΠΎΠΏΡΡΠΎΠΌ ΠΈ ΠΈΡΡΠ»Π΅Π΄ΠΎΠ²Π°Π½ΠΈΡΠΌΠΈ ΠΏΠΎ ΡΡΠΎΠΉ ΠΎΡΠ΅Π½Ρ ΡΠΏΠ΅ΡΠΈΠ°Π»ΡΠ½ΠΎΠΉ ΡΠ΅ΠΌΠ΅.
ΠΡΠΎΠ΄ΠΎΠ»ΠΆΠ°ΠΉΡΠ΅ ΡΠΈΠΊΠ°ΡΡ!
ΠΠ΄Π°ΠΌ
ΠΠ°ΠΏΠΈΡΠ°Π½ΠΎ ΠΠ΄Π°ΠΌΠΎΠΌ ΠΠΈΠΊΠΎΠΌ
— ΠΠ°ΡΠΈΠ΅Π½Ρ ΠΈ ΠΎΡΠ½ΠΎΠ²Π°ΡΠ΅Π»Ρ Π²Π΅Π±-ΡΠ°ΠΉΡΠ°
.



